Evaluation of Gilthead Seabream (Sparus aurata) Immune Response after LCDV-Sa DNA Vaccination
Abstract
Simple Summary
Abstract
1. Introduction
2. Materials and Methods
2.1. Fish
2.2. Virus and Cell Culture
2.3. Vaccine Construction
2.4. Nucleic acid Extraction and cDNA Synthesis
2.5. In Vivo Distribution and Expression of pcDNA-MCP
2.6. Viral Challenge to Evaluate Vaccine Protection
2.7. Gilthead Seabream Immune Response after pcDNA-MCP Vaccination
2.7.1. Host Gene Expression Analysis in Response to Vaccination
2.7.2. Specific Antibodies Titration and Neutralizing Antibodies Detection
2.8. Statistical Analysis
3. Results
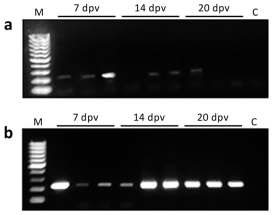
3.1. Distribution and Expression of the pcDNA-MCP Vaccine
3.2. Evaluation of Vaccine Protection
3.3. Expression of Immune-Related Genes in Vaccinated Fish
3.4. Antibody Production in Vaccinated Gilthead Seabream
4. Discussion
Supplementary Materials
Author Contributions
Funding
Institutional Review Board Statement
Data Availability Statement
Conflicts of Interest
Appendix A
| Assay | Primers | Sequence (5′–3′) | Amplicon Size |
|---|---|---|---|
| mmp cloning | MMP-PCR-F | ATTTAGCACGCGCTTCAGAT | 416 bp |
| MMP-PCR-R | TTTTATGGGCGGTTTTTCAG | ||
| qPCR | MMP-qPCR-F | TTGCCCCACTTCCTATTGTC | 122 bp |
| MMP-qPCR-R | CCGGTTTTTCAGACTTGGAA |
Appendix B

| Intra-Assay Variation 1 | Inter-Assay Variation 2 | |||
|---|---|---|---|---|
| Copies/Reaction | Cycle Threshold (Ct) 3 | CV (%) | Cycle Threshold (Ct) 3 | CV (%) |
| 1 × 105 | 16.78 ± 0.54 | 3.21 | 16.39 ± 0.42 | 2.56 |
| 1 × 104 | 20.03 ± 0.55 | 2.74 | 19.78 ± 0.32 | 1.61 |
| 1 × 103 | 23.63 ± 0.80 | 3.38 | 23.26 ± 0.44 | 1.80 |
| 1 × 102 | 27.38 ± 0.86 | 3.14 | 26.55 ± 0.26 | 0.97 |
| 5 × 101 | 28.43 ± 0.68 | 2.39 | 27.47 ± 0.85 | 3.09 |
| 2.5 × 101 | 28.98 ± 0.83 | 2.86 | 28.47 ± 0.46 | 1.61 |
| 1.6 × 101 | 29.13 ± 0.90 | 3.08 | 29.17 ± 0.80 | 2.74 |
| 8 × 100 | 30.40 ± 0.54 | 1.77 | 29.48 ± 0.65 | 2.20 |
| 4 × 100 | 31.63 ± 0.76 | 2.40 | 30.03 ± 0.59 | 1.96 |
| 2 × 100 | 32.94 ± 0.45 | 1.36 | 31.96 ± 0.65 | 2.03 |
| Overall CV 3 (%) | 2.63 ± 0.65 | 2.57 ± 0.60 | ||
References
- Colorni, A.; Pradós, F. Diseases and health management. In Sparidae: Biology and Aquaculture of Gilthead Sea Bream and Other Species; Pavlidis, M.A., Mylonas, C.C., Eds.; Wiley-Backwell: Oxford, UK, 2011; pp. 321–357. [Google Scholar]
- Borrego, J.J.; Valverde, E.J.; Labella, A.M.; Castro, D. Lymphocystis disease virus: Its importance in aquaculture. Rev. Aquacult. 2017, 9, 179–193. [Google Scholar] [CrossRef]
- Anders, K. Lymphocystis disease of fishes. In Viruses of Lower Vertebrates; Anhe, W., Kurstak, K., Eds.; Springer: Berlin, Germany, 1989; pp. 141–160. [Google Scholar]
- Sarasquete, C.; González de Canales, M.L.; Arellano, J.; Pérez-Prieto, S.I.; García-Rosado, E.; Borrego, J.J. Histochemical study of lymphocystis in skin of gilthead seabream, Sparus aurata, from the South Atlantic coast of Spain. Histol. Histopathol. 1998, 13, 37–45. [Google Scholar] [CrossRef]
- Masoero, L.; Ercolini, C.; Caggiano, M.; Rossa, A. Osservazioni preliminary sulla linfocisti in una maricoltura intensive italiana. Riv. Ital. Piscic. Ittiopatologia 1986, 21, 70–74. [Google Scholar]
- Moate, R.M.; Harris, J.E.; McMahon, S. Lymphocystis infections in cultured gilt-head sea bream (Sparus aurata) in the Aegean Sea. Bull. Eur. Ass. Fish Pathol. 1992, 12, 134–136. [Google Scholar]
- Haddad-Boubaker, S.; Bouzgarou, N.; Fakhfakh, E.; Khayech, M.; Mohamed, S.B.; Megdich, A.; Ben-Chehida, N. Detection and genetic characterization of lymphocystis disease virus (LCDV) isolated during disease outbreaks in cultured gilt-head sea bream Sparus aurata in Tunisia. Fish Pathol. 2013, 48, 101–104. [Google Scholar] [CrossRef]
- Yoshimizu, M. Control strategy for diseases of salmonid fish and flounder. In Biosecurity in Aquaculture Production Systems: Exclusion of Pathogens and Other Undesirables; Lee, C.S., O’Bryen, P.J., Eds.; World Aquaculture Society: Baton Rouge, LA, USA, 2003; pp. 35–41. [Google Scholar]
- Cano, I.; Valverde, E.J.; García-Rosado, E.; Alonso, M.C.; López-Jimena, B.; Ortiz-Delgado, J.B.; Borrego, J.J.; Sarasquete, C.; Castro, D. Transmission of lymphocystis disease virus to cultured gilthead seabream, Sparus aurata L., larvae. J. Fish Dis. 2013, 36, 569–576. [Google Scholar] [CrossRef] [PubMed]
- Valverde, E.J.; Labela, A.M.; Borrego, J.J.; Castro, D. Artemia spp., a susceptible host and vector for lymphocystis disease virus. Viruses 2019, 11, 506. [Google Scholar] [CrossRef] [PubMed]
- López-Bueno, A.; Mavian, C.; Labella, A.M.; Castro, D.; Borrego, J.J.; Alcami, A.; Alejo, A. Concurrence of iridovirus, polyomavirus, and a unique member of a new group of fish papillomaviruses in lymphocystis disease-affected gilthead sea bream. J. Virol. 2016, 90, 2768–8779. [Google Scholar] [CrossRef]
- Chinchar, V.G.; Hick, P.; Ince, I.A.; Jancovich, J.K.; Marschang, R.; Qin, Q.; Subramaniam, K.; Waltzek, T.B. ICTV virus taxonomy: Iridoviridae. J Gen Virol. 2017, 98, 890–891. [Google Scholar] [CrossRef]
- Cano, I.; Ferro, P.; Alonso, M.C.; Bergmann, S.M.; Römer-Oberdörfer, A.; Garcia-Rosado, E.; Castro, D.; Borrego, J.J. Development of molecular techniques for detection of lymphocystis disease virus in different marine fish species. J. Appl. Microbiol. 2007, 102, 32–40. [Google Scholar] [CrossRef]
- Valverde, E.J.; Cano, I.; Labella, A.; Borrego, J.J.; Castro, D. Application of a new real-time polymerase chain reaction assay for surveillance studies of lymphocystis disease virus in farmed gilthead seabream. BMC. Vet. Res. 2016, 12, 71. [Google Scholar] [CrossRef]
- Valverde, E.J.; Borrego, J.J.; Sarasquete, M.C.; Ortiz-Delgado, J.B.; Castro, D. Target organs for lymphocystis disease virus replication in gilthead seabream (Sparus aurata). Vet. Res. 2017, 48, 21. [Google Scholar] [CrossRef]
- Cano, I.; Ferro, P.; Alonso, M.C.; Sarasquete, C.; García-Rosado, E.; Borrego, J.J.; Castro, D. Application of in situ detection techniques to determine the systemic condition of lymphocystis disease virus infection in cultured gilt-head seabream, Sparus aurata L. J. Fish Dis. 2009, 32, 143–150. [Google Scholar] [CrossRef] [PubMed]
- Secombes, C. Will advances in fish immunology change vaccination strategies? Fish Shellfish Immunol. 2008, 25, 409–416. [Google Scholar] [CrossRef] [PubMed]
- Brudeseth, B.E.; Wiulsrød, R.; Fredriksen, B.N.; Lindmo, K.; Løkling, K.E.; Bordevik, M.; Nils, S.; Klevan, A.; Gravningen, K. Status and future perspective of vaccine for industrialised fin-fish farming. Fish Shellfish Immunol. 2013, 35, 1759–1768. [Google Scholar] [CrossRef] [PubMed]
- Collins, C.; Lorenzen, N.; Collet, B. DNA vaccination for finfish aquaculture. Fish Shellfish Immunol. 2019, 85, 106–125. [Google Scholar] [CrossRef]
- Cui, Z. DNA vaccine. Adv. Genet. 2005, 54, 257–289. [Google Scholar] [CrossRef]
- Evensen, Ø.; Leong, J.C. DNA vaccine against viral diseases of farmed fish. Fish Shellfish Immunol. 2013, 35, 1751–1758. [Google Scholar] [CrossRef]
- Dalmo, R.A. DNA vaccine for fish: Review and perspectives on correlates of protection. J. Fish Dis. 2017, 41, 1–9. [Google Scholar] [CrossRef]
- Zheng, F.R.; Sun, X.Q.; Liu, H.Z.; Zhang, J.X. Study on the distribution and expression of a DNA vaccine against lymphocystis disease virus in Japanese flounder (Paralichthys olivaceus). Aquaculture 2006, 261, 1128–1134. [Google Scholar] [CrossRef]
- Tian, J.Y.; Sun, X.Q.; Chen, X.G. Formation and oral administration of alginate microspheres loaded with pDNA coding for lymphocystis disease virus (LCDV) to Japanese flounder. Fish Shellfish Immunol. 2008, 24, 592–599. [Google Scholar] [CrossRef]
- Zheng, F.; Sun, X.; Liu, H.; Wu, X.; Zhong, N.; Wang, B.; Zhou, G. Distribution and expression in vitro and in vivo of DNA vaccine against lymphocystis disease virus in Japanese flounder (Paralichthys olivaceus). Chin. J. Oceanol. Limn. 2010, 28, 67–74. [Google Scholar] [CrossRef]
- Leiva-Rebollo, R.; Labella, A.M.; Borrego, J.J.; Castro, D. Immune gene expression in gilthead seabream (Sparus aurata) after Lymphocystis disease virus (LCDV-Sa) challenge resulting in asymptomatic infection. J. Appl. Microbiol. 2019, 128, 41–53. [Google Scholar] [CrossRef]
- Alonso, M.C.; Cano, I.; Garcia-Rosado, E.; Castro, D.; Lamas, J.; Barja, J.L.; Borrego, J.J. Isolation of lymphocystis disease virus from sole, Solea senegalensis Kaup, and blackspot sea bream, Pagellus bogaraveo (Brünnich). J. Fish Dis. 2005, 28, 221–228. [Google Scholar] [CrossRef] [PubMed]
- Valverde, E.J.; Borrego, J.J.; Castro, D. Evaluation of an integrated cell culture RT-PCR assay to detect and quantify infectious lymphocystis disease virus. J. Virol. Methods 2016, 238, 62–65. [Google Scholar] [CrossRef] [PubMed]
- Labella, A.M.; Garcia-Rosado, E.; Bandín, I.; Dopazo, C.P.; Castro, D.; Alonso, M.C.; Borrego, J.J. Transcriptomic profiles of Senegalese sole infected with nervous necrosis virus reassortants presenting different degree of virulence. Front. Immunol. 2018, 9, 1626. [Google Scholar] [CrossRef] [PubMed]
- Classen, D.C.; Morningstar, J.M.; Shanley, J.D. Detection of antibody to murine cytomegalovirus by enzyme-linked immunosorbent and indirect immunofluorescence assays. J. Clin. Microbiol. 1987, 25, 600–604. [Google Scholar] [CrossRef]
- Cano, I.; Lopez-Jimena, B.; Garcia-Rosado, E.; Ortiz-Delgado, J.B.; Alonso, M.C.; Borrego, J.J.; Sarasquete, M.C.; Castro, D. Detection and persistence of lymphocystivirus disease in Artemia sp. Aquaculture 2009, 291, 230–236. [Google Scholar] [CrossRef]
- Yoshimizu, M. Control strategy for viral diseases of salmonid fish, flounders and shrimp at hatchery and seed production facility in Japan. Fish Pathol. 2009, 44, 9–13. [Google Scholar] [CrossRef][Green Version]
- Lorenzen, N.; LaPatra, S.E. DNA vaccines for aquacultured fish. Rev. Sci. Tech. 2005, 24, 201–213. [Google Scholar] [CrossRef]
- Kim, T.J.; Jung, T.S.; Lee, J.I. Expression and serological application of a capsid protein of an iridovirus isolated from rock bream, Oplegnathus fasciatus (Temminck & Schlegel). J. Fish Dis. 2007, 30, 691–699. [Google Scholar] [CrossRef] [PubMed]
- Liu, H.I.; Chiou, P.P.; Gong, H.Y.; Chou, H.Y. Cloning of the major capsid protein (MCP) of grouper iridovirus of Taiwan (TGIV) and preliminary evaluation of a recombinant MCP vaccine against TGIV. J. Mol. Sci. 2015, 16, 28647–28656. [Google Scholar] [CrossRef] [PubMed]
- Jang, H.B.; Kim, Y.R.; Cha, I.S.; Noh, S.W.; Park, S.B.; Ohtani, M.; Hikima, J.; Aoki, T.; Jung, T.S. Detection and antigenic proteins expressed by lymphocystis virus as vaccine candidates in olive flounder, Paralichthys olivaceus (Temminck & Schlegel). J. Fish Dis. 2011, 34, 555–562. [Google Scholar] [CrossRef] [PubMed]
- Tian, J.; Yu, J. Poly(lactic-co-glycolic acid) nanoparticles as candidate DNA vaccine carrier for oral immunization of Japanese flounder (Paralichthys olivaceus) against lymphocystis disease virus. Fish Shellfish. Immunol. 2011, 30, 109–117. [Google Scholar] [CrossRef]
- Caipang, C.M.A.; Takano, T.; Hirono, I.; Aoki, T. Genetic vaccines protect read seabream, Pagrus major, upon challenge with read seabream iridovius (RSIV). Fish Shellfish Immunol. 2006, 21, 130–138. [Google Scholar] [CrossRef]
- Fu, X.; Li, N.; Lin, O.; Guo, H.; Zhang, D.; Lui, L.; Wu, S. Protective immunity against infectious spleen and kidney necrosis virus induced by immunization with DNA plasmid containing mcp gene in Chinese perch Siniperca chuatsi. Fish Shellfish Immunol. 2014, 40, 259–266. [Google Scholar] [CrossRef]
- Rahman, A.; Maclean, N. Fish transgene expression by direct injection into fish muscle. Mol. Mar. Biol. Biotechnol. 1992, 1, 286–289. [Google Scholar]
- Seternes, T.; Tonheim, T.C.; Løvoll, M.; Bøgwald, J.; Dalmo, R.A. Specific endocytosis and degradation of naked DNA in the endocardial cells of cod (Gadus morhua L.). J. Exp. Biol. 2007, 210, 2091–2103. [Google Scholar] [CrossRef]
- Tonheim, T.C.; Dalmo, R.A.; Bogwald, J.; Seternes, T. Specific uptake of plasmid DNA without reporter gene expression in Atlantic salmon (Salmo salar L.) kidney after intramuscular administration. Fish Shellfish Immunol. 2008, 24, 90–101. [Google Scholar] [CrossRef]
- Nielsen, C.R.; Holst-Jensen, A.; Løvseth, A.; Berdal, K. Persistence and distribution of intravenously injected DNA in blood and organs of Atlantic salmon (Salmo salar L.). Eur. Food Res. Technol. 2006, 222, 258–265. [Google Scholar] [CrossRef]
- Anderson, E.D.; Mourich, D.V.; Leong, J.C. Gene expression in rainbow trout (Oncorhynchus mykiss) following intramuscular injection of DNA. Mol. Mar. Biol. Biotechnol. 1996, 5, 105–113. [Google Scholar] [PubMed]
- Anderson, E.D.; Mourich, D.V.; Fahrenkrug, S.C.; LaPatra, S.; Shepherd, J.; Leong, J.A. Genetic immunization of rainbow trout (Oncorhynchus mykiss) against infectious hempatopoietic necrosis virus. Mol. Mar. Biol. Biotechnol. 1996, 5, 114–122. [Google Scholar] [PubMed]
- Heppell, J.; Lorenzen, N.; Armstrong, N.K.; Wu, T.; Lorenzen, E.; Einer-Jensen, K.; Schorr, J.; Davis, H.L. Development of DNA vaccine for fish: Vector design, intramuscular injection and antigen expression using viral haemorrhagic septicaemia virus genes as model. Fish Shellfish Immunol. 1998, 8, 271–286. [Google Scholar] [CrossRef]
- Sommerset, I.; Lorenzen, E.; Lorenzen, N.; Bleie, H.; Nerland, A.H. A DNA vaccine directed against a rainbow trout rhabdovirus induces early protection against a nodavirus challenge in turbot. Vaccine 2003, 21, 4661–4667. [Google Scholar] [CrossRef]
- Restifo, N.P.; Ying, H.; Hwang, L.; Leitner, W.W. The promise of nucleic acid vaccine. Gene Ther. 2000, 7, 89–92. [Google Scholar] [CrossRef] [PubMed]
- Krieg, A.M. Immune effects and mechanisms of action of CpG motifs. Vaccine 2000, 19, 618–622. [Google Scholar] [CrossRef]
- Medzhitov, R.; Janeway, J.C. The Toll receptor family and microbial recognition. Trends Microbiol. 2000, 8, 452–456. [Google Scholar] [CrossRef]
- Honda, K.; Takaoka, A.; Taniguchi, T. Type I interferon gene induction by the interferon regulatory factor family of transcription factors. Immunity 2006, 25, 349–360. [Google Scholar] [CrossRef] [PubMed]
- Fernández-Trujillo, M.A.; García-Rosado, E.; Alonso, M.C.; Castro, D.; Álvarez, M.C.; Béjar, J. Mx1, Mx2 and Mx3 proteins from the gilthead seabream (Sparus aurata) show in vitro antiviral activity against RNA and DNA viruses. Mol. Immunol. 2013, 56, 630–636. [Google Scholar] [CrossRef]
- Hu, G.; Yin, X.; Lou, H.; Xia, J.; Dong, X.; Zhang, J.; Liu, Q. Interferon regulatory factor 3 (IRF-3) in Japanese flounder, Paralichthys olivaceus: Sequencing, limited tissue distribution, inducible expression and induction of fish type I interferon promoter. Dev. Comp. Immunol. 2011, 35, 164–173. [Google Scholar] [CrossRef] [PubMed]
- Dunkelberger, J.R.; Song, W. Complement and its role in innate and adaptive immune responses. Cell Res. 2010, 20, 34–50. [Google Scholar] [CrossRef]
- Ricklin, D.; Reis, E.S.; Mastellos, C.M.; Gros, P.; Lambris, J.D. Complement component C3-The “Swiss Army Knife” of innate immunity and host defense. Immunol. Rev. 2016, 247, 33–58. [Google Scholar] [CrossRef]
- Wu, R.; Sheng, X.; Tang, X.; Xing, J.; Zhan, W. Transcriptome analysis of flounder (Paralichthys olivaceus) gill in response to lymphocystis disease virus (LCDV) infection: Novel insights into fish defense mechanisms. Int. J. Mol. Sci. 2018, 19, 160. [Google Scholar] [CrossRef] [PubMed]
- Rauta, P.R.; Nayak, B.; Das, S. Immune system and immune responses in fish and their role in comparative immunity study: A model for higher organisms. Immunol. Lett. 2012, 148, 23–33. [Google Scholar] [CrossRef] [PubMed]
- Zheng, F.R.; Sun, X.Q.; Xing, M.Q.; Liu, H. Immune response of DNA vaccine against lymphocystis disease virus and expression analysis of immune-related genes after vaccination. Aqua. Res. 2010, 41, 1444–1451. [Google Scholar] [CrossRef]











| Assay | Primers | Sequence (5′–3′) | Amplicon Size |
|---|---|---|---|
| mcp cloning | MCP-F | AAGCTAGCTATGACTTCTGTAGCGG | 1398 bp |
| MCP-R | TATCTAGATCTACAACACAGGGAAACCC | ||
| PCR | pcDNA-MCP-F | CGATTTGGTGGCTCAAAAAT | 767 bp |
| pcDNA-MCP-R | CTGTTTCTACGGGGATGGAA | ||
| nPCR | pcDNA-MCP-nF | ATATGACGCAACCCGTTGAT | 224 bp |
| pcDNA-MCP-nR | TTCTAAATCTCCCGCCGTTA |
Publisher’s Note: MDPI stays neutral with regard to jurisdictional claims in published maps and institutional affiliations. |
© 2021 by the authors. Licensee MDPI, Basel, Switzerland. This article is an open access article distributed under the terms and conditions of the Creative Commons Attribution (CC BY) license (https://creativecommons.org/licenses/by/4.0/).
Share and Cite
Leiva-Rebollo, R.; Castro, D.; Moreno, P.; Borrego, J.J.; Labella, A.M. Evaluation of Gilthead Seabream (Sparus aurata) Immune Response after LCDV-Sa DNA Vaccination. Animals 2021, 11, 1613. https://doi.org/10.3390/ani11061613
Leiva-Rebollo R, Castro D, Moreno P, Borrego JJ, Labella AM. Evaluation of Gilthead Seabream (Sparus aurata) Immune Response after LCDV-Sa DNA Vaccination. Animals. 2021; 11(6):1613. https://doi.org/10.3390/ani11061613
Chicago/Turabian StyleLeiva-Rebollo, Rocío, Dolores Castro, Patricia Moreno, Juan J. Borrego, and Alejandro M. Labella. 2021. "Evaluation of Gilthead Seabream (Sparus aurata) Immune Response after LCDV-Sa DNA Vaccination" Animals 11, no. 6: 1613. https://doi.org/10.3390/ani11061613
APA StyleLeiva-Rebollo, R., Castro, D., Moreno, P., Borrego, J. J., & Labella, A. M. (2021). Evaluation of Gilthead Seabream (Sparus aurata) Immune Response after LCDV-Sa DNA Vaccination. Animals, 11(6), 1613. https://doi.org/10.3390/ani11061613

