Sign in to use this feature.

Years

Between: -

Subjects

remove_circle_outline
remove_circle_outline
remove_circle_outline
remove_circle_outline
remove_circle_outline
remove_circle_outline
remove_circle_outline
remove_circle_outline

Journals

Article Types

Countries / Regions

Search Results (98)

Search Parameters:
Keywords = anatomy of the eye

Order results
Result details
Results per page
Select all
Export citation of selected articles as:
21 pages, 934 KB  
Case Report
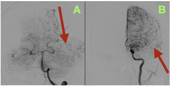
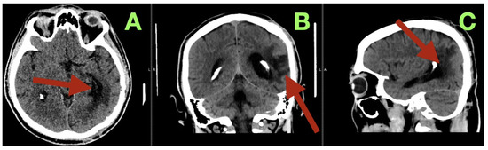
Functional and Hemodynamic Restoration After Microsurgical Resection of Compact High-Flow Temporo-Parieto-Occipital Arteriovenous Malformation
by Adrian Tulin, Cosmin Pantu, Alexandru Breazu, Octavian Munteanu, Mugurel Petrinel Rădoi, Catalina-Ioana Tataru, Nicolaie Dobrin, Alexandru Vlad Ciurea and Adrian Vasile Dumitru
Diagnostics 2025, 15(24), 3249; https://doi.org/10.3390/diagnostics15243249 - 18 Dec 2025
Viewed by 196
Abstract
Background/Objectives: Arteriovenous malformations (AVMs) in the dominant temporo-parieto-occipital (TPO) junction of the brain are extremely rare and very difficult to remove surgically because this area includes multiple sensory and language networks. Due to the fact that many patients present with bleeding, surgeons [...] Read more.
Background/Objectives: Arteriovenous malformations (AVMs) in the dominant temporo-parieto-occipital (TPO) junction of the brain are extremely rare and very difficult to remove surgically because this area includes multiple sensory and language networks. Due to the fact that many patients present with bleeding, surgeons have to find a delicate balance between removing all of the AVM tissue and preserving the functional areas of the brain where important functions occur. This study is reporting a case demonstrating how precise clinical–radiologic correlation, detailed anatomical knowledge, and deliberate microsurgical techniques can allow safe removal of the AVM and improve the patient’s neurologic function without the need for additional intraoperative technology. Case Presentation: A 47-year-old right-handed male patient experienced persistent neurological deficits after experiencing a hemorrhage from an AVM in his dominant posterior hemisphere, which included mild language difficulties, right hemifacial–brachial spasticity, parietal sensory loss and a visual field defect of his right eye known as an inferior quadrantanopia localized to the TPO junction. Cerebral angiography identified a small, compact, high-flow AVM (40 × 30 mm) fed by distal branches of the middle cerebral artery (M4), posterior cerebral artery (P4), anterior cerebral artery (A4), as well as a small branch of the superior cerebellar artery (SCA). Blood drained into two veins of the Trolard and Labbé. The authors removed the AVM completely by circumferential dissection of the nidus along gliotic planes using a microscope. Feeders were then sequentially disconnected, and the venous outflow was preserved until the AVM could be removed en bloc. Post-operative angiograms demonstrated complete removal of the AVM with normalization of blood flow to the surrounding cortex. The patient’s neurologic function improved over time and at three months post-operatively, he was functioning independently (modified Rankin Scale = 1; Barthel Index = 100) and there was no evidence of residual nidus or edema on imaging. Conclusions: High-flow AVMs in the dominant TPO junction can be completely removed using a disciplined microsurgical approach and a feeder first/vein last disconnection method based on anatomy. The patient’s improvement in function represented reperfusion and reintegration of an injured but still functional network of the brain, reinforcing the idea that careful observation, a deep understanding of brain anatomy, and restrained surgical technique are critical to achieving long-term results in AVM surgery. Full article
(This article belongs to the Special Issue Cerebrovascular Lesions: Diagnosis and Management, 2nd Edition)
Show Figures

Figure 1

20 pages, 2289 KB  
Case Report
Anatomically Precise Microsurgical Resection of a Posterior Fossa Cerebellar Metastasis in an Elderly Patient with Preservation of Venous Outflow, Dentate Nucleus, and Cerebrospinal Fluid Pathways
by Nicolaie Dobrin, Felix-Mircea Brehar, Daniel Costea, Adrian Vasile Dumitru, Alexandru Vlad Ciurea, Octavian Munteanu and Luciana Valentina Munteanu
Diagnostics 2025, 15(24), 3131; https://doi.org/10.3390/diagnostics15243131 - 9 Dec 2025
Viewed by 327
Abstract
Background and Clinical Significance: Adults suffering from cerebellar metastases are often at high risk for rapid deterioration of their neurological status because the posterior fossa has limited compliance and the location of these metastases are close to the brain stem and important [...] Read more.
Background and Clinical Significance: Adults suffering from cerebellar metastases are often at high risk for rapid deterioration of their neurological status because the posterior fossa has limited compliance and the location of these metastases are close to the brain stem and important cerebrospinal fluid (CSF) pathways. In this paper, we present a longitudinal, patient-centered report on the history of an elderly individual who suffered from cognitive comorbidities and experienced a sudden loss of function in her cerebellum. Our goal in reporting this case is to provide a comparison between the patient’s pre-operative and post-operative neurological examinations; the imaging studies she had before and after surgery; the surgical techniques utilized during her operation; and the outcome of her post-operative course in a way that will be helpful to other patients who have experienced a similar situation. Case Presentation: We report the case of an 80-year-old woman who initially presented with progressive ipsilateral limb-trunk ataxia, impaired smooth pursuit eye movement, and rebound nystagmus, but preserved pyramidal and sensory functions. Her quantitative bedside assessments included some of the components of the Scale for the Assessment and Rating of Ataxia (SARA), and a National Institute of Health Stroke Scale (NIHSS) score of 3. These findings indicated dysfunction of the left neocerebellar hemisphere and possible dentate nucleus involvement. The patient’s magnetic resonance imaging (MRI) results demonstrated an expansive mass with surrounding vasogenic edema and marked compression and narrowing of the exits of the fourth ventricle which placed the patient’s CSF pathways at significant risk of occlusion, while the aqueduct and inlets were patent. She then underwent a left lateral suboccipital craniectomy with controlled arachnoidal CSF release, preservation of venous drainage routes, subpial corticotomy oriented along the lines of the folia, stepwise internal debulking, and careful protection of the cerebellar peduncles and dentate nucleus. Dural reconstruction utilized a watertight pericranial graft to restore the cisternal compartments. Her post-operative intensive care unit (ICU) management emphasized optimal venous outflow, normoventilation, and early mobilization. Histopathology confirmed the presence of metastatic carcinoma, and staging suggested that the most likely source of the primary tumor was the lungs. Immediately post-operation, computed tomography (CT) imaging revealed a smooth resection cavity with open foramina of Magendie and Luschka, intact contours of the brain stem, and no evidence of bleeding or hydrocephalus. The patient’s neurological deficits, including dysmetria, scanning dysarthria, and ataxic gait, improved gradually during the first 48 h post-operatively. Upon discharge, the patient demonstrated an improvement in her limb-kinetic subscore on the International Cooperative Ataxia Rating Scale (ICARS) and demonstrated independent ambulation. At two weeks post-operation, CT imaging revealed decreasing edema and stable cavity size, and the patient’s modified Rankin scale had improved from 3 upon admission to 1. There were no episodes of CSF leakage, wound complications, or new cranial nerve deficits. A transient post-operative psychotic episode that was likely secondary to her underlying Alzheimer’s disease was managed successfully with short-course pharmacotherapy. Conclusions: The current case study demonstrates the value of anatomy-based microsurgical planning, preservation of venous and CSF pathways, and targeted peri-operative management to facilitate rapid recovery of function in older adults who suffer from cerebellar metastasis and cognitive comorbidities. The case also demonstrates the importance of early multidisciplinary collaboration to allow for timely initiation of both adjuvant stereotactic radiosurgery and molecularly informed systemic therapy. Full article
(This article belongs to the Special Issue Brain/Neuroimaging 2025–2026)
Show Figures

Figure 1

22 pages, 3153 KB  
Review
A Review of Robot-Assisted Needle-Insertion Approaches in Corneal Surgeries
by Eliana-Ruobing Zhang, Andres C. Ramos, Giacomo Beschi, Guillermo Rocha and Amir Hooshiar
Actuators 2025, 14(12), 587; https://doi.org/10.3390/act14120587 - 2 Dec 2025
Viewed by 438
Abstract
Ophthalmic surgery requires micrometer-level precision due to the eye’s delicate anatomy, yet manual limitations and restricted 3D visualization make absolute accuracy challenging, driving interest in robotic and Artificial Intelligence technologies to enhance safety and precision. This is a narrative review of experimental and [...] Read more.
Ophthalmic surgery requires micrometer-level precision due to the eye’s delicate anatomy, yet manual limitations and restricted 3D visualization make absolute accuracy challenging, driving interest in robotic and Artificial Intelligence technologies to enhance safety and precision. This is a narrative review of experimental and published studies on PubMed and Open Evidence to review the current advances, challenges, and translational potential of robotic-assisted needle insertion in corneal surgery. Topics include robotic corneal surgery platforms such as the da Vinci and custom microsurgical robots, telemanipulation, intraoperative optical coherence tomography (iOCT), and reinforcement learning applications. Recent advancements in the field have demonstrated enhanced needle insertion precision, tremor elimination, and improved visualization of needle trajectory in corneal procedures, including corneal lacerations, pterygium repairs and penetrating keratoplasties (PKs). Nonetheless, significant limitations in the state of the art persist, particularly concerning the integration of robotic systems into clinical practice in in vivo settings. Our results indicate that current studies are mostly conducted in an ex vivo setting, which introduces inherent biases and reduces the generalizability of findings to clinical practice. Additionally, the majority of these studies involve small sample sizes, limiting statistical power and the ability to draw robust conclusions. Together, these limitations highlight the need for larger, well-designed in vivo studies to validate and expand upon existing findings. This review bridges experimental innovation and clinical application, highlighting strategies to overcome current barriers in robotic corneal surgery. Full article
Show Figures

Figure 1

12 pages, 1618 KB  
Article
Functional and Anatomical Micro-Structural Recovery of Idiopathic Macular Holes Following the Inverted Internal Limiting Membrane Flap Technique: A Long-Term Study
by Kai-Ling Peng, Ya-Hsin Kung and Tsung-Tien Wu
Diagnostics 2025, 15(23), 2961; https://doi.org/10.3390/diagnostics15232961 - 22 Nov 2025
Viewed by 391
Abstract
Background: Idiopathic macular holes (MHs) are typically treated with pars plana vitrectomy and internal limiting membrane (ILM) peeling. The inverted ILM flap (ILMF) technique has emerged for MHs, but long-term outcome data remain inadequately established. This study evaluates the long-term functional and [...] Read more.
Background: Idiopathic macular holes (MHs) are typically treated with pars plana vitrectomy and internal limiting membrane (ILM) peeling. The inverted ILM flap (ILMF) technique has emerged for MHs, but long-term outcome data remain inadequately established. This study evaluates the long-term functional and anatomical outcomes of the ILMF in idiopathic MHs. Methods: We evaluated 71 consecutive eyes of patients with idiopathic MHs who underwent vitrectomy with the inverted ILMF. Follow-up duration was more than 12 months. Visual acuity was measured, and macular anatomy was monitored with optic coherence tomography (OCT). Long-term visual and anatomical outcomes were defined a priori and analyzed accordingly. Results: Final vision values showed significant improvement compared to preoperative ones, from 1.02 [Snellen Equivalent (SE), 19/200] ± 0.40 logarithm of the minimum angle of resolution (logMAR) to 0.47 (SE, 68/200) ± 0.39 logMAR (p < 0.001). The primary MH closure rates were 94.37% (67/71), while the secondary closure rate reached 97.18% (69/71). Factors associated with better final vision included smaller hole size, favorable hole stage, better preoperative vision, intact postoperative foveal microstructure and contour. The recovery of the external limiting membrane (ELM), inner and outer segment junction (IS/OS), and good foveal contour had improved to 73.4%, 40.3%, and 49.3% at one year and 80%, 71.4%, and 53.3% at three years postoperatively, respectively. Conclusions: In idiopathic MHs, the ILMF approach provides meaningful, long-term visual and microstructural recovery, especially with a favorable functional outcome and intact postoperative microstructure sustaining up to three years. Full article
(This article belongs to the Special Issue Diagnosis, Treatment and Management of Eye Diseases, Third Edition)
Show Figures

Figure 1

13 pages, 4748 KB  
Article
Computed Tomographic Assessment of Normal Ocular Dimensions and Densities in Cadaveric Horses (Equus ferus caballus)
by Maria Luisa Díaz-Bertrana, Lidia Pitti, Ana Sofia Ramírez, Mario Encinoso, Marcos Fumero-Hernández, Inmaculada Morales, Alberto Arencibia and José Raduan Jaber
Animals 2025, 15(21), 3165; https://doi.org/10.3390/ani15213165 - 31 Oct 2025
Viewed by 365
Abstract
This study aimed to characterize the computed tomographic (CT) dimensions and contrast attenuation properties of the equine eye. CT scans from 21 horses without ocular abnormalities were analyzed to obtain detailed ocular measurements and attenuation values. In addition, cranial measurements, such as nasal–occipital [...] Read more.
This study aimed to characterize the computed tomographic (CT) dimensions and contrast attenuation properties of the equine eye. CT scans from 21 horses without ocular abnormalities were analyzed to obtain detailed ocular measurements and attenuation values. In addition, cranial measurements, such as nasal–occipital length and zygomatic width, were incorporated to explore potential anatomical relationships between the skull and intraocular structures. Although most correlations between cranial and ocular parameters were weak, statistically significant associations—particularly those involving lens dimensions and anterior chamber measurements—suggest that skull morphology may exert a subtle influence on ocular anatomy. Full article
(This article belongs to the Section Equids)
Show Figures

Figure 1

14 pages, 2296 KB  
Article
Deep-Learning Model for Iris and Eyebrow Segmentation and Automation of Eye Landmark Measurements in Acquired Ptosis
by Dain Yoo and Hyun Jin Shin
Biomedicines 2025, 13(10), 2557; https://doi.org/10.3390/biomedicines13102557 - 20 Oct 2025
Cited by 1 | Viewed by 1754
Abstract
Background: Acquired ptosis is a common eyelid disorder in elderly patients, causing visual disturbance and cosmetic concerns. Accurate evaluation of periocular anatomy, including eyebrow and iris position, is essential for surgical planning, but current manual assessments are time-consuming and subjective. Objectives: [...] Read more.
Background: Acquired ptosis is a common eyelid disorder in elderly patients, causing visual disturbance and cosmetic concerns. Accurate evaluation of periocular anatomy, including eyebrow and iris position, is essential for surgical planning, but current manual assessments are time-consuming and subjective. Objectives: This study aimed to develop deep-learning models for iris and eyebrow segmentation to automate eye landmark measurements and enable objective, standardized analysis in patients with acquired ptosis. Methods: We retrospectively collected 612 facial images from 209 ptosis patients. Images were labeled for iris and eyebrow segmentation and split into training, validation, and test sets (8:1:1). A deep-learning model was developed to automatically segment the iris and eyebrow regions and automatically measure seven landmarks: MRD1, MRD2, medial eyebrow end, medial limbus, pupil center, lateral limbus, and lateral eyebrow end. Results: The iris segmentation model achieved accuracy of 99.7%, precision of 97.6%, recall of 98.3%, an F1 score of 97.9%, and intersection over union of 95.9%. The corresponding metrics for the eyebrow segmentation model were 98.6%, 92.6%, 91.5%, 91.5%, and 85.0%. The mean absolute percentage error and root mean square error for the automated landmark measurements were 4.00% and 2.48 mm, respectively. Conclusions: The high performance of the segmentation models and the automated measurements supports their potential use for objective and standardized analyses of acquired ptosis. These findings may aid the future development of predictive tools for use in surgical planning. Full article
(This article belongs to the Section Molecular and Translational Medicine)
Show Figures

Graphical abstract

12 pages, 1107 KB  
Case Report
Should Chronic Subretinal Hemorrhage Be Treated Surgically?
by Wojciech Luboń, Małgorzata Luboń and Wojciech Rokicki
J. Clin. Med. 2025, 14(20), 7411; https://doi.org/10.3390/jcm14207411 - 20 Oct 2025
Viewed by 535
Abstract
Closed-globe blunt ocular trauma may lead to severe ophthalmic complications, including intraocular hemorrhages, traumatic cataract, and retinopathy, the management of which remains a significant clinical challenge. We report the case of a 55-year-old male who, 15 years after right-eye trauma and unsuccessful conservative [...] Read more.
Closed-globe blunt ocular trauma may lead to severe ophthalmic complications, including intraocular hemorrhages, traumatic cataract, and retinopathy, the management of which remains a significant clinical challenge. We report the case of a 55-year-old male who, 15 years after right-eye trauma and unsuccessful conservative therapy, underwent surgical treatment using multistage vitreoretinal procedures. Despite an initially poor functional prognosis, a marked improvement in visual acuity was achieved, from 2.0 logMAR at baseline to 0.52 logMAR after completion of treatment. Imaging (OCT, B-scan ultrasonography) confirmed complete retinal attachment and the absence of active intra- or subretinal bleeding. This case demonstrates that, even after a long interval following trauma, vitreoretinal surgical interventions may lead to partial restoration of visual function and stabilization of ocular anatomy, underscoring the importance of individualized assessment of surgical indications in chronic post-traumatic retinal disorders. Full article
Show Figures

Figure 1

21 pages, 7112 KB  
Article
A Two-Plane Proton Radiography System Using ATLAS IBL Pixel-Detector Modules
by Hendrik Speiser, Claus Maximillian Bäcker, Johannes Esser, Alina Hild, Marco Iampieri, Ann-Kristin Lüvelsmeyer, Annsofie Tappe, Helen Thews, Kevin Kröninger and Jens Weingarten
Instruments 2025, 9(4), 23; https://doi.org/10.3390/instruments9040023 - 14 Oct 2025
Viewed by 656
Abstract
Accurate knowledge of a patient’s anatomy during every treatment fraction in proton therapy is an important prerequisite to ensure a correct dose deposition in the target volume. Adaptive proton therapy aims to detect those changes and adjust the treatment plan accordingly. One way [...] Read more.
Accurate knowledge of a patient’s anatomy during every treatment fraction in proton therapy is an important prerequisite to ensure a correct dose deposition in the target volume. Adaptive proton therapy aims to detect those changes and adjust the treatment plan accordingly. One way to trigger a daily re-planning of the treatment is to take a proton radiograph from the beam’s-eye view before the treatment to check for possible changes in the water equivalent thickness (WET) along the path due to daily changes in the patient’s anatomy. In this paper, the Two-Plane Imaging System (TPIS) is presented, comprising two ATLAS IBL silicon pixel-detector modules developed for the tracking detector of the ATLAS experiment at CERN. The prototype of the TPIS is described in detail, and proof-of-principle WET images are presented, of two-step phantoms and more complex phantoms with bone-like inlays (WET 10 to 40 mm). This study shows the capability of the TPIS to measure WET images with high precision. In addition, the potential of the TPIS to accurately determine WET changes over time down to 1 mm between subsequently taken WET images of a changing phantom is shown. This demonstrates the possible application of the TPIS and ATLAS IBL pixel-detector module in adaptive proton therapy. Full article
(This article belongs to the Special Issue Medical Applications of Particle Physics, 2nd Edition)
Show Figures

Figure 1

15 pages, 2912 KB  
Article
Extended Real-World Efficacy of Faricimab in Therapy-Resistant Macular Edema Due to Retinal Vein Occlusion: 9-Month Follow-Up Results
by Michael Hafner, Tina R. Herold, Alexander Kufner, Franziska Eckardt, Ben Asani, Siegfried G. Priglinger and Johannes Schiefelbein
J. Clin. Med. 2025, 14(20), 7197; https://doi.org/10.3390/jcm14207197 - 13 Oct 2025
Viewed by 1299
Abstract
Background: Macular edema (ME) secondary to retinal vein occlusion (RVO) is a significant cause of vision impairment. Many patients show suboptimal responses to anti-vascular endothelial growth factor (anti-VEGF) monotherapy, prompting the exploration of alternative treatments. Faricimab is a bispecific antibody that targets VEGF-A [...] Read more.
Background: Macular edema (ME) secondary to retinal vein occlusion (RVO) is a significant cause of vision impairment. Many patients show suboptimal responses to anti-vascular endothelial growth factor (anti-VEGF) monotherapy, prompting the exploration of alternative treatments. Faricimab is a bispecific antibody that targets VEGF-A and angiopoietin-2. We report 9-month real-world outcomes of switching to faricimab in therapy-resistant RVO-associated ME. Methods: In this retrospective study at a single tertiary center, patients with persistent or recurrent ME despite prior treatments (ranibizumab, aflibercept, or dexamethasone implant) were switched to faricimab. All eyes received a loading phase of four monthly faricimab injections, followed by a treat-and-extend regimen individualized per response. Key outcomes included best-corrected visual acuity (BCVA, logMAR), the central subfield thickness (CST, μm), and the intraretinal fluid (IRF) status on optical coherence tomography, assessed from the baseline (month 0, mo0) through the loading phase (mo1–mo3) and at month 9 (mo9). Results: Nineteen eyes (19 patients, mean age 64.8 years) were analyzed. The median BCVA improved from 0.20 to 0.00 logMAR by month 3 (p < 0.01) and was maintained at month 9. The median CST decreased from 325 μm at the baseline to 285 μm at month 3 (p < 0.01) and remained at 285 μm at month 9. IRF was present in 100% of eyes at the baseline, 26% at month 3, and 26% at month 9 (p < 0.01 for the baseline vs. month 9). Among eyes previously on anti-VEGF therapy (n = 14), the median treatment interval increased from 45.50 days at the baseline to 56.50 days at month 9 (p = 0.01; δ = 0.86). No intraocular inflammation or other adverse events were observed in this cohort over nine months. Conclusions: In this retrospective series, switching to faricimab was associated with improvements in vision and retinal anatomy that were maintained over 9 months; injection intervals were extended in a subset of eyes. These exploratory findings warrant confirmation in larger, controlled studies to define long-term effectiveness, safety, and dosing strategies. Full article
(This article belongs to the Special Issue Causes and Advanced Treatments of Macular Edema)
Show Figures

Figure 1

23 pages, 6848 KB  
Review
The Expanding Frontier: The Role of Artificial Intelligence in Pediatric Neuroradiology
by Alessia Guarnera, Antonio Napolitano, Flavia Liporace, Fabio Marconi, Maria Camilla Rossi-Espagnet, Carlo Gandolfo, Andrea Romano, Alessandro Bozzao and Daniela Longo
Children 2025, 12(9), 1127; https://doi.org/10.3390/children12091127 - 27 Aug 2025
Viewed by 1645
Abstract
Artificial intelligence (AI) is revolutionarily shaping the entire landscape of medicine and particularly the privileged field of radiology, since it produces a significant amount of data, namely, images. Currently, AI implementation in radiology is continuously increasing, from automating image analysis to enhancing workflow [...] Read more.
Artificial intelligence (AI) is revolutionarily shaping the entire landscape of medicine and particularly the privileged field of radiology, since it produces a significant amount of data, namely, images. Currently, AI implementation in radiology is continuously increasing, from automating image analysis to enhancing workflow management, and specifically, pediatric neuroradiology is emerging as an expanding frontier. Pediatric neuroradiology presents unique opportunities and challenges since neonates’ and small children’s brains are continuously developing, with age-specific changes in terms of anatomy, physiology, and disease presentation. By enhancing diagnostic accuracy, reducing reporting times, and enabling earlier intervention, AI has the potential to significantly impact clinical practice and patients’ quality of life and outcomes. For instance, AI reduces MRI and CT scanner time by employing advanced deep learning (DL) algorithms to accelerate image acquisition through compressed sensing and undersampling, and to enhance image reconstruction by denoising and super-resolving low-quality datasets, thereby producing diagnostic-quality images with significantly fewer data points and in a shorter timeframe. Furthermore, as healthcare systems become increasingly burdened by rising demands and limited radiology workforce capacity, AI offers a practical solution to support clinical decision-making, particularly in institutions where pediatric neuroradiology is limited. For example, the MELD (Multicenter Epilepsy Lesion Detection) algorithm is specifically designed to help radiologists find focal cortical dysplasias (FCDs), which are a common cause of drug-resistant epilepsy. It works by analyzing a patient’s MRI scan and comparing a wide range of features—such as cortical thickness and folding patterns—to a large database of scans from both healthy individuals and epilepsy patients. By identifying subtle deviations from normal brain anatomy, the MELD graph algorithm can highlight potential lesions that are often missed by the human eye, which is a critical step in identifying patients who could benefit from life-changing epilepsy surgery. On the other hand, the integration of AI into pediatric neuroradiology faces technical and ethical challenges, such as data scarcity and ethical and legal restrictions on pediatric data sharing, that complicate the development of robust and generalizable AI models. Moreover, many radiologists remain sceptical of AI’s interpretability and reliability, and there are also important medico-legal questions around responsibility and liability when AI systems are involved in clinical decision-making. Future promising perspectives to overcome these concerns are represented by federated learning and collaborative research and AI development, which require technological innovation and multidisciplinary collaboration between neuroradiologists, data scientists, ethicists, and pediatricians. The paper aims to address: (1) current applications of AI in pediatric neuroradiology; (2) current challenges and ethical considerations related to AI implementation in pediatric neuroradiology; and (3) future opportunities in the clinical and educational pediatric neuroradiology field. AI in pediatric neuroradiology is not meant to replace neuroradiologists, but to amplify human intellect and extend our capacity to diagnose, prognosticate, and treat with unprecedented precision and speed. Full article
Show Figures

Figure 1

12 pages, 1985 KB  
Proceeding Paper
Enhancing the Haar Cascade Algorithm for Robust Detection of Facial Features in Complex Conditions Using Area Analysis and Adaptive Thresholding
by Dayne Fradejas, Vince Harley Gaba, Analyn Yumang and Ericson Dimaunahan
Eng. Proc. 2025, 107(1), 3; https://doi.org/10.3390/engproc2025107003 - 21 Aug 2025
Viewed by 1194
Abstract
Facial features are critical visual indicators for understanding what a person is experiencing, providing valuable insights into their emotions and physical states. However, accurately detecting these features under diverse conditions remains a significant challenge, especially in computationally constrained environments. This paper presents a [...] Read more.
Facial features are critical visual indicators for understanding what a person is experiencing, providing valuable insights into their emotions and physical states. However, accurately detecting these features under diverse conditions remains a significant challenge, especially in computationally constrained environments. This paper presents a facial feature extraction method designed to identify regions of interest for detecting facial cues, with a focus on improving the accuracy of eye and mouth detection. Addressing the limitations of standard Haar cascade classifiers, particularly in challenging scenarios such as droopy eyes, red eyes, and droopy mouths, this method introduces a correction algorithm rooted in normal human facial anatomy, emphasizing symmetry and consistent feature placement. By integrating this correction algorithm with a feature-based refinement process, the proposed approach enhances detection accuracy from 67.22% to 96.11%. Through this method, the accurate detection of facial features like the eyes and mouth is significantly improved, offering a lightweight and efficient solution for real-time applications while maintaining computational efficiency. Full article
Show Figures

Figure 1

14 pages, 877 KB  
Article
No Learner Left Behind: How Medical Students’ Background Characteristics and Psychomotor/Visual–Spatial Abilities Correspond to Aptitude in Learning How to Perform Clinical Ultrasounds
by Samuel Ayala, Eric R. Abrams, Lawrence A. Melniker, Laura D. Melville and Gerardo C. Chiricolo
Emerg. Care Med. 2025, 2(3), 31; https://doi.org/10.3390/ecm2030031 - 25 Jun 2025
Viewed by 653
Abstract
Background/Objectives: The goal of educators is to leave no learner behind. Ultrasounds require dexterity and 3D image interpretation. They are technologically complex, and current medical residency programs lack a reliable means of assessing this ability among their trainees. This prompts consideration as to [...] Read more.
Background/Objectives: The goal of educators is to leave no learner behind. Ultrasounds require dexterity and 3D image interpretation. They are technologically complex, and current medical residency programs lack a reliable means of assessing this ability among their trainees. This prompts consideration as to whether background characteristics or certain pre-existing skills can serve as indicators of learning aptitude for ultrasounds. The objective of this study was to determine whether these characteristics and skills are indicative of learning aptitude for ultrasounds. Methods: This prospective study was conducted with third-year medical students rotating in emergency medicine at the New York Presbyterian Brooklyn Methodist Hospital, Brooklyn, NY, USA. First, students were given a pre-test survey to assess their background characteristics. Subsequently, a psychomotor task (Purdue Pegboard) and visual–spatial task (Revised Purdue Spatial Visualization Tests) were administered to the students. Lastly, an ultrasound task was given to identify the subxiphoid cardiac view. A rubric assessed ability, and proficiency was determined as a 75% or higher score in the ultrasound task. Results: In total, 97 students were tested. An analysis of variance (ANOVA) was used to ascertain if any background characteristics from the pre-test survey was associated with the ultrasound task score. The student’s use of cadavers to learn anatomy had the most correlation (p-value of 0.02). Assessing the psychomotor and visual–spatial tasks, linear regressions were used against the ultrasound task scores. Correspondingly, the p-values were 0.007 and 0.008. Conclusions: Ultrasound ability is based on hand–eye coordination and spatial relationships. Increased aptitude in these abilities may forecast future success in this skill. Those who may need more assistance can have their training tailored to them and further support offered. Full article
Show Figures

Figure A1

14 pages, 1291 KB  
Article
Evaluation of Anatomical Measurements of the Bulbus Oculi by Optical Biometry in the Eastern Region of Türkiye
by Methiye Batur, Veysi Yıldız, Muhammed Batur, Erbil Seven and Serek Tekin
Medicina 2025, 61(4), 692; https://doi.org/10.3390/medicina61040692 - 10 Apr 2025
Cited by 1 | Viewed by 1148
Abstract
Background and Objectives: The objective was to assess ocular biometric measurements in relation to age and gender among patients scheduled for cataract surgery, utilizing an optical biometry device. Materials and Methods: The optical biometric parameters evaluated included axial length (AL), central [...] Read more.
Background and Objectives: The objective was to assess ocular biometric measurements in relation to age and gender among patients scheduled for cataract surgery, utilizing an optical biometry device. Materials and Methods: The optical biometric parameters evaluated included axial length (AL), central corneal thickness (CCT), anterior chamber depth (AD), lens thickness (LT), horizontal corneal diameter (WTW), and keratometry values in the flat (K1) and steep (K2) meridians. Astigmatism (AST) was also measured as the difference between these keratometry values. Results: A total of 14,183 optical biometric measurements were included in the study. The average age of the participants was determined to be 56 (3–110) years. The average AL was 23.57 ± 1.45 mm, the average AD was 2.76 ± 0.42 mm, the average CCT was 518.13 ± 37.81 μm, the average WTW distance was 11.88 ± 0.59 mm, and the average LT was 4.19 ± 0.51 mm. The keratometry measurements were recorded as K1 = 43.39 ± 1.96 diopters (D), K2 = 44.51 ± 2.31 D, and AST = 1.12 ± 1.15 D. The average values for male eyes in terms of the AL, AD, WTW, and LT measurements were significantly higher than those for female eyes (p = 0.001). The average K1 and K2 values were flatter in males than in females, while the AST value was found to be higher in females (p = 0.001). As age progressed, the mean AL decreased, the CCT decreased, the AD narrowed, the WTW distance decreased, the LT increased, and the keratometric values K1, K2, and AST decreased until the age of 60, after which they increased again. Conclusions: Research indicates that the measurements of the bulbus oculi are generally larger in males than in females. Furthermore, each of the optical biometric measurements is interrelated. Over time, these measurements may change. Full article
(This article belongs to the Collection Advances in Cornea, Cataract, and Refractive Surgery)
Show Figures

Figure 1

10 pages, 2125 KB  
Article
The Role of Axial Length and Intraocular Pressure in the Follow-Up of Growing Children with Primary Congenital Glaucoma
by Rosa Longo, Elia Franzolin, Elena Gusson, Francesca Chemello, Silvia Panunzi and Giorgio Marchini
J. Clin. Med. 2025, 14(7), 2152; https://doi.org/10.3390/jcm14072152 - 21 Mar 2025
Viewed by 1220
Abstract
Purpose: The aim of this study was to investigate the factors that affect ocular growth in children with primary congenital glaucoma (PCG) who have undergone surgical treatment. We designed an analysis like that proposed by Al-Obaida et al. to assess whether similar results [...] Read more.
Purpose: The aim of this study was to investigate the factors that affect ocular growth in children with primary congenital glaucoma (PCG) who have undergone surgical treatment. We designed an analysis like that proposed by Al-Obaida et al. to assess whether similar results could be obtained in the Caucasian population. Methods: Data on axial length (AxL), intraocular pressure (IOP), and corneal diameter of PCG patients were recorded and analyzed. Results: Patients’ age was significantly influencing the increase in AxL. Also, levels of IOP, number of glaucoma medications, and number of surgeries along the follow-up period were found to significantly influence AxL progression. Conclusions: This study confirms that in PCG patients, there is a curvilinear relationship between AxL and age, which is strongly influenced by IOP, gender, the number of surgical interventions, and the number of anti-glaucoma medications. These data seem to suggest that maintaining IOP values closer to normal ones for age is crucial in the first up to three years of life to avoid permanent ocular anatomic and functional damage caused by elevated intraocular pressure. Full article
(This article belongs to the Section Ophthalmology)
Show Figures

Figure 1

23 pages, 123908 KB  
Article
Radiation Retinopathy: Microangiopathy-Inflammation-Neurodegeneration
by Anja-Maria Davids, Inga-Marie Pompös, Norbert Kociok, Jens Heufelder, Sergej Skosyrski, Nadine Reichhart, Antonia M. Joussen and Susanne A. Wolf
Cells 2025, 14(4), 298; https://doi.org/10.3390/cells14040298 - 18 Feb 2025
Viewed by 3261
Abstract
Purpose: Proton irradiation is used to treat choroidal melanoma of the eye. The impact on non-malignant retinal cells is currently understudied. Therefore, we here report a mouse model to investigate the impact of proton irradiation on the retina. Methods: We performed a proton [...] Read more.
Purpose: Proton irradiation is used to treat choroidal melanoma of the eye. The impact on non-malignant retinal cells is currently understudied. Therefore, we here report a mouse model to investigate the impact of proton irradiation on the retina. Methods: We performed a proton beam irradiation of 5–15 Cobalt-Gray-Equivalent (CGE) of the eyes of female C57Bl6/J (Cx3cr1+/+), Cx3cr1gfp/+ and Cx3cr1gfp/gfp mice mimicking the clinical situation and evaluated the structure, function and cellular composition of the retina up to 24 weeks after irradiation. Results: Proton beam irradiation of the eye with 15 CGE leads to cataract formation after 24 weeks without affecting the gross anatomy of the retinal vasculature as shown by Fundus imaging in all genotypes respectively. However, 10 and 15 CGE, lead to a significant decrease in NG2 positive cell numbers and all three dosages induced an increase in GFAP immunoreactivity. At 24 weeks a dosage of 15 CGE resulted in functional impairment and a decrease of NG2 positive cells in both WT and Cx3cr1 animals. Iba1 cell immunoreactivity was increased in all genotypes. However, in the Cx3cr1 animals the invasion of Iba1 cells into the deep vascular layer was partially prevented. This was accompanied by a less severe functional impairment in the irradiated Cx3cr1gfp/gfp vs. WT. Conclusions: Although the gross anatomy of the retina does not seem to be affected by proton beam irradiation, the cellular composition and retinal function changed significantly in both WT and Cx3cr1 mice reflecting the clinical situation. Moreover, cataract formation was one of the major long-term effects of irradiation. We conclude that the murine model (WT and Cx3cr1 genotype) can be used to investigate proton-beam associated side effects in vivo as well as to test prospective interventions. Moreover, the loss of Cx3cr1 seems to be partially protective. Full article
Show Figures

Figure 1

Back to TopTop