Delayed Neurologic Response to Dabrafenib and Trametinib in the Case of Mixed Histiocytosis (LCH/ECD): Case Report and Literature Review
Abstract
1. Introduction and Clinical Significance
2. Case Presentation
2.1. Delayed Diagnosis of CNS Disease Followed by Chemotherapy
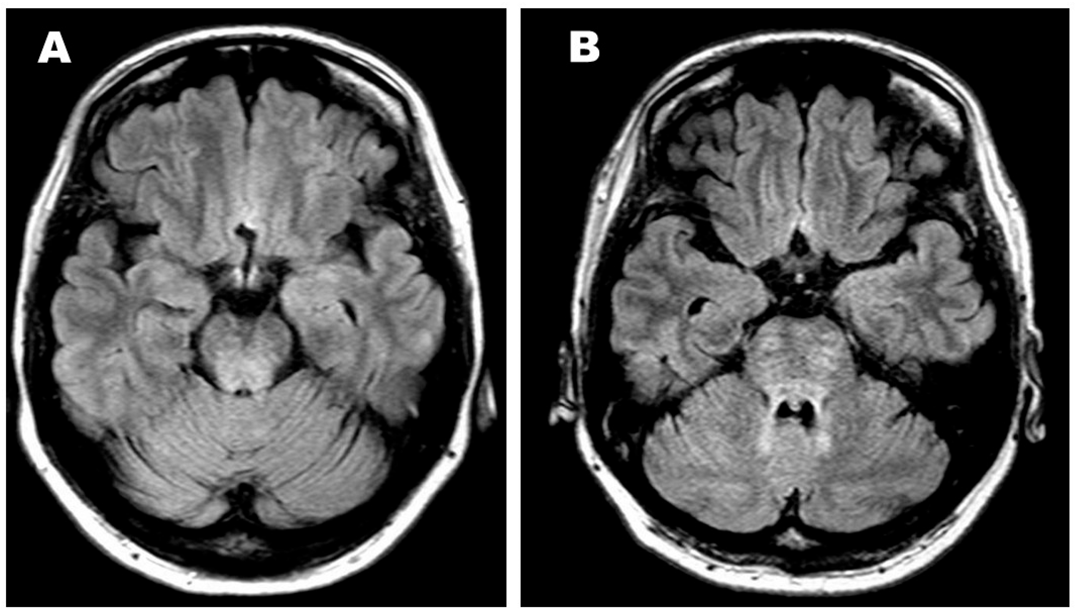
2.2. Evaluation of Targeted Treatment
2.3. Outcome of Targeted Treatment
3. Discussion
4. Conclusions
Author Contributions
Funding
Institutional Review Board Statement
Informed Consent Statement
Data Availability Statement
Acknowledgments
Conflicts of Interest
Abbreviations
| ECD | Erdheim–Chester Disease |
| LCH | Langerhans cell histiocytosis |
| CNS | Central nervous system |
| CLIPPERS | chronic lymphocytic inflammation with pontine perivascular enhancement responsive to steroids |
| Dab | dabrafenib |
| Tra | trametinib |
| DS | Deauville score |
References
- Diamond, E.L.; Durham, B.H.; Ulaner, G.A.; Drill, E.; Buthorn, J.; Ki, M.; Bitner, L.; Cho, H.; Young, R.J.; Francis, J.H.; et al. Efficacy of MEK inhibition in patients with histiocytic neoplasms. Nature 2019, 567, 521–524. [Google Scholar] [CrossRef] [PubMed]
- Pineles, S.L.; Liu, G.T.; Acebes, X.; Arruga, J.; Nasta, S.; Glaser, R.; Pramick, M.; Fogt, F.; Le Roux, P.; E Gausas, R. Presence of Erdheim-Chester disease and Langerhans cell histiocytosis in the same patient: A report of 2 cases. J. Neuroophthalmol. 2011, 31, 217–223. [Google Scholar] [CrossRef] [PubMed]
- Miyoshi, T.; Tamaki, S.; Kudo, K.; Kono, F.; Masada, T.; Imashuku, S. Preceding polydipsia/polyuria, ataxia, and dysarthria in an adult with mixed histiocytosis (Erdheim Chester disease/Langerhans cell histiocytosis). Ann. Hematol. 2022, 101, 2803–2804. [Google Scholar] [CrossRef]
- Goyal, G.; Heaney, M.L.; Collin, M.; Cohen-Aubart, F.; Vaglio, A.; Durham, B.H.; Hershkovitz-Rokah, O.; Girschikofsky, M.; Jacobsen, E.D.; Toyama, K.; et al. Erdheim-Chester disease: Consensus recommendations for evaluation, diagnosis, and treatment in the molecular era. Blood 2020, 135, 1929–1945. [Google Scholar] [CrossRef]
- Cohen-Aubart, F.; Idbaih, A.; Emile, J.-F.; Amoura, Z.; Abdel-Wahab, O.; Durham, B.H.; Haroche, J.; Diamond, E.L. Histiocytosis and the nervous system: From diagnosis to targeted therapies. Neuro Oncol. 2021, 23, 1433–1446. [Google Scholar] [CrossRef]
- Haque, A.; Pérez, C.A.; Reddy, T.A.; Gupta, R.K. Erdheim-Chester Disease with Isolated CNS Involvement: A Systematic Review of the Literature. Neurol. Int. 2022, 14, 716–726. [Google Scholar] [CrossRef]
- Bradshaw, M.J.; Pawate, S.; Bloch, K.C.; Moots, P.; Reddy, N.M. Clinical Reasoning: A 52-year-old man with diplopia and ataxia. Neurology 2016, 87, e140–e143. [Google Scholar] [CrossRef] [PubMed]
- Pan, Z.; Kleinschmidt-DeMasters, B.K. CNS Erdheim-Chester Disease: A Challenge to Diagnose. J. Neuropathol. Exp. Neurol. 2017, 76, 986–996. [Google Scholar] [CrossRef]
- Miron, G.; Karni, A.; Faust-Soher, A.; Giladi, N.; Alroy, H.; Gadoth, A. Erdheim-Chester disease presenting with chorea and mimicking IgG4-related disorder. Neurol. Clin. Pract. 2019, 9, 524–526. [Google Scholar] [CrossRef]
- Todisco, A.; Cavaliere, C.; Vaglio, A.; Marano, M.; Bonometti, A.; Passoni, E.; Berti, E.; Cirillo, M.; Cirillo, G. Erdheim-Chester disease: A challenging diagnosis for an effective therapy. Clin. Neurol. Neurosurg. 2020, 194, 105841. [Google Scholar] [CrossRef]
- Marano, M.; Todisco, A.; Motolese, F.; Quattrocchi, C.C.; Crescenzi, A.; Cirillo, G.; Di Lazzaro, V. Choreo-Athetosis and Ataxia as Leading Features in a Case of Erdheim-Chester Disease. Mov. Disord. Clin. Pract. 2020, 7, 215–217. [Google Scholar] [CrossRef] [PubMed]
- Fernández-Eulate, G.; Muñoz-Lopetegi, A.; Ruiz, I.; Urtasun, M. Vemurafenib as first-line therapy in BRAF-V600E-mutant Erdheim-Chester disease with CNS involvement. BMJ Case Rep. 2019, 12, e228280. [Google Scholar] [CrossRef]
- Mazor, R.D.; Weissman, R.; Luckman, J.; Domachevsky, L.; Diamond, E.L.; Abdel-Wahab, O.; Shapira, S.; Hershkovitz-Rokah, O.; Groshar, D.; Shpilberg, O. Dual BRAF/MEK blockade restores CNS responses in BRAF-mutant Erdheim-Chester disease patients following BRAF inhibitor monotherapy. Neurooncol. Adv. 2020, 2, vdaa024. [Google Scholar] [CrossRef] [PubMed]
- Yuen, C.A.; Bao, S.; Aung, M.S.; Shishodia, R.; Kong, X.-T. Dabrafenib and steroids for the treatment of Erdheim-Chester disease with extensive CNS involvement: A case report. Pers. Med. 2024, 21, 71–78. [Google Scholar] [CrossRef]
- Al Bayati, A.; Plate, T.; Al Bayati, M.; Yan, Y.; Lavi, E.S.; Rosenblatt, J.D. Dabrafenib and Trametinib Treatment for Erdheim-Chester Disease With Brain Stem Involvement. Mayo Clin. Proc. Innov. Qual. Outcomes 2018, 2, 303–308. [Google Scholar] [CrossRef]
- Roeser, A.; Jouenne, F.; Vercellino, L.; Yan, Y.; Lavi, E.S.; Rosenblatt, J.D. Dramatic Response After Switching MEK Inhibitors in a Patient With Refractory Mixed Histiocytosis. J. Hematol. 2022, 11, 185–189. [Google Scholar] [CrossRef]
- Zalewski, N.L.; Tobin, W.O. Clippers. Curr. Neurol. Neurosci. Rep. 2017, 17, 65. [Google Scholar] [CrossRef]
- Berkman, J.; Ford, C.; Emily Johnson, E.; A Malow, B.; Aulino, J.M. Misdiagnosis: CNS Erdheim-Chester disease mimicking CLIPPERS. Neuroradiol. J. 2018, 31, 399–402. [Google Scholar] [CrossRef]
- Morimoto, A.; Shimazaki, C.; Takahashi, S.; Yoshikawa, K.; Nishimura, R.; Wakita, H.; Kobayashi, Y.; Kanegane, H.; Tojo, A.; Imamura, T.; et al. Therapeutic outcome of multifocal Langerhans cell histiocytosis in adults treated with the Special C regimen formulated by the Japan LCH Study Group. Int. J. Hematol. 2013, 97, 103–108. [Google Scholar] [CrossRef] [PubMed]
- Davies, M.A.; Saiag, P.; Robert, C.; Grob, J.-J.; Flaherty, K.T.; Arance, A.; Chiarion Sileni, V.; Thomas, L.; Lesimple, T.; Mortier, L.; et al. Dabrafenib plus trametinib in patients with BRAFV600-mutant melanoma brain metastases (COMBI-MB): A multicentre, multicohort, open-label, phase 2 trial. Lancet Oncol. 2017, 18, 863–873. [Google Scholar] [CrossRef]
- Bouffet, E.; Hansford, J.R.; Garrè, M.L.; Garrè, M.L.; Hara, J.; Plant-Fox, A.; Aerts, I.; Locatelli, F.; Hargrave, D.R. Dabrafenib plus Trametinib in Pediatric Glioma with BRAF V600 Mutations. N. Engl. J. Med. 2023, 389, 1108–1120. [Google Scholar] [CrossRef]
- Niazi, S.K. Non-Invasive Drug Delivery across the Blood-Brain Barrier: A Prospective Analysis. Pharmaceutics 2023, 15, 2599. [Google Scholar] [CrossRef] [PubMed]
- Cournoyer, E.; Ferrell, J.; Sharp, S.; Ray, A.; Jordan, M.; Dandoy, C.; Grimley, M.; Roy, S.; Lorsbach, R.; Merrow, A.C.; et al. Dabrafenib and trametinib in Langerhans cell histiocytosis and other histiocytic disorders. Haematologica 2024, 109, 1137–1148. [Google Scholar] [CrossRef]
- Elkouzi, A.; Rauschkolb, P.; Grogg, K.L.; Gilchrist, J.M. Neurohistiocytosis of the Cerebellum: A Rare Cause of Ataxia. Mov. Disord. Clin. Pract. 2015, 3, 125–129. [Google Scholar] [CrossRef] [PubMed]
- Bhatia, A.; Ulaner, G.; Rampal, R.; Hyman, D.M.; Abdel-Wahab, O.; Durham, B.H.; Dogan, A.; Ozkaya, N.; Hajdenberg, J.; Ganzel, C. Single-agent dabrafenib for BRAFV600E-mutated histiocytosis. Haematologica 2018, 103, e177–e180. [Google Scholar] [CrossRef]
- Pegoraro, F.; Papo, M.; Cohen-Aubart, F.; Peyronel, F.; Lugli, G.; Trambusti, I.; Baulier, G.; de Menthon, M.; Le Scornet, T.; Oziol, E.; et al. Long-term outcome and prognosis of mixed histiocytosis (Erdheim-Chester disease and Langerhans Cell Histiocytosis). EClinicalMedicine 2024, 73, 102658. [Google Scholar] [CrossRef] [PubMed]
- Durham, B.H.; Lopez Rodrigo, E.; Picarsic, J.; Abramson, D.; Rotemberg, V.; De Munck, S.; Pannecoucke, E.; Lu, S.X.; Pastore, A.; Yoshimi, A.; et al. Activating mutations in CSF1R and additional receptor tyrosine kinases in histiocytic neoplasms. Nat. Med. 2019, 25, 1839–1842. [Google Scholar] [CrossRef]
- Abla, O. Management of ECD: The era of targeted therapies. Blood 2020, 135, 1919–1920. [Google Scholar] [CrossRef]
- Reiner, A.S.; Durham, B.H.; Yabe, M.; Petrova-Drus, K.; Francis, J.H.; Rampal, R.K.; Lacouture, M.E.; Rotemberg, V.; Abdel-Wahab, O.; Panageas, K.S.; et al. Outcomes after interruption of targeted therapy in patients with histiocytic neoplasms. Br. J. Haematol. 2023, 203, 389–394. [Google Scholar] [CrossRef]
- Garutti, M.; Bergnach, M.; Polesel, J.; Palmero, L.; Pizzichetta, M.A.; Puglisi, F. BRAF and MEK Inhibitors and Their Toxicities: A Meta-Analysis. Cancers 2022, 15, 141. [Google Scholar] [CrossRef]
- Amagai, R.; Muto, Y.; Kato, H.; Matsushita, S.; Maekawa, T.; Fukushima, S.; Yoshino, K.; Uchi, H.; Fujisawa, Y.; Yamamoto, Y.; et al. Retrospective analysis of adjuvant therapy using dabrafenib plus trametinib in Japanese patients with advanced melanoma: Analysis of 36 cases. Melanoma Res. 2021, 31, 575–578. [Google Scholar] [CrossRef] [PubMed]
- Seethapathy, H.; Lee, M.D.; Strohbehn, I.A.; Efe, O.; Rusibamayila, N.; Chute, D.F.; Colvin, R.B.; A Rosales, I.; Fadden, R.M.; Reynolds, K.L.; et al. Clinical features of acute kidney injury in patients receiving dabrafenib and trametinib. Nephrol. Dial. Transplant. 2022, 37, 507–514. [Google Scholar] [CrossRef] [PubMed]
- Spengler, E.K.; Kleiner, D.E.; Fontana, R.J. Vemurafenib-induced granulomatous hepatitis. Hepatology 2017, 65, 745–748. [Google Scholar] [CrossRef]
- Saenz-Ancira, S.; Higuera-Ornelas, J.; Bernades-Souza, B.; Severdija, R.; Ana-Bayona, M.J.S.; Salazar, M.S.; Vasquez, M.A.; Luna-Alvarez, J.A. Heart Failure with Reduced Ejection Fraction in a Patient with Erdheim-Chester Disease on Dabrafenib. JACC Case Rep. 2024, 29, 102374. [Google Scholar] [CrossRef] [PubMed]



| Time from Dab/Tra | Neurological Symptoms | CNS-MRI ** | PET/CT *** (Maxilla-Mandibular Bones) | PET-CT (Long Bones) | |
|---|---|---|---|---|---|
| SARA Score | ICARS Score | ||||
| Onset of TT | 21/40 | 33/100 | active | PR | CMR |
| Dab (50-100-150-200)/Tra (0.5–1.5) * | |||||
| 7 months | 13/40 | 28/100 | sl. improved | PR | pCMR |
| Dab (200)/Tra (1.5) | |||||
| 18 months | 14/40 | 29/100 | NT | PR | pCMR |
| Dab (250)/Tra (2.0) | |||||
| 21 months | 17/40 | 31/100 | sl. improved | PR | pCMR |
| Authors [Ref] | Age/Sex | CNS Symptoms (Duration of CNS Symptoms to Dx of ECD) | Targeted Drugs | Duration of Vem (Months) | Outcome |
|---|---|---|---|---|---|
| Marano [11] | 67/M | Chorea Ataxic gait | Vem | 5 | SD |
| Miron [9] | 55/M | Chorea | Vem | NA | NA |
| Pan [8] | 67/F | Ataxia CLIPPERS | Vem | NA | Response noted at 1 month; disease-free for 3 years |
| Bradshaw [7] | 52/M | CLIPPERS (6 years) | Vem + St | 10 | Improved |
| Todisco [10] | 52/M | Ataxic gait SARA 14/40 | Vem | 9 | Improved SARA 9/40 |
| Fernández-Eulate [12] | 31/F | Unstable gait | Vem | 10 | PR; 3 years later SD |
| Mazor 1 [13] | 51/F | (2 years) | Vem | 52 | Response noted at 3 months |
| Mazor 2 [13] | 64/M | (8 years) | Vem | 14 | Response noted at 4 months |
| Mazor 3 [13] | 43/M | (9 years) | Vem | 6 | Response noted at 1 month |
| Case No. | Age (Yrs.)/ Gender | Regimens (Max Doses/Day) | Regimen Starts from Dx | Improvement of Neurological Symptoms |
|---|---|---|---|---|
| Al Bayati [15] | 44/F | Dab/Tra (300 mg/2 mg) | 2 years | in 4 months |
| Yuen [14] | 44/M | Dab (not reported) | 7 weeks | in 3 months |
| Present case * | 46/F | Dab/Tra (250 mg/2 mg) | 6 years | in 7 months (transient) |
Disclaimer/Publisher’s Note: The statements, opinions and data contained in all publications are solely those of the individual author(s) and contributor(s) and not of MDPI and/or the editor(s). MDPI and/or the editor(s) disclaim responsibility for any injury to people or property resulting from any ideas, methods, instructions or products referred to in the content. |
© 2026 by the authors. Licensee MDPI, Basel, Switzerland. This article is an open access article distributed under the terms and conditions of the Creative Commons Attribution (CC BY) license.
Share and Cite
Imashuku, S.; Kobayashi, M.; Miyoshi, T.; Anzai, N. Delayed Neurologic Response to Dabrafenib and Trametinib in the Case of Mixed Histiocytosis (LCH/ECD): Case Report and Literature Review. Reports 2026, 9, 18. https://doi.org/10.3390/reports9010018
Imashuku S, Kobayashi M, Miyoshi T, Anzai N. Delayed Neurologic Response to Dabrafenib and Trametinib in the Case of Mixed Histiocytosis (LCH/ECD): Case Report and Literature Review. Reports. 2026; 9(1):18. https://doi.org/10.3390/reports9010018
Chicago/Turabian StyleImashuku, Shinsaku, Miyako Kobayashi, Takashi Miyoshi, and Naoyuki Anzai. 2026. "Delayed Neurologic Response to Dabrafenib and Trametinib in the Case of Mixed Histiocytosis (LCH/ECD): Case Report and Literature Review" Reports 9, no. 1: 18. https://doi.org/10.3390/reports9010018
APA StyleImashuku, S., Kobayashi, M., Miyoshi, T., & Anzai, N. (2026). Delayed Neurologic Response to Dabrafenib and Trametinib in the Case of Mixed Histiocytosis (LCH/ECD): Case Report and Literature Review. Reports, 9(1), 18. https://doi.org/10.3390/reports9010018

