Sign in to use this feature.

Years

Between: -

Subjects

remove_circle_outline
remove_circle_outline
remove_circle_outline
remove_circle_outline
remove_circle_outline
remove_circle_outline
remove_circle_outline
remove_circle_outline
remove_circle_outline

Journals

Article Types

Countries / Regions

remove_circle_outline
remove_circle_outline
remove_circle_outline
remove_circle_outline

Search Results (370)

Search Parameters:
Keywords = Sertoli

Order results
Result details
Results per page
Select all
Export citation of selected articles as:
29 pages, 2593 KB  
Article
Naproxen and Ibuprofen Exposure Alter the Blood–Testis Barrier in a Novel In Vitro Model
by Krista M. Symosko Crow, In Ki Cho, Robert Clayton Edenfield, Kristen F. Easley, Ana Planinić, Nagham Younis, Elizabeth Waters, James S. McClellan, Amanda Colvin Zielen, Kylie Tager, Carlos Castro, Calvin Simerly, Kyle Orwig, Davor Ježek, Michael Koval and Charles A. Easley
Int. J. Mol. Sci. 2026, 27(7), 3033; https://doi.org/10.3390/ijms27073033 - 26 Mar 2026
Viewed by 188
Abstract
Semen parameters, including sperm counts, have rapidly declined in men across the globe over the last five decades. Although this decline remains unexplained, lifestyle factors may affect male fertility. Recently, several studies highlighted a potential link between non-steroidal anti-inflammatory drug (NSAID) usage, such [...] Read more.
Semen parameters, including sperm counts, have rapidly declined in men across the globe over the last five decades. Although this decline remains unexplained, lifestyle factors may affect male fertility. Recently, several studies highlighted a potential link between non-steroidal anti-inflammatory drug (NSAID) usage, such as naproxen and ibuprofen, and declining male fertility. However, the mechanisms by which these common analgesics affect male fertility, including their effects on the blood–testis barrier (BTB), remain poorly characterized. Utilizing an in vitro rhesus macaque non-human primate (NHP) BTB model, we demonstrate that serum levels of naproxen and ibuprofen alter the function of BTB. Following short-term naproxen and ibuprofen treatment of NHP primary Sertoli cells, we show that these NSAIDs increase the transepithelial electrical resistance, indicating an overall strengthening of the Sertoli cell junctions. Furthermore, naproxen and ibuprofen treatment alter the expression of genes involved in maintaining the BTB. Specifically, the genes that were significantly expressed in response to ibuprofen exposure were enriched for human phenotypic abnormalities linked to male factor infertility. Together, these results suggest that short-term naproxen and ibuprofen treatment disrupt the function of the BTB by altering the integrity of the Sertoli cell junctions, proposing a potential role of NSAIDs in male factor infertility. Full article
(This article belongs to the Special Issue Sperm Oxidative Stress and Male Infertility)
14 pages, 2367 KB  
Review
Inflammatory and Nested Testicular Sex Cord Tumors: Clinical and Molecular Characterization
by Panagiotis J. Vlachostergios, Foteini Karasavvidou, Konstantinos Evmorfopoulos, Ioannis Zachos and Vassilios Tzortzis
Genes 2026, 17(3), 340; https://doi.org/10.3390/genes17030340 - 19 Mar 2026
Viewed by 239
Abstract
Inflammatory and nested testicular sex cord tumor (IN-TSCT) is a recently characterized malignant neoplasm within the spectrum of testicular sex cord–stromal tumors. Previously misclassified as Sertoli cell tumor, not otherwise specified, or as seminoma, this entity has emerged as a distinct clinicopathologic and [...] Read more.
Inflammatory and nested testicular sex cord tumor (IN-TSCT) is a recently characterized malignant neoplasm within the spectrum of testicular sex cord–stromal tumors. Previously misclassified as Sertoli cell tumor, not otherwise specified, or as seminoma, this entity has emerged as a distinct clinicopathologic and molecular subtype defined by recurrent EWSR1::ATF1 gene fusions and a potentially aggressive clinical course. Patients most commonly present with unilateral painless testicular enlargement, and radiologic findings are typically nonspecific. Histologically, tumors demonstrate solid and nested growth patterns, epithelioid cytology with eosinophilic to clear cytoplasm, prominent hyalinized stroma, and a conspicuous inflammatory infiltrate. Immunophenotypically, tumors express sex cord–stromal markers, including steroidogenic factor-1 (SF-1) and inhibin, and frequently co-express epithelial membrane antigen and CD30 while lacking germ cell tumor markers. Molecular studies indicate fusion-driven oncogenesis associated with low tumor mutational burden. Published cases suggest that IN-TSCT may exhibit aggressive clinical behavior, including metastatic spread in a subset of patients; however, the total number of reported cases remains very limited, and the true metastatic risk and prognostic spectrum have not yet been clearly defined. This review synthesizes the available literature to provide a comprehensive clinicopathologic and molecular overview of this emerging tumor entity. Full article
(This article belongs to the Section Human Genomics and Genetic Diseases)
Show Figures

Figure 1

29 pages, 3570 KB  
Article
In Vitro Insights on a Gut–Testis Axis Model by a Nutraceutical Combination of Ceratonia siliqua, Ribonucleotides and Bifidobacterium longum
by Simone Mulè, Rebecca Galla, Francesca Parini, Matteo Musu and Francesca Uberti
Nutraceuticals 2026, 6(1), 19; https://doi.org/10.3390/nutraceuticals6010019 - 12 Mar 2026
Viewed by 235
Abstract
Oxidative stress and environmental factors impair spermatogenesis and testicular function. The gut–testis axis has emerged as an important regulator of male reproductive health, influencing spermatogenesis beyond traditional endocrine control. This study evaluated the efficacy of a combination of Carob (Ceratonia siliqua), [...] Read more.
Oxidative stress and environmental factors impair spermatogenesis and testicular function. The gut–testis axis has emerged as an important regulator of male reproductive health, influencing spermatogenesis beyond traditional endocrine control. This study evaluated the efficacy of a combination of Carob (Ceratonia siliqua), Bifidobacterium longum GA24, and ribonucleotides (MIX) on in vitro models of the gut–testis axis (co-culture Caco-2/HSerC on Transwell® system). At the intestinal level, MIX increased Caco-2 cell viability, improved tight junction levels, regulated ROS production, and increased butyrate synthesis beyond physiological values, highlighting improved intestinal barrier function and integrity. In the gut–testis model, HSerC cells subjected to H2O2 300 μM showed 1.5-fold increased viability, 81% reduction in ROS, increased ATP (+1.7-fold) and NO (+1.8-fold). The MIX combination reduced the apoptotic markers BAX (−1.6-fold), caspase-3 (−1.84-fold), and Cyto-C (−1.52-fold), and the inflammatory mediators TNFα and IL-6. MIX enhanced Sertoli cell maturation markers, increasing AR by 6-fold, p27 by 1.64-fold, and SGP-2 by 2.5-fold, and modulated hormonal-related markers by increasing testosterone and FSHR expression. These findings indicate that MIX may positively modulate the gut–testicular axis, supporting the intestinal barrier, testicular health, and spermatogenesis. Full article
Show Figures

Graphical abstract

19 pages, 984 KB  
Review
Inflammation-Driven Remodeling of the Blood–Testis Barrier: Roles of Junctional Complexes, Actin Dynamics, and Kinase Signaling
by Zoltán Virág, András Nagy, Viktória Kiss, Denise Börzsei, Csaba Varga and Renáta Szabó
Biomedicines 2026, 14(2), 423; https://doi.org/10.3390/biomedicines14020423 - 13 Feb 2026
Viewed by 601
Abstract
The blood–testis barrier (BTB) is a highly specialized and dynamic junctional structure formed by adjacent Sertoli cells that is essential for maintaining testicular immune privilege and supporting spermatogenesis. While the BTB undergoes tightly regulated, stage-dependent remodeling under physiological conditions, inflammatory stimuli can profoundly [...] Read more.
The blood–testis barrier (BTB) is a highly specialized and dynamic junctional structure formed by adjacent Sertoli cells that is essential for maintaining testicular immune privilege and supporting spermatogenesis. While the BTB undergoes tightly regulated, stage-dependent remodeling under physiological conditions, inflammatory stimuli can profoundly disturb this process. Accumulating evidence indicates that inflammatory conditions disrupt BTB integrity by altering junctional protein organization, cytoskeletal dynamics, and barrier permeability. We aimed to integrate current evidence to elucidate the key pathways by which inflammation impairs BTB integrity, drawing on studies using intratesticular administration of pro-inflammatory cytokines and experimental rodent models of reproductive dysfunction characterized by pathological inflammation, including chemotherapy-induced inflammation and orchitis. Collectively, findings from these models demonstrate that inflammatory signaling compromises BTB integrity, destabilizes the spermatogenic niche, and may contribute to impaired spermatogenesis. Our narrative review frames the BTB as a dynamic and inflammation-sensitive structure whose regulation emerges from the coordinated action of inflammatory pathways, cytoskeletal remodeling, and junction-associated signaling modules, rather than from isolated molecular events. Full article
Show Figures

Figure 1

19 pages, 662 KB  
Review
Paediatric Ovarian Neoplasms: Histopathological, Molecular, and Translational Perspectives
by Andrea Marzullo and Cecilia Salzillo
BioChem 2026, 6(1), 5; https://doi.org/10.3390/biochem6010005 - 11 Feb 2026
Viewed by 360
Abstract
Paediatric ovarian neoplasms are rare and histologically diverse tumours with distinct clinical behaviour and prognosis compared to their adult counterparts. This review synthesises current knowledge from an anatomical pathology perspective, emphasising diagnostic and therapeutic strategies. Paediatric ovarian tumours are classified into three main [...] Read more.
Paediatric ovarian neoplasms are rare and histologically diverse tumours with distinct clinical behaviour and prognosis compared to their adult counterparts. This review synthesises current knowledge from an anatomical pathology perspective, emphasising diagnostic and therapeutic strategies. Paediatric ovarian tumours are classified into three main categories: germ cell tumours, sex cord-stromal tumours, and epithelial neoplasms. Germ cell tumours, the most frequent in children, include dysgerminoma, mature and immature teratoma, yolk sac tumour, and choriocarcinoma. Sex cord-stromal tumours encompass Sertoli-Leydig cell tumours, juvenile granulosa cell tumours, and adrenal-like stromal tumours, while epithelial tumours, rare in paediatric patients, include serous and mucinous adenocarcinomas or cystadenomas. Clinical presentation is often nonspecific, with abdominal pain, pelvic mass, or endocrine abnormalities. Diagnosis integrates imaging, serum tumour markers, and histopathology supported by immunohistochemistry. Treatment prioritises fertility-sparing surgery, with selective adjuvant chemotherapy based on histotype and stage. Despite generally favourable outcomes, the rarity of these tumours limits high-quality evidence, highlighting the need for referral centres and multicenter studies. Standardised diagnostic protocols and personalised therapeutic approaches are essential to optimising clinical outcomes and preserve long-term reproductive function. Full article
Show Figures

Figure 1

14 pages, 1179 KB  
Review
Gonadotropins in Mini-Puberty: Pathophysiological and Therapeutic Implications for Male Congenital Hypogonadism
by Ignazio Cammisa, Donato Rigante and Clelia Cipolla
Children 2026, 13(1), 133; https://doi.org/10.3390/children13010133 - 15 Jan 2026
Viewed by 588
Abstract
Background: Mini-puberty is a transient but critical postnatal activation of the hypothalamic–pituitary–gonadal axis, essential for male gonadal maturation, penile and testicular growth, and future reproductive potential: this physiological hormonal surge is absent or blunted in congenital hypogonadotropic hypogonadism (CHH), often manifesting as micropenis, [...] Read more.
Background: Mini-puberty is a transient but critical postnatal activation of the hypothalamic–pituitary–gonadal axis, essential for male gonadal maturation, penile and testicular growth, and future reproductive potential: this physiological hormonal surge is absent or blunted in congenital hypogonadotropic hypogonadism (CHH), often manifesting as micropenis, cryptorchidism, and impaired Sertoli cell proliferation. Objective: The aim of this review is to summarize current evidence on the impact of early gonadotropin therapy in male infants with CHH. Methods: We conducted a comprehensive literature review using PubMed, including studies reporting on male infants with confirmed or suspected CHH receiving gonadotropin therapy. Keywords included “mini-puberty and hypogonadism”, “gonadotropins and infancy,” and “gonadotropin therapy in CHH.” Eligible studies reported biochemical outcomes (luteinizing hormone, follicle-stimulating hormone, testosterone, inhibin B, anti-Müllerian hormone) and clinical measures (penile length, testicular volume, testicular descent). Data extraction focused on endocrine responses, genital growth, and safety. Results: Twelve studies including 95 infants were analyzed. Early gonadotropin therapy effectively restored postnatal hormonal levels, with consistent increases in testosterone, inhibin B, and anti-Müllerian hormone. Clinically, treatment induced significant penile growth, increased testicular volume and partial or complete testicular descent in the majority of cases. Both continuous infusion and intermittent injection regimens were effective, though hormone kinetics and growth responses varied. No serious adverse events were reported, and therapy was generally well tolerated. Conclusions: Early gonadotropin therapy during mini-puberty represents a safe and effective intervention to replicate the physiological postnatal hormonal surge in male infants with CHH. Prospective longitudinal studies are warranted to evaluate sustained effects on puberty, fertility, and adult reproductive function. Full article
(This article belongs to the Section Pediatric Endocrinology & Diabetes)
Show Figures

Figure 1

31 pages, 793 KB  
Review
When Testosterone Fades: Leydig Cell Aging Shaped by Environmental Toxicants, Metabolic Dysfunction, and Testicular Niche Crosstalk
by Aris Kaltsas, Fotios Dimitriadis, Athanasios Zachariou, Sotirios Koukos, Michael Chrisofos and Nikolaos Sofikitis
Cells 2026, 15(2), 158; https://doi.org/10.3390/cells15020158 - 15 Jan 2026
Viewed by 1301
Abstract
Declining Leydig cell steroidogenesis contributes to late-onset hypogonadism and to age-associated impairment of male reproductive health. Determinants of dysfunction extend beyond chronological aging. This review synthesizes recent experimental and translational evidence on cellular and molecular processes that compromise Leydig cell endocrine output and [...] Read more.
Declining Leydig cell steroidogenesis contributes to late-onset hypogonadism and to age-associated impairment of male reproductive health. Determinants of dysfunction extend beyond chronological aging. This review synthesizes recent experimental and translational evidence on cellular and molecular processes that compromise Leydig cell endocrine output and the interstitial niche that supports spermatogenesis. Evidence spanning environmental endocrine-disrupting chemicals (EDCs), obesity and metabolic dysfunction, and testicular aging is integrated with emphasis on oxidative stress, endoplasmic reticulum stress, mitochondrial dysregulation, apoptosis, disrupted autophagy and mitophagy, and senescence-associated remodeling. Across model systems, toxicant exposure and metabolic stress converge on impaired organelle quality control and altered redox signaling, with downstream loss of steroidogenic capacity and, in some settings, premature senescence within the Leydig compartment. Aging further reshapes the testicular microenvironment through inflammatory shifts and biomechanical remodeling and may erode stem and progenitor Leydig cell homeostasis, thereby constraining regenerative potential. Single-cell transcriptomic atlases advance the field by resolving Leydig cell heterogeneity, nominating subsets that appear more vulnerable to stress and aging, and mapping age-dependent rewiring of interstitial cell-to-cell communication with Sertoli cells, peritubular myoid cells, vascular cells, and immune cells. Many mechanistic insights derive from rodent in vivo studies and in vitro platforms that include immortalized Leydig cell lines, and validation in human tissue and human clinical cohorts remains uneven. Together, these findings frame mechanistically informed opportunities to preserve endogenous androgen production and fertility through exposure mitigation, metabolic optimization, fertility-preserving endocrine stimulation, and strategies that target inflammation, senescence, and regenerative capacity. Full article
Show Figures

Figure 1

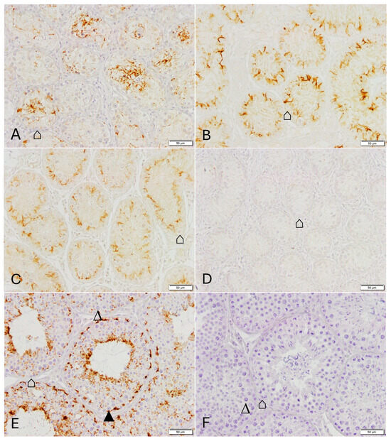
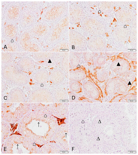
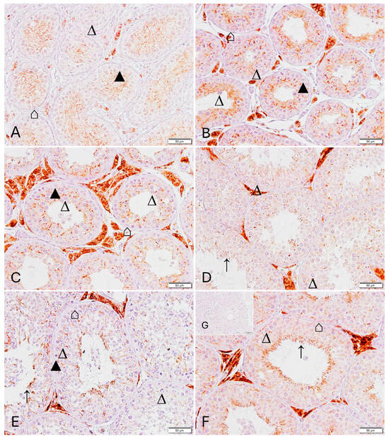
23 pages, 20867 KB  
Article
Testicular Gap (CX43) and Tight Junction (OCLN, CLDN3, 5 and 11) Components in the Dog Are Affected by GnRH-Mediated Downregulation
by Sandra Goericke-Pesch, Lena Röhrs, Sven Wallrabenstein, Agnete Frimødt Rønnow, Daniela Fietz, Ralph Brehm, Marion Langeheine, Axel Wehrend, Bernd Hoffmann, Hanna Körber and Eva-Maria Packeiser
Animals 2026, 16(2), 254; https://doi.org/10.3390/ani16020254 - 14 Jan 2026
Viewed by 321
Abstract
Following the downregulation of testicular endocrine and germinative function by slow-release gonadotropin-releasing hormone (GnRH)-agonist implants, testicular functions are quickly restored after implant removal. As an intact blood–testis barrier (BTB) is crucial for normal spermatogenesis and its integrity is FSH- and androgen-dependent, alterations in [...] Read more.
Following the downregulation of testicular endocrine and germinative function by slow-release gonadotropin-releasing hormone (GnRH)-agonist implants, testicular functions are quickly restored after implant removal. As an intact blood–testis barrier (BTB) is crucial for normal spermatogenesis and its integrity is FSH- and androgen-dependent, alterations in the BTB gene and protein expressions during downregulation and subsequent restart seem inevitable. We investigated occludin (OCLN), claudin (CLDN) 3, 5, 11, and connexin (CX) 43 mRNA-, and CLDN11 and CX43 protein expressions during GnRH implant-induced downregulation (W0) and restart of spermatogenesis after implant removal (week, W, 3–12). Untreated juvenile (JG) and adult dogs (CG) served as controls. Sertoli cells were significantly affected by treatment (reduced nuclear area, OCLN, and CLDN5 expressions). All investigated genes (except CLDN3) differed significantly during restart (W0–12) compared with CG (p < 0.05). CLDN11 and CX43 immunopositive staining was absent or diffuse cytoplasmic at downregulation and relocated at W9, indicating disruption and subsequent restorage of BTB. As W0 and JG differed considerably, our results suggest that the model cannot mimic puberty. In conclusion, GnRH implant-induced long-term gonadotropin suppression disrupts testicular CX43 and CLDN11 distribution and changes gap and tight junction mRNA expression. Treatment effects are reversible suggesting re-establishment of the BTB. Full article
(This article belongs to the Special Issue Reproduction in Domestic and Wild Carnivores)
Show Figures

Figure 1

29 pages, 14394 KB  
Article
Ultrastructural Features, Immune Response, and Junctional Proteins in the Seminiferous Epithelium of SARS-CoV-2-Infected Mice
by Salmo Azambuja de Oliveira, André Acácio Souza da Silva, Barry T. Hinton, Paulo Sérgio Cerri and Estela Sasso-Cerri
Int. J. Mol. Sci. 2026, 27(2), 691; https://doi.org/10.3390/ijms27020691 - 9 Jan 2026
Viewed by 413
Abstract
During the COVID-19 pandemic, the prevalence of death in men was higher than in women. Using transgenic mice expressing the human angiotensin-converting enzyme 2 (hACE2), we demonstrated that SARS-CoV-2 infects Leydig cells and uses its steroidogenic machinery for replication. This study investigates the [...] Read more.
During the COVID-19 pandemic, the prevalence of death in men was higher than in women. Using transgenic mice expressing the human angiotensin-converting enzyme 2 (hACE2), we demonstrated that SARS-CoV-2 infects Leydig cells and uses its steroidogenic machinery for replication. This study investigates the impact of SARS-CoV-2 in the seminiferous epithelium of K18-hACE2 mice, focusing on the immune response, junctional proteins, and spermatogenesis. The seminiferous tubules (STs) and epithelial (EA) areas were measured. The number of Sertoli cells (SCs), spermatocytes, and damaged ST was quantified. Ultrastructural analysis was performed under transmission electron microscopy. Angiotensin II levels and immunolocalization of hACE2, spike, and nucleocapsid were evaluated. TUNEL and immunoreactions for Ki-67, TNF-α, INF-γ, iNOS, NF-κB, and Conexin-43 were performed and correlated with Jam-α, Stat1, Stat3, and iNOS expressions. hACE2, spike, and nucleocapsid immunolabeling were detected in the epithelium along with high angiotensin II levels in the infected mice. The infection caused a significant reduction in ST, EA, spermatocytes, SCs, Ki-67+ cells, Cx43 immunoexpression, and Jam-a expression. In the epithelium, TNF-α, IFN-γ, iNOS, and nuclear NF-κB immunolabeling increased along with Stat1 upregulation. These findings, combined with the increased epithelial hACE2 and high angiotensin II levels, confirm epithelial responsiveness to the infection and explain the spermatogenic failure and impaired junctional proteins. The presence of viral particles, increased TNF-α immunolabeling, and apoptotic features in Sertoli cells suggests that these sustentacular cells are targets for viral infection in the epithelium, and, due to their extensive projections and ability to phagocytize dying infected germ cells, they may disseminate the viruses throughout the epithelium. Full article
Show Figures

Figure 1

23 pages, 2932 KB  
Article
Losartan Protects Against Radiation-Induced Testicular Damage by Modulating Oxidative Stress, Testosterone Levels, and Metabolic Profile
by Maria A. Spadella, Rúben J. Moreira, Patrícia C. Braga, Agnaldo B. Chies, Pedro F. Oliveira and Marco G. Alves
Pharmaceuticals 2026, 19(1), 76; https://doi.org/10.3390/ph19010076 - 30 Dec 2025
Viewed by 856
Abstract
Background/Objectives: Testicular dysfunction is a side effect of radiotherapy due to off-target damage. Germ cells are highly vulnerable. Although Sertoli and Leydig cells are more resistant, they are still affected, impairing spermatogenesis and steroidogenesis. With rising youth cancer rates, strategies to preserve fertility [...] Read more.
Background/Objectives: Testicular dysfunction is a side effect of radiotherapy due to off-target damage. Germ cells are highly vulnerable. Although Sertoli and Leydig cells are more resistant, they are still affected, impairing spermatogenesis and steroidogenesis. With rising youth cancer rates, strategies to preserve fertility are crucial. Losartan (LOS) has potential to mitigate this damage. This work aimed to determine acute and late effects of radiotherapy in testicular metabolism and if LOS mitigates those effects. Methods: Male Wistar rats (n = 47, 12 weeks old) received 2.5 Gy of ionizing radiation to the scrotum (1.05 Gy/min). LOS-treated rats received 34 mg/kg twice daily before, during and after irradiation. Animals were euthanized at 2 and 60 days post-exposure, to represent acute and late effects, respectively. Reproductive organs were weighed, serum hormones assessed (ELISA), testicular mRNA expression quantified (qPCR) and oxidative stress markers, such as lipid peroxidation, protein carbonylation, and protein nitration measured (slot-blot). Metabolomic profiles were obtained via 1H-NMR. Results: Acute irradiation reduced seminal vesicle weight, increased FSH, and decreased sperm concentration. Late effects included reduced testicular and epididymal weight, impaired sperm quality, increased protein carbonylation, and altered metabolic profiles. LOS mitigated acute weight loss but not sperm decline. Long-term, LOS improved sperm quality, reduced oxidative stress, and promoted adaptive metabolic responses. Conclusions: Irradiation-based cancer therapy causes structural and functional testicular damage and changes the testicular metabolome of rats, while LOS has the potential to be used as a radioprotector to mitigate the adverse acute and late effects of radiation on male fertility. Full article
Show Figures

Graphical abstract

19 pages, 8420 KB  
Article
Quantitative Postnatal Maturation of the Feline Testis from 6 to 36 Months: A Stereological and DHH Immunomorphological Analysis
by Paulo Salinas, Daniel Conei, María Angélica Miglino and Erwin Paz
Animals 2026, 16(1), 10; https://doi.org/10.3390/ani16010010 - 19 Dec 2025
Viewed by 554
Abstract
Postnatal testicular maturation in domestic cats remains poorly quantified despite its relevance for reproductive biology, veterinary practice, and the management of threatened felid species. This study aimed to characterize age-related changes in testicular structure from six to thirty-six months of age. Testes were [...] Read more.
Postnatal testicular maturation in domestic cats remains poorly quantified despite its relevance for reproductive biology, veterinary practice, and the management of threatened felid species. This study aimed to characterize age-related changes in testicular structure from six to thirty-six months of age. Testes were collected from clinically healthy cats undergoing routine orchiectomy, and design-based stereology was used to estimate the volumes and densities of the main testicular components, including the seminiferous epithelium, interstitial tissue, Sertoli cells, and Leydig cells. Immunohistochemical detection of Desert Hedgehog, a developmental signaling molecule, was performed to assess interstitial maturation. Testicular volume and the absolute volumes of the seminiferous epithelium, Sertoli cells, and Leydig cells increased significantly with age, while the numerical density of Leydig cells remained stable, indicating hypertrophy rather than proliferation. Desert Hedgehog immunoreactivity declined progressively across age groups, consistent with the transition from immature to mature interstitial cells. Principal component analysis revealed a clear separation between immature and mature testes based on volumetric and density variables. These results demonstrate that feline testicular maturation follows a coordinated pattern of tubular and interstitial growth and provide quantitative reference values useful for reproductive assessment, comparative studies, and conservation programs in domestic and wild felids. Full article
(This article belongs to the Special Issue Recent Advances in Veterinary Anatomy and Morphology)
Show Figures

Figure 1

20 pages, 9720 KB  
Article
Prenatal Low Testosterone Levels Induced by DNAH8 Dysfunction Leads to Urethral Fusion and Male Differentiation Abnormalities
by Zhiwei Peng, Yao Li, Yaping Wang, Mingming Yu, Yiqing Lyu, Fang Chen, Yichen Huang and Yu Ding
Biomedicines 2025, 13(12), 3032; https://doi.org/10.3390/biomedicines13123032 - 10 Dec 2025
Viewed by 635
Abstract
Background: Hypospadias development is influenced by prenatal androgen levels, with genetic factors typically playing a significant role. Through whole-exome sequencing, we found that rare damaging variants in DNAH8 (dynein axonemal heavy chain 8) were significantly enriched in hypospadias cases. However, the role of [...] Read more.
Background: Hypospadias development is influenced by prenatal androgen levels, with genetic factors typically playing a significant role. Through whole-exome sequencing, we found that rare damaging variants in DNAH8 (dynein axonemal heavy chain 8) were significantly enriched in hypospadias cases. However, the role of DNAH8 deficiency in hypospadias pathogenesis remains unclear. Objectives: This study aimed to clarify the function of DNAH8 in urethral development and fusion. Materials and Methods: Using CRISPR/Cas9, we generated DNAH8 knockout mice and employed a multi-disciplinary approach to evaluate urogenital development, male differentiation, testosterone levels, steroid biosynthesis gene expression, and cellular changes in fetal testes and external genitalia. Results:DNAH8 knockout mice presented abnormal masculinization phenotype, and fetal mice exhibited urethral fusion defects and hypoplastic glans during early urethral development. DNAH8 knockout was found to reduce prenatal testosterone levels and steroid biosynthesis in the testes. Based on single-cell sequencing and multicolor immunofluorescence, we demonstrated that in the early stage of fetal testis development, the loss of DNAH8 function affected the differentiation of Sertoli and steroidogenic cell lineages, thereby impairing testosterone synthesis ability during the masculinization programming window. Meanwhile, we identified two key distal glans cell populations that cause abnormal urethral fusion and hypoplastic glans. Furthermore, DNAH8 knockout could synergistically interact with low-dose endocrine-disrupting chemicals, increasing the incidence of urethral fusion defects at E16.5, and led to clear hypospadias phenotypes at E18.5. Conclusions: Loss of DNAH8 delays differentiation of Sertoli and steroidogenic lineages, reduces prenatal testosterone, and, with environmental exposure, increases hypospadias risk. Full article
Show Figures

Graphical abstract

15 pages, 1740 KB  
Article
STARD9 and CDK5RAP2—Novel Candidate Genes for 46,XY Complete Gonadal Dysgenesis
by Dmytro Sirokha, Alexey Rayevsky, Vitalii Kalynovskyi, Mykola Khalangot, Oksana Samson, Olexandra Gorodna, Krystyna Kwiatkowska, Chloe Mayere, Zaneta Lemanska, Amanda Kunik, Serge Nef, Kamila Kusz-Zamelczyk and Ludmila Livshits
Int. J. Mol. Sci. 2025, 26(23), 11575; https://doi.org/10.3390/ijms262311575 - 28 Nov 2025
Viewed by 558
Abstract
46,XY gonadal dysgenesis, characterised by absent or defective testicular development in individuals with a 46,XY karyotype, results from disruptions in the genetic programme governing testis determination and differentiation during embryogenesis. While monogenic causes explain approximately 50% of cases, emerging evidence suggests an oligogenic [...] Read more.
46,XY gonadal dysgenesis, characterised by absent or defective testicular development in individuals with a 46,XY karyotype, results from disruptions in the genetic programme governing testis determination and differentiation during embryogenesis. While monogenic causes explain approximately 50% of cases, emerging evidence suggests an oligogenic basis in some patients. However, many cases remain without a definitive molecular diagnosis. In this study, we investigated a patient with 46,XY gonadal dysgenesis to explore the underlying genetic aetiology. Whole-exome sequencing in the patient did not reveal any pathogenic variants in genes previously associated with this condition. Instead, it detected rare variants in STARD9 and CDK5RAP2, which encode centrosomal proteins known to interact with each other. Gene expression analysis of embryonic gonads revealed that STARD9 is sexually dimorphic, with the highest expression in testis-specific Sertoli cells, while CDK5RAP2 is ubiquitously expressed, including in Sertoli cells. These findings suggest a role for both genes in Sertoli cell development, implicating them in the pathogenesis of 46,XY gonadal dysgenesis. To evaluate the functional relevance of the identified variants, we performed molecular dynamics simulations, which suggest that these variants may impair the individual and/or combined functions of STARD9 and CDK5RAP2 proteins. This study is the first to propose a role for STARD9 and CDK5RAP2 genes in human Sertoli cell development and highlights their potential contribution to 46,XY gonadal dysgenesis. Full article
(This article belongs to the Special Issue Molecular Insights into Sex Determination and Differentiation)
Show Figures

Figure 1

22 pages, 8429 KB  
Article
The Impact of MEI1 Alternative Splicing Events on Spermatogenesis in Mongolian Horses
by Dailing Song, Guoqing Wang, Terigele Baterin, Yajuan Weng, Manglai Dugarjaviin and Bei Li
Animals 2025, 15(23), 3435; https://doi.org/10.3390/ani15233435 - 28 Nov 2025
Viewed by 607
Abstract
Background: Normal spermatogenesis in Mongolian horses depends on the mitotic division of spermatogonia, two successive meiotic divisions, and the morphological transformation of spermatids into mature spermatozoa. The MEI1 gene is involved in the meiosis cycle and is required for normal chromosome association during [...] Read more.
Background: Normal spermatogenesis in Mongolian horses depends on the mitotic division of spermatogonia, two successive meiotic divisions, and the morphological transformation of spermatids into mature spermatozoa. The MEI1 gene is involved in the meiosis cycle and is required for normal chromosome association during meiosis. Previous studies have shown that alternative splicing of MEI1 may promote spermatogenesis in Mongolian horses. In this paper, the regulatory effects of different MEI1 alternative splicing events on Mongolian horse spermatogenesis are investigated. Results: In this study, two overexpressed lentiviral vectors with mutually exclusive exon (MXE) and skipped exon (SE) events of MEI1 were constructed and successfully used to infect Sertoli cells. After 72 h of viral infection, the expression of MEI1 was higher in the SE event than in the MXE event (p < 0.001), as shown by fluorescence quantification; transcriptomics and metabolomics were then used to screen and annotate the differential genes and metabolites, and 193 differentially expressed genes (comprising 109 genes, such as MEI1, and 84 genes with upregulated and downregulated expression, respectively) and 11,360 differentially expressed metabolites (comprising 7494 and 3866 metabolites with upregulated and downregulated expression, respectively) were screened. Differential genes and metabolites were mainly enriched in several metabolic pathways related to spermatogenesis. Differential genes such as IL31RA, ATP2B3, and CASQ2 were highly expressed in SE events, while IL11, PRLR, and CCR7 were highly expressed in MXE events. Metabolites such as folic acid and spermine were highly expressed during SE events, while citric acid and glutathione were highly expressed during MXE events. This suggests that both MXE and SE events of the MEI1 gene can promote the activity of the spermatogenesis signaling pathway. Conclusions: The MXE and SE splicing events of the MEI1 gene may influence spermatogenesis by regulating the expression of spermatogenesis-related genes and metabolites. These findings provide a theoretical foundation for further investigations into the regulatory mechanisms of different alternative splicing events in Mongolian horse spermatogenesis. Full article
(This article belongs to the Special Issue Equine Genetics, Evolution, and Breeds)
Show Figures

Figure 1

17 pages, 3647 KB  
Article
Melatonin Rescues Heat Stress-Induced Suppression of TCA Cycle and Mitochondrial Damage in Goat Sertoli Cells
by Guang Yang, Yilin Shan, Zhen Zhang, Hao Wu, Yuanyuan Lei, Yichong Sun, Pengyun Ji and Liu Guoshi
Int. J. Mol. Sci. 2025, 26(23), 11475; https://doi.org/10.3390/ijms262311475 - 27 Nov 2025
Cited by 1 | Viewed by 841
Abstract
Global climate change exacerbates heat stress, a major threat to male fertility in livestock. As Sertoli cells (SCs) are essential for spermatogenesis but are highly vulnerable to heat, understanding the underlying metabolic dysfunction is critical. This study investigated heat-induced metabolic dysregulation in goat [...] Read more.
Global climate change exacerbates heat stress, a major threat to male fertility in livestock. As Sertoli cells (SCs) are essential for spermatogenesis but are highly vulnerable to heat, understanding the underlying metabolic dysfunction is critical. This study investigated heat-induced metabolic dysregulation in goat SCs and evaluated the protective effects of melatonin. Through integrated transcriptomics and stable isotope-assisted metabolic flux analysis (MFA), we mapped alterations in gene expression and central carbon metabolism. Heat stress provoked mitochondrial dysfunction and oxidative damage. Metabolic flux analysis revealed suppressed mitochondrial oxidative metabolism, evidenced by reduced glucose-derived carbon incorporation into TCA cycle intermediates. Transcriptomics identified key perturbations in energy metabolism and sphingolipid signaling. Melatonin pretreatment restored mitochondrial function and redox homeostasis, and triggered a protective metabolic reprogramming that enhanced cell viability. Our findings demonstrate that melatonin mitigates heat stress by preserving mitochondrial integrity and redox homeostasis, providing mechanistic insights into male infertility and suggesting melatonin as a promising therapeutic for enhancing livestock reproductive resilience under climate stress. Full article
Show Figures

Figure 1

Back to TopTop