Sign in to use this feature.

Years

Between: -

Subjects

remove_circle_outline
remove_circle_outline
remove_circle_outline
remove_circle_outline
remove_circle_outline
remove_circle_outline
remove_circle_outline

Journals

remove_circle_outline
remove_circle_outline
remove_circle_outline
remove_circle_outline
remove_circle_outline
remove_circle_outline
remove_circle_outline
remove_circle_outline
remove_circle_outline
remove_circle_outline

Article Types

Countries / Regions

remove_circle_outline
remove_circle_outline
remove_circle_outline
remove_circle_outline
remove_circle_outline

Search Results (672)

Search Parameters:
Keywords = Ventricular Fibrillation

Order results
Result details
Results per page
Select all
Export citation of selected articles as:
20 pages, 11750 KB  
Article
Trandolapril Attenuates Pro-Arrhythmic Downregulation of Cx43 and Cx40 in Atria of Volume Overloaded Hypertensive and Normotensive Rats
by Matúš Sýkora, Katarína Ondreják Andelová, Alexandra Mrvová, Barbara Szeiffová Bačová and Narcis Tribulová
Biomolecules 2025, 15(10), 1457; https://doi.org/10.3390/biom15101457 (registering DOI) - 15 Oct 2025
Abstract
Pressure overload in non-treated or resistant hypertension (HTN) increases the risk of heart failure (HF) as well as the occurrence of fatal ventricular arrhythmias and stroke-provoking atrial fibrillation (AF), while perturbed connexin-43 (Cx43) and Cx40 might be involved. In addition, kidney dysfunction may [...] Read more.
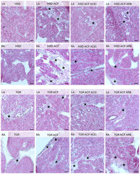
Pressure overload in non-treated or resistant hypertension (HTN) increases the risk of heart failure (HF) as well as the occurrence of fatal ventricular arrhythmias and stroke-provoking atrial fibrillation (AF), while perturbed connexin-43 (Cx43) and Cx40 might be involved. In addition, kidney dysfunction may facilitate hemodynamic volume overload and congestive HF. We investigated the impact of volume overload on Cx43 and Cx40 in right and left heart atria of hypertensive pressure overloaded Ren-2 transgenic (TGR) strain and normotensive Hannover Sprague Dawley (HSD) rats, as well as the efficacy of renin–angiotensin blockade with trandolapril and losartan. Key novel findings revealed lower levels of Cx43 and Cx40 proteins in left as well as right heart atria in pressure overloaded hypertensive rats compared to normotensive rats. There was a significant decrease in Cx43 and Cx40 proteins due to volume overload in both atria of normotensive as well as hypertensive rats. Treatment with trandolapril increased Cx43 and Cx40 levels in right and left heart atria of normotensive as well as hypertensive volume overloaded rats. While losartan increased Cx43 and did not affect Cx40 in left and right heart atria of volume overloaded rats. Findings of this study point out that right heart atria of normotensive as well as hypertensive rats are more susceptible to volume overload comparing to the left heart atria. Trandolapril attenuated pro-arrhythmic downregulation of Cx43 and Cx40 in atria of volume overloaded normotensive as well as hypertensive rats. This fact as well as examining AF inducibility requires further investigation. Full article
Show Figures

Figure 1

15 pages, 428 KB  
Article
Edoxaban Safety and Effectiveness in Real-Life Patients with Heart Failure and Atrial Fibrillation: EMAYIC Study
by Rafael Salguero-Bodes, Miriam Padilla Perez, Arturo Andrés Sánchez, Alberto Esteban-Fernández, Martín García López, Manuel Andrés Aparici Feal, José Luis Santos, Hans Paul Gaebelt, Fernando Arribas and on behalf of the EMAYIC Study Investigators
J. Clin. Med. 2025, 14(20), 7272; https://doi.org/10.3390/jcm14207272 (registering DOI) - 15 Oct 2025
Abstract
Background/Objectives: Real-world data about clinical characteristics and edoxaban performance in patients with heart failure (HF) and atrial fibrillation (AF) are lacking. The EMAYIC study aimed to assess and compare the profile and cardiovascular outcomes in those patients according to HF subtypes based on [...] Read more.
Background/Objectives: Real-world data about clinical characteristics and edoxaban performance in patients with heart failure (HF) and atrial fibrillation (AF) are lacking. The EMAYIC study aimed to assess and compare the profile and cardiovascular outcomes in those patients according to HF subtypes based on left ventricular ejection fraction (LVEF). Methods: Multicentre, prospective (follow-up: 12 months), observational study. Consecutive adult patients were included at cardiology and internal medicine clinics across Spain with HF (NT-proBNP > 600 pg/mL) and AF, receiving edoxaban as per routine clinical practice. Incidence of major or clinically relevant non-major (CRNM) bleeding and composite of incidence of stroke or systemic embolism (SE) were assessed according to HF subtypes: reduced (HFrEF, LVEF < 40%), mildly reduced (HFmrEF, LVEF40–49%), and preserved (HFpEF, LVEF ≥ 50%) left ventricular ejection fraction. Results: Between March 2021 and January 2022, 497 patients were enrolled (HFrEF: 30.4%, HFmrEF: 17.3%, HFpEF: 52.3%). The median age was 76.3 years, 57.9% were male, and the mean CHA2DS2-VASc score was 4. A 60 mg edoxaban dose was prescribed in 70% of patients. The observed rate of bleeding was 6.6% (95% CI: 4.5–9.3%), without differences across HF subtypes (HFrEF: 7.5%, HFmrEF: 3.6%, HFpEF: 7.1%; p = 0.474). Intracranial bleeding occurred in one patient (HFrEF). Stroke occurred in seven patients (1.5%) (HFrEF: 3, HFmrEF: 1, HFpEF: 3), two cases of which were fatal (HFrEF: 1, HFpEF: 1). No SE events were reported. Cardiovascular death occurred in 19 patients (4.1%) (HFrEF: 4.8%, HFmrEF: 3.6%, HFpEF: 3.8%; p = 0.871). Conclusions: This study evidences a low incidence of major or CRNM bleeding in patients with HF and AF treated with edoxaban, regardless of HF subtype. Low rates of stroke (1.5%) and SE events (0%) were assessed. Full article
(This article belongs to the Section Cardiology)
Show Figures

Figure 1

11 pages, 557 KB  
Review
Reappraising Use of Flecainide for Atrial Fibrillation and Ventricular Arrhythmias in Structural Heart Disease Patients
by Dimitrios Tsiachris, Sotirios C. Kotoulas, Ioannis Doundoulakis, Christos-Konstantinos Antoniou, Michail Botis, Konstantinos Pamporis, Nikolaos Argyriou, Aikaterini-Eleftheria Karanikola, Panagiotis Tsioufis, Athanasios Kordalis and Konstantinos Tsioufis
Medicina 2025, 61(10), 1845; https://doi.org/10.3390/medicina61101845 (registering DOI) - 15 Oct 2025
Abstract
Background: Flecainide, a class Ic antiarrhythmic agent, has long been contraindicated in structural heart disease (SHD) due to findings of the Cardiac Arrhythmia Suppression Trial (CAST). However, its proven efficacy in patients without structural abnormalities and emerging safety data in selected SHD [...] Read more.
Background: Flecainide, a class Ic antiarrhythmic agent, has long been contraindicated in structural heart disease (SHD) due to findings of the Cardiac Arrhythmia Suppression Trial (CAST). However, its proven efficacy in patients without structural abnormalities and emerging safety data in selected SHD populations have prompted reconsideration of its role. Aim: This mini review evaluates recent evidence on the safety and efficacy of flecainide in atrial fibrillation (AF) and premature ventricular contractions (PVCs), particularly in patients with stable coronary artery disease (CAD), and arrhythmogenic right ventricular cardiomyopathy (ARVC). Results: Modern imaging and improved risk stratification allow for more precise identification of patients who may safely receive flecainide, even in the presence of specific structural abnormalities. Observational studies have reported no mortality or ventricular arrhythmias incidence increase in stable CAD or ARVC when flecainide is administered under stringent criteria. While current guidelines remain cautious, clinical practice is beginning to reflect a more individualized approach. Conclusions: Flecainide use in selected SHD patients appears both feasible and safe when guided by comprehensive imaging and clinical judgment. The need for prospective randomized trials to confirm these findings and potentially inform future guideline updates is urgent and of utmost importance in the field of antiarrhythmic therapies. Full article
(This article belongs to the Special Issue Evolving Concepts in Clinical Cardiology)
Show Figures

Graphical abstract

24 pages, 2289 KB  
Article
Improving Early Prediction of Sudden Cardiac Death Risk via Hierarchical Feature Fusion
by Xin Huang, Guangle Jia, Mengmeng Huang, Xiaoyu He, Yang Li and Mingfeng Jiang
Symmetry 2025, 17(10), 1738; https://doi.org/10.3390/sym17101738 - 15 Oct 2025
Abstract
Sudden cardiac death (SCD) is a leading cause of mortality worldwide, with arrhythmia serving as a major precursor. Early and accurate prediction of SCD using non-invasive electrocardiogram (ECG) signals remains a critical clinical challenge, particularly due to the inherent asymmetric and non-stationary characteristics [...] Read more.
Sudden cardiac death (SCD) is a leading cause of mortality worldwide, with arrhythmia serving as a major precursor. Early and accurate prediction of SCD using non-invasive electrocardiogram (ECG) signals remains a critical clinical challenge, particularly due to the inherent asymmetric and non-stationary characteristics of ECG signals, which complicate feature extraction and model generalization. In this study, we propose a novel SCD prediction framework based on hierarchical feature fusion, designed to capture both non-stationary and asymmetrical patterns in ECG data across six distinct time intervals preceding the onset of ventricular fibrillation (VF). First, linear features are extracted from ECG signals using waveform detection methods; nonlinear features are derived from RR interval sequences via second-order detrended fluctuation analysis (DFA2); and multi-scale deep learning features are captured using a Temporal Convolutional Network-based sequence-to-vector (TCN-Seq2vec) model. These multi-scale deep learning features, along with linear and nonlinear features, are then hierarchically fused. Finally, two fully connected layers are employed as a classifier to estimate the probability of SCD occurrence. The proposed method is evaluated under an inter-patient paradigm using the Sudden Cardiac Death Holter (SCDH) Database and the Normal Sinus Rhythm (NSR) Database. This method achieves average prediction accuracies of 97.48% and 98.8% for the 60 and 30 min periods preceding SCD, respectively. The findings suggest that integrating traditional and deep learning features effectively enhances the discriminability of abnormal samples, thereby improving SCD prediction accuracy. Ablation studies confirm that multi-feature fusion significantly improves performance compared to single-modality models, and validation on the Creighton University Ventricular Tachyarrhythmia Database (CUDB) demonstrates strong generalization capability. This approach offers a reliable, long-horizon early warning tool for clinical SCD risk assessment. Full article
(This article belongs to the Section Life Sciences)
Show Figures

Figure 1

31 pages, 1305 KB  
Review
Artificial Intelligence in Cardiac Electrophysiology: A Clinically Oriented Review with Engineering Primers
by Giovanni Canino, Assunta Di Costanzo, Nadia Salerno, Isabella Leo, Mario Cannataro, Pietro Hiram Guzzi, Pierangelo Veltri, Sabato Sorrentino, Salvatore De Rosa and Daniele Torella
Bioengineering 2025, 12(10), 1102; https://doi.org/10.3390/bioengineering12101102 - 13 Oct 2025
Abstract
Artificial intelligence (AI) is transforming cardiac electrophysiology across the entire care pathway, from arrhythmia detection on 12-lead electrocardiograms (ECGs) and wearables to the guidance of catheter ablation procedures, through to outcome prediction and therapeutic personalization. End-to-end deep learning (DL) models have achieved cardiologist-level [...] Read more.
Artificial intelligence (AI) is transforming cardiac electrophysiology across the entire care pathway, from arrhythmia detection on 12-lead electrocardiograms (ECGs) and wearables to the guidance of catheter ablation procedures, through to outcome prediction and therapeutic personalization. End-to-end deep learning (DL) models have achieved cardiologist-level performance in rhythm classification and prognostic estimation on standard ECGs, with a reported arrhythmia classification accuracy of ≥95% and an atrial fibrillation detection sensitivity/specificity of ≥96%. The application of AI to wearable devices enables population-scale screening and digital triage pathways. In the electrophysiology (EP) laboratory, AI standardizes the interpretation of intracardiac electrograms (EGMs) and supports target selection, and machine learning (ML)-guided strategies have improved ablation outcomes. In patients with cardiac implantable electronic devices (CIEDs), remote monitoring feeds multiparametric models capable of anticipating heart-failure decompensation and arrhythmic risk. This review outlines the principal modeling paradigms of supervised learning (regression models, support vector machines, neural networks, and random forests) and unsupervised learning (clustering, dimensionality reduction, association rule learning) and examines emerging technologies in electrophysiology (digital twins, physics-informed neural networks, DL for imaging, graph neural networks, and on-device AI). However, major challenges remain for clinical translation, including an external validation rate below 30% and workflow integration below 20%, which represent core obstacles to real-world adoption. A joint clinical engineering roadmap is essential to translate prototypes into reliable, bedside tools. Full article
(This article belongs to the Special Issue Mathematical Models for Medical Diagnosis and Testing)
Show Figures

Figure 1

14 pages, 281 KB  
Review
Atrial Septal Defect and Heart Rhythm Disorders: Physiopathological Linkage and Clinical Perspectives
by Adriana Correra, Alfredo Mauriello, Matilde Di Peppo, Antonello D’Andrea, Vincenzo Russo, Giovanni Esposito and Natale Daniele Brunetti
Biomedicines 2025, 13(10), 2427; https://doi.org/10.3390/biomedicines13102427 - 4 Oct 2025
Viewed by 391
Abstract
An atrial septal defect (ASD) is the most common congenital heart defect (CHD) diagnosed in adulthood. It is characterized by significant anatomical heterogeneity and complications that evolve over time. While often asymptomatic in children, the signs of adverse effects of ASD increase with [...] Read more.
An atrial septal defect (ASD) is the most common congenital heart defect (CHD) diagnosed in adulthood. It is characterized by significant anatomical heterogeneity and complications that evolve over time. While often asymptomatic in children, the signs of adverse effects of ASD increase with age, including a greater risk of heart failure, stroke, atrial fibrillation (AF), and reduced life expectancy. ASD is traditionally considered a right-heart lesion due to long-term complications such as arrhythmias, right-sided heart failure, thromboembolism, and, in a subset of patients, pulmonary arterial hypertension (PAH). The pathophysiology of atrial shunts also affects the left heart due to volume overload and adverse ventriculo-ventricular interaction. Early diagnosis of interatrial septal anomalies is essential to prevent hemodynamic consequences and/or thromboembolic events. Electrocardiographic (ECG) findings play a crucial role in this early diagnosis. This narrative review aims to update clinicians on the latest evidence regarding the pathophysiological link between ASD and cardiac rhythm disorders, the nuances of optimal diagnostics, treatment options (surgical, interventional, pharmacological), and the need for long-term follow-up for patients with ASD. The review will determine the risk of conduction disorders compared to a healthy population and to compare the prevalences of conduction disorders, mortality, and pacemaker use in patients with closed ASDs versus those with open ASDs. Full article
Show Figures

Graphical abstract

11 pages, 524 KB  
Article
Valvular Heart Disease in Non-Valvular Heart Failure Continuum: The Role of Cardiopulmonary Exercise Testing
by Kiriaki Mavromoustakou, Michail Botis, Panagiotis Iliakis, Ioannis Leontsinis, Panagiotis Xydis, Kyriakos Dimitriadis, Christina Chrysohoou and Konstantinos Tsioufis
Biomedicines 2025, 13(10), 2415; https://doi.org/10.3390/biomedicines13102415 - 2 Oct 2025
Viewed by 402
Abstract
Background/Objectives: Patients with non-valvular heart failure frequently develop valvular disease. However, the prevalence of valvular disease across patients with different heart failure etiologies remains underexplored. This study aimed to investigate the burden of VHD among patients with non-valvular heart failure, and secondly [...] Read more.
Background/Objectives: Patients with non-valvular heart failure frequently develop valvular disease. However, the prevalence of valvular disease across patients with different heart failure etiologies remains underexplored. This study aimed to investigate the burden of VHD among patients with non-valvular heart failure, and secondly evaluate its association with cardiopulmonary test. Methods: We analyzed data from patients with non-valvular heart failure (HF) who were evaluated as outpatients at the HF clinic between February 2020 and November 2024. Patients were categorized into three groups: coronary artery disease-related HF (CAD-HF), dilated cardiomyopathy (DCM), and other causes (e.g., hypertension, diabetes, and various cardiomyopathies). Demographic and clinical characteristics, as well as echocardiographic and cardiopulmonary exercise testing (CPET) results, were evaluated. Results: Among all groups mild mitral regurgitation (MR) was the most common valvular disease, followed by mild tricuspid regurgitation (TR). Patients with CAD-HF frequently had mild aortic regurgitation (AR) compared to DCM (23.6% vs. 14.9%, p = 0.05). In the CPET subgroup, which included 41 patients who consented to participate, in patients with moderate-to-severe VHD had significantly lower VO2/HR (oxygen pulse), VO2max, and OUES, indicating worsened functional capacity despite similar left ventricular ejection fraction. Hypertension and atrial fibrillation were independently associated with greater valvular disease severity on multivariable analysis. Conclusions: No significant differences in valvular disease between patients with DCM and CAD-HF were documented, apart from a higher prevalence of mild AR in the CAD-HF group. Patients with moderate-to-severe valvular regurgitation demonstrated worse cardiopulmonary performance, regardless of ejection fraction, highlighting the important role of CPET in evaluating the functional impact of valvular heart disease in this population. Full article
(This article belongs to the Special Issue Advanced Research on Heart Failure and Heart Transplantation)
Show Figures

Figure 1

33 pages, 4216 KB  
Review
Myocardial Ischemia/Reperfusion Injury: Molecular Insights, Forensic Perspectives, and Therapeutic Horizons
by Maria Sofia Fede, Gloria Daziani, Francesco Tavoletta, Angelo Montana, Paolo Compagnucci, Gaia Goteri, Margherita Neri and Francesco Paolo Busardò
Cells 2025, 14(19), 1509; https://doi.org/10.3390/cells14191509 - 27 Sep 2025
Viewed by 650
Abstract
Acute myocardial infarction (AMI) remains the leading cause of death worldwide, with myocardial ischemia/reperfusion injury (MIRI) emerging as a significant factor influencing patient outcomes despite timely reperfusion therapy. MIRI refers to paradoxical myocardial damage that occurs upon restoration of coronary blood flow and [...] Read more.
Acute myocardial infarction (AMI) remains the leading cause of death worldwide, with myocardial ischemia/reperfusion injury (MIRI) emerging as a significant factor influencing patient outcomes despite timely reperfusion therapy. MIRI refers to paradoxical myocardial damage that occurs upon restoration of coronary blood flow and is driven by complex inflammatory, oxidative, and metabolic mechanisms, which can exacerbate infarct size (IS), contributing to adverse outcomes. This review explores the molecular and cellular pathophysiology of MIRI, emphasizing both its clinical and forensic relevance. The principal mechanisms discussed include oxidative stress and mitochondrial dysfunction, calcium overload and ion homeostasis imbalance, inflammatory responses, with particular focus on the NLRP3 inflammasome and cytokine pathways, and multiple forms of cell death (apoptosis, necroptosis, pyroptosis, and autophagy). Additionally, the authors present original immunohistochemical findings from autopsy cases of patients who suffered ST-segment elevation myocardial infarction (STEMI) and underwent percutaneous coronary intervention (PCI), but subsequently died. These findings underscore that successful reperfusion does not completely prevent delayed complications, like arrhythmias, ventricular fibrillation (VF), and sudden cardiac death (SCD), often caused by secondary MIRI-related mechanisms. Moreover, the case series highlight the diagnostic value of inflammatory markers for pathologists in identifying MIRI as a contributing factor in such fatalities. Finally, immunotherapeutic strategies—including IL-1 and IL-6 inhibitors such as Canakinumab and Tocilizumab—are reviewed for their potential to reduce cardiovascular events and mitigate the effects of MIRI. The review advocates for continued multidisciplinary research aimed at improving our understanding of MIRI, developing effective treatments, and informing forensic investigations of reperfusion-related deaths. Full article
Show Figures

Graphical abstract

11 pages, 467 KB  
Review
Prevention and Treatment of New-Onset Postoperative Atrial Fibrillation in the Acute Care Setting: A Narrative Review
by Jean-Luc Fellahi, Marc-Olivier Fischer, Martin Ruste and Matthias Jacquet-Lagreze
J. Clin. Med. 2025, 14(19), 6835; https://doi.org/10.3390/jcm14196835 - 26 Sep 2025
Viewed by 807
Abstract
New-onset postoperative atrial fibrillation (POAF) is common after cardiac and major noncardiac surgery and significantly associated with short- and long-term adverse events. Multiple management strategies have been described but the lack of evidence from large randomized controlled trials and the lack of consensus [...] Read more.
New-onset postoperative atrial fibrillation (POAF) is common after cardiac and major noncardiac surgery and significantly associated with short- and long-term adverse events. Multiple management strategies have been described but the lack of evidence from large randomized controlled trials and the lack of consensus regarding best practices has led to major variations in practice patterns. Considering on the one hand its serious adverse effects and complex drug interactions, and on the other hand discrepancies among recent international guidelines, the indications of amiodarone to both prevent and treat POAF should be reserved to patients at high risk of POAF only, or patients with hemodynamic instability and/or severely reduced left ventricular ejection fraction. Perioperative optimization of oral and intravenous cardio-selective beta-blockers to prevent POAF, and control heart rate when POAF occurs with a rapid ventricular response is the recommended first-line strategy, simultaneously with the treatment of associated factors. Given their efficient and safe profile, ultra-short-acting intravenous beta-blockers like esmolol or landiolol could be preferentially used in acute care patients. Besides waiting for the results of ongoing RCTs in cardiac and noncardiac surgery, the use of oral anticoagulation in patients with POAF should take into account the individualized thromboembolic/hemorrhagic risk ratio. Full article
(This article belongs to the Special Issue Novel Developments on Diagnosis and Treatment of Atrial Fibrillation)
Show Figures

Figure 1

22 pages, 3089 KB  
Review
What Cardiologists Should Know About Amyloidosis
by Rama Alashqar, Ahmad Alkhatib, Ala W. Abdallah, Mahmoud Odeh, Mustafa Al-Taei, Own Khraisat, Mohammed Al-Hiari, Hazem Taifour, Amer Hammad and Ahmed Sami Abuzaid
J. Clin. Med. 2025, 14(18), 6668; https://doi.org/10.3390/jcm14186668 - 22 Sep 2025
Viewed by 785
Abstract
Background: Cardiac amyloidosis (CA) is an increasingly recognized but historically underdiagnosed cause of restrictive cardiomyopathy and heart failure with preserved ejection fraction (HFpEF). It results from the extracellular deposition of misfolded protein fibrils, most commonly transthyretin (ATTR) or immunoglobulin light chains (AL), leading [...] Read more.
Background: Cardiac amyloidosis (CA) is an increasingly recognized but historically underdiagnosed cause of restrictive cardiomyopathy and heart failure with preserved ejection fraction (HFpEF). It results from the extracellular deposition of misfolded protein fibrils, most commonly transthyretin (ATTR) or immunoglobulin light chains (AL), leading to progressive myocardial dysfunction and multi-organ involvement. Objective: This review provides a comprehensive, cardiology-centered overview of cardiac amyloidosis, with an emphasis on early recognition, diagnostic strategies, subtype differentiation, and the evolving therapies. Content: We summarize the epidemiology, pathophysiology, and clinical manifestations of both ATTR and AL subtypes. Key diagnostic tools, including echocardiography, cardiac magnetic resonance imaging, bone scintigraphy, monoclonal protein screening, and endomyocardial biopsy, are reviewed in the context of a stepwise diagnostic approach. Special attention is given to clinical presentation, electrocardiographic and imaging “red flags,” and to differentiating CA from mimickers such as hypertrophic cardiomyopathy, hypertension-induced left ventricular hypertrophy, and aortic stenosis. Staging systems are detailed, highlighting the prognostic role of cardiac biomarkers. Therapeutic strategies are explored, including subtype-specific regimens (e.g., daratumumab-based therapy for AL; tafamidis and gene silencers for ATTR), the judicious use of conventional heart failure medications, and emerging therapies such as CRISPR-based gene editing. Conclusions: Timely recognition and accurate diagnosis of cardiac amyloidosis are critical to improving outcomes. As diagnostic tools and disease-modifying therapies evolve rapidly, cardiologists must remain at the forefront of multidisciplinary care. A structured biomarker- and imaging-guided approach can enhance diagnostic yield, inform prognosis, and optimize patient-specific management. Full article
Show Figures

Figure 1

19 pages, 4520 KB  
Article
The Prognostic Role of the Left Atrium in Hypertensive Patients with HFpEF: Does Function Matter More than Structure?
by Artem Ovchinnikov, Alexandra Potekhina, Anastasiia Filatova, Olga Svirida, Maria Sobolevskaya, Alfiya Safiullina and Fail Ageev
Life 2025, 15(9), 1483; https://doi.org/10.3390/life15091483 - 21 Sep 2025
Viewed by 393
Abstract
Background: In arterial hypertension (AH), adverse hemodynamic consequences in the left atrium (LA) are often observed. The prognostic significance of functional vs. structural LA abnormalities among high-risk AH patients (with heart failure with preserved ejection fraction [HFpEF]) are not clearly defined. Objective: to [...] Read more.
Background: In arterial hypertension (AH), adverse hemodynamic consequences in the left atrium (LA) are often observed. The prognostic significance of functional vs. structural LA abnormalities among high-risk AH patients (with heart failure with preserved ejection fraction [HFpEF]) are not clearly defined. Objective: to compare the prognostic significance of structural vs. functional LA indices in hypertensive patients with HFpEF. Methods: We retrospectively selected 274 hypertensive patients with AH, HFpEF, and sinus rhythm. The primary outcome was a composite of all-cause mortality and HF hospitalization; the median follow-up was 4.3 (2.5–6.5) years. Results: The composite endpoint occurred in 133 patients (49%). Kaplan–Meier analysis revealed significantly lower event-free survival rates in patients with lower functional LA reservoir strain [LASr] (≤median) compared to patients with higher LASr (p < 0.001). Patients with higher structural LA volume index (LAVI) as well as with higher LV filling pressure (E/e′ ratio) or more severe left ventricular (LV) hypertrophy (higher LV mass index) had a similar prognosis to patients with lower values. In multivariable analysis, decreased LASr and paroxysmal atrial fibrillation (AF) were independently associated with adverse outcomes after accounting for potential confounders (for both p < 0.05). Conclusions: Among patients with AH and HFpEF, the functional LA parameter LASr seems to be more effective than the structural LA parameter LAVI, or traditional indexes of LV hypertrophy and filling pressure, in predicting prognosis. Full article
(This article belongs to the Section Medical Research)
Show Figures

Figure 1

14 pages, 2882 KB  
Article
Genotype-Phenotype Relationship in Hypertrophic Cardiomyopathy
by Dovilė Žebrauskienė, Eglė Sadauskienė, Roma Puronaitė, Rūta Masiulienė, Ramunė Vaišnorė, Nomeda Bratčikovienė, Nomeda Valevičienė, Jūratė Barysienė, Audronė Jakaitienė and Eglė Preikšaitienė
Genes 2025, 16(9), 1090; https://doi.org/10.3390/genes16091090 - 16 Sep 2025
Viewed by 492
Abstract
Background/Objectives: Hypertrophic cardiomyopathy (HCM) is an inherited disease with genetic and phenotypic variability and an unclear genotype–clinical course relationship. The aim of our study was to assess the phenotypic and molecular characteristics of patients with HCM. Methods: Clinical and genetic data from adult [...] Read more.
Background/Objectives: Hypertrophic cardiomyopathy (HCM) is an inherited disease with genetic and phenotypic variability and an unclear genotype–clinical course relationship. The aim of our study was to assess the phenotypic and molecular characteristics of patients with HCM. Methods: Clinical and genetic data from adult HCM patients treated at a university hospital between 2005 and 2024 were analysed. A comparative analysis of probands with a single pathogenic/likely pathogenic (P/LP) variant and without a P/LP variant was performed. Results: The analysis involved 214 individuals with HCM, 42.1% being females. The median age at HCM diagnosis was 52 (38–62) years. P/LP variants were identified in 92 (43.0%) individuals. Compared to patients without an identified genetic cause, individuals with P/LP variants had a significantly earlier HCM diagnosis (43.5 (32.3–58.0) vs. 54.0 (45.8–65.0) years, p < 0.001) and higher maximal thickness on cardiac imaging (17.5 (15.0–21.0) vs. 17.0 (15.0–19.0) mm, p = 0.009 on transthoracic echocardiography and 21.0 (18.0–23.0) vs. 18.0 (16.0–20.0) mm, p < 0.001 on cardiac magnetic resonance imaging). During the median follow-up of 4.2 (1.6–6.8) years, individuals with P/LP HCM variants had earlier onset of atrial fibrillation (p = 0.021), ventricular tachycardia (p = 0.004), heart failure composite (p = 0.006), and overall composite outcome (p = 0.002). No difference between the groups was observed when hazard ratios for clinical outcomes were adjusted by age at HCM diagnosis and gender. Conclusions: Genotype influences HCM phenotype, as patients with P/LP variants experience earlier onset and more pronounced hypertrophy. However, once diagnosed, genotype may not predict the outcomes of HCM. Full article
(This article belongs to the Section Human Genomics and Genetic Diseases)
Show Figures

Figure 1

15 pages, 698 KB  
Article
Proarrhythmogenic Echocardiographic Markers in Metabolic Syndrome: A Cross-Sectional Study
by Spas Kitov, Maria-Florance Kitova, Boyan Nonchev, Mariya Tokmakova and Lyudmila Kitova
Life 2025, 15(9), 1443; https://doi.org/10.3390/life15091443 - 15 Sep 2025
Viewed by 404
Abstract
In metabolic syndrome, cardiomyocyte changes induced by metabolic and proinflammatory factors impair repolarization and exacerbate the heterogeneity of the transmural dispersion of repolarization, and this is proarrhythmogenic. Limited data in the literature on the capabilities of speckle tracking echocardiography for assessing proarrhythmogenicity in [...] Read more.
In metabolic syndrome, cardiomyocyte changes induced by metabolic and proinflammatory factors impair repolarization and exacerbate the heterogeneity of the transmural dispersion of repolarization, and this is proarrhythmogenic. Limited data in the literature on the capabilities of speckle tracking echocardiography for assessing proarrhythmogenicity in metabolic syndrome exists. 71 patients with newly diagnosed metabolic syndrome, aged 35–55 years, were studied. Ischemic heart disease was excluded in all patients with stress test cycle ergometry, CT-angiography or selective coronary angiography. All patients underwent a 48-h Holter ECG recording. Based on the latter, they were divided into two groups: 38 patients (53.5%) with a high arrhythmogenic load (supraventricular or ventricular tachycardia, atrial fibrillation/flutter, ventricular extrasystoles over 10%, frequent supraventricular extrasystoles > 500/24 h are included); and 33 patients (46.5%) with low arrhythmogenic load (no significant rhythm disturbances are included). Echocardiography was performed with a GE Vivid T9 emphasizing global longitudinal strain, mechanical dispersion index and left atrium strains. Statistically significant differences in the global longitudinal strain, mechanical dispersion index, and left atrium strain were found between the group with low arrhythmogenicity and the group with high arrhythmogenicity (p < 0.0001). The index of mechanical dispersion has the most optimal sensitivity and specificity of all investigated echocardiographic markers. These results support the mechanical dispersion index as an additional tool for assessing proarrhythmogenicity in metabolic syndrome. Full article
(This article belongs to the Special Issue Regulation of Cellular Signaling Pathways in the Metabolic Syndrome)
Show Figures

Figure 1

13 pages, 851 KB  
Article
Increased Left Ventricular Mass Index and Atrial Volume Index Are Associated with Atrial Fibrosis in Patients with Atrial Fibrillation
by Simona Manole, Roxana Pintican, Claudia Budurea, Sorin Pop, Stefania D. Iancu, Loredana Popa, Mihaela Coman, Calin Schiau, Vasile Coman, Serban Schiau and Zoltán Bálint
J. Clin. Med. 2025, 14(18), 6432; https://doi.org/10.3390/jcm14186432 - 12 Sep 2025
Viewed by 418
Abstract
Objectives: Our aim was to determine imaging-derived parameters from echocardiography associated with the presence of atrial fibrosis in a cohort of atrial fibrillation (AF) patients. Methods: Initially, 123 participants were included in this prospective cross-sectional observational study (clinicaltrials.gov: NCT03584126); after exclusion criteria, 112 [...] Read more.
Objectives: Our aim was to determine imaging-derived parameters from echocardiography associated with the presence of atrial fibrosis in a cohort of atrial fibrillation (AF) patients. Methods: Initially, 123 participants were included in this prospective cross-sectional observational study (clinicaltrials.gov: NCT03584126); after exclusion criteria, 112 full datasets were analyzed. All participants underwent clinical evaluation, echocardiography, and cardiac MRI. Overall, 29 patients with AF and left atrial (LA) fibrosis at MRI, 37 with AF and without LA fibrosis at MRI, and 46 healthy controls were included in the final database. Results: The cardiac structural parameters as assessed by MRI were not significantly different between AF patients with and without fibrosis, apart from LA volume. The area under the curve (AUC) reached a value of 0.69 when using body-surface-area-indexed LA volume (LAVi) determined by echocardiography as a factor associated with LA fibrosis in AF patients. Moreover, when detecting LA fibrosis using LAVi, an optimal cut-off value of 42.7 mL/m2 was obtained, resulting in 41.67% specificity and 88.46% sensitivity with a total accuracy of 65.06%. Testing BSA-indexed left ventricular mass (LVMi) as a factor associated with LA fibrosis, the optimal cut-off value was 140.2 g/m2, with 76.92% sensitivity, 58.33% specificity and 67.62% total accuracy for the discrimination between AF patients with and without LA fibrosis. A strong association between body-surface-area-indexed left atrial volume (LAVi) and the presence of atrial fibrillation was identified (54.5 mL/m2 vs. 29.8 mL/m2 in controls, p-value < 0.0001). Conclusion: LA volume indexed to BSA could be a promising tool for the identification of cardiac fibrosis in AF patients. Full article
(This article belongs to the Special Issue State of the Art: Catheter Ablation of Atrial Fibrillation)
Show Figures

Figure 1

28 pages, 1161 KB  
Review
Arrhythmias in Rheumatoid Arthritis: A Call for a Multidisciplinary Team
by Veronica Ungurean, Diana Elena Costan, Monica Claudia Dobos, Anca Ouatu, Paula Cristina Morariu, Alexandru Florinel Oancea, Maria Mihaela Godun, Diana-Elena Floria, Dragos Traian Marcu, Genoveva Livia Baroi, Silviu Marcel Stanciu, Anton Knieling, Daniela Maria Tanase, Codrina Ancuta and Mariana Floria
Life 2025, 15(9), 1426; https://doi.org/10.3390/life15091426 - 11 Sep 2025
Viewed by 528
Abstract
Background: Rheumatoid arthritis is the most prevalent systemic inflammatory disease, mainly affecting the synovial tissue of small and large joints, also associated with significant extra-articular manifestations. Throughout the progression of the disease, cardiac structures may be affected, including the conducting system, myocardium, endocardium, [...] Read more.
Background: Rheumatoid arthritis is the most prevalent systemic inflammatory disease, mainly affecting the synovial tissue of small and large joints, also associated with significant extra-articular manifestations. Throughout the progression of the disease, cardiac structures may be affected, including the conducting system, myocardium, endocardium, coronary arteries, and valves, potentially resulting in a higher incidence of cardiac arrhythmias. Methods: We performed a narrative review of the most recent studies that highlight the epidemiology, pathophysiology, diagnosis, and management of arrhythmias occurring in patients with rheumatoid arthritis. Furthermore, we examined the impact of disease-modifying antirheumatic drugs (DMARDs)—including conventional synthetic (csDMARDs), biologic (bDMARDs), and targeted synthetic agents (tsDMARDs)—on cardiac electrophysiology. Results: Cardiac immune cells may influence arrhythmogenesis through non-canonical and inflammatory mechanisms by modifying myocardial tissue architecture or by interacting with cardiomyocytes, potentially altering their electrical function. Conclusions: This review emphasizes the essential role of a multidisciplinary approach integrating rheumatology and cardiology expertise in the screening and management of arrhythmias in patients with rheumatoid arthritis. Full article
Show Figures

Figure 1

Back to TopTop