Sign in to use this feature.

Years

Between: -

Subjects

remove_circle_outline
remove_circle_outline
remove_circle_outline
remove_circle_outline
remove_circle_outline

Journals

Article Types

Countries / Regions

Search Results (13)

Search Parameters:
Keywords = LCDV1

Order results
Result details
Results per page
Select all
Export citation of selected articles as:
13 pages, 7569 KB  
Article
New Light on an Old Story: Lymphocystis Disease in Copperband Butterflyfish (Chelmon rostratus) and Orbicular Batfish (Platax orbicularis)
by Márton Hoitsy, Endre Sós, János Gál, Árisz Ziszisz, Ferenc Baska, Lars August Folkman, Giuseppe Mark Marcello, Krisztina Bali, Gergő Mitró and Andor Doszpoly
Pathogens 2025, 14(10), 988; https://doi.org/10.3390/pathogens14100988 - 1 Oct 2025
Abstract
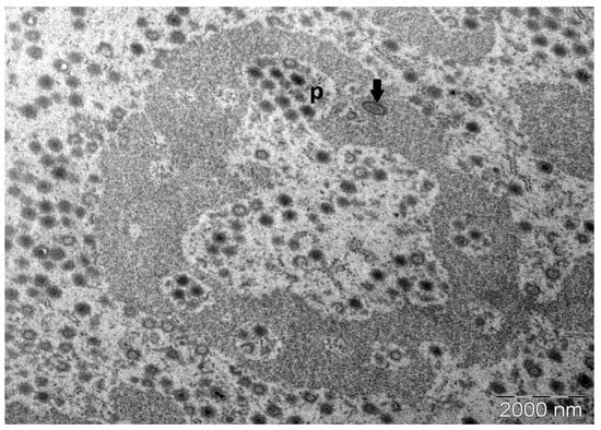
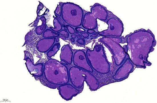
Although the clinical course and pathogenesis of lymphocystis disease virus (LCDV) infection have been extensively described in freshwater and seawater environments, lymphocystis disease has not been studied in the copperband butterflyfish (Chelmon rostratus) or described at the molecular level in orbicular [...] Read more.
Although the clinical course and pathogenesis of lymphocystis disease virus (LCDV) infection have been extensively described in freshwater and seawater environments, lymphocystis disease has not been studied in the copperband butterflyfish (Chelmon rostratus) or described at the molecular level in orbicular batfish (Platax orbicularis). The present study aimed to identify LCDV in a copperband butterflyfish and an orbicular batfish using light and electron microscopy (morphological) and molecular methods, namely PCR followed by phylogenetic analysis. We present a case series of two representatives of two distinct fish species with stress-induced chronic LCDV infection, which presented with typical, recurring, macroscopically visible lymphocystis nodules on their pectoral, caudal, and dorsal fins. After collecting lymphocystis nodules from live animals using skin scraping, we processed the hypertrophic giant cells for qualitative analysis using light and electron microscopy. Through our qualitative morphological analysis, we also share intimate observations of putative viral replication and assembly in the intracytoplasmic inclusion bodies of lymphocystis nodules. We present LCDV infection in a novel species, the copperband butterflyfish, and our molecular analysis identified the virus from the orbicular batfish as a novel LCDV species. Full article
(This article belongs to the Section Viral Pathogens)
Show Figures

Figure 1

11 pages, 4290 KB  
Article
Lymphocystis Disease Virus Infection in Clownfish Amphiprion ocellaris and Amphiprion clarkii in Taiwan
by Ming-Chung Cheng, Ming She See, Pei-Chi Wang, Yu-Ting Kuo, Yuan-Shing Ho, Shih-Chu Chen and Ming-An Tsai
Animals 2023, 13(1), 153; https://doi.org/10.3390/ani13010153 - 30 Dec 2022
Cited by 9 | Viewed by 4512
Abstract
Lymphocystic disease affects over 150 species of marine and freshwater fish worldwide. In this study, the lymphocystis pathogen was found in 2 (Amphiprion ocellaris and Amphiprion clarkii) of the 9 species of clownfish. Detection of lymphocystis disease virus (LCDV) was based [...] Read more.
Lymphocystic disease affects over 150 species of marine and freshwater fish worldwide. In this study, the lymphocystis pathogen was found in 2 (Amphiprion ocellaris and Amphiprion clarkii) of the 9 species of clownfish. Detection of lymphocystis disease virus (LCDV) was based on histopathological study, electron microscope observation of virus particles and gene sequence analysis from the MCP region. Infected A. ocellaris hosts showed sparse, multifocal, white, stiff, papilloma-like nodules on the body, skin, gills and fins; while, on A. clarkia, nodules were found on the operculum skin. Histopathologic study showed lymphocystic cells with an irregular nucleus, enlarged cytoplasm and intracytoplasmic inclusion bodies surrounded by the cell membrane. The viral particle presents virions 180–230 nm in diameter, hexagonal in shape with an inner dense nucleoid under transmission electron micrographs (TEM). From the ML polygenetic tree, the clownfish LCVD genotype was closely related to the LCDV strain from paradise fish, Macropodus opercularis (KJ408271) (pairwise distance: 92.5%) from China, then followed by the strain from Spain (GU320726 and GU320736) (pairwise distance: 90.8–90.5%), Korea (AB299163, AB212999, AB213004, and AB299164) (pairwise distance: 91.5–80.5%) and lastly Canada (GU939626) (pairwise distance: 83%). This is the first report of lymphocystis disease in A. clarkii in Taiwan. Full article
(This article belongs to the Section Veterinary Clinical Studies)
Show Figures

Figure 1

11 pages, 1894 KB  
Article
New Insights into Lymphocystis Disease Virus Genome Diversity
by Jessica Benkaroun, Sven M. Bergmann, Angela Römer-Oberdörfer, Menekse Didem Demircan, Cüneyt Tamer, Gayatri Rajendra Kachh and Manfred Weidmann
Viruses 2022, 14(12), 2741; https://doi.org/10.3390/v14122741 - 8 Dec 2022
Cited by 6 | Viewed by 3186
Abstract
Lymphocystis disease viruses (LCDVs) are viruses that infect bony fish which has been found in different locations across the globe. Four virus species have been classified by the International Committee on Taxonomy of Viruses (ICTV), despite remarkable discrepancies in genome size. Whole genome [...] Read more.
Lymphocystis disease viruses (LCDVs) are viruses that infect bony fish which has been found in different locations across the globe. Four virus species have been classified by the International Committee on Taxonomy of Viruses (ICTV), despite remarkable discrepancies in genome size. Whole genome sequencing and phylogenetic analysis of LCDVs from wild fish from the North Sea and partial sequences from gilthead sea bream of an aquafarm located in the Aegean Sea in Turkey confirm that the LCDV1 genome at 100 kb is approximately half the size of the genomes of LCDV2-4. Since the fish species, of which LCDV1 was isolated, differ taxonomically at the order level, co-speciation can be excluded as the driver of the adaptation of the genome of this nucleocytoplasmic large DNA virus, but may represent an adaptation to the lifestyle of this demersal fish in the northeast Atlantic. Full article
(This article belongs to the Special Issue Iridoviruses)
Show Figures

Figure 1

14 pages, 4842 KB  
Article
A New Cell Line Derived from the Spleen of the Japanese Flounder (Paralichthys olivaceus) and Its Application in Viral Study
by Yucong Yang, Yuqin Ren, Yitong Zhang, Guixing Wang, Zhongwei He, Yufeng Liu, Wei Cao, Yufen Wang, Songlin Chen, Yuanshuai Fu and Jilun Hou
Biology 2022, 11(12), 1697; https://doi.org/10.3390/biology11121697 - 24 Nov 2022
Cited by 17 | Viewed by 2721
Abstract
A new cell line Japanese flounder spleen (JFSP) derived from the spleen of Japanese flounder (Paralichthys olivaceus) was established and characterized in this study. The JFSP cells grew rapidly at 29 °C, and the optimum fetal bovine serum concentration in the [...] Read more.
A new cell line Japanese flounder spleen (JFSP) derived from the spleen of Japanese flounder (Paralichthys olivaceus) was established and characterized in this study. The JFSP cells grew rapidly at 29 °C, and the optimum fetal bovine serum concentration in the L-15 medium was 15%. Cells were subcultured for more than 80 passages. The JFSP cells have a diploid chromosome number of 2n = 68, which differs from the chromosome number of normal diploid Japanese flounder. The established cells were susceptible to Bohle virus (BIV), Viral hemorrhagic septicemia virus (VHSV), Hirame rhabdovirus (HIRRV), Infectious hematopoietic necrosis virus (IHNV), and Lymphocystis disease virus (LCDV), as evidenced by varying degrees of cytopathic effects (CPE). Replication of the virus in JFSP cells was confirmed by qRT-PCR and transmission electron microscopy. In addition, the expression of four immune-related genes, TRAF3, IL-1β, TNF-α, and TLR2, was differentially altered following viral infection. The results indicated that the cells underwent an antiviral immune response. JFSP cell line is an ideal tool in vitro for virology. The use of fish cell lines to study the immune genes and immune mechanism of fish and to clarify the immune mechanism of fish has important theoretical significance and practical application value for the fundamental prevention and treatment of fish diseases. Full article
Show Figures

Figure 1

19 pages, 4431 KB  
Article
Peripheral Blood B-Lymphocytes Are Involved in Lymphocystis Disease Virus Infection in Flounder (Paralichthys olivaceus) via Cellular Receptor-Mediated Mechanism
by Xiuzhen Sheng, Jing Zeng, Ying Zhong, Xiaoqian Tang, Jing Xing, Heng Chi and Wenbin Zhan
Int. J. Mol. Sci. 2022, 23(16), 9225; https://doi.org/10.3390/ijms23169225 - 17 Aug 2022
Cited by 4 | Viewed by 2297
Abstract
Previous studies imply that peripheral blood leukocytes (PBLs) may play an important role in systemic lymphocystis disease virus (LCDV) dissemination, but whether the PBLs are susceptible and permissive to LCDV infection and the dissemination mechanism need to be clarified. In this study, LCDV [...] Read more.
Previous studies imply that peripheral blood leukocytes (PBLs) may play an important role in systemic lymphocystis disease virus (LCDV) dissemination, but whether the PBLs are susceptible and permissive to LCDV infection and the dissemination mechanism need to be clarified. In this study, LCDV was firstly confirmed to infect the PBLs in flounder (Paralichthys olivaceus) in vivo, and to replicate in PBLs in vitro. Subsequently, the 27.8 kDa receptor protein (27.8R), a functional receptor mediating LCDV infection in flounder gill cells, was shown to locate on the cell membrane of PBLs and co-localize with LCDV in PBLs, while blocking of the 27.8R via pre-incubation of anti-27.8R MAb with the PBLs could obviously inhibit LCDV infection, revealing the 27.8R as a receptor for LCDV entry into PBLs. Multicolor fluorescence imaging studies verified that IgM+ and IgD+ B-lymphocyte were involved in LCDV infection. In the sorted IgM+ B-cells, 27.8R+ and LCDV+ signals were simultaneously observed, and LCDV copy numbers increased with time, indicating that IgM+ B-cells expressed the 27.8R and were permissive to LCDV infection. Furthermore, the dynamic changes of IgM+, 27.8R+, LCDV+ and LCDV+/IgM+ PBLs were monitored during the early phase of LCDV infection. It was found that the percentage of IgM+ B-cells in PBLs clearly declined first and then increased, suggesting LCDV infection facilitated damage to B-cells, whereas the amounts of 27.8R+ and LCDV+ PBLs, as well as LCDV-infected IgM+ B-cells, showed an opposite trend. These results proved that IgM+ B-lymphocytes could be infected by LCDV via a receptor-mediated mechanism and support viral replication, which provided novel insights for the first time into the role of B-lymphocytes in LCDV dissemination and pathogenesis in teleost fish. Full article
(This article belongs to the Special Issue Aquatic Organisms as Disease Models)
Show Figures

Figure 1

15 pages, 3759 KB  
Article
Initial Evidence That Gilthead Seabream (Sparus aurata L.) Is a Host for Lymphocystis Disease Virus Genotype I
by Mohamed Shawky, Engy Taha, Basem Ahmed, Mahmoud Aly Mahmoud, Mohamed Abdelaziz, Mohamed Faisal and Ausama Yousif
Animals 2021, 11(11), 3032; https://doi.org/10.3390/ani11113032 - 22 Oct 2021
Cited by 6 | Viewed by 3065
Abstract
Marine and brackish water aquacultures are rapidly expanding in the Mediterranean basin. In this context, Egypt recently received a shipment of a 1.5 million juvenile gilthead seabream (Sparus aurata L.) from European Mediterranean facility. Within a few weeks of their arrival, 95% [...] Read more.
Marine and brackish water aquacultures are rapidly expanding in the Mediterranean basin. In this context, Egypt recently received a shipment of a 1.5 million juvenile gilthead seabream (Sparus aurata L.) from European Mediterranean facility. Within a few weeks of their arrival, 95% of the imported fish developed nodules on their skin and fins that lasted for several months. This study was undertaken to describe the clinical disease course, to identify the causative agent, and to investigate its origin. Preliminary diagnosis based on gross lesions and postmortem examination suggested lymphocystis disease (LCD), caused by the lymphocystis disease virus (LCDV; genus Lymphocystivirus, family Iridoviridae). Histopathological and ultrastructural features were typical of LCDV infections. PCR followed by sequencing and phylogenetic analysis of a 306-bp fragment of the major capsid protein (MCP) gene demonstrated the presence of LCDV genotype I, originally associated with LCD in Northern European countries, with 99.7% and 100% nucleotide and deduced amino acid identity values, respectively. LCDV genotype I has neither been reported in this species nor in the region. Regardless of the source of infection, findings of this study add to existing knowledge about the ecology of LCDV genotype I and its host range. Full article
Show Figures

Figure 1

19 pages, 3610 KB  
Article
Evaluation of Gilthead Seabream (Sparus aurata) Immune Response after LCDV-Sa DNA Vaccination
by Rocío Leiva-Rebollo, Dolores Castro, Patricia Moreno, Juan J. Borrego and Alejandro M. Labella
Animals 2021, 11(6), 1613; https://doi.org/10.3390/ani11061613 - 29 May 2021
Cited by 5 | Viewed by 5115
Abstract
Lymphocystis disease is the main viral pathology reported in gilthead seabream. Its etiological agent is Lymphocystis disease virus 3 (LCDV-Sa), genus Lymphocystivirus, family Iridoviridae. There are no effective treatments or vaccines for LCDV control, thus the main aim of this study was [...] Read more.
Lymphocystis disease is the main viral pathology reported in gilthead seabream. Its etiological agent is Lymphocystis disease virus 3 (LCDV-Sa), genus Lymphocystivirus, family Iridoviridae. There are no effective treatments or vaccines for LCDV control, thus the main aim of this study was to develop a DNA vaccine, and to evaluate both the protection conferred against LCDV-Sa infection and the immune response in vaccinated fish. The vaccine was constructed by cloning the mcp gene (ORF LCDVSa062R) into pcDNA3.1/NT-GFP-TOPO. Two independent vaccination trials were conducted. In the first one, 5–7 g fish were intramuscularly injected with the vaccine (pcDNA-MCP) or the empty-plasmid, and the distribution and expression of the vaccine was investigated. Furthermore, vaccinated fish were challenged with LCDV-Sa in order to access the protective capacity of the vaccine. In the second trial, 70–100 g fish were vaccinated as specified, and the immune response was evaluated analyzing the expression of 23 immune-related genes and the production of specific antibodies. The results showed that the vaccine triggers an immune response characterized by the overexpression of genes relating to the inflammatory process, but not the innate antiviral immunity relating to type I IFN (interferon), and also induces the production of specific neutralizing antibodies, which could explain the protection against LCDV-Sa in vaccinated fish. Full article
Show Figures

Figure 1

26 pages, 8032 KB  
Article
Lymphocystis Disease Virus (Iridoviridae) Enters Flounder (Paralichthys olivaceus) Gill Cells via a Caveolae-Mediated Endocytosis Mechanism Facilitated by Viral Receptors
by Xiuzhen Sheng, Ying Zhong, Jing Zeng, Xiaoqian Tang, Jing Xing, Heng Chi and Wenbin Zhan
Int. J. Mol. Sci. 2020, 21(13), 4722; https://doi.org/10.3390/ijms21134722 - 2 Jul 2020
Cited by 10 | Viewed by 4261
Abstract
In previous research, voltage-dependent anion channel protein 2 (VDAC2) and the receptor of activated protein C kinase 1 (RACK1) in flounder (Paralichthys olivaceus) were confirmed as functional receptors for lymphocystis disease virus (LCDV) entry; however, the underlying mechanism of VDAC2- and [...] Read more.
In previous research, voltage-dependent anion channel protein 2 (VDAC2) and the receptor of activated protein C kinase 1 (RACK1) in flounder (Paralichthys olivaceus) were confirmed as functional receptors for lymphocystis disease virus (LCDV) entry; however, the underlying mechanism of VDAC2- and RACK1-mediated LCDV entry remains unclear. In this study, we elucidated the endocytosis pathway of LCDV entry into flounder gill (FG) cells by treatment with specific inhibitory agents, siRNAs, and co-localization analysis. LCDV entry was significantly inhibited by the disruption of caveolae-mediated endocytosis, dynamin, and microtubules, and the knockdown of caveoline-1 and dynamin expression, but was not inhibited by the disruption of clathrin-mediated endocytosis, micropinocytosis, or low-pH conditions. The disruption of caveolae-mediated and clathrin-mediated endocytosis was verified by the internalization of cholera toxin subunit B (CTB) and transferrin, respectively. Confocal immunofluorescence assay demonstrated that LCDV was co-localized with VDAC2 and RACK1, CTB was co-localized with VDAC2 and RACK1 and partially with LCDV, but transferrin was not co-localized with LCDV, VDAC2, or RACK1, indicating that LCDV utilized the same pathway as CTB, i.e., caveolae-mediated endocytosis. This was different from the pathway of transferrin, which used clathrin-mediated endocytosis. Furthermore, caveolin-1 was co-localized with LCDV, VDAC2, and RACK1, suggesting that caveolin-1 was involved in LCDV entry. These results revealed for the first time that LCDV entered into FG cells via caveolae-mediated endocytosis facilitated by VDAC2 and RACK1 receptors, relying on dynamin and microtubules in a pH-independent manner, which provided new insight into the molecular mechanisms of LCDV entry and potential for the development of antiviral agents, expanding our understanding of iridovirus infection. Full article
(This article belongs to the Section Molecular Microbiology)
Show Figures

Figure 1

12 pages, 1878 KB  
Article
Heritability Estimates and Genetic Correlation for Growth Traits and LCDV Susceptibility in Gilthead Sea Bream (Sparus aurata)
by Carlos Carballo, Hyun Suk Shin, Concepción Berbel, Maria Jesús Zamorano, Juan Jose Borrego, Eva Armero, Juan Manuel Afonso and Manuel Manchado
Fishes 2020, 5(1), 2; https://doi.org/10.3390/fishes5010002 - 25 Dec 2019
Cited by 9 | Viewed by 4886
Abstract
The lymphocystis disease (LCD) is a viral infection with a high economic impact in gilthead sea bream aquaculture. In this study, genetic estimates associated with lymphocystis disease virus (LCDV) disease susceptibility and growth were determined in sea bream juveniles. Two fish batches (named [...] Read more.
The lymphocystis disease (LCD) is a viral infection with a high economic impact in gilthead sea bream aquaculture. In this study, genetic estimates associated with lymphocystis disease virus (LCDV) disease susceptibility and growth were determined in sea bream juveniles. Two fish batches (named batch 1 and batch 2) were built from mass spawning and reared under industrial conditions until disease outbreak. At the moment of the sampling (n = 500 specimens for each batch), all animals had the typical LCDV lesions in the skin. For phenotyping, animals were weighted and photographed for image analysis (surface covered and lesion intensity). LCDV DNA copies were quantified in the liver by qPCR. Batch 1 had a higher surface covered and lesion intensity than batch 2, and the body caudal region was the lowest affected region in both batches. The average LCDV DNA copies in liver were higher in the batch 1 than batch 2, and they were positively correlated with severity index (SI) categories (r2 = 0.90–0.94). The total number of families evaluated were 150 and 128 for batch 1 and batch 2, respectively, with a high bias in offspring contribution by family and broodstock. Heritabilities for weight and length were 0.18 and 0.14 in batch 1 and 0.06 and 0.05 in batch 2, respectively. Heritability for the number of viral DNA copies was low (<0.08) in both batches. Heritabilities for SI in binary scale were 0.32/0.33 and 0.21/0.24 (underlying liability/Bayesian approach) for batch 1 and batch 2, respectively. Genetic correlations were very high and positive when growth traits (weight and length) or disease traits (LCDV DNA copies and SI) were compared. In contrast, the genetic correlations between growth and disease traits were moderate–high and positive in the batch 1 but negative in batch 2. These results indicate the genetic selection for LCDV susceptibility and growth is feasible in sea bream juveniles, although estimates are highly dependent on the age. The information provided is relevant to designing selective breeding programs in sea bream. Full article
Show Figures

Figure 1

10 pages, 783 KB  
Article
Artemia spp., a Susceptible Host and Vector for Lymphocystis Disease Virus
by Estefania J. Valverde, Alejandro M. Labella, Juan J. Borrego and Dolores Castro
Viruses 2019, 11(6), 506; https://doi.org/10.3390/v11060506 - 1 Jun 2019
Cited by 15 | Viewed by 3712
Abstract
Different developmental stages of Artemia spp. (metanauplii, juveniles and adults) were bath-challenged with two isolates of the Lymphocystis disease virus (LCDV), namely, LCDV SA25 (belonging to the species Lymphocystis disease virus 3) and ATCC VR-342 (an unclassified member of the genus Lymphocystivirus [...] Read more.
Different developmental stages of Artemia spp. (metanauplii, juveniles and adults) were bath-challenged with two isolates of the Lymphocystis disease virus (LCDV), namely, LCDV SA25 (belonging to the species Lymphocystis disease virus 3) and ATCC VR-342 (an unclassified member of the genus Lymphocystivirus). Viral quantification and gene expression were analyzed by qPCR at different times post-inoculation (pi). In addition, infectious titres were determined at 8 dpi by integrated cell culture (ICC)-RT-PCR, an assay that detects viral mRNA in inoculated cell cultures. In LCDV-challenged Artemia, the viral load increased by 2–3 orders of magnitude (depending on developmental stage and viral isolate) during the first 8–12 dpi, with viral titres up to 2.3 × 102 Most Probable Number of Infectious Units (MPNIU)/mg. Viral transcripts were detected in the infected Artemia, relative expression values showed a similar temporal evolution in the different experimental groups. Moreover, gilthead seabream (Sparus aurata) fingerlings were challenged by feeding on LCDV-infected metanauplii. Although no Lymphocystis symptoms were observed in the fish, the number of viral DNA copies was significantly higher at the end of the experimental trial and major capsid protein (mcp) gene expression was consistently detected. The results obtained support that LCDV infects Artemia spp., establishing an asymptomatic productive infection at least under the experimental conditions tested, and that the infected metanauplii are a vector for LCDV transmission to gilthead seabream. Full article
Show Figures

Figure 1

13 pages, 5634 KB  
Article
Development and Characterization of Monoclonal Antibodies to the 32 kDa Viral Attachment Protein of Lymphocystis Disease Virus and Their Neutralizing Ability in Vitro
by Ying Zhong, Xiaoqian Tang, Xiuzhen Sheng, Jing Xing and Wenbin Zhan
Int. J. Mol. Sci. 2018, 19(9), 2536; https://doi.org/10.3390/ijms19092536 - 27 Aug 2018
Cited by 10 | Viewed by 3419
Abstract
In previous research, a 32 kDa protein in lymphocystis disease virus (LCDV) was identified as viral attachment protein (VAP) that specifically interacted with the 27.8 kDa cellular receptor from flounder Paralichthys olivaceus gill (FG) cells, and the recombinant VAP (rVAP) was expressed in [...] Read more.
In previous research, a 32 kDa protein in lymphocystis disease virus (LCDV) was identified as viral attachment protein (VAP) that specifically interacted with the 27.8 kDa cellular receptor from flounder Paralichthys olivaceus gill (FG) cells, and the recombinant VAP (rVAP) was expressed in Escherichia coli strain BL21 (DE3). In this study, monoclonal antibodies (MAbs) against 32 kDa VAP are produced by immunization of BALB/c mice with the rVAP. Seven hybridoma secreting MAbs were screened by enzyme-linked immunosorbent assay, five of which designated as 1C6, 1C8, 3B5, 3D11 and 3H10 are cloned by the limiting dilution method, depending on the strongly positive results of ELISA. Western blotting analysis shows that the five MAbs can specifically react with the 32 kDa protein of LCDV and the purified 50 kDa rVAP, and the subtype of the MAbs is identified as IgG. Immunofluorescence results demonstrate that the specific fluorescence signals for LCDV appear in the cytoplasm of FG cells at 24 h post LCDV infection. Neutralization assay results indicate that pre-incubations of LCDV with the five MAbs can significantly decrease the LCDV copy numbers and delay the development of the cytopathic effect in FG cells, revealing that the five MAbs can neutralize the LCDV particles and block viral infection in vitro. The neutralizing MAbs against 32 kDa VAP would be useful for the study on the LCDV–host interaction and might be promising inhibitors of LCDV infection in fish. Full article
(This article belongs to the Section Molecular Pathology, Diagnostics, and Therapeutics)
Show Figures

Graphical abstract

19 pages, 3618 KB  
Article
Transcriptome Analysis of Flounder (Paralichthys olivaceus) Gill in Response to Lymphocystis Disease Virus (LCDV) Infection: Novel Insights into Fish Defense Mechanisms
by Ronghua Wu, Xiuzhen Sheng, Xiaoqian Tang, Jing Xing and Wenbin Zhan
Int. J. Mol. Sci. 2018, 19(1), 160; https://doi.org/10.3390/ijms19010160 - 5 Jan 2018
Cited by 35 | Viewed by 5893
Abstract
Lymphocystis disease virus (LCDV) infection may induce a variety of host gene expression changes associated with disease development; however, our understanding of the molecular mechanisms underlying host-virus interactions is limited. In this study, RNA sequencing (RNA-seq) was employed to investigate differentially expressed genes [...] Read more.
Lymphocystis disease virus (LCDV) infection may induce a variety of host gene expression changes associated with disease development; however, our understanding of the molecular mechanisms underlying host-virus interactions is limited. In this study, RNA sequencing (RNA-seq) was employed to investigate differentially expressed genes (DEGs) in the gill of the flounder (Paralichthys olivaceus) at one week post LCDV infection. Transcriptome sequencing of the gill with and without LCDV infection was performed using the Illumina HiSeq 2500 platform. In total, RNA-seq analysis generated 193,225,170 clean reads aligned with 106,293 unigenes. Among them, 1812 genes were up-regulated and 1626 genes were down-regulated after LCDV infection. The DEGs related to cellular process and metabolism occupied the dominant position involved in the LCDV infection. A further function analysis demonstrated that the genes related to inflammation, the ubiquitin-proteasome pathway, cell proliferation, apoptosis, tumor formation, and anti-viral defense showed a differential expression. Several DEGs including β actin, toll-like receptors, cytokine-related genes, antiviral related genes, and apoptosis related genes were involved in LCDV entry and immune response. In addition, RNA-seq data was validated by quantitative real-time PCR. For the first time, the comprehensive gene expression study provided valuable insights into the host-pathogen interaction between flounder and LCDV. Full article
(This article belongs to the Section Molecular Pathology, Diagnostics, and Therapeutics)
Show Figures

Graphical abstract

14 pages, 4959 KB  
Article
Tissue Localization of Lymphocystis Disease Virus (LCDV) Receptor-27.8 kDa and Its Expression Kinetics Induced by the Viral Infection in Turbot (Scophthalmus maximus)
by Xiuzhen Sheng, Ronghua Wu, Xiaoqian Tang, Jing Xing and Wenbin Zhan
Int. J. Mol. Sci. 2015, 16(11), 26506-26519; https://doi.org/10.3390/ijms161125974 - 5 Nov 2015
Cited by 13 | Viewed by 6758
Abstract
The 27.8 kDa membrane protein expressed in flounder (Paralichthys olivaceus) gill cells was proved to be a receptor mediating lymphocystis disease virus (LCDV) infection. In this study, SDS-PAGE and Western blotting demonstrated that 27.8 kDa receptor (27.8R) was shared by flounder [...] Read more.
The 27.8 kDa membrane protein expressed in flounder (Paralichthys olivaceus) gill cells was proved to be a receptor mediating lymphocystis disease virus (LCDV) infection. In this study, SDS-PAGE and Western blotting demonstrated that 27.8 kDa receptor (27.8R) was shared by flounder and turbot (Scophthalmus maximus). Indirect immunofluorescence assay (IIFA) and immunohistochemistry showed that 27.8R was widely expressed in tested tissues of healthy turbot. The indirect enzyme-linked immunosorbent assay indicated that 27.8R expression was relatively higher in stomach, gill, heart, and intestine, followed by skin, head kidney, spleen, blood cells, kidney and liver, and lower in ovary and brain in healthy turbot, and it was significantly up-regulated after LCDV infection. Meanwhile, real-time quantitative PCR demonstrated that LCDV was detected in heart, peripheral blood cells, and head kidney at 3 h post infection (p.i.), and then in other tested tissues at 12 h p.i. LCDV copies increased in a time-dependent manner, and were generally higher in the tissues with higher 27.8R expression. Additionally, IIFA showed that 27.8R and LCDV were detected at 3 h p.i. in some leukocytes. These results suggested that 27.8R also served as a receptor in turbot, and LCDV can infect some leukocytes which might result in LCDV spreading to different tissues in turbot. Full article
(This article belongs to the Special Issue Fish Molecular Biology)
Show Figures

Graphical abstract

Back to TopTop