Sign in to use this feature.

Years

Between: -

Subjects

remove_circle_outline
remove_circle_outline
remove_circle_outline
remove_circle_outline
remove_circle_outline
remove_circle_outline
remove_circle_outline
remove_circle_outline
remove_circle_outline

Journals

Article Types

Countries / Regions

Search Results (69)

Search Parameters:
Keywords = MRI modality comparison

Order results
Result details
Results per page
Select all
Export citation of selected articles as:
9 pages, 1474 KB  
Proceeding Paper
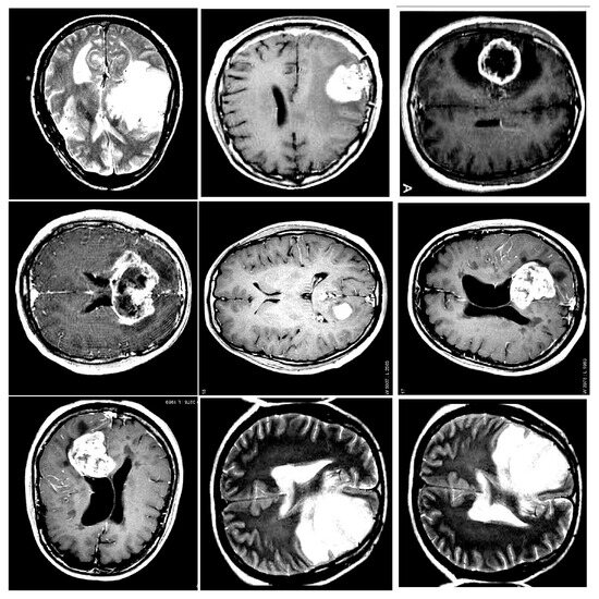
Comparative Study of MRI Modality Embeddings for Glioma Survival Prediction
by Fatima-Ezzahraa Ben-Bouazza, Saadia Azeroual, Bassma Jioudi and Zakaria Hamane
Eng. Proc. 2025, 112(1), 57; https://doi.org/10.3390/engproc2025112057 - 30 Oct 2025
Viewed by 226
Abstract
Accurately predicting survival within patients diagnosed with diffuse glioma remains one of the most difficult issues in neuro-oncology. While most prior research has focused on multimodal fusion or clinical data, we introduce a modality-specific deep learning framework that employs preoperative MRI only to [...] Read more.
Accurately predicting survival within patients diagnosed with diffuse glioma remains one of the most difficult issues in neuro-oncology. While most prior research has focused on multimodal fusion or clinical data, we introduce a modality-specific deep learning framework that employs preoperative MRI only to predict mortality outcomes using patient MRI scans. Using the UCSF-PDGM dataset containing structural, diffusion, and perfusion imaging of 495 glioma patients, we trained VGG16 models on every MRI modality individually, including T1, T2, FLAIR, SWI, DWI, ASL, HARDI-derived metrics, and segmentation maps. Our findings revealed that segmentation-based and diffusion-derived features, particularly FA or tensor eigenvalues, possessed the greatest predictive strength, surpassing those obtained from standard structural MRI in binary survival classifications. This approach of modality-specific model training allows for clearer explanations of the prediction process compared to fused approaches and is more practical in scenarios where not all types of MRI are performed on patients. This approach demonstrates the strong predictive power of individual MRI sequences for mortality in glioma cases, providing a modular, adaptable, and clinically actionable deep-learning framework. Additional enhancements can incorporate volumetric models, longitudinal imaging, and non-imaging datasets, including genomic and clinical information. Full article
Show Figures

Figure 1

25 pages, 8881 KB  
Article
Evaluating Machine Learning Techniques for Brain Tumor Detection with Emphasis on Few-Shot Learning Using MAML
by Soham Sanjay Vaidya, Raja Hashim Ali, Shan Faiz, Iftikhar Ahmed and Talha Ali Khan
Algorithms 2025, 18(10), 624; https://doi.org/10.3390/a18100624 - 2 Oct 2025
Viewed by 446
Abstract
Accurate brain tumor classification from MRI is often constrained by limited labeled data. We systematically compare conventional machine learning, deep learning, and few-shot learning (FSL) for four classes (glioma, meningioma, pituitary, no tumor) using a standardized pipeline. Models are trained on the Kaggle [...] Read more.
Accurate brain tumor classification from MRI is often constrained by limited labeled data. We systematically compare conventional machine learning, deep learning, and few-shot learning (FSL) for four classes (glioma, meningioma, pituitary, no tumor) using a standardized pipeline. Models are trained on the Kaggle Brain Tumor MRI Dataset and evaluated across dataset regimes (100%→10%). We further test generalization on BraTS and quantify robustness to resolution changes, acquisition noise, and modality shift (T1→FLAIR). To support clinical trust, we add visual explanations (Grad-CAM/saliency) and report per-class results (confusion matrices). A fairness-aligned protocol (shared splits, optimizer, early stopping) and a complexity analysis (parameters/FLOPs) enable balanced comparison. With full data, Convolutional Neural Networks (CNNs)/Residual Networks (ResNets) perform strongly but degrade with 10% data; Model-Agnostic Meta-Learning (MAML) retains competitive performance (AUC-ROC ≥ 0.9595 at 10%). Under cross-dataset validation (BraTS), FSL—particularly MAML—shows smaller performance drops than CNN/ResNet. Variability tests reveal FSL’s relative robustness to down-resolution and noise, although modality shift remains challenging for all models. Interpretability maps confirm correct activations on tumor regions in true positives and explain systematic errors (e.g., “no tumor”→pituitary). Conclusion: FSL provides accurate, data-efficient, and comparatively robust tumor classification under distribution shift. The added per-class analysis, interpretability, and complexity metrics strengthen clinical relevance and transparency. Full article
(This article belongs to the Special Issue Machine Learning Models and Algorithms for Image Processing)
Show Figures

Figure 1

11 pages, 514 KB  
Article
Variations in Female Pelvic Anatomy via MRI: A Retrospective Study at Single Academic Institution
by Gamal Ghoniem, William Phan, Naila Javaid, Mashrin Lira Chowdhury, Bilal Farhan, Muhammed A. Moukhtar Hammad, Ahmed Ahmed, David Csuka, Dina Saba, Mohammad Helmy and Sonia Lee
Uro 2025, 5(3), 18; https://doi.org/10.3390/uro5030018 - 11 Sep 2025
Viewed by 1143
Abstract
Background/Objectives: Pelvic floor disorders affect up to 30% of adult females in the United States. Misdiagnosis occurs in nearly 45% to 90% of cases. Standardized pelvic anatomical measurements could improve diagnostic accuracy and treatment planning. We aimed to evaluate pelvic anatomical variations using [...] Read more.
Background/Objectives: Pelvic floor disorders affect up to 30% of adult females in the United States. Misdiagnosis occurs in nearly 45% to 90% of cases. Standardized pelvic anatomical measurements could improve diagnostic accuracy and treatment planning. We aimed to evaluate pelvic anatomical variations using magnetic resonance imaging (MRI). Methods: We analyzed MRI pelvic measurements from 250 women aged 20–90 years. Exclusion criteria included prior pelvic surgery (except hysterectomy), pelvic cancer, and use of alternative imaging modalities. Key measurements included anterior vaginal wall thickness (AVWT), bladder wall thickness (BWT), vaginal epithelium to bladder urothelium (VWBU), urethral length (UL), and inter-ureteral distances. A comprehensive statistical analysis was performed, including corrections for multiple comparisons. Results: While several anatomical measurements were correlated, a comprehensive analysis was performed to identify markers for clinical diagnoses. After applying Bonferroni correction for multiple comparisons, we found no statistically significant association between any of the measured anatomical parameters and a diagnosis of incontinence. Notably, an uncorrected difference in Bladder Wall Thickness (BWT) (p = 0.041) did not hold up to rigorous testing. To further assess its clinical utility, a Receiver Operating Characteristic (ROC) curve analysis for BWT as a predictor of incontinence yielded an aArea Under the Curve (AUC) of 0.19, indicating poor predictive validity. Conclusions: In this cohort, static anatomical measurements derived from MRI, including BWT, do not appear to be reliable markers for incontinence. Our findings suggest that the pathophysiology of this disorder is likely more dependent on functional or dynamic factors rather than simple static anatomical variations. Future research should focus on standardizing dynamic imaging parameters to better assess pelvic floor function. Full article
Show Figures

Figure 1

20 pages, 579 KB  
Review
Imaging Modalities in Medication-Related Osteonecrosis of the Jaw: A Narrative Review of Diagnostic Findings and Staging
by Marius Ciprian Manole, Mihnea Nicoară, Alexandru Victor Burde, Ioana Hedeșiu, Dan Nicolae Bele, Mihaela Hedeșiu, Florin Crișan, Alexandru Grecu, Cosmin Sinescu and Meda Lavinia Negrutiu
Medicina 2025, 61(9), 1578; https://doi.org/10.3390/medicina61091578 - 31 Aug 2025
Viewed by 934
Abstract
Background and Objectives: Medication-related osteonecrosis of the jaw (MRONJ) is a serious complication of antiresorptive and antiangiogenic therapies. Early and accurate imaging is crucial for diagnosis and management. This review summarizes the current evidence on MRONJ imaging findings across modalities and identifies [...] Read more.
Background and Objectives: Medication-related osteonecrosis of the jaw (MRONJ) is a serious complication of antiresorptive and antiangiogenic therapies. Early and accurate imaging is crucial for diagnosis and management. This review summarizes the current evidence on MRONJ imaging findings across modalities and identifies gaps for future research. Materials and Methods: This narrative review analyzed 32 studies (2010–2024) retrieved from PubMed and EBSCO examining imaging findings and diagnostic patterns of medication-related osteonecrosis of the jaw across different modalities. Two independent reviewers screened all articles, extracted data, and assessed methodological quality. Results: Early-stage MRONJ findings included osteosclerosis, lamina dura thickening, and increased prominence of the inferior alveolar canal, while late-stage findings included periosteal reactions, sequestration, and cortical erosion. CBCT and MRI were most sensitive for early detection and lesion extent. However, substantial variability in imaging protocols limited direct comparisons between studies. Conclusions: This review highlights the variable imaging findings of MRONJ and the need for standardized protocols. Advanced imaging techniques and quantitative indices hold promise for improving early diagnosis, staging, and management. Full article
(This article belongs to the Section Dentistry and Oral Health)
15 pages, 3892 KB  
Article
Zero and Ultra-Short Echo Time Sequences at 3-Tesla Can Accurately Depicts the Normal Anatomy of the Human Achilles Tendon Enthesis Organ In Vivo
by Amandine Crombé, Benjamin Dallaudière, Marie-Camille Bohand, Claire Fournier, Paolo Spinnato, Nicolas Poursac, Michael Carl, Julie Poujol and Olivier Hauger
J. Clin. Med. 2025, 14(15), 5251; https://doi.org/10.3390/jcm14155251 - 24 Jul 2025
Viewed by 524
Abstract
Background/Objectives: Accurate visualization of the Achilles tendon enthesis is critical for distinguishing mechanical, degenerative, and inflammatory pathologies. Although ultrasonography is the first-line modality for suspected enthesis disease, recent technical advances may expand the role of magnetic resonance imaging (MRI). This study evaluated [...] Read more.
Background/Objectives: Accurate visualization of the Achilles tendon enthesis is critical for distinguishing mechanical, degenerative, and inflammatory pathologies. Although ultrasonography is the first-line modality for suspected enthesis disease, recent technical advances may expand the role of magnetic resonance imaging (MRI). This study evaluated the utility of ultra-short echo time (UTE) and zero echo time (ZTE) sequences versus proton density-weighted imaging (PD-WI) for depicting the enthesis organ in healthy volunteers. Methods: In this institutional review board (IRB)-approved prospective single-center study, 50 asymptomatic adult volunteers underwent 3-Tesla hindfoot MRI with fat-suppressed PD-WI, UTE, and ZTE between 2018 and 2023. Four radiologists assessed image quality, signal-to-noise ratio, visibility, and abnormal high signal intensities (SIs) of the periost, sesamoid, and enthesis fibrocartilages (PCa, SCa, and ECa, respectively). Statistical tests included Chi-square, McNemar, paired Wilcoxon, and Benjamini–Hochberg adjustments for multiple comparisons. Results: The median age was 36 years (range: 20–51); 58% women were included. PD-WI and ZTE sequences were always available while UTE was unavailable in 24% of patients. PD-WI consistently failed to concomitantly visualize all fibrocartilages. ZTE and UTE visualized all fibrocartilages in 72% and 92.1% of volunteers, respectively, with significant differences favoring ZTE and UTE over PD-WI (p < 0.0001) and UTE over ZTE (p = 0.027). Inter-rater agreement exceeded 80% except for SCa on ZTE (68%, 95%CI: 53.2–80.1). Abnormal SCa findings in asymptomatic patients were more frequent with UTE (23.7%) and ZTE (34%) than with PD-WI (2%) (p = 0.0045). Conclusions: At 3-Tesla, UTE and ZTE sequences reliably depict the enthesis organ of the Achilles tendon, outperforming PD-WI. However, the high sensitivity of these sequences also presents challenges in interpretation. Full article
Show Figures

Figure 1

21 pages, 1765 KB  
Article
Comparative Diagnostic Efficacy of Four Breast Imaging Modalities in Dense Breasts: A Single-Center Retrospective Study
by Danka Petrović, Bojana Šćepanović, Milena Spirovski, Zoran Nikin and Nataša Prvulović Bunović
Biomedicines 2025, 13(7), 1750; https://doi.org/10.3390/biomedicines13071750 - 17 Jul 2025
Viewed by 2497
Abstract
Background and Objectives: The aim of our study was to assess the diagnostic accuracy of four imaging modalities—digital mammography (DM), digital breast tomosynthesis (DBT), ultrasound (US), and breast magnetic resonance imaging (MRI)—applied individually and in combination in early cancer detection in women [...] Read more.
Background and Objectives: The aim of our study was to assess the diagnostic accuracy of four imaging modalities—digital mammography (DM), digital breast tomosynthesis (DBT), ultrasound (US), and breast magnetic resonance imaging (MRI)—applied individually and in combination in early cancer detection in women with dense breasts. Methods: This single-center retrospective study was conducted from January 2021 to September 2024 at the Oncology Institute of Vojvodina in Serbia and included 168 asymptomatic and symptomatic women with dense breasts. Based on the exclusion criteria, the final number of women who were screened with all four imaging methods was 156. The reference standard for checking the diagnostic accuracy of these methods is the result of a histopathological examination, if a biopsy is performed, or a stable radiological finding in the next 12–24 months. Results: The findings underscore the superior diagnostic performance of breast MRI with the highest sensitivity (95.1%), specificity (78.7%), and overall accuracy (87.2%). In contrast, DM showed the lowest sensitivity (87.7%) and low specificity (49.3%). While the combination of DM + DBT + US demonstrated improved sensitivity to 96.3%, its specificity drastically decreased to 32%, illustrating as ensitivity–specificity trade-off. Notably, the integration of all four modalities increased sensitivity to 97.5% but decreased specificity to 29.3%, suggesting an overdiagnosis risk. DBT significantly improved performance over DM alone, likely due to enhanced tissue differentiation. US proved valuable in dense breast tissue but was associated with a high false-positive rate. Breast MRI, even when used alone, confirmed its status as the gold standard for dense breast imaging. However, its widespread use is constrained by economic and logistical barriers. ROC curve analysis further emphasized MRI’s diagnostic superiority (AUC = 0.958) compared with US (0.863), DBT (0.828), and DM (0.820). Conclusions: This study provides a unique, comprehensive comparison of all four imaging modalities within the same patient cohort, offering a rare model for optimizing diagnostic pathways in women with dense breasts. The findings support the strategic integration of complementary imaging approaches to improve early cancer detection while highlighting the risk of increased false-positive rates. In settings where MRI is not readily accessible, a combined DM + DBT + US protocol may serve as a pragmatic alternative, though its limitations in specificity must be carefully considered. Full article
(This article belongs to the Section Cancer Biology and Oncology)
Show Figures

Figure 1

17 pages, 1208 KB  
Article
Structural Features of the Temporomandibular Joint Evaluated by MRI and Their Association with Oral Function and Craniofacial Morphology in Female Patients with Malocclusion: A Cross-Sectional Study
by Mari Kaneda, Yudai Shimpo, Kana Yoshida, Rintaro Kubo, Fumitaka Kobayashi, Akira Mishima, Chinami Igarashi and Hiroshi Tomonari
J. Clin. Med. 2025, 14(14), 4921; https://doi.org/10.3390/jcm14144921 - 11 Jul 2025
Cited by 1 | Viewed by 1584
Abstract
Background/Objectives: Temporomandibular disorders (TMDs) are a group of musculoskeletal and neuromuscular conditions involving the temporomandibular joint (TMJ), masticatory muscles, and related anatomical structures. Although magnetic resonance imaging (MRI) is considered a noninvasive and highly informative imaging modality for assessing TMJ soft tissues, [...] Read more.
Background/Objectives: Temporomandibular disorders (TMDs) are a group of musculoskeletal and neuromuscular conditions involving the temporomandibular joint (TMJ), masticatory muscles, and related anatomical structures. Although magnetic resonance imaging (MRI) is considered a noninvasive and highly informative imaging modality for assessing TMJ soft tissues, few studies have examined how TMJ structural features observed on MRI findings relate to oral function and craniofacial morphology in female patients with malocclusion. To investigate the associations among TMJ structural features, oral function, and craniofacial morphology in female patients with malocclusion, using MRI findings interpreted in conjunction with a preliminary assessment based on selected components of the DC/TMDs Axis I protocol. Methods: A total of 120 female patients (mean age: 27.3 ± 10.9 years) underwent clinical examination based on DC/TMDs Axis I and MRI-based structural characterization of the TMJ. Based on the structural features identified by MRI, patients were classified into four groups for comparison: osteoarthritis (OA), bilateral disk displacement (BDD), unilateral disk displacement (UDD), and a group with Osseous Change/Disk Displacement negative (OC/DD (−)). Occlusal contact area, occlusal force, masticatory efficiency, tongue pressure, and lip pressure were measured. Lateral cephalometric analysis assessed skeletal and dental patterns. Results: OA group exhibited significantly reduced occlusal contact area (p < 0.0083, η2 = 0.12) and occlusal force (p < 0.0083, η2 = 0.14) compared to the OC/DD (−) group. Cephalometric analysis revealed that both OA and BDD groups had significantly larger ANB angles (OA: 5.7°, BDD: 5.2°, OC/DD (−): 3.7°; p < 0.0083, η2 = 0.21) and FMA angles (OA: 32.4°, BDD: 31.8°, OC/DD (−): 29.0°; p < 0.0083, η2 = 0.17) compared to the OC/DD (−) group. No significant differences were observed in masticatory efficiency, tongue pressure, or lip pressure. Conclusions: TMJ structural abnormalities detected via MRI, especially osteoarthritis, are associated with diminished oral function and skeletal Class II and high-angle features in female patients with malocclusion. Although orthodontic treatment is not intended to manage TMDs, MRI-based structural characterization—when clinically appropriate—may aid in treatment planning by identifying underlying joint conditions. Full article
Show Figures

Figure 1

16 pages, 1242 KB  
Review
Micro-Ultrasound in the Detection of Clinically Significant Prostate Cancer: A Comprehensive Review and Comparison with Multiparametric MRI
by Julien DuBois, Shayan Smani, Aleksandra Golos, Carlos Rivera Lopez and Soum D. Lokeshwar
Tomography 2025, 11(7), 80; https://doi.org/10.3390/tomography11070080 - 8 Jul 2025
Cited by 1 | Viewed by 2214
Abstract
Background/Objectives: Multiparametric MRI (mpMRI) is widely established as the standard imaging modality for detecting clinically significant prostate cancer (csPCa), yet it can be limited by cost, accessibility, and the need for specialized radiologist interpretation. Micro-ultrasound (micro-US) has recently emerged as a more accessible [...] Read more.
Background/Objectives: Multiparametric MRI (mpMRI) is widely established as the standard imaging modality for detecting clinically significant prostate cancer (csPCa), yet it can be limited by cost, accessibility, and the need for specialized radiologist interpretation. Micro-ultrasound (micro-US) has recently emerged as a more accessible alternative imaging modality. This review evaluates whether the evidence base for micro-US meets thresholds comparable to those that led to MRI’s guideline adoption, synthesizes diagnostic performance data compared to mpMRI, and outlines future research priorities to define its clinical role. Methods: A targeted literature review of PubMed, Embase, and the Cochrane Library was conducted for studies published between 2014 and May 2025 evaluating micro-US in csPCa detection. Search terms included “micro-ultrasound,” “ExactVu,” “PRI-MUS,” and related terminology. Study relevance was assessed independently by the authors. Extracted data included csPCa detection rates, modality concordance, and diagnostic accuracy, and were synthesized and, rarely, restructured to facilitate study comparisons. Results: Micro-US consistently demonstrated non-inferiority to mpMRI for csPCa detection across retrospective studies, prospective cohorts, and meta-analyses. Several studies reported discordant csPCa lesions detected by only one modality, highlighting potential complementarity. The recently published OPTIMUM randomized controlled trial offers the strongest individual-trial evidence to date in support of micro-US non-inferiority. Conclusions: Micro-US shows potential as an alternative or adjunct to mpMRI for csPCa detection. However, additional robust multicenter studies are needed to achieve the evidentiary strength that led mpMRI to distinguish itself in clinical guidelines. Full article
(This article belongs to the Special Issue New Trends in Diagnostic and Interventional Radiology)
Show Figures

Figure 1

25 pages, 418 KB  
Review
Emerging Diagnostic Approaches for Musculoskeletal Disorders: Advances in Imaging, Biomarkers, and Clinical Assessment
by Rahul Kumar, Kiran Marla, Kyle Sporn, Phani Paladugu, Akshay Khanna, Chirag Gowda, Alex Ngo, Ethan Waisberg, Ram Jagadeesan and Alireza Tavakkoli
Diagnostics 2025, 15(13), 1648; https://doi.org/10.3390/diagnostics15131648 - 27 Jun 2025
Cited by 1 | Viewed by 2101
Abstract
Musculoskeletal (MSK) disorders remain a major global cause of disability, with diagnostic complexity arising from their heterogeneous presentation and multifactorial pathophysiology. Recent advances across imaging modalities, molecular biomarkers, artificial intelligence applications, and point-of-care technologies are fundamentally reshaping musculoskeletal diagnostics. This review offers a [...] Read more.
Musculoskeletal (MSK) disorders remain a major global cause of disability, with diagnostic complexity arising from their heterogeneous presentation and multifactorial pathophysiology. Recent advances across imaging modalities, molecular biomarkers, artificial intelligence applications, and point-of-care technologies are fundamentally reshaping musculoskeletal diagnostics. This review offers a novel synthesis by unifying recent innovations across multiple diagnostic imaging modalities, such as CT, MRI, and ultrasound, with emerging biochemical, genetic, and digital technologies. While existing reviews typically focus on advances within a single modality or for specific MSK conditions, this paper integrates a broad spectrum of developments to highlight how use of multimodal diagnostic strategies in combination can improve disease detection, stratification, and clinical decision-making in real-world settings. Technological developments in imaging, including photon-counting detector computed tomography, quantitative magnetic resonance imaging, and four-dimensional computed tomography, have enhanced the ability to visualize structural and dynamic musculoskeletal abnormalities with greater precision. Molecular imaging and biochemical markers such as CTX-II (C-terminal cross-linked telopeptides of type II collagen) and PINP (procollagen type I N-propeptide) provide early, objective indicators of tissue degeneration and bone turnover, while genetic and epigenetic profiling can elucidate individual patterns of susceptibility. Point-of-care ultrasound and portable diagnostic devices have expanded real-time imaging and functional assessment capabilities across diverse clinical settings. Artificial intelligence and machine learning algorithms now automate image interpretation, predict clinical outcomes, and enhance clinical decision support, complementing conventional clinical evaluations. Wearable sensors and mobile health technologies extend continuous monitoring beyond traditional healthcare environments, generating real-world data critical for dynamic disease management. However, standardization of diagnostic protocols, rigorous validation of novel methodologies, and thoughtful integration of multimodal data remain essential for translating technological advances into improved patient outcomes. Despite these advances, several key limitations constrain widespread clinical adoption. Imaging modalities lack standardized acquisition protocols and reference values, making cross-site comparison and clinical interpretation difficult. AI-driven diagnostic tools often suffer from limited external validation and transparency (“black-box” models), impacting clinicians’ trust and hindering regulatory approval. Molecular markers like CTX-II and PINP, though promising, show variability due to diurnal fluctuations and comorbid conditions, complicating their use in routine monitoring. Integration of multimodal data, especially across imaging, omics, and wearable devices, remains technically and logistically complex, requiring robust data infrastructure and informatics expertise not yet widely available in MSK clinical practice. Furthermore, reimbursement models have not caught up with many of these innovations, limiting access in resource-constrained healthcare settings. As these fields converge, musculoskeletal diagnostics methods are poised to evolve into a more precise, personalized, and patient-centered discipline, driving meaningful improvements in musculoskeletal health worldwide. Full article
(This article belongs to the Special Issue Advances in Musculoskeletal Imaging: From Diagnosis to Treatment)
16 pages, 3021 KB  
Article
Prediction of Alzheimer’s Disease Based on Multi-Modal Domain Adaptation
by Binbin Fu, Changsong Shen, Shuzu Liao, Fangxiang Wu and Bo Liao
Brain Sci. 2025, 15(6), 618; https://doi.org/10.3390/brainsci15060618 - 7 Jun 2025
Viewed by 1002
Abstract
Background/Objectives: Structural magnetic resonance imaging (MRI) and 18-fluoro-deoxy-glucose positron emission tomography (PET) reveal the structural and functional information of the brain from different dimensions, demonstrating considerable clinical and practical value in the computer-aided diagnosis of Alzheimer’s disease (AD). However, the structure and semantics [...] Read more.
Background/Objectives: Structural magnetic resonance imaging (MRI) and 18-fluoro-deoxy-glucose positron emission tomography (PET) reveal the structural and functional information of the brain from different dimensions, demonstrating considerable clinical and practical value in the computer-aided diagnosis of Alzheimer’s disease (AD). However, the structure and semantics of different modal data are different, and the distribution between different datasets is prone to the problem of domain shift. Most of the existing methods start from the single-modal data and assume that different datasets meet the same distribution, but they fail to fully consider the complementary information between the multi-modal data and fail to effectively solve the problem of domain distribution difference. Methods: In this study, we propose a multi-modal deep domain adaptation (MM-DDA) model that integrates MRI and PET modal data, which aims to maximize the utilization of the complementarity of the multi-modal data and narrow the differences in domain distribution to boost the accuracy of AD classification. Specifically, MM-DDA comprises three primary modules: (1) the feature encoding module, which employs convolutional neural networks (CNNs) to capture detailed and abstract feature representations from MRI and PET images; (2) the multi-head attention feature fusion module, which is used to fuse MRI and PET features, that is, to capture rich semantic information between modes from multiple angles by dynamically adjusting weights, so as to achieve more flexible and efficient feature fusion; and (3) the domain transfer module, which reduces the distributional discrepancies between the source and target domains by employing adversarial learning training. Results: We selected 639 subjects from the Alzheimer’s Disease Neuroimaging Initiative (ADNI) and considered two transfer learning settings. In ADNI1→ADNI2, the accuracies of the four experimental groups, AD vs. CN, pMCI vs. sMCI, AD vs. MCI, and MCI vs. CN, reached 92.40%, 81.81%, 81.13%, and 85.45%, respectively. In ADNI2→ADNI1, the accuracies of the four experimental groups, AD vs. CN, pMCI vs. sMCI, AD vs. MCI, and MCI vs. CN, reached 94.73%, 81.48%, 85.48%, and 81.69%, respectively. Conclusions: MM-DDA is compared with other deep learning methods on two kinds of transfer learning, and the performance comparison results confirmed the superiority of the proposed method in AD prediction tasks. Full article
Show Figures

Figure 1

15 pages, 3148 KB  
Article
Comparison of mpMRI and 68Ga-PSMA-PET/CT in the Assessment of the Primary Tumors in Predominant Low-/Intermediate-Risk Prostate Cancer
by Moritz J. Argow, Sebastian Hupfeld, Simone A. Schenke, Sophie Neumann, Romy Damm, Johanna Vogt, Melis Guer, Jan Wuestemann, Martin Schostak, Frank Fischbach and Michael C. Kreissl
Diagnostics 2025, 15(11), 1358; https://doi.org/10.3390/diagnostics15111358 - 28 May 2025
Viewed by 1237
Abstract
While multi-parametric magnetic resonance imaging (mpMRI) is known to be a specific and reliable modality for the diagnosis of non-metastatic prostate cancer (PC), positron emission tomography (PET) using 68Ga labeled ligands targeting the prostate-specific membrane antigen (PSMA) is known for its reliable [...] Read more.
While multi-parametric magnetic resonance imaging (mpMRI) is known to be a specific and reliable modality for the diagnosis of non-metastatic prostate cancer (PC), positron emission tomography (PET) using 68Ga labeled ligands targeting the prostate-specific membrane antigen (PSMA) is known for its reliable detection of prostate cancer, being the most sensitive modality for the assessment of the extra-prostatic extension of the disease and the establishment of a diagnosis, even before biopsy. Background/Objectives: Here, we compared these modalities in regards to the localization of intraprostatic cancer lesions prior to local HDR brachytherapy. Methods: A cohort of 27 patients received both mpMRI and PSMA-PET/CT. Based on 24 intraprostatic segments, two readers each scored the risk of tumor-like alteration in each imaging modality. The detectability was evaluated using receiver operating characteristic (ROC) analysis. The histopathological findings from biopsy were used as the gold standard in each segment. In addition, we applied a patient-based “congruence” concept to quantify the interobserver and intermodality agreement. Results: For the ROC analysis, we included 447 segments (19 patients), with their respective histological references. The two readers of the MRI reached an AUC of 0.770 and 0.781, respectively, with no significant difference (p = 0.75). The PET/CT readers reached an AUC of 0.684 and 0.608, respectively, with a significant difference (p < 0.001). The segment-wise intermodality comparison showed a significant superiority of MRI (AUC = 0.815) compared to PET/CT (AUC = 0.690) (p = 0.006). Via a patient-based analysis, a superiority of MRI in terms of relative agreement with the biopsy result was observed (n = 19 patients). We found congruence scores of 83% (MRI) and 76% (PET/CT, p = 0.034), respectively. Using an adjusted “near total agreement” score (adjacent segments with positive scores of 4 or 5 counted as congruent), we found an increase in the agreement, with a score of 96.5% for MRI and 92.7% for PET/CT, with significant difference (p = 0.024). Conclusions: This study suggests that in a small collective of low-/intermediate risk prostate cancer, mpMRI is superior for the detection of intraprostatic lesions as compared to PSMA-PET/CT. We also found a higher relative agreement between MRI and biopsy as compared to that for PET/CT. However, further studies including a larger number of patients and readers are necessary to draw solid conclusions. Full article
(This article belongs to the Section Medical Imaging and Theranostics)
Show Figures

Figure 1

21 pages, 6231 KB  
Review
Advancing Esophageal Cancer Staging and Restaging: The Role of MRI in Precision Diagnosis
by Laura Haefliger, Pauline Chapellier, Naik Vietti Violi, Jean-Baptiste Ledoux, Styliani Mantziari, Markus Schäfer and Clarisse Dromain
Cancers 2025, 17(8), 1351; https://doi.org/10.3390/cancers17081351 - 17 Apr 2025
Cited by 1 | Viewed by 2036
Abstract
This review provides an in-depth analysis and comprehensive overview of recent advancements in MRI techniques for evaluating esophageal cancer (EC). It discusses the specific MRI acquisition protocols and parameters that enhance image quality and diagnostic accuracy. The review highlights MRI’s role and performance [...] Read more.
This review provides an in-depth analysis and comprehensive overview of recent advancements in MRI techniques for evaluating esophageal cancer (EC). It discusses the specific MRI acquisition protocols and parameters that enhance image quality and diagnostic accuracy. The review highlights MRI’s role and performance in the initial TNM staging and its potential to refine treatment strategies by improving tumor delineation and characterization. Additionally, the paper explores MRI utility in restaging after NAT, focusing on its accuracy in assessing treatment response and detecting residual or recurrent disease. Comparisons with other imaging modalities currently used—such as endoscopic ultrasound (EUS), contrast-enhanced computed tomography (CE-CT), and 18F-fluorodeoxyglucose (FDG) positron emission tomography/CT (PET/CT)—are included to highlight the strengths and limitations of each method. Illustrated with numerous Figures, this article proposes a novel MRI-based strategy for EC staging and restaging. It aims to integrate MRI into clinical practice by leveraging its superior soft-tissue contrast and functional imaging capabilities to enhance diagnostic precision and improve patient outcomes. Through this comprehensive evaluation, the review underscores the potential of MRI to become a cornerstone in the precision diagnosis and management of EC. Full article
(This article belongs to the Special Issue Technical Advances in Esophageal Cancer Treatment)
Show Figures

Figure 1

20 pages, 14752 KB  
Article
Multimodality Imaging Features of Papillary Renal Cell Carcinoma
by Rosita Comune, Francesco Tiralongo, Eleonora Bicci, Pietro Paolo Saturnino, Francesco Michele Ronza, Chandra Bortolotto, Vincenza Granata, Salvatore Masala, Mariano Scaglione, Giacomo Sica, Fabio Tamburro and Stefania Tamburrini
Diagnostics 2025, 15(7), 906; https://doi.org/10.3390/diagnostics15070906 - 1 Apr 2025
Viewed by 2235
Abstract
Objectives: To describe the US, CEUS, CT, and MRI features of papillary renal cell carcinoma (PRCC) and to underline the imaging characteristics that are helpful in the differential diagnosis. Methods: Patients with histologically proven papillary renal cell carcinoma who underwent at least two [...] Read more.
Objectives: To describe the US, CEUS, CT, and MRI features of papillary renal cell carcinoma (PRCC) and to underline the imaging characteristics that are helpful in the differential diagnosis. Methods: Patients with histologically proven papillary renal cell carcinoma who underwent at least two imaging examinations (US, CEUS, CT, and MRI) were included in the study. Tumor size, homogeneity, morphology, perilesional stranding, contrast enhancement locoregional extension were assessed. A comparison and the characteristics of the imaging features for each imaging modality were analyzed. Results: A total of 27 patients with an histologically confirmed diagnosis of PRCC were included in the study. US was highly accurate in distinguishing solid masses from cystic masses, supporting the differential diagnosis of PRCC, as well as in patients with a poor representation of the solid component. CEUS significantly increased diagnostic accuracy in delineating the solid intralesional component. Furthermore, when using CEUS, in the arterial phase, PRCC exhibited hypo-enhancement, and in the late phase it showed an inhomogeneous and delayed wash-out compared with the surrounding renal parenchyma. At MRI, PRCC showed a marked restiction of DWI and was hypointense in the T2-weighted compared to the renal parenchyma. Conclusions: In our study, the characteristic hypodensity and hypoenhancement of PRCC make CT the weakest method of their recognition, while US/CEUS and MRI are necessary to reach a definitive diagnosis. Knowledge of the appearance of PRCC can support an early diagnosis and prompt management, and radiologists should be aware that PRCC, when detected using CT, may resemble spurious non-septate renal cyst. Full article
(This article belongs to the Special Issue Imaging Diagnosis in Abdomen, 2nd Edition)
Show Figures

Figure 1

13 pages, 247 KB  
Article
Optimizing Final Pathology Determination in Endometrial Cancer: The Role of PET/CT, MRI, and Biopsy in Serous, Mixed Cell, Clear Cell, and Grade 3 Endometrioid Subtypes
by Gözde Şahin, Ayşe HazırBulan, Işık Sözen, Nilüfer Çetinkaya Kocadal, İsmet Alkış, Aytül Hande Yardımcı, Burcu Esen Akkaş and Hilal Serap Arslan
Diagnostics 2025, 15(6), 731; https://doi.org/10.3390/diagnostics15060731 - 14 Mar 2025
Cited by 2 | Viewed by 1589
Abstract
Background: Accurate and timely diagnosis of endometrial cancer is crucial for guiding effective treatment and improving patient survival. Endometrial cancer diagnosis, staging, metastasis detection, and treatment planning utilize endometrial biopsy, magnetic resonance imaging (MRI), and positron emission tomography-computed tomography (PET/CT) scanning as crucial [...] Read more.
Background: Accurate and timely diagnosis of endometrial cancer is crucial for guiding effective treatment and improving patient survival. Endometrial cancer diagnosis, staging, metastasis detection, and treatment planning utilize endometrial biopsy, magnetic resonance imaging (MRI), and positron emission tomography-computed tomography (PET/CT) scanning as crucial diagnostic modalities. Aggressive subtypes such as serous, mixed cell, clear cell, and grade 3 endometrioid carcinomas present considerable diagnostic and therapeutic obstacles given their unfavorable prognosis, underscoring the importance of accurate preoperative evaluation. Methods: A retrospective analysis was conducted using data from seventy patients diagnosed with serous, mixed cell, clear cell, or grade 3 endometrioid endometrial cancer, who received surgical treatment from 2020 to 2023. To assess the diagnostic capabilities of each modality in determining final pathology and disease staging, a comparison was performed using results from preoperative endometrial biopsy, MRI, PET/CT, and postoperative histopathology. Cohen’s kappa coefficient was employed to determine the level of agreement observed between pre- and postoperative results. Results: Endometrial biopsy demonstrated moderate yet statistically significant concordance with definitive histopathological diagnoses (κ = 0.537, p < 0.001); however, diagnostic errors were observed, especially in instances of mixed and clear cell carcinomas. MRI demonstrated efficacy in identifying local tumor invasion, yet its capacity to detect distant metastases was demonstrably limited. PET/CT was most effective in identifying distant metastases and omental involvement in advanced-stage disease. Conclusions: Definitive pathological diagnosis and staging of endometrial carcinoma are effectively established using endometrial biopsy and MRI. The utility of PET/CT is particularly pronounced in identifying distant metastases in patients with serous carcinoma and advanced-stage disease. Integrating biopsy, MRI, and PET/CT into a multimodal diagnostic strategy enhances diagnostic accuracy and enables personalized treatment planning, particularly for aggressive tumor subtypes. Full article
(This article belongs to the Section Medical Imaging and Theranostics)
16 pages, 5497 KB  
Article
Validation of Ultrasound for Quantification of Knee Meniscal Tissue: A Cadaveric Study
by Jacobo Rodríguez-Sanz, Miguel Malo-Urriés, Sergio Borrella-Andrés, Isabel Albarova-Corral and Carlos López-de-Celis
Diagnostics 2025, 15(3), 389; https://doi.org/10.3390/diagnostics15030389 - 6 Feb 2025
Viewed by 2571
Abstract
Background: While MRI is the gold standard for meniscal assessment, its cost and accessibility limitations have led to growing interest in ultrasound, though its validity for quantifying meniscal tissue remains unclear. To validate the use of ultrasound in quantifying meniscal tissue across [...] Read more.
Background: While MRI is the gold standard for meniscal assessment, its cost and accessibility limitations have led to growing interest in ultrasound, though its validity for quantifying meniscal tissue remains unclear. To validate the use of ultrasound in quantifying meniscal tissue across the anterior, middle, and posterior regions of both menisci (medial and lateral) in longitudinal and transverse planes by comparison with cadaveric dissection. Methods: A cross-sectional study was conducted on ten cryopreserved anatomical donors, obtaining a total of 120 ultrasound scans from the different meniscal regions. Following ultrasound imaging, cadaveric dissection was performed to facilitate photometric measurements, thereby enabling validation of the ultrasound findings. The intra-examiner reliability of the ultrasound measurements was also assessed. Results: The intra-examiner reliability of ultrasound measurements ranged from moderate to excellent. A strong and statistically significant positive correlation was observed between ultrasound and photometric measurements across all meniscal regions (r > 0.821; p < 0.05). In the medial meniscus, ultrasound visualized 99.1% of the anterior region (8.71 mm with ultrasound; 8.64 mm with photometry), 96.3% of the middle region (9.09 mm with ultrasound; 9.39 mm with photometry), and 98.5% of the posterior region (10.54 mm with ultrasound; 10.61 mm with photometry). In the lateral meniscus, ultrasound visualized 107.1% of the anterior region, 105.1% of the middle region, and 97.8% of the posterior region. The observed excess in tissue visualization in some regions likely reflects the inclusion of adjacent connective tissue, indistinguishable from meniscal tissue on ultrasound. Conclusions: Ultrasound is a valid and reliable modality for visualizing most meniscal tissue across regions, with a measurement discrepancy under 0.7 mm compared to anatomical dissection. However, caution is advised as adjacent connective tissue may sometimes be misidentified as meniscal tissue during evaluations. Full article
(This article belongs to the Special Issue New Advances in Forensic Radiology and Imaging)
Show Figures

Figure 1

Back to TopTop