Multimodality Imaging Features of Papillary Renal Cell Carcinoma
Abstract
1. Introduction
- Clear cell renal cell tumors.
- Papillary renal cell tumors.
- Oncocytic and chromophobe renal cell tumors.
- Collecting duct tumors.
- Other renal tumors.
- Molecularly defined cell renal cell carcinomas.
2. Materials and Methods
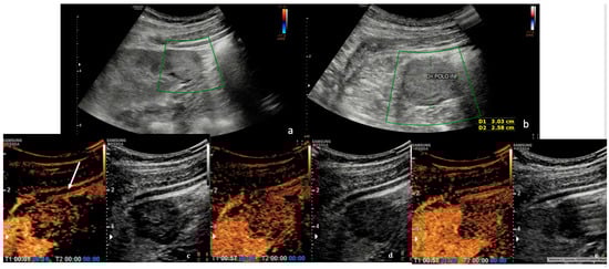
2.1. US and CEUS Technique
US and CEUS Image Analysis
- -
- Wash-In Patterns: Contrast arrival in the lesion was classified as “synchronous-in” when the wash-in time matched that of the adjacent renal cortex, and “slow-in” when it was delayed.
- -
- Washout Patterns: Contrast washout was categorized as “fast-out”, “synchronous-out”, or “slow-out” to indicate whether the contrast exited the tumor more quickly, simultaneously, or more slowly than from the surrounding cortex.
- -
- Hypoenhancement refers to reduced contrast uptake compared to the surrounding renal parenchyma, isoenhancement indicates enhancement similar to the parenchyma, and hyperenhancement denotes greater contrast uptake, potentially reflecting differences in vascularity and tissue composition.
- -
- Homogeneity at Peak Enhancement: Lesions showing uniform enhancement throughout, without any areas lacking contrast, were classified as having homogeneous enhancement. Conversely, a lesion was considered heterogeneous if it showed areas of varying contrast uptake, such as regions of hypoenhancement or non-enhancement mixed with iso- or hyperenhancing areas
- -
- A rim of perilesional enhancement after SonoVue injection was considered to represent a pseudocapsule.
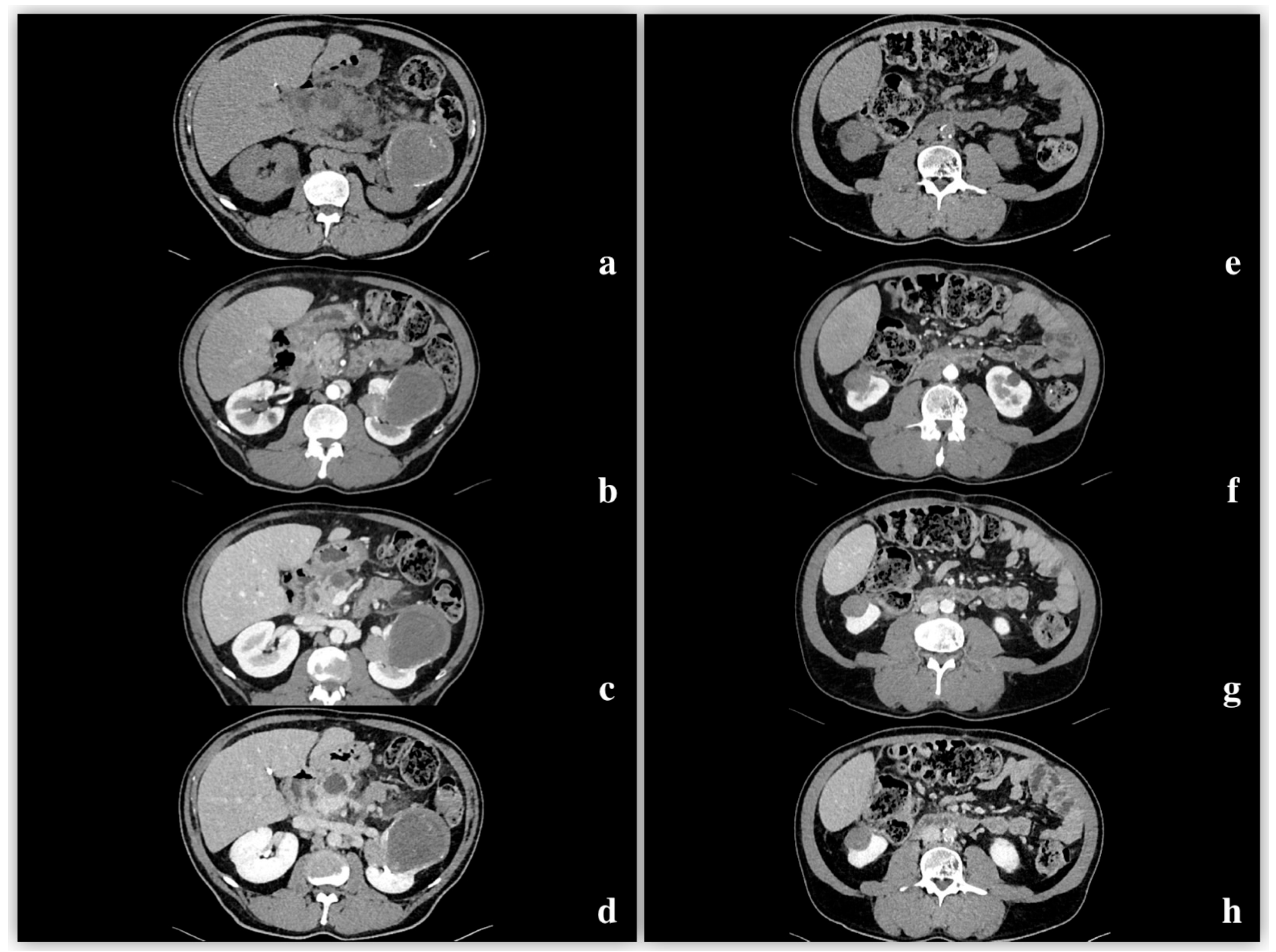
2.2. CT Technique
CT Imaging Analysis
2.3. MRI Technique
MRI Analysis
2.4. Statistic Analisys
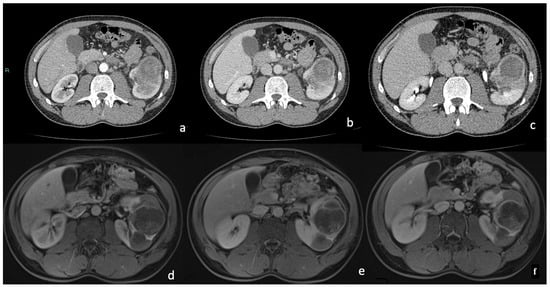
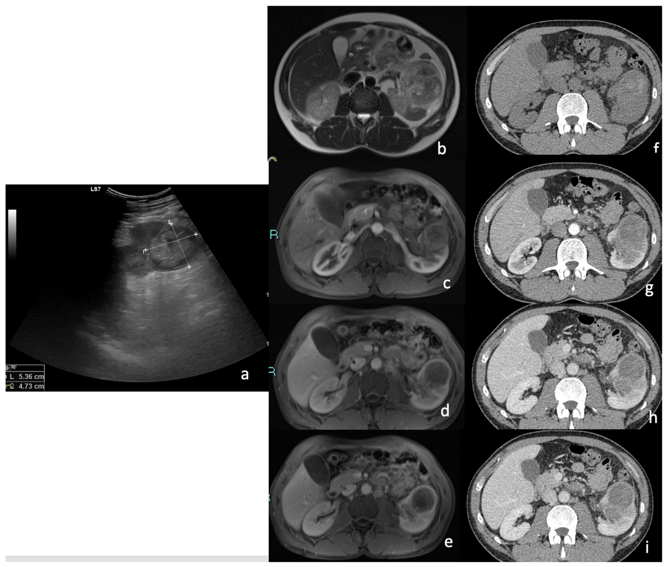
3. Results
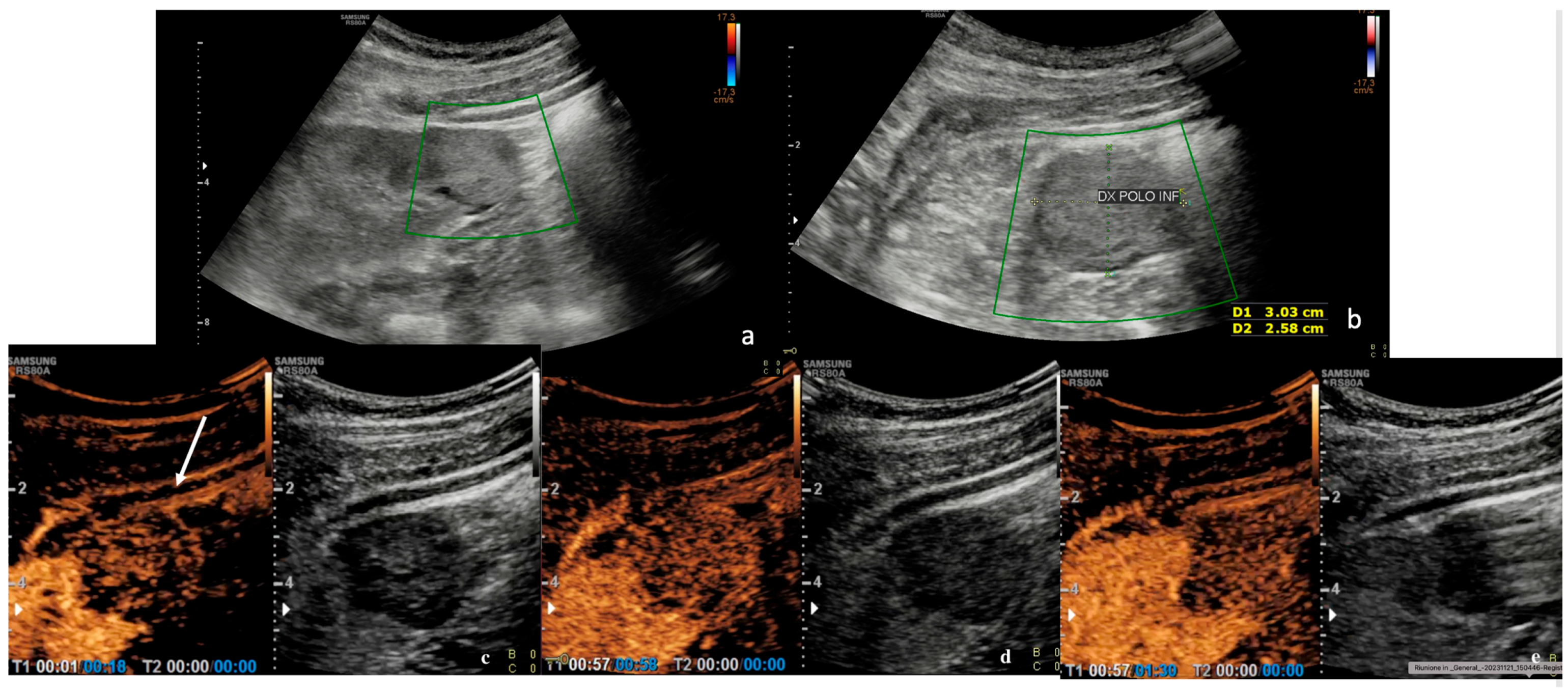
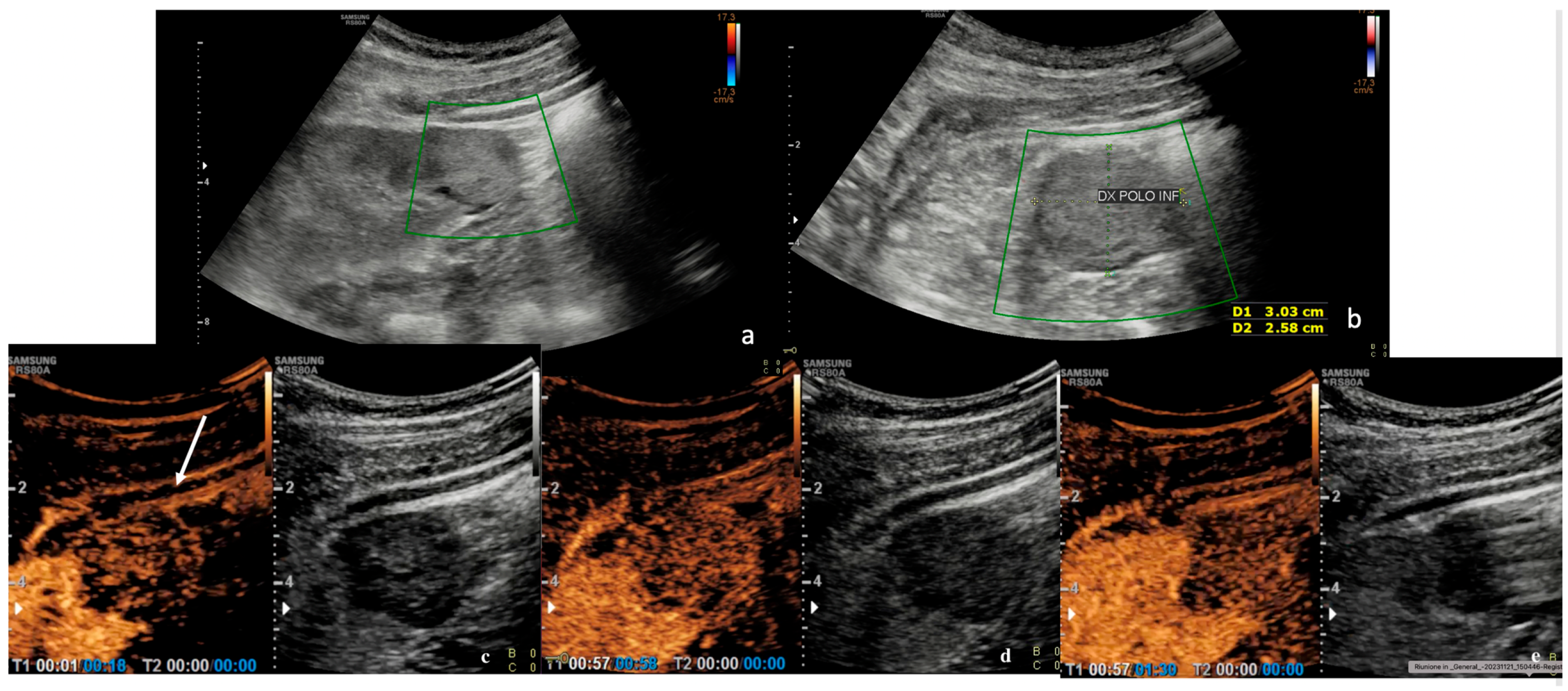
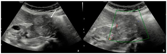
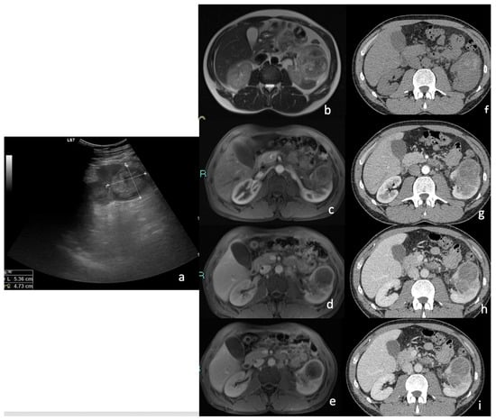
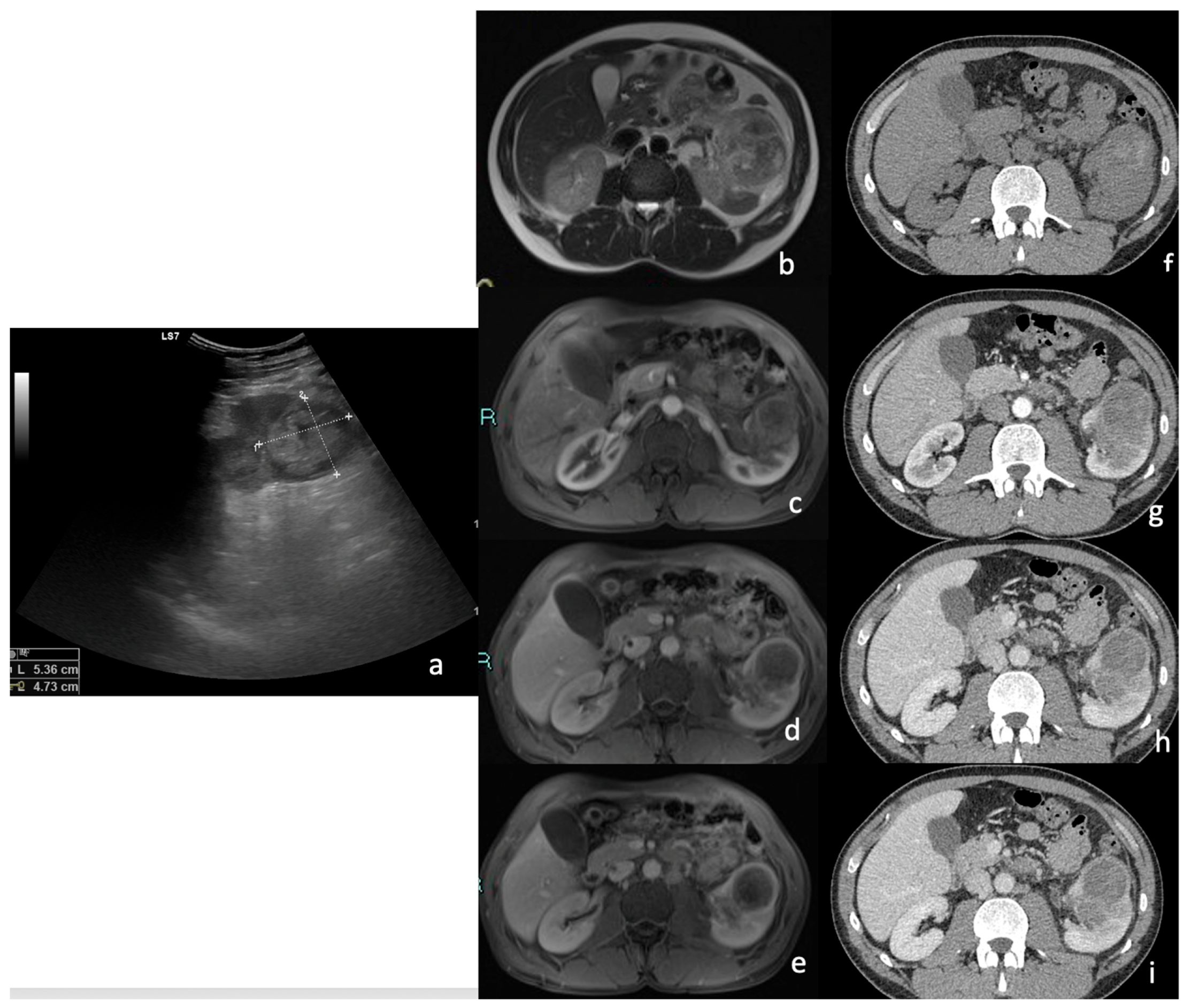
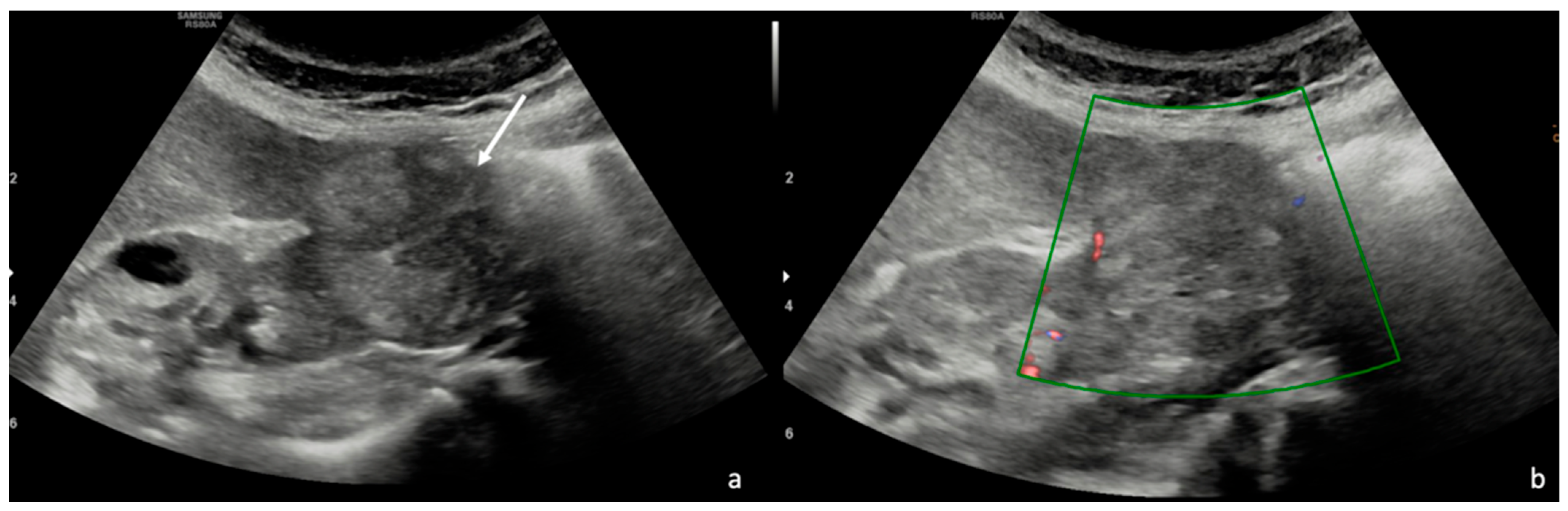
3.1. Ultrasound (US)
3.2. Contrast-Enhanced Ultrasound (CEUS)
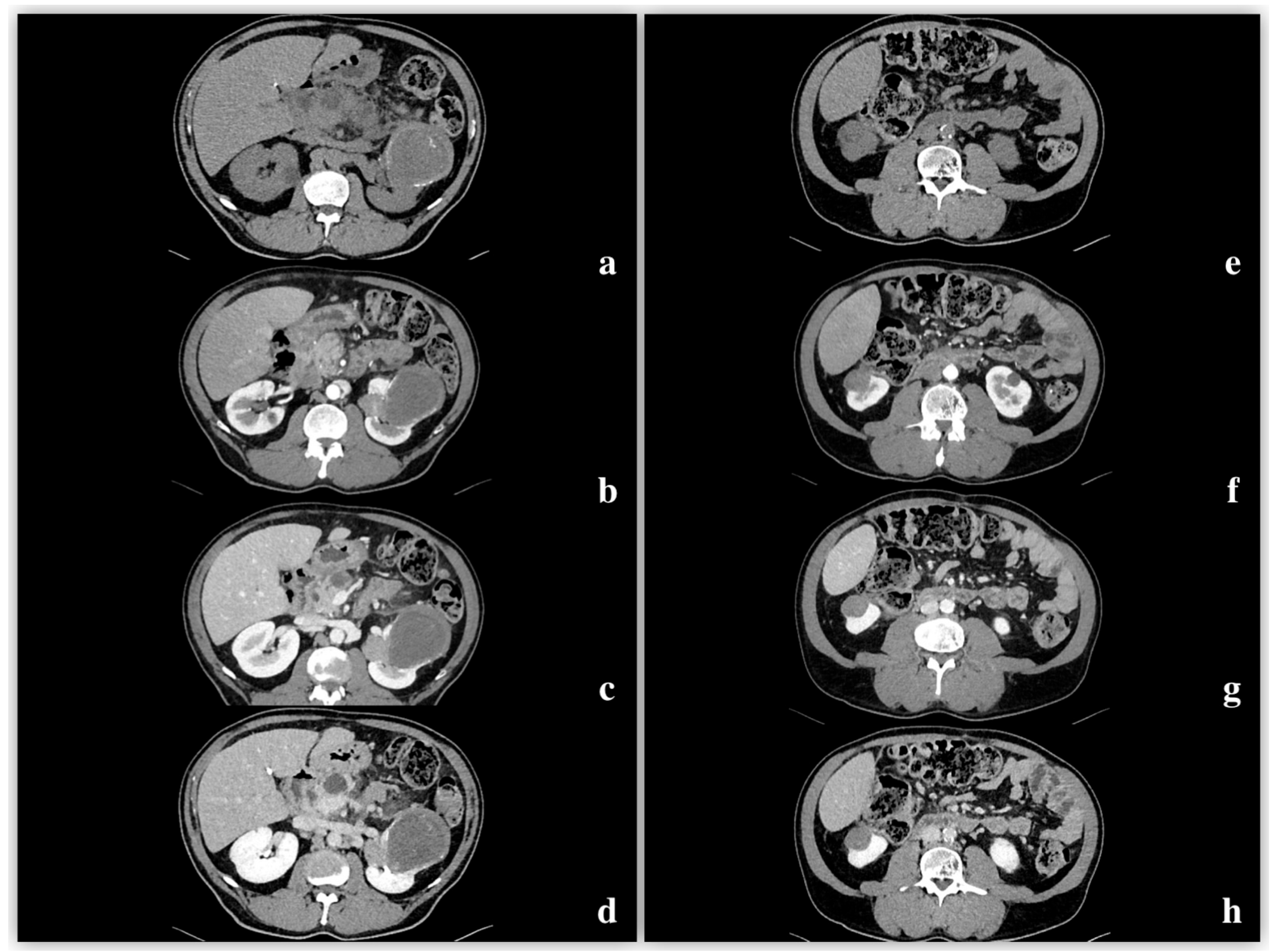
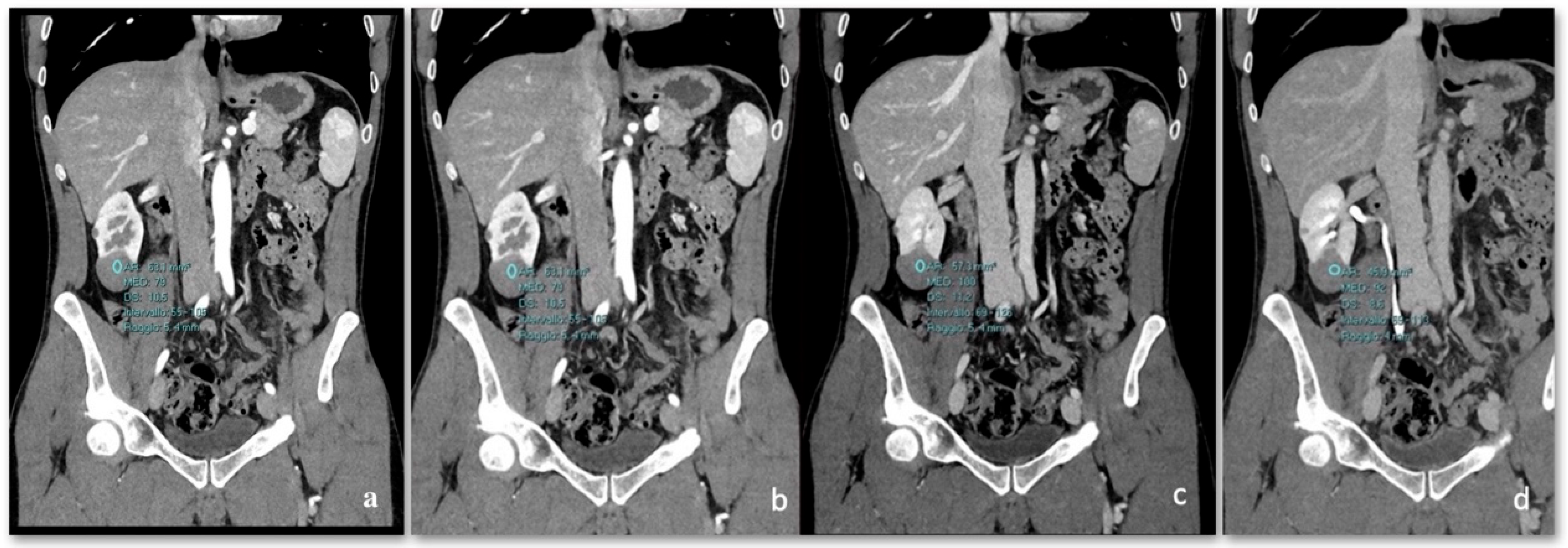
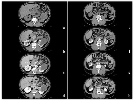
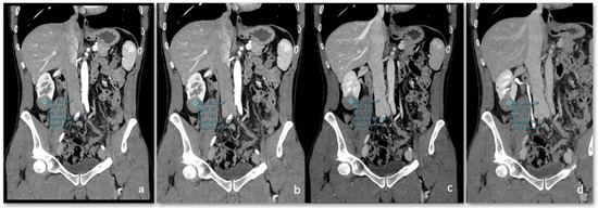
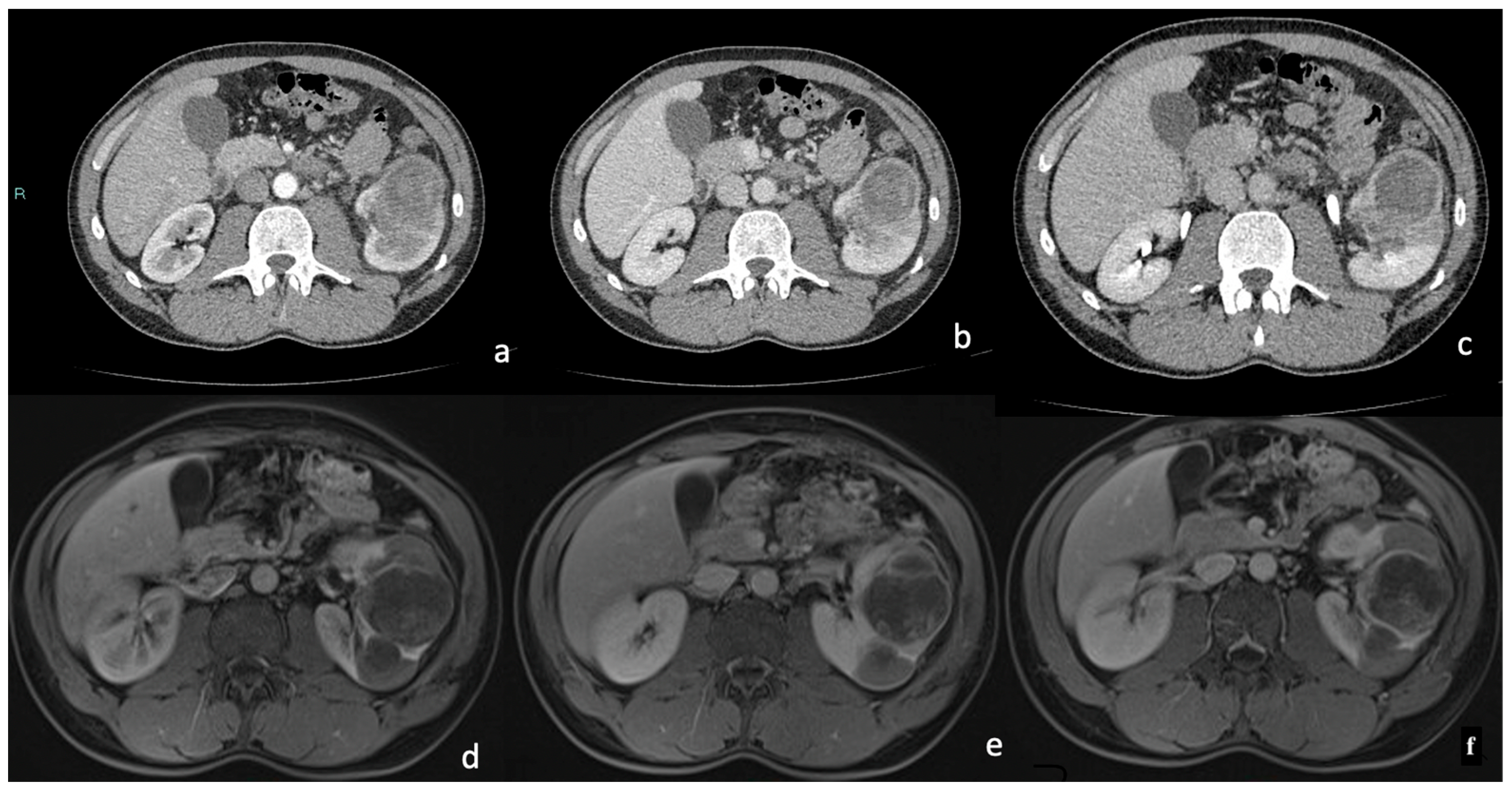
3.3. CT
Density and Contrast Enhancement
- Pre-enhanced phase: 30.3 ± 6.5 HU.
- Arterial phase: 47.2 ± 12.4 HU.
- Venous phase: 64.6 ± 17.3 HU.
- Delayed phase: 61.8 ± 14.5 HU.
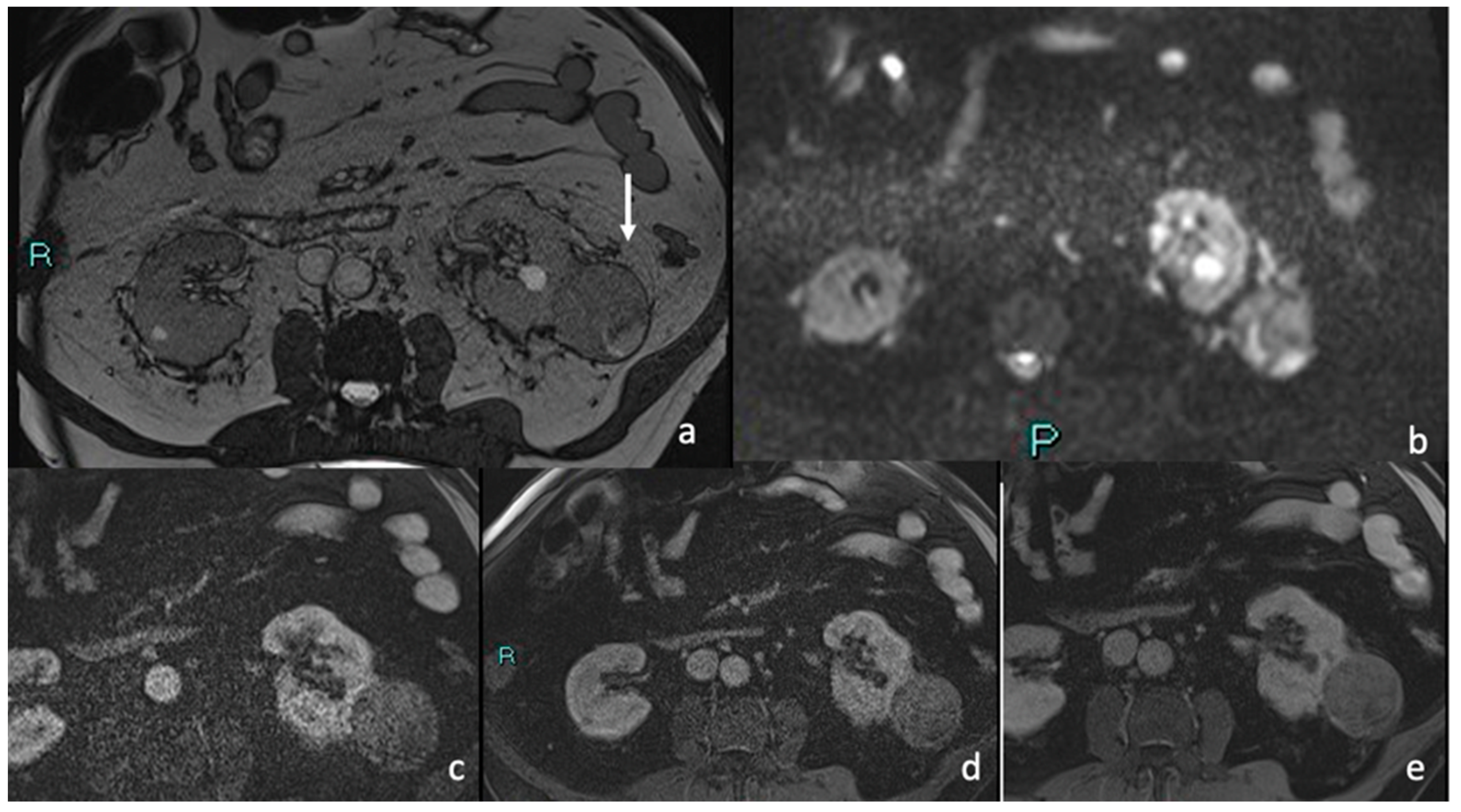
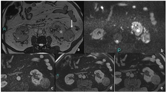
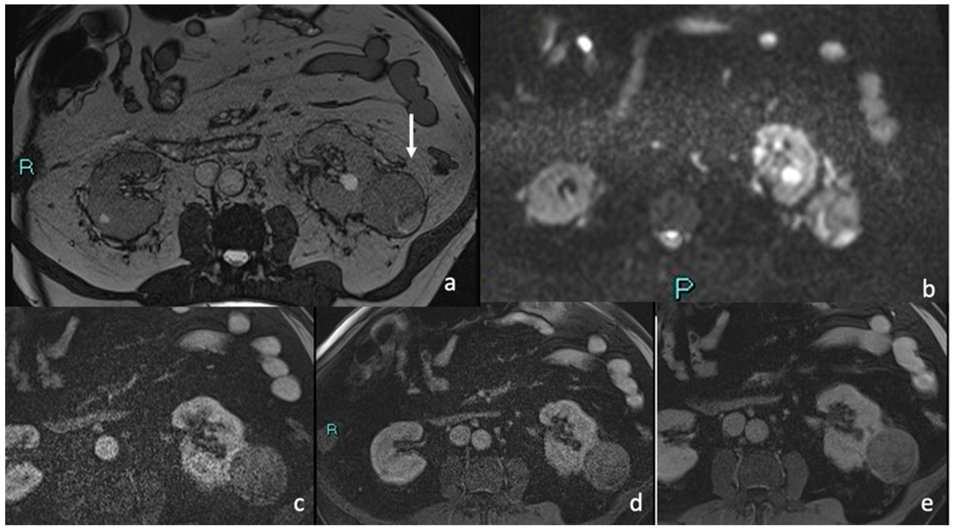
3.4. MRI
Signal Intensity, Homogeneity, and Contrast Enhancement
3.5. Technique Comparison
4. Discussion
5. Conclusions
Author Contributions
Funding
Institutional Review Board Statement
Informed Consent Statement
Data Availability Statement
Conflicts of Interest
References
- Sweeney, P.L.; Jang, A.; Halat, S.K.; Pal, S.K.; Barata, P.C. Advanced papillary renal cell carcinoma: Epidemiology, genomic drivers, current therapies, and ongoing trials. Cancer Treat. Res. Commun. 2022, 33, 100639. [Google Scholar] [CrossRef] [PubMed]
- Tamburrini, S.; Consoli, L.; Garrone, M.; Sfuncia, G.; Lugarà, M.; Coppola, M.G.; Piccirillo, M.; Toto, R.; Stella, S.M.; Sofia, S.; et al. The “Black Pattern”, a Simplified Ultrasound Approach to Non-Traumatic Abdominal Emergencies. Tomography 2022, 8, 798–814. [Google Scholar] [CrossRef] [PubMed] [PubMed Central]
- Al-Marhoon, M.S. Small Incidental Renal Masses in Adults: Review of the literature. Sultan Qaboos Univ. Med. J. 2010, 10, 196–202. [Google Scholar] [PubMed] [PubMed Central]
- Ullah, A.; Yasinzai, A.Q.K.; Daino, N.; Tareen, B.; Jogezai, Z.H.; Sadia, H.; Jamil, N.; Baloch, G.; Karim, A.; Badini, K.; et al. Papillary Renal Cell Carcinoma: Demographics, Survival Analysis, Racial Disparities, and Genomic Landscape. J. Kidney Cancer VHL 2023, 10, 33–42. [Google Scholar] [CrossRef] [PubMed] [PubMed Central]
- Volpe, A.; Panzarella, T.; Rendon, R.A.; Haider, M.A.; Kondylis, F.I.; Jewett, M.A. The natural history of incidentally detected small renal masses. Cancer 2004, 100, 738–745. [Google Scholar] [CrossRef] [PubMed]
- Mousavi, S.E.; Najafi, M.; Aslani, A.; Fazlollahi, A.; Yekta, Z.; Sadri, M.; Nejadghaderi, S.A. A population-based study on incidence trends of kidney and renal pelvis cancers in the United States over 2000–2020. Sci. Rep. 2024, 14, 11294. [Google Scholar] [CrossRef] [PubMed] [PubMed Central]
- Bahadoram, S.; Davoodi, M.; Hassanzadeh, S.; Bahadoram, M.; Barahman, M.; Mafakher, L. Renal cell carcinoma: An overview of the epidemiology, diagnosis, and treatment. G Ital. Nefrol. 2022, 39, 2022. [Google Scholar] [PubMed]
- Chow, W.H.; Dong, L.M.; Devesa, S.S. Epidemiology and risk factors for kidney cancer. Nat. Rev. Urol. 2010, 7, 245–257. [Google Scholar] [CrossRef] [PubMed] [PubMed Central]
- Goswami, P.R.; Singh, G.; Patel, T.; Dave, R. The WHO 2022 Classification of Renal Neoplasms (5th Edition): Salient Updates. Cureus 2024, 16, e58470. [Google Scholar] [CrossRef] [PubMed] [PubMed Central]
- Alaghehbandan, R.; Siadat, F.; Trpkov, K. What’s new in the WHO 2022 classification of kidney tumours? Pathologica 2022, 115, 8–22. [Google Scholar] [CrossRef] [PubMed] [PubMed Central]
- Millet, I.; Doyon, F.C.; Hoa, D.; Thuret, R.; Merigeaud, S.; Serre, I.; Taourel, P. Characterization of small solid renal lesions: Can benign and malignant tumors be differentiated with CT? AJR Am. J. Roentgenol. 2011, 197, 887–896. [Google Scholar] [CrossRef] [PubMed]
- Vikram, R.; Ng, C.S.; Tamboli, P.; Tannir, N.M.; Jonasch, E.; Matin, S.F.; Wood, C.G.; Sandler, C.M. Papillary renal cell carcinoma: Radiologic-pathologic correlation and spectrum of disease. Radiographics 2009, 29, 741–754, discussion 755–757. [Google Scholar] [CrossRef] [PubMed]
- Comune, R.; Grassi, F.; Picchi, S.G.; De Simone, F.; Sarti, G.; Giardina, C.; Galluzzo, M.; Scaglione, M.; Tamburrini, S. Gross hematuria: Renal cell carcinoma mimicking a renal arteriovenous malformation. Radiol. Case Rep. 2024, 19, 2130–2134. [Google Scholar] [CrossRef] [PubMed] [PubMed Central]
- Hollingsworth, J.M.; Miller, D.C.; Daignault, S.; Hollenbeck, B.K. Rising incidence of small renal masses: A need to reassess treatment effect. J. Natl. Cancer Inst. 2006, 98, 1331–1334. [Google Scholar] [PubMed]
- Remzi, M.; Özsoy, M.; Klingler, H.C.; Susani, M.; Waldert, M.; Seitz, C.; Schmidbauer, J.; Marberger, M. Are small renal tumors harmless? Analysis of histopatho- logical features according to tumors 4 cm or less in diameter. J. Urol. 2006, 176, 896–899. [Google Scholar] [PubMed]
- Frank, I.; Blute, M.L.; Cheville, J.C.; Lohse, C.M.; Weaver, A.L.; Zincke, H. Solid renal tumors: An analysis of pathological features related to tumor size. J. Urol. 2003, 170, 2217–2220. [Google Scholar]
- Li, G.; Cuilleron, M.; Gentil-Perret, A.; Tostain, J. Characteristics of image-detected solid renal masses: Implication for optimal treatment. Int. J. Urol. 2004, 11, 63–67. [Google Scholar] [PubMed]
- Chow, W.H.; Devesa, S.S.; Warren, J.L.; Fraumeni, J.F., Jr. Rising incidence of renal cell cancer in the United States. JAMA 1999, 281, 1628–1631. [Google Scholar]
- Tamburrini, S.; Comune, R.; Lassandro, G.; Pezzullo, F.; Liguori, C.; Fiorini, V.; Picchi, S.G.; Lugarà, M.; Del Biondo, D.; Masala, S.; et al. MDCT Diagnosis and Staging of Xanthogranulomatous Pyelonephritis. Diagnostics 2023, 13, 1340. [Google Scholar] [CrossRef]
- Figueiredo, G.; O’Shea, A.; Neville, G.M.; Lee, S.I. Rare Mesenchymal Tumors of the Pelvis: Imaging and Pathologic Correlation. Radiographics 2022, 42, 143–158. [Google Scholar] [CrossRef] [PubMed]
- Scialpi, M.; Scaglione, M.; Angelelli, G.; Lupattelli, L.; Resta, M.C.; Resta, M.; Rotondo, A. Emergencies in the retroperitoneum: Assessment of spread of disease by helical CT. Eur. J. Radiol. 2004, 50, 74–83. [Google Scholar] [CrossRef] [PubMed]
- Trovato, P.; Simonetti, I.; Morrone, A.; Fusco, R.; Setola, S.V.; Giacobbe, G.; Brunese, M.C.; Pecchi, A.; Triggiani, S.; Pellegrino, G.; et al. Scientific Status Quo of Small Renal Lesions: Diagnostic Assessment and Radiomics. J. Clin. Med. 2024, 13, 547. [Google Scholar] [CrossRef] [PubMed]
- Xue, L.Y.; Lu, Q.; Huang, B.J.; Li, C.X.; Yan, L.X.; Wang, W.P. Differentiation of subtypes of renal cell carcinoma with contrast-enhanced ultrasonography. Clin. Hemorheol. Microcirc. 2016, 63, 361–371. [Google Scholar] [CrossRef] [PubMed]
- Mueller-Peltzer, K.; Negrao de Figueiredo, G.; Graf, T.; Rübenthaler, J.; Clevert, D.A. Papillary renal cell carcinoma in contrast-enhanced ultrasound (CEUS)—A diagnostic performance study. Clin. Hemorheol. Microcirc. 2019, 71, 159–164. [Google Scholar] [CrossRef] [PubMed]
- Couvidat, C.; Eiss, D.; Verkarre, V.; Merran, S.; Corréas, J.M.; Méjean, A.; Hélénon, O. Renal papillary carcinoma: CT and MRI features. Diagn. Interv. Imaging 2014, 95, 1055–1063. [Google Scholar] [CrossRef] [PubMed]
- Chiarello, M.A.; Mali, R.D.; Kang, S.K. Diagnostic Accuracy of MRI for Detection of Papillary Renal Cell Carcinoma: A Systematic Review and Meta-Analysis. AJR Am. J. Roentgenol. 2018, 211, 812–821. [Google Scholar] [CrossRef] [PubMed] [PubMed Central]
- Dilauro, M.; Quon, M.; McInnes, M.D.; Vakili, M.; Chung, A.; Flood, T.A.; Schieda, N. Comparison of Contrast-Enhanced Multiphase Renal Protocol CT Versus MRI for Diagnosis of Papillary Renal Cell Carcinoma. AJR Am. J. Roentgenol. 2016, 206, 319–325. [Google Scholar] [CrossRef] [PubMed]
- Campbell, N.; Rosenkrantz, A.B.; Pedrosa, I. MRI phenotype in renal cancer: Is it clinically relevant? Top. Magn. Reason. Imaging 2014, 23, 95–115. [Google Scholar] [CrossRef] [PubMed] [PubMed Central]
- Castaldo, R.; Garbino, N.; Cavaliere, C.; Incoronato, M.; Basso, L.; Cuocolo, R.; Pace, L.; Salvatore, M.; Franzese, M.; Nicolai, E. A Complex Radiomic Signature in Luminal Breast Cancer from a Weighted Statistical Framework: A Pilot Study. Diagnostics 2022, 12, 499. [Google Scholar] [CrossRef]
- Egbert, N.D.; Caoili, E.M.; Cohan, R.H.; Davenport, M.S.; Francis, I.R.; Kunju, L.P.; Ellis, J.H. Differentiation of papillary renal cell carcinoma subtypes on CT and MRI. Am. J. Roentgenol. 2013, 201, 347–355. [Google Scholar]
- Kim, J.K.; Kim, T.K.; Ahn, H.J.; Kim, C.S.; Kim, K.R.; Cho, K.S. Differentiation of subtypes of renal cell carcinoma on helical CT scans. Am. J. Roentgenol. 2002, 178, 1499–1506. [Google Scholar] [CrossRef] [PubMed]
- Lee-Felker, S.A.; Felker, E.R.; Tan, N.; Margolis, D.J.; Young, J.R.; Sayre, J.; Raman, S.S. Qualitative and quantitative MDCT features for differentiating clear cell renal cell carcinoma from other solid renal cortical masses. Am. J. Roentgenol. 2014, 203, W516–W524. [Google Scholar] [CrossRef]
- Pierorazio, P.M.; Hyams, E.S.; Tsai, S.; Feng, Z.; Trock, B.J.; Mullins, J.K.; Johnson, P.T.; Fishman, E.K.; Allaf, M.E. Multiphasic enhancement patterns of small renal masses (≤4 cm) on preoperative computed tomography: Utility for distinguishing subtypes of renal cell carcinoma, angiomyolipoma, and oncocytoma. Urology 2013, 81, 1265–1271. [Google Scholar] [CrossRef] [PubMed]
- Ruppert-Kohlmayr, A.J.; Uggowitzer, M.; Meissnitzer, T.; Ruppert, G. Differentiation of renal clear cell carcinoma and renal papillary carcinoma using quantitative CT enhancement parameters. Am. J. Roentgenol. 2004, 183, 1387–1391. [Google Scholar] [CrossRef]
- Yang, C.W.; Shen, S.H.; Chang, Y.H.; Chung, H.J.; Wang, J.H.; Lin, A.T.; Chen, K.K. Are there useful CT features to differentiate renal cell carcinoma from lipid-poor renal angiomyolipoma? Am. J. Roentgenol. 2013, 201, 1017–1028. [Google Scholar] [CrossRef]
- Zhang, J.; Lefkowitz, R.A.; Ishill, N.M.; Wang, L.; Moskowitz, C.S.; Russo, P.; Eisenberg, H.; Hricak, H. Solid renal cortical tumors: Differentiation with CT. Radiology 2007, 244, 494–504. [Google Scholar] [CrossRef] [PubMed]
- Pooler, B.D.; Pickhardt, P.J.; O’Connor, S.D.; Bruce, R.J.; Patel, S.R.; Nakada, S.Y. Renal cell carcinoma: Attenuation values on unenhanced CT. Am. J. Roentgenol. 2012, 198, 1115–1120. [Google Scholar] [CrossRef]
- Yamamoto, T.; Gulanbar, A.; Hayashi, K.; Kohno, A.; Komai, Y.; Yonese, J.; Matsueda, K.; Inamura, K. Is hypervascular papillary renal cell carcinoma present? Abdom. Radiol. 2021, 46, 1687–1693. [Google Scholar] [CrossRef]
- Marcon, J.; Graser, A.; Horst, D.; Casuscelli, J.; Spek, A.; Stief, C.G.; Reiser, M.F.; Rübenthaler, J.; Buchner, A.; Staehler, M. Papillary vs clear cell renal cell carcinoma. Differentiation and grading by iodine concentration using DECT-correlation with microvascular density. Eur. Radiol. 2020, 30, 1–10. [Google Scholar] [CrossRef]
- Fiordelisi, M.F.; Auletta, L.; Meomartino, L.; Basso, L.; Fatone, G.; Salvatore, M.; Mancini, M.; Greco, A. Preclinical Molecular Imaging for Precision Medicine in Breast Cancer Mouse Models. Contrast Media Mol. Imaging 2019, 2019, 8946729. [Google Scholar] [CrossRef]
- Khan, O.S.; Yunas, M.; Ijaz, N.; Iftikhar, S.; Toru, H.K. Papillary Renal Cell Carcinoma as an Abdominal Cystic Mass. J. Ayub Med. Coll. Abbottabad 2022, 34, 891–894. [Google Scholar] [CrossRef] [PubMed]
- Banno, T.; Takagi, T.; Kondo, T.; Yoshida, K.; Iizuka, J.; Okumi, M.; Ishida, H.; Morita, S.; Nagashima, Y.; Tanabe, K. Computed tomography imaging characteristics of clear cell papillary renal cell carcinoma. Int. Braz. J. Urol. 2020, 46, 26–33. [Google Scholar] [CrossRef] [PubMed]
- Scaglione, M.; Masala, S.; Tamburrini, S.; Lassandro, G.; Barbuto, L.; Romano, L.; Iacobellis, F.; Sica, G.; Crivelli, P.; Turilli, D.; et al. Abdominal Emergencies in Cancer Patients. Can. Assoc. Radiol. J. 2024, 75, 161–170. [Google Scholar] [CrossRef] [PubMed]
- Rysz, J.; Franczyk, B.; Ławiński, J.; Gluba-Brzózka, A. Characteristics of Clear Cell Papillary Renal Cell Carcinoma (ccpRCC). Int. J. Mol. Sci. 2021, 23, 151. [Google Scholar] [CrossRef]
- Mendhiratta, N.; Muraki, P.; Sisk, A.E., Jr.; Shuch, B. Papillary renal cell carcinoma: Review. Urol. Oncol. 2021, 39, 327–337. [Google Scholar] [CrossRef]
- Ruebenthaler, J.; Reimann, R.; Hristova, P.; Staehler, M.; Reiser, M.; Clevert, D.A. Parametric imaging of clear cell and papillary renal cell carcinoma using contrast-enhanced ultrasound (CEUS). Clin. Hemorheol. Microcirc. 2015, 63, 89–97. [Google Scholar]









| Parameter | Description |
|---|---|
| Topography |
Single or multiple.
|
| Morphology/Tumor Borders |
|
| Echogenicity | Internal echogenicity classified as follows:
|
| Homogeneity | Uniformity of the tumor’s echo pattern: |
| Homogeneous vs. Heterogeneous. | |
| Locoregional Extension |
|
| Parameter | Description |
|---|---|
| Topography |
|
| Morphology/Tumor Borders |
|
| Density Measurement | Measurement in Hounsfield units (HU) in pre-contrast, arterial, venous, and late phases. Additional Features:
|
| Homogeneity | Uniformity of the contrast distribution after washout: homogeneous vs. heterogeneous. |
| Locoregional Extension |
|
| Parameter | Description |
|---|---|
| Topography |
|
| Morphology/Tumor Borders |
|
| Signal Intensity and Homogeneity | Assessed on T1 and T2 sequences (hypotense, hyperintense or isointense compared to renal parenchyma). Homogeneity assessed paying attention to regions of necrosis, cystic degeneration, or hemorrhage (low signal on T2). Hyperintense on DWI sequences and hypointense on ADC maps, indicating marked restriction. |
| Contrast Enhancement | Enhancement measured across dynamic phases. Pre-contrast and peak post-contrast signal intensity. |
| Locoregional Extension |
|
| Parameter | Description |
|---|---|
| Topography |
Single or multiple.
|
| Morphology/Tumor Borders |
|
| Enhancement | Dynamic Enhancement: Patterns observed during wash-in and wash-out phases. Degree of enhancement during contrast phases:
|
| Homogeneity | Uniformity of the contrast distribution after washout: Homogeneous vs. Heterogeneous. |
| Locoregional Extension |
|
| Features | % | n. | p Value |
| 92.6% | 25 | p < 0.05 |
| 7.4% | 2 | p > 0.05 |
| 85.2% | 23 | p < 0.05 |
| 14.8% | 4 | p > 0.05 |
| 7.4% | 2 | p > 0.05 |
| US Features | % | n. | p Value |
| 70.3% | 19 | p < 0.05 |
| 11.1% | 3 | |
| 18.5% | 5 | p > 0.05 |
| 37.0% | 10 | p > 0.05 |
| CEUS Features | % | n. | p > 0.05 |
| 70.3% | 19 | p < 0.05 |
| 29.7% | 8 | p > 0.05 |
| 0% | 0 | p > 0.05 |
| 52.2% | 12 | p < 0.05 |
| 29.6% | 8 | p > 0.05 |
| 25.9% | 7 | p > 0.05 |
| 62.9% | 17 | p > 0.05 |
| 37.0% | 10 | p > 0.05 |
| 81.5% | 22 | p < 0.05 |
| 11.1% | 3 | p > 0.05 |
| 7.4% | 2 | p > 0.05 |
| MRI FEATURES | % | n. | p Value |
|---|---|---|---|
| 85.2% 14.8% | 23 4 | p < 0.05 p > 0.05 |
| 88.9% 7.4% 3.7% | 24 2 1 | p < 0.05 p > 0.05 p > 0.05 |
| 29.6% 11.1% 59.5% | 8 3 16 | p > 0.05 p > 0.05 p < 0.05 |
| 100% | 27 | p < 0.05 |
Disclaimer/Publisher’s Note: The statements, opinions and data contained in all publications are solely those of the individual author(s) and contributor(s) and not of MDPI and/or the editor(s). MDPI and/or the editor(s) disclaim responsibility for any injury to people or property resulting from any ideas, methods, instructions or products referred to in the content. |
© 2025 by the authors. Licensee MDPI, Basel, Switzerland. This article is an open access article distributed under the terms and conditions of the Creative Commons Attribution (CC BY) license (https://creativecommons.org/licenses/by/4.0/).
Share and Cite
Comune, R.; Tiralongo, F.; Bicci, E.; Saturnino, P.P.; Ronza, F.M.; Bortolotto, C.; Granata, V.; Masala, S.; Scaglione, M.; Sica, G.; et al. Multimodality Imaging Features of Papillary Renal Cell Carcinoma. Diagnostics 2025, 15, 906. https://doi.org/10.3390/diagnostics15070906
Comune R, Tiralongo F, Bicci E, Saturnino PP, Ronza FM, Bortolotto C, Granata V, Masala S, Scaglione M, Sica G, et al. Multimodality Imaging Features of Papillary Renal Cell Carcinoma. Diagnostics. 2025; 15(7):906. https://doi.org/10.3390/diagnostics15070906
Chicago/Turabian StyleComune, Rosita, Francesco Tiralongo, Eleonora Bicci, Pietro Paolo Saturnino, Francesco Michele Ronza, Chandra Bortolotto, Vincenza Granata, Salvatore Masala, Mariano Scaglione, Giacomo Sica, and et al. 2025. "Multimodality Imaging Features of Papillary Renal Cell Carcinoma" Diagnostics 15, no. 7: 906. https://doi.org/10.3390/diagnostics15070906
APA StyleComune, R., Tiralongo, F., Bicci, E., Saturnino, P. P., Ronza, F. M., Bortolotto, C., Granata, V., Masala, S., Scaglione, M., Sica, G., Tamburro, F., & Tamburrini, S. (2025). Multimodality Imaging Features of Papillary Renal Cell Carcinoma. Diagnostics, 15(7), 906. https://doi.org/10.3390/diagnostics15070906

