Sign in to use this feature.

Years

Between: -

Subjects

remove_circle_outline
remove_circle_outline
remove_circle_outline
remove_circle_outline
remove_circle_outline
remove_circle_outline
remove_circle_outline

Journals

Article Types

Countries / Regions

Search Results (64)

Search Parameters:
Keywords = bed of nails

Order results
Result details
Results per page
Select all
Export citation of selected articles as:
12 pages, 31864 KB  
Case Report
Open Double Mallet Lesion of the Ring Finger with Concomitant Little Finger Fracture: A Case Report
by Suguru Yokoo, Takahiro Toriyama, Yukimasa Okada and Chuji Terada
Diagnostics 2026, 16(9), 1248; https://doi.org/10.3390/diagnostics16091248 - 22 Apr 2026
Abstract
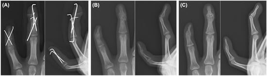
Background and Clinical Significance: Mallet finger is a common injury of the extensor mechanism at the distal interphalangeal (DIP) joint; however, open double mallet lesions are rare and may present a complex reconstruction challenge. Case Presentation: A 15-year-old male high school [...] Read more.
Background and Clinical Significance: Mallet finger is a common injury of the extensor mechanism at the distal interphalangeal (DIP) joint; however, open double mallet lesions are rare and may present a complex reconstruction challenge. Case Presentation: A 15-year-old male high school student who sustained an open injury to the left ring and little fingers after a high-energy buggy accident. The ring finger showed an open double mallet lesion in which the extensor tendon remained attached to a tiny avulsion fragment, and a separate dorsal base fragment was also present. The adjacent little finger had a concomitant open fracture with substantial soft tissue injury. Emergency surgery was performed on the day of the injury. For the ring finger, reduction of the tendon-attached avulsion fragment and separate dorsal base fragment was achieved using extension-block pinning, transarticular DIP pinning, and pull-out fixation over a volar button. For the little finger, cross-pinning was performed because the distal fragment was too small for stable non-transarticular fixation. Serial radiographs showed maintained alignment and progressive healing. At the final follow-up, 21 months after the injury, residual deformity and limitation of DIP motion remained; however, no infection, major skin complications, or nail deformity were observed. The little finger DIP joint became ankylosed, whereas some residual mobility remained in the ring finger DIP joint. Despite persistent functional limitations, the patient was able to continue school attendance and percussion-related activities. Conclusions: This case highlights that in an open double mallet lesion, disruption of both the tendon-attached fragment and its bony bed should be considered, and stabilization of the base may be useful in selected injury patterns before definitive tendon-side repair. Full article
(This article belongs to the Section Clinical Diagnosis and Prognosis)
Show Figures

Figure 1

9 pages, 901 KB  
Case Report
Case Report of Wound Treatment with Hyiodine Gel in an Occasional KID Syndrome Patient
by Marianna Hajská, Silvia Bittner Fialová, Martin Dubovský and Arpád Panyko
J. Clin. Med. 2026, 15(1), 11; https://doi.org/10.3390/jcm15010011 - 19 Dec 2025
Viewed by 705
Abstract
Background/Objectives: Keratitis–ichthyosis–deafness (KID) syndrome is an exceptionally rare congenital multisystem disorder, with an estimated prevalence below 1:1,000,000 and fewer than 100 reported cases worldwide. It is characterized by hyperkeratosis, alopecia, nail dystrophy, hearing loss, and ocular involvement. While dermatological management is well [...] Read more.
Background/Objectives: Keratitis–ichthyosis–deafness (KID) syndrome is an exceptionally rare congenital multisystem disorder, with an estimated prevalence below 1:1,000,000 and fewer than 100 reported cases worldwide. It is characterized by hyperkeratosis, alopecia, nail dystrophy, hearing loss, and ocular involvement. While dermatological management is well described, surgical experience with wound treatment in KID syndrome remains extremely limited. The objective of this report is to describe the surgical management and outcomes of a patient with chronic lower-limb wounds associated with KID syndrome. Methods: A 35-year-old male with KID syndrome was referred to the surgical outpatient clinic for chronic traumatic wounds of both lower limbs resistant to conservative dermatological therapy. Initial outpatient treatment included serial sharp surgical debridement under local anesthesia, combined with topical keratolytics and silver sulfadiazine with hyaluronic acid. Due to minimal improvement after three months, an inpatient surgical approach was initiated, involving complete excision of hyperkeratotic tissue, creation of a wide ulcer bed, and adjunct systemic and topical therapies. Results: The inpatient management enabled thorough removal of pathological tissue and better control of local infection and inflammation. Combined systemic antibiotic and antipsoriatic therapy, together with topical sodium hyaluronate and iodine, was associated with gradual wound healing and improved skin condition. The patient tolerated the procedures well, without major complications. Conclusions: Surgical debridement and excision, when combined with targeted dermatological and antimicrobial therapy, can be an effective and safe strategy for managing chronic wounds in KID syndrome. This case highlights the importance of multidisciplinary collaboration and individualized surgical planning in this extremely rare disorder. Full article
(This article belongs to the Special Issue New Advances in Wound Healing and Skin Wound Treatment)
Show Figures

Graphical abstract

5 pages, 1357 KB  
Interesting Images
Rare Case of Squamous Cell Carcinoma Arising from an Intraosseous Epidermal Cyst: A Diagnostic Challenge
by Jiro Ichikawa, Kojiro Onohara, Tomohiro Inoue, Masanori Wako, Tetsuhiro Hagino, Kouhei Mitsui, Tomonori Kawasaki and Hirotaka Haro
Diagnostics 2025, 15(24), 3173; https://doi.org/10.3390/diagnostics15243173 - 12 Dec 2025
Viewed by 495
Abstract
We report a rare case of squamous cell carcinoma (SCC) arising from an intraosseous epidermal cyst (EC) in the distal phalanx of the left thumb. A 76-year-old male presented with progressive thumb pain experienced over the previous six months. Radiography revealed a radiolucent [...] Read more.
We report a rare case of squamous cell carcinoma (SCC) arising from an intraosseous epidermal cyst (EC) in the distal phalanx of the left thumb. A 76-year-old male presented with progressive thumb pain experienced over the previous six months. Radiography revealed a radiolucent lesion without marginal sclerosis, and magnetic resonance imaging showed peripheral contrast enhancement with no solid components. Surgery revealed a bone-originating mass without adhesion to the surrounding skin or nail bed, which histopathological findings determined contained both cystic epithelium with laminated keratin and invasive keratinizing tumor cells, confirming SCC arising from an intraosseous EC. No primary lesion or lymph node enlargement was identified by postoperative computed tomography. Although wide resection and chemotherapy were proposed, the patient declined further intervention beyond the curettage performed during surgery, opting for close observation only. No recurrence or metastasis has been observed in the five years since the surgery. Intraosseous ECs are extremely rare, with malignant transformation even more uncommon. Accurate diagnosis requires histopathological confirmation, as imaging alone is insufficient. This case highlights the importance of considering intraosseous EC in the differential diagnosis of bone lesions and underscores the need for further case accumulation to clarify optimal management strategies. Full article
Show Figures

Figure 1

12 pages, 1601 KB  
Article
Preoperative Differentiation of Non-Subungual Glomus Tumors from Other Superficial Soft Tissue Tumors Using a Clinical and Ultrasound-Based Model
by Hongjin Xiang, Qing Dan, Yue Zhai, Anran Guo, Yuzhou Shen, Run Wang, Desheng Sun and Xiangmei Chen
Biomedicines 2025, 13(12), 2883; https://doi.org/10.3390/biomedicines13122883 - 26 Nov 2025
Cited by 1 | Viewed by 609 | Correction
Abstract
Objectives: Non-subungual glomus tumors (NSGTs) are rare neoplasms arising outside the nail bed, typically presenting with disproportionate pain. Surgical excision usually achieves complete relief. Delayed or incorrect diagnosis of glomus tumors may also result in incomplete excision, which is the major cause of [...] Read more.
Objectives: Non-subungual glomus tumors (NSGTs) are rare neoplasms arising outside the nail bed, typically presenting with disproportionate pain. Surgical excision usually achieves complete relief. Delayed or incorrect diagnosis of glomus tumors may also result in incomplete excision, which is the major cause of recurrence. Ultrasound is a well-recognized tool for preoperative evaluation, but the rarity of NSGTs complicates differentiation from angioleiomyomas (ALMs) and hemangiomas, which have alternative managements. This study aimed to establish an ultrasound diagnostic model and scoring system for NSGTs. Methods: A total of 58 NSGTs, 68 ALMs, and 67 hemangiomas confirmed pathologically between January 2014 and March 2025 were analyzed. Clinical and ultrasonographic features were evaluated, and significant variables were incorporated into a scoring time using the binary logistic regression. A total of 11 NSGTs, 10 ALMs, and 10 hemangiomas (April–August 2025) were used to validate the diagnostic performance of the scoring system. Results: Four independent predictors were identified: pain, upper extremity location, diameter < 10 mm, and vascular stalk sign (p < 0.05). The model differentiated NSGTs from ALMs and hemangiomas, yielding an AUC of 0.91, with sensitivity of 75.86% and specificity of 90.37%. The overall accuracy was 86.01%. Conclusions: Ultrasound proves valuable in diagnosing NSGTs. A logistic regression model based on pain, location, size, and vascular stalk sign shows high diagnostic performance and clinical utility in distinguishing NSGTs from other superficial soft tissue tumors. Full article
(This article belongs to the Section Cancer Biology and Oncology)
Show Figures

Figure 1

13 pages, 230 KB  
Article
Acral Melanoma in Ethnic Lebanese Arab Patients: 12-Year Experience with a Rare Disease in the MENA Region
by Nicole Charbel, Mohammad Hassan Hodroj, Mohamad Baqer Skaini, Ali Ghais, Maha Makki, Amal El Masri, Malak Ghezzawi, Joe Rizkallah, Lara Kreidieh, Jad Ibrahim and Firas Kreidieh
J. Clin. Med. 2025, 14(23), 8320; https://doi.org/10.3390/jcm14238320 - 23 Nov 2025
Viewed by 790
Abstract
Background/Objectives: Acral melanoma (AM) is a rare and aggressive melanoma subtype that arises on sun-shielded, non-hair-bearing skin of the palms, soles, and nail beds. Although more common among individuals of non-European descent, AM remains underrecognized and understudied in the Middle East and [...] Read more.
Background/Objectives: Acral melanoma (AM) is a rare and aggressive melanoma subtype that arises on sun-shielded, non-hair-bearing skin of the palms, soles, and nail beds. Although more common among individuals of non-European descent, AM remains underrecognized and understudied in the Middle East and North Africa (MENA). This study presents the first dedicated AM registry from Lebanon, aiming to characterize clinical, histopathological, and molecular features and evaluate diagnostic, referral, treatment approaches, and clinical outcomes over a 12-year period. Methods: This retrospective cohort study was conducted at the American University of Beirut Medical Center (AUBMC), a major tertiary referral center in the MENA region. All melanoma cases diagnosed between January 2012 and January 2024 were identified through electronic health records. From this cohort, all adult patients (≥18 years) with biopsy-confirmed AM or tumors located on the palms, soles, or under the nails were selected. Results: Our cohort consisted of 26 adult AM patients, identified from a total of 331 melanoma cases during the study period (8%). Median age at diagnosis was 58.5 years; 54% were female; and 96% of Middle Eastern origin. Most tumors were plantar (81%), and over half (53%) were diagnosed at early stages (Stage I–II). Surgery was performed in 92% of patients, yet 55% had positive margins. Sentinel lymph node biopsy was performed in 46%, and 35% received immunotherapy. Only 35% underwent molecular testing, identifying BRAF mutations in 11% of those tested; no patients received circulating tumor DNA analysis. At a median follow-up of 24.5 months, recurrence occurred in 27%, and metastasis developed in 23%. At the last follow-up, 92% were alive. Conclusions: Despite early-stage detection, high rates of positive margins and limited molecular testing reveal care gaps. This first national registry highlights the need to improve surgical management and expand access to precision oncology in the region. Full article
(This article belongs to the Section Oncology)
14 pages, 2625 KB  
Article
Penetration and Preliminary Efficacy of a Novel Nitric Oxide-Releasing Gel for Onychomycosis
by Aditya K. Gupta, Elizabeth A. Cooper, Harmanpreet Kaur, James Martins, Simon J. L. Teskey and Chris C. Miller
J. Fungi 2025, 11(11), 780; https://doi.org/10.3390/jof11110780 - 30 Oct 2025
Cited by 3 | Viewed by 1862
Abstract
Onychomycosis is a therapeutically challenging fungal infection. Systemic antifungals are limited by adverse effects and drug interactions, while topical therapies may fail to achieve therapeutic nail bed concentrations. Nitric oxide (NO), a small, diffusible free radical with broad-spectrum antimicrobial activity, offers a novel [...] Read more.
Onychomycosis is a therapeutically challenging fungal infection. Systemic antifungals are limited by adverse effects and drug interactions, while topical therapies may fail to achieve therapeutic nail bed concentrations. Nitric oxide (NO), a small, diffusible free radical with broad-spectrum antimicrobial activity, offers a novel approach to overcoming these barriers. We assessed the penetration and subsequent efficacy of a nitric oxide–releasing gel (NORG) in the treatment of onychomycosis. Ex vivo human nail models assessed NORG’s transungual penetration and antifungal activity via colorimetric, immunohistochemical, and microbiological assays. NORG eradicated Trichophyton mentagrophytes completely (0 CFU/g), outperforming terbinafine (3.58 ± 0.2 log10 CFU/g). In an ex vivo infection model, NORG achieved fungal clearance within 14 days, continuing to Day 30 treatment end, with no regrowth during 21 days of incubation post-treatment. Clinical data from patients with onychomycosis who received topical NORG therapy show that NORG penetrated the nail plate and nail bed, as evidenced by s-nitrosothiol accumulation and progressive discoloration. The NORG formulation demonstrates in vitro efficacy; controlled trials are warranted to fully assess clinical efficacy and safety of this NORG formulation in humans, and establish optimal treatment protocols. Full article
(This article belongs to the Section Fungal Pathogenesis and Disease Control)
Show Figures

Figure 1

299 KB  
Article
Modified Zigzag Nail Bed Flap with Three Rotations as a Therapeutic Approach in Congenital Malalignment of the Great Toenail
by Qiaochu Zhou, Wenting Su, Wenzheng Zhu and Wei Wang
J. Am. Podiatr. Med. Assoc. 2025, 115(3), 23022; https://doi.org/10.7547/23-022 - 1 May 2025
Viewed by 33
Abstract
Congenital malalignment of the great toenail is rare and often causes nail deformity. When these complications of transverse overcurvature and retronychia occur, the degree of improvement with the conventional surgical approach is significantly limited for nail deformities or recurrence. We present a case [...] Read more.
Congenital malalignment of the great toenail is rare and often causes nail deformity. When these complications of transverse overcurvature and retronychia occur, the degree of improvement with the conventional surgical approach is significantly limited for nail deformities or recurrence. We present a case of a 22-year-old woman with congenital malalignment of the great toenail associated with retronychia and transverse overcurvature. We describe the application of the zigzag nail bed flap with three rotations in congenital malalignment of the great toenail, modifying the original approach according to the patient’s multiple nail deformities, while achieving satisfactory results. To our knowledge, there is no report of this in the literature. (J Am Podiatr Med Assoc 115(3), 2025; doi:10.7547/23-022) Full article
Show Figures

Figure 1

15 pages, 1220 KB  
Review
Acral Melanoma in Skin of Color: Current Insights and Future Directions: A Narrative Review
by Emily R. Nadelmann, Ajay K. Singh, Matteo Abbruzzese, Oluwaseyi O. Adeuyan, Divya B. Kenchappa, Katherine Kovrizhkin, Michelle Lightman, Avishai Samouha, Kevin L. Tao, Jaewon Yun, Tian R. Zhu, Beth N. McLellan and Yvonne M. Saenger
Cancers 2025, 17(3), 468; https://doi.org/10.3390/cancers17030468 - 30 Jan 2025
Cited by 11 | Viewed by 6112 | Correction
Abstract
Introduction: Acral lentiginous melanoma (ALM), a rare subtype, accounts for 2–3% of melanoma cases, primarily affecting the palms, soles, and nail beds and disproportionately affects people of color. This review focuses on clinical insights into ALM and its management, with a focus [...] Read more.
Introduction: Acral lentiginous melanoma (ALM), a rare subtype, accounts for 2–3% of melanoma cases, primarily affecting the palms, soles, and nail beds and disproportionately affects people of color. This review focuses on clinical insights into ALM and its management, with a focus on race and ethnicity. Methods: A comprehensive literature search was conducted in public databases using the search term “acral melanoma,” and studies focusing on epidemiology, clinical presentation, and treatment outcomes of ALM in various racial and ethnic groups were reviewed. Results: Significant disparities in ALM outcomes exist across racial and ethnic groups, with African, Hispanic, and Asian individuals presenting with thicker, more advanced tumors at diagnosis. These populations encounter unique challenges, including limited access to dermatologic care, under-recognition of melanoma presentation in darker skin types, and socioeconomic barriers leading to delayed diagnosis and treatment. Surgical management may require specialized approaches, such as partial amputation for subungual melanomas. Additionally, there is uncertainty regarding the tumor immune microenvironment (TME) in ALM, with some studies suggesting that it might be less favorable, resulting in a lower response to immunotherapy. Conclusions: ALM affects diverse populations, and the impact of ethnic and racial origin on ALM biology is largely unknown. Addressing disparities in ALM outcomes among racial and ethnic groups is critical for improving patient care. Increased awareness of melanoma risk in individuals with darker skin can significantly impact early detection and treatment. Future research should focus on the genetic and biological factors contributing to morbidity and mortality in ALM patients. Full article
(This article belongs to the Special Issue Clinical Features and Molecular Pathology of Melanomas)
Show Figures

Figure 1

14 pages, 7348 KB  
Article
Mast Cell Density in Squamous Cell Carcinoma of Skin in Dogs and Cats
by Nomeda Juodžiukynienė, Kristina Lasienė, Nijolė Savickienė and Albina Aniulienė
Animals 2025, 15(3), 316; https://doi.org/10.3390/ani15030316 - 23 Jan 2025
Cited by 2 | Viewed by 4643
Abstract
The purpose of the present study was to evaluate mast cell density in squamous cell carcinoma tissues of dogs and cats to assess species differences. Skin squamous cell carcinoma tissues from dogs (n = 15: n = 10 from body sites and [...] Read more.
The purpose of the present study was to evaluate mast cell density in squamous cell carcinoma tissues of dogs and cats to assess species differences. Skin squamous cell carcinoma tissues from dogs (n = 15: n = 10 from body sites and n = 5 nail bed specimens) and cats (n = 15, n = 10 from ears and n = 5 nasal planum specimens) were examined. Intratumoral mast cell density (IMCD), peritumoral mast cell density (PMCD) and total mast cells density (TMCD) as a sum of IMCD and PMCD were calculated from Giemsa-stained slides at high magnification in 1 mm2 using an Olympus microscope (Olympus BX41, Tokyo, Japan) equipped with a digital Olympus DP72 image camera and CellSensDimension software V1.16). Both intratumoral and peritumoral tissues of the squa.mous cell carcinoma were divided into two categories: (1) loose, well-vascularized, rich in lymphocytes and plasmocytes, macrophages and neutrophils; and (2) fibrous, with few or no lymphocytes, plasmocytes, macrophages and neutrophils (the presence of neutrophils can be associated with actinic keratosis, mechanical irritation of the tumor in some anatomical areas during scratching with teeth, but, in general, neutrophils are associated with more invasive squamous cell carcinoma). In cats, a markedly higher total number of mast cells was found, and the number was also higher in intratumoral and peritumoral tissues. A similar tendency was found in both dogs and cats—a markedly higher number of mastocytes was found in both peritumoral and intratumoral loose, well-vascularized connective tissue. Conversely, lower numbers of mast cells were found in both intratumoral and peritumoral compact fibrous tissue in both animal species. Full article
(This article belongs to the Section Companion Animals)
Show Figures

Figure 1

22 pages, 3557 KB  
Review
Acral Melanoma: A Review of Its Pathogenesis, Progression, and Management
by Soo Hyun Kim and Hensin Tsao
Biomolecules 2025, 15(1), 120; https://doi.org/10.3390/biom15010120 - 14 Jan 2025
Cited by 15 | Viewed by 9397
Abstract
Acral melanoma is a distinct subtype of cutaneous malignant melanoma that uniquely occurs on ultraviolet (UV)-shielded, glabrous skin of the palms, soles, and nail beds. While acral melanoma only accounts for 2–3% of all melanomas, it represents the most common subtype among darker-skinned, [...] Read more.
Acral melanoma is a distinct subtype of cutaneous malignant melanoma that uniquely occurs on ultraviolet (UV)-shielded, glabrous skin of the palms, soles, and nail beds. While acral melanoma only accounts for 2–3% of all melanomas, it represents the most common subtype among darker-skinned, non-Caucasian individuals. Unlike other cutaneous melanomas, acral melanoma does not arise from UV radiation exposure and is accordingly associated with a relatively low tumor mutational burden. Recent advances in genomic, transcriptomic, and epigenomic sequencing have revealed genetic alterations unique to acral melanoma, including novel driver genes, high copy number variations, and complex chromosomal rearrangements. This review synthesizes the current knowledge on the clinical features, epidemiology, and treatment approaches for acral melanoma, with a focus on the genetic pathogenesis that gives rise to its unique tumor landscape. These findings highlight a need to deepen our genetic and molecular understanding to better target this challenging subtype of melanoma. Full article
(This article belongs to the Section Molecular Medicine)
Show Figures

Figure 1

27 pages, 1593 KB  
Review
The Nutrient–Skin Connection: Diagnosing Eating Disorders Through Dermatologic Signs
by Efstathios Rallis, Kleomenis Lotsaris, Vasiliki-Sofia Grech, Niki Tertipi, Eleni Sfyri and Vassiliki Kefala
Nutrients 2024, 16(24), 4354; https://doi.org/10.3390/nu16244354 - 17 Dec 2024
Cited by 6 | Viewed by 10163
Abstract
The interplay between nutrition and skin health provides a crucial lens for understanding, diagnosing, and managing eating disorders (EDs) such as anorexia nervosa (AN), bulimia nervosa (BN), and binge-eating disorder (BED). This review explores the dermatological manifestations resulting from the nutritional deficiencies commonly [...] Read more.
The interplay between nutrition and skin health provides a crucial lens for understanding, diagnosing, and managing eating disorders (EDs) such as anorexia nervosa (AN), bulimia nervosa (BN), and binge-eating disorder (BED). This review explores the dermatological manifestations resulting from the nutritional deficiencies commonly associated with EDs, including conditions like hair loss, xerosis, and brittle nails. These changes in the skin and its appendages often reflect deeper systemic dysfunctions, such as deficiencies in essential micronutrients (zinc, iron, and vitamins A and C), hormonal imbalances, and electrolyte disturbances. Recognizing these dermatological signs as diagnostic tools is vital for the early identification and intervention of EDs. By integrating dermatological observations with psychiatric and nutritional care, a holistic, multidisciplinary approach can be developed to address both the physical and psychological complexities of EDs. This review highlights the critical role of these skin-related markers in promoting timely diagnosis and effective treatment. To examine the relationship between specific nutrients and dermatological manifestations in EDs, a systematic review of three electronic databases—PubMed, Google Scholar, and ResearchGate—was conducted. The findings underline the importance of early recognition of these skin symptoms for effective management. Collaborative care involving dermatologists, psychiatrists, and nutritionists is essential for diagnosing and treating EDs. Such integrated efforts ensure a comprehensive approach to these multifaceted conditions, ultimately improving patient outcomes and enhancing overall care. Full article
(This article belongs to the Section Nutrition and Public Health)
Show Figures

Figure 1

8 pages, 21693 KB  
Case Report
A Case of Yellow Nail Syndrome Complicated with Pulmonary Infection Due to Nocardia cyriacigeorgica
by Qiuyu Li, Jiajia Zheng, Qiuyue Zhang, Ying Liang, Hong Zhu and Yongchang Sun
Infect. Dis. Rep. 2024, 16(5), 906-913; https://doi.org/10.3390/idr16050072 - 18 Sep 2024
Viewed by 2391
Abstract
Yellow nail syndrome (YNS) is a rare clinical syndrome characterized by nail bed changes, pulmonary involvement, and lymphatic drainage disorders. Pulmonary involvement usually manifests as bronchiectasis, bronchiolitis, and pleural effusion. There are few studies on yellow nail syndrome combined with opportunistic infection. Here, [...] Read more.
Yellow nail syndrome (YNS) is a rare clinical syndrome characterized by nail bed changes, pulmonary involvement, and lymphatic drainage disorders. Pulmonary involvement usually manifests as bronchiectasis, bronchiolitis, and pleural effusion. There are few studies on yellow nail syndrome combined with opportunistic infection. Here, we report a case of clinically diagnosed YNS combined with Nocardia cyriacigeorgica infection and the course of treatment used, which can provide some useful information for clinicians to better understand this rare illness. Full article
(This article belongs to the Section Bacterial Diseases)
Show Figures

Figure 1

12 pages, 5034 KB  
Article
YOLOv8-Based System for Nail Capillary Detection on a Single-Board Computer
by Seda Arslan Tuncer, Muhammed Yildirim, Taner Tuncer and Mehmet Kamil Mülayim
Diagnostics 2024, 14(17), 1843; https://doi.org/10.3390/diagnostics14171843 - 23 Aug 2024
Cited by 6 | Viewed by 1960
Abstract
Nail capillaroscopic examination is an inexpensive and easily applicable method to identify capillary morphological changes in patients with conditions such as systemic sclerosis and Raynaud’s. The detection of changes in capillaries makes an important contribution to diagnosing these diseases. Capillary morphology is important [...] Read more.
Nail capillaroscopic examination is an inexpensive and easily applicable method to identify capillary morphological changes in patients with conditions such as systemic sclerosis and Raynaud’s. The detection of changes in capillaries makes an important contribution to diagnosing these diseases. Capillary morphology is important in the symptoms of these diseases, and capillary diameter, visibility, distribution, length, microbleeds, blood flow, and density are important indicators in capillaroscopic evaluation. Manual examination to determine these parameters is subjective, causes inconsistent results, and is labor-intensive and time-consuming. To overcome these problems, a YOLOv8s-based system was proposed in this paper to detect the number, thickness, and density of capillaries in the nail bed. The system’s components include database systems that store the analysis results, artificial intelligence-based software that runs on the SBC (Single-Board Computer), and recorded microscope images. mAP and F1_score parameters were used to evaluate the system’s performance, and values of 0.882 and 0.83 were obtained. The proposed system is promising in improving the diagnosis process of diseases such as systemic sclerosis and Raynaud’s by providing objective measurements and the early diagnosis and monitoring of diseases. Full article
(This article belongs to the Special Issue Deep Learning Techniques for Medical Image Analysis)
Show Figures

Figure 1

10 pages, 10160 KB  
Article
Dual-Band Antenna Array Fed by Ridge Gap Waveguide with Dual-Periodic Interdigital-Pin Bed of Nails
by Boju Chen, Xiaoming Chen, Xin Cheng, Yiran Da, Xiaobo Liu, Steven Gao and Ahmed A. Kishk
Sensors 2024, 24(16), 5117; https://doi.org/10.3390/s24165117 - 7 Aug 2024
Cited by 2 | Viewed by 2318
Abstract
A dual-band (K-/Ka-band) antenna array is presented. An ultra-wideband antenna element in the shape of a double-ridged waveguide is used as a radiation slot, and a novel dual-periodic ridge gap waveguide (RGW) with an interdigital-pin bed of nails (serving as a filter) is [...] Read more.
A dual-band (K-/Ka-band) antenna array is presented. An ultra-wideband antenna element in the shape of a double-ridged waveguide is used as a radiation slot, and a novel dual-periodic ridge gap waveguide (RGW) with an interdigital-pin bed of nails (serving as a filter) is used to realize dual-band operation. By periodically arranging the pins of two different heights in two dimensions, the proposed RGW with interdigital-pin bed of nails is able to realize and flexibly adjust two passbands. The widely used GW-based back cavity boosts the realized gain and simplifies the feed network design. A 4 × 4 prototype array was designed, fabricated, and measured. The results show that the array has two operating bands at 24.5–26.4 GHz and 30.3–31.5 GHz, and the realized gain can reach 19.2 dBi and 20.4 dBi, respectively. Meanwhile, there is a very significant gain attenuation at stopband. Full article
(This article belongs to the Special Issue Recent Trends and Developments in Antennas: Second Edition)
Show Figures

Figure 1

9 pages, 1857 KB  
Article
Various Free Flap Reconstruction Techniques after Hand and Foot Melanonychia Ablation: A Case Series
by Seungjun Lee and Seokchan Eun
J. Clin. Med. 2024, 13(10), 2811; https://doi.org/10.3390/jcm13102811 - 10 May 2024
Cited by 1 | Viewed by 1949
Abstract
(1) Purpose: The management of melanonychia is highly controversial. With growing melanonychia, in case of doubt, the entire lesion should be examined. It may appear similar to nail melanoma or may turn into melanoma. Here, we present surgical cases of nail bed [...] Read more.
(1) Purpose: The management of melanonychia is highly controversial. With growing melanonychia, in case of doubt, the entire lesion should be examined. It may appear similar to nail melanoma or may turn into melanoma. Here, we present surgical cases of nail bed total removal and free flap reconstruction. (2) Methods: Between 1 January 2020 and 31 December 2022, eleven patients were operated on for growing melanonychia, involving the hand and foot. After complete resection of the nail root and plate, immediate reconstruction was performed using a fasciocutaneous free flap. The authors describe the procedures in detail with a few illustrations and clinical photographs depicting the techniques. (3) Results: All patients underwent complete nail unit removal around the anatomic boundaries of the nail. Histology showed a nevus and no malignancy in all cases. We used three onychocutaneous flaps, three hypothenar flaps and five venous flaps. All flaps survived, with one case of partial necrosis which spontaneously healed with secondary intention. In the follow-up periods, there was no recurrence or nail regrowth. (4) Conclusions: These free flap techniques are very useful for total nail bed defect reconstruction after melanonychia lesion total ablation. Full article
(This article belongs to the Special Issue Challenges in Hand and Upper Limb Surgery)
Show Figures

Figure 1

Back to TopTop