Sign in to use this feature.

Years

Between: -

Subjects

remove_circle_outline
remove_circle_outline
remove_circle_outline
remove_circle_outline

Journals

Article Types

Countries / Regions

Search Results (10)

Search Parameters:
Keywords = UniPR129

Order results
Result details
Results per page
Select all
Export citation of selected articles as:
12 pages, 2367 KB  
Article
A Pharmacological Investigation of Eph-Ephrin Antagonism in Prostate Cancer: UniPR1331 Efficacy Evidence
by Claudio Festuccia, Miriam Corrado, Alessandra Rossetti, Riccardo Castelli, Alessio Lodola, Giovanni Luca Gravina, Massimiliano Tognolini and Carmine Giorgio
Pharmaceuticals 2023, 16(10), 1452; https://doi.org/10.3390/ph16101452 - 13 Oct 2023
Cited by 1 | Viewed by 2067
Abstract
The Eph kinases are the largest receptor tyrosine kinases (RTKs) family in humans. PC3 human prostate adenocarcinoma cells are a well-established model for studying Eph–ephrin pharmacology as they naturally express a high level of EphA2, a promising target for new cancer therapies. A [...] Read more.
The Eph kinases are the largest receptor tyrosine kinases (RTKs) family in humans. PC3 human prostate adenocarcinoma cells are a well-established model for studying Eph–ephrin pharmacology as they naturally express a high level of EphA2, a promising target for new cancer therapies. A pharmacological approach with agonists did not show significant efficacy on tumor growth in prostate orthotopic murine models, but reduced distal metastasis formation. In order to improve the comprehension of the pharmacological targeting of Eph receptors in prostate cancer, in the present work, we investigated the efficacy of Eph antagonism both in vitro and in vivo, using UniPR1331, a small orally bioavailable Eph–ephrin interaction inhibitor. UniPR1331 was able to inhibit PC3 cells’ growth in vitro in a dose-dependent manner, affecting the cell cycle and inducing apoptosis. Moreover, UniPR1331 promoted the PC3 epithelial phenotype, downregulating epithelial mesenchymal transition (EMT) markers. As a consequence, UniPR1331 reduced in vitro PC3 migration, invasion, and vasculomimicry capabilities. The antitumor activity of UniPR1331 was confirmed in vivo when administered alone or in combination with cytotoxic drugs in PC3-xenograft mice. Our results demonstrated that Eph antagonism is a promising strategy for inhibiting prostate cancer growth, especially in combination with cytotoxic drugs. Full article
(This article belongs to the Section Pharmacology)
Show Figures

Figure 1

18 pages, 2359 KB  
Article
Molecular Mechanisms of Resistance to Direct-Acting Antiviral (DAA) Drugs for the Treatment of Hepatitis C Virus Infections
by Mohammad Asrar Izhari
Diagnostics 2023, 13(19), 3102; https://doi.org/10.3390/diagnostics13193102 - 30 Sep 2023
Cited by 10 | Viewed by 3112
Abstract
Hepatitis C virus (HCV) is a hepatotropic virus that affects millions of human lives worldwide. Direct-acting antiviral (DAA) regimens are the most effective HCV treatment option. However, amino acid substitution-dependent resistance to DAAs has been a major challenge. This study aimed to determine [...] Read more.
Hepatitis C virus (HCV) is a hepatotropic virus that affects millions of human lives worldwide. Direct-acting antiviral (DAA) regimens are the most effective HCV treatment option. However, amino acid substitution-dependent resistance to DAAs has been a major challenge. This study aimed to determine the increasing risk of DAA resistance due to substitutions in DAA target non-structural proteins (NS3/4A, NS5A, and NS5B). Using a Sequence Retrieval System (SRS) at the virus pathogen resource (ViPR/BV-BRC), n = 32763 target protein sequences were retrieved and analyzed for resistance-associated amino acid substitutions (RAASs) by the Sequence Feature Variant Type (SFVT) antiviral-resistance assessment modeling tool. Reference target protein sequences with 100% identity were retried from UniProt following NCBI BLAST. The types and locations of RAASs were identified and visualized by AlphaFold and PyMol. Linux-r-base/R-studio was used for the data presentation. Multi-drug-resistant variants of NS3/4A in genotype 1 (n = 9) and genotype 5 (n = 5) along with DAA-specific NS3/4A, NS5A, and NS5B variants were identified pan-genotypically. A total of 27 variants (RAASs) of all the targets were identified. Fourteen genotype 1-specific substitutions: V1196A, V1158I, D1194A/T/G, R1181K, T1080S, Q1106R, V1062A, S1148G, A1182V, Y2065N, M2000T, and L2003V were identified. The most frequent substitutions were V1062L and L2003M, followed by Q2002H. L2003V, Q2002H, M2000T, Y2065N, and NL2003M of NS5A and L2003M of NS5B conferred resistance to daclatasvir. S2702T NS5B was the sofosbuvir-resistant variant. D1194A NS3/4A was triple DAA (simeprevir, faldaprevir, and asunaprevir) resistant. The double-drug resistant variants R1181K (faldaprevir and asunaprevir), A1182V and Q1106K/R (faldaprevir and simeprevir), T1080S (faldaprevir and telaprevir), and single drug-resistant variants V1062L (telaprevir), D1194E/T (simeprevir), D1194G (asunaprevir), S1148A/G (simeprevir), and Q1106L (Boceprevir) of NS3/4A were determined. The molecular phenomenon of DAA resistance is paramount in the development of HCV drug candidates. RAASs in NS3, NS5A, and NS5B reduce the susceptibility to DAAs; therefore, continuous RAAS-dependent resistance profiling in HCV is recommended to minimize the probability of DAA therapeutic failure. Full article
(This article belongs to the Special Issue Genomic Analysis of Infectious Diseases)
Show Figures

Figure 1

25 pages, 27258 KB  
Review
Protein-Protein Interaction Inhibitors Targeting the Eph-Ephrin System with a Focus on Amino Acid Conjugates of Bile Acids
by Lorenzo Guidetti, Riccardo Castelli, Laura Scalvini, Francesca Ferlenghi, Miriam Corrado, Carmine Giorgio, Massimiliano Tognolini and Alessio Lodola
Pharmaceuticals 2022, 15(2), 137; https://doi.org/10.3390/ph15020137 - 24 Jan 2022
Cited by 8 | Viewed by 3290
Abstract
The role of the Eph-ephrin system in the etiology of pathological conditions has been consolidated throughout the years. In this context, approaches directed against this signaling system, intended to modulate its activity, can be strategic therapeutic opportunities. Currently, the most promising class of [...] Read more.
The role of the Eph-ephrin system in the etiology of pathological conditions has been consolidated throughout the years. In this context, approaches directed against this signaling system, intended to modulate its activity, can be strategic therapeutic opportunities. Currently, the most promising class of compounds able to interfere with the Eph receptor-ephrin protein interaction is composed of synthetic derivatives of bile acids. In the present review, we summarize the progresses achieved, in terms of chemical expansions and structure-activity relationships, both in the steroidal core and the terminal carboxylic acid group, along with the pharmacological characterization for the most promising Eph-ephrin antagonists in in vivo settings. Full article
(This article belongs to the Section Medicinal Chemistry)
Show Figures

Graphical abstract

20 pages, 986 KB  
Article
Sociodemographic Predictors Associated with the Willingness to Get Vaccinated against COVID-19 in Peru: A Cross-Sectional Survey
by David Vizcardo, Linder Figueroa Salvador, Arian Nole-Vara, Karen Pizarro Dávila, Aldo Alvarez-Risco, Jaime A. Yáñez and Christian R. Mejia
Vaccines 2022, 10(1), 48; https://doi.org/10.3390/vaccines10010048 - 30 Dec 2021
Cited by 18 | Viewed by 4398
Abstract
During the race for the development of a vaccine against COVID-19, even before its commercialization, part of the population has already shown a growing fear of its application. We designed an analytical cross-sectional study using an anonymous survey in the 25 departments of [...] Read more.
During the race for the development of a vaccine against COVID-19, even before its commercialization, part of the population has already shown a growing fear of its application. We designed an analytical cross-sectional study using an anonymous survey in the 25 departments of Peru. We surveyed whether the participants were planning on getting vaccinated, as well as other characteristics that were cross-checked in a uni-, bi- and multivariate manner. Of the 1776 respondents, 70% (1251) stated that they were planning to be vaccinated, 20% (346) did not know yet or doubted it, and 10% (179) did not want to be vaccinated. We observed that those who did not get infected with COVID-19 exhibited a higher frequency to not wanting or were uncertain about getting vaccinated (aPR: 1.40; 95% CI: 1.09–1.81; p-value = 0.008). In contrast, there was a lower frequency of vaccine refusal among university students (aPR: 0.75; 95% CI: 0.61–0.92; p-value = 0.005) and healthcare workers (aPR: 0.59; 95% CI: 0.44–0.80; p-value = 0.001); adjusted by place of residence. There is still an important percentage of respondents who do not want to be vaccinated or are hesitant to do it, which was associated with educational level, being a healthcare worker and if they were previously infected with COVID-19. Our results could offer useful information about COVID-19 vaccination campaigns. Full article
Show Figures

Figure 1

20 pages, 3939 KB  
Article
Metabolic Soft Spot and Pharmacokinetics: Functionalization of C-3 Position of an Eph–Ephrin Antagonist Featuring a Bile Acid Core as an Effective Strategy to Obtain Oral Bioavailability in Mice
by Francesca Ferlenghi, Carmine Giorgio, Matteo Incerti, Lorenzo Guidetti, Paola Chiodelli, Marco Rusnati, Massimiliano Tognolini, Federica Vacondio, Marco Mor and Alessio Lodola
Pharmaceuticals 2022, 15(1), 41; https://doi.org/10.3390/ph15010041 - 28 Dec 2021
Cited by 3 | Viewed by 2747
Abstract
UniPR129, an L-β-homotryptophan conjugate of the secondary bile acid lithocholic acid (LCA), acts as an effective protein-protein interaction (PPI) inhibitor of the Eph–ephrin system but suffers from a poor oral bioavailability in mice. To improve UniPR129 bioavailability, a metabolic soft spot, i.e., the [...] Read more.
UniPR129, an L-β-homotryptophan conjugate of the secondary bile acid lithocholic acid (LCA), acts as an effective protein-protein interaction (PPI) inhibitor of the Eph–ephrin system but suffers from a poor oral bioavailability in mice. To improve UniPR129 bioavailability, a metabolic soft spot, i.e., the 3α-hydroxyl group on the LCA steroidal ring, was functionalized to 3-hydroxyimine. In vitro metabolism of UniPR129 and 3-hydroxyimine derivative UniPR500 was compared in mouse liver subcellular fractions, and main metabolites were profiled by high resolution (HR-MS) and tandem (MS/MS) mass spectrometry. In mouse liver microsomes (MLM), UniPR129 was converted into several metabolites: M1 derived from the oxidation of the 3-hydroxy group to 3-oxo, M2–M7, mono-hydroxylated metabolites, M8–M10, di-hydroxylated metabolites, and M11, a mono-hydroxylated metabolite of M1. Phase II reactions were only minor routes of in vitro biotransformation. UniPR500 shared several metabolic pathways with parent UniPR129, but it showed higher stability in MLM, with a half-life (t1/2) of 60.4 min, if compared to a t1/2 = 16.8 min for UniPR129. When orally administered to mice at the same dose, UniPR500 showed an increased systemic exposure, maintaining an in vitro valuable pharmacological profile as an EphA2 receptor antagonist and an overall improvement in its physico-chemical profile (solubility, lipophilicity), if compared to UniPR129. The present work highlights an effective strategy for the pharmacokinetic optimization of aminoacid conjugates of bile acids as small molecule Eph–ephrin antagonists. Full article
(This article belongs to the Section Medicinal Chemistry)
Show Figures

Figure 1

14 pages, 939 KB  
Article
European Multicenter Study on Degradable Starch Microsphere TACE: The Digestible Way to Conquer HCC in Patients with High Tumor Burden
by Johannes M. Ludwig, Roberto Iezzi, Jens M. Theysohn, Thomas Albrecht, Alessandro Posa and Alexander Gross
Cancers 2021, 13(20), 5122; https://doi.org/10.3390/cancers13205122 - 13 Oct 2021
Cited by 14 | Viewed by 2905
Abstract
To evaluate the safety and efficacy of transarterial chemoembolization with degradable starch microspheres (DSM-TACE) for the treatment of hepatocellular carcinoma (HCC) with a high tumor burden ineligible for or failing other palliative therapies, 121 patients from three European centers were included. Kaplan–Meier analysis [...] Read more.
To evaluate the safety and efficacy of transarterial chemoembolization with degradable starch microspheres (DSM-TACE) for the treatment of hepatocellular carcinoma (HCC) with a high tumor burden ineligible for or failing other palliative therapies, 121 patients from three European centers were included. Kaplan–Meier analysis was used for median overall survival (OS) and time to progression (TTP, mRECIST criteria) in months with a 95% confidence interval (95% CI). Uni- (UVA) and multivariate (MVA) analyses were performed using the Cox Proportional Hazard Model. The median OS of the study cohort was 15.5 (13.3–18.7) months. The UVA identified HCC lesions ≤10 cm, unilobar involvement, lower Child–Pugh class and Barcelona Clinic Liver Cancer (BCLC) stage, absence of vascular invasion, and extrahepatic metastases as factors for prolonged survival. MVA confirmed lesions of ≤10 cm and unilobar disease as independent OS factors. Median TTP was 9.5 (7.6–10.3) months. The best response was achieved after a median of 3 (range: 1–6) treatments with CR/PR/SD/PD in 13.5%/44.5%/25.2%/16.8%, respectively. DSM-TACE was well tolerated with no major clinical adverse events and only limited major laboratory events. Preserved liver function was observed after repetitive DSM-TACE treatments. Repetitive DSM-TACE is a safe, well-tolerated and effective treatment option for HCC patients with high tumor burden ineligible or failing other palliative therapies. Full article
(This article belongs to the Collection Advances in Diagnostic and Interventional Radiology in Oncology)
Show Figures

Figure 1

16 pages, 3629 KB  
Article
UniPR1331: Small Eph/Ephrin Antagonist Beneficial in Intestinal Inflammation by Interfering with Type-B Signaling
by Carmine Giorgio, Marika Allodi, Simone Palese, Andrea Grandi, Massimiliano Tognolini, Riccardo Castelli, Alessio Lodola, Lisa Flammini, Anna Maria Cantoni, Elisabetta Barocelli and Simona Bertoni
Pharmaceuticals 2021, 14(6), 502; https://doi.org/10.3390/ph14060502 - 24 May 2021
Cited by 3 | Viewed by 3342
Abstract
Eph receptors, comprising A and B classes, interact with cell-bound ephrins generating bidirectional signaling. Although mainly related to carcinogenesis and organogenesis, the role of Eph/ephrin system in inflammation is growingly acknowledged. Recently, we showed that EphA/ephrin-A proteins can modulate the acute inflammatory responses [...] Read more.
Eph receptors, comprising A and B classes, interact with cell-bound ephrins generating bidirectional signaling. Although mainly related to carcinogenesis and organogenesis, the role of Eph/ephrin system in inflammation is growingly acknowledged. Recently, we showed that EphA/ephrin-A proteins can modulate the acute inflammatory responses induced by mesenteric ischemia/reperfusion, while beneficial effects were granted by EphB4, acting as EphB/ephrin-B antagonist, in a murine model of Crohn’s disease (CD). Accordingly, we now aim to evaluate the effects of UniPR1331, a pan-Eph/ephrin antagonist, in TNBS-induced colitis and to ascertain whether UniPR1331 effects can be attributed to A- or B-type signaling interference. The potential anti-inflammatory action of UniPR1331 was compared to those of the recombinant proteins EphA2, a purported EphA/ephrin-A antagonist, and of ephrin-A1-Fc and EphA2-Fc, supposedly activating forward and reverse EphA/ephrin-A signaling, in murine TNBS-induced colitis and in stimulated cultured mononuclear splenocytes. UniPR1331 antagonized the inflammatory responses both in vivo, mimicking EphB4 protection, and in vitro; EphA/ephrin-A proteins were inactive or only weakly effective. Our findings represent a further proof-of-concept that blockade of EphB/ephrin-B signaling is a promising pharmacological strategy for CD management and highlight UniPR1331 as a novel drug candidate, seemingly working through the modulation of immune responses. Full article
(This article belongs to the Section Pharmacology)
Show Figures

Graphical abstract

27 pages, 1041 KB  
Article
Genotype-Phenotype Correlations in Neurofibromatosis Type 1: A Single-Center Cohort Study
by Marcello Scala, Irene Schiavetti, Francesca Madia, Cristina Chelleri, Gianluca Piccolo, Andrea Accogli, Antonella Riva, Vincenzo Salpietro, Renata Bocciardi, Guido Morcaldi, Marco Di Duca, Francesco Caroli, Antonio Verrico, Claudia Milanaccio, Gianmaria Viglizzo, Monica Traverso, Simona Baldassari, Paolo Scudieri, Michele Iacomino, Gianluca Piatelli, Carlo Minetti, Pasquale Striano, Maria Luisa Garrè, Patrizia De Marco, Maria Cristina Diana, Valeria Capra, Marco Pavanello and Federico Zaraadd Show full author list remove Hide full author list
Cancers 2021, 13(8), 1879; https://doi.org/10.3390/cancers13081879 - 14 Apr 2021
Cited by 37 | Viewed by 6652
Abstract
Neurofibromatosis type 1 (NF1) is a proteiform genetic condition caused by pathogenic variants in NF1 and characterized by a heterogeneous phenotypic presentation. Relevant genotype–phenotype correlations have recently emerged, but only few pertinent studies are available. We retrospectively reviewed clinical, instrumental, and genetic data [...] Read more.
Neurofibromatosis type 1 (NF1) is a proteiform genetic condition caused by pathogenic variants in NF1 and characterized by a heterogeneous phenotypic presentation. Relevant genotype–phenotype correlations have recently emerged, but only few pertinent studies are available. We retrospectively reviewed clinical, instrumental, and genetic data from a cohort of 583 individuals meeting at least 1 diagnostic National Institutes of Health (NIH) criterion for NF1. Of these, 365 subjects fulfilled ≥2 NIH criteria, including 235 pediatric patients. Genetic testing was performed through cDNA-based sequencing, Next Generation Sequencing (NGS), and Multiplex Ligation-dependent Probe Amplification (MLPA). Uni- and multivariate statistical analysis was used to investigate genotype–phenotype correlations. Among patients fulfilling ≥ 2 NIH criteria, causative single nucleotide variants (SNVs) and copy number variations (CNVs) were detected in 267/365 (73.2%) and 20/365 (5.5%) cases. Missense variants negatively correlated with neurofibromas (p = 0.005). Skeletal abnormalities were associated with whole gene deletions (p = 0.05) and frameshift variants (p = 0.006). The c.3721C>T; p.(R1241*) variant positively correlated with structural brain alterations (p = 0.031), whereas Lisch nodules (p = 0.05) and endocrinological disorders (p = 0.043) were associated with the c.6855C>A; p.(Y2285*) variant. We identified novel NF1 genotype–phenotype correlations and provided an overview of known associations, supporting their potential relevance in the implementation of patient management. Full article
Show Figures

Figure 1

11 pages, 1029 KB  
Article
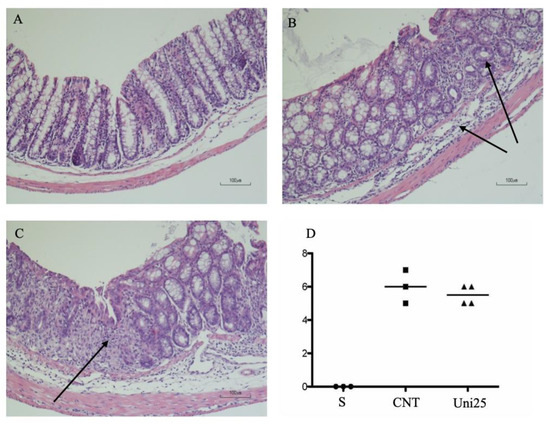
Evaluation of the Anti-Tumor Activity of Small Molecules Targeting Eph/Ephrins in APC min/J Mice
by Miriam Corrado, Carmine Giorgio, Elisabetta Barocelli, Giuseppe Vittucci Marzetti, Anna Maria Cantoni, Rosanna Di Lecce, Matteo Incerti, Riccardo Castelli, Alessio Lodola and Massimiliano Tognolini
Pharmaceuticals 2020, 13(4), 69; https://doi.org/10.3390/ph13040069 - 16 Apr 2020
Cited by 1 | Viewed by 3286
Abstract
The Eph receptors are the largest receptors tyrosine kinases (RTKs) family in humans and together with ephrin ligands constitute a complex cellular communication system often dysregulated in many tumors. The role of the Eph-ephrin system in colorectal cancer (CRC) has been investigated and [...] Read more.
The Eph receptors are the largest receptors tyrosine kinases (RTKs) family in humans and together with ephrin ligands constitute a complex cellular communication system often dysregulated in many tumors. The role of the Eph-ephrin system in colorectal cancer (CRC) has been investigated and different expression of Eph receptors have been associated with tumor development and progression. In light of this evidence, we investigated if a pharmacological approach aimed at inhibiting Eph/ephrin interaction through small molecules could prevent tumor growth in APC min/J mice. The 8-week treatment with the Eph-ephrin antagonist UniPR129 significantly reduced the number of adenomas in the ileum and decreased the diameter of adenomas in the same region. Overall our data suggested as UniPR129 could be able to slow down the tumor development in APC min/J mice. These results further confirm literature data about Eph kinases as a new valuable target in the intestinal cancer and for the first time showed the feasibility of the Eph-ephrin inhibition as a useful pharmacological approach against the intestinal tumorigenesis. In conclusion this work paves the way for further studies with Eph-ephrin inhibitors in order to confirm the Eph antagonism as innovative pharmacological approach with preventive benefit in the intestinal tumor development. Full article
(This article belongs to the Special Issue Targeting the Eph–ephrin System)
Show Figures

Figure 1

20 pages, 1829 KB  
Article
Comparative Analysis of Virtual Screening Approaches in the Search for Novel EphA2 Receptor Antagonists
by Donatella Callegari, Daniele Pala, Laura Scalvini, Massimiliano Tognolini, Matteo Incerti, Silvia Rivara, Marco Mor and Alessio Lodola
Molecules 2015, 20(9), 17132-17151; https://doi.org/10.3390/molecules200917132 - 17 Sep 2015
Cited by 6 | Viewed by 6017
Abstract
The EphA2 receptor and its ephrin-A1 ligand form a key cell communication system, which has been found overexpressed in many cancer types and involved in tumor growth. Recent medicinal chemistry efforts have identified bile acid derivatives as low micromolar binders of the EphA2 [...] Read more.
The EphA2 receptor and its ephrin-A1 ligand form a key cell communication system, which has been found overexpressed in many cancer types and involved in tumor growth. Recent medicinal chemistry efforts have identified bile acid derivatives as low micromolar binders of the EphA2 receptor. However, these compounds suffer from poor physicochemical properties, hampering their use in vivo. The identification of compounds able to disrupt the EphA2-ephrin-A1 complex lacking the bile acid scaffold may lead to new pharmacological tools suitable for in vivo studies. To identify the most promising virtual screening (VS) protocol aimed at finding novel EphA2 antagonists, we investigated the ability of both ligand-based and structure-based approaches to retrieve known EphA2 antagonists from libraries of decoys with similar molecular properties. While ligand-based VSs were conducted using UniPR129 and ephrin-A1 ligand as reference structures, structure-based VSs were performed with Glide, using the X-ray structure of the EphA2 receptor/ephrin-A1 complex. A comparison of enrichment factors showed that ligand-based approaches outperformed the structure-based ones, suggesting ligand-based methods using the G-H loop of ephrin-A1 ligand as template as the most promising protocols to search for novel EphA2 antagonists. Full article
(This article belongs to the Special Issue Small Molecules Modulation in Protein-Protein Interactions)
Show Figures

Graphical abstract

Back to TopTop