Sign in to use this feature.

Years

Between: -

Subjects

remove_circle_outline
remove_circle_outline
remove_circle_outline
remove_circle_outline
remove_circle_outline
remove_circle_outline
remove_circle_outline
remove_circle_outline
remove_circle_outline

Journals

remove_circle_outline
remove_circle_outline
remove_circle_outline
remove_circle_outline
remove_circle_outline
remove_circle_outline
remove_circle_outline
remove_circle_outline
remove_circle_outline
remove_circle_outline
remove_circle_outline
remove_circle_outline

Article Types

Countries / Regions

remove_circle_outline
remove_circle_outline
remove_circle_outline
remove_circle_outline
remove_circle_outline

Search Results (825)

Search Parameters:
Keywords = Hg2+-selectivity

Order results
Result details
Results per page
Select all
Export citation of selected articles as:
9 pages, 1364 KB  
Communication
Multiband Infrared Photodetection Based on Colloidal Quantum Dot
by Yingying Xu, Xiaomeng Xue, Lixiong Wu, Zhikai Gan, Menglu Chen and Qun Hao
Photonics 2026, 13(1), 89; https://doi.org/10.3390/photonics13010089 - 20 Jan 2026
Abstract
Multispectral infrared detection plays a crucial role in advanced applications spanning environmental monitoring, military surveillance, and biomedical diagnostics, offering superior target identification accuracy compared to single-band imaging techniques. In this work, we synthesized four distinct bands of colloidal quantum dots (CQDs)—specifically, a cut-off [...] Read more.
Multispectral infrared detection plays a crucial role in advanced applications spanning environmental monitoring, military surveillance, and biomedical diagnostics, offering superior target identification accuracy compared to single-band imaging techniques. In this work, we synthesized four distinct bands of colloidal quantum dots (CQDs)—specifically, a cut-off of 1.3 µm with PbS CQDs and 1.8 µm, 2.6 µm, and 3.5 µm with HgTe CQDs—and employed them to construct planar multiband infrared photodetectors. The device exhibited a clear photoresponse at room temperature from 0.8 µm to 3.5 µm, with responsivity of 5.39 A/W and specific detectivity of 2.01 × 1011 Jones at 1.8 µm. This materials–device co-design strategy integrates wavelength-selective CQD synthesis with planar pixel-level patterning, providing a versatile pathway for developing low-cost, solution-processed, multiband infrared photodetectors. Full article
(This article belongs to the Special Issue New Perspectives in Micro-Nano Optical Design and Manufacturing)
Show Figures

Figure 1

11 pages, 1026 KB  
Article
Effects of N3SA Analogues on Cerebral and Peripheral Arteriolar Vasomotion in Spontaneously Hypertensive Rats
by Dominga Lapi, Giuseppe Federighi, Maria Paola Tramonti Fantozzi, Gianpiero Garau and Rossana Scuri
Int. J. Mol. Sci. 2026, 27(2), 1006; https://doi.org/10.3390/ijms27021006 - 20 Jan 2026
Abstract
Thiazides are among the most efficacious and commonly used drugs for the treatment of hypertension. The nanomolar stabilizer N3SA binds specifically to the recently discovered thiazide-binding site of the membrane target NAPE-PLD, showing sustained arterial blood pressure-lowering effects and vasodilation in spontaneous hypertensive [...] Read more.
Thiazides are among the most efficacious and commonly used drugs for the treatment of hypertension. The nanomolar stabilizer N3SA binds specifically to the recently discovered thiazide-binding site of the membrane target NAPE-PLD, showing sustained arterial blood pressure-lowering effects and vasodilation in spontaneous hypertensive rats (SHRs). To further support the relation between stabilizers anchored to NAPE-PLD and their beneficial effects on hypertension, we selected compound analogues of N3SA with chemical modifications at the three target-interacting sulfonic groups, including the drug Suramin. Each compound was injected i.v in an adult SHR (systolic blood pressure of 217 ± 5 mmHg) to evaluate the frequency components contribution to cerebral and peripheral arteriolar vasomotion. We visualized the pial and rectus femoral muscle microcirculation by Epi-illumination, measuring changes in the rhythmic arteriolar diameter. Findings showed that the minor structural differences in compounds correlated with the contribution of the six different frequency components affecting the arterial tone, as well as their vasodilatory effects, in both cerebral and femoral muscle arterioles. These results provide evidence that the spectra analysis of the regulation mechanisms of vascular tone and arterial blood pressure can accurately reflect the structure–activity correlations of different analogues of an antihypertensive compound. Full article
Show Figures

Figure 1

41 pages, 13494 KB  
Review
Advances in Targeting BCR-ABLT315I Mutation with Imatinib Derivatives and Hybrid Anti-Leukemic Molecules
by Aleksandra Tuzikiewicz, Wiktoria Wawrzyniak, Andrzej Kutner and Teresa Żołek
Molecules 2026, 31(2), 341; https://doi.org/10.3390/molecules31020341 - 19 Jan 2026
Abstract
Resistance to imatinib remains a therapeutic challenge, largely driven by point mutations within the kinase domain of the BCR-ABL, among which the T315I substitution constitutes the most clinically significant barrier. Ponatinib effectively inhibits this mutant form but is limited by dose-dependent cardiovascular [...] Read more.
Resistance to imatinib remains a therapeutic challenge, largely driven by point mutations within the kinase domain of the BCR-ABL, among which the T315I substitution constitutes the most clinically significant barrier. Ponatinib effectively inhibits this mutant form but is limited by dose-dependent cardiovascular toxicity, prompting efforts to develop safer and more selective agents. Recent advances highlight aminopyrimidine-derived scaffolds and their evolution into thienopyrimidines, oxadiazoles, and pyrazines with improved activity against BCR-ABLT315I. Further progress has been achieved with benzothiazole–picolinamide hybrids incorporating a urea-based pharmacophore, which benefit from strategic hinge-region substitutions and phenyl linkers that enhance potency. Parallel research into dual-mechanism inhibitors, including Aurora and p38 kinase modulators, demonstrates additional opportunities for overcoming resistance. Combination strategies, such as vorinostat with ponatinib, provide complementary therapeutic avenues. Natural-product-inspired approaches utilizing fungal metabolites provided structurally diverse scaffolds that could engage sterically constrained mutant kinases. Hybrid molecules derived from approved TKIs, including GNF-7, olverembatinib, and HG-7-85-01, exemplify rational design trends that balance efficacy with improved safety. Molecular modeling continues to deepen understanding of ligand engagement within the T315I-mutated active site, supporting the development of next-generation inhibitors. In this review, we summarized recent progress in the design, optimization, and biological evaluation of small molecules targeting the BCR-ABLT315I mutation. Full article
16 pages, 1753 KB  
Article
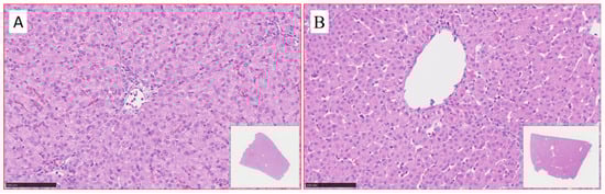
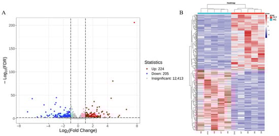
Integrative Analysis of Transcriptome and Metabolome Reveals Molecular Mechanisms Underlying Hepatic Differences Between Zaozhuang Heigai Piglets and Duroc×Landrace×Yorkshire Piglets
by Caitong Wang, Jingxuan Li, Xueyan Zhao, Yanping Wang, Xiaodong Zhu, Fuping Zhao, Chuansheng Zhang, Liying Geng and Jiying Wang
Agriculture 2026, 16(2), 241; https://doi.org/10.3390/agriculture16020241 - 17 Jan 2026
Viewed by 108
Abstract
Piglets weaning is a critical developmental stage marked by significant metabolic and inflammatory challenges. The hepatic responses during this period may differ among pig breeds with distinct genetic backgrounds. To explore the phenotypic and molecular differences in the livers between the Zaozhuang Heigai [...] Read more.
Piglets weaning is a critical developmental stage marked by significant metabolic and inflammatory challenges. The hepatic responses during this period may differ among pig breeds with distinct genetic backgrounds. To explore the phenotypic and molecular differences in the livers between the Zaozhuang Heigai (HG) pig and Duroc×Landrace×Yorkshire (DLY) piglets and elucidate the regulatory mechanisms of genetic background on liver function, five 35-day-old piglets from each breed were selected. Body weight and liver coefficients were measured; histological features of liver sections were observed, and the transcriptome and metabolome of the liver were determined using mRNA sequencing and non-targeted metabolomics analysis. The results showed that HG piglets had significantly lower body weight (p < 0.01) and slightly higher liver coefficients than DLY piglets. Histological examination revealed that the hepatic lobule structure was intact in both breeds, while mild hepatic congestion was observed in some DLY piglets. Transcriptome analysis identified 429 differentially expressed genes (DEGs) with criteria of FDR adjusted p-values < 0.01 and |log2(Fold Change)| > 1, and they were significantly enriched in oxidoreductase activity, peroxisome proliferator-activated receptor (PPAR) signaling, and arachidonic acid metabolism pathways. Metabolome analysis identified 169 differentially expressed metabolites (DEMs) with criteria of p < 0.05, VIP > 1, and |log2(Fold Change)| > 1, and they were significantly enriched in nucleotide metabolism, arginine biosynthesis, and arachidonic acid metabolism pathways. Integrative analysis of DEGs and DEMs showed that arachidonic acid metabolism was the common pathway. Within this pathway, key genes (GPX3, ALOX5, and CBR3) were significantly associated with specific metabolites (15-deoxy-PGJ2 and phosphatidylcholines) (FDR adjusted p < 0.05), suggesting a gene–metabolite interaction network that coordinates inflammatory regulation and oxidative stress. These findings provide molecular evidence for breed-specific hepatic metabolic regulation during the weaning period and are therefore conducive to the management of weaned piglets and the investigation of local pig characteristics. Full article
(This article belongs to the Section Farm Animal Production)
Show Figures

Figure 1

40 pages, 2989 KB  
Systematic Review
The Genus Leccinum: Global Advances in Taxonomy, Ecology, Nutritional Value, and Environmental Significance
by Ruben Budau, Simona Ioana Vicas, Mariana Florica Bei, Danut Aurel Dejeu, Lucian Dinca and Danut Chira
J. Fungi 2026, 12(1), 70; https://doi.org/10.3390/jof12010070 - 16 Jan 2026
Viewed by 349
Abstract
Leccinum is an ecologically significant and taxonomically complex genus of ectomycorrhizal fungi widely distributed across boreal, temperate, Mediterranean, and selected tropical regions. Despite its ecological, nutritional, and applied importance, no comprehensive review has previously synthesized global knowledge on this genus. This work provides [...] Read more.
Leccinum is an ecologically significant and taxonomically complex genus of ectomycorrhizal fungi widely distributed across boreal, temperate, Mediterranean, and selected tropical regions. Despite its ecological, nutritional, and applied importance, no comprehensive review has previously synthesized global knowledge on this genus. This work provides the first integrative assessment of Leccinum research, combining a bibliometric analysis of 293 peer-reviewed publications with an in-depth qualitative synthesis of ecological, biochemical, and environmental findings. Bibliometric results show increasing scientific attention since the mid-20th century, with major contributions from Europe, Asia, and North America, and dominant research themes spanning taxonomy, ecology, chemistry, and environmental sciences. The literature review highlights substantial advances in phylogenetic understanding, species diversity, and host specificity. Leccinum forms ectomycorrhizal associations with over 60 woody host genera, underscoring its functional importance in forest ecosystems. Nutritionally, Leccinum species are rich in proteins, carbohydrates, minerals, bioactive polysaccharides, phenolic compounds, and umami-related peptides, with demonstrated antioxidant, immunomodulatory, and antitumor activities. At the same time, the genus exhibits notable bioaccumulation capacity for heavy metals (particularly Hg, Cd, and Pb) and radionuclides, making it both a valuable food source and a sensitive environmental bioindicator. Applications in biotechnology, environmental remediation, forest restoration, and functional food development are emerging but remain insufficiently explored. Identified research gaps include the need for global-scale phylogenomic frameworks, expanded geographic sampling, standardized biochemical analyses, and deeper investigation into physiological mechanisms and applied uses. This review provides the first holistic synthesis of Leccinum, offering an integrated perspective on its taxonomy, ecology, nutritional composition, environmental significance, and practical applications. The findings serve as a foundation for future mycological, ecological, and biotechnological research on this diverse and understudied fungal genus. Full article
(This article belongs to the Special Issue Research Progress on Edible Fungi)
Show Figures

Figure 1

13 pages, 768 KB  
Article
Predicting Cardiovascular Collapse in Critically Ill Patients During Intubation Induction: A Prospective Observational Study
by Ömer Emgin, Gamze Taşkan, Aytuğ Yıldız, İmren Taşkıran, Engin Haftacı, Adnan Ata and Mehmet Yılmaz
Medicina 2026, 62(1), 177; https://doi.org/10.3390/medicina62010177 - 15 Jan 2026
Viewed by 82
Abstract
Background and Objectives: The study aimed to evaluate the predictive significance of Shock Indices and induction agents in predicting the risk of Peri-Intubation Cardiovascular Collapse (PIC) during intubation in the ICU. Materials and Methods: A total of 130 patients were analyzed in the [...] Read more.
Background and Objectives: The study aimed to evaluate the predictive significance of Shock Indices and induction agents in predicting the risk of Peri-Intubation Cardiovascular Collapse (PIC) during intubation in the ICU. Materials and Methods: A total of 130 patients were analyzed in the study after dividing them into 2 groups based on the definition of PIC as Patients with PIC and Non-PIC Patients. PIC was defined as the detection of at least SBP < 65 mmHg measured at least once within 30 min after the intubation, SBP < 90 mmHg for 30 min, initiation of norepinephrine treatment, increasing the norepinephrine dose taken before the intubation, increasing SBP to >90 mmHg with >15 mL/kg crystalloid fluid infusion, or development of cardiac arrest. The relationship between Shock Index (SI), Diastolic Shock Index (DSI), Modified Shock Index (MSI), Age Shock Index (Age-SI), and induction agents (ketamine, propofol) and PIC was evaluated. Results: The PIC was detected in 62 patients (47.7%). Age-SI showed the highest predictive performance (AUC = 0.686, p < 0.001). Ketamine provided a protective effect (OR = 0.161, p = 0.003). Propofol (OR = 2.962, p = 0.048), age (OR = 1.065, p = 0.002), lactate (OR = 1.265, p = 0.047), and DSI (OR = 2.300, p = 0.037) were identified as independent risk factors. ICU mortality was significantly higher in the PIC group (74.2% vs. 20.6%, p < 0.001). Conclusions: Age, lactate, DSI, and Age-SI are valuable predictive parameters for PIC. Ketamine reduces the risk of PIC, while propofol increases it. These results support evidence-based risk assessment and induction agent selection in ICU intubation protocols. Full article
(This article belongs to the Section Intensive Care/ Anesthesiology)
Show Figures

Figure 1

31 pages, 1252 KB  
Review
Current Pharmacotherapeutic Strategies in Diffuse Gliomas: Focus on Glioblastoma, IDH-Wildtype, and Emerging Targeted Therapies for IDH-Mutant Tumors
by Klaudia Dynarowicz, Barbara Smolak, Dorota Bartusik-Aebisher, Wiesław Guz, Gabriela Henrykowska and David Aebisher
Pharmaceuticals 2026, 19(1), 148; https://doi.org/10.3390/ph19010148 - 14 Jan 2026
Viewed by 140
Abstract
Glioblastoma, isocitrate dehydrogenase (IDH1/2) wild-type (IDH-wildtype), is one of the most aggressive and malignant tumors of the central nervous system, characterized by rapid growth, pronounced cellular heterogeneity, and an exceptionally poor prognosis. The median survival time for patients with glioblastoma, IDH-wildtype, [...] Read more.
Glioblastoma, isocitrate dehydrogenase (IDH1/2) wild-type (IDH-wildtype), is one of the most aggressive and malignant tumors of the central nervous system, characterized by rapid growth, pronounced cellular heterogeneity, and an exceptionally poor prognosis. The median survival time for patients with glioblastoma, IDH-wildtype, is approximately 15 months after diagnosis, and current multimodal treatment strategies remain largely ineffective. This review focuses on contemporary pharmacotherapeutic approaches used in the management of glioblastoma, IDH-wildtype, including temozolomide-based chemotherapy, corticosteroids for edema control, and antiangiogenic therapy in recurrent disease, with particular emphasis on their clinical efficacy and limitations. In addition, the review discusses emerging targeted therapeutic strategies developed for IDH-mutant diffuse gliomas, which represent a biologically distinct disease entity. Particular attention is given to ivosidenib, a selective inhibitor of mutant IDH1, currently evaluated for the treatment of astrocytoma, IDH-mutant, grade 4. Its epigenetic mechanism of action, involving inhibition of the oncometabolite 2-hydroxyglutarate (2-HG), is outlined, along with preliminary clinical evidence suggesting potential to delay disease progression. Finally, innovative drug-delivery technologies designed to overcome the blood–brain barrier are briefly discussed as complementary strategies that may enhance the efficacy of both conventional and targeted therapies. Overall, future advances in the treatment of diffuse gliomas will likely depend on the integration of molecularly targeted agents, predictive biomarkers, and advanced delivery platforms aimed at improving patient survival and quality of life. Full article
(This article belongs to the Special Issue Advances in Medicinal Chemistry: 2nd Edition)
Show Figures

Figure 1

22 pages, 2159 KB  
Article
Association of Mobile-Enhanced Remote Patient Monitoring with Blood Pressure Control in Hypertensive Patients with Comorbidities: A Multicenter Pre–Post Evaluation
by Ashfaq Ullah, Irfan Ahmad and Wei Deng
Diagnostics 2026, 16(2), 244; https://doi.org/10.3390/diagnostics16020244 - 12 Jan 2026
Viewed by 256
Abstract
Background and Objectives: Hypertension affects more than 27% of adults in China, and despite ongoing public health efforts, substantial gaps remain in awareness, treatment, and blood pressure control, particularly among older adults and patients with multiple comorbidities. Conventional clinic-based care often provides limited [...] Read more.
Background and Objectives: Hypertension affects more than 27% of adults in China, and despite ongoing public health efforts, substantial gaps remain in awareness, treatment, and blood pressure control, particularly among older adults and patients with multiple comorbidities. Conventional clinic-based care often provides limited opportunity for frequent monitoring and timely treatment adjustment, which may contribute to persistent poor control in routine practice. The objective of this study was to evaluate changes in blood pressure control and related clinical indicators during implementation of a mobile-enhanced remote patient monitoring (RPM)–supported care model among hypertensive patients with comorbidities, including patterns of medication adjustment, adherence, and selected cardiometabolic parameters. Methods: We conducted a multicenter, pre–post evaluation of a mobile-enhanced remote patient monitoring (RPM) program among 6874 adults with hypertension managed at six hospitals in Chongqing, China. Participants received usual care during the pre-RPM phase (April–September 2024; clinic blood pressure measured using an Omron HEM-7136 device), followed by an RPM-supported phase (October 2024–March 2025; home blood pressure measured twice daily using connected A666G monitors with automated transmission via WeChat, medication reminders, and clinician follow-up). Given the use of different devices and measurement settings, blood pressure comparisons may be influenced by device- and setting-related measurement differences. Monthly blood pressure averages were calculated from all available readings. Subgroup analyses explored patterns by sex, age, baseline BP category, and comorbidity status. Results: The cohort was 48.9% male with a mean age of 66.9 ± 13.7 years. During the RPM-supported care period, the proportion meeting the study’s blood pressure control threshold increased from 62.4% (pre-RPM) to 90.1%. Mean systolic blood pressure decreased from 140 mmHg at baseline to 116–118 mmHg at 6 months during the more frequent monitoring and active treatment adjustment period supported by RPM (p < 0.001), alongside modest reductions in fasting blood glucose and total cholesterol. These achieved SBP levels are below commonly recommended office targets for many older adults (typically <140 mmHg for ages 65–79, with individualized lower targets only if well tolerated; and less stringent targets for adults ≥80 years) and therefore warrant cautious interpretation and safety contextualization. Medication adherence improved, and antihypertensive regimen intensity increased during follow-up, suggesting that more frequent monitoring and active treatment adjustment contributed to the early blood pressure decline. Subgroup patterns were broadly similar across age and baseline BP categories; observed differences by sex and comorbidity groups were exploratory. Conclusions: In this large multicenter pre–post study, implementation of an RPM-supported hypertension care model was associated with substantial improvements in blood pressure control and concurrent intensification of guideline-concordant therapy. Given the absence of a concurrent control group, clinic-to-home measurement differences, and concurrent medication changes, findings should be interpreted as associations observed during an intensified monitoring and treatment period rather than definitive causal effects of RPM technology alone. Pragmatic randomized evaluations with standardized measurement protocols, longer follow-up, and cost-effectiveness analyses are warranted. Full article
Show Figures

Figure 1

10 pages, 303 KB  
Article
Real World Comparison of Direct Selective Laser Trabeculoplasty Versus Selective Laser Trabeculoplasty: 12-Month Retrospective Study of a Tertiary Center in the UK
by Piero Zollet, Federico Macario, Rachel Healy, Demetri T. Manasses, Rani T. Sebastian and Mario R. Romano
Biomedicines 2026, 14(1), 156; https://doi.org/10.3390/biomedicines14010156 - 12 Jan 2026
Viewed by 204
Abstract
Background: Direct selective laser trabeculoplasty (DSLT) is a novel option for intraocular pressure (IOP) control in patients with glaucoma or ocular hypertension. The automated and touchless translimbal delivery of laser energy to 360 degrees of the trabecular meshwork (TM) improves aqueous outflow and [...] Read more.
Background: Direct selective laser trabeculoplasty (DSLT) is a novel option for intraocular pressure (IOP) control in patients with glaucoma or ocular hypertension. The automated and touchless translimbal delivery of laser energy to 360 degrees of the trabecular meshwork (TM) improves aqueous outflow and lowers IOP. DSLT is faster, simpler, and less invasive than routinely performed SLT. Few studies have compared the two techniques. Objective: To retrospectively compare the safety and efficacy of DSLT and SLT over a 1-year follow-up period. Methods: In total, 16 eyes that underwent DSLT and 16 eyes that underwent SLT were included. The primary outcome measures were mean absolute and percent IOP reduction, number of medications, and BCVA at 1, 3, 6, and 12 months. Survival analysis on 1-year data was performed based on the presence of one or more of the following failure criteria: (1) IOP > 21 mmHg or less than 20% reduction in IOP from baseline at two consecutive visits; (2) increase in the number of IOP-lowering drops from baseline at two consecutive visits; (3) further procedures. Results: The survival rates in the DSLT vs. SLT group were 81% vs. 78%, 44% vs. 62%, and 37% vs. 43% at 3, 6, and 12 months, respectively. No statistically significant differences were reported. DSLT does not seem inferior to conventional SLT in terms of safety and efficacy in reducing IOP. Conclusions: The advantages of an automated, rapid, contactless technique may enlarge the cohort of patients eligible for a drop-free first-line IOP control procedure. Full article
(This article belongs to the Special Issue Glaucoma: New Diagnostic and Therapeutic Approaches, 3rd Edition)
Show Figures

Figure 1

23 pages, 4558 KB  
Article
Copper Ion Detection Using Green Precursor-Derived Carbon Dots in Aqueous Media
by Chao-Sheng Chen, Miao-Wei Lin and Chin-Feng Wan
Chemosensors 2026, 14(1), 21; https://doi.org/10.3390/chemosensors14010021 - 9 Jan 2026
Viewed by 199
Abstract
Highly accurate quantitative detection of heavy metals is crucial for preventing environmental pollution and safeguarding public health. To address the demand for sensitive and specific detection of Cu2+ ions, we have developed carbon dots using a simple hydrothermal process. The synthesized carbon [...] Read more.
Highly accurate quantitative detection of heavy metals is crucial for preventing environmental pollution and safeguarding public health. To address the demand for sensitive and specific detection of Cu2+ ions, we have developed carbon dots using a simple hydrothermal process. The synthesized carbon dots are highly stable in aqueous media, environmentally friendly, and exhibit strong blue photoluminescence at 440 nm when excited at 352 nm, with a quantum yield of 5.73%. Additionally, the size distribution of the carbon dots ranges from 2.0 to 20 nm, and they feature excitation-dependent emission. They retain consistent optical properties across a wide pH range and under high ionic strength. The photoluminescent probes are selectively quenched by Cu2+ ions, with no interference observed from other metal cations such as Ag+, Ca2+, Cr3+, Fe2+, Fe3+, Hg2+, K+, Mg2+, Sn2+, Pb2+, Sr2+, and Zn2+. The emission of carbon dots exhibits a strong linear correlation with Cu2+ concentration in the range of 0–14 μM via a static quenching mechanism, with a detection limit (LOD) of 4.77 μM in water. The proposed carbon dot sensor is low cost and has been successfully tested for detecting Cu2+ ions in general water samples collected from rivers in Taiwan. Full article
Show Figures

Graphical abstract

11 pages, 6097 KB  
Article
Optimizing Ki-67 and E-Cadherin Thresholds for Improved Grade and Stage Classification in Urothelial Bladder Cancer
by Stefan Harsanyi, Zuzana Varchulova Novakova, Lucia Neuschlova, Stefan Galbavy, Lubos Danisovic, Stanislav Ziaran and Katarina Bevizova
J. Clin. Med. 2026, 15(1), 338; https://doi.org/10.3390/jcm15010338 - 2 Jan 2026
Viewed by 249
Abstract
Background: Bladder cancer exhibits substantial heterogeneity, and accurate discrimination between non-muscle-invasive (NMIBC) and muscle-invasive disease (MIBC), as well as between low-grade (LG) and high-grade (HG) tumors, remains essential for appropriate clinical management. Established immunohistochemical (IHC) markers, such as p53, Ki-67, and E-cadherin, could [...] Read more.
Background: Bladder cancer exhibits substantial heterogeneity, and accurate discrimination between non-muscle-invasive (NMIBC) and muscle-invasive disease (MIBC), as well as between low-grade (LG) and high-grade (HG) tumors, remains essential for appropriate clinical management. Established immunohistochemical (IHC) markers, such as p53, Ki-67, and E-cadherin, could be used in a new setting, but standardized cut-off values and their combined predictive value remain unclear. This study aimed to identify optimal cut-offs for these markers and to evaluate whether biomarker combinations enhance the discrimination of tumor grade and stage. Methods: A retrospective dataset of 568 cases of bladder cancer was analyzed. For each case, the expression of p53, Ki-67, and E-cadherin was quantified, and tumors were classified as NMIBC or MIBC, and as LG or HG. ROC-based cut-off selection was performed using Youden’s J criterion with 10-fold stratified cross-validation. E-cadherin was modelled using an inverted scale to reflect biological loss. Logistic regression models were used to evaluate the discriminatory performance of single markers, two-marker combinations, and a three-marker model. Cross-validated AUC values and optimal thresholds were reported. Results: Ki-67 showed the strongest single-marker performance for predicting both MIBC (AUC 0.842) and HG disease (AUC 0.813), with optimal cut-offs of ≥40% and ≥30%, respectively. p53 demonstrated moderate discrimination (AUC 0.778 for MIBC and 0.776 for HG), while E-cadherin, evaluated on an inverted scale, showed acceptable performance (AUC 0.746 for MIBC; 0.780 for HG). Combining markers yielded modest improvements, with the best performance observed for Ki-67 + E-cadherin (AUCs of 0.851 for MIBC and 0.838 for HG). Conclusions: Ki-67 is the most effective single biomarker for distinguishing invasive and HG bladder cancer, while E-cadherin provides complementary value. A two-marker panel combining Ki-67 and E-cadherin, using appropriate cut-offs, offers the highest overall performance and may serve as a practical tool for enhanced pathological stratification. Full article
(This article belongs to the Special Issue Bladder Cancer: Diagnosis and Treatments)
Show Figures

Figure 1

23 pages, 6499 KB  
Article
Fluorescent Detection Probes for Hg2+ and Zn2+ with Schiff Base Structure Based on a Turn-On ESIPT–CHEF Mechanism
by Huan-Qing Li, Yun Li, Ye-Tong Liu, Si-Wei Deng, Wei Wang, Sheng-Yu Li and Zhao-Yang Wang
Chemosensors 2026, 14(1), 9; https://doi.org/10.3390/chemosensors14010009 - 1 Jan 2026
Viewed by 342
Abstract
Three Schiff base fluorescent probes 3a3c with N-heterocyclic structure were designed and synthesized by using the reaction of 4-diethylaminosalicylaldehyde with different N-heterocyclic amines, such as 2-aminobenzimidazole, 2-aminobenzothiazole, and 2-amino-6-methylpyridine. Compound 3a exhibited excellent selectivity towards Hg2+, with [...] Read more.
Three Schiff base fluorescent probes 3a3c with N-heterocyclic structure were designed and synthesized by using the reaction of 4-diethylaminosalicylaldehyde with different N-heterocyclic amines, such as 2-aminobenzimidazole, 2-aminobenzothiazole, and 2-amino-6-methylpyridine. Compound 3a exhibited excellent selectivity towards Hg2+, with a detection limit of 3.21 × 10−7 M and a response time of only 30 s. It could be used as a fluorescent probe for detecting Hg2+. Meanwhile, compounds 3b and 3c exhibited excellent selectivity towards Zn2+, with detection limits of 1.61 × 10−7 M and 2.03 × 10−7 M, respectively, and response times of only 30 s. They could serve as fluorescent probes for detecting Zn2+. Using probe 3a for Hg2+ as an example, the detecting mechanism was further elucidated through 1H NMR, ESI-MS testing, and DFT calculation analysis. For compound 3a, the coordination stoichiometry between compound 3a and Hg2+ was verified to be 1:1 through a Job’s plot. After coordination with Hg2+, the molecular rigidity of compound 3a was enhanced, which inhibited the non-radiative decay process and led to the closure of the excited-state intramolecular proton transfer (ESIPT) effect. At the same time, the fluorescence intensity was significantly increased through the chelation-enhanced fluorescence (CHEF) mechanism, which was confirmed by density functional theory (DFT) calculations. In addition, compounds 3a3c were successfully applied in practical water samples and test strips for the detection of Hg2+/Zn2+. Full article
(This article belongs to the Special Issue Application of Organic Conjugated Materials in Chemosensors)
Show Figures

Figure 1

17 pages, 3407 KB  
Case Report
An Anatomy-Guided, Stepwise Microsurgical Reconstruction of a Posteriorly Projecting ICA–PCoA Aneurysm Beneath the Optic Apparatus: A Detailed Operative Sequence
by Matei Șerban, Corneliu Toader and Răzvan-Adrian Covache-Busuioc
Diagnostics 2026, 16(1), 124; https://doi.org/10.3390/diagnostics16010124 - 1 Jan 2026
Viewed by 248
Abstract
Background: Posteriorly directed aneurysms at the internal carotid–posterior communicating artery (ICA–PCoA) junction concentrate technical risk at the posteromedial neck where the PCoA origin and perforators exist beneath the optic apparatus. Our aim was to describe, in a reproducible fashion, an anatomy-driven sequence [...] Read more.
Background: Posteriorly directed aneurysms at the internal carotid–posterior communicating artery (ICA–PCoA) junction concentrate technical risk at the posteromedial neck where the PCoA origin and perforators exist beneath the optic apparatus. Our aim was to describe, in a reproducible fashion, an anatomy-driven sequence in the management of a ruptured ICA–PCoA aneurysm that visualized the posterior wall and a closing line parallel to the PCoA axis and which is placed within contemporary practice. Case Presentation: This is a single case study employing predetermined surgical techniques demonstrating a reproducible method of anatomical microsurgery applied to a posterior projecting ICA-PCoA aneurysm. The authors describe a 62-year-old female who was stabilized by nimodipine and aggressive blood pressure control in the systolic range 140–160 mmHg after an aneurysmal subarachnoid hemorrhage. Diagnostic contrast catheter angiography showed a left ICA-PCoA aneurysm of 13.1 × 10.0 mm at the base with a neck of 4.3 mm projecting posteriorly into the carotid–optic cistern. Complete adherence to a protocol of staged techniques was employed for the operation, as detailed below. Step 1: Early cisternal decompression requiring total and immediate relaxation of the temporal lobe, rapidly opening up the carotid–optic anatomical window. Step 2: Circumferential dissection about the neck of the aneurysm permitting definition of the true posteromedial wall and definition of the perforator territories and anterior choroidal territories. Step 3: Brief but effective ICA proximal quiescence (58 s) permitting clipping under direct vision. Step 4: Staged closure of two clips with the closing line of the clips orientated parallel to the axis of the PCoA with maintenance of the diameter of all parent vessels, the origin of the PCoA and the integrity of the perforators. Urgent postoperative digital subtraction angiography (DSA) study showed complete exclusion of the aneurysm with no alteration in flow characteristics, and 3 months later DSA studies again showed permanent obliteration and patency of those branches. The immediate DSA demonstrated complete exclusion of the aneurysm with patent supraclinoid ICA caliber and PCoA ostium, the anterior choroidal artery was preserved; no angiographic vasospasm was identified. The postoperative course was uncomplicated; there was no hydrocephalus, seizure disorder or delayed ischemia. At discharge and three months postprocedure the patient was neurologically intact (Modified Rankin Scale 0). Non-contrast cranial CT (three months) demonstrated stable clip position and no hemorrhagic or ischemic sequelae. Conclusions: In posteriorly projecting ICA–PCoA aneurysms that are disturbed beneath the optic apparatus, an anatomy-guided strategy—early cisternal decompression, true posteromedial neck exposure, brief purposeful quieting of the proximal ICA and two-clip closure parallel to the PCoA in selected cases—may provide the opportunity for durable occlusion whilst the physiology of branching is preserved. We intend for this transparent description to be adopted, refined or discarded based on local anatomy and practice. Full article
(This article belongs to the Special Issue Cerebrovascular Lesions: Diagnosis and Management, 2nd Edition)
Show Figures

Figure 1

22 pages, 726 KB  
Article
Spatial Variation in Cd, Pb, Hg, and Zn Accumulation in Edible Wild-Growing Mushroom Species from Different Environmentally Loaded Areas in Southern Poland: Risk Assessment and Implications for Consumer Safety
by Monika Rusin, Joanna Domagalska, Agnieszka Czendlik, Natalia Wróbel and Anna Kidoń
Toxics 2026, 14(1), 36; https://doi.org/10.3390/toxics14010036 - 29 Dec 2025
Viewed by 443
Abstract
The uptake and accumulation of heavy metals by wild-grown mushrooms is raising health concerns for consumers worldwide with respect to variability conditioned by species and harvesting site specificity. This study aims to evaluate the concentration of elements (Zn) and heavy metals (Cd, Pb, [...] Read more.
The uptake and accumulation of heavy metals by wild-grown mushrooms is raising health concerns for consumers worldwide with respect to variability conditioned by species and harvesting site specificity. This study aims to evaluate the concentration of elements (Zn) and heavy metals (Cd, Pb, Hg) in wild-growing edible mushroom samples (n = 200) collected from industrial and non-industrial areas in Poland. Over half of the analyzed mushroom samples (51%) exceeded EU limits for Cd, Pb, or Hg. Xerocomellus chrysenteron and X. subtomentosus (XCS) showed the highest accumulation, with median Cd and Pb concentrations of 3.53 mg/kg and 0.63 mg/kg fresh mass, respectively, in industrial areas. Spatial factors, including distance from emission sources and wind direction, significantly influenced element accumulation, with Cd levels in XCS up to 20 times higher than in Suillus species. A high-consumption scenario (96 g/day) indicated a substantial non-carcinogenic risk (HQ > 1) from Cd exposure via XCS consumption, both in industrial (HQ up to 9.01) and non-industrial areas (HQ max = 1.80), with cumulative hazard index (HI) ranging from 1.21 to 11.01. It is imperative to select the optimal regions for mushroom harvesting and to refrain from consuming species that accumulate elements to the greatest extent. Full article
(This article belongs to the Section Agrochemicals and Food Toxicology)
Show Figures

Graphical abstract

28 pages, 5749 KB  
Article
Parameter Sensitivity Analysis and Optimization Design of Shield Lateral Shifting Launching Technology Based on Orthogonal Analysis Method
by Xin Ke, Xinyu Tian, Lingwei Lu, Yanmei Ruan, Tong Chen and Huiru Yu
Buildings 2026, 16(1), 105; https://doi.org/10.3390/buildings16010105 - 25 Dec 2025
Viewed by 279
Abstract
As an emerging construction method, the lateral launching technique for shield tunneling can ensure launching safety while significantly reducing disturbances to urban traffic. However, the influence of its design parameters on construction stability and economic performance has not yet been systematically investigated, thereby [...] Read more.
As an emerging construction method, the lateral launching technique for shield tunneling can ensure launching safety while significantly reducing disturbances to urban traffic. However, the influence of its design parameters on construction stability and economic performance has not yet been systematically investigated, thereby limiting its broader application in complex urban environments. To address this gap, this study proposes a comprehensive analytical framework integrating field monitoring, numerical modeling, orthogonal experiments, and regression-based optimization. Relying on a shield lateral launching project in a central urban district of Guangzhou, a systematic investigation is conducted. Field monitoring data are used to verify the reliability of the three-dimensional finite element model, confirming that deformations of both the retaining structures and the surrounding ground remain within a stable and controllable range. On this basis, the orthogonal experimental method is, for the first time, introduced into the parameter sensitivity analysis of the shield lateral launching technique. The analysis reveals the influence ranking of support parameters on surface settlement. Key parameters are then selected for optimization design according to the sensitivity order, followed by a comprehensive evaluation of deformation control effectiveness and economic performance of the optimized scheme. The results show that the deformation of both the retaining structures and the ground during construction remains below the control limits, indicating good structural stability. Among the supporting parameters, the sensitivity coefficients from high to low are the diaphragm wall thickness HW, the grouting reinforcement range HG, the initial support thickness of the lateral-shifting tunnel H1, the initial support thickness of the advance launching tunnel H2, and the elastic modulus of the diaphragm wall EW. Based on the sensitivity ranking, the highly sensitive parameters are selected for optimization, and the optimal parameter combination is determined to be a diaphragm wall thickness of 1000 mm, a grouting reinforcement range of 1600 mm, and an initial support thickness of 100 mm for the lateral-shifting tunnel. This combination meets the safety requirements for surface settlement while effectively reducing material consumption and improving economic performance. The study provides technical and theoretical references for shield launching under complex conditions. Full article
Show Figures

Figure 1

Back to TopTop