Sign in to use this feature.

Years

Between: -

Subjects

remove_circle_outline
remove_circle_outline
remove_circle_outline
remove_circle_outline
remove_circle_outline
remove_circle_outline
remove_circle_outline

Journals

Article Types

Countries / Regions

Search Results (12)

Search Parameters:
Keywords = MR vessel wall image

Order results
Result details
Results per page
Select all
Export citation of selected articles as:
17 pages, 1793 KB  
Article
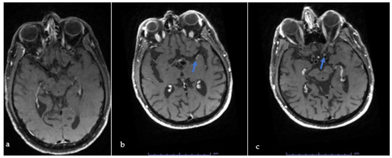
Spontaneous Multiple Cervical Artery Dissections Detected with High-Resolution MRI: A Prospective, Case-Series Study
by Aikaterini Foska, Aikaterini Theodorou, Maria Chondrogianni, Georgios Velonakis, Stefanos Lachanis, Eleni Bakola, Georgia Papagiannopoulou, Alexandra Akrivaki, Stella Fanouraki, Christos Moschovos, Panagiota-Eleni Tsalouchidou, Ermioni Papageorgiou, Athina Andrikopoulou, Klearchos Psychogios, Odysseas Kargiotis, Apostolοs Safouris, Effrosyni Koutsouraki, Georgios Magoufis, Dimos-Dimitrios Mitsikostas, Sotirios Giannopoulos, Lina Palaiodimou and Georgios Tsivgoulisadd Show full author list remove Hide full author list
J. Clin. Med. 2025, 14(18), 6635; https://doi.org/10.3390/jcm14186635 - 20 Sep 2025
Viewed by 1815
Abstract
Background: Cervical artery dissection (CAD) is a leading cause of acute ischemic stroke among young and middle-aged patients. Currently, the growing availability of high-resolution magnetic resonance imaging (MRI), particularly fat-saturated T1-weighted black-blood SPACE sequences, allows the non-invasive, rapid, and reliable diagnosis of [...] Read more.
Background: Cervical artery dissection (CAD) is a leading cause of acute ischemic stroke among young and middle-aged patients. Currently, the growing availability of high-resolution magnetic resonance imaging (MRI), particularly fat-saturated T1-weighted black-blood SPACE sequences, allows the non-invasive, rapid, and reliable diagnosis of multiple arterial dissections. Methods: We reported our experience from two tertiary stroke centers of patients diagnosed with spontaneous multiple cervical artery dissections, detected with high-resolution MRI, during a three-year period (2022–2025). Results: Among 95 consecutive patients with CAD, 11 patients (mean age: 48 ± 9 years, 6 (55%) females) were diagnosed with multiple symptomatic or asymptomatic CADs, whereas in 84 patients (mean age: 49 ± 11 years, 32 (38%) females) a single CAD was detected. In all patients, high-resolution MRI and MR-angiography were performed, whereas digital subtraction angiography (DSA) with simultaneous evaluation of renal arteries was conducted in nine patients. A history of trauma or chiropractic manipulations, intense physical exercise prior to symptom onset, recent influenza-like illness, and recent childbirth in a young female patient were reported as predisposing risk factors. Cervicocranial pain, cerebral infarctions leading to focal neurological signs, and Horner’s syndrome were among the most commonly documented symptoms. Characteristic findings in the high-resolution 3D T1 SPACE sequence were detected in all patients. Fibromuscular dysplasia and Eagle syndrome were detected in four patients and one patient, respectively. Eight patients were treated with antiplatelets, whereas three patients received anticoagulation with low-molecular-weight heparin. There was only one case of stroke recurrence during a mean follow-up period of 9 ± 4 months. Conclusions: This case series highlights the utility of specific high-resolution MRI sequences as a very promising method for detecting multiple CADs in young patients. The systematic use of these sequences could enhance the sensitivity of detecting multiple cervical CADs, affecting also the thorough investigation for underlying connective tissue vasculopathies, stratifying the risk for first-ever or recurrent ischemic stroke, and influencing acute reperfusion and secondary prevention therapeutic strategies. Full article
(This article belongs to the Special Issue Ischemic Stroke: Diagnosis and Treatment)
Show Figures

Figure 1

13 pages, 718 KB  
Article
Quantitative Analysis of Intracranial Atherosclerosis and Its Correlation with Ischemic Cerebrovascular Disease and Prognosis
by Jingjing Cai, Sizhan Chen, Shiyu Hu, Lijie Ren and Gelin Xu
Brain Sci. 2025, 15(9), 1009; https://doi.org/10.3390/brainsci15091009 - 18 Sep 2025
Cited by 1 | Viewed by 1178
Abstract
Background: Intracranial atherosclerosis disease (ICAD) represents a significant etiology of stroke. This study aimed to evaluate correlations between intracranial atherosclerotic burden and risk of ischemic events. Methods: In this prospective observational study, all enrolled patients underwent High-Resolution Magnetic Resonance vessel wall Imaging [...] Read more.
Background: Intracranial atherosclerosis disease (ICAD) represents a significant etiology of stroke. This study aimed to evaluate correlations between intracranial atherosclerotic burden and risk of ischemic events. Methods: In this prospective observational study, all enrolled patients underwent High-Resolution Magnetic Resonance vessel wall Imaging (HR MR-VMI) within two weeks of onset, or of enrollment. Baseline assessments included modified American Heart Association plaque type, stenosis degree, intra-plaque hemorrhage (IPH), plaque thickness, plaque length, and vessel wall enhancement. Modified Rankin Scale (mRS) was followed with one-year treatment in adherence to the guidelines. Comparative analyses were conducted between symptomatic and asymptomatic groups, culprit versus non-culprit plaques, and favorable versus poor prognosis groups. Results: The study included 129 symptomatic and 42 asymptomatic patients. Hypertension, diabetes, and smoking were more prevalent in patients in the symptomatic group. Vulnerable plaque (97.7% vs. 64.3%, p = 0.003), IPH (17.8% vs. 4.8%, p = 0.022) and higher stenosis degree (χ2 = 2.675, p = 0.008) were significantly more prevalent in the symptomatic group. Culprit plaques were predominantly located in the superior wall of the middle cerebral artery (MCA) (χ2 = 15.561, p = 0.001) and the left wall of the basilar artery (χ2 = 34.138, p = 0.008). Factors associated with poor prognosis included older age (63.63 ± 8.19 vs. 55.63 ± 13.15, p = 0.001), presence of IPH (31.82% vs. 14.29%, p = 0.037), and elevated D-dimer levels (0.77 ± 0.60 vs. 0.40 ± 0.36, p = 0.022). Conclusions: Vulnerable plaque, specific lesion locations, and higher stenosis degree are significantly associated with ischemic events in ICAD. While plaque enhancement and stenosis correlate with stroke occurrence, they show no clear association with prognosis. Neither the length nor the thickness of plaques manifests a significant correlation with either stroke events or the prognostic outcomes. Full article
(This article belongs to the Special Issue Application of MRI in Brain Diseases)
Show Figures

Figure 1

12 pages, 2062 KB  
Article
Assessment of Post-COVID-19 Changes in Brain—Clinical and Imaging Evaluation Using MRI Vessel Wall Imaging and Complementary MRI Methods
by Jakub Okrzeja, Maciej Alimowski, Adam Garkowski, Marcin Hładuński, Bożena Kubas, Justyna Adamczuk, Piotr Czupryna, Karolina Narejko and Anna Moniuszko-Malinowska
J. Clin. Med. 2024, 13(22), 6884; https://doi.org/10.3390/jcm13226884 - 15 Nov 2024
Cited by 2 | Viewed by 1972
Abstract
Background/Objectives: The aim of the study was to evaluate the usefulness of vessel wall imaging and MRI in assessment of the post-COVID-19 changes in the brain. VWI is a progressive MRI technique that provides precise imaging of the pathological process in the [...] Read more.
Background/Objectives: The aim of the study was to evaluate the usefulness of vessel wall imaging and MRI in assessment of the post-COVID-19 changes in the brain. VWI is a progressive MRI technique that provides precise imaging of the pathological process in the wall of the vessel. It might help us to better understand the pathophysiology of COVID-19-related neurological lesions and may have an impact on management protocols. Methods: A total of 43 patients were included in the study; the post-COVID-19 group included 23 patients hospitalized for COVID-19 (mean age of the group: 53.52 years; 26% male, 74% female). The control group consisted of 20 patients from the general population who did not suffer from COVID-19 (mean age: 52.15 years; 35% male, 65% female). MRI examinations were performed on a 3T scanner (Biograph mMR, Siemens). The VW-MRI protocol included T1-weighted SPACE FS black-blood images, FLAIR images, SWI, and MRA. Results: Several radiological changes in post-COVID-19 patients were described: hyperintense foci in the white matter of the brain hemispheres, in the lower parts of the temporal lobes, and in the structures of the posterior cranial fossa; presence of engorgement of deep medullary veins or perivascular enhancement; presence of inflammatory vessel thickening in VWI images; changes in hippocampus size; presence of cortical atrophy; and thickening of the mucous membrane of the paranasal sinuses. The presence of atherosclerotic vessel thickening in VWI and the width of the third ventricle depended on the age of the patient. Conclusions: VWI and MRI may be useful in the assessment of post-COVID-19 lesions in the brain. Full article
Show Figures

Graphical abstract

13 pages, 2039 KB  
Review
A Systematic Review and Meta-Analysis of the Pathology Underlying Aneurysm Enhancement on Vessel Wall Imaging
by Ronneil Digpal, Kenton P. Arkill, Regan Doherty, Joseph Yates, Lorna K. Milne, Nicole Broomes, Orestis L. Katsamenis, Jason Macdonald, Adam Ditchfield, Ana Paula Narata, Angela Darekar, Roxana O. Carare, Mark Fabian, Ian Galea and Diederik Bulters
Int. J. Mol. Sci. 2024, 25(5), 2700; https://doi.org/10.3390/ijms25052700 - 26 Feb 2024
Cited by 2 | Viewed by 2896
Abstract
Intracranial aneurysms are common, but only a minority rupture and cause subarachnoid haemorrhage, presenting a dilemma regarding which to treat. Vessel wall imaging (VWI) is a contrast-enhanced magnetic resonance imaging (MRI) technique used to identify unstable aneurysms. The pathological basis of MR enhancement [...] Read more.
Intracranial aneurysms are common, but only a minority rupture and cause subarachnoid haemorrhage, presenting a dilemma regarding which to treat. Vessel wall imaging (VWI) is a contrast-enhanced magnetic resonance imaging (MRI) technique used to identify unstable aneurysms. The pathological basis of MR enhancement of aneurysms is the subject of debate. This review synthesises the literature to determine the pathological basis of VWI enhancement. PubMed and Embase searches were performed for studies reporting VWI of intracranial aneurysms and their correlated histological analysis. The risk of bias was assessed. Calculations of interdependence, univariate and multivariate analysis were performed. Of 228 publications identified, 7 met the eligibility criteria. Individual aneurysm data were extracted for 72 out of a total of 81 aneurysms. Univariate analysis showed macrophage markers (CD68 and MPO, p = 0.001 and p = 0.002), endothelial cell markers (CD34 and CD31, p = 0.007 and p = 0.003), glycans (Alcian blue, p = 0.003) and wall thickness (p = 0.030) were positively associated with enhancement. Aneurysm enhancement therefore appears to be associated with inflammatory infiltrate and neovascularisation. However, all these markers are correlated with each other, and the literature is limited in terms of the numbers of aneurysms analysed and the parameters considered. The data are therefore insufficient to determine if these associations are independent of each other or of aneurysm size, wall thickness and rupture status. Thus, the cause of aneurysm-wall enhancement currently remains unknown. Full article
(This article belongs to the Special Issue New Trends in Molecular Research of Aneurysm and Brain Injury)
Show Figures

Figure 1

8 pages, 385 KB  
Article
Diagnostic Yield of High-Resolution Vessel Wall Magnetic Resonance Imaging in the Evaluation of Young Stroke Patients
by Naaem Simaan, Tamer Jubeh, Fatma Shalabi, Hamza Jubran, Issa Metanis, Yoav Parag, Yoel Schwartzman, Jad Magadlla, John. M. Gomori, Karine Wiegler Beiruti, Jose E. Cohen and Ronen Leker
J. Clin. Med. 2024, 13(1), 189; https://doi.org/10.3390/jcm13010189 - 29 Dec 2023
Cited by 3 | Viewed by 1769
Abstract
(1) Background: The mechanism responsible for stroke in patients younger than 50 often remains unknown. This study was designed to assess whether high-resolution intracranial vessel wall MR imaging (icVWI) may be instrumental in determining stroke cause. (2) Methods: Young stroke patients with and [...] Read more.
(1) Background: The mechanism responsible for stroke in patients younger than 50 often remains unknown. This study was designed to assess whether high-resolution intracranial vessel wall MR imaging (icVWI) may be instrumental in determining stroke cause. (2) Methods: Young stroke patients with and without an identified cause of stroke despite an exhaustive investigation were prospectively included. Patients who underwent icVWI were compared to those who did not. We next compared patients with and without intracranial vulnerable plaques on icVWI. (3) Results: Overall, 47 young stroke patients were identified over the span of 2 years and included in this study. Of those, 20 (42%) underwent intracranial icVWI. Cancer prevalence was higher among patients who did not have an icVWI study (19% vs. 0% p = 0.042) but there were no other significant differences between patients who had an icVWI study and those who did not have an icVWI. Among patients who had an icVWI, 11 (55%) had vulnerable plaques and the remaining nine studies were negative. Patients with positive icVWI scans had significantly higher stroke severity at admission (mean ± SD NIHSS score 5.5 ± 3.5 vs. 1.7 ± 2.3, p = 0.012). Patients with positive icVWI scans were more often treated with antiplatelets upon discharge (100% vs. 67%, p = 0.038). (4) Conclusions: icVWI can add significant information relevant to stroke pathogenesis and secondary prevention among young stroke patients with a negative exhaustive diagnostic workup. Full article
(This article belongs to the Section Clinical Neurology)
Show Figures

Figure 1

13 pages, 1795 KB  
Article
Correlation of sLOX-1 Levels and MR Characteristics of Culprit Plaques in Intracranial Arteries with Stroke Recurrence
by Kaixuan Ren, Huayun Jiang, Tiantian Li, Chengqun Qian, Li Zhu and Tianle Wang
Diagnostics 2023, 13(4), 804; https://doi.org/10.3390/diagnostics13040804 - 20 Feb 2023
Cited by 6 | Viewed by 2549
Abstract
(1) Background: Symptomatic intracranial artery atherosclerosis (sICAS) is an important cause of acute ischaemic stroke (AIS) and is associated with a high risk of stroke recurrence. High-resolution magnetic resonance vessel wall imaging (HR-MR-VWI) is an effective method for evaluating atherosclerotic plaque characteristics. Soluble [...] Read more.
(1) Background: Symptomatic intracranial artery atherosclerosis (sICAS) is an important cause of acute ischaemic stroke (AIS) and is associated with a high risk of stroke recurrence. High-resolution magnetic resonance vessel wall imaging (HR-MR-VWI) is an effective method for evaluating atherosclerotic plaque characteristics. Soluble lectin-like oxidised low-density lipoprotein receptor-1 (sLOX-1) is closely associated with plaque formation and rupture. We aim to explore the correlation between sLOX-1 levels and culprit plaque characteristics, based on HR-MR-VWI, with stroke recurrence in patients with sICAS. (2) Methods: A total of 199 patients with sICAS underwent HR-MR-VWI between June 2020 and June 2021 in our hospital. The culprit vessel and plaque characteristics were assessed according to HR-MR-VWI, and sLOX-1 levels were measured by ELISA (enzyme linked immunosorbent assay). Outpatient follow-up was performed 3, 6, 9, and 12 months after discharge. (3) Results: sLOX-1 levels were significantly higher in the recurrence group than in the non-recurrence group (p < 0.001). The culprit plaque thickness, degree of stenosis and plaque burden were higher in the recurrence group than in the non-recurrence group (p = 0.003, p = 0.014 and p = 0.010, respectively). The incidence of hyperintensity on T1WI, positive remodelling and significant enhancement (p < 0.001, p = 0.003 and p = 0.027, respectively) was higher in the recurrence group than in the non-recurrence group. Kaplan–Meier curves showed that patients with sLOX-1 levels > 912.19 pg/mL and hyperintensity on T1WI in the culprit plaque had a higher risk of stroke recurrence (both p < 0.001). Multivariate Cox regression analysis showed that sLOX-1 > 912.19 pg/mL (HR = 2.583, 95%CI 1.142, 5.846, p = 0.023) and hyperintensity on T1WI in the culprit plaque (HR = 2.632, 95% CI 1.197, 5.790, p = 0.016) were independent risk factors for stroke recurrence. sLOX-1 levels were significantly associated with the culprit plaque thickness (r = 0.162, p = 0.022), degree of stenosis (r = 0.217, p = 0.002), plaque burden (r = 0.183, p = 0.010), hyperintensity on T1WI (F = 14.501, p < 0.001), positive remodelling (F = 9.602, p < 0.001), and significant enhancement (F = 7.684, p < 0.001) (4) Conclusions: sLOX-1 levels were associated with vulnerability of the culprit plaque and can be used as a supplement to HR-MR-VWI to predict stroke recurrence. Full article
(This article belongs to the Special Issue Advances in the Imaging of Stroke and Neurodegenerative Disorders)
Show Figures

Figure 1

12 pages, 1996 KB  
Article
Morphological and Compositional Features of Chronic Internal Carotid Artery Occlusion in MR Vessel Wall Imaging Predict Successful Endovascular Recanalization
by Jin Zhang, Shenghao Ding, Bing Zhao, Beibei Sun, Qinhua Guo, Yaohua Pan, Xiao Li, Lingling Wang, Jianjian Zhang, Jiaqi Tian, Yan Zhou, Jianrong Xu, Chun Yuan, Jieqing Wan, Xihai Zhao and Huilin Zhao
Diagnostics 2023, 13(1), 147; https://doi.org/10.3390/diagnostics13010147 - 1 Jan 2023
Cited by 10 | Viewed by 3484
Abstract
Background: We sought to determine if the morphological and compositional features of chronic internal carotid artery occlusion (CICAO), as assessed by MR vessel wall imaging (MR-VWI), initially predict successful endovascular recanalization. Methods: Consecutive patients with CICAO scheduled for endovascular recanalization were recruited. MR-VWI [...] Read more.
Background: We sought to determine if the morphological and compositional features of chronic internal carotid artery occlusion (CICAO), as assessed by MR vessel wall imaging (MR-VWI), initially predict successful endovascular recanalization. Methods: Consecutive patients with CICAO scheduled for endovascular recanalization were recruited. MR-VWI was performed within 1 week prior to surgery for evaluating the following features: proximal stump morphology, extent of occlusion, occlusion with collapse, arterial tortuosity, the presence of hyperintense signals (HIS) and calcification in the occluded C1 segment. Multivariate logistic regression was used to identify features associated with technical success and construct a prediction model. Results: Eighty-three patients were recruited, of which fifty-seven (68.7%) were recanalized successfully. The morphological and compositional characteristics of CICAO were associated with successful recanalization, including occlusions limited to C1 and extensive HIS, as well as the absence of extensive calcification, absence of high tortuosity, and absence of artery collapse. The MR CICAO score that comprised the five predictors showed a high predictive ability (area under the curve: 0.888, p < 0.001). Conclusion: the MR-VWI characteristics of CICAO predicted the technical success of endovascular recanalization and may be leveraged for identifying patients with a high probability of successful recanalization. Full article
(This article belongs to the Special Issue Advances in the Imaging of Stroke and Neurodegenerative Disorders)
Show Figures

Figure 1

12 pages, 3740 KB  
Article
A Semantic Segmentation Method with Emphasis on the Edges for Automatic Vessel Wall Analysis
by Wenjing Xu and Qing Zhu
Appl. Sci. 2022, 12(14), 7012; https://doi.org/10.3390/app12147012 - 11 Jul 2022
Cited by 5 | Viewed by 2407
Abstract
To develop a precise semantic segmentation method with an emphasis on the edges for automated segmentation of the arterial vessel wall and plaque based on the convolutional neural network (CNN) in order to facilitate the quantitative assessment of plaque in patients with ischemic [...] Read more.
To develop a precise semantic segmentation method with an emphasis on the edges for automated segmentation of the arterial vessel wall and plaque based on the convolutional neural network (CNN) in order to facilitate the quantitative assessment of plaque in patients with ischemic stroke. A total of 124 subjects’ MR vessel wall images were used to train, validate, and test the model using deep learning. An end-to-end architecture network that can emphasize the edge information, namely the Edge Vessel Segmentation Network (EVSegNet) for automated segmentation of the arterial vessel wall, is proposed. The EVSegNet network consists of two workflows: one is implemented to achieve finely and multiscale segmentation by combining Dense Upsampling Convolution (DUC) and Hybrid Dilated Convolution (HDC) with different dilation rates modules, and the other utilizes edge information and is fused with another workflow to finally segment the vessel wall. The proposed network demonstrates robust segmentation of the vessel wall and better performance with a Dice (%) of 87.5, compared with the traditional U-net that has a Dice (%) of 81.0 and other U-net-based models on the test dataset. The results suggest that the proposed segmentation method with an emphasis on the edges improves segmentation accuracy effectively and will facilitate the quantitative assessment of atherosclerosis. Full article
(This article belongs to the Section Biomedical Engineering)
Show Figures

Figure 1

10 pages, 836 KB  
Project Report
Implementation of an International Vessel Wall MR Plaque Imaging Research Network: Experience with the ChAMPION Study
by Yannan Yu, Wei-Hai Xu, Arindam Rano Chatterjee, Todd LeMatty, Meng Yao, Ming-Li Li, Truman Brown, Maria Vittoria Spampinato, Renee Martin, Marc I. Chimowitz, Colin Derdeyn and Tanya N. Turan
Clin. Transl. Neurosci. 2022, 6(3), 16; https://doi.org/10.3390/ctn6030016 - 24 Jun 2022
Viewed by 2598
Abstract
Background and Objective: Intracranial atherosclerosis (ICAS) is one of the most common causes of stroke worldwide. High-resolution Vessel Wall MR imaging (VW-MR) is commonly used to study ICAS, but in order to accelerate advances in the field of VW-MR ICAS research, the establishment [...] Read more.
Background and Objective: Intracranial atherosclerosis (ICAS) is one of the most common causes of stroke worldwide. High-resolution Vessel Wall MR imaging (VW-MR) is commonly used to study ICAS, but in order to accelerate advances in the field of VW-MR ICAS research, the establishment of a multicenter research network is needed. We introduce our experience in establishing a collaborative international VW-MR ICAS research network in China and North America using an innovative, disease-specific ICAS imaging phantom for standardization of VW-MR sequences at the sites. Methods: Both the Medical University of South Carolina and Peking Union Medical College functioned as Central Coordinating Centers in the network. PUMC identified research centers within China that had the potential for collaboration on VW-MR ICAS research based on networking and prior experience. All selected centers refined MRI sequences using an ICAS phantom with study principal investigators virtually present in real-time during scanning. MRI sequences were efficiently calibrated utilizing the broad expertise of all members of the research team. All centers further validated MRI sequences with human subjects. Results: We identified 11 Chinese hospitals as the potential collaborating sites for the network. Of the 11 selected sites, six sites were able to complete the required VW-MR scanning and sequence refinement using the ICAS phantom and subsequent human subjects. Conclusion: The study demonstrated the feasibility of establishing a cross-continent collaborative VW-MR research network and the use of a disease-specific phantom to facilitate convenient and efficient sequence modification for image quality standardization, which is needed for future multicenter VW-MR studies. Full article
Show Figures

Figure 1

13 pages, 2765 KB  
Article
High-Resolution Vessel Wall MRI of Endovascularly Treated Intracranial Aneurysms
by Łukasz Zwarzany, Mateusz Owsiak, Ernest Tyburski and Wojciech Poncyljusz
Tomography 2022, 8(1), 303-315; https://doi.org/10.3390/tomography8010025 - 1 Feb 2022
Cited by 7 | Viewed by 4419
Abstract
(1) Background: The aim of this study was to determine the frequency and the pattern of post-procedural intracranial aneurysm contrast enhancement on high-resolution vessel wall magnetic resonance imaging (HR-VW MRI). We investigated the possible association between this imaging finding and factors such as [...] Read more.
(1) Background: The aim of this study was to determine the frequency and the pattern of post-procedural intracranial aneurysm contrast enhancement on high-resolution vessel wall magnetic resonance imaging (HR-VW MRI). We investigated the possible association between this imaging finding and factors such as time elapsed since embolization or aneurysm occlusion grade on baseline and follow-up imaging. (2) Methods: Consecutive patients presenting for follow-up after endovascular treatment of intracranial aneurysms were included. HR-VW MRI was acquired and interpreted independently by two radiologists. (3) Results: This study included 40 aneurysms in 39 patients. Contrast enhancement was detected in 30 (75%) aneurysms. It was peripheral in 12 (30.0%), central in 9 (22.5%), and both peripheral and central in 9 (22.5%) aneurysms. The statistical analysis did not reveal any relationship between follow-up period and the presence of contrast enhancement (p = 0.277). There were no statistically significant differences in the frequency of contrast enhancement between aneurysms with total occlusion and those with remnant flow on follow-up MR angiography (p = 0.850) nor between aneurysms with different interval changes in the aneurysm occlusion grade (p = 0.536). Multivariate analysis did not demonstrate aneurysm size, ruptured aneurysm status, nor initial complete aneurysm occlusion to be a predictor of contrast enhancement (p = 0.080). (4) Conclusions: Post-procedural aneurysm contrast enhancement is a common imaging finding on HR-VW MRI. The clinical utility of this imaging finding, especially in the prediction of aneurysm recurrence, seems limited. The results of our study do not support routine use of HR-VW MRI in the follow-up of patients after endovascular treatment of intracranial aneurysms. Full article
(This article belongs to the Special Issue New Advances in Magnetic Resonance Imaging (MRI))
Show Figures

Figure 1

11 pages, 1223 KB  
Article
Quantitative Susceptibility Mapping and Vessel Wall Imaging as Screening Tools to Detect Microbleed in Sentinel Headache
by Daizo Ishii, Daichi Nakagawa, Mario Zanaty, Jorge A. Roa, Sami Al Kasab, Amir Shaban, Joseph S. Hudson, Carlos Osorno-Cruz, Stefano Byer, Lauren Allan, James C. Torner, Issam A. Awad, Timothy J. Carroll, Edgar A. Samaniego and David M. Hasan
J. Clin. Med. 2020, 9(4), 979; https://doi.org/10.3390/jcm9040979 - 1 Apr 2020
Cited by 13 | Viewed by 6403
Abstract
Background: MR-quantitative susceptibility mapping (QSM) can identify microbleeds (MBs) in intracranial aneurysm (IA) wall associated with sentinel headache (SH) preceding subarachnoid hemorrhage. However, its use is limited, due to associated skull base bonny and air artifact. MR-vessel wall imaging (VWI) is not limited [...] Read more.
Background: MR-quantitative susceptibility mapping (QSM) can identify microbleeds (MBs) in intracranial aneurysm (IA) wall associated with sentinel headache (SH) preceding subarachnoid hemorrhage. However, its use is limited, due to associated skull base bonny and air artifact. MR-vessel wall imaging (VWI) is not limited by such artifact and therefore could be an alternative to QSM. The purpose of this study was to investigate the correlation between QSM and VWI in detecting MBs and to help develop a diagnostic strategy for SH. Methods: We performed a prospective study of subjects with one or more unruptured IAs in our hospital. All subjects underwent evaluation using 3T-MRI for MR angiography (MRA), QSM, and pre- and post-contrast VWI of the IAs. Presence/absence of MBs detected by QSM was correlated with aneurysm wall enhancement (AWE) on VWI. Results: A total of 40 subjects harboring 51 unruptured IAs were enrolled in the study. MBs evident on the QSM sequence was detected in 12 (23.5%) IAs of 11 subjects. All these subjects had a history of severe headache suggestive of SH. AWE was detected in 22 (43.1%) IAs. Using positive QSM as a surrogate for MBs, the sensitivity, specificity, positive predictive value, and negative predictive value of AWE on VWI for detecting MBs were 91.7%, 71.8%, 50%, and 96.6%, respectively. Conclusions: Positive QSM findings strongly suggested the presence of MBs with SH, whereas, the lack of AWE on VWI can rule it out with a probability of 96.6%. If proven in a larger cohort, combining QSM and VWI could be an adjunctive tool to help diagnose SH, especially in cases with negative or non-diagnostic CT and lumbar puncture. Full article
(This article belongs to the Special Issue Novel Approaches for the Treatment of Cerebrovascular Disorders)
Show Figures

Figure 1

22 pages, 7141 KB  
Article
Effects of Focused-Ultrasound-and-Microbubble-Induced Blood-Brain Barrier Disruption on Drug Transport under Liposome-Mediated Delivery in Brain Tumour: A Pilot Numerical Simulation Study
by Wenbo Zhan
Pharmaceutics 2020, 12(1), 69; https://doi.org/10.3390/pharmaceutics12010069 - 15 Jan 2020
Cited by 12 | Viewed by 5356
Abstract
Focused ultrasound (FUS) coupled with microbubbles (MB) has been found to be a promising approach to disrupt the blood-brain barrier (BBB). However, how this disruption affects drug transport remains unclear. In this study, drug transport in combination therapy of liposomes and FUS-MB-induced BBB [...] Read more.
Focused ultrasound (FUS) coupled with microbubbles (MB) has been found to be a promising approach to disrupt the blood-brain barrier (BBB). However, how this disruption affects drug transport remains unclear. In this study, drug transport in combination therapy of liposomes and FUS-MB-induced BBB disruption (BBBD) was investigated based on a multiphysics model. A realistic 3D brain tumour model extracted from MR images was applied. The results demonstrated the advantage of liposomes compared to free doxorubicin injection in further improving treatment when the BBB is opened under the same delivery conditions using burst sonication. This improvement was mainly due to the BBBD-enhanced transvascular transport of free doxorubicin and the sustainable supply of the drug by long-circulating liposomes. Treatment efficacy can be improved in different ways. Disrupting the BBB simultaneously with liposome bolus injection enables more free drug molecules to cross the vessel wall, while prolonging the BBBD duration could accelerate liposome transvascular transport for more effective drug release. However, the drug release rate needs to be well controlled to balance the trade-off among drug release, transvascular exchange and elimination. The results obtained in this study could provide suggestions for the future optimisation of this FUS-MB–liposome combination therapy against brain cancer. Full article
(This article belongs to the Special Issue Biocompatible Materials in Drug Delivery System in Oncology)
Show Figures

Graphical abstract

Back to TopTop