Diagnostic Yield of High-Resolution Vessel Wall Magnetic Resonance Imaging in the Evaluation of Young Stroke Patients
Abstract
:1. Introduction
2. Materials and Methods
2.1. Study Design and Source of Data
2.2. Statistical Analysis
3. Results
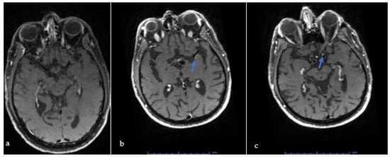
4. Discussion
5. Conclusions
Author Contributions
Funding
Institutional Review Board Statement
Informed Consent Statement
Data Availability Statement
Conflicts of Interest
References
- Hart, R.G.; Catanese, L.; Perera, K.S.; Ntaios, G.; Connolly, S.J. Embolic Stroke of Undetermined Source: A Systematic Review and Clinical Update. Stroke 2017, 48, 867–872. [Google Scholar] [CrossRef] [PubMed]
- Boot, E.; Ekker, M.S.; Putaala, J.; Kittner, S.; De Leeuw, F.E.; Tuladhar, A.M. Ischaemic stroke in young adults: A global perspective. J. Neurol. Neurosurg. Psychiatry 2020, 91, 411–417. [Google Scholar] [CrossRef] [PubMed]
- Ekker, M.S.; Boot, E.M.; Singhal, A.B.; Tan, K.S.; Debette, S.; Tuladhar, A.M.; de Leeuw, F.E. Epidemiology, aetiology, and management of ischaemic stroke in young adults. Lancet Neurol. 2018, 17, 790–801. [Google Scholar] [CrossRef] [PubMed]
- Ekker, M.S.; Verhoeven, J.I.; Schellekens, M.M.I.; Boot, E.M.; van Alebeek, M.E.; Brouwers, P.; Arntz, R.M.; van Dijk, G.W.; Gons, R.A.R.; van Uden, I.W.M.; et al. Risk Factors and Causes of Ischemic Stroke in 1322 Young Adults. Stroke 2023, 54, 439–447. [Google Scholar] [CrossRef]
- Ekker, M.S.; Verhoeven, J.I.; Vaartjes, I.; van Nieuwenhuizen, K.M.; Klijn, C.J.M.; de Leeuw, F.E. Stroke incidence in young adults according to age, subtype, sex, and time trends. Neurology 2019, 92, e2444–e2454. [Google Scholar] [CrossRef]
- Fraser, S.; Pabst, L.; Smith, F. Stroke in the young. Curr. Opin. Neurol. 2023, 36, 131–139. [Google Scholar] [CrossRef]
- Putaala, J.; Metso, A.J.; Metso, T.M.; Konkola, N.; Kraemer, Y.; Haapaniemi, E.; Kaste, M.; Tatlisumak, T. Analysis of 1008 consecutive patients aged 15 to 49 with first-ever ischemic stroke: The Helsinki young stroke registry. Stroke 2009, 40, 1195–1203. [Google Scholar] [CrossRef]
- Perera, K.S.; de Sa Boasquevisque, D.; Rao-Melacini, P.; Taylor, A.; Cheng, A.; Hankey, G.J.; Lee, S.; Fabregas, J.M.; Ameriso, S.F.; Field, T.S.; et al. Evaluating Rates of Recurrent Ischemic Stroke Among Young Adults With Embolic Stroke of Undetermined Source: The Young ESUS Longitudinal Cohort Study. JAMA Neurol. 2022, 79, 450–458. [Google Scholar] [CrossRef]
- Putaala, J.; Curtze, S.; Hiltunen, S.; Tolppanen, H.; Kaste, M.; Tatlisumak, T. Causes of death and predictors of 5-year mortality in young adults after first-ever ischemic stroke: The Helsinki Young Stroke Registry. Stroke 2009, 40, 2698–2703. [Google Scholar] [CrossRef]
- George, M.G. Risk Factors for Ischemic Stroke in Younger Adults: A Focused Update. Stroke 2020, 51, 729–735. [Google Scholar] [CrossRef]
- Namaganda, P.; Nakibuuka, J.; Kaddumukasa, M.; Katabira, E. Stroke in young adults, stroke types and risk factors: A case control study. BMC Neurol. 2022, 22, 335. [Google Scholar] [CrossRef] [PubMed]
- He, W.W.; Lu, S.S.; Ge, S.; Gu, P.; Shen, Z.Z.; Wu, F.Y.; Shi, H.B. Impact on etiology diagnosis by high-resolution vessel wall imaging in young adults with ischemic stroke or transient ischemic attack. Neuroradiology 2023, 65, 1015–1023. [Google Scholar] [CrossRef] [PubMed]
- Li, L.; Tang, M.; Yan, X.; Gao, J.; Ma, N.; Shi, X.; Niu, Y.; Wen, Y.; Ai, K.; Lei, X.; et al. Plaque Characteristics in Young Adults With Symptomatic Intracranial Atherosclerotic Stenosis: A Preliminary Study. Front. Neurol. 2022, 13, 825503. [Google Scholar] [CrossRef]
- Munio, M.; Darcourt, J.; Gollion, C.; Barbieux-Guillot, M.; Bonneville, F.; Larrue, V. Large artery intracranial stenosis in young adults with ischaemic stroke. Rev. Neurol. 2022, 178, 206–212. [Google Scholar] [CrossRef] [PubMed]
- Sakai, Y.; Lehman, V.T.; Eisenmenger, L.B.; Obusez, E.C.; Kharal, G.A.; Xiao, J.; Wang, G.J.; Fan, Z.; Cucchiara, B.L.; Song, J.W. Vessel wall MR imaging of aortic arch, cervical carotid and intracranial arteries in patients with embolic stroke of undetermined source: A narrative review. Front. Neurol. 2022, 13, 968390. [Google Scholar] [CrossRef] [PubMed]
- Fakih, R.; Roa, J.A.; Bathla, G.; Olalde, H.; Varon, A.; Ortega-Gutierrez, S.; Derdeyn, C.; Adams, H.P., Jr.; Hasan, D.M.; Leira, E.C.; et al. Detection and Quantification of Symptomatic Atherosclerotic Plaques With High-Resolution Imaging in Cryptogenic Stroke. Stroke 2020, 51, 3623–3631. [Google Scholar] [CrossRef] [PubMed]
- Tao, L.; Li, X.Q.; Hou, X.W.; Yang, B.Q.; Xia, C.; Ntaios, G.; Chen, H.S. Intracranial Atherosclerotic Plaque as a Potential Cause of Embolic Stroke of Undetermined Source. J. Am. Coll. Cardiol. 2021, 77, 680–691. [Google Scholar] [CrossRef]
- Chimowitz, M.I.; Lynn, M.J.; Derdeyn, C.P.; Turan, T.N.; Fiorella, D.; Lane, B.F.; Janis, L.S.; Lutsep, H.L.; Barnwell, S.L.; Waters, M.F. Stenting versus aggressive medical therapy for intracranial arterial stenosis. N. Engl. J. Med. 2011, 365, 993–1003. [Google Scholar] [CrossRef]
- Simaan, N.; Shalabi, F.; Schwartzmann, Y.; Jubeh, T.; Parag, Y.; Honig, A.; Metanis, I.; Joubran, H.; Magadlla, J.; Gomori, J.M. Impact of high-resolution intracranial vessel wall magnetic resonance imaging on diagnosis in patients with embolic stroke of unknown source. J. Neurol. Sci. 2023, 454, 120863. [Google Scholar] [CrossRef]
- Kim, J.M.; Jung, K.H.; Sohn, C.H.; Moon, J.; Shin, J.H.; Park, J.; Lee, S.H.; Han, M.H.; Roh, J.K. Intracranial plaque enhancement from high resolution vessel wall magnetic resonance imaging predicts stroke recurrence. Int. J. Stroke 2016, 11, 171–179. [Google Scholar] [CrossRef]
- Abdul Rahman, L.; Turan, T.N.; Cotsonis, G.; Almallouhi, E.; Holmstedt, C.A.; Chimowitz, M.I. Dual Antiplatelet Therapy Beyond 90 days in Symptomatic Intracranial Stenosis in the SAMMPRIS Trial. J. Stroke Cerebrovasc. Dis. 2020, 29, 105254. [Google Scholar] [CrossRef]
- Bang, O.Y.; Toyoda, K.; Arenillas, J.F.; Liu, L.; Kim, J.S. Intracranial Large Artery Disease of Non-Atherosclerotic Origin: Recent Progress and Clinical Implications. J. Stroke 2018, 20, 208–217. [Google Scholar] [CrossRef]
- Mark, I.T.; Nasr, D.M.; Huston, J.; de Maria, L.; de Sanctis, P.; Lehman, V.T.; Rabinstein, A.A.; Saba, L.; Brinjikji, W. Embolic Stroke of Undetermined Source and Carotid Intraplaque Hemorrhage on MRI: A Systemic Review and Meta-Analysis. Clin. Neuroradiol. 2021, 31, 307–313. [Google Scholar] [CrossRef]
- Singh, N.; Moody, A.R.; Panzov, V.; Gladstone, D.J. Carotid Intraplaque Hemorrhage in Patients with Embolic Stroke of Undetermined Source. J. Stroke Cerebrovasc. Dis. 2018, 27, 1956–1959. [Google Scholar] [CrossRef]
- Tao, L.; Wang, Y.H.; Shang, Z.Y.; Yang, B.Q.; Chen, H.S. Vulnerable plaque of the petrous internal carotid artery in embolic stroke of undetermined source. Eur. J. Neurol. 2023, 30, 648–658. [Google Scholar] [CrossRef]
- Gupta, A.; Baradaran, H.; Al-Dasuqi, K.; Knight-Greenfield, A.; Giambrone, A.E.; Delgado, D.; Wright, D.; Teng, Z.; Min, J.K.; Navi, B.B.; et al. Gadolinium Enhancement in Intracranial Atherosclerotic Plaque and Ischemic Stroke: A Systematic Review and Meta-Analysis. J. Am. Heart Assoc. 2016, 5, e003816. [Google Scholar] [CrossRef]
- Ide, S.; Kakeda, S.; Miyata, M.; Iwata, S.; Ohkubo, N.; Nakayamada, S.; Futatsuya, K.; Watanabe, K.; Moriya, J.; Fujino, Y.; et al. Intracranial vessel wall lesions in patients with systematic lupus erythematosus. J. Magn. Reason. Imaging 2018, 48, 1237–1246. [Google Scholar] [CrossRef]
- Kathuveetil, A.; Sylaja, P.N.; Senthilvelan, S.; Kesavadas, C.; Banerjee, M.; Jayanand Sudhir, B. Vessel Wall Thickening and Enhancement in High-Resolution Intracranial Vessel Wall Imaging: A Predictor of Future Ischemic Events in Moyamoya Disease. AJNR Am. J. Neuroradiol. 2020, 41, 100–105. [Google Scholar] [CrossRef]
- Kesav, P.; Krishnavadana, B.; Kesavadas, C.; Sreedharan, S.E.; Rajendran, A.; Sukumaran, S.; Sylaja, P.N. Utility of intracranial high-resolution vessel wall magnetic resonance imaging in differentiating intracranial vasculopathic diseases causing ischemic stroke. Neuroradiology 2019, 61, 389–396. [Google Scholar] [CrossRef]
- Kim, Y.J.; Lee, D.H.; Kwon, J.Y.; Kang, D.W.; Suh, D.C.; Kim, J.S.; Kwon, S.U. High resolution MRI difference between moyamoya disease and intracranial atherosclerosis. Eur. J. Neurol. 2013, 20, 1311–1318. [Google Scholar] [CrossRef] [PubMed]
- Mandell, D.M.; Mossa-Basha, M.; Qiao, Y.; Hess, C.P.; Hui, F.; Matouk, C.; Johnson, M.H.; Daemen, M.J.; Vossough, A.; Edjlali, M.; et al. Intracranial Vessel Wall MRI: Principles and Expert Consensus Recommendations of the American Society of Neuroradiology. AJNR Am. J. Neuroradiol. 2017, 38, 218–229. [Google Scholar] [CrossRef]
- Mossa-Basha, M.; Shibata, D.K.; Hallam, D.K.; de Havenon, A.; Hippe, D.S.; Becker, K.J.; Tirschwell, D.L.; Hatsukami, T.; Balu, N.; Yuan, C. Added Value of Vessel Wall Magnetic Resonance Imaging for Differentiation of Nonocclusive Intracranial Vasculopathies. Stroke 2017, 48, 3026–3033. [Google Scholar] [CrossRef]
- Muraoka, S.; Araki, Y.; Taoka, T.; Kawai, H.; Okamoto, S.; Uda, K.; Ota, S.; Naganawa, S.; Wakabayashi, T. Prediction of Intracranial Arterial Stenosis Progression in Patients with Moyamoya Vasculopathy: Contrast-Enhanced High-Resolution Magnetic Resonance Vessel Wall Imaging. World Neurosurg. 2018, 116, e1114–e1121. [Google Scholar] [CrossRef]
- Song, J.W.; Pavlou, A.; Xiao, J.; Kasner, S.E.; Fan, Z.; Messe, S.R. Vessel Wall Magnetic Resonance Imaging Biomarkers of Symptomatic Intracranial Atherosclerosis: A Meta-Analysis. Stroke 2021, 52, 193–202. [Google Scholar] [CrossRef]
- Turan, T.N.; Rumboldt, Z.; Granholm, A.C.; Columbo, L.; Welsh, C.T.; Lopes-Virella, M.F.; Spampinato, M.V.; Brown, T.R. Intracranial atherosclerosis: Correlation between in-vivo 3T high resolution MRI and pathology. Atherosclerosis 2014, 237, 460–463. [Google Scholar] [CrossRef]
- Wu, Y.; Wu, F.; Liu, Y.; Fan, Z.; Fisher, M.; Li, D.; Xu, W.; Jiang, T.; Cheng, J.; Sun, B.; et al. High-Resolution Magnetic Resonance Imaging of Cervicocranial Artery Dissection: Imaging Features Associated With Stroke. Stroke 2019, 50, 3101–3107. [Google Scholar] [CrossRef]
- Song, J.W.; Pavlou, A.; Burke, M.P.; Shou, H.; Atsina, K.B.; Xiao, J.; Loevner, L.A.; Mankoff, D.; Fan, Z.; Kasner, S.E. Imaging endpoints of intracranial atherosclerosis using vessel wall MR imaging: A systematic review. Neuroradiology 2021, 63, 847–856. [Google Scholar] [CrossRef]

| Variable/Group | icVWI Done (n = 20) | icVWI Not Done (n = 27) | p Value |
|---|---|---|---|
| Age (mean, SD) | 43.3 (11) | 46.2 (6.7) | 0.273 |
| Gender male (%) | 13 (65) | 14 (52) | 0.579 |
| Hypertension (%) | 4 (20) | 8 (30) | 0.454 |
| Diabetes (%) | 4 (20) | 7 (26) | 0.635 |
| Hypercholesterolemia (%) | 3 (15) | 8 (30) | 0.242 |
| Smoking (%) | 9 (45) | 10 (37) | 0.582 |
| Ischemic heart disease (%) | 0 (0) | 3 (11) | 0.123 |
| Prior stroke (%) | 2 (10) | 2 (7) | 0.753 |
| Cancer (%) | 0 (0) | 5 (19) | 0.042 |
| Tissue plasminogen activator (%) | 2 (10) | 6 (22) | 0.270 |
| Endovascular Thrombectomy (%) | 6 (30) | 4 (15) | 0.315 |
| Discharge medications (%) | 0.001 | ||
| Antiplatelet | 17 (85) | 10 (37) | 0.001 |
| Anticoagulation | 3 (15) | 17 (63) | 0.001 |
| Admission NIHSS (mean, SD) | 3.8 (3.6) | 5.2 (5.6) | 0.315 |
| Discharge NIHSS (mean, SD) | 3.2 (4.4) | 4.2 (8.4) | 0.652 |
| NIHSS at 3 months (mean, SD) | 2 (3.2) | 2.2 (2.1) | 0.902 |
| mRS 0–2 prior to admission (%) | 16 (80) | 26 (96) | 0.073 |
| mRS 0–2 upon discharge (%) | 14 (70) | 23 (85) | 0.209 |
| mRS 0–2 at 3 months (%) | 17 (85) | 23 (85) | 0.986 |
| ICU (%) | 7 (35) | 8(30) | 0.696 |
| Mortality (%) | 0 (0) | 3 (11) | 0.123 |
| Variable/Group | VWI+ (n = 11) | VWI− (n = 9) | p Value |
|---|---|---|---|
| Age (mean, SD) | 43.7 (9.9) | 42.8 (12.8) | 0.854 |
| Hypertension (%) | 2 (18) | 2 (22) | 0.822 |
| Diabetes (%) | 2 (18) | 2 (22) | 0.822 |
| Hypercholesterolemia (%) | 2 (18) | 1 (11) | 0.660 |
| Smoking (%) | 7 (64) | 2 (22) | 0.064 |
| Prior stroke (%) | 2 (18) | 0 (0) | 0.178 |
| Tissue plasminogen activator (%) | 1 (9) | 1 (11) | 0.881 |
| Endovascular thrombectomy (%) | 4 (36) | 2 (22) | 0.269 |
| Discharge medications (%) | 0.038 | ||
| Dual Antiplatelet | 11 (100) | 6 (67) | |
| Anticoagulation | 0 (0) | 3 (33) | |
| Admission NIHSS (mean, SD) | 5.5 (3.5) | 1.7 (2.3) | 0.0120 |
| Discharge NIHSS (mean, SD) | 3.7 (4.6) | 2.6 (4.5) | 0.575 |
| mRS 0–2 prior to admission (%) | 9 (81) | 7 (78) | 0.012 |
| mRS 0–2 upon discharge (%) | 7 (64) | 7 (78) | 0.575 |
| mRS 0–2 at 3 months (%) | 8 (73) | 9 (100) | 0.321 |
| Recurrent stroke (%) | 4 (36) | 1 (11) | 0.243 |
| Intra-plaque hemorrhage (%) | 1 (11) | 0 (0) | 0.331 |
| Wall remodeling (%) | 4 (44) | 0 (0) | 0.031 |
| Plaque length (mean, SD) | 2.5 (2.2) | 0 (0) | 0.008 |
| Stenosis percent (mean, SD) | 33.3 (33.5) | 0 (0) | 0.013 |
| ICU (%) | 6 (55) | 1 (11) | 0.043 |
Disclaimer/Publisher’s Note: The statements, opinions and data contained in all publications are solely those of the individual author(s) and contributor(s) and not of MDPI and/or the editor(s). MDPI and/or the editor(s) disclaim responsibility for any injury to people or property resulting from any ideas, methods, instructions or products referred to in the content. |
© 2023 by the authors. Licensee MDPI, Basel, Switzerland. This article is an open access article distributed under the terms and conditions of the Creative Commons Attribution (CC BY) license (https://creativecommons.org/licenses/by/4.0/).
Share and Cite
Simaan, N.; Jubeh, T.; Shalabi, F.; Jubran, H.; Metanis, I.; Parag, Y.; Schwartzman, Y.; Magadlla, J.; Gomori, J.M.; Beiruti, K.W.; et al. Diagnostic Yield of High-Resolution Vessel Wall Magnetic Resonance Imaging in the Evaluation of Young Stroke Patients. J. Clin. Med. 2024, 13, 189. https://doi.org/10.3390/jcm13010189
Simaan N, Jubeh T, Shalabi F, Jubran H, Metanis I, Parag Y, Schwartzman Y, Magadlla J, Gomori JM, Beiruti KW, et al. Diagnostic Yield of High-Resolution Vessel Wall Magnetic Resonance Imaging in the Evaluation of Young Stroke Patients. Journal of Clinical Medicine. 2024; 13(1):189. https://doi.org/10.3390/jcm13010189
Chicago/Turabian StyleSimaan, Naaem, Tamer Jubeh, Fatma Shalabi, Hamza Jubran, Issa Metanis, Yoav Parag, Yoel Schwartzman, Jad Magadlla, John. M. Gomori, Karine Wiegler Beiruti, and et al. 2024. "Diagnostic Yield of High-Resolution Vessel Wall Magnetic Resonance Imaging in the Evaluation of Young Stroke Patients" Journal of Clinical Medicine 13, no. 1: 189. https://doi.org/10.3390/jcm13010189
APA StyleSimaan, N., Jubeh, T., Shalabi, F., Jubran, H., Metanis, I., Parag, Y., Schwartzman, Y., Magadlla, J., Gomori, J. M., Beiruti, K. W., Cohen, J. E., & Leker, R. (2024). Diagnostic Yield of High-Resolution Vessel Wall Magnetic Resonance Imaging in the Evaluation of Young Stroke Patients. Journal of Clinical Medicine, 13(1), 189. https://doi.org/10.3390/jcm13010189

