Sign in to use this feature.

Years

Between: -

Subjects

remove_circle_outline
remove_circle_outline
remove_circle_outline
remove_circle_outline
remove_circle_outline
remove_circle_outline
remove_circle_outline
remove_circle_outline
remove_circle_outline

Journals

remove_circle_outline
remove_circle_outline
remove_circle_outline
remove_circle_outline
remove_circle_outline
remove_circle_outline
remove_circle_outline
remove_circle_outline
remove_circle_outline
remove_circle_outline
remove_circle_outline
remove_circle_outline
remove_circle_outline
remove_circle_outline
remove_circle_outline
remove_circle_outline
remove_circle_outline
remove_circle_outline
remove_circle_outline
remove_circle_outline

Article Types

Countries / Regions

remove_circle_outline
remove_circle_outline
remove_circle_outline
remove_circle_outline
remove_circle_outline
remove_circle_outline
remove_circle_outline

Search Results (7,034)

Search Parameters:
Keywords = NFκB1

Order results
Result details
Results per page
Select all
Export citation of selected articles as:
32 pages, 1576 KB  
Review
Mathematical Modeling of Cell Death and Survival: Toward an Integrated Computational Framework for Multi-Decision Regulatory Dynamics
by Elena Kutumova, Ilya Akberdin, Inna Lavrik and Fedor Kolpakov
Cells 2025, 14(22), 1792; https://doi.org/10.3390/cells14221792 - 14 Nov 2025
Abstract
Mathematical modeling is essential for understanding the complex regulatory pathways governing cell death and survival, including apoptosis, necroptosis, pyroptosis, ferroptosis, autophagy, and immunogenic cell death (ICD)—a functional category comprising diverse morphological types capable of activating immune responses. The growing number of models describing [...] Read more.
Mathematical modeling is essential for understanding the complex regulatory pathways governing cell death and survival, including apoptosis, necroptosis, pyroptosis, ferroptosis, autophagy, and immunogenic cell death (ICD)—a functional category comprising diverse morphological types capable of activating immune responses. The growing number of models describing individual signaling pathways poses the challenge of integrating them into a cohesive framework. This review aims to identify common components across existing ordinary differential equation models that could serve as key nodes to merge distinct signaling modalities. Proposed models highlight Bcl-2, Bax, Ca2, and p53 as shared regulators linking autophagy and apoptosis. Necroptosis and apoptosis are interconnected via TNF signaling network and modulated by caspase-8, c-FLIP, and NFκB, with RIPK1 acting as a critical hub directing pathway choice. Pyroptosis and apoptosis are co-regulated by NFκB, tBid, and caspases, while ferroptosis is modeled exclusively as an independent process, separate from other forms of cell death. Furthermore, existing models indicate that ICD intersects with necroptosis during oncolytic virotherapy, with pyroptosis in SARS-CoV-2 infection, and with apoptosis in the context of chemotherapy. Although several models address crosstalk between pairs of cell fate decisions, creating comprehensive frameworks that encompass three or more death modes remains an open challenge. Full article
(This article belongs to the Special Issue Translational Aspects of Cell Signaling)
21 pages, 559 KB  
Review
Arzanol: A Review of Chemical Properties and Biological Activities
by Yulian Voynikov
Plants 2025, 14(22), 3474; https://doi.org/10.3390/plants14223474 - 14 Nov 2025
Abstract
Arzanol, a prenylated phloroglucinol–α-pyrone heterodimer, displays a broad range of pharmacological properties. This review compiles findings from 2007 to 2025 on its chemistry, conformational behavior, bioactivities, molecular targets, and pharmacokinetics. Arzanol shows potent anti-inflammatory activity through NF-κB inhibition and dual suppression of mPGES-1 [...] Read more.
Arzanol, a prenylated phloroglucinol–α-pyrone heterodimer, displays a broad range of pharmacological properties. This review compiles findings from 2007 to 2025 on its chemistry, conformational behavior, bioactivities, molecular targets, and pharmacokinetics. Arzanol shows potent anti-inflammatory activity through NF-κB inhibition and dual suppression of mPGES-1 and 5-LOX, antioxidant and cytoprotective effects via radical scavenging and metal chelation, and selective antibacterial activity. Arzanol also modulates autophagy, mitochondrial function, and metabolic pathways, with high-affinity binding to brain glycogen phosphorylase and SIRT1. Pharmacokinetic data indicate gastrointestinal stability, intestinal absorption, and limited blood–brain barrier penetration. In vivo, arzanol exhibits neuroprotective, neurobehavioral, and metabolic effects, while showing selective cytotoxicity toward cancer cells with minimal impact on normal cells. This review evaluates the diverse biological activities of arzanol, analyzing the relationship between its unique conformational flexibility and multitarget pharmacological effects. Full article
Show Figures

Graphical abstract

18 pages, 641 KB  
Review
Coenzyme Q10 and Intracellular Signalling Pathways: Clinical Relevance
by David Mantle
Int. J. Mol. Sci. 2025, 26(22), 11024; https://doi.org/10.3390/ijms262211024 - 14 Nov 2025
Abstract
Intracellular signalling pathways provide a mechanism to connect events at a cell surface to the nucleus and are of fundamental importance to normal cell functioning. Intracellular signalling pathways control many aspects of cell metabolism, including mitochondrial function, oxidative stress, inflammation, and apoptosis/ferroptosis. Randomised [...] Read more.
Intracellular signalling pathways provide a mechanism to connect events at a cell surface to the nucleus and are of fundamental importance to normal cell functioning. Intracellular signalling pathways control many aspects of cell metabolism, including mitochondrial function, oxidative stress, inflammation, and apoptosis/ferroptosis. Randomised controlled clinical trials supplementing coenzyme Q10 (CoQ10) have reported significant clinical improvements in a number of disorders, in turn associated with the action of CoQ10 to promote normal mitochondrial function, reduce oxidative stress and inflammation, and mediate apoptosis and ferroptosis. However, the precise mechanisms by which CoQ10 facilitates beneficial changes in the above factors is not completely understood. In the present article, the evidence we have reviewed provides a supporting rationale that the beneficial role of CoQ10 in the above disorders occurs via mediation of major intracellular signalling pathways, including the Nrf2/NQO1, NF-κB, P13/AKT/mTOR, MAPK, JAK/STAT, WNT/B-catenin, AMPK-YAP-OPA1, and hedgehog (Hh) pathways; the clinical consequences of such mediation are also reviewed. Full article
(This article belongs to the Special Issue Signalling Pathways in Metabolic Diseases and Cancers)
Show Figures

Figure 1

20 pages, 2912 KB  
Review
Molecular Mechanisms of Wound Healing: The Role of Medicinal Plants
by Merlin Esad, Ivica Dimov, Mariya Choneva, Mihaela Popova, Vesela Kokova, Elisaveta Apostolova and Anelia Bivolarska
Life 2025, 15(11), 1748; https://doi.org/10.3390/life15111748 - 14 Nov 2025
Abstract
Wound healing is a tightly regulated biological process involving hemostasis, inflammation, proliferation, and tissue remodeling. When these phases are disrupted, wound repair can be delayed or become chronic. Key signaling pathways, including NF-κB, JAK/STAT, and MAPK, coordinate immune activation, cytokine expression, cell proliferation, [...] Read more.
Wound healing is a tightly regulated biological process involving hemostasis, inflammation, proliferation, and tissue remodeling. When these phases are disrupted, wound repair can be delayed or become chronic. Key signaling pathways, including NF-κB, JAK/STAT, and MAPK, coordinate immune activation, cytokine expression, cell proliferation, and tissue repair. Medicinal plants and their bioactive compounds, such as flavonoids, alkaloids, tannins, and other phytoconstituents, have demonstrated significant anti-inflammatory, antioxidant, and immunomodulatory effects that modulate these pathways. Tannins contribute to repair through neutralization of reactive oxygen species (ROS), activation of antioxidant enzymes, and metal-chelating activity. Alkaloids, including tetrandrine, oxymatrine, and berberine, inhibit NF-κB signaling, thereby reducing pro-inflammatory cytokines such as IL-1β and TNF-α. Flavonoids regulate inflammatory mediators and enzymes, including COX and phospholipase A2, while also protecting against oxidative stress and stimulating fibroblast and keratinocyte proliferation—key steps in tissue regeneration. Collectively, these compounds accelerate wound closure by reducing oxidative stress and promoting cellular proliferation and migration. Thus, medicinal plants represent promising complementary approaches to wound management. Future research should focus on developing advanced drug delivery systems to enhance the stability, bioavailability, and targeted action of plant-derived compounds. Localized and biomaterial-based strategies show promise for sustained release at the wound site, and further preclinical and clinical studies are required to ensure their safety, reproducibility, and efficacy. Full article
(This article belongs to the Section Pharmaceutical Science)
Show Figures

Figure 1

17 pages, 3796 KB  
Article
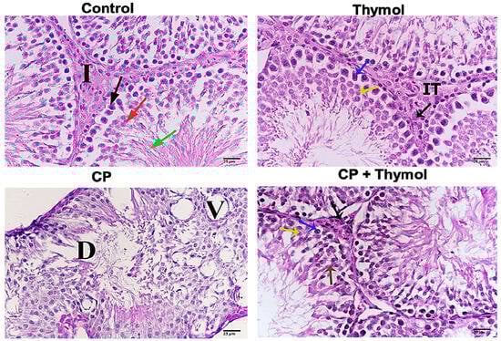
HMGB1/NF-κB Axis, IL-8, and Cuproptosis Contribute to Cisplatin-Induced Testicular Injury: Protective Potential Effect of Thymol
by Layla Alkharashi, Iman Hasan, Aliyah Almomen, Qamraa H. Alqahtani, Yasmen F. Mahran, Amul M. Badr, Reem T. Atawia, Awatif Binmughram, Rehab Ali, Nadrah Alamri and Amira M. Badr
Biomolecules 2025, 15(11), 1595; https://doi.org/10.3390/biom15111595 - 14 Nov 2025
Abstract
Background: Cisplatin (CP) use is associated with testicular toxicity. Cuproptosis-related genes are associated with dysfunctional spermatogenesis. Additionally, the HMGB1/NF-κB axis has been involved in cuproptosis-mediated inflammation. The aim of the current study was to investigate the effect of CP toxicity on the HMGB1/NF-κB [...] Read more.
Background: Cisplatin (CP) use is associated with testicular toxicity. Cuproptosis-related genes are associated with dysfunctional spermatogenesis. Additionally, the HMGB1/NF-κB axis has been involved in cuproptosis-mediated inflammation. The aim of the current study was to investigate the effect of CP toxicity on the HMGB1/NF-κB axis and cuproptosis in the rat testis. The effect of thymol was also explored. Methods: Four groups of male Wistar rats were used: control, thymol (60 mg/kg P.O. daily for 2 weeks), CP (8 mg/kg i.p single injection), and CP+thymol. Results: CP induced a significant decrease in serum testosterone and LH. CP-induced oxidative stress was evident by the modulation of oxidative stress markers. The expressions of IL-8, NF-κB, and HMGB1 were induced by CP treatment, accompanied by increased expression of cuproptosis genes, including SLC31A1, FDX1, and DLAT. On the other hand, thymol antagonized CP testicular injury. Thymol’s effect was associated with reduced expressions of IL-8, NF-κB, HMGB1, and cuproptosis markers. Conclusions: Collectively, this study provides evidence of the possible potential role of the HMGB1/NF-κB axis and cuproptosis in CP-induced testicular injury and illustrates the protective effects of thymol against testicular damage, which are attributed, at least in part, to blunting HMGB1 and cuproptosis-related genes expression. Full article
(This article belongs to the Section Molecular Medicine)
Show Figures

Figure 1

20 pages, 5455 KB  
Article
Neuronal Enriched Extracellular Vesicle miR-122-5p as a Potential Biomarker for Alzheimer’s Disease
by Kumudu Subasinghe, Courtney Hall, Megan Rowe, Zhengyang Zhou, Robert Barber and Nicole Phillips
Cells 2025, 14(22), 1784; https://doi.org/10.3390/cells14221784 - 13 Nov 2025
Abstract
Alzheimer’s disease (AD) is the leading cause of dementia and is often prefaced by mild cognitive impairment (MCI). Detection of AD-related changes via blood-based biomarkers would enable critical therapeutic interventions early in disease progression. Neuronal enriched extracellular vesicle (NEEV) miRNAs regulate peripheral genes [...] Read more.
Alzheimer’s disease (AD) is the leading cause of dementia and is often prefaced by mild cognitive impairment (MCI). Detection of AD-related changes via blood-based biomarkers would enable critical therapeutic interventions early in disease progression. Neuronal enriched extracellular vesicle (NEEV) miRNAs regulate peripheral genes as a response to early AD brain changes and hence may have biomarker potential. Plasma NEEVs were captured from plasma samples of Mexican Americans (MAs) and Non-Hispanic Whites (NHWs) using an antibody against the neuronal surface marker CD171. miRNAs isolated from NEEVs were sequenced and analyzed using miRDeep2/DEseq2 and QIAGEN RNA-seq portal for differential expression between cognitively impaired (CI) and cognitively unimpaired controls. hsa-miR-122-5p was significantly underrepresented in the CI group in both MAs and NHWs compared to the healthy control. Other population-specific miRNAs (MAs: hsa-miR-26a-5p, hsa-let-7f-5p, and hsa-miR-139-5p, NHWs: hsa-miR-133a-3p, hsa-miR-125b-5p, and hsa-miR-100-5p) identified may have biomarker potential in AD precision medicine. Some of these differentially expressed miRNAs were associated with key AD-related comorbidities such as APOE genotype, age, and metabolic burden and were predicted to target genes within NF-κB -regulated inflammatory pathways. Together, these findings suggest that dysregulated miRNA networks may serve as a mechanistic link between comorbidity burden and AD-related neuroinflammation and neurodegeneration. Full article
Show Figures

Figure 1

45 pages, 2243 KB  
Review
Inflammasomes as Potential Therapeutic Targets to Prevent Chronic Active Viral Myocarditis—Translating Basic Science into Clinical Practice
by Natalia Przytuła, Jakub Podolec, Tadeusz Przewłocki, Piotr Podolec and Anna Kabłak-Ziembicka
Int. J. Mol. Sci. 2025, 26(22), 11003; https://doi.org/10.3390/ijms262211003 - 13 Nov 2025
Abstract
Despite substantial progress in medical care, acute myocarditis remains a life-threatening disorder with a sudden onset, often unexpectedly complicating a simple and common upper respiratory tract infection. In most cases, myocarditis is triggered by viral infections (over 80%), with an estimated incidence of [...] Read more.
Despite substantial progress in medical care, acute myocarditis remains a life-threatening disorder with a sudden onset, often unexpectedly complicating a simple and common upper respiratory tract infection. In most cases, myocarditis is triggered by viral infections (over 80%), with an estimated incidence of 10–106 per 100,000 annually. The clinical course may worsen in cases of mixed etiology, where a primary viral infection is complicated by secondary bacterial pathogens, leading to prolonged inflammation and an increased risk of progression to chronic active myocarditis or dilated cardiomyopathy. We present a case report illustrating the clinical problem of acute myocarditis progression into a chronic active form. A central element of host defense is the inflammasome—an intracellular complex that activates pyroptosis and cytokine release (IL-1β, IL-18). While these processes help combat pathogens, their persistent activation may sustain inflammation and trigger heart failure and cardiac fibrosis, eventually leading to dilated cardiomyopathy. In this review, we summarize the current understanding of inflammasome pathways and their dual clinical role in myocarditis: they are essential for controlling acute infection but may become harmful when overactivated, contributing to chronic myocardial injury. Additionally, we discuss both novel and established therapeutic strategies targeting inflammatory and anti-fibrotic mechanisms, including IL-1 receptor blockers (anakinra, canakinumab), NOD-like receptor protein 3 (NLRP3) inhibitors (colchicine, MCC950, dapansutrile, INF200), NF-κB inhibitors, and angiotensin receptor-neprilysin inhibitors (ARNI), as well as microRNAs. Our aim is to emphasize the clinical importance of early identification of patients at risk of transitioning from acute to chronic inflammation, elucidate the role of inflammasomes, and present emerging therapies that may improve outcomes by balancing effective pathogen clearance with limitation of chronic cardiac damage. Full article
(This article belongs to the Special Issue Molecular Research in Myocarditis)
Show Figures

Figure 1

17 pages, 6038 KB  
Article
Impact of Hypoxia on Intestinal Health and Gut Microbiota in Anadara granosa
by Yueyue Li, Guangzhi Cheng, Jiaqi Jin, Yangguang Ji, Xiaolin Zhang, Yongbo Bao and Zhilan Peng
Fishes 2025, 10(11), 584; https://doi.org/10.3390/fishes10110584 - 13 Nov 2025
Abstract
Dissolved oxygen (DO) is a crucial determinant of aquatic organism health. This study demonstrates that hypoxia (at MH, 2.0 mg/L; SH, 0.5 mg/L) disrupts intestinal homeostasis in the blood clam, Anadara granosa. Exposure to hypoxia induced severe histopathological damage, including villus loss, [...] Read more.
Dissolved oxygen (DO) is a crucial determinant of aquatic organism health. This study demonstrates that hypoxia (at MH, 2.0 mg/L; SH, 0.5 mg/L) disrupts intestinal homeostasis in the blood clam, Anadara granosa. Exposure to hypoxia induced severe histopathological damage, including villus loss, inflammatory cell infiltration, and epithelial cell vacuolization. Immune-related gene expression analysis revealed coordinated regulation, with TLR4 and NF-κB significantly up-regulated by 4.5-fold and 5-fold, respectively, in the SH14 group, while HSP70 showed a remarkable 13-fold increase in the MH14 group. In contrast, TAK1 and TRAF6 exhibited substantial downregulation. High-throughput sequencing of the 16S rRNA gene revealed a significant reduction in gut microbiota diversity under hypoxic conditions, as evidenced by notable decreases of approximately 30% in the Chao1 index and 35% in the Shannon index in the SH group compared to the normoxic control (N group). Functional pathway analysis indicated alterations in pathways associated with xenobiotic biodegradation, lipid metabolism, and energy metabolism. These findings highlight a strong association between hypoxia and adverse intestinal health outcomes in A. granosa, underscoring the critical importance of maintaining adequate dissolved oxygen levels to support bivalve health. Future research should aim to develop strategies to mitigate hypoxia-induced stress and further elucidate the molecular mechanisms underlying hypoxia adaptation in bivalves. Full article
(This article belongs to the Section Physiology and Biochemistry)
Show Figures

Graphical abstract

29 pages, 1818 KB  
Review
Fungal Polysaccharides as Modulators of Molecular Pathways in Liver Health
by Rafał Szelenberger and Magdalena Więckowska
Molecules 2025, 30(22), 4384; https://doi.org/10.3390/molecules30224384 - 13 Nov 2025
Abstract
Fungal polysaccharides represent a structurally diverse group of bioactive compounds with increasing recognition for their hepatoprotective potential. This review synthesizes current evidence on their roles in the prevention and treatment of liver diseases, including alcohol-related liver disease (ALD), metabolic dysfunction-associated fatty liver disease [...] Read more.
Fungal polysaccharides represent a structurally diverse group of bioactive compounds with increasing recognition for their hepatoprotective potential. This review synthesizes current evidence on their roles in the prevention and treatment of liver diseases, including alcohol-related liver disease (ALD), metabolic dysfunction-associated fatty liver disease (MAFLD), or toxin-induced injury. The analyzed studies demonstrate that polysaccharides isolated from species such as Lentinula edodes, Grifola frondosa, Ganoderma lucidum, Coriolus versicolor, and Cordyceps militaris exert beneficial effects by reducing oxidative stress, attenuating inflammation, and improving metabolic homeostasis. Mechanistically, these effects are mediated through the regulation of multiple signaling pathways, including Nuclear Factor kappa-light-chain-enhancer of activated B cells (NF-κB), Nuclear factor erythroid 2–related factor 2 (Nrf2), and NOD-like receptor protein 3 (NLRP3) inflammasome, as well as modulation of gut microbiota. Fungal polysaccharides were also shown to improve hepatic function by lowering serum biomarkers of liver injury and ameliorating histopathological damage. Presented evidence indicates that fungal polysaccharides possess considerable potential as multifunctional hepatoprotective agents, highlighting the need for further mechanistic insight and clinical validation. Full article
Show Figures

Figure 1

25 pages, 4105 KB  
Review
Structural and Functional Insights into Viral and Fungal Proteins Involved in Chronic Inflammation and Their Biologic Treatments
by Mohamed Halawa, Alicia L. Gallo and Valerie J. Carabetta
Pharmaceutics 2025, 17(11), 1466; https://doi.org/10.3390/pharmaceutics17111466 - 13 Nov 2025
Abstract
Chronic inflammation constitutes a significant characteristic of sustained infections caused by viral and fungal pathogens, with a strong correlation to the development of cancer, autoimmune disorders, and tissue fibrosis. Viral proteins such as HIV-1 Tat, HBV X (HBx), HPV E6/E7, and EBV LMP1 [...] Read more.
Chronic inflammation constitutes a significant characteristic of sustained infections caused by viral and fungal pathogens, with a strong correlation to the development of cancer, autoimmune disorders, and tissue fibrosis. Viral proteins such as HIV-1 Tat, HBV X (HBx), HPV E6/E7, and EBV LMP1 modulate the host’s immune signaling pathways, primarily through the activation of the NF-κB signaling cascade and the disruption of cytokine equilibrium. These molecular interactions result in a pro-inflammatory microenvironment that facilitates viral persistence, immune evasion, and the process of oncogenesis. Structural investigations have elucidated the mechanisms by which these viral proteins interact with host signaling complexes, thereby highlighting their potential as viable therapeutic targets. Similarly, fungal proteins, including secreted aspartyl proteases (Saps), ribotoxin Asp f1, and chitin-binding proteins, incite chronic inflammation by activating pattern recognition receptors and triggering inflammasome activation. Despite the limited structural information of these fungal proteins, emerging models and bioinformatic analyses identified conserved motifs that are crucial for host interactions. Biologic therapies, encompassing antiviral and antifungal peptides as well as monoclonal antibodies, are currently under development to disrupt these protein-host interactions and modulate inflammatory responses. This review provides structural and functional insight into viral and fungal inflammatory proteins and evaluates the potential of biologics as targeted therapeutic interventions for chronic inflammation associated with infections. We discuss the ongoing clinical trials involving neutralizing antibodies targeting HIV, peptide vaccines aimed at HPV and other promising molecules. Finally, we discuss the current limitations of biologics and possible solutions to translate these promising therapeutics into clinical practice. Full article
(This article belongs to the Special Issue Antibody–Drug Conjugates Therapeutics)
Show Figures

Graphical abstract

22 pages, 5090 KB  
Article
Citrullinated and Malondialdehyde–Acetaldehyde-Modified Fibrinogen Activates Macrophages and Promotes Coronary Endothelial Cell Inflammation
by Wenxian Zhou, Hannah J. Johnson, Michael J. Duryee, Nozima Aripova, Engle E. Sharp, Carlos D. Hunter, Kimberley Sinanan, Henry C. Drvol, Mason G. Feely, Tate M. Johnson, Mabruka Alfaidi, Daniel R. Anderson, Vineeth K. Reddy, Keshore Bidasee, Robert G. Bennett, Jill A. Poole, Geoffrey M. Thiele and Ted R. Mikuls
Curr. Issues Mol. Biol. 2025, 47(11), 943; https://doi.org/10.3390/cimb47110943 - 13 Nov 2025
Abstract
Individuals with rheumatoid arthritis (RA) face increased cardiovascular mortality due to heart failure (HF) complications. Post-translational modifications, such as citrullination (CIT) and malondialdehyde–acetaldehyde (MAA) adduction, are implicated in RA pathogenesis. However, their role in RA-associated HF is not well understood. This study examines [...] Read more.
Individuals with rheumatoid arthritis (RA) face increased cardiovascular mortality due to heart failure (HF) complications. Post-translational modifications, such as citrullination (CIT) and malondialdehyde–acetaldehyde (MAA) adduction, are implicated in RA pathogenesis. However, their role in RA-associated HF is not well understood. This study examines the deposition of MAA and CIT in cardiac tissues of RA-HF patients and investigates how MAA and CIT adducts on fibrinogen (FIB-MAA-CIT) drive crosstalk between macrophages and endothelial cells in vitro. We demonstrated elevated MAA and CIT adducts, strong perivascular MAA-CIT co-localization, and increased perivascular collagen deposition in the myocardium of RA-HF patients compared to non-RA HF controls. Treating human coronary artery endothelial cells (HCAECs) with FIB-MAA-CIT induced upregulation of inflammatory markers including MCP-1, IL-6, ICAM-1, and VCAM-1 compared to unmodified FIB. This response was amplified when HCAECs were treated with cell culture media obtained from FIB-MAA-CIT-stimulated macrophages. FIB-MAA-CIT activation of macrophages engaged NF-κB and p38 signaling pathways and inhibition of these pathways reduced FIB-MAA-CIT-mediated macrophage cytokine secretion and subsequent HCAEC responses. In summary, our findings support a novel mechanism by which endogenously modified proteins drive macrophage–endothelial cell crosstalk, promoting myocardial inflammation. Targeting these post-translational modifications may present novel therapeutic strategies to mitigate HF in RA. Full article
(This article belongs to the Section Biochemistry, Molecular and Cellular Biology)
Show Figures

Figure 1

31 pages, 2984 KB  
Review
Recent Advances in Biosynthesis and Bioactivity of Plant Caffeoylquinic Acids
by Hanqin Chen, Bo Pan, Shilong Zhang, Xin Li, Yuyao Zhang, Kang Gao, Dongliang Chen, Lili Wang, Tianhua Jiang, Chang Luo and Conglin Huang
Curr. Issues Mol. Biol. 2025, 47(11), 942; https://doi.org/10.3390/cimb47110942 - 13 Nov 2025
Abstract
Caffeoylquinic acids (CQAs), a class of phenolic acid metabolites widely distributed in plants, encompass 15 positional isomers from mono- to tetra-esters, with 5-O-caffeoylquinic acid (5-CQA) as the predominant form. The biosynthesis of 5-CQA from phenylalanine proceeds through five primary pathways, which are finely [...] Read more.
Caffeoylquinic acids (CQAs), a class of phenolic acid metabolites widely distributed in plants, encompass 15 positional isomers from mono- to tetra-esters, with 5-O-caffeoylquinic acid (5-CQA) as the predominant form. The biosynthesis of 5-CQA from phenylalanine proceeds through five primary pathways, which are finely regulated by environmental, hormonal, and transcription factors from families such as MYB, WRKY, and bHLH. These regulators control 5-CQA synthesis by binding specifically to the promoter regions of key structural genes, including PAL, 4CL and HCT/HQT. Subsequently, 5-CQA serves as a central precursor for the biosynthesis of other CQAs. In terms of bioactivity, CQAs possess remarkable pharmacological activities, encompassing antioxidant, antimicrobial, anti-diabetic, anti-inflammatory and anti-tumor properties. For instance, anti-inflammatory effects are demonstrated by the ability of 5-CQA to reduce key pro-inflammatory cytokines (e.g., TNF-α and IL-1β) and downregulate the TLR4/NF-κB pathway. The synergistic action of 5-CQA with ultraviolet-A reduced succinate-coenzyme Q reductase activity by approximately 72%, highlighting its potential to disrupt bacterial metabolism and combat antibiotic resistance. Furthermore, 3,4,5-triCQA exhibits potent anti-influenza virus activity, potentially through a mechanism distinct from existing neuraminidase inhibitors. Beyond medicine, CQAs show promise in light industry. They serve as antibiotic alternatives in livestock feed to enhance gut health, extend food shelf life through their antioxidant activity, and function as active ingredients in UV-protective skincare formulations. CQAs also enhance plant stress tolerance to cold, arsenic, and pests by mechanisms such as scavenging reactive oxygen species and inhibiting pest mobility. While this review consolidates progress in the biosynthesis and bioactivity of CQAs specifically with caffeoyl substituents, future efforts should leverage modern biotechnological tools and interdisciplinary approaches to bridge critical knowledge gaps in their biosynthesis, transport, and clinical translation. Full article
(This article belongs to the Special Issue Latest Review Papers in Molecular Biology 2025)
Show Figures

Figure 1

15 pages, 2865 KB  
Article
Diverse Impact of E-Cigarette Aerosols on Oxidative Stress and Inflammation in Lung Alveolar Epithelial Cells (A549)
by Maciej Roslan, Katarzyna Milewska, Piotr Szoka, Kacper Warpechowski, Urszula Milkowska and Adam Holownia
Int. J. Mol. Sci. 2025, 26(22), 10967; https://doi.org/10.3390/ijms262210967 - 12 Nov 2025
Abstract
This study investigated the pro-inflammatory and pro-oxidative effects of popular electronic cigarette aerosols (ECAs) compared with conventional cigarette smoke (CS) in the cultured human alveolar epithelial cell line (A549). Using cytotoxicity assays and four ECAs, substantial differences in biological impact were observed. CS [...] Read more.
This study investigated the pro-inflammatory and pro-oxidative effects of popular electronic cigarette aerosols (ECAs) compared with conventional cigarette smoke (CS) in the cultured human alveolar epithelial cell line (A549). Using cytotoxicity assays and four ECAs, substantial differences in biological impact were observed. CS exposure led to significant declines in cell viability and pronounced morphological changes, consistent with the presence of toxic combustion byproducts. Most ECAs caused negligible cytotoxicity except for the tobacco-flavoured variant, which demonstrated marked toxicity. DNA damage and altered cell cycle profiles were minor. Oxidative stress analysis revealed stable superoxide dismutase activity but notable glutathione depletion, especially with watermelon- and strawberry-flavoured ECAs, and unaltered mitochondrial transmembrane potential, indicating the importance of individual flavour additives in cellular antioxidant defence. Inflammatory markers, such as TNF-α, NF-κB, and IL-6, were differentially elevated across the CS and ECA groups, with IL-6 consistently increased, underscoring its role in regulating epithelial cells. Advanced double fluorescence analysis revealed increased cellular heterogeneity and inflammation, which was distinct for all ECA flavours. Overall, the findings demonstrate considerable heterogeneity in biological effects among ECA flavourings and propose a simple ECA biomonitoring model. The results emphasise the necessity for individualised toxicity assessments, especially regarding subclinical inflammation and potential long-term health outcomes. Full article
(This article belongs to the Special Issue Molecular Research of Epithelial Function and Barrier Dysfunction)
Show Figures

Figure 1

25 pages, 4735 KB  
Article
Role of Nitric Oxide and Nrf2 to Counteract Vascular Endothelial Dysfunction Induced by Periodontal Pathogens Using HUVECs
by Gunaraj Dhungana, Chethan Sampath, Vineeta Sharma, Olga Korolkova and Pandu R. Gangula
Cells 2025, 14(22), 1777; https://doi.org/10.3390/cells14221777 - 12 Nov 2025
Abstract
Background: Polybacterial infections associated with periodontitis are increasingly linked to systemic vascular complications, yet the underlying endothelial mechanisms remain unclear. This study investigated how a consortium of red-complex bacteria (Porphyromonas gingivalis, Tannerella forsythia, Treponema denticola) and orange complex ( [...] Read more.
Background: Polybacterial infections associated with periodontitis are increasingly linked to systemic vascular complications, yet the underlying endothelial mechanisms remain unclear. This study investigated how a consortium of red-complex bacteria (Porphyromonas gingivalis, Tannerella forsythia, Treponema denticola) and orange complex (Fusobacterium nucleatum) affects oxidative stress, inflammation, metabolism, and apoptosis in endothelial cells, and whether L-Sepiapterin [a tetrahydrobiopterin (BH4) precursor via salvage pathway] or bardoxolone methyl (CDDO-Me) [a potent nuclear factor erythroid 2-related factor 2 (Nrf2) activator)] could provide protection. Methods: Human umbilical vein endothelial cells (HUVECs) were infected for 12–72 h and treated with L-Sepiapterin or CDDO-Me. Nitric oxide (NO), BH4, and reactive oxygen species (ROS) levels were quantified, and mRNA expression of key genes regulating nitric oxide synthase activity, antioxidant defense, inflammation (TLR4/NF-κB, cytokines), metabolism (PI3K-AKT-PEA-15), and apoptosis (FAS–caspase pathway) was analyzed. Results: Infection markedly reduced NO and BH4, elevated ROS, activated TLR4/NF-κB and proinflammatory cytokines, disrupted PI3K/AKT signaling, and triggered endothelial apoptosis. Treatments with L-Sepiapterin and CDDO-Me restored NO bioavailability, reduced oxidative and inflammatory responses, normalized metabolic gene expression, and attenuated apoptosis, with CDDO-Me showing more promising effects. This study provides the mechanistic insight linking periodontal polybacterial infection to endothelial dysfunction and metabolic impairment such as diabetes, suggesting that redox-modulating strategies such as L-Sepiapterin and CDDO-Me may help prevent vascular damage associated with periodontal disease. Full article
(This article belongs to the Special Issue Redox Regulation by Nrf2 in Health and Disease)
Show Figures

Figure 1

22 pages, 6322 KB  
Article
A Novel Sesquiterpene from Callistephus chinensis Improves Alcohol-Induced Liver Disease by Regulating the AMPK/NF-κB Signaling Pathway and Gut Flora
by Bingxin Zhang, Ning Wang, Xiaoxu Chen, Nan Yang, Ying Zhao and Xiaoshu Zhang
Molecules 2025, 30(22), 4371; https://doi.org/10.3390/molecules30224371 - 12 Nov 2025
Abstract
Alcoholic liver disease (ALD) caused by excessive alcohol consumption poses a serious threat to human health. Callistephus chinensis (L.) Nees is an herb of the Asteraceae family that has good results in the prevention and treatment of a variety of liver diseases, including [...] Read more.
Alcoholic liver disease (ALD) caused by excessive alcohol consumption poses a serious threat to human health. Callistephus chinensis (L.) Nees is an herb of the Asteraceae family that has good results in the prevention and treatment of a variety of liver diseases, including multifactorial liver injury, non-alcoholic fatty liver disease/non-alcoholic steatohepatitis, liver fibrosis. Sesquiterpenes are thought to be biologically active components that typically have anti-inflammatory, immunomodulatory, and cardioprotective effects. Callistephus A (CA) is a sesquiterpene compound with a rare 6/7 ring skeleton, which has been isolated only from the Callistephus chinensis Nees. However, the mechanism of action of CA on alcoholic liver disease remains unclear. In this study, alcoholic liver mice were fed with 20 and 40 mg/kg CA, respectively, for 11 days. This study showed that CA improved hepatic steatosis and oxidative stress associated with alcohol consumption. CA alleviated liver inflammation by inhibiting the TLR4/MYD88/NF-κB pathway, ameliorating gut imbalance by restoring the abundance of Akkermansia, and restoring short-chain fatty acids in the gut. Transcriptome analysis revealed that CA primarily affects genes involved in lipid metabolism and inflammation. In vitro, by adding inhibitors of TLR4 (TAK-242) and AMPK (Dorsomorphin), it was confirmed that CA alleviates ALD by inhibiting TLR4 and activating AMPK. This study is the first to demonstrate that CA protects against alcoholic liver disease through the regulation of the gut flora and modulation of the AMPK/NF-κB pathway. In conclusion, CA can effectively improve alcoholic liver disease and can be used as an effective candidate drug with liver-protective effects. Full article
Show Figures

Figure 1

Back to TopTop