Sign in to use this feature.

Years

Between: -

Subjects

remove_circle_outline
remove_circle_outline
remove_circle_outline
remove_circle_outline
remove_circle_outline
remove_circle_outline
remove_circle_outline

Journals

Article Types

Countries / Regions

Search Results (20)

Search Parameters:
Keywords = Spectral Doppler waveform

Order results
Result details
Results per page
Select all
Export citation of selected articles as:
6 pages, 593 KB  
Interesting Images
Intima–Media Thickening with Carotid Webs: A Case Report of a Potentially High-Risk Association
by Corrado Tagliati, Alessia Quaranta, Marco Fogante, Claudio Ventura, Stefania Lamja, Alfonso Alberto Matarrese, Pierpaolo Palumbo, Iacopo Carbone, Ernesto Di Cesare, Gabriele Polonara and Nicolò Schicchi
Diagnostics 2025, 15(21), 2756; https://doi.org/10.3390/diagnostics15212756 - 30 Oct 2025
Cited by 1 | Viewed by 938
Abstract
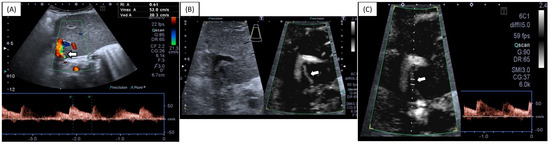
We describe a case of an asymptomatic 70-year-old female patient on whom a carotid ultrasound examination was performed that showed intima–media thickening and a 4 mm long carotid web with a 50% web-to-bulb ratio. Spectral Doppler waveform demonstrated a turbulent flow pattern and [...] Read more.
We describe a case of an asymptomatic 70-year-old female patient on whom a carotid ultrasound examination was performed that showed intima–media thickening and a 4 mm long carotid web with a 50% web-to-bulb ratio. Spectral Doppler waveform demonstrated a turbulent flow pattern and a peak systolic velocity increase of 100% (velocity ratio = 2) when compared with the common carotid artery. Therefore, the patient seemed to be at risk of stroke, and antiaggregant treatment was suggested. Full article
(This article belongs to the Collection Interesting Images)
Show Figures

Figure 1

24 pages, 13390 KB  
Article
Performance of Acoustic, Electro-Acoustic and Optical Sensors in Precise Waveform Analysis of a Plucked and Struck Guitar String
by Jan Jasiński, Marek Pluta, Roman Trojanowski, Julia Grygiel and Jerzy Wiciak
Sensors 2025, 25(21), 6514; https://doi.org/10.3390/s25216514 - 22 Oct 2025
Viewed by 888
Abstract
This study presents a comparative performance analysis of three sensor technologies—microphone, magnetic pickup, and laser Doppler vibrometer—for capturing string vibration under varied excitation conditions: striking, plectrum plucking, and wire plucking. Two different magnetic pickups are included in the comparison. Measurements were taken at [...] Read more.
This study presents a comparative performance analysis of three sensor technologies—microphone, magnetic pickup, and laser Doppler vibrometer—for capturing string vibration under varied excitation conditions: striking, plectrum plucking, and wire plucking. Two different magnetic pickups are included in the comparison. Measurements were taken at multiple excitation levels on a simplified electric guitar mounted on a stable platform with repeatable excitation mechanisms. The analysis focuses on each sensor’s capacity to resolve fine-scale waveform features during the initial attack while also taking into account its capability to measure general changes in instrument dynamics and timbre. We evaluate their ability to distinguish vibro-acoustic phenomena resulting from changes in excitation method and strength as well as measurement location. Our findings highlight the significant influence of sensor choice on observable string vibration. While the microphone captures the overall radiated sound, it lacks the required spatial selectivity and offers poor SNR performance 34 dB lower then other methods. Magnetic pickups enable precise string-specific measurements, offering a compelling balance of accuracy and cost-effectiveness. Results show that their low-pass frequency characteristic limits temporal fidelity and must be accounted for when analysing general sound timbre. Laser Doppler vibrometers provide superior micro-temporal fidelity, which can have critical implications for physical modeling, instrument design, and advanced audio signal processing, but have severe practical limitations. Critically, we demonstrate that the required optical target, even when weighing as little as 0.1% of the string’s mass, alters the string’s vibratory characteristics by influencing RMS energy and spectral content. Full article
(This article belongs to the Special Issue Deep Learning for Perception and Recognition: Method and Applications)
Show Figures

Figure 1

23 pages, 1536 KB  
Article
Enhancing Weather Target Detection with Non-Uniform Pulse Repetition Time (NPRT) Waveforms
by Luyao Sun and Tao Wang
Remote Sens. 2024, 16(23), 4435; https://doi.org/10.3390/rs16234435 - 27 Nov 2024
Viewed by 1326
Abstract
The velocity/distance trade-off poses a fundamental challenge in pulsed Doppler weather radar systems and is known as the velocity/distance dilemma. Techniques such as multiple-pulse repetition frequency, staggered pulse repetition time (PRT), and pulse phase coding are commonly used to mitigate this issue. The [...] Read more.
The velocity/distance trade-off poses a fundamental challenge in pulsed Doppler weather radar systems and is known as the velocity/distance dilemma. Techniques such as multiple-pulse repetition frequency, staggered pulse repetition time (PRT), and pulse phase coding are commonly used to mitigate this issue. The current study evaluates the adaptability/capability of a specific type of low-capture signal called the non-uniform PRT (NPRT) through analyzing the weather target characteristics of typical velocity distributions. The spectral moments estimation (SME) signal-processing algorithm of the NPRT weather echo is designed to calculate the average power, velocity, and spectrum width of the target. A comprehensive error analysis is conducted to ascertain the efficacy of the NPRT processing algorithm under influencing factors. The results demonstrate that the spectral parameters of weather target echo with a velocity of [50,50] m/s through random-jitter NPRT signals align with radar functionality requirements (RFRs). Notably, the NPRT waveform resolves the inherent conflicts between the maximum unambiguous distance and velocity and elevates the upper limit of the maximal observation velocity. The evaluation results confirm that nonlinear radar signal processing technology can improve a radar’s detection performance and provide a new method for realizing the multifunctional observation of radar in different applications. Full article
Show Figures

Figure 1

21 pages, 626 KB  
Article
Algorithm for Designing Waveforms Similar to Linear Frequency Modulation Using Polyphase-Coded Frequency Modulation
by Pengpeng Wang, Zhan Wang, Peng You and Mengyun An
Remote Sens. 2024, 16(19), 3664; https://doi.org/10.3390/rs16193664 - 1 Oct 2024
Cited by 4 | Viewed by 2097
Abstract
Linear frequency modulation (LFM) waveforms have been widely adopted due to their excellent performance characteristics, such as good Doppler tolerance and ease of physical implementation. However, LFM waveforms suffer from high autocorrelation sidelobes (ACSLs) and limited design flexibility. Phase-coded frequency modulation (PCFM) waveforms [...] Read more.
Linear frequency modulation (LFM) waveforms have been widely adopted due to their excellent performance characteristics, such as good Doppler tolerance and ease of physical implementation. However, LFM waveforms suffer from high autocorrelation sidelobes (ACSLs) and limited design flexibility. Phase-coded frequency modulation (PCFM) waveforms can be used to design waveforms similar to LFM, offering greater design flexibility to optimize ACSLs. However, it has been found that the initial PCFM waveform experiences spectral expansion during the ACSL optimization process, which reduces its similarity to LFM. Therefore, this article jointly optimizes the ACSLs and spectrum of the initial PCFM waveform, establishes an optimized mathematical model, and then solves it using the heavy-ball gradient descent algorithm. Numerical experiments indicate that the proposed method effectively addresses the problem of waveform similarity degradation caused by spectral expansion while reducing waveform ACSLs. At the same time, a balance between reducing waveform ACSLs and preserving waveform similarity can be achieved by adjusting the parameters. Full article
(This article belongs to the Special Issue Array and Signal Processing for Radar)
Show Figures

Figure 1

22 pages, 1709 KB  
Article
Waveform Design for the Integrated Sensing, Communication, and Simultaneous Wireless Information and Power Transfer System
by Qilong Miao, Weimin Shi, Chenfei Xie, Yong Gao and Lu Chen
Sensors 2024, 24(13), 4129; https://doi.org/10.3390/s24134129 - 25 Jun 2024
Cited by 7 | Viewed by 3248
Abstract
Next-generation communication systems demand the integration of sensing, communication, and power transfer (PT) capabilities, requiring high spectral efficiency, energy efficiency, and low cost while also necessitating robustness in high-speed scenarios. Integrated sensing and communication systems (ISACSs) exhibit the ability to simultaneously perform communication [...] Read more.
Next-generation communication systems demand the integration of sensing, communication, and power transfer (PT) capabilities, requiring high spectral efficiency, energy efficiency, and low cost while also necessitating robustness in high-speed scenarios. Integrated sensing and communication systems (ISACSs) exhibit the ability to simultaneously perform communication and sensing tasks using a single RF signal, while simultaneous wireless information and power transfer (SWIPT) systems can handle simultaneous information and energy transmission, and orthogonal time frequency space (OTFS) signals are adept at handling high Doppler scenarios. Combining the advantages of these three technologies, a novel cyclic prefix (CP) OTFS-based integrated simultaneous wireless sensing, communication, and power transfer system (ISWSCPTS) framework is proposed in this work. Within the ISWSCPTS, the CP-OTFS matched filter (MF)-based target detection and parameter estimation (MF-TDaPE) algorithm is proposed to endow the system with sensing capabilities. To enhance the system’s sensing capability, a waveform design algorithm based on CP-OTFS ambiguity function shaping (AFS) is proposed, which is solved by an iterative method. Furthermore, to maximize the system’s sensing performance under communication and PT quality of service (QoS) constraints, a semidefinite relaxation (SDR) beamforming design (SDR-BD) algorithm is proposed, which is solved using through the SDR technique. The simulation results demonstrate that the ISWSCPTS exhibits stronger parameter estimation performance in high-speed scenarios compared to orthogonal frequency division multiplexing (OFDM), the waveform designed by CP-OTFS AFS demonstrates superior interference resilience, and the beamforming designed by SDR-BD strikes a balance in the overall performance of the ISWSCPTS. Full article
(This article belongs to the Section Sensor Networks)
Show Figures

Figure 1

25 pages, 2214 KB  
Article
On a Closer Look of a Doppler Tolerant Noise Radar Waveform in Surveillance Applications
by Maximiliano Barbosa, Leandro Pralon, Antonio L. L. Ramos and José Antonio Apolinário
Sensors 2024, 24(8), 2532; https://doi.org/10.3390/s24082532 - 15 Apr 2024
Cited by 3 | Viewed by 2666
Abstract
The prevalence of Low Probability of Interception (LPI) and Low Probability of Exploitation (LPE) radars in contemporary Electronic Warfare (EW) presents an ongoing challenge to defense mechanisms, compelling constant advances in protective strategies. Noise radars are examples of LPI and LPE systems that [...] Read more.
The prevalence of Low Probability of Interception (LPI) and Low Probability of Exploitation (LPE) radars in contemporary Electronic Warfare (EW) presents an ongoing challenge to defense mechanisms, compelling constant advances in protective strategies. Noise radars are examples of LPI and LPE systems that gained substantial prominence in the past decade despite exhibiting a common drawback of limited Doppler tolerance. The Advanced Pulse Compression Noise (APCN) waveform is a stochastic radar signal proposed to amalgamate the LPI and LPE attributes of a random waveform with the Doppler tolerance feature inherent to a linear frequency modulation. In the present work, we derive closed-form expressions describing the APCN signal’s ambiguity function and spectral containment that allow for a proper analysis of its detection performance and ability to remove range ambiguities as a function of its stochastic parameters. This paper also presents a more detailed address of the LPI/LPE characteristic of APCN signals claimed in previous works. We show that sophisticated Electronic Intelligence (ELINT) systems that employ Time Frequency Analysis (TFA) and image processing methods may intercept APCN and estimate important parameters of APCN waveforms, such as bandwidth, operating frequency, time duration, and pulse repetition interval. We also present a method designed to intercept and exploit the unique characteristics of the APCN waveform. Its performance is evaluated based on the probability of such an ELINT system detecting an APCN radar signal as a function of the Signal-to-Noise Ratio (SNR) in the ELINT system. We evaluated the accuracy and precision of the random variables characterizing the proposed estimators as a function of the SNR. Results indicate a probability of detection close to 1 and show good performance, even for scenarios with a SNR slightly less than 10 dB. The contributions in this work offer enhancements to noise radar capabilities while facilitating improvements in ESM systems. Full article
(This article belongs to the Special Issue Radar Signal Detection, Recognition and Identification)
Show Figures

Figure 1

16 pages, 2514 KB  
Article
A Comparative Study of Transcranial Color-Coded Doppler (TCCD) and Transcranial Doppler (TCD) Ultrasonography Techniques in Assessing the Intracranial Cerebral Arteries Haemodynamics
by Simon Takadiyi Gunda, Tsam Kit Veronica Ng, Tsz-Ying Liu, Ziman Chen, Xinyang Han, Xiangyan Chen, Marco Yiu-Chung Pang and Michael Tin-Cheung Ying
Diagnostics 2024, 14(4), 387; https://doi.org/10.3390/diagnostics14040387 - 10 Feb 2024
Cited by 9 | Viewed by 5326
Abstract
Cerebrovascular disease (CVD) poses a major public health and socio-economic burden worldwide due to its high morbidity and mortality rates. Accurate assessment of cerebral arteries’ haemodynamic plays a crucial role in the diagnosis and treatment management of CVD. The study compared a non-imaging [...] Read more.
Cerebrovascular disease (CVD) poses a major public health and socio-economic burden worldwide due to its high morbidity and mortality rates. Accurate assessment of cerebral arteries’ haemodynamic plays a crucial role in the diagnosis and treatment management of CVD. The study compared a non-imaging transcranial Doppler ultrasound (TCD) and transcranial color-coded Doppler ultrasound (with (cTCCD) and without (ncTCCD)) angle correction in quantifying middle cerebral arteries (MCAs) haemodynamic parameters. A cross-sectional study involving 50 healthy adults aged ≥ 18 years was conducted. The bilateral MCAs were insonated via three trans-temporal windows (TTWs—anterior, middle, and posterior) using TCD, cTCCD, and ncTCCD techniques. The MCA peak systolic velocity (PSV) and mean flow velocity (MFV) were recorded at proximal and distal imaging depths that could be visualised on TCCD with a detectable spectral waveform. A total of 152 measurements were recorded in 41 (82%) subjects with at least one-sided open TTW across the three techniques. The mean PSVs measured using TCD, ncTCCD, and cTCCD were 83 ± 18 cm/s, 81 ± 19 cm/s, and 93 ± 21 cm/s, respectively. There was no significant difference in PSV between TCD and ncTCCD (bias = 2 cm/s, p = 1.000), whereas cTCCD yielded a significantly higher PSV than TCD and ncTCCD (bias = −10 cm/s, p < 0.001; bias = −12 cm/s, p ≤ 0.001, respectively). The bias in MFV between TCD and ncTCCD techniques was (bias = −0.5 cm/s; p = 1.000), whereas cTCCD demonstrated a higher MFV compared to TCD and ncTCCD (bias = −8 cm/s, p < 0.001; bias = −8 cm/s, p ≤ 0.001, respectively). TCCD is a practically applicable imaging technique in assessing MCA blood flow velocities. cTCCD is more accurate and tends to give higher MCA blood flow velocities than non-imaging TCD and ncTCCD techniques. ncTCCD is comparable to non-imaging TCD and should be considered in clinical cases where using both TCD and TCCD measurements is needed. Full article
(This article belongs to the Section Medical Imaging and Theranostics)
Show Figures

Figure 1

21 pages, 9650 KB  
Article
High-Resolution Wideband Waveform Design for Sonar Based on Multi-Parameter Modulation
by Tong Duan, Hong Liang, Zezhou Dai and Lei Yue
Remote Sens. 2023, 15(18), 4603; https://doi.org/10.3390/rs15184603 - 19 Sep 2023
Cited by 3 | Viewed by 2552
Abstract
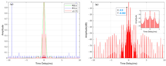
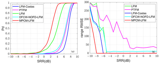
The design of transmitting waveforms is an effective way to improve the detection performance of sonar systems. For the problem of high-range sidelobe when designing reverberation-resistant waveforms, this paper proposes a high-resolution wideband composite waveform design with reverberation suppression performance and a waveform [...] Read more.
The design of transmitting waveforms is an effective way to improve the detection performance of sonar systems. For the problem of high-range sidelobe when designing reverberation-resistant waveforms, this paper proposes a high-resolution wideband composite waveform design with reverberation suppression performance and a waveform parameter improvement method. Firstly, we propose a novel wideband waveform, which utilizes linear frequency modulation (LFM) as the fundamental pulse, referred to as multi-parameter coded modulation LFM pulse (MPCM-LFM). Additionally, we deduce the wideband ambiguity function for waveform design. Then, we deduce the constraint relations of the waveform parameters for different sub-band overlaps, and according to the mathematical expressions of the obtained range ambiguity function, we analyze in detail the effects of the waveform parameters on the range ambiguity function under different constraints. Secondly, on the basis of the analysis, we also propose a hopping carrier frequency constraint rule to optimize the spectral performance, and the range sidelobe is restrained effectively in significant measure by this parameter improvement method. Finally, we analyze the computer simulation results. It is obvious that our proposed waveform parameter improvement method leads to good results. The proposed improved MPCM-LFM signal shows a “near-thumbtack” ambiguity function, whose sidelobe suppression performance is superior to other classical waveforms in the desired region, and it can realize high-precision parameter estimation. In addition, the proposed improved MPCM-LFM signal possesses good performance in detecting stationary and low Doppler targets in the background of reverberation. Full article
Show Figures

Graphical abstract

15 pages, 8864 KB  
Article
Doppler Examination of the Testicular Artery of Beagle-Breed Dogs from Birth to Puberty
by Athina P. Venianaki, Mariana S. Barbagianni, George C. Fthenakis, Apostolos D. Galatos and Pagona G. Gouletsou
Tomography 2023, 9(4), 1408-1422; https://doi.org/10.3390/tomography9040112 - 23 Jul 2023
Cited by 6 | Viewed by 3711
Abstract
The objectives were (a) the study of haemodynamic parameters of blood flow within the testicular artery, (b) the assessment of differences in these parameters at different segments of the artery (i.e., sequentially, as the artery flows through different regions of the testis), and [...] Read more.
The objectives were (a) the study of haemodynamic parameters of blood flow within the testicular artery, (b) the assessment of differences in these parameters at different segments of the artery (i.e., sequentially, as the artery flows through different regions of the testis), and (c) the identification of potential associations with measures of testicular maturation. Eight healthy beagle-breed male dogs were monitored at fortnightly intervals from the 4th to the 40th week of life, by using clinical, seminological, and ultrasonographic (B-mode, pulsed-wave Doppler) examinations. Haemodynamic parameters were assessed at four different segments of the testicular artery: at the distal supra-testicular, the marginal testicular at the cranial pole of the testis, the marginal testicular at the caudal pole of the testis, and the intratesticular. The study period was divided into three time slots (pre-puberty, puberty, and post-puberty) depending on testicular maturation and sperm production. No clinically evident abnormalities were seen in any animal throughout the study. Semen ejaculates were first collected on the 28th week, and spermatozoa were first seen on the 30th week of life. The results of B-mode examination indicated that in all dogs, the echogenicity of the testicular parenchyma was homogeneous. The waveforms of the blood flow in the testicular artery were monophasic with systolic peaks, low diastolic flow, and low vascular resistance. Most cases of significant differences between the three age periods were noted for the comparison of the pre-pubertal to pubertal periods (n = 11); among the parameters studied, the blood volume (n = 9) showed most instances of significant differences; finally, most cases of significant differences were noted in the distal supra-testicular artery (n = 12). Correlations were mainly seen for the end diastolic velocity, the peak systolic velocity and the blood volume (each with two semen evaluation parameters). The distal supra-testicular and the marginal artery at the cranial pole of the testis are recommended as the most appropriate segments of the vessel for performing a Doppler examination in the testicular artery due to the adequate size and the clear spectral waveforms as early as the 12th week of age of the animals. Full article
(This article belongs to the Section Cardiovascular Imaging)
Show Figures

Figure 1

15 pages, 4187 KB  
Article
Ultrasound Evaluation of Extracranial Cerebral Circulation (The Common, External and Internal Carotid Artery) in Different Breeds of Dogs
by Marieta K. Ševčíková, Mária Figurová, Karol Ševčík, Marián Hluchý, Michal Domaniža, Mária Lapšanská, Zuzana Drahovská and Zdeněk Žert
Animals 2023, 13(10), 1584; https://doi.org/10.3390/ani13101584 - 9 May 2023
Cited by 2 | Viewed by 7582
Abstract
Noninvasive Doppler ultrasonography (US) examination is a standard method for the clinical evaluation of the carotid arteries. Extracranial cerebral circulation includes the common carotid artery (CCA), the external carotid artery (ECA), and the extracranial part of the internal carotid artery (ICA). The present [...] Read more.
Noninvasive Doppler ultrasonography (US) examination is a standard method for the clinical evaluation of the carotid arteries. Extracranial cerebral circulation includes the common carotid artery (CCA), the external carotid artery (ECA), and the extracranial part of the internal carotid artery (ICA). The present study was conducted with the objective of assessing physiological normative values and describing the appearance of spectral waveforms of extracranial arteries in 104 healthy dogs of eight breeds divided into four groups according to weight. We also focused on searching for correlations for carotid blood velocities with the resistive index (RI), body weight and diameter, and differences between observers and the influence of sex in the calculations of Doppler parameters. In the evaluated breeds, significant differences were found in the velocity of peak systolic velocity (PSV) and end diastolic velocity (EDV). There was a strong correlation between body weight and peak systolic velocity, the RI index and CCA diameter. The intra-observer agreement for the PSV and EDV parameters in each vessel was considered excellent reliability, and overall interobserver agreement showed very good reliability. This study could improve the descriptions of physiological values and waveforms recorded in carotid arteries. Defining the physiological values of velocity and the resistive index (RI) helps in the easier identification of pathology and diagnosis of disease. Our results may be used for further studies of vascular diseases in veterinary medicine that correlate with the pathology of neurological disorders of ischemic origin, further in thromboembolism, oncologic disease and degenerative, proliferative and inflammatory diseases of the arteries that lead to stenosis Full article
(This article belongs to the Special Issue New Advances in Canine and Feline Diagnostics)
Show Figures

Figure 1

16 pages, 884 KB  
Article
A Structured Sparse Bayesian Channel Estimation Approach for Orthogonal Time—Frequency Space Modulation
by Mi Zhang, Xiaochen Xia, Kui Xu, Xiaoqin Yang, Wei Xie, Yunkun Li and Yang Liu
Entropy 2023, 25(5), 761; https://doi.org/10.3390/e25050761 - 6 May 2023
Cited by 1 | Viewed by 3122
Abstract
Orthogonal time–frequency space (OTFS) modulation has been advocated as a promising waveform for achieving integrated sensing and communication (ISAC) due to its superiority in high-mobility adaptability and spectral efficiency. In OTFS modulation-based ISAC systems, accurate channel acquisition is critical for both communication reception [...] Read more.
Orthogonal time–frequency space (OTFS) modulation has been advocated as a promising waveform for achieving integrated sensing and communication (ISAC) due to its superiority in high-mobility adaptability and spectral efficiency. In OTFS modulation-based ISAC systems, accurate channel acquisition is critical for both communication reception and sensing parameter estimation. However, the existence of the fractional Doppler frequency shift spreads the effective channels of the OTFS signal significantly, making efficient channel acquisition very challenging. In this paper, we first derive the sparse structure of the channel in the delay Doppler (DD) domain according to the input and output relationship of OTFS signals. On this basis, a new structured Bayesian learning approach is proposed for accurate channel estimation, which includes a novel structured prior model for the delay-Doppler channel and a successive majorization–minimization (SMM) algorithm for efficient posterior channel estimate computation. Simulation results show that the proposed approach significantly outperforms the reference schemes, especially in the low signal-to-noise ratio (SNR) region. Full article
(This article belongs to the Special Issue Delay-Doppler Domain Communications for Future Wireless Networks)
Show Figures

Figure 1

11 pages, 3699 KB  
Technical Note
Extravascular Ultrasound (EVUS) to Assess the Results of Peripheral Endovascular Procedures
by Stefano Fazzini, Federico Francisco Pennetta, Valerio Turriziani, Simona Vona, Andrea Ascoli Marchetti and Arnaldo Ippoliti
Diagnostics 2023, 13(7), 1356; https://doi.org/10.3390/diagnostics13071356 - 6 Apr 2023
Cited by 5 | Viewed by 2678
Abstract
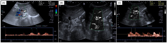
Contrast arteriography (CA) is considered the gold standard to evaluate any phase in peripheral arterial disease (PAD) interventions, from diagnostics to final results. Nevertheless, duplex ultrasonography (DUS) mostly used for the pre/postoperative phase and follow-up control, could be a potential intraoperative adjunctive imaging [...] Read more.
Contrast arteriography (CA) is considered the gold standard to evaluate any phase in peripheral arterial disease (PAD) interventions, from diagnostics to final results. Nevertheless, duplex ultrasonography (DUS) mostly used for the pre/postoperative phase and follow-up control, could be a potential intraoperative adjunctive imaging tool to assess the effects of endovascular revascularization in patients with iliac and femoropopliteal lesions. The PAD “duplex-assisted” protocol includes a preoperative DUS control followed by an intraoperative and a postoperative control. The most important parameters are pulsed doppler spectral analysis and waveform changes, which are impossible to detect with intravascular ultrasound (IVUS). By using a similar acronym, the intraoperative DUS has been previously described as extravascular ultrasound (EVUS). B-mode imaging, color flow, and peak systolic velocity (PSV) are considered. EVUS could be very useful to evaluate the effects of endovascular treatment, mainly in cases of unclear CAs, severe calcifications and/or dissections. In the context of the “leaving nothing behind” strategy, EVUS can drive the physician to evaluate the absence of flow-limiting dissections and decide which target lesion should be treated with antirestenotic therapy, further vessel preparation, or stenting. The EVUS protocol could be a safe and feasible option to improve the completion assessment of endovascular PAD treatment. A better ultrasound waveform is a sign of improved luminal gain and compliance, which is extremely important to finalize the results of new peripheral device technology, such as intravascular lithotripsy. Full article
(This article belongs to the Special Issue Critical Limb Threatening Ischemia in the COVID Era)
Show Figures

Figure 1

7 pages, 1600 KB  
Article
Superb Microvascular Imaging (SMI) Compared with Color Doppler Ultrasound for the Assessment of Hepatic Artery in Pediatric Liver Transplants: A Feasibility Study
by Elona Collaku, Roberto Simonini, Maurizio Balbi, Pietro Andrea Bonaffini, Clarissa Valle, Cesare Morzenti, Romina Fatima Faseli, Alberto Ferrari, Davide Ippolito, Paolo Marra, Tiziano Barbui and Sandro Sironi
Diagnostics 2022, 12(6), 1476; https://doi.org/10.3390/diagnostics12061476 - 16 Jun 2022
Cited by 12 | Viewed by 3188
Abstract
(1) Background: Despite progression in surgical techniques and immunological treatments, hepatic artery (HA) thrombosis and stenosis still develop as an early or late liver transplant (LT) complication. We aimed to compare superb microvascular imaging (SMI) with conventional Doppler imaging (CDI) in the assessment [...] Read more.
(1) Background: Despite progression in surgical techniques and immunological treatments, hepatic artery (HA) thrombosis and stenosis still develop as an early or late liver transplant (LT) complication. We aimed to compare superb microvascular imaging (SMI) with conventional Doppler imaging (CDI) in the assessment of HA in a cohort of pediatric patients undergoing follow-up ultrasound (US) for LT. (2) Methods: This prospective, observational study included 73 pediatric LT recipients (median age, 7 years; IQR, 5.8 years; 35 females) who underwent US during LT follow-up from March to December 2019. For each examination, CDI and SMI were separately assessed in terms of HA visibility and spectral waveform morphology (SWM). The former was scored based on HA discrimination from the blooming signal of the surrounding vessels, as follows: 0, not visible; 1, majority course hardly distinguishable; and 2, majority course clearly distinguishable. The latter was scored on a two-point scale: 0, combined venous and arterial SWM, and 1, pure arterial SWM. The patient’s overall score was finally calculated by adding the two individual scores. (3) Results: Both the absolute scores and frequency of overall scores equal to 3 (maximum global score) were higher using SMI compared with CDI. The median overall score was 3 for SMI and 2 for CDI (p = 0.011; IQR = 1). An overall score equal to 3 was obtained in 74% and 49.3% of the study population using SMI and CDI, respectively (p = 0.002). This was attributable to a better score in HA visibility (p = 0.007). (4) Conclusions: SMI has shown promise for assessing HA in pediatric LT recipients, possibly serving as a complementary non-invasive tool of CDI in everyday practice. Full article
(This article belongs to the Section Medical Imaging and Theranostics)
Show Figures

Figure 1

9 pages, 2870 KB  
Article
Evaluation of Hemodynamic Changes in Retrobulbar Blood Vessels Using Color Doppler Imaging in Diabetic Patients
by Gulshan Madhpuriya, Sudheer Gokhale, Alka Agrawal, Prakhar Nigam and Yung-Liang Wan
Life 2022, 12(5), 629; https://doi.org/10.3390/life12050629 - 23 Apr 2022
Cited by 17 | Viewed by 3424
Abstract
Background—Diabetic retinopathy is a common complication of long-standing hyperglycemia. Microangiopathy-induced retinal changes are well-visualized on ophthalmoscopic examination. However, certain hemodynamic alterations have also been documented in the diabetic population, which have not been completely understood. Aim—To study the hemodynamic changes in retrobulbar circulation [...] Read more.
Background—Diabetic retinopathy is a common complication of long-standing hyperglycemia. Microangiopathy-induced retinal changes are well-visualized on ophthalmoscopic examination. However, certain hemodynamic alterations have also been documented in the diabetic population, which have not been completely understood. Aim—To study the hemodynamic changes in retrobulbar circulation in diabetic patients with and without retinopathy, and to compare these changes with non-diabetic controls. Materials and Methods—This hospital-based prospective study included 50 diabetic and 50 non-diabetic patients. The diabetic groups consisted of 25 patients without retinopathy and 25 patients with retinopathy, and were labeled as Groups I and II, respectively. All subjects underwent orbital color Doppler ultrasonography using a linear high-frequency probe. The color Doppler parameters (peak systolic velocity (PSV), end-diastolic velocity (EDV), and resistive index (RI)) were measured and recorded using the spectral waveform of the ophthalmic artery (OA), central retinal artery (CRA), and short posterior ciliary arteries (SPCA). Comparison of obtained values was carried out using appropriate tests of significance. Results—The resistive indices of the ophthalmic, central retinal, and short posterior ciliary arteries were significantly higher in diabetic patients compared to controls (p < 0.001). The difference was also significant between Group I and Group II. Comparison of PSV and EDV of CRA and SPCAs among three groups using one-way ANOVA revealed a significant difference, with the highest blood flow velocities in the control group and the lowest in diabetics with retinopathy. The ophthalmic artery showed no significant change in blood flow velocity. Analysis using the Pearson correlation coefficient provided a positive correlation between the RI values of OA, CRA, and SPCA and the presence of diabetic retinopathy (OA = r 0.417, p < 0.001; CRA = r 0.466, p < 0.001; SPCA = r 0.438; p < 0.001). Conclusions—The resistive index of OA, CRA, and SPCA is a reliable indicator to assess diabetic-associated hemodynamic changes. The use of orbital color Doppler ultrasonography in diabetic patients can help in the identification of patients who are at risk of developing retinopathy. Full article
(This article belongs to the Special Issue Ultrasound Imaging in Medicine Research)
Show Figures

Figure 1

12 pages, 1877 KB  
Article
High-Frequency Radar Cross Section of Ocean Surface for an FMICW Source
by Hangyu Zhao, Yeping Lai, Yuhao Wang and Hao Zhou
J. Mar. Sci. Eng. 2021, 9(4), 427; https://doi.org/10.3390/jmse9040427 - 15 Apr 2021
Cited by 3 | Viewed by 3868
Abstract
The frequency-modulated interrupted continuous waveform (FMICW) has been widely used in remotely sensing sea surface states by high-frequency ground wave radar (HFGWR). However, the radar cross section model of the sea surface for this waveform has not yet been presented. Therefore, the first- [...] Read more.
The frequency-modulated interrupted continuous waveform (FMICW) has been widely used in remotely sensing sea surface states by high-frequency ground wave radar (HFGWR). However, the radar cross section model of the sea surface for this waveform has not yet been presented. Therefore, the first- and second-order cross section models of the sea surface about this waveform are derived in this study. The derivation begins with the general electric field equations. Subsequently, the FMICW source is introduced as the radar transmitted signal to obtain the FMICW-incorporated backscattered electric field equations. These equations are used to calculate range spectra by Fourier transforming. Therefore, Fourier transformation of the range spectra calculated from successive sweep intervals gives the Doppler spectra or the power spectral densities. The radar cross section model is obtained by directly comparing the Doppler spectra with the standard radar range equation. Moreover, the derived first- and second-order radar cross section models for an FMICW source are simulated and compared with those for a frequency-modulated continuous waveform (FMCW) source. Results show that the cross section models for the FMICW and FMCW cases have different analytical expressions but almost the same numerical results. Full article
(This article belongs to the Special Issue Development of Oceanographic Sensors)
Show Figures

Figure 1

Back to TopTop