Sign in to use this feature.

Years

Between: -

Subjects

remove_circle_outline
remove_circle_outline
remove_circle_outline
remove_circle_outline
remove_circle_outline

Journals

Article Types

Countries / Regions

Search Results (14)

Search Parameters:
Keywords = anti-aquaporin-4 autoantibody

Order results
Result details
Results per page
Select all
Export citation of selected articles as:
20 pages, 408 KB  
Systematic Review
Biomarkers in Pediatric Neuropsychiatric Systemic Lupus Erythematosus: A Systematic Review
by Evdoxia Sapountzi, Eleni P. Kotanidou, Vasiliki-Rengina Tsinopoulou, Paraskevi Tatsiopoulou, Vaios Dafoulis, Lilian Athanasopoulou, Lampros Fotis and Assimina Galli-Tsinopoulou
Life 2025, 15(9), 1445; https://doi.org/10.3390/life15091445 - 15 Sep 2025
Viewed by 1015
Abstract
Diagnosis of neuropsychiatric (NP) involvement in pediatric systemic lupus erythematosus (pNPSLE) remains challenging due to NP symptom heterogeneity, lack of specific clinical criteria and validated diagnostic biomarkers, and invasiveness of common diagnostic methods for CNS disease. Although some biomarkers have been identified in [...] Read more.
Diagnosis of neuropsychiatric (NP) involvement in pediatric systemic lupus erythematosus (pNPSLE) remains challenging due to NP symptom heterogeneity, lack of specific clinical criteria and validated diagnostic biomarkers, and invasiveness of common diagnostic methods for CNS disease. Although some biomarkers have been identified in adults, their sensitivity, specificity, and clinical applicability in pNPSLE are uncertain. We performed a systematic review according to PRISMA guidelines to evaluate the current evidence on biomarkers associated with pNPSLE. We searched four databases using appropriate search terms for articles in English. After applying our selection criteria, we included 29 studies, from which we manually extracted relevant parameters, including study design, sample size, patient and disease characteristics, biomarker information, and effect sizes. The risk of bias, study quality, and quality of evidence were assessed with standard methods. Most studies had low quality, small samples, and were performed in single centers, which limited the quality of evidence of the biomarkers investigated. Biomarkers showing promising results, with high specificity and sensitivity or predictive value, included CSF neopterin, serum anti-ganglioside M1, a five-biomarker panel including neuronal proteins and anti-ribosomal P, and serum anti-neuronal. Our findings highlight the need for further replication and functional validation studies in pNPSLE. Full article
(This article belongs to the Section Medical Research)
Show Figures

Figure 1

8 pages, 1643 KB  
Case Report
Neuromyelitis Optica Diagnosis in Two Elderly Patients with Systematic Lupus Erythematosus: A Case Series
by Kyriaki Astara, Maria Lypiridou, Konstantinos Kalafatakis, Georgios Nikolaou and Georgios Stouraitis
Reports 2025, 8(3), 110; https://doi.org/10.3390/reports8030110 - 16 Jul 2025
Viewed by 979
Abstract
Background and Clinical Significance: Neuromyelitis optica (NMO) is a chronic demyelinating inflammatory disease of the central nervous system (CNS), mediated by autoantibodies against aquaporin-4 (AQ4) receptors. In the spectrum of NMO, other autoimmune diseases also coexist, though their association with systemic lupus erythematosus [...] Read more.
Background and Clinical Significance: Neuromyelitis optica (NMO) is a chronic demyelinating inflammatory disease of the central nervous system (CNS), mediated by autoantibodies against aquaporin-4 (AQ4) receptors. In the spectrum of NMO, other autoimmune diseases also coexist, though their association with systemic lupus erythematosus (SLE) is rare. Case Presentation: We present two cases of patients in their 70s who were diagnosed with NMO in the context of SLE. The first case concerns a 78-year-old woman with drug-induced SLE and thoracic myelitis who developed T4-level incomplete paraplegia over three weeks. The second case involves a 71-year-old woman with a history of SLE and myasthenia gravis, presenting with cervical myelitis with progressive worsening of walking and C4-level paraparesis over two months. In both cases, elevated serum anti-AQ4 titers were detected, establishing the diagnosis of NMO and differentiation from an atypical manifestation of SLE-related myelitis. High doses of intravenous corticosteroids with gradual tapering, along with cyclophosphamide, followed by rituximab, were administered in both patients. The first patient showed a poor response, while the second showed improvement. Conclusions: The coexistence of NMO with SLE is rare, but the occurrence of myelitis in patients with connective tissue diseases should raise the suspicion of NMO, especially in elderly women and several years after the diagnosis of SLE. Time to treatment is critical, as delays in treating NMO can result in cumulative and disabling damage. Full article
(This article belongs to the Section Allergy/Immunology)
Show Figures

Figure 1

17 pages, 2257 KB  
Article
Clinical Research into Central Nervous System Inflammatory Demyelinating Diseases Related to COVID-19 Vaccines
by Mei-Yun Cheng, Hsuan-Chen Ho, Jung-Lung Hsu, Yi Wang, Linyi Chen, Siew-Na Lim, Ming-Feng Liao and Long-Sun Ro
Diseases 2024, 12(3), 60; https://doi.org/10.3390/diseases12030060 - 20 Mar 2024
Cited by 1 | Viewed by 4844
Abstract
Various vaccines have been developed in response to the SARS-CoV-2 pandemic, and the safety of vaccines has become an important issue. COVID-19 vaccine-related central nervous system inflammatory demyelinating diseases (CNS IDDs) have been reported recently. We present one case of AstraZeneca vaccine-related myelin [...] Read more.
Various vaccines have been developed in response to the SARS-CoV-2 pandemic, and the safety of vaccines has become an important issue. COVID-19 vaccine-related central nervous system inflammatory demyelinating diseases (CNS IDDs) have been reported recently. We present one case of AstraZeneca vaccine-related myelin oligodendrocyte glycoprotein (MOG) antibody-associated disease and a literature review of another 78 patients published from January 2020 to October 2022. Patients were divided into three vaccine types (viral vector, mRNA, and inactivated vaccines) for further analyses. Among 79 patients with COVID-19 vaccine-related CNS IDDs, 49 (62%) cases received viral vector vaccines, 20 (25.3%) received mRNA vaccines, and 10 (12.7%) received inactivated vaccines. Twenty-seven cases (34.2%) were confirmed with autoantibodies, including fifteen patients (19%) with anti-MOG, eleven (13.9%) with anti-aquaporin 4 (AQP4), and one (1.3%) with both antibodies. Significantly, more males developed CNS IDDs post viral vector vaccines compared to mRNA and inactivated vaccines. Patients receiving mRNA vaccines were older than those receiving other types. Furthermore, mRNA and inactivated vaccines correlated more with anti-AQP4 antibodies, while viral vector vaccines showed higher MOG positivity. This research suggests potential associations between COVID-19 vaccine-related CNS IDDs and gender, age, and autoantibodies, contingent on vaccine types. Protein sequence analysis implies similarities between the S protein and AQP4/MOG. Further studies may elucidate the mechanisms of CNS IDDs, aiding vaccine selection for specific types. Full article
Show Figures

Figure 1

17 pages, 3787 KB  
Article
NMOSD IgG Impact Retinal Cells in Murine Retinal Explants
by Hannah Nora Wolf, Veronika Ehinger, Larissa Guempelein, Pratiti Banerjee, Tania Kuempfel, Joachim Havla and Diana Pauly
Curr. Issues Mol. Biol. 2023, 45(9), 7319-7335; https://doi.org/10.3390/cimb45090463 - 7 Sep 2023
Cited by 1 | Viewed by 2416
Abstract
Neuromyelitis optica spectrum disorders (NMOSD) are chronic inflammatory diseases of the central nervous system, characterized by autoantibodies against aquaporin-4. The symptoms primarily involve severe optic neuritis and longitudinally extensive transverse myelitis. Although the disease progression is typically relapse-dependent, recent studies revealed retinal neuroaxonal [...] Read more.
Neuromyelitis optica spectrum disorders (NMOSD) are chronic inflammatory diseases of the central nervous system, characterized by autoantibodies against aquaporin-4. The symptoms primarily involve severe optic neuritis and longitudinally extensive transverse myelitis. Although the disease progression is typically relapse-dependent, recent studies revealed retinal neuroaxonal degeneration unrelated to relapse activity, potentially due to anti-aquaporin-4-positive antibodies interacting with retinal glial cells such as Müller cells. In this exploratory study, we analysed the response of mouse retinal explants to NMOSD immunoglobulins (IgG). Mouse retinal explants were treated with purified IgG from patient or control sera for one and three days. We characterized tissue response patterns through morphological changes, chemokine secretion, and complement expression. Mouse retinal explants exhibited a basic proinflammatory response ex vivo, modified by IgG addition. NMOSD IgG, unlike control IgG, increased gliosis and decreased chemokine release (CCL2, CCL3, CCL4, and CXCL-10). Complement component expression by retinal cells remained unaltered by either IgG fraction. We conclude that human NMOSD IgG can possibly bind in the mouse retina, altering the local cellular environment. This intraretinal stress may contribute to retinal degeneration independent of relapse activity in NMOSD, suggesting a primary retinopathy. Full article
(This article belongs to the Special Issue Molecular Mechanism and Regulation in Neuroinflammation)
Show Figures

Figure 1

11 pages, 429 KB  
Review
Pathogenesis, Clinical Features, and Treatment of Patients with Myelin Oligodendrocyte Glycoprotein (MOG) Autoantibody-Associated Disorders Focusing on Optic Neuritis with Consideration of Autoantibody-Binding Sites: A Review
by Keiko Tanaka, Takeshi Kezuka, Hitoshi Ishikawa, Masami Tanaka, Kenji Sakimura, Manabu Abe and Meiko Kawamura
Int. J. Mol. Sci. 2023, 24(17), 13368; https://doi.org/10.3390/ijms241713368 - 29 Aug 2023
Cited by 11 | Viewed by 4663
Abstract
Although there is a substantial amount of data on the clinical characteristics, diagnostic criteria, and pathogenesis of myelin oligodendrocyte glycoprotein (MOG) autoantibody-associated disease (MOGAD), there is still uncertainty regarding the MOG protein function and the pathogenicity of anti-MOG autoantibodies in this disease. It [...] Read more.
Although there is a substantial amount of data on the clinical characteristics, diagnostic criteria, and pathogenesis of myelin oligodendrocyte glycoprotein (MOG) autoantibody-associated disease (MOGAD), there is still uncertainty regarding the MOG protein function and the pathogenicity of anti-MOG autoantibodies in this disease. It is important to note that the disease characteristics, immunopathology, and treatment response of MOGAD patients differ from those of anti-aquaporin 4 antibody-positive neuromyelitis optica spectrum disorders (NMOSDs) and multiple sclerosis (MS). The clinical phenotypes of MOGAD are varied and can include acute disseminated encephalomyelitis, transverse myelitis, cerebral cortical encephalitis, brainstem or cerebellar symptoms, and optic neuritis. The frequency of optic neuritis suggests that the optic nerve is the most vulnerable lesion in MOGAD. During the acute stage, the optic nerve shows significant swelling with severe visual symptoms, and an MRI of the optic nerve and brain lesion tends to show an edematous appearance. These features can be alleviated with early extensive immune therapy, which may suggest that the initial attack of anti-MOG autoantibodies could target the structures on the blood–brain barrier or vessel membrane before reaching MOG protein on myelin or oligodendrocytes. To understand the pathogenesis of MOGAD, proper animal models are crucial. However, anti-MOG autoantibodies isolated from patients with MOGAD do not recognize mouse MOG efficiently. Several studies have identified two MOG epitopes that exhibit strong affinity with human anti-MOG autoantibodies, particularly those isolated from patients with the optic neuritis phenotype. Nonetheless, the relations between epitopes on MOG protein remain unclear and need to be identified in the future. Full article
(This article belongs to the Special Issue Updates in Cell and Molecular Mechanisms of Autoimmune Diseases)
Show Figures

Figure 1

7 pages, 1244 KB  
Case Report
Isolated Myelopathy in Occult Breast Carcinoma with Negative Paraneoplastic Antibodies: A Case Report of a Rare Condition
by Loredana Paciolla, Giulia Galli, Domizia Vecchio, Samuel Padelli, Cristoforo Comi, Roberto Cantello and Eleonora Virgilio
Sclerosis 2023, 1(1), 60-66; https://doi.org/10.3390/sclerosis1010007 - 18 May 2023
Viewed by 3059
Abstract
Isolated paraneoplastic myelopathy (IPM) is a rare neurological manifestation of systemic cancer and represents an intermediate-risk phenotype of disease according to the diagnostic criteria for Paraneoplastic Neurologic Syndromes (PNS). Here, we present the case of a 47-year-old woman who developed subacute cervical myelopathy [...] Read more.
Isolated paraneoplastic myelopathy (IPM) is a rare neurological manifestation of systemic cancer and represents an intermediate-risk phenotype of disease according to the diagnostic criteria for Paraneoplastic Neurologic Syndromes (PNS). Here, we present the case of a 47-year-old woman who developed subacute cervical myelopathy and was then diagnosed with breast cancer. Through this lens, we provide a discussion of current literature on IPM. Over four months, our patient developed progressive tetraparesis, hypoesthesia with C3 level, and urinary retention. The first MRI was negative, but a four-month-control MRI showed a T2-hyperintense spinal lesion (C2–C7 and T2–T4). Cerebrospinal fluid (CSF) analysis was normal. Infective and autoimmune screening, including onconeural, anti-MOG, and aquaporin-4 antibodies, was unremarkable. The total-body CT scan was negative, but total-body PET-CT scan evidenced an enlarged axillary lymph node, with the detection of breast cancer cells at fine-needle aspiration. Despite negative mammography, a breast MRI confirmed a mammary nodule, which was removed, and a ductal infiltrating breast carcinoma diagnosis was made. Her neurological condition partially improved after steroid therapy. Our final diagnosis was probable IPM, according to PNS criteria. This rare condition affects most frequently middle-aged women and is often associated with breast and lung cancer, even if two-thirds of patients’ cancer diagnosis is subsequent to the onset of neurological deficits. Clinical presentation is often subtle, and CSF analysis, neuroimaging, and onconeural autoantibodies could be negative or non-specific. However, if the suspect of paraneoplastic disease is strong, cancer should be searched thoroughly since early diagnosis and treatment are associated with a better outcome. Full article
Show Figures

Figure 1

15 pages, 1185 KB  
Article
The Coexistence of Antibodies to Neuronal Cell and Synaptic Receptor Proteins, Gangliosides and Selected Neurotropic Pathogens in Neurologic Disorders in Children
by Karol Lubarski, Anna Mania, Sławomir Michalak, Krystyna Osztynowicz, Katarzyna Mazur-Melewska and Magdalena Figlerowicz
Diagnostics 2023, 13(7), 1274; https://doi.org/10.3390/diagnostics13071274 - 28 Mar 2023
Cited by 3 | Viewed by 2433
Abstract
Various primarily non-autoimmune neurological disorders occur synchronously with autoantibodies against tissues in the nervous system. We aimed to assess serum and cerebrospinal fluid (CSF) autoantibodies in children with neurologic disorders. To find new diagnostic tools, we compared the laboratory and clinical findings between [...] Read more.
Various primarily non-autoimmune neurological disorders occur synchronously with autoantibodies against tissues in the nervous system. We aimed to assess serum and cerebrospinal fluid (CSF) autoantibodies in children with neurologic disorders. To find new diagnostic tools, we compared the laboratory and clinical findings between the distinguished groups. Retrospectively, 508 patients were divided into six subgroups: neuroinfections, pediatric autoimmune neuropsychiatric disorders associated with streptococcal infections, neurologic autoimmune and demyelinating diseases, epilepsy, pervasive developmental disorders and other patients. We analysed serum anti-aquaporin-4, antiganglioside, neuronal antinuclear and cytoplasmic antibodies, as well as antibodies against surface neuronal and synaptic antigens in the CSF and serum. We involved available demographic and clinical data. Autoantibodies appeared in 165 (32.3%) children, with 24 showing multiple types of them. The most common were anti-neuroendothelium (anti-NET), anti-N-Methyl-D-Aspartate receptor (anti-NMDAr), anti-glial fibrillary acidic protein and anti-myelin antibodies bothering 46/463 (9.9%), 32/343 (9.4%), 27/463 (5.8%) and 27/463 (5.8%), respectively. Anti-NET and anti-NMDAr antibodies appeared more frequently in children with autoimmunity (p = 0.017; p < 0.001, respectively), increasing the autoimmune disease risk (OR = 2.18, 95% CI 1.13–13.97; OR = 3.91, 95% CI 1.86–8.22, respectively). Similar pathomechanisms appeared in diseases of different aetiology with clinical spectrums mimicking each other, so we proposed the model helping to diagnose autoimmune disease. We proved the influence of age, living place and medical history on the final diagnosis. Full article
(This article belongs to the Section Clinical Laboratory Medicine)
Show Figures

Figure 1

14 pages, 6585 KB  
Article
ACT001 Relieves NMOSD Symptoms by Reducing Astrocyte Damage with an Autoimmune Antibody
by Hongen Li, Mo Yang, Honglu Song, Mingming Sun, Huanfen Zhou, Junxia Fu, Di Zhou, Wenhao Bai, Biyue Chen, Mengying Lai, Hao Kang and Shihui Wei
Molecules 2023, 28(3), 1412; https://doi.org/10.3390/molecules28031412 - 2 Feb 2023
Cited by 2 | Viewed by 3334
Abstract
Neuromyelitis optica spectrum disorder (NMOSD) is a central nervous system inflammatory demyelinating disease, the pathogenesis of which involves autoantibodies targeting the extracellular epitopes of aquaporin-4 on astrocytes. We neutralized the AQP4-IgG from NMOSD patient sera using synthesized AQP4 extracellular epitope peptides and found [...] Read more.
Neuromyelitis optica spectrum disorder (NMOSD) is a central nervous system inflammatory demyelinating disease, the pathogenesis of which involves autoantibodies targeting the extracellular epitopes of aquaporin-4 on astrocytes. We neutralized the AQP4-IgG from NMOSD patient sera using synthesized AQP4 extracellular epitope peptides and found that the severe cytotoxicity produced by aquaporin-4 immunoglobin (AQP4-IgG) could be blocked by AQP4 extracellular mimotope peptides of Loop A and Loop C in astrocyte protection and animal models. ACT001, a natural compound derivative, has shown anti-tumor activity in various cancers. In our study, the central nervous system anti-inflammatory effect of ACT001 was investigated. The results demonstrated the superior astrocyte protection activity of ACT001 at 10 µM. Furthermore, ACT001 decreases the behavioral score in the mouse NMOSD model, which was not inferior to Methylprednisolone Sodium Succinate, the first-line therapy of NMOSD in clinical practice. In summary, our study showed that astrocytes are protected by specific peptides, or small molecular drugs, which is a new strategy for the treatment of NMOSD. It is possible for ACT001 to be a promising therapy for NMOSD. Full article
(This article belongs to the Special Issue Bioactive Compounds: From Extraction to Biological Evaluations)
Show Figures

Figure 1

7 pages, 834 KB  
Case Report
A Case Presenting with Neuromyelitis Optica Spectrum Disorder and Infectious Polyradiculitis Following BNT162b2 Vaccination and COVID-19
by Youngho Kim, Donghyun Heo, Moonjeong Choi and Jong-Mok Lee
Vaccines 2022, 10(7), 1028; https://doi.org/10.3390/vaccines10071028 - 27 Jun 2022
Cited by 6 | Viewed by 3299
Abstract
A 37-year-old woman presented with paraparesis and paresthesia in both legs 19 and 3 days after BNT162b2 vaccination and severe acute respiratory syndrome coronavirus 2 (SARS-CoV-2) infection, respectively. Cerebrospinal fluid (CSF) analysis, nerve conduction study, electromyography, magnetic resonance imaging, and autoantibody tests were [...] Read more.
A 37-year-old woman presented with paraparesis and paresthesia in both legs 19 and 3 days after BNT162b2 vaccination and severe acute respiratory syndrome coronavirus 2 (SARS-CoV-2) infection, respectively. Cerebrospinal fluid (CSF) analysis, nerve conduction study, electromyography, magnetic resonance imaging, and autoantibody tests were performed. Neurological examination showed hyperesthesia below the T7 level and markedly impaired bilateral leg weakness with absent deep tendon reflexes on the knees and ankles. CSF examination revealed polymorphonuclear dominant pleocytosis and elevated total protein levels. Enhancement of the pia mater in the lumbar spinal cord and positive sharp waves in the lumbar paraspinal muscles indicated infectious polyradiculitis. In contrast, a high signal intensity of intramedullary spinal cord on a T2-weighted image from C1 to conus medullaris and positive anti-aquaporin-4 antibody confirmed neuromyelitis optica spectrum disorder (NMOSD). The patient received intravenous methylprednisolone, antiviral agents, and antibiotics, followed by a tapering dose of oral prednisolone and azathioprine. Two months after treatment, she was ambulatory without assistance. The dual pathomechanism of NMOSD triggered by coronavirus disease 2019 (COVID-19) vaccination and polyradiculitis caused by SARS-CoV-2 infection may have caused atypical clinical findings in our patient. Therefore, physicians should remain alert and avoid overlooking the possibilities of diverse mechanisms associated with neurological manifestations after SARS-CoV-2 infection and COVID-19 vaccination. Full article
Show Figures

Figure 1

20 pages, 773 KB  
Article
The Clinical Spectrum of Autoimmune-Mediated Neurological Diseases in Paediatric Population
by Karol Lubarski, Anna Mania, Sławomir Michalak, Krystyna Osztynowicz, Katarzyna Mazur-Melewska and Magdalena Figlerowicz
Brain Sci. 2022, 12(5), 584; https://doi.org/10.3390/brainsci12050584 - 29 Apr 2022
Cited by 8 | Viewed by 4120
Abstract
Neurological autoimmune diseases have various origins and pathogeneses. Specific antibodies are associated with paraneoplastic syndromes, other infectious agents, or inherited disorders. We aim to evaluate the relation between the autoantibodies, the chosen symptoms, demographic characteristics, and infection history. We retrospectively analysed 508 children [...] Read more.
Neurological autoimmune diseases have various origins and pathogeneses. Specific antibodies are associated with paraneoplastic syndromes, other infectious agents, or inherited disorders. We aim to evaluate the relation between the autoantibodies, the chosen symptoms, demographic characteristics, and infection history. We retrospectively analysed 508 children during neurological diagnostics. We investigated serum antineuronal, IgG, IgM anti-ganglioside, and anti-aquaporin-4 in both the serum and cerebrospinal fluid (CSF) anti-cell surface and anti-synaptic protein antibodies in 463, 99, 44, 343, and 119 patients, respectively. The CSF polymerase chain reaction detection of Herpesviridae, enterovirus, B19 parvovirus, adenovirus, and parechovirus involved 261 patients. We included available clinical information and electroencephalographic, radiologic, and microbiological results. The IgM anti-ganglioside antibodies increased the risk of tics and positive symptoms (p = 0.0345, p = 0.0263, respectively), the anti-glutamic acid decarboxylase particle of paresis (p = 0.0074), and anti-neuroendothelium of mutism (p = 0.0361). Anti-neuroendothelium, IgM anti-ganglioside, and CSF anti-N-methyl-D-aspartate antibodies were more often associated with consciousness loss (p = 0.0496, p = 0.0044, p = 0.0463, respectively). Anti-myelin antibodies co-occured with Herpes simplex virus (HSV)-2 IgG (p = 0.0415), anti-CV2 with HSV-1 IgM (p = 0.0394), whereas anti-glial fibrillary acidic protein was linked with past Epstein-Barr virus infection. The anti-ganglioside IgM and anti-myelin particles were bilaterally correlated (p = 0.0472). The clinical pictures may overlap, requiring specialistic diagnostics. We noticed the links between the infection aetiology and the specific autoantibody’s positivity. Full article
(This article belongs to the Section Molecular and Cellular Neuroscience)
Show Figures

Figure 1

14 pages, 23561 KB  
Review
Macrophages and Autoantibodies in Demyelinating Diseases
by Haruki Koike and Masahisa Katsuno
Cells 2021, 10(4), 844; https://doi.org/10.3390/cells10040844 - 8 Apr 2021
Cited by 38 | Viewed by 7239
Abstract
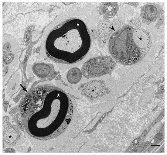
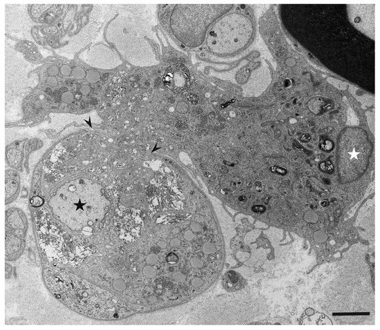
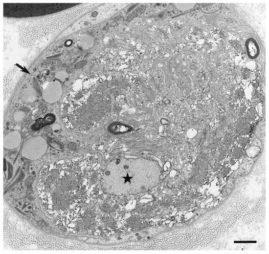
Myelin phagocytosis by macrophages has been an essential feature of demyelinating diseases in the central and peripheral nervous systems, including Guillain–Barré syndrome (GBS), chronic inflammatory demyelinating polyneuropathy (CIDP), and multiple sclerosis (MS). The discovery of autoantibodies, including anti-ganglioside GM1 antibodies in the axonal [...] Read more.
Myelin phagocytosis by macrophages has been an essential feature of demyelinating diseases in the central and peripheral nervous systems, including Guillain–Barré syndrome (GBS), chronic inflammatory demyelinating polyneuropathy (CIDP), and multiple sclerosis (MS). The discovery of autoantibodies, including anti-ganglioside GM1 antibodies in the axonal form of GBS, anti-neurofascin 155 and anti-contactin 1 antibodies in typical and distal forms of CIDP, and anti-aquaporin 4 antibodies in neuromyelitis optica, contributed to the understanding of the disease process in a subpopulation of patients conventionally diagnosed with demyelinating diseases. However, patients with these antibodies are now considered to have independent disease entities, including acute motor axonal neuropathy, nodopathy or paranodopathy, and neuromyelitis optica spectrum disorder, because primary lesions in these diseases are distinct from those in conventional demyelinating diseases. Therefore, the mechanisms underlying demyelination caused by macrophages remain unclear. Electron microscopy studies revealed that macrophages destroy myelin as if they are the principal players in the demyelination process. Recent studies suggest that macrophages seem to select specific sites of myelinated fibers, including the nodes of Ranvier, paranodes, and internodes, for the initiation of demyelination in individual cases, indicating that specific components localized to these sites play an important role in the behavior of macrophages that initiate myelin phagocytosis. Along with the search for autoantibodies, the ultrastructural characterization of myelin phagocytosis by macrophages is a crucial step in understanding the pathophysiology of demyelinating diseases and for the future development of targeted therapies. Full article
(This article belongs to the Section Cellular Pathology)
Show Figures

Figure 1

13 pages, 1777 KB  
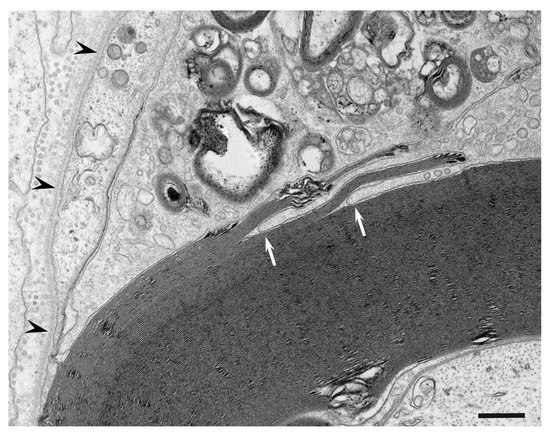
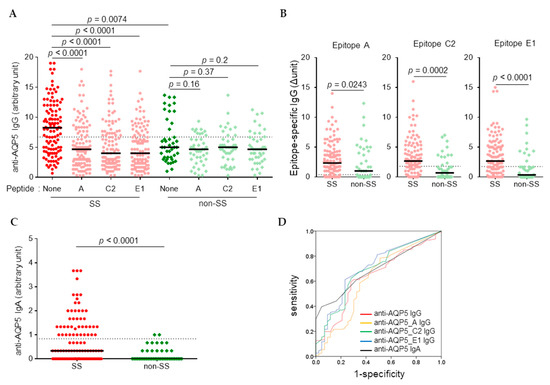
Article
Associations of Anti-Aquaporin 5 Autoantibodies with Serologic and Histopathological Features of Sjögren’s Syndrome
by Sumin Jeon, Jennifer Lee, Sung-Hwan Park, Hyun-Duck Kim and Youngnim Choi
J. Clin. Med. 2019, 8(11), 1863; https://doi.org/10.3390/jcm8111863 - 3 Nov 2019
Cited by 27 | Viewed by 3028
Abstract
Biomarkers to stratify the complex and heterogeneous phenotypes of Sjogren’s syndrome (SS) are needed. We aimed to validate the prevalence of anti-aquaporin 5 (AQP5) IgG in a non-Korean cohort and to optimize the method to screen the anti-AQP5 IgG. The study cohort included [...] Read more.
Biomarkers to stratify the complex and heterogeneous phenotypes of Sjogren’s syndrome (SS) are needed. We aimed to validate the prevalence of anti-aquaporin 5 (AQP5) IgG in a non-Korean cohort and to optimize the method to screen the anti-AQP5 IgG. The study cohort included 111 primary SS and 43 non-SS Sjögren’s International Collaborative Clinical Alliance (SICCA) controls that were obtained from the Sjögren’s International Collaborative Clinical Alliance registry, in addition to 35 systemic lupus erythematosus (SLE) and 35 rheumatoid arthritis (RA) phenotypes. Anti-AQP5 IgG was screened by cell-based immunofluorescence cytochemistry (CB-IFC) assay in the absence or presence of epitope peptides, as well as by ELISA using the epitope peptides as coated antigens. Anti-AQP5 IgG specific to an E1 epitope was best at discriminating between SS and non-SS, and the two different methods (CB-IFC and ELISA) presented comparable performance in diagnostic accuracy (0.690 vs. 0.707). Notably, the SLE and RA groups had substantially lower levels of anti-AQP5 IgG than the SS group. In addition, the presence of anti-AQP5_E1 IgG was associated with serologic and histopathological features of SS. In conclusion, a similar prevalence of anti-AQP5 IgG was confirmed in a non-Korean cohort. Screening anti-AQP5 autoantibodies may help to form subgroups of SS for targeted therapy. Full article
(This article belongs to the Section Immunology & Rheumatology)
Show Figures

Figure 1

15 pages, 981 KB  
Review
Involvement of Aquaporins in the Pathogenesis, Diagnosis and Treatment of Sjögren’s Syndrome
by Muhammad Shahnawaz Soyfoo, Clara Chivasso, Jason Perret and Christine Delporte
Int. J. Mol. Sci. 2018, 19(11), 3392; https://doi.org/10.3390/ijms19113392 - 30 Oct 2018
Cited by 46 | Viewed by 7060
Abstract
Sjögren’s syndrome (SS) is a chronic autoimmune disease characterized by lymphocytic infiltration of salivary and lacrimal glands resulting in diminished production of saliva and tears. The pathophysiology of SS has not yet been fully deciphered. Classically it has been postulated that sicca symptoms [...] Read more.
Sjögren’s syndrome (SS) is a chronic autoimmune disease characterized by lymphocytic infiltration of salivary and lacrimal glands resulting in diminished production of saliva and tears. The pathophysiology of SS has not yet been fully deciphered. Classically it has been postulated that sicca symptoms in SS patients are a double step process whereby lymphocytic infiltration of lacrimal and salivary glands (SG) is followed by epithelial cell destruction resulting in keratoconjunctivitis sicca and xerostomia. Recent advances in the field of the pathophysiology of SS have brought in new players, such as aquaporins (AQPs) and anti AQPs autoantibodies that could explain underlying mechanistic processes and unveil new pathophysiological pathways offering a deeper understanding of the disease. In this review, we delineate the link between the AQP and SS, focusing on salivary glands, and discuss the role of AQPs in the treatment of SS-induced xerostomia. Full article
(This article belongs to the Special Issue Mechanisms of Disease in Sjögren Syndrome)
Show Figures

Graphical abstract

24 pages, 1843 KB  
Review
Molecular Pathogenesis of Neuromyelitis Optica
by Wajih Bukhari, Michael H Barnett, Kerri Prain and Simon A Broadley
Int. J. Mol. Sci. 2012, 13(10), 12970-12993; https://doi.org/10.3390/ijms131012970 - 11 Oct 2012
Cited by 55 | Viewed by 12982
Abstract
Neuromyelitis optica (NMO) is a rare autoimmune disorder, distinct from multiple sclerosis, causing inflammatory lesions in the optic nerves and spinal cord. An autoantibody (NMO IgG) against aquaporin-4 (AQP4), a water channel expressed on astrocytes is thought to be causative. Peripheral production of [...] Read more.
Neuromyelitis optica (NMO) is a rare autoimmune disorder, distinct from multiple sclerosis, causing inflammatory lesions in the optic nerves and spinal cord. An autoantibody (NMO IgG) against aquaporin-4 (AQP4), a water channel expressed on astrocytes is thought to be causative. Peripheral production of the antibody is triggered by an unknown process in genetically susceptible individuals. Anti-AQP4 antibody enters the central nervous system (CNS) when the blood brain barrier is made permeable and has high affinity for orthogonal array particles of AQP4. Like other autoimmune diseases, Th17 cells and their effector cytokines (such as interleukin 6) have been implicated in pathogenesis. AQP4 expressing peripheral organs are not affected by NMO IgG, but the antibody causes extensive astrocytic loss in specific regions of the CNS through complement mediated cytotoxicity. Demyelination occurs during the inflammatory process and is probably secondary to oligodendrocyte apoptosis subsequent to loss of trophic support from astrocytes. Ultimately, extensive axonal injury leads to severe disability. Despite rapid advances in the understanding of NMO pathogenesis, unanswered questions remain, particularly with regards to disease mechanisms in NMO IgG seronegative cases. Increasing knowledge of the molecular pathology is leading to improved treatment strategies. Full article
(This article belongs to the Special Issue Recent Advances in the Research of Multiple Sclerosis)
Show Figures

Back to TopTop