Mast Cell Density in Squamous Cell Carcinoma of Skin in Dogs and Cats
Simple Summary
Abstract
1. Introduction
2. Materials and Methods
2.1. Ethics Statement
2.2. Tissue Preparation
2.3. Histotechnique
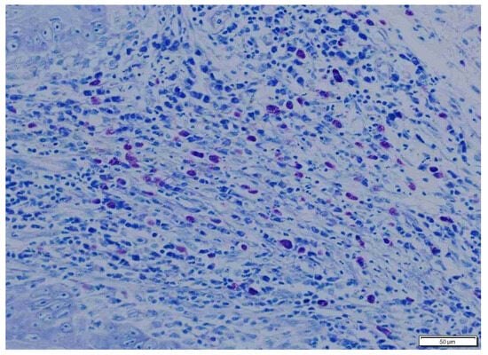
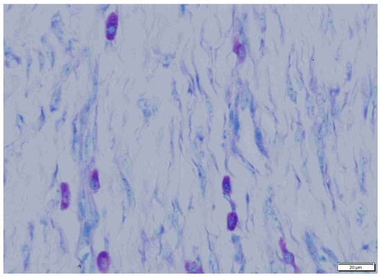
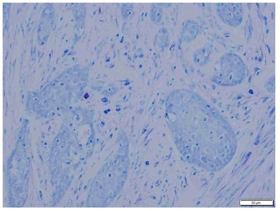
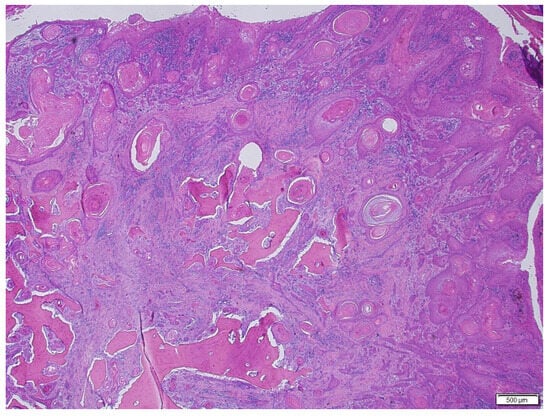
2.4. Histopathology
2.5. Statistical Analysis
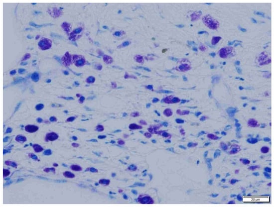
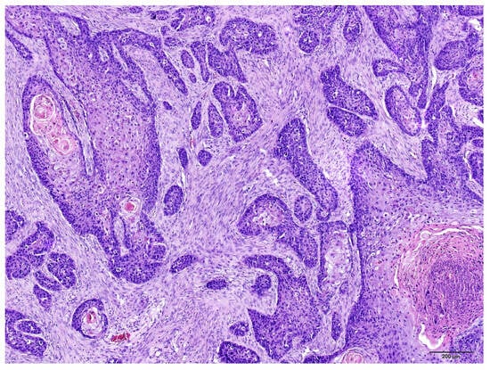
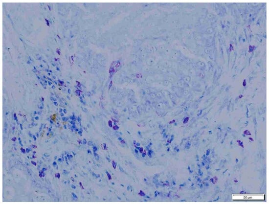
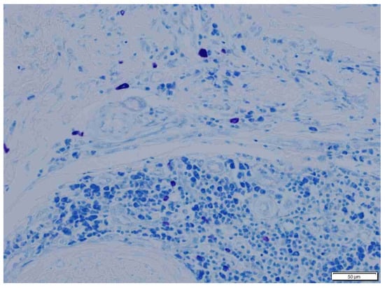
3. Results
4. Discussion
5. Conclusions
Author Contributions
Funding
Institutional Review Board Statement
Informed Consent Statement
Data Availability Statement
Acknowledgments
Conflicts of Interest
References
- Church, M.; Levi-Schaffer, F. The human mast cell. J. Allergy Clin. Immunol. 1997, 99, 155–160. [Google Scholar] [CrossRef]
- Gurish, M.; Austen, K. The diverse roles of mast cells. J. Exp. Med. 2001, 194, F1–F5. [Google Scholar] [CrossRef]
- Castells, M. Mast cells: Molecular and cell biology. Int. J. Asthma Allergy Immunol. 1999, 1, 1–20. [Google Scholar]
- Tan, S.T.; Wallis, R.; He, Y.; Davis, P.F. Mast cells and hemangioma. Plast. Reconst. Surg. 2004, 113, 999–1011. [Google Scholar] [CrossRef]
- Krystel-Whittemore, M.; Dileepan, N.K.; Wood, G.J. Mast Cell: A Multi-Functional Master Cell. Front. Immunol. 2016, 6, 620–626. [Google Scholar] [CrossRef]
- Wang, Q.; Shao, X.; Zhang, Y.; Zhu, M.; Wang, F.X.C.; Mu, J.; Li, J.; Yao, H.; Ch, K. Role of tumor microenvironment in cancer progression and therapeutic strategy. Cancer Med. 2023, 12, 11149–11165. [Google Scholar] [CrossRef]
- Liu, X.; Li, X.; Wei, H.; Liu, Y.; Li, N. Mast cells in colorectal cancer tumour progression, angiogenesis, and lymphangiogenesis. Front. Immunol. 2023, 14, 001–010. [Google Scholar] [CrossRef]
- Derakhshani, A.; Vahidian, F.; Alihasanzadeh, M.; Mokhtarzadeh, A.; Parisa Lotfi Nezhad, P.L.; Baradaran, B. Mast cells: A double-edged sword in cancer. Immunol. Lett. Vol. 2019, 209, 28–35. [Google Scholar] [CrossRef]
- Tzorakoleftheraki, S.E.; Koletsa, T. The Complex Role of Mast Cells in Head and Neck Squamous Cell Carcinoma: A Systematic Review. Medicina 2024, 70, 1173. [Google Scholar] [CrossRef]
- Ch’ng, S.; AWallis, R.; Yuan, L.; Davis, P.F.; Tan, S.T. Mast cells and cutaneous malignancies. Mod. Pathol. 2006, 19, 149–159. [Google Scholar] [CrossRef]
- Longo, V.; Catino, A.; Montrone, M.; Galetta, D.; Ribatti, D. Controversial role of mast cells in NSCLC tumor progression and angiogenesis. Thorac. Cancer 2022, 13, 2929–2934. [Google Scholar] [CrossRef]
- Oliver, G.; Detmar, M. Review. The formation of lymphatic vessels and its importance in the setting of malignancy. J. Exp. Med. 2002, 16, 773–783. [Google Scholar]
- Weidner, N. Intratumoral vascularity as a prognostic factor in cancers of the urogenital tract. Eur. J. Cancer 1996, 14, 2506–2512. [Google Scholar] [CrossRef]
- Ribatti, D.; Crivellato, E. Immune cells and angiogenesis. J. Cell. Mol. Med. 2009, 13, 2822–2833. [Google Scholar] [CrossRef]
- Tomlinson, J.; Barsky, S.H.; Nelson, S.; Singer, S.; Pezeshki, B.; Lee, M.C.; Eilber, F.; Nguyen, M. Different patterns of angiogenesis in sarcomas and carcinomas. Clin. Cancer Res. 1999, 5, 3516–3522. [Google Scholar]
- Segura-Villalobos, D.; Ramírez-Moreno, I.G.; Martínez-Aguilar, M.; Ibarra-Sánchez, A.; Muñoz-Bello, J.O.; Anaya-Rubio, I.; Padilla, A.; Macías-Silva, M.; Lizano, M.; González-Espinosa, C. Mast Cell–Tumor Interactions: Molecular Mechanisms of Recruitment, Intratumoral Communication and Potential Therapeutic Targets for Tumor Growth. Cells 2022, 11, 349. [Google Scholar] [CrossRef]
- Streilein, J.; Taylor, J.; Vincek VKurimoto, I.; Shimizu, T.; Tie CGolomb, C. Immune surveillance and sunlight-induced skin cancer. Immunol. Today 1994, 15, 174–179. [Google Scholar] [CrossRef]
- Matsumura, Y.; Ananthaswamy, H. Molecular mechanisms of photocarcinogenesis. Front. Biosci. 2002, 7, d765–d783. [Google Scholar] [CrossRef]
- Hart, P.; Grimbaldeston, M.; Finlay-Jones, J. Sunlight, immunosuppression and skin cancer: Role of histamine and mast cells. Clin. Exp. Pharmacol. Physiol. 2001, 28, 1–8. [Google Scholar] [CrossRef]
- Wallis, R. Mast Cell Involvement in Ultraviolet Radiation Induced Immunosuppression. Ph.D. Dissertation, University of Otago, Wellington, New Zealand, 2004; pp. 1–4. [Google Scholar]
- Al-Sadek, T.; Yusuf, N. Ultraviolet Radiation Biological and Medical Implications. Curr. Issues Mol. Biol. 2024, 46, 1924–1942. [Google Scholar] [CrossRef]
- Chiu, O.; Wilcock, B.P.; Wilcock, A.E.; Edwards, A.M. Breed predilections and prognosis for subungual squamous cell carcinoma in dogs. Can. Vet. J. 2022, 63, 1129–1134. [Google Scholar]
- Favrot, C.; Welle, M.; Heimann, M.; Godson, D.L.; Guscetti, F. Clinical, histologic, and immunohistochemical analyses of feline squamous cell carcinoma in situ. Vet. Pathol. 2009, 46, 25–33. [Google Scholar] [CrossRef]
- Munday, J.S.; Thomson, N.A.; Luff, J.A. Papillomaviruses in dogs and cats. Vet. J. 2017, 225, 23–31. [Google Scholar] [CrossRef]
- Nagamine, E.; Hirayama, K.; Matsuda, K.; Okamoto, M.; Ohmachi, T.; Uchida, K.; Kadosawa, T.; Taniyama, H. Invasive Front Grading and EpithelialMesenchymal Transition in Canine Oral and Cutaneous Squamous Cell Carcinomas. Vet. Pathol. 2017, 54, 783–791. [Google Scholar] [CrossRef]
- Goldschmidt, M.; Goldschmidt, K.H. Epithelial and Melanocytic Tumors of the Skin. In Tumors in Domestic Animals; Wiley: New York, NY, USA, 2016; pp. 88–141. [Google Scholar]
- Glajcar, A.; Szpor, J.; Pacek, A.; Tyrak, K.E.; Chan, F.; Streb, J.; Hodorowicz-Zaniewska, D.; Okon, K. The relationship between breast cancer molecular subtypes and mast cell populations in tumor microenvironment. Virchows Arch. 2017, 470, 505–515. [Google Scholar] [CrossRef]
- Byrne, N.S.; Limón-Flores, A.Y.; Ullrich, E.U. Mast Cell Migration from the Skin to the Draining Lymph Nodes upon Ultraviolet Irradiation Represents a Key Step in the Induction of Immune Suppression. J. Immunol. 2008, 180, 4648–4655. [Google Scholar] [CrossRef]
- Leite, J.S.; Pinheiro, I.M.; Cunha, S.C.S.; Paes-de-Almeida, E.C.; Ferreira, A.M.R. Macroscopic and Histomorphological Evaluation of Feline Facial Squamous Cell Carcinoma Specimens. In Proceedings of the World Small Animal Veterinary Association World Congress Proceedings, Rio de Janeiro, Brazil, 25–27 September 2009. [Google Scholar]
- Cerezo-Echevarria, A.; Grassinger, J.; Beitzinger Ch Klopfleisch, R.; Aupperle-Lellbach, H. Evaluating the Histologic Grade of Digital Squamous Cell Carcinomas in Dogs with Dark and Light Haircoat—A Comparative Study of the Invasive Front and Tumor Cell Budding Systems. Vet. Sci. 2020, 8, 3. [Google Scholar] [CrossRef]
- Plasmeijer, E.I.; Neale, R.E.; de Koning, M.N.; Quint, W.G.; McBride, P.; Feltkamp, M.C.; Green, A.C. Persistence of betapapillomavirus infections as a risk factor for actinic keratoses, precursor to cutaneous squamous cell carcinoma. Cancer Res. 2009, 69, 8926–8931. [Google Scholar] [CrossRef]
- Forslund, O.; Iftner, T.; Andersson, K.; Lindelof, B.; Hradil, E.; Nordin, P.; Stenquist, B.; Kirnbauer, R.; Dillner, J.; de Villiers, E.-M. Cutaneous human papillomaviruses found in sun-exposed skin: Beta-papillomavirus species 2 predominates in squamous cell carcinoma. J. Infect. Dis. 2007, 196, 876–883. [Google Scholar] [CrossRef]
- Thaiwong, T.; Sledge, D.G.; Wise, A.G.; Olstad, K.; Maes, R.M.; Kiupel, M. Malignant transformation of canine oral papillomavirus (CPV1)-associated papillomas in dogs: An emerging concern? Papillomavirus Res. 2018, 6, 83–89. [Google Scholar] [CrossRef]
- Elieh-Ali-Komi, D.; Redegeld, A.F. Role of Mast Cells in Shaping the Tumor Microenvironment. Clin. Rev. Allerg. Immun. 2020, 58, 313–328. [Google Scholar] [CrossRef]
- Lee, Y.H.; Tsai, K.W.; Lu, K.C.H.; Shih, L.J.; Hu, W.C.H. Cancer as a Dysfunctional Immune Disorder: Pro-Tumor TH1-like Immune Response and Anti-Tumor THαβ Immune Response Based on the Complete Updated Framework of Host Immunological Pathways. Biomedicines 2022, 10, 2497. [Google Scholar] [CrossRef]
- Slayter, M.V.; Boosinger, T.R.; Pool, R.R.; Dammrich, K.; Misdorp, W.; Larsen, S. Histological classification of mesenchymal tumors of skin and soft tissues of domestic animals. In Histological Classification of Bone and Joint Tumors of Domestic Animals; WHO-World Health Organization: Geneva, Switzerland, 1994; p. 21. [Google Scholar]
- Vilanova, F.S.; Hellebuyck, T.; Chiers, C. Histological Variants of Squamous and Basal Cell Carcinoma in Squamates and Chelonians: A Comprehensive Classification. Animals 2023, 13, 1327. [Google Scholar] [CrossRef]
- Takahashi, Y.; Ishii, G.; Taira, T.; Fujii, S.; Yanagi Sh Hishida, T.; Yoshida, J.; Nishimura, M.; Nomori, H.; Nagai, K.; Ochiai, A. Fibrous stroma is associated with poorer prognosis in lung squamous cell carcinoma patients. J. Thorac. Oncol. 2011, 6, 1460–1467. [Google Scholar] [CrossRef]
- Khou, S.; Popa, A.; Luci, C.; Bihl, F.; Meghraoui-Kheddar, A.; Bourdely, P.; Salavagione, E.; Cosson, E.; Rubod, E.; Cazareth, J.; et al. Tumor-Associated Neutrophils Dampen Adaptive Immunity and Promote Cutane-ous Squamous Cell Carcinoma Development. Cancers 2020, 12, 1860. [Google Scholar] [CrossRef]
- Wu, L.; Saxena, S.; Singh, R.K. Neutrophils in the Tumor Microenvironment. Adv. Exp. Med. Biol. 2020, 1224, 1–20. [Google Scholar]
- Wu, L.; Saxena, S.; Singh, R.K.; Tong, Z.; Kunnumakkara, A.B.; Wang, H.; Matsuo, Y.; Diagaradjane, P.; Harikumar, K.B.; Ramachandran, V.; et al. Neutrophil gelatinase-associated lipocalin: A novel sup-pressor of invasion and angiogenesis in pancreatic cancer. Cancer Res. 2008, 68, 6100–6108. [Google Scholar]
- Carlini, M.C.; Dalurzo, M.C.L.; Lastiri, C.M.; Smith, D.E.; Vasallo, B.C.; Puricelli, L.I.; de Cidre, L.S.L. Mast cell phenotypes and microvessels in non-small cell lung cancer and its prognostic significance. Hum. Pathol. 2010, 5, 697–705. [Google Scholar] [CrossRef]
- Ribatti, D.; Ennas, M.G.; Vacca, A.; Ferreli, F.; Nico, B.; Orru, S.; Sirigu, P. Tumor vascularity and tryptase-positive mast cells correlate with a poor prognosis in melanoma. Eur. J. Clin. Investig. 2003, 33, 420–425. [Google Scholar] [CrossRef]
- Strouch, M.J.; Cheon, E.C.; Salabat, R.M.; Krantz, S.B.; Gounaris, E.; Melstrom, L.G.; Dangi-Garimella, S.; Wang, E.; Munshi, H.G.; Khazaie, K.; et al. Crosstalk between mast cells and pancreatic cancer cells contributes to pancreatic tumor progression. Clin. Cancer Res. 2010, 18, 2257–2265. [Google Scholar] [CrossRef]
- Nonomura, N.; Takayama, H.; Nishimura, K.; Oka, D.; Nakai, Y.; Shiba, M.; Tsujimura, A.; Nakayama, M.; Aozasa, K.; Okuyama, A. Decreased number of mast cells infiltrating into needle biopsy specimens leads to a better prognosis of prostate cancer. Br. J. Cancer 2007, 97, 952–956. [Google Scholar] [CrossRef] [PubMed]
- Yang, Y.; Qian, W.; Zhou, J.; Fan, X. A mast cell-related prognostic model for non-small cell lung cancer. J. Thorac. Dis. 2023, 15, 1948–1957. [Google Scholar] [CrossRef] [PubMed]
- Saxena, S.; Singh, A.; Singh, P. Tumor associated mast cells: Biological roles and therapeutic applications. Anat. Cell. Biol. 2020, 53, 245–251. [Google Scholar] [CrossRef]












| Canine SCC | Feline SCC | |
|---|---|---|
| 122.6 ± 70.57 a1 | 188.5 ± 100.03 b1 |
| 13.93 ± 13.93 a2 | 14.46 ± 8.31 b2 |
| Total PTMC | 136.53 ± 59.34 a3 | 202.96 ± 110.21 b3 |
| 50.3 ± 12.88 a4 | 183.27 ± 92.23 b4 |
| 25.0 ± 12.95 a5 | 16.8 ± 6.49 b5 |
| Total ITMC | 75.3 ± 18.06 a6 | 200.1 ± 106.27 b6 |
| Total MC | 211.83 ± 46.15 a7 | 403.01 ± 107.34 b7 |
Disclaimer/Publisher’s Note: The statements, opinions and data contained in all publications are solely those of the individual author(s) and contributor(s) and not of MDPI and/or the editor(s). MDPI and/or the editor(s) disclaim responsibility for any injury to people or property resulting from any ideas, methods, instructions or products referred to in the content. |
© 2025 by the authors. Licensee MDPI, Basel, Switzerland. This article is an open access article distributed under the terms and conditions of the Creative Commons Attribution (CC BY) license (https://creativecommons.org/licenses/by/4.0/).
Share and Cite
Juodžiukynienė, N.; Lasienė, K.; Savickienė, N.; Aniulienė, A. Mast Cell Density in Squamous Cell Carcinoma of Skin in Dogs and Cats. Animals 2025, 15, 316. https://doi.org/10.3390/ani15030316
Juodžiukynienė N, Lasienė K, Savickienė N, Aniulienė A. Mast Cell Density in Squamous Cell Carcinoma of Skin in Dogs and Cats. Animals. 2025; 15(3):316. https://doi.org/10.3390/ani15030316
Chicago/Turabian StyleJuodžiukynienė, Nomeda, Kristina Lasienė, Nijolė Savickienė, and Albina Aniulienė. 2025. "Mast Cell Density in Squamous Cell Carcinoma of Skin in Dogs and Cats" Animals 15, no. 3: 316. https://doi.org/10.3390/ani15030316
APA StyleJuodžiukynienė, N., Lasienė, K., Savickienė, N., & Aniulienė, A. (2025). Mast Cell Density in Squamous Cell Carcinoma of Skin in Dogs and Cats. Animals, 15(3), 316. https://doi.org/10.3390/ani15030316

