Sign in to use this feature.

Years

Between: -

Subjects

remove_circle_outline
remove_circle_outline
remove_circle_outline
remove_circle_outline
remove_circle_outline
remove_circle_outline
remove_circle_outline
remove_circle_outline
remove_circle_outline

Journals

remove_circle_outline
remove_circle_outline
remove_circle_outline
remove_circle_outline
remove_circle_outline

Article Types

Countries / Regions

remove_circle_outline
remove_circle_outline

Search Results (161)

Search Parameters:
Keywords = TLC structure

Order results
Result details
Results per page
Select all
Export citation of selected articles as:
11 pages, 589 KB  
Proceeding Paper
Sustainable Recovery of Antioxidant Amphiphilic Bioactives from Avocado By-Products via Green Extraction for Food and Cosmetic Applications
by Vasileios Manousakis, Stefanos Michailidis, Eirini Palamida, Christos Plakidis, Anna Ofrydopoulou and Alexandros Tsoupras
Biol. Life Sci. Forum 2026, 56(1), 26; https://doi.org/10.3390/blsf2026056026 - 26 Mar 2026
Viewed by 48
Abstract
This study explores the sustainable extraction, quantification, and functional evaluation of antioxidant amphiphilic (TAC) and lipophilic (TLC) compounds from avocado (Persea americana) products and by-products using green, solvent-efficient extraction, for potential applications in functional foods and/or cosmetics. Juice derived from organically [...] Read more.
This study explores the sustainable extraction, quantification, and functional evaluation of antioxidant amphiphilic (TAC) and lipophilic (TLC) compounds from avocado (Persea americana) products and by-products using green, solvent-efficient extraction, for potential applications in functional foods and/or cosmetics. Juice derived from organically grown domestic (Greek) avocado and the remaining juicing pulp by-products were subjected to a green extraction and partitioning fractionation process to obtain separately the extracted TLC and TAC. Quantitative analyses of total phenolic (TPC) and carotenoid contents (TCC), as well as antioxidant activity (DPPH, ABTS, FRAP), were performed using UV–Vis spectroscopy just after the extraction. ATR–FTIR spectroscopy was used to structurally characterize TAC bioactives compared to standards (gallic acid, quercetin, beta-carotene, soy phospholipids). TAC extracts exhibited higher TPC and superior antioxidant capacity across all assays, in comparison to the TLC, especially in the by-products. Despite relatively modest absolute phenolic and carotenoid concentrations compared to the literature, the extracts retained potent bioactivity, indicating selective enrichment of functional compounds. UV–Vis spectral peaks (240 nm, 310 nm) confirmed the presence of conjugated systems, suggesting potential for anti-UV photo-protective cosmetic applications. ATR–FTIR analysis further identified functional groups of key amphiphilic constituents, including simple phenolics, flavonoids, polyphenols, carotenoids and polar lipids. TAC extracts were successfully integrated into plant-based jelly prototypes as functional food supplements. Antioxidant stability of the jelly was retained for 15 days under refrigeration, though shelf-life limitations due to moisture and microbial growth highlight the need for preservative strategies. This work demonstrates a circular bioeconomy approach to food waste valorization, with significant implications for sustainable innovation in functional foods and clean-label cosmetics. Full article
(This article belongs to the Proceedings of The 6th International Electronic Conference on Foods)
Show Figures

Figure 1

21 pages, 3491 KB  
Article
Phosphoramidate Derivatives of Betulin, New Molecules with Promising Biological Activity: Synthesis and Characterization
by Elwira Chrobak, Marta Świtalska, Marcel Madej, Joanna Wietrzyk and Ewa Bębenek
Molecules 2026, 31(6), 935; https://doi.org/10.3390/molecules31060935 - 11 Mar 2026
Viewed by 324
Abstract
Studies of natural products and their semisynthetic derivatives are a valuable source of therapeutic agents. The aim of this work was to obtain new 30-phosphoramidate derivatives of betulin and determine their biological potential. The synthetic approach utilized the Staudinger reaction (the introduction of [...] Read more.
Studies of natural products and their semisynthetic derivatives are a valuable source of therapeutic agents. The aim of this work was to obtain new 30-phosphoramidate derivatives of betulin and determine their biological potential. The synthetic approach utilized the Staudinger reaction (the introduction of a phosphoramidate group), the Steglich reaction (the introduction of an alkynyl group), and the Jones reaction (the introduction of a carboxyl group). The structures of the target compounds were determined using spectroscopic methods (1H NMR, 13C NMR, 31P NMR, and HRMS). The new derivatives were tested for antiproliferative activity against MV4-11, A549, MCF-7, PC-3, and HCT116 cancer cells and against normal MCF-10A cells using the MTT and SRB methods. Apoptosis studies were performed for the most active compounds (6B and 7A), potential molecular targets (AutoDock software) were identified, and lipophilicity parameters (RP-TLC method, SwissADME website) were determined. The greatest effect on apoptosis and caspase 3/7 activation was observed for the diester derivative 7A. Compound 7A showed a high lipophilicity parameter in the study group. Full article
(This article belongs to the Special Issue Synthesis of Anticancer Agents for Targeted Therapy)
Show Figures

Graphical abstract

17 pages, 5296 KB  
Article
Evaluation of the Lipophilicity of 3,28-Disubstituted Betulin Derivatives with Promising Biological Properties
by Elwira Chrobak, Katarzyna Bober-Majnusz, Marta Świtalska, Joanna Wietrzyk and Ewa Bębenek
Processes 2026, 14(4), 708; https://doi.org/10.3390/pr14040708 - 20 Feb 2026
Viewed by 344
Abstract
The identification of bioactive substances among new chemical compounds is based on analyzing the relationships between structure, physicochemical properties, and potential biological activity. The aim of this study was to characterize the physicochemical properties of a group of 3,28-disubstituted betulin derivatives, which have [...] Read more.
The identification of bioactive substances among new chemical compounds is based on analyzing the relationships between structure, physicochemical properties, and potential biological activity. The aim of this study was to characterize the physicochemical properties of a group of 3,28-disubstituted betulin derivatives, which have demonstrated promising antiproliferative activity in an in vitro study. The experimental lipophilicity parameters of betulin derivatives were obtained by RP-TLC and compared with theoretical values determined using various computational programs. Physicochemical and pharmacokinetic parameters were calculated using the SwissADME and pkCSM programs. The relationships between lipophilicity parameters (RM0 and logPTLC) and the anticancer activity, and physicochemical and pharmacokinetic parameters of the studied triterpenoids were analyzed. Chemometric analysis (cluster analysis, principal component analysis, and the sum of ranking differences analysis) was performed. Significant correlations were demonstrated between RM0 and logPTLC, as well as theoretically determined lipophilicity values, in the tested group of compounds. Propynoyl derivatives 4a, 5a and 6a with high antiproliferative activity against MV4-11, PC-3 and Hs249T cells are characterized by higher lipophilicity than their hydroxyl analogs (compounds 4, 5 and 6). Full article
Show Figures

Figure 1

29 pages, 11146 KB  
Article
Remote Sensed Turbulence Analysis in the Cloud System Associated with Ianos Medicane
by Giuseppe Ciardullo, Leonardo Primavera, Fabrizio Ferrucci, Fabio Lepreti and Vincenzo Carbone
Remote Sens. 2026, 18(4), 602; https://doi.org/10.3390/rs18040602 - 14 Feb 2026
Viewed by 250
Abstract
Cyclonic extreme events have recently undergone an important boost over the Mediterranean Sea, a trend closely linked to ongoing strong climate variations. Several studies are explaining the combination of many different effects that increase the frequency of mesoscale vortices’ intensification, namely Mediterranean tropical-like [...] Read more.
Cyclonic extreme events have recently undergone an important boost over the Mediterranean Sea, a trend closely linked to ongoing strong climate variations. Several studies are explaining the combination of many different effects that increase the frequency of mesoscale vortices’ intensification, namely Mediterranean tropical-like cyclones (TLCs), until the stage of Medicanes. Among these effects, processes like sea–atmosphere energy exchanges, baroclinic instability, and the release of latent heat lead to the intensification of these systems into fully tropical-like structures. This study investigates the formation and development of Ianos, the most intense Mediterranean tropical-like cyclone recorded in recent years, which affected the Ionian Sea and surrounding regions in September 2020. Using satellite observations and remote sensing data, the study applies a dual approach to characterise the system evolution across the spatial and temporal scales. Firstly, proper orthogonal decomposition (POD) is exploited to assess temperature and pressure fluctuations derived from the geostationary database of Meteosat Second Generation (MSG-11)/SEVIRI. POD allows for the identification of dominant modes of variability and the quantification of energy distribution across different spatial structures during the cyclone’s lifecycle. The decomposition reveals that a small number of orthogonal modes capture a significant proportion of the total variance, highlighting the emergence and persistence of coherent structures associated with the cyclone’s core and peripheral convection. To support scale-dependent energy organisation and dissipation within Ianos, total-period and three-period analyses were carried out, in addition to early-stage intensification patterns and implications for meteorological scale assessments. From the study on the temperatures’ spatio-temporal evolution, a comparison in the POD spectra and of the structures during the peak of intensity was carried out between the Ianos TLC and the Faraji and Freddy tropical cyclones. Additional multi-sensor data from Suomi NPP and Sentinel-3 satellites were integrated to analyse the evolution of the same parameters, also taking into account an evaluation of the vertical temperature gradient, over a 4-day period encompassing the full life cycle of Ianos. The study of the daily evolution helps investigate the spatial trends around the warm core regions, identifying the pressure minima for a comparison with the BOLAM and ERA5 databases of the mean sea level pressure. Overall, this study demonstrates the value of combining dynamic decomposition methods with high-resolution satellite datasets to gain insight into the multiscale structure and convective energetics of Mediterranean tropical-like cyclones. Some significant patterns come out from the spatial organisation of deep convection that seem to be linked to the permanent structures of atmospheric fluctuations near the warm core centre. Full article
Show Figures

Figure 1

16 pages, 3860 KB  
Article
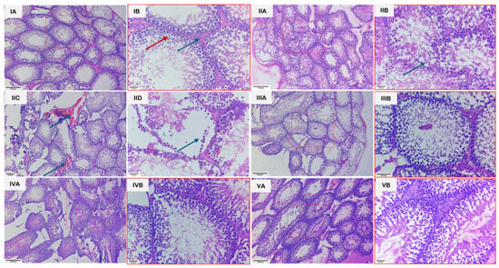
Protective Effects of Eugenol Against Monosodium Glutamate-Induced Reproductive Toxicity in Male Wistar Rats
by Kouthulgama Veekshith Reddy, Majid Shafi, Abhinav Madari, Sharath Chandra Goud, Shayaib Ahmad Kamil, Akeel Bashir, Masood Saleem Mir, Mir Nadeem Hassan, Mudasir Ali Rather, Zahoor Ahmad Wani, Showkeen Muzamil Bashir, Atif Khurshid Wani and Showkat Ahmad Shah
J. Xenobiot. 2026, 16(1), 33; https://doi.org/10.3390/jox16010033 - 13 Feb 2026
Viewed by 452
Abstract
Monosodium glutamate (MSG), a widely used flavor enhancer, has been implicated in oxidative stress-mediated systemic and reproductive toxicity, particularly affecting the male gonadal system. This study evaluated the ameliorative potential of eugenol, a phenolic compound with potent antioxidant properties, against MSG-induced reproductive toxicity [...] Read more.
Monosodium glutamate (MSG), a widely used flavor enhancer, has been implicated in oxidative stress-mediated systemic and reproductive toxicity, particularly affecting the male gonadal system. This study evaluated the ameliorative potential of eugenol, a phenolic compound with potent antioxidant properties, against MSG-induced reproductive toxicity in male Wistar rats. Thirty rats were randomly divided into five groups: group 1 (control), group 2 (MSG 2.5 g/kg), group 3 (eugenol 200 mg/kg), group 4 (MSG + eugenol 100 mg/kg), and group 5 (MSG + eugenol 200 mg/kg). Treatments were administered orally for 28 days. Hematological, biochemical, hormonal, antioxidant, gross, and histopathological assessments were conducted after sacrifice on Day 29. MSG exposure significantly reduced testicular weight, testosterone levels, TEC, Hb, PCV, serum proteins, and testicular GSH and SOD, while markedly elevating TLC, AST, ALT, BUN, creatinine, and TBARS. Severe testicular degeneration, vascular congestion, germ-cell loss, and disrupted seminiferous tubules were observed histologically. Co-administration of eugenol resulted in significant and dose-dependent amelioration of MSG-induced alterations, restoring hematological and biochemical parameters, improving antioxidant status, and elevating testosterone levels. Gross pathology and histopathology demonstrated progressive structural recovery, with the higher eugenol dose showing near-normal testicular architecture and active spermatogenesis. Eugenol alone produced no adverse effects and remained comparable to the control group across all parameters. The findings indicate that eugenol confers strong protective effects against MSG-induced reproductive toxicity, primarily through its antioxidant and cytoprotective actions. Eugenol may serve as a promising natural therapeutic agent for mitigating chemically induced male reproductive impairments. Full article
Show Figures

Graphical abstract

31 pages, 1713 KB  
Article
In Vitro Antioxidant, Anti-Platelet and Anti-Inflammatory Natural Extracts of Amphiphilic Bioactives from Organic Watermelon Juice and Its By-Products
by Emmanuel Nikolakakis, Anna Ofrydopoulou, Katie Shiels, Sushanta Kumar Saha and Alexandros Tsoupras
Metabolites 2026, 16(1), 81; https://doi.org/10.3390/metabo16010081 - 19 Jan 2026
Viewed by 647
Abstract
Background/Objectives: Watermelon (Citrullus lanatus) processing generates substantial quantities of rind, seeds, and residual pulp that are typically discarded despite being rich in polyunsaturated fatty acids, polar lipids, carotenoids, and phenolic compounds. These amphiphilic bioactives are increasingly recognized for their roles in [...] Read more.
Background/Objectives: Watermelon (Citrullus lanatus) processing generates substantial quantities of rind, seeds, and residual pulp that are typically discarded despite being rich in polyunsaturated fatty acids, polar lipids, carotenoids, and phenolic compounds. These amphiphilic bioactives are increasingly recognized for their roles in modulating oxidative stress, inflammation, and platelet activation; however, the lipid fraction of watermelon by-products remains insufficiently characterized. This study examined organic watermelon juice and its by-products to isolate, characterize, and evaluate extracts enriched in amphiphilic and lipophilic bioactives, with emphasis on their in vitro antioxidant, anti-inflammatory, and antithrombotic properties. Methods: total lipids were extracted using a modified Bligh–Dyer method and fractionated into total amphiphilic compounds (TAC) and total lipophilic compounds (TLC) via counter-current distribution. Phenolic and carotenoid levels were quantified, and antioxidant capacity was assessed using DPPH, ABTS, and FRAP assays. Anti-platelet and anti-inflammatory activities were evaluated against ADP- and PAF-induced platelet aggregation. Structural characterization of polar lipids was performed using ATR–FTIR, and LC–MS was used to determine fatty acid composition and phospholipid structures. Results and Discussion: Carotenoids were primarily concentrated in the TLC fractions with high ABTS values for antioxidant activity, while phenolics mostly in the juice, the TACs of which showed the strongest total antioxidant capacity based on DPPH. TAC fractions of both samples showed also higher FRAP values of antioxidant activity, likely due to greater phenolic content. TAC extracts also exhibited notable inhibition of PAF- and ADP-induced platelet aggregation, associated with their enriched ω-3 PUFA profiles and favorable ω-6/ω-3 ratios based on their LC-MS profiles. Conclusions: Overall, watermelon products (juice) and by-products represent a valuable and sustainable source of amphiphilic bioactives with significant antioxidant, anti-inflammatory, and anti-platelet potential, supporting their future use in functional foods, nutraceuticals, and cosmetic applications. Full article
Show Figures

Figure 1

22 pages, 4834 KB  
Article
Rapid Chromatographic and Spectroscopic Analysis of Extracted Raw Propolis
by Darinka Cvetković, Maja Somogyi Škoc, Ernest Meštrović and Iva Rezić Meštrović
Molecules 2025, 30(24), 4729; https://doi.org/10.3390/molecules30244729 - 10 Dec 2025
Viewed by 537
Abstract
Propolis is a complex mixture of natural compounds, including resinous terpenoids, flavonoids, aromatic acids, and essential oils, and has strong antimicrobial, antifungal, and antioxidant properties. The chemical composition of propolis determines its properties and strongly depends on a wide variety of different plant [...] Read more.
Propolis is a complex mixture of natural compounds, including resinous terpenoids, flavonoids, aromatic acids, and essential oils, and has strong antimicrobial, antifungal, and antioxidant properties. The chemical composition of propolis determines its properties and strongly depends on a wide variety of different plant sources, as well as other climate and environmental parameters. In order to determine the main compounds, in this study, we applied an integrated analysis of propolis by thin-layer chromatography (TLC) to characterize and compare the phytochemical profiles of selected bioactive materials in raw propolis. TLC served as a rapid, cost-effective, and highly visual technique to separate and identify key constituents, including terpenoids, flavonoids, and phenolic compounds in propolis, without a need for further precleaning steps after performing ultrasonic extraction. Complementary methods, such as FTIR spectroscopy, were employed to validate and quantify the active components detected through TLC screening. In addition, the UV-VIS method revealed the solubility of raw propolis in different solvents, after testing for coffee ring effects. The results confirmed that the complex structure of the raw sample can be more thoroughly revealed by two-dimensional TLC, which enables not only rapid and verifiable qualitative results but also detection of overlapping spots. Moreover, by comparing the results with data from the literature, not only can particular chemical compounds be efficiently determined by TLC but also the regional origin of samples. Full article
Show Figures

Graphical abstract

37 pages, 48276 KB  
Article
Comparative Ultrasonic Bath and Probe Extraction of Piperine from Piper nigrum L. Using Natural Deep Eutectic Solvents: RSM Optimization, Characterization, and In Vitro Bioactivity
by Abdullah Mohammed Ayedh Al Adhreai, Johnson Retnaraj Samuel Selvan Christyraj, Beryl Vedha Yesudhason, Yolin Angel Poomany Arul Soundara Rajan and Maharshi Bhaswant
Biomolecules 2025, 15(11), 1631; https://doi.org/10.3390/biom15111631 - 20 Nov 2025
Viewed by 1497
Abstract
Background: Piper nigrum L. (PNL) is a rich source of piperine, a bioactive alkaloid with pharmaceutical, cosmetic, nutritional supplement, and agricultural applications, yet efficient and sustainable extraction methods remain underexplored. Methods: This study compared ultrasonic bath extraction (UBE) and ultrasonic probe extraction (UPE) [...] Read more.
Background: Piper nigrum L. (PNL) is a rich source of piperine, a bioactive alkaloid with pharmaceutical, cosmetic, nutritional supplement, and agricultural applications, yet efficient and sustainable extraction methods remain underexplored. Methods: This study compared ultrasonic bath extraction (UBE) and ultrasonic probe extraction (UPE) using natural deep eutectic solvents (NADES) for isolating piperine from PNL fruits. Six NADES formulations were screened, with NADES-5 (choline chloride:glycerin:urea, 1:1:1) showing superior performance. Response surface methodology with a Box–Behnken design optimized extraction parameters, including liquid-to-solid ratio, extraction time, temperature, and water content, for both UBE and UPE. Results: Optimized UPE consistently outperformed UBE, yielding 49.97 mg/g of piperine versus 25.67 mg/g under identical NADES conditions. Comprehensive characterization using TLC, HPTLC, UV, FTIR, Raman, HPLC, NMR, XRD, SEM, and EDX confirmed the successful isolation and structural integrity of piperine, with samples obtained via UPE exhibiting higher purity (98.7% vs. 95.2%) and enhanced crystallinity. In vitro cytotoxicity assays demonstrated that piperine extracted by UPE showed stronger activity against C2C12 myoblasts (IC50: 24.3 μg/mL vs. 40.6 μg/mL) and greater anticancer effects in MCF-7 and HT-29 cells compared to piperine extracted by UBE. Antioxidant evaluation via DPPH, ABTS, FRAP, and TAC assays, along with intracellular reactive oxygen and nitrogen species suppression in THP-1 and RAW 264.7 macrophages, further confirmed the superior biological potential of the UPE-derived piperine sample. Conclusions: These findings indicate that UPE using NADES is a sustainable approach for high-yield piperine extraction with enhanced purity and bioactivity, supporting its potential for pharmaceutical applications. Full article
(This article belongs to the Section Natural and Bio-derived Molecules)
Show Figures

Figure 1

33 pages, 2812 KB  
Article
A Symmetry-Aware Predictive Framework for Olympic Cold-Start Problems and Rare Events Based on Multi-Granularity Transfer Learning and Extreme Value Analysis
by Yanan Wang, Yi Fei and Qiuyan Zhang
Symmetry 2025, 17(11), 1791; https://doi.org/10.3390/sym17111791 - 23 Oct 2025
Viewed by 978
Abstract
This paper addresses the cold-start problem and rare event prediction challenges in Olympic medal forecasting by proposing a predictive framework that integrates multi-granularity transfer learning with extreme value theory. The framework comprises two main components, a Multi-Granularity Transfer Learning Core (MG-TLC) and a [...] Read more.
This paper addresses the cold-start problem and rare event prediction challenges in Olympic medal forecasting by proposing a predictive framework that integrates multi-granularity transfer learning with extreme value theory. The framework comprises two main components, a Multi-Granularity Transfer Learning Core (MG-TLC) and a Rare Event Analysis Module (RE-AM), which address multi-level prediction for data-scarce countries and first medal prediction tasks. The MG-TLC incorporates two key components: Dynamic Feature Space Reconstruction (DFSR) and the Hierarchical Adaptive Transfer Strategy (HATS). The RE-AM combines a Bayesian hierarchical extreme value model (BHEV) with piecewise survival analysis (PSA). Experiments based on comprehensive, licensed Olympic data from 1896–2024, where the framework was trained on data up to 2016, validated on the 2020 Games, and tested by forecasting the 2024 Games, demonstrate that the proposed framework significantly outperforms existing methods, reducing MAE by 25.7% for data-scarce countries and achieving an AUC of 0.833 for first medal prediction, 14.3% higher than baseline methods. This research establishes a foundation for predicting the 2028 Los Angeles Olympics and provides new approaches for cold-start and rare event prediction, with potential applicability to similar challenges in other data-scarce domains such as economics or public health. From a symmetry viewpoint, our framework is designed to preserve task-relevant invariances—permutation invariance in set-based country aggregation and scale robustness to macro-covariate units—via distributional alignment between data-rich and data-scarce domains and Olympic-cycle indexing. We treat departures from these symmetries (e.g., host advantage or event-program changes) as structured asymmetries and capture them with a rare event module that combines extreme value and survival modeling. Full article
(This article belongs to the Special Issue Applications Based on Symmetry in Machine Learning and Data Mining)
Show Figures

Figure 1

19 pages, 2143 KB  
Article
Design, Characterization, and Hematopoietic Efficacy of a Fluorinated Pyrazolopiperidine Inclusion Complex
by Zhanargul Koshetova, Guldana Daulet, Assel Ten, Raushan Koizhaiganova, Lyailya Baktybayeva, Tolganay Zharkynbek, Alexey Zazybin, Tulegen Seilkhanov, Nurgul Zhumanova, Valery Dembitsky and Valentina Yu
Molecules 2025, 30(20), 4047; https://doi.org/10.3390/molecules30204047 - 11 Oct 2025
Viewed by 911
Abstract
A novel inclusion complex of a fluorinated pyrazolopiperidine derivative (5-benzyl-7-(2-fluorobenzylidene)-2,3-bis(2-fluorophenyl)-3,3a,4,5,6,7-hexahydro-2H-pyrazolo [4,3-c]pyridine hydrochloride, PP·HCl) with β-cyclodextrin (PPβCD) was designed, synthesized, and characterized as a potential therapeutic agent for chemotherapy-induced myelosuppression and lymphopenia. Encapsulation of PP within β-cyclodextrin increased aqueous solubility by approximately [...] Read more.
A novel inclusion complex of a fluorinated pyrazolopiperidine derivative (5-benzyl-7-(2-fluorobenzylidene)-2,3-bis(2-fluorophenyl)-3,3a,4,5,6,7-hexahydro-2H-pyrazolo [4,3-c]pyridine hydrochloride, PP·HCl) with β-cyclodextrin (PPβCD) was designed, synthesized, and characterized as a potential therapeutic agent for chemotherapy-induced myelosuppression and lymphopenia. Encapsulation of PP within β-cyclodextrin increased aqueous solubility by approximately 3.4-fold and improved dissolution rate by 2.8-fold compared with the free compound. Structural analysis using IR, ^1H/^13C NMR, and TLC confirmed the formation of a stable 1:1 host–guest complex, and the disappearance of free PP signals further supported complete encapsulation. In vivo evaluation in a cyclophosphamide-induced myelosuppression model demonstrated that PPβCD accelerated hematopoietic recovery, restoring leukocyte and erythrocyte counts 35–40% faster than methyluracil, without any signs of systemic toxicity. These findings indicate that β-cyclodextrin complexation significantly enhances solubility, dissolution, and biological efficacy of the pyrazolopiperidine scaffold, supporting further preclinical development of PPβCD as a supportive therapy for chemotherapy-related hematological complications. Full article
Show Figures

Graphical abstract

23 pages, 2237 KB  
Article
Discovery of Undescribed Clerodane Diterpenoids with Antimicrobial Activity Isolated from the Roots of Solidago gigantea Ait
by Márton Baglyas, Zoltán Bozsó, Ildikó Schwarczinger, Péter G. Ott, József Bakonyi, András Darcsi and Ágnes M. Móricz
Int. J. Mol. Sci. 2025, 26(18), 9187; https://doi.org/10.3390/ijms26189187 - 20 Sep 2025
Cited by 1 | Viewed by 1048
Abstract
Three previously undescribed clerodane diterpenoids, including two cis-clerodanes, solidagolactone IX (1) and solidagoic acid K (2), and one trans-clerodane, solidagodiol (3), along with two known cis-clerodane diterpenoids, (−)-(5R,8R,9R,10 [...] Read more.
Three previously undescribed clerodane diterpenoids, including two cis-clerodanes, solidagolactone IX (1) and solidagoic acid K (2), and one trans-clerodane, solidagodiol (3), along with two known cis-clerodane diterpenoids, (−)-(5R,8R,9R,10S)-15,16-epoxy-ent-neo-cleroda-3,13,14-trien-18-ol (4) and solidagoic acid J (5), were isolated and comprehensively characterized from the ethanolic and ethyl acetate root extract of Solidago gigantea Ait. (giant goldenrod). Compound 4 has previously been reported from the roots of this species, whereas compound 5 was identified from the leaves of S. gigantea but not from the roots. The bioassay-guided isolation involved thin-layer chromatography–direct bioautography (TLC–DB) with a Bacillus subtilis antibacterial assay, preparative flash column chromatography, and TLC–mass spectrometry (MS). The chemical structures of the isolated compounds (15) were elucidated through extensive in-depth spectroscopic and spectrometric analyses, including one- and two-dimensional nuclear magnetic resonance (NMR) spectroscopy, high-resolution tandem mass spectrometry (HRMS/MS), and attenuated total reflectance Fourier-transform infrared (ATR–FTIR) spectroscopy. Their antimicrobial activities were evaluated using in vitro microdilution assays against B. subtilis and different plant pathogens. Compound 3 was the most active against the tested Gram-positive strains, exerting particularly potent effects against Clavibacter michiganensis with a minimal inhibitory concentration (MIC) value of 5.1 µM as well as B. subtilis and Curtobacterium flaccumfaciens pv. flaccumfaciens (MIC 21 µM for both). Compound 4 also strongly inhibited the growth of C. michiganensis (MIC 6.3 µM). Compounds 2, 4, and 5 displayed moderate to weak activity against B. subtilis and C. flaccumfaciens pv. flaccumfaciens with MIC values ranging from 100 to 402 µM. Rhodococcus fascians bacteria were moderately inhibited by compounds 3 (MIC 41 µM) and 4 (MIC 201 µM). Bactericidal activity was observed for compound 3 against C. michiganensis with a minimal bactericidal concentration (MBC) value of 83 µM. Compounds 2 and 3 demonstrated weak antifungal activity against Fusarium graminearum. Our findings underscore the value of bioassay-guided approaches in discovering previously undescribed bioactive compounds. Full article
Show Figures

Figure 1

16 pages, 2585 KB  
Article
Betulin-Hippuric Acid Conjugates: Chemistry, Antiproliferative Activity and Mechanism of Action
by Marta Świtalska, Elwira Chrobak, Monika Kadela-Tomanek, Joanna Wietrzyk and Ewa Bębenek
Appl. Sci. 2025, 15(17), 9824; https://doi.org/10.3390/app15179824 - 8 Sep 2025
Cited by 1 | Viewed by 1099
Abstract
The structure of betulin enables the formation of conjugates that offer improved activity, selectivity, or pharmacokinetic parameters. It was assumed that combining betulin with hippuric acid could produce a product with favorable biological properties. The bond connecting the conjugate elements was an ester [...] Read more.
The structure of betulin enables the formation of conjugates that offer improved activity, selectivity, or pharmacokinetic parameters. It was assumed that combining betulin with hippuric acid could produce a product with favorable biological properties. The bond connecting the conjugate elements was an ester group introduced using a method ensuring mild reaction conditions (Steglich method). In this way, betulin and its acetyl derivatives were converted into conjugates with hippuric acid, with good yields. The obtained compounds were assessed for their in vitro antiproliferative activity against seven different human cancer cell lines (MTT and SRB assays), preceded by in silico prediction (PASS online). Lipophilicity (logPTLC), a significant parameter influencing all stages of the ADME process, was experimentally determined using RP-TLC. LogPTLC values were compared with logP results obtained from available online computational programs. Antiproliferative activity studies demonstrated the significant sensitivity of MV4-11 cells to the tested compounds. The IC50 values ranged from 4.2 to 31.4 µM. The mechanism of anticancer action was investigated for the most active derivatives 4, 5, and 7. For derivative 7, molecular docking revealed the highest affinity for the FLT3 protein binding site. Full article
Show Figures

Figure 1

14 pages, 2870 KB  
Article
Bioactivity-Guided Isolation of Flavone Glycoside from Terminalia catappa: Evaluating Anti-MRSA and Anti-Dermatophytic Potential
by Tumakuru Nataraj Sowmya, Doddahosuru Mahadevappa Gurudatt and Koteshwar Anandrao Raveesha
Molecules 2025, 30(17), 3595; https://doi.org/10.3390/molecules30173595 - 3 Sep 2025
Cited by 3 | Viewed by 1746
Abstract
Antibiotic resistance is one of the major threats to public health in the twenty-first century. In this line of work, plants represent a priceless source of antimicrobial compounds since they house chemically different metabolites with a wide range of therapeutic applications. This study [...] Read more.
Antibiotic resistance is one of the major threats to public health in the twenty-first century. In this line of work, plants represent a priceless source of antimicrobial compounds since they house chemically different metabolites with a wide range of therapeutic applications. This study reports the bioactivity-guided fractionation, characterization, and evaluation of the efficacy of antimicrobial compounds from leaf acetone extracts of the traditional medicinal plant Terminalia catappa against bacterial clinical isolates and dermatophytes. The acetone extract of T. catappa was subjected to column chromatography for the separation and purification of the phytocompounds. The fractions were analyzed using a thin-layer chromatography–bioautography assay to detect the antimicrobial potency of the eluted compounds. The efficacy of the antimicrobial compounds was evaluated by the minimum inhibitory concentration, minimum bactericidal concentration, and minimum fungicidal concentration. Spectral characterization and structure elucidation of the compound were also achieved. The leaf acetone extract, when subjected to gradient elution by column chromatography, resulted in eight fractions. The fraction Fr-2 was subjected to thin-layer chromatographic elution, which resulted in the elution of phytocompound with Rf value of 0.50 and the phytocompound exhibited antimicrobial activity in the TLC–bioautography assay, and it was isolated in pure form and confirmed as Apigenin 7-O-ß-D-glucopyranoside. The compound exhibited significant inhibition of the clinical isolate Staphylococcus aureus and Methicillin-resistant Staphylococcus aureus 1503 at 9.5 µg/mL. Dermatophytes, viz., Microsporum gypseum and Microsporum canis, were inhibited at 312 µg/mL. The present study successfully achieved the bioactivity-guided isolation and characterization of the flavone compound Apigenin 7-O-ß-D-glucopyranoside from T. catappa. Furthermore, the plant T. catappa represents a promising candidate for the exploration of antimicrobial compounds that could serve as potential plant-derived lead molecules for antimicrobial agents. Full article
Show Figures

Figure 1

46 pages, 879 KB  
Review
Analytical Approaches to the Rapid Characterisation of Marine Glycolipids in Bioproduct Discovery
by Sudarshan Dhakal, Tim D. Nalder, Susan N. Marshall and Colin J. Barrow
Mar. Drugs 2025, 23(9), 352; https://doi.org/10.3390/md23090352 - 30 Aug 2025
Viewed by 2885
Abstract
Glycolipids are structurally diverse amphiphilic molecules with potential as non-petrochemical-derived bioproducts, including surfactants, emulsifiers, and antioxidants. The different bioactivities associated with this range of glycolipid structures also present opportunities for dietary supplements, cosmetics, and pharmaceuticals. Marine glycolipids are underexplored due to challenges with [...] Read more.
Glycolipids are structurally diverse amphiphilic molecules with potential as non-petrochemical-derived bioproducts, including surfactants, emulsifiers, and antioxidants. The different bioactivities associated with this range of glycolipid structures also present opportunities for dietary supplements, cosmetics, and pharmaceuticals. Marine glycolipids are underexplored due to challenges with purification and structural characterisation. Analytical approaches enabling efficient sample purification, isolation, and identification of target glycolipids are crucial to determining the bioactivity and functions of organisms such as shellfish and seaweed. This review summarises advances in analytical methods applicable to marine glycolipids, including extraction and enrichment methods tailored to specific subclasses. Thin-layer chromatography (TLC)-based rapid detection techniques developed for specific subclasses in complex biological samples are discussed, alongside structure identification methods based on liquid chromatography (LC)–electrospray ionisation (ESI)–tandem mass spectrometry (MS/MS). Hydrophilic interaction liquid chromatography (HILIC), reverse-phase liquid chromatography (RPLC), and supercritical fluid chromatography (SFC) coupled with MS detection are reviewed for their application to glycolipids. The application of two-dimensional liquid chromatography (2D-LC) and advanced MS-based approaches that facilitate both the rapid resolution and comprehensive characterisation of molecular species are also reviewed. Full article
(This article belongs to the Special Issue From Marine Natural Products to Marine Bioproducts)
Show Figures

Figure 1

19 pages, 3233 KB  
Article
A Galactose-Functionalized Pyrrolopyrrole Aza-BODIPY for Highly Efficient Detection of Eight Aliphatic and Aromatic Biogenic Amines: Monitoring Food Freshness and Bioimaging
by Yujing Gan, Bingli Lu, Jintian Zhong, Xueguagn Ran, Derong Cao and Lingyun Wang
Biosensors 2025, 15(8), 542; https://doi.org/10.3390/bios15080542 - 18 Aug 2025
Cited by 2 | Viewed by 1177
Abstract
The detection of aliphatic and aromatic biogenic amines (BAs) is important in food spoilage, environmental monitoring, and disease diagnosis and treatment. Existing fluorescent probes predominantly detect aliphatic BAs with single signal variation and low sensitivity, impairing the adaptability of discriminative sensing platforms. Herein, [...] Read more.
The detection of aliphatic and aromatic biogenic amines (BAs) is important in food spoilage, environmental monitoring, and disease diagnosis and treatment. Existing fluorescent probes predominantly detect aliphatic BAs with single signal variation and low sensitivity, impairing the adaptability of discriminative sensing platforms. Herein, we present a visual chemosensor (galactose-functionalized pyrrolopyrrole aza-BODIPY, PPAB-Gal) that simultaneously detects eight aliphatic and aromatic BAs in a real-time and intuitive way based on their unique electronic and structural features. Our findings reveal that the dual colorimetric and ratiometric emission changes are rapidly produced in presence of eight BAs through a noncovalent interaction (π–π stacking and hydrogen bond)-assisted chromophore reaction. Specifically, other lone-pair electrons containing compounds, such as secondary amines, tertiary amines, NH3, and thiol, fail to exhibit these changes. As a result, superior sensing performances with distinctly dual signals (Δλab = 130 nm, Δλem = 150 nm), a low LOD (~25 nM), and fast response time (<2 min) were obtained. Based on these advantages, a qualitative and smartphone-assisted sensing platform with a PPAB-Gal-loaded TLC plate is developed for visual detection of putrescine and cadaverine vapor. More importantly, we construct a connection between a standard quantitative index for the TVBN value and fluorescence signals to quantitatively determine the freshness of tuna and shrimp, and the method is facile and convenient for real-time and on-site detection in practical application. Furthermore, since the overexpressed spermine is an important biomarker of cancer diagnosis and treatment, PPAB-Gal NPs can be used to ratiometrically image spermine in living cells. This work provides a promising sensing method for BAs with a novel fluorescent material in food safety fields and biomedical assays. Full article
Show Figures

Figure 1

Back to TopTop