Sign in to use this feature.

Years

Between: -

Subjects

remove_circle_outline
remove_circle_outline
remove_circle_outline
remove_circle_outline
remove_circle_outline

Journals

Article Types

Countries / Regions

Search Results (50)

Search Parameters:
Keywords = Langerhans cell histiocytosis

Order results
Result details
Results per page
Select all
Export citation of selected articles as:
11 pages, 1128 KB  
Article
Non-Traumatic Clavicular Lesions in Children: Case Series and Literature Review
by Federico Diomeda, Rossella Greco, Paola Lazzari, Giulia Loiacono, Manuela Taurisano, Adina Pinna, Francesco La Torre, Alessandro Cocciolo, Luca Giordano, Flavia Indrio, Arnaldo Scardapane, Angelo Ravelli and Adele Civino
Children 2026, 13(1), 112; https://doi.org/10.3390/children13010112 - 12 Jan 2026
Viewed by 147
Abstract
Background and Objective: Clavicular pain and swelling in children can have multiple causes and often require a multidisciplinary approach. We aimed to describe the characteristics and final diagnoses of children with clavicular involvement and to review the literature on this topic. Methods: We [...] Read more.
Background and Objective: Clavicular pain and swelling in children can have multiple causes and often require a multidisciplinary approach. We aimed to describe the characteristics and final diagnoses of children with clavicular involvement and to review the literature on this topic. Methods: We retrospectively reviewed patients younger than 18 years who were evaluated for clavicular symptoms at two pediatric rheumatology centers and one pediatric oncohematology center. These data were then descriptively compared with findings from 63 patients reported across 7 published articles. Results: Twelve patients (9 females, median age 10 years [IQR 9.4–10.5]) were included. Final diagnoses were chronic nonbacterial osteomyelitis (CNO; 8), Langerhans cell histiocytosis (LCH; 2), reactive arthritis (1), and Tietze syndrome (1). Clavicular involvement was mostly unilateral and localized to the medial clavicle in CNO. The most frequent presenting symptom was local swelling (11/12), followed by pain (9/12). Diagnostic delay was a median of 4 months (IQR 1–10.5). Whole-body MRI revealed multifocal lesions in 6/8 CNO patients. Biopsy was often required for diagnosis primarily to exclude malignancy and to clarify atypical or unifocal presentations. The literature review confirmed CNO as the most frequent cause, followed by rare tumors. Conclusions: CNO predominates among pediatric non-traumatic clavicular lesions, but LCH and rare conditions are not uncommon, underscoring the need for careful differential diagnosis and targeted imaging. Full article
Show Figures

Figure 1

9 pages, 1549 KB  
Case Report
Delayed Neurologic Response to Dabrafenib and Trametinib in the Case of Mixed Histiocytosis (LCH/ECD): Case Report and Literature Review
by Shinsaku Imashuku, Miyako Kobayashi, Takashi Miyoshi and Naoyuki Anzai
Reports 2026, 9(1), 18; https://doi.org/10.3390/reports9010018 - 7 Jan 2026
Viewed by 148
Abstract
Background and Clinical Significance: Histiocytosis encompasses Langerhans cell histiocytosis (LCH) and non-LCH, such as Erdheim–Chester disease (ECD). ECD or a mixed type of histiocytosis (LCH/ECD) may initially involve the central nervous system (CNS), resulting in a delayed diagnosis. More recently, dabrafenib and [...] Read more.
Background and Clinical Significance: Histiocytosis encompasses Langerhans cell histiocytosis (LCH) and non-LCH, such as Erdheim–Chester disease (ECD). ECD or a mixed type of histiocytosis (LCH/ECD) may initially involve the central nervous system (CNS), resulting in a delayed diagnosis. More recently, dabrafenib and trametinib (Dab/Tra regimen) have become available in its treatment. Case Presentation: A 46-year-old woman with CNS involvement of mixed histiocytosis (BRAF V600E-positive LCH/ECD) was treated with combination therapy using a Dab/Tra regimen. At initial presentation, she exhibited central diabetes insipidus, dysarthria, and gait disturbance with mild spasticity and ataxia, requiring walking assistance even for short distances. The interval from the onset of central neurological symptoms to diagnosis of mixed histiocytosis was 4 years. The introduction of targeted therapy was 2 years later. After seven months of Dab/Tra therapy, partial neurological improvement was observed, as reflected by a decrease in the SARA score from 21/40 to 13/40 and the ICARS score from 33/100 to 28/100. However, further neurological recovery remained significantly delayed. Conclusions: We suspect that the limited improvement may be attributable to the delayed initiation of targeted therapy, in contrast to the more rapid and pronounced responses reported in cases where treatment was started earlier. Full article
(This article belongs to the Section Haematology)
Show Figures

Figure 1

14 pages, 259 KB  
Article
Health-Related Quality of Life and Social Outcomes in Adolescents and Young Adult Survivors of Childhood Cancer: A Single-Center Case–Control Study from Crete, Greece
by Ioannis Kyriakidis, Iordanis Pelagiadis, Nikolaos Katzilakis, Margarita Pesmatzoglou, Maria Stratigaki, Stylianos Megremis and Eftichia Stiakaki
Reports 2025, 8(4), 207; https://doi.org/10.3390/reports8040207 - 17 Oct 2025
Viewed by 877
Abstract
Background: Recent advances in childhood cancer treatment and increased survival rates have led to a growing number of adolescents and young adults (AYAs) who are survivors of childhood cancer (CCSs). This study aimed to examine health status, health-related quality of life (HRQoL), and [...] Read more.
Background: Recent advances in childhood cancer treatment and increased survival rates have led to a growing number of adolescents and young adults (AYAs) who are survivors of childhood cancer (CCSs). This study aimed to examine health status, health-related quality of life (HRQoL), and social outcomes in AYA CCSs. Methods: Sixty-two AYAs who were CCSs (treated within the same tertiary Pediatric Hematology–Oncology Department in Crete, Greece) were enrolled in the study. Self-reported HRQoL was assessed using the Short-Form Health Survey (SF-36). Sixty-five never-ill peers constituted the control group. Results: CCSs reach adolescence and young adulthood without significant deviations in HRQoL from their healthy peers. The presence and severity of late effects were significantly correlated with lower scores in physical health. The cancer type seems to play a pivotal role: Langerhans cell histiocytosis survivors displayed significantly lower scores in mental health, and brain tumor survivors scored substantially lower scores in physical functioning. Acute lymphoblastic leukemia survivors reported the highest scores in mental health. Age at diagnosis of neoplasia was negatively correlated with physical functioning. No significant sex differences were identified. Adherence to multiple healthy lifestyle behaviors (regular exercise, abstaining from alcohol consumption and smoking, and using sun protection) and active employment were correlated with significantly higher scores in mental health. Conclusions: Appropriate therapy and regular follow-up after treatment have led to improved clinical and social outcomes, as assessed by CCSs. More efforts are needed to increase awareness of avoiding harmful behaviors that raise the risk of late effects in this specific group. Full article
15 pages, 1243 KB  
Article
Value of 18F-FDG PET/CT Scans in Staging and Follow-Up of Pediatric Langerhans Cell Histiocytosis: Comparison to CT and/or MRI
by Maria F. Dien Esquivel, Abdullah AlMutawa, Afsaneh Amirabadi, Sheila Weitzman, Ilia Buhtoiarov, Andrea S. Doria, Amer Shammas, Oussama Abla and Reza Vali
Children 2025, 12(8), 1089; https://doi.org/10.3390/children12081089 - 20 Aug 2025
Viewed by 1816
Abstract
Background/Objectives: The purpose of this study is to determine the added value of 18F-FDG PET/CT scan in pediatric LCH compared to other imaging modalities (CT and MRI) at initial staging, during assessment of disease reactivation, and after treatment. Methods: This is a [...] Read more.
Background/Objectives: The purpose of this study is to determine the added value of 18F-FDG PET/CT scan in pediatric LCH compared to other imaging modalities (CT and MRI) at initial staging, during assessment of disease reactivation, and after treatment. Methods: This is a retrospective study of children diagnosed with LCH between 1 June 2007 and 8 December 2022 who met the inclusion criteria. 18F-FDG PET CT imaging was compared to CT and/or MRI when available. The interclass correlation coefficient (ICC) was used to assess the agreement between methods. p-Values of less than 0.05 were considered statistically significant. Results: A total of 39 children had undergone 18F-FDG PET/CT studies. Median (range) age at presentation was 10 years (1.3–17 y), with a female-to-male ratio of 0.7:1. Excellent concordance (ICC = 1; p < 0.0001) between 18F-FDG PET/CT and other imaging methods was found. Median SUVmax of the positive FDG-avid lesions at initial staging was 2.7 [range 1.3–16.7]. Conclusions: 18F-FDG PET/CT has been shown to be complementary to diagnostic CT and MRI, with the advantage of demonstrating additional metabolic information at initial staging, during assessment of disease reactivation, and to assess interval changes post therapy. These preliminary findings warrant further investigation. Full article
(This article belongs to the Section Pediatric Radiology)
Show Figures

Figure 1

12 pages, 856 KB  
Article
Impact of Sex on Lung Function in Adult Langerhans Cell Histiocytosis
by Antonio Fabozzi, Gianluca Paciucci, Giulia de Rose, Roberto Romiti, Giovanna Palumbo, Gregorino Paone, Matteo Bonini and Paolo Palange
Life 2025, 15(8), 1258; https://doi.org/10.3390/life15081258 - 7 Aug 2025
Viewed by 1229
Abstract
Background: Langerhans Cell Histiocytosis (LCH) is a rare histiocytic hematological disorder that frequently involves the lungs. Due to a lack of data about sex-related differences in LCH, the aim of this study is to evaluate sex-related differences in pulmonary function in a cohort [...] Read more.
Background: Langerhans Cell Histiocytosis (LCH) is a rare histiocytic hematological disorder that frequently involves the lungs. Due to a lack of data about sex-related differences in LCH, the aim of this study is to evaluate sex-related differences in pulmonary function in a cohort of patients with LCH. Methods: We retrospectively analyzed data from 79 adult patients diagnosed with LCH. Demographic, clinical, and spirometric data were collected and compared by sex. Continuous variables were analyzed using the Mann–Whitney test and categorical variables were analyzed with the Chi-square test. Results: Out of 79 patients, 47 (59.5%) were females and 32 (40.5%) were males. Women showed significantly lower diffusing capacity of the lungs for carbon monoxide (DLCO%) and lower diffusing capacity of the lungs for carbon monoxide per unit of alveolar volume (DLCO/VA%) compared to men. Females showed a trend toward lower small airway indices, including maximal expiratory flow at 25 (MEF25%) and forced expiratory flow at 25–75% (FEF25–75%), though this was not statistically significant, while the residual volume-to-total lung capacity (RV/TLC) ratio was significantly higher in women. Among the functional parameters, DLCO% showed the highest accuracy (AUC 0.70) in the identification of lung involvement after multivariate regression analysis. Conclusions: Our findings suggest that the combination of lower gas exchange efficiency and increased peripheral air trapping secondary to small airway involvement in female patients may reflect the presence of a distinct functional LCH phenotype in women characterized by early small airway involvement and altered ventilation–perfusion dynamics, which may influence the clinical management of these patients. Furthermore, the moderate predictive value of DLCO% for lung involvement at baseline in LCH women suggests that DLCO may contribute to the detection of LCH women with lung involvement, although it should not be considered a definitive diagnostic test without a prospective and independent external validation. Full article
(This article belongs to the Section Medical Research)
Show Figures

Figure 1

7 pages, 4563 KB  
Case Report
Diagnosis and Treatment of Langerhans Cell Sarcoma: A Case Report and Review of the Literature
by Giulia Pileggi, Sabrina Mariani, Valentina De Santis, Gianluca Maiorana, Federica Lubrano Lobianco, Chiara Togni, Monica Piedimonte, Caterina Tatarelli, Esmeralda Conte, Arianna di Napoli, Emanuela Pilozzi, Evelina Rogges, Agostino Tafuri and Giovanna Palumbo
Hemato 2025, 6(3), 18; https://doi.org/10.3390/hemato6030018 - 26 Jun 2025
Viewed by 1736
Abstract
Langerhans cell sarcoma (LCS) is a rare and aggressive neoplasm characterized by a clonal proliferation of Langerhans cells (LCs), with multi-organ involvement and poor prognosis. Diagnostic challenges arise from its rarity and overlapping features with Langerhans cell histiocytosis (LCH), requiring immunophenotypic and histological [...] Read more.
Langerhans cell sarcoma (LCS) is a rare and aggressive neoplasm characterized by a clonal proliferation of Langerhans cells (LCs), with multi-organ involvement and poor prognosis. Diagnostic challenges arise from its rarity and overlapping features with Langerhans cell histiocytosis (LCH), requiring immunophenotypic and histological analysis for differentiation. This case report discusses a 67-year-old male with multi-organ LCS involvement. Diagnosis was confirmed via liver biopsy and genetic analysis, revealing a MAP2K1 mutation. Treatment with subcutaneous cladribine and dexamethasone resulted in significant clinical and radiological improvement, despite hematological toxicity due to an underlying myelodysplastic neoplasm (MDS). This case proves the potential efficacy of cladribine for disseminated LCS and highlights the necessity for further research into optimal therapeutic approaches for this rare malignancy. Full article
(This article belongs to the Special Issue Hematopathology: Rare Hematological Diseases)
Show Figures

Figure 1

4 pages, 177 KB  
Editorial
The Evolving Landscape of Childhood Histiocytosis: A Decade of Discovery and Innovation
by Maurizio Aricò
Pediatr. Rep. 2025, 17(3), 62; https://doi.org/10.3390/pediatric17030062 - 23 May 2025
Viewed by 601
Abstract
Over the past decade, the field of childhood histiocytosis, particularly Langerhans cell histiocytosis (LCH), has undergone transformative changes. The integration of molecular genetics, targeted therapies, and refined diagnostic methodologies has revolutionized patient management and redefined disease classification. This editorial provides a comprehensive overview [...] Read more.
Over the past decade, the field of childhood histiocytosis, particularly Langerhans cell histiocytosis (LCH), has undergone transformative changes. The integration of molecular genetics, targeted therapies, and refined diagnostic methodologies has revolutionized patient management and redefined disease classification. This editorial provides a comprehensive overview of the pivotal developments from 2015 to 2025, highlights ongoing challenges, and explores future directions in research and clinical care. Full article
17 pages, 3510 KB  
Article
The Role of Gamma Knife Surgery in the Treatment of Rare Sellar Neoplasms: A Report of Nine Cases
by Michele Longhi, Riccardo Lavezzo, Valeria Barresi, Giorgia Bulgarelli, Anna D’Amico, Antonella Lombardo, Emanuele Zivelonghi, Paolo Maria Polloniato, Giuseppe Kenneth Ricciardi, Francesco Sala, Angelo Musumeci, Giampietro Pinna and Antonio Nicolato
Cancers 2025, 17(9), 1564; https://doi.org/10.3390/cancers17091564 - 3 May 2025
Viewed by 1715
Abstract
Introduction: The group of so-called “sellar-region masses” consists of a heterogeneous group of neoplasms and tumor-mimicking lesions, whose differential diagnosis may be challenging due to the overlapping of clinical and radiological features, which can be found both in “common” and “uncommon” lesions. The [...] Read more.
Introduction: The group of so-called “sellar-region masses” consists of a heterogeneous group of neoplasms and tumor-mimicking lesions, whose differential diagnosis may be challenging due to the overlapping of clinical and radiological features, which can be found both in “common” and “uncommon” lesions. The choice of a correct treatment strategy is still arduous and requires histological analysis. Gamma Knife Radiosurgery (GKRS) has already been reported as a safe and effective treatment in these cases. The objective of this study is to evaluate single-center pre-operative data, post-operative outcomes, and long-term follow-up in patients treated with GKRS for unusual sellar tumors. Methods: We retrospectively identified and analyzed nine patients treated with GKRS from 2004 to 2015, according to a standard protocol. Lesions consist of hypothalamic hamartoma (HH), Rathke’s cleft cist (RCC), Langerhans cell histiocytosis (LCH), spindle cell oncocytoma (SCO), choroid plexus papilloma (CPP), and ossifying fibroma (OF). The diagnosis was histologically confirmed in six patients that underwent surgery, while in three patients, diagnosis was based on characteristic clinical and radiological findings (two HH and one RCC). Pre-operative and post-operative data were retrieved from medical archives, and long-term follow-up was obtained through clinical and neuroradiological periodic examination. Results: In our series, all the “rare” sellar lesions treated, had a successful radiographic and clinical response in a medium-long follow-up period. Conclusions: The long-term follow-up results suggest that GKRS is a safe and effective treatment in rare sellar lesions, with very low toxicity. To the best of our knowledge, this report represents the largest series of unusual sellar lesions treated with GKRS in a single high-volume center, suggesting that GKRS might be an effective non-invasive adjuvant treatment option. Further studies and a larger number of patients are needed to confirm if residuals of these rare sellar lesions might regress on their own without treatment or if other non-invasive treatments could be as effective as GKRS. Full article
(This article belongs to the Special Issue Personalized Radiotherapy in Cancer Care (2nd Edition))
Show Figures

Figure 1

14 pages, 1928 KB  
Article
Diagnostic Utility of Bronchoalveolar Lavage Flow Cytometric Leukocyte Profiling in Interstitial Lung Disease and Infection
by Erika M. Novoa-Bolivar, José A. Ros, Sonia Pérez-Fernández, José A. Campillo, Ruth López-Hernández, Rosana González-López, Inmaculada Ruiz-Lorente, Almudena Otálora-Alcaraz, Cristina Ortuño-Hernández, Lourdes Gimeno, Diana Ceballos-Francisco, Manuel Muro, Elena Solana-Martínez, Pablo Martínez-Camblor and Alfredo Minguela
Biomolecules 2025, 15(4), 597; https://doi.org/10.3390/biom15040597 - 17 Apr 2025
Cited by 1 | Viewed by 2992
Abstract
Interstitial lung diseases (ILD) represent a diverse group of disorders that primarily affect the pulmonary interstitium and, less commonly, involve the alveolar and vascular epithelium. Overlapping clinical, radiological and histopathological features make proper classification difficult, requiring multiple complementary methodologies, including flow cytometry of [...] Read more.
Interstitial lung diseases (ILD) represent a diverse group of disorders that primarily affect the pulmonary interstitium and, less commonly, involve the alveolar and vascular epithelium. Overlapping clinical, radiological and histopathological features make proper classification difficult, requiring multiple complementary methodologies, including flow cytometry of bronchoalveolar lavages (BAL). This retrospective study analyzed BAL flow cytometry data from 1074 real-life patients, quantifying alveolar macrophages, CD4/CD8 lymphocytes, neutrophils, eosinophils, and CD1a+ Langerhans cells, with the aim of evaluating its diagnostic utility in ILD and pulmonary infection. Clustering and logistic regression analyses identified seven distinct leukocyte profiles: lymphocytic (associated with hypersensitivity pneumonitis, cryptogenic organizing pneumonia, and lymphocytic interstitial pneumonia), sarcoidosis, macrophagic (including nonspecific interstitial pneumonia, desquamative interstitial pneumonitis, pneumoconiosis, and unclassifiable ILD), neutrophilic (including usual interstitial pneumonia, respiratory bronchiolitis ILD, and acute interstitial pneumonia), infectious diseases, eosinophilic ILD, and Langerhans cell histiocytosis. The estimated leukocyte profiles were associated with different overall survival (OS) outcomes. Neutrophilic profiles, both infectious and non-infectious, correlated with poorer OS, particularly in patients without pulmonary fibrosis. Furthermore, corticosteroids and other immunosuppressive therapies did not show significant OS differences across leukocyte profiles. Although the gold standard in BAL cytology continues to be cytopathology, these results support BAL flow cytometry as a rapid and reliable complementary tool to aid in the classification of interstitial lung diseases based on immune cell profiles, providing valuable predictive information and contributing to personalized therapeutic approaches. Full article
(This article belongs to the Special Issue Immune-Related Biomarkers: 2nd Edition)
Show Figures

Figure 1

3 pages, 275 KB  
Interesting Images
[18F]FDG PET/CT of Langerhans Cell Histiocytosis with Vertebra Plana
by Tilman Speicher, Moritz B. Bastian, Konstantinos Christofyllakis, Florian Rosar, Samer Ezziddin and Caroline Burgard
Diagnostics 2025, 15(7), 862; https://doi.org/10.3390/diagnostics15070862 - 28 Mar 2025
Cited by 1 | Viewed by 1044
Abstract
We present an 18F-fluorodeoxyglucose ([18F]FDG) positron emission tomography/computed tomography (PET/CT) scan of a 27 y/o patient with long-standing significant B symptoms, diffuse bone pain, increased inflammation parameters, and polydipsia revealing multiple FDG-avid osteolytic lesions of the axial skeleton including a [...] Read more.
We present an 18F-fluorodeoxyglucose ([18F]FDG) positron emission tomography/computed tomography (PET/CT) scan of a 27 y/o patient with long-standing significant B symptoms, diffuse bone pain, increased inflammation parameters, and polydipsia revealing multiple FDG-avid osteolytic lesions of the axial skeleton including a vertebra plana of T7 and paraosseous soft tissue lesions. A CT-guided biopsy confirmed the diagnosis of Langerhans cell histiocytosis (LCH). This case highlights the importance of considering LCH in young patients with vertebral collapse and underscores the role of PET/CT imaging in establishing an accurate diagnosis. Full article
(This article belongs to the Section Medical Imaging and Theranostics)
Show Figures

Figure 1

18 pages, 294 KB  
Review
Beyond the Graft: Recurrence of Interstitial Lung Diseases Post Transplant
by Prince Ntiamoah and Atul C. Mehta
J. Clin. Med. 2025, 14(4), 1093; https://doi.org/10.3390/jcm14041093 - 8 Feb 2025
Cited by 1 | Viewed by 2062
Abstract
Interstitial lung diseases (ILDs) represent a heterogenous group of lung disorders marked by inflammation and/or fibrosis of the lung parenchyma, often leading to progressive shortness of breath and end-stage respiratory failure. In the U.S., ILDs affect approximately 650,000 individuals and cause approximately 25,000–30,000 [...] Read more.
Interstitial lung diseases (ILDs) represent a heterogenous group of lung disorders marked by inflammation and/or fibrosis of the lung parenchyma, often leading to progressive shortness of breath and end-stage respiratory failure. In the U.S., ILDs affect approximately 650,000 individuals and cause approximately 25,000–30,000 deaths annually. Lung transplantation (LTx) offers definitive treatment for advanced ILD, with improved survival attributed to advancements in immunosuppression, organ preservation, surgical techniques, and postoperative care. However, disease recurrence in transplanted lungs remains a significant concern. Understanding the risk factors and mechanisms underlying recurrence is critical for refining recipient selection and improving outcomes. This review examines ILD recurrence post LTx and its implications for lung transplantation success. Full article
(This article belongs to the Special Issue Updates on Interstitial Lung Disease)
49 pages, 64030 KB  
Review
Pediatric Meningeal Diseases: What Radiologists Need to Know
by Dhrumil Deveshkumar Patel, Laura Z. Fenton, Swastika Lamture and Vinay Kandula
Tomography 2024, 10(12), 1970-2013; https://doi.org/10.3390/tomography10120143 - 8 Dec 2024
Cited by 1 | Viewed by 6199
Abstract
Evaluating altered mental status and suspected meningeal disorders in children often begins with imaging, typically before a lumbar puncture. The challenge is that meningeal enhancement is a common finding across a range of pathologies, making diagnosis complex. This review proposes a categorization of [...] Read more.
Evaluating altered mental status and suspected meningeal disorders in children often begins with imaging, typically before a lumbar puncture. The challenge is that meningeal enhancement is a common finding across a range of pathologies, making diagnosis complex. This review proposes a categorization of meningeal diseases based on their predominant imaging characteristics. It includes a detailed description of the clinical and imaging features of various conditions that lead to leptomeningeal or pachymeningeal enhancement in children and adolescents. These conditions encompass infectious meningitis (viral, bacterial, tuberculous, algal, and fungal), autoimmune diseases (such as anti-MOG demyelination, neurosarcoidosis, Guillain-Barré syndrome, idiopathic hypertrophic pachymeningitis, and NMDA-related encephalitis), primary and secondary tumors (including diffuse glioneuronal tumor of childhood, primary CNS rhabdomyosarcoma, primary CNS tumoral metastasis, extracranial tumor metastasis, and lymphoma), tumor-like diseases (Langerhans cell histiocytosis and ALK-positive histiocytosis), vascular causes (such as pial angiomatosis, ANCA-related vasculitis, and Moyamoya disease), and other disorders like spontaneous intracranial hypotension and posterior reversible encephalopathy syndrome. Despite the nonspecific nature of imaging findings associated with meningeal lesions, narrowing down the differential diagnoses is crucial, as each condition requires a tailored and specific treatment approach. Full article
(This article belongs to the Section Neuroimaging)
Show Figures

Figure 1

15 pages, 2318 KB  
Article
Circulating Tumor DNA Combining with Imaging Analysis for Lesion Detection of Langerhans Cell Histiocytosis in Children
by Siying Liu, Yongbing Zhu, Yu Chen, Yaqin Wang, Dedong Zhang, Jiasi Zhang, Yao Wang, Ai Zhang, Qun Hu and Aiguo Liu
Children 2024, 11(12), 1449; https://doi.org/10.3390/children11121449 - 27 Nov 2024
Cited by 3 | Viewed by 1425
Abstract
Background: The detection of mutations from circulating tumor DNA (ctDNA) represents a promising enrichment technique. In this retrospective study, the significance of ctDNA and imaging in Langerhans cell histiocytosis (LCH) monitoring was first examined, and the broader role of ctDNA in monitoring LCH [...] Read more.
Background: The detection of mutations from circulating tumor DNA (ctDNA) represents a promising enrichment technique. In this retrospective study, the significance of ctDNA and imaging in Langerhans cell histiocytosis (LCH) monitoring was first examined, and the broader role of ctDNA in monitoring LCH was additionally explored. Methods: First, data visualization and survival analysis models were used to generalize the concordance between cfBRAFV600E molecular response and radiographic response on clinical outcomes. Next, the molecular response of cfBRAFV600E was observed from a dynamic perspective. A comparative analysis was then conducted between cfBRAFV600E and ltBRAFV600E status, examining their relationship to clinical manifestations and prognosis of LCH. Results: Eventually, 119 participants were enrolled in this trial between 2019 and 2023. Progression-free survival (PFS) was significantly shorter in patients with both radiologic and cfDNA molecular progression (17.67 versus 24.67 months, p < 0.05) compared to those without. A critical cfBRAFV600E value of 0.03% has been determined for the first time. Both cfBRAFV600E and ltBRAFV600E mutations were associated with a higher proportion of children under 3 years of age, skin and spleen involvement, and a lower 3-year PFS rate. In contrast to ltBRAFV600E, cfBRAFV600E was linked to a higher proportion of risk organ invasion LCH (52% vs. 27.9%, p < 0.05) and a better therapeutic response at the sixth week (24% vs. 4.7%, p < 0.05). Furthermore, in patients with risk organ invasion-LCH and multisystem-LCH subtypes, cfBRAFV600E was associated with a significantly lower 3-year PFS. Conclusions: In summary, these findings enhanced and supplemented the implications of ctDNA and imaging analysis application in children with LCH. Full article
(This article belongs to the Section Pediatric Hematology & Oncology)
Show Figures

Figure 1

9 pages, 2483 KB  
Article
Pediatric Cranial Vault Lesions: A Tailored Approach According to Bony Involvement
by Arianna Barbotti, Ignazio G. Vetrano, Cecilia Casali, Tommaso F. Galbiati, Sabrina Mariani, Edoardo Porto, Alessandra Erbetta, Stefano Chiaravalli and Laura G. Valentini
Children 2024, 11(11), 1377; https://doi.org/10.3390/children11111377 - 13 Nov 2024
Cited by 1 | Viewed by 1628
Abstract
Background: Cranial vault lesions are common in children, with dermoid and epidermoid cysts being the most frequent. Management is debated due to their slow growth, but early resection can prevent complications and provide a definitive histological diagnosis, which is sometimes linked to systemic [...] Read more.
Background: Cranial vault lesions are common in children, with dermoid and epidermoid cysts being the most frequent. Management is debated due to their slow growth, but early resection can prevent complications and provide a definitive histological diagnosis, which is sometimes linked to systemic diseases. Methods: A retrospective study of children treated surgically for cranial vault tumors from January 2011 to April 2023 was conducted. The data collected included age, gender, symptoms, comorbidities, lesion location, radiological features, surgical techniques, histopathology, and recurrence rates. Results: Eighty-eight children (mean age: 3.5 years, mean tumor size: 1.21 cm) underwent surgery. The most common locations were the frontal and occipital bones. The main diagnoses were dermoid cysts, myofibroma, and Langerhans cell histiocytosis. Gross total resection was achieved in 64 cases with simple skin incisions. In 13 cases, small cranioplasties with bone cement were used. Craniotomy and cranioplasty with autologous bone grafting were performed for 11 patients with lesions larger than 2 cm and full skull thickness erosion. Conclusions: Early resection is recommended for complete removal with minimally invasive surgery and to ensure histological diagnosis. For lesions larger than 2 cm with full skull erosion, cranioplasty with autologous bone is the preferred technique. Full article
(This article belongs to the Section Pediatric Surgery)
Show Figures

Figure 1

11 pages, 8977 KB  
Case Report
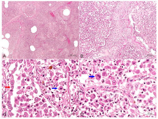
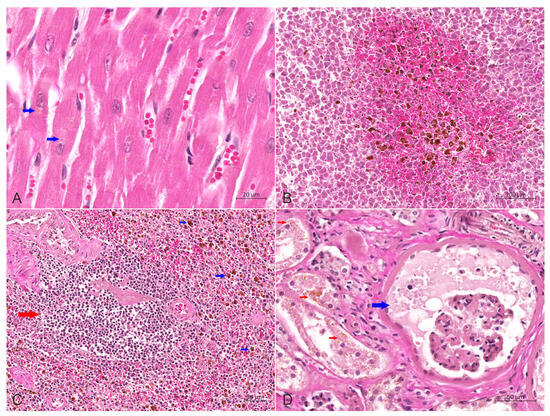
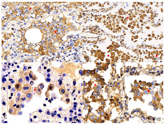
Pulmonary Langerhans Cell Histiocytosis in an African Lion: A Rare Case Report
by Liang Zhang, Hui Chen, Yulin Ding, Wenlong Wang, Gao Wa, Bingwu Zheng and Jinling Wang
Animals 2024, 14(7), 1011; https://doi.org/10.3390/ani14071011 - 26 Mar 2024
Cited by 6 | Viewed by 2194
Abstract
Background: Feline pulmonary Langerhans cells histiocytosis (PLCH) is a rare disorder that results in progressive respiratory failure secondary to pulmonary parenchymal infiltration with Langerhans cells (LCs). A diagnosis of PLCH is proposed based on the clinical features and pathological findings and confirmed based [...] Read more.
Background: Feline pulmonary Langerhans cells histiocytosis (PLCH) is a rare disorder that results in progressive respiratory failure secondary to pulmonary parenchymal infiltration with Langerhans cells (LCs). A diagnosis of PLCH is proposed based on the clinical features and pathological findings and confirmed based on the infiltrating histiocytic cells. There are few documented cases of feline PLCH, and this case report of PLCH in an African Lion could present new information and aspects of this feline histiocytic disease. Case presentation: An African lion at Hohhot Zoo showing severe hyporexia and dyspnea with subsequent mental depression and emaciation died of exhaustion after a 35-day course of illness. Empirical treatment did not have a significant effect. An autopsy revealed that the lungs were enlarged and hardened due to infiltrative lesions, with many yellowish-white foci in all the lobes and sections. Furthermore, the kidneys were atrophied and had scattered grayish-white lesions on the surface. At the same time, congestion was widely distributed in various locations, including the liver, subcutaneous loose connective tissues, serosal surface and other tissues and organs. Histologically, proliferative histiocytic cells (PHCs) were scattered in the alveolar cavities, bronchioles and submucosa of bronchioles, with evident cellular and nuclear pleomorphism, and thus the alveolar septa were obliterated. The histopathological changes in other organs included chronic sclerosing glomerulonephritis, proliferated Kupffer cells in the liver, adrenal edema and interstitial connective tissue hyperplasia, as well as atrophy of the small intestines and spleen. Furthermore, immunohistochemical analysis results were strongly positive for CD1a, vimentin, S100 and E-cadherin in the membrane or cytoplasm of PHCs, supporting an LC phenotype. Conclusions: Here, we present a rare pulmonary Langerhans cell histiocytosis case in an African lion. Full article
(This article belongs to the Section Veterinary Clinical Studies)
Show Figures

Figure 1

Back to TopTop