Sign in to use this feature.

Years

Between: -

Subjects

remove_circle_outline
remove_circle_outline
remove_circle_outline
remove_circle_outline
remove_circle_outline
remove_circle_outline
remove_circle_outline
remove_circle_outline
remove_circle_outline

Journals

remove_circle_outline
remove_circle_outline
remove_circle_outline
remove_circle_outline
remove_circle_outline
remove_circle_outline

Article Types

Countries / Regions

remove_circle_outline
remove_circle_outline
remove_circle_outline
remove_circle_outline
remove_circle_outline

Search Results (191)

Search Parameters:
Keywords = HED

Order results
Result details
Results per page
Select all
Export citation of selected articles as:
39 pages, 13943 KB  
Article
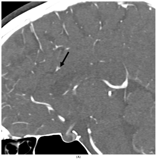
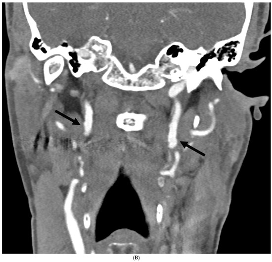
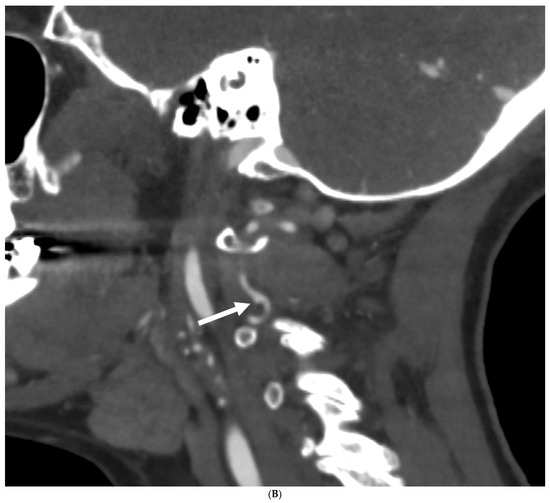
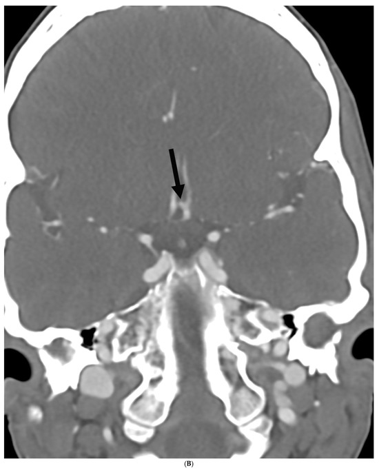
Characterizing Initial Cervical Spine and Neurovascular Findings in 84 Consecutive Patients with Hypermobile Ehlers–Danlos Syndrome: A Retrospective Study
by Ross A. Hauser, Morgan Griffiths, Ashley Watterson, Danielle Matias and Benjamin R. Rawlings
J. Clin. Med. 2026, 15(6), 2212; https://doi.org/10.3390/jcm15062212 (registering DOI) - 14 Mar 2026
Abstract
Background: Hypermobile Ehlers–Danlos syndrome (hEDS) can present as a complex interplay of widespread symptomatology and multisystem involvement, posing diagnostic and treatment challenges. Objective characterization of cervical spine and neurovascular findings in hEDS has been limited. Previous studies have emphasized upper cervical spine [...] Read more.
Background: Hypermobile Ehlers–Danlos syndrome (hEDS) can present as a complex interplay of widespread symptomatology and multisystem involvement, posing diagnostic and treatment challenges. Objective characterization of cervical spine and neurovascular findings in hEDS has been limited. Previous studies have emphasized upper cervical spine complications in hEDS, yet the relevance and mechanisms underlying associated symptomatology have not been elucidated. This study examined objective test findings in patients with hEDS at an outpatient neck clinic to explore cervical spine and neurovascular pathology that could contribute to further understanding the clinical profile of a subset of patients with hEDS. Methods: This single-center, retrospective observational study included patients with hEDS aged 20–50 years from 1 January 2022–31 December 2024, at an outpatient neck center. It excluded previous neck surgery, traumatic events, or related injury. Demographic, clinical, and diagnostic data were collected through a retrospective chart review, including measurements from standard clinical diagnostic protocols: digital motion X-ray (videofluoroscopy), cone beam CT, Doppler ultrasound, and tonometry. Results: More than 71% of patients reported ≥29 symptoms. Nearly all patients exhibited co-occurring forward head, decreased depth of curve, ligamentous cervical instability, and decreased internal jugular vein (IJV) and vagus nerve cross-sectional area (CSA). Vagus nerve CSA was found to be significantly smaller than the comparative healthy/normal population. IJV CSA was significantly smaller at C1 than at C4–C5, suggesting evidence of carotid sheath compression at C1. Conclusions: This study offers novel evidence that cervical spine pathology, IJV compression, and vagus nerve degeneration are uniformly prevalent in hEDS, which may contribute to, or be an etiological basis for, the multisystem involvement in a subset of patients with this disorder. These findings provide hypothesis-generating data to inform future mechanistic and therapeutic studies, including exploration of new diagnostic and treatment targets. Full article
(This article belongs to the Special Issue Clinical Advances in Musculoskeletal Disorders: 2nd Edition)
Show Figures

Figure 1

18 pages, 755 KB  
Article
Temporal Prognostic Factors in Elderly Patients with Acute Heart Failure: A Cohort Study from a Spanish Emergency Department
by Itziar Ostolaza Tazón, Héctor Alonso Valle and Pedro Muñoz Cacho
Geriatrics 2026, 11(1), 21; https://doi.org/10.3390/geriatrics11010021 - 18 Feb 2026
Viewed by 341
Abstract
Background/Objectives: Acute heart failure (AHF) is a common cause of hospitalization in older adults, associated with high morbidity and mortality. In this population, frailty, comorbidity, and functional variability significantly influence prognosis. This study evaluated short-term (30-day) and long-term (1-year) mortality predictors in elderly [...] Read more.
Background/Objectives: Acute heart failure (AHF) is a common cause of hospitalization in older adults, associated with high morbidity and mortality. In this population, frailty, comorbidity, and functional variability significantly influence prognosis. This study evaluated short-term (30-day) and long-term (1-year) mortality predictors in elderly patients with AHF treated in the emergency department (HED), considering clinical variables, comorbidities, and precipitating factors (PFs). Materials and Methods: An observational cohort study was conducted based on a secondary analysis of older patients with AHF included in the Epidemiology of Acute Heart Failure in Emergency Departments (EAHFE) registry, treated at Hospital Universitario Marqués de Valdecilla (HUMV) between 2007 and 2022. Clinical, laboratory, and PF-related variables were collected. The primary outcome was all-cause mortality at 30 days and 1 year. Univariate and multivariate logistic regression analyses were performed. Results: A total of 548 patients were included (mean age: 80.7 years), of whom 78.6% required hospitalization, mainly in the Internal Medicine department. Mortality was 11.1% at 30 days and 29.9% at 1 year. Age, valvular heart disease, dementia, and elevated creatinine levels were independently associated with higher mortality. Hypoxemia and low-output symptoms were linked to short-term mortality, while NYHA class III and anemia were associated with long-term mortality. Among PFs, acute coronary syndrome (ACS) was related to worse short-term outcomes, whereas rapid atrial fibrillation (AF) was inversely associated with long-term mortality. Conclusions: The prognostic relevance of risk factors differs between short- and long-term outcomes in older patients with AHF. Incorporating clinical characteristics and PFs into risk stratification models may support individualized management and guide follow-up strategies tailored to the geriatric profile. This multidimensional approach is essential to improve clinical decision-making and outcomes in a highly vulnerable population. Full article
(This article belongs to the Section Cardiogeriatrics)
Show Figures

Figure 1

45 pages, 5213 KB  
Review
Future of Polish Hospital Emergency Departments: Architectural Strategies for Technological and Socio-Demographic Change in the Post-Pandemic Era
by Julia Zieleniewska, Magda Matuszewska and Ewa Pruszewicz-Sipińska
Buildings 2026, 16(4), 800; https://doi.org/10.3390/buildings16040800 - 15 Feb 2026
Viewed by 408
Abstract
The rapid development of medical technologies requires architects to implement a future-proofing approach while designing medical facilities, despite the inherent uncertainty of long-term change. This challenge is particularly visible within hospital emergency departments (HEDs), which play a critical role as first-contact units and [...] Read more.
The rapid development of medical technologies requires architects to implement a future-proofing approach while designing medical facilities, despite the inherent uncertainty of long-term change. This challenge is particularly visible within hospital emergency departments (HEDs), which play a critical role as first-contact units and life-saving infrastructures. Due to their specific function, HEDs are a challenging environment for implementing new solutions, as they rely on proven frameworks designed to ensure continuity of care and operational efficiency. This raises the key question: how can modern technologies and architectural strategies streamline workflows in HEDs without overwhelming medical staff? Considering current challenges, an equally important factor in the development of emergency departments is their preparedness for crisis situations, such as pandemics, war threats and natural disasters. How can architectural design enable the implementation of given design strategies, aiming to ensure opportunities for development while simultaneously preparing for all-hazard scenarios? The authors gathered existing trends and solutions aimed at preparing hospital emergency departments for future challenges: positive/neutral, such as technological development, but also negative, such as currently ongoing war threats or risk of the next pandemic. Despite the apparent thematic extremity, certain systematic architectural solutions using a transdisciplinary approach may be the answer to these occurrences. The mentioned architectural solutions and factors were synthesized and subjected to design-oriented review based on existing case studies of a few Polish hospitals, which are simultaneously studied as case studies for broader doctoral research in the field of effectiveness assessment. The selected Polish hospital emergency departments are used as an illustrative, analytical reference to support the interpretation and synthesis of the reviewed literature. The contextual analysis enables the identification of transferable, design-oriented strategies relevant to broader emergence medicine architecture and applicable within European units. Examples from Polish units in particular are used as reference and background for discussion, rather than as empirical case studies. The study provides an overview of contemporary and future-oriented solutions in hospital architecture, focusing on the impact and feasibility within the hospital emergency departments. The synthesis highlights the importance of designing flexible spaces prepared for future technological advances, such as oversized service shafts, increased floor heights, and modular layouts. Additionally, the study focuses on the spatial connotations of emerging technologies like medical robotics, their maintenance areas and possible challenges. All of this is interrelated to social, demographic, and economic trends. These include the development of hospital networks, the evolving patient profile, inter-hospital information flow, and the growing role of highly specialized medical units. In terms of rapid challenges like wars or armed threats, factors revealed within the review indicate levels of HED readiness to face the conflict, mainly in terms of surge capacity but also structural durability and reserve resources. The post-pandemic context, in turn, assumes rapid expansion of the hospital into temporary and flexible structures and reversible zoning allowing for patient segregation and separation. Together, these insights outline pathways for creating resilient, adaptable, and efficient emergency care environments resilient to unforeseen challenges. Considering future scenarios of emergency departments, two main scenarios were identified: “the hospital of the future”, continuing overall development and adapting to rapid technological innovations, and “the crisis-resilient hospital”, resistant to various crisis scenarios, such as pandemics or war threats. The optimal development of the unit assumes both openness to technological changes and preparation of key zones for all-hazard scenarios. This review aims to synthesize architectural implications of technological and socio-demographic changes, not to provide a full empirical study. Adopting an exploratory framework, the review refers to technological innovations and crisis preparedness as external drivers shaping the spatial organization of hospital emergency departments and their adaptability to future challenges. Because of various inhibitors (economic, political, hierarchical), not all hospitals can introduce the described improvements, but the synthesis may serve as a knowledge source for future investments. The review was also conducted to support design decisions under conditions of uncertainty. The choice to address all the external factors collectively was induced to provide transferability of solutions and coherence of possible scenarios, which may happen simultaneously. Full article
Show Figures

Figure 1

19 pages, 6700 KB  
Article
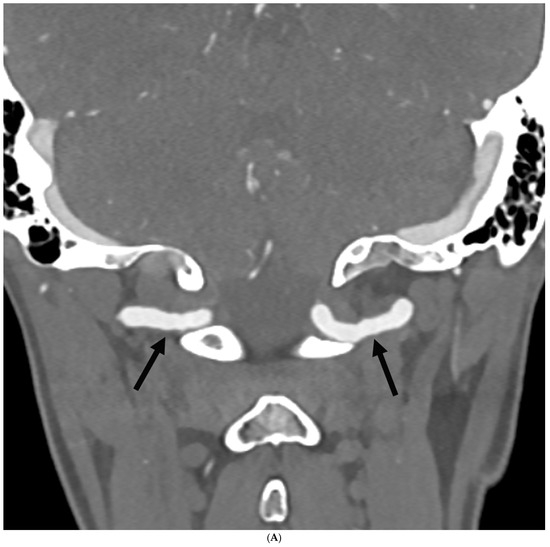
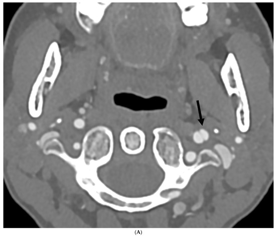
Prevalence of Intracranial and Cervical Artery Abnormalities in Patients with Hypermobile Ehlers–Danlos Syndrome and Hypermobility Spectrum Disorders Presenting to an Academic Headache Clinic
by Todd D. Rozen, Katelyn A. Bruno, Ethan M. Rozen, Frances C. Wilson, Marysia S. Tweet, Raymond C. Shields, Sharonne N. Hayes, Dacre R. T. Knight, Shilpa N. Gajarawala, Sukhwinder J. S. Sandhu, Alok A. Bhatt and DeLisa Fairweather
Neurol. Int. 2026, 18(2), 33; https://doi.org/10.3390/neurolint18020033 - 11 Feb 2026
Viewed by 574
Abstract
Background/Objective: It remains unknown whether patients with the more common forms of hypermobility carry an elevated risk for the development of intracranial/cervical artery abnormalities. The objective of this study was to determine the prevalence of unruptured intracranial aneurysms, spontaneous cervical artery dissections, and [...] Read more.
Background/Objective: It remains unknown whether patients with the more common forms of hypermobility carry an elevated risk for the development of intracranial/cervical artery abnormalities. The objective of this study was to determine the prevalence of unruptured intracranial aneurysms, spontaneous cervical artery dissections, and fibromuscular dysplasia in patients with hypermobile Ehlers–Danlos Syndrome (hEDS) and hypermobility spectrum disorders (HSD) who presented to an academic headache clinic. Methods: This is a retrospective cohort study. We used an electronic medical record to look for all patients seen at the Mayo Clinic Florida Headache Center and EDS Clinic between 2019 and 2025 with a diagnosis of hEDS or HSD and neuroimaging of both the intracranial and cervical arteries. Results: There were 103 patients who met the inclusion criteria. There was no statistically significant difference between hEDS and HSD patients in developing cerebral/cervical arterial anomalies. Of the sample, 95% of the hypermobile patients with abnormal neuroimaging also had migraine. A total of eleven (10.7%) patients (hEDS + HSD) were diagnosed with unruptured intracranial aneurysms. Trends included age less than 50 years, small aneurysms in the anterior circulation, and having migraine with aura. Five (4.8%) patients were diagnosed with spontaneous cervical artery dissection with trends for HSD, over the age of 50 years, vertebral artery involvement and a history of migraine without aura. Six (5.8%) patients were diagnosed with fibromuscular dysplasia with trends for HSD, over the age of 50 years, carotid artery involvement and a history of migraine with aura. Conclusions: This is the first study to identify that patients with the more common type of EDS, HSD and hEDS, and a possible concomitant history of migraine have a heightened risk for the development of unruptured intracranial aneurysms, spontaneous cervical artery dissections, and fibromuscular dysplasia. Our findings suggest the need for targeted screening with intracranial and extracranial arterial imaging for this unique patient population. Full article
(This article belongs to the Section Pain Research)
Show Figures

Figure 1

27 pages, 2219 KB  
Article
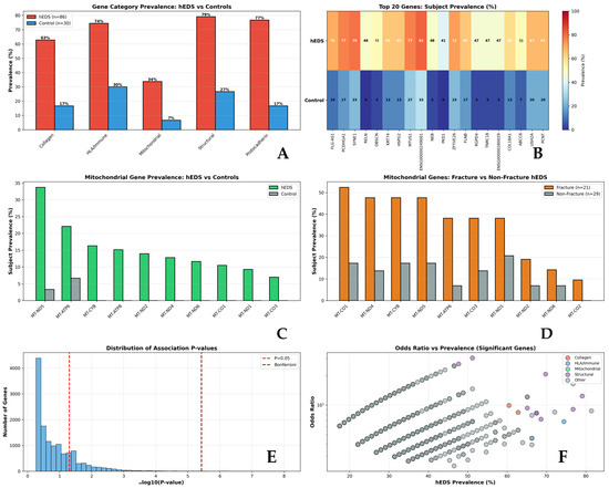
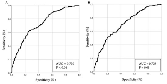
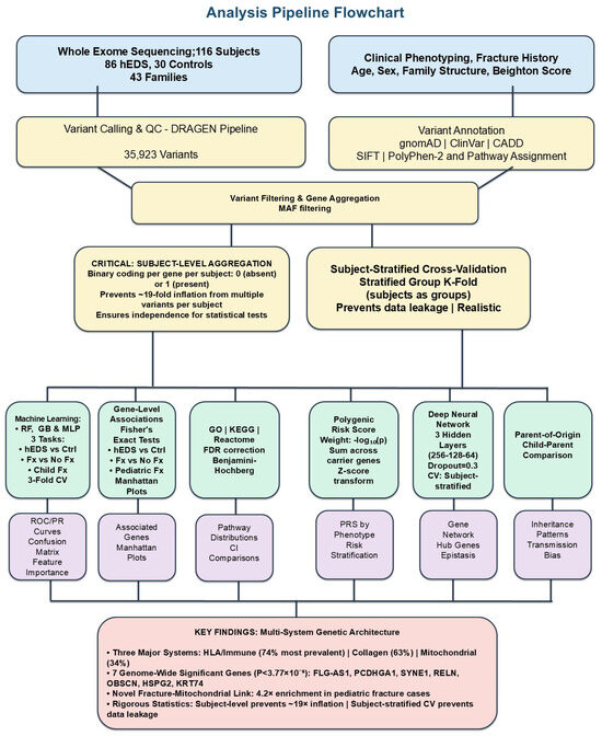
Multi-System Genetic Architecture of Hypermobile Ehlers–Danlos Syndrome: Integrating Machine Learning with Subject-Level Genomic Analysis
by Arash Shirvani, Purusha Shirvani and Michael F. Holick
Genes 2026, 17(2), 211; https://doi.org/10.3390/genes17020211 - 9 Feb 2026
Viewed by 3086
Abstract
Background/Objectives: Hypermobile Ehlers–Danlos syndrome (hEDS) remains genetically unexplained despite decades of clinical investigation, with the molecular basis undefined for the vast majority of cases. This study employs integrated machine learning approaches with rigorous subject-level statistical methods to decode the genetic architecture underlying [...] Read more.
Background/Objectives: Hypermobile Ehlers–Danlos syndrome (hEDS) remains genetically unexplained despite decades of clinical investigation, with the molecular basis undefined for the vast majority of cases. This study employs integrated machine learning approaches with rigorous subject-level statistical methods to decode the genetic architecture underlying hEDS. Methods: We analyzed 35,923 rare genetic variants (gnomAD MAF < 0.2) across 116 subjects from 43 families (86 hEDS patients diagnosed per 2017 international criteria; 30 unaffected intrafamilial controls) using whole-exome sequencing. Machine learning analysis employed Random Forest feature selection, deep neural networks, and ensemble methods with subject-stratified cross-validation to prevent data leakage. Statistical association testing used subject-level Fisher’s exact tests with Bonferroni correction (α = 3.77 × 10−6 for 13,281 genes). Sensitivity analyses assessed robustness to family structure. Results: Subject-level analysis identified statistically significant enrichment in variants associated with three major biological systems: (1) collagen biosynthesis pathway variants (present in 63% of hEDS subjects vs. 17% of controls, Fisher’s p = 1.06 × 10−5, OR = 8.4), predominantly affecting COL5A1, COL18A1, COL17A1, and post-translational modification enzymes; (2) HLA/adaptive immune axis variants (74% of hEDS vs. 30% of controls, p = 2.23 × 10−5, OR = 6.8), involving HLA-B, HLA-A, HLA-C, and TAP transporters; (3) mitochondrial respiratory chain variants (34% of hEDS vs. 7% of controls, p = 2.29 × 10−3, OR = 7.1), with striking 4.2-fold enrichment in pediatric fracture cases (52% vs. 21%, p = 0.021, 95% CI: 1.2–14.6). These associations require independent validation and functional studies to determine their mechanistic relevance. Genome-wide analysis identified seven genes achieving Bonferroni significance (p < 3.77 × 10−6), all encoding structural/cytoskeletal proteins. Machine learning models with proper subject-stratified cross-validation achieved 80% accuracy (95% CI: 73–86%, sensitivity = 82%, specificity = 77%). Conclusions: Our findings suggest that hEDS may involve genetic variation across multiple biological systems beyond classical collagen pathways. These hypothesis-generating associations require validation in independent cohorts and functional studies before mechanistic or clinical conclusions can be drawn. Full article
(This article belongs to the Section Human Genomics and Genetic Diseases)
Show Figures

Figure 1

12 pages, 596 KB  
Article
Education-Driven and Industrial Symbiosis: Empirical Evidence from the Coupling of Higher Education Development and Industrial Upgrading in China
by Huiying Wang, He Luan and Huimin Wang
Sustainability 2026, 18(2), 1011; https://doi.org/10.3390/su18021011 - 19 Jan 2026
Viewed by 292
Abstract
Based on the interaction mechanism between higher education and industrial structure, this paper constructs an evaluation index system for the higher education development (HED) and the industrial upgrading (IU) by integrating their core characteristics. Using the entropy weight method, TOPSIS method, and coupling [...] Read more.
Based on the interaction mechanism between higher education and industrial structure, this paper constructs an evaluation index system for the higher education development (HED) and the industrial upgrading (IU) by integrating their core characteristics. Using the entropy weight method, TOPSIS method, and coupling coordination model, as well as Kernel Density Estimation (KDE), it measures the comprehensive development levels and synergistic level of HED and IU in Chinese provinces (cities) from 2009 to 2020 and explores their spatiotemporal evolution characteristics. The findings reveal the following: (1) The overall level of China’s HED and IU shows an upward trend, but the absolute scores remain low, with significant regional disparities, and are divided into Balanced Development, Structural Imbalance, Industry-Supported, and Education-Supported. (2) The interaction between HED and IU is progressing toward a higher level, characterized by a reduction in low-value regions and a narrowing of regional disparities. However, the overall coordination remains in a “running-in stage”. (3) The eastern region has formed a virtuous cycle of interaction. The central region has achieved rapid improvement, benefiting from policy support, while the western region, constrained by resource limitations and policy lag, experiences slower progress in coordination. The northeastern region, lacking coupling momentum, exhibits long-term stagnation at a low level. Full article
(This article belongs to the Section Sustainable Education and Approaches)
Show Figures

Figure 1

16 pages, 1561 KB  
Article
TSAformer: A Traffic Flow Prediction Model Based on Cross-Dimensional Dependency Capture
by Haoning Lv, Xi Chen and Weijie Xiu
Electronics 2026, 15(1), 231; https://doi.org/10.3390/electronics15010231 - 4 Jan 2026
Viewed by 307
Abstract
Accurate multivariate traffic flow forecasting is critical for intelligent transportation systems yet remains challenging due to the complex interplay of temporal dynamics and spatial interactions. While Transformer-based models have shown promise in capturing long-range temporal dependencies, most existing approaches compress multidimensional observations into [...] Read more.
Accurate multivariate traffic flow forecasting is critical for intelligent transportation systems yet remains challenging due to the complex interplay of temporal dynamics and spatial interactions. While Transformer-based models have shown promise in capturing long-range temporal dependencies, most existing approaches compress multidimensional observations into flattened sequences—thereby neglecting explicit modeling of cross-dimensional (i.e., spatial or inter-variable) relationships, which are essential for capturing traffic propagation, network-wide congestion, and node-specific behaviors. To address this limitation, we propose TSAformer, a novel Transformer architecture that explicitly preserves and jointly models time and dimension as dual structural axes. TSAformer begins with a multimodal input embedding layer that encodes raw traffic values alongside temporal context (time-of-day and day-of-week) and node-specific positional features, ensuring rich semantic representation. The core of TSAformer is the Two-Stage Attention (TSA) module, which first models intra-dimensional temporal evolution via time-axis self-attention then captures inter-dimensional spatial interactions through a lightweight routing mechanism—avoiding quadratic complexity while enabling all-to-all cross-node communication. Built upon TSA, a hierarchical encoder–decoder (HED) structure further enhances forecasting by modeling traffic patterns across multiple temporal scales, from fine-grained fluctuations to macroscopic trends, and fusing predictions via cross-scale attention. Extensive experiments on three real-world traffic datasets—including urban road networks and highway systems—demonstrate that TSAformer consistently outperforms state-of-the-art baselines across short-term and long-term forecasting horizons. Notably, it achieves top-ranked performance in 36 out of 58 critical evaluation scenarios, including peak-hour and event-driven congestion prediction. By explicitly modeling both temporal and dimensional dependencies without structural compromise, TSAformer provides a scalable, interpretable, and high-performance solution for spatiotemporal traffic forecasting. Full article
(This article belongs to the Special Issue Artificial Intelligence for Traffic Understanding and Control)
Show Figures

Figure 1

18 pages, 316 KB  
Article
Reasons for Participating in the EDS-HEART Program: Holistic and Performative Within a Supportive Community
by Maria Kosma, Nick Erickson, Ashley L. Hinerman and Ira A. Anderson
Int. J. Environ. Res. Public Health 2026, 23(1), 55; https://doi.org/10.3390/ijerph23010055 - 31 Dec 2025
Viewed by 506
Abstract
Background: Hypermobile Ehlers–Danlos Syndrome (hEDS) results in multiple, complex health-related risks and associated fear of movement (kinesiophobia). Therefore, the purpose of this research study was to examine how a holistic, embodied, and performative movement program (EDS-HEART) can affect body schema, physical and [...] Read more.
Background: Hypermobile Ehlers–Danlos Syndrome (hEDS) results in multiple, complex health-related risks and associated fear of movement (kinesiophobia). Therefore, the purpose of this research study was to examine how a holistic, embodied, and performative movement program (EDS-HEART) can affect body schema, physical and mental health, and lifestyle, which contribute to the joy of movement and physical activity participation among adult women with hEDS. Methods: This was a hermeneutic, phenomenological, quasi-experimental, and community-based research study among six women with hEDS, who participated in the EDS-HEART movement program at a local physical therapy clinic. The seven-week program incorporated stretching and strength training activities as well as performative-thematic movement sequences. Results: Based on the qualitative analysis, three themes emerged regarding reasons for the joy of the EDS-HEART program: (a) improved body schema: body awareness, confidence, posture, and proprioception; (b) highly motivating program: holistic, embodied, performative, pleasant, and safe; and (c) psychosocial reasons: supportive setting, sense of pleasure and euphoria, and freed from social comparisons and the fear of movement. Conclusions: Based on the study results, public health experts should develop and implement easily accessible and holistic movement programs among people with hEDS and similar conditions to improve physical health, psychosocial health, and the joy of movement. Full article
12 pages, 3943 KB  
Article
Phylogenetic Characteristics and High Prevalence of a Merbecovirus in Hedgehogs from Greenspace of a Metropolis, China
by Biao Deng, Nuo Cheng, Cheng Li, Xiao-Yang Wang, Xiao-Ling Su, Yi Sun, Jia-Fu Jiang, Luo-Yuan Xia and Wu-Chun Cao
Microorganisms 2026, 14(1), 83; https://doi.org/10.3390/microorganisms14010083 - 30 Dec 2025
Viewed by 548
Abstract
SARS-CoV, MERS-CoV, and SARS-CoV-2 have posed tremendous threats to human health, highlighting the necessity of monitoring cross-species transmission of animal coronaviruses to humans. Hedgehogs infected with coronaviruses have been reported in several countries across Europe and Asia, raising concerns about the potential transmission [...] Read more.
SARS-CoV, MERS-CoV, and SARS-CoV-2 have posed tremendous threats to human health, highlighting the necessity of monitoring cross-species transmission of animal coronaviruses to humans. Hedgehogs infected with coronaviruses have been reported in several countries across Europe and Asia, raising concerns about the potential transmission of coronaviruses from hedgehogs to humans. In this study, we investigated coronavirus infections in hedgehogs inhabiting greenspaces in metropolitan Beijing and identified a Merbecovirus subgenus coronavirus with a prevalence rate of 30% (95% CI: 25–35%) among 317 hedgehogs. Phylogenetic analysis of 23 complete viral genome sequences revealed a monophyletic origin, showing close relatedness to Erinaceus hedgehog coronavirus HKU31 (Ea-HedCoV HKU31) with genome-wide nucleotide identities of 93.24–96.42%, and evidence of recombination with Tylonycteris bat coronavirus HKU4. These findings suggest that the increase in wildlife populations associated with urban greenspace development may pose a potential threat to human health that should not be overlooked. Full article
(This article belongs to the Section Virology)
Show Figures

Figure 1

14 pages, 709 KB  
Systematic Review
The Impact of Mindfulness Interventions upon Visual Attention and Attentional Bias Towards Food Cues: A Systematic Review
by Ryan Duffy and Tuki Attuquayefio
Nutrients 2025, 17(24), 3885; https://doi.org/10.3390/nu17243885 - 12 Dec 2025
Viewed by 902
Abstract
Background/Objectives: The so-called ‘Western diet’ characterised by the frequent consumption of high energy-dense (HED) food is linked with overeating, obesity, and an array of physiological and weight-related health complications. Attentional biases to HED food, which have been identified as a key mechanism promoting [...] Read more.
Background/Objectives: The so-called ‘Western diet’ characterised by the frequent consumption of high energy-dense (HED) food is linked with overeating, obesity, and an array of physiological and weight-related health complications. Attentional biases to HED food, which have been identified as a key mechanism promoting overeating, arise when reward-driven automatic processes impair the internal states responsible for regulating hunger and satiety. Emerging mindfulness-based interventions show promise in attenuating attentional biases by training controlled processes and enhancing the self-regulatory mechanisms required to override reward-driven automatic processing. Methods: Following PRISMA 2020 guidelines and PICOS strategy, this systematic review collates and synthesises current research on the impact of mindfulness interventions on visual attention and attentional bias to food cues in adults. Searches were conducted in Web of Science, PubMed, Scopus, Springer Nature, MEDLINE, Embase, and CINAHL in September 2025. Results: Findings obtained from six eligible studies were mixed indicating that mindfulness interventions significantly reduced attentional bias to HED, whereas other interventions indirectly enhanced self-regulatory systems such as hedonic hunger and craving without directly modifying attention. Additional findings highlight reductions in physiological reactivity, increased interoceptive awareness, and savouring. Conclusions: Overall findings suggest that mindfulness-based practices hold preliminary but promising potential to subdue attentional biases to HED food and disrupt unhealthy eating habits influenced by the Western diet. However, the limited number of studies, small sample sizes, methodological heterogeneity, and lack of mechanistic clarity indicate that such conclusions should be interpreted with caution. More robust and standardised research is warranted to determine whether mindfulness can produce durable, real-world behavioural change. Full article
(This article belongs to the Section Nutrition and Neuro Sciences)
Show Figures

Figure 1

23 pages, 4593 KB  
Article
Finite Element and Parametric Study on the Shear Capacity of FRP and Stainless-Steel Bolted Connectors in GFRP–Concrete Composite Beams
by Abdalla Zidan, Hesham Fawzy Shaaban and Ayman El-Zohairy
J. Compos. Sci. 2025, 9(11), 622; https://doi.org/10.3390/jcs9110622 - 10 Nov 2025
Viewed by 1253
Abstract
Fiber-reinforced polymer (FRP) composites, particularly glass fiber-reinforced polymer (GFRP), are increasingly utilized in civil engineering due to their high strength-to-weight ratio, corrosion resistance, and environmental sustainability compared to steel. Shear connectors in FRP–concrete hybrid beams are critical for effective load transfer, yet their [...] Read more.
Fiber-reinforced polymer (FRP) composites, particularly glass fiber-reinforced polymer (GFRP), are increasingly utilized in civil engineering due to their high strength-to-weight ratio, corrosion resistance, and environmental sustainability compared to steel. Shear connectors in FRP–concrete hybrid beams are critical for effective load transfer, yet their behavior under static loads remains underexplored. This study aims to investigate the shear strength, stiffness, and failure modes of GFRP, CFRP, AFRP, and stainless-steel shear connectors in FRP–concrete hybrid beams through a comprehensive parametric analysis, addressing gaps in material optimization, bolt configuration, and design guidelines. A validated finite element model in Abaqus was employed to simulate push-out tests based on experimental data. The parameters analyzed included shear connector material (GFRP, CFRP, AFRP, and stainless steel), bolt diameter (16–30 mm), number of bolts (1–6), longitudinal spacing (60–120 mm), embedment length (40–70 mm), and concrete compressive strength (30–70 MPa). Shear load–slip (P-S) curves, ultimate shear load (P), secant stiffness (K1), and failure modes were evaluated. CFRP bolts exhibited the highest shear capacity, 26.50% greater than stainless steel, with failure dominated by flange bearing, like AFRP and stainless steel, while GFRP bolts failed by shear failure of bolt shanks. Shear capacity increased by 90.60%, with bolt diameter from 16 mm to 30 mm, shifting failure from bolt shank to concrete splitting. Multi-bolt configurations reduced per-bolt shear capacity by up to 15.00% due to uneven load distribution. Larger bolt spacing improved per-bolt shear capacity by 9.48% from 60 mm (3d) to 120 mm (6d). However, in beams, larger spacing reduced the total number of bolts, decreasing overall shear resistance and the degree of shear connection. Higher embedment lengths (he/d ≥ 3.0) mitigated pry-out failure, with shear capacity increasing by 33.59% from 40 mm to 70 mm embedment. Increasing concrete strength from 30 MPa to 70 MPa enhanced shear capacity by 22.07%, shifting the failure mode from concrete splitting to bolt shank shear. The study highlights the critical influence of bolt material, diameter, number, spacing, embedment length, and concrete strength on shear behavior. These findings support the development of FRP-specific design models, enhancing the reliability and sustainability of FRP–concrete hybrid systems. Full article
(This article belongs to the Special Issue Polymer Composites and Fibers, 3rd Edition)
Show Figures

Figure 1

14 pages, 294 KB  
Article
Associations Between Greek Affiliation, Parental Permissiveness Toward Heavy Episodic Drinking, and Alcohol Use Among First-Year College Students
by Kristi M. Morrison, Jennifer C. Duckworth, Matthew F. Bumpus, Martie L. Skinner, Brittany R. Cooper, Laura G. Hill and Kevin P. Haggerty
Behav. Sci. 2025, 15(11), 1488; https://doi.org/10.3390/bs15111488 - 31 Oct 2025
Viewed by 1418
Abstract
Parental permissiveness toward alcohol use is associated with increased drinking among college students. In the U.S., Greek-affiliated students drink more and experience more negative consequences than other students. This study explored associations among student Greek affiliation, parental permissiveness toward heavy episodic drinking (HED), [...] Read more.
Parental permissiveness toward alcohol use is associated with increased drinking among college students. In the U.S., Greek-affiliated students drink more and experience more negative consequences than other students. This study explored associations among student Greek affiliation, parental permissiveness toward heavy episodic drinking (HED), and alcohol use outcomes among first-year college students. Parent-student dyads (n = 294) completed surveys during high school and the first semester of college at a large public university in the U.S. Paired- and independent-samples t-tests and regression analyses were conducted. Parental permissiveness toward HED was higher among Greek-affiliated students than non-Greek-affiliated students, from parent and student perspectives, before and during college. In regression analyses, student Greek affiliation and perceived parental permissiveness were associated with greater alcohol use and HED. Greek status moderated associations between perceived parental permissiveness of HED and alcohol use (but not HED) such that the relationship was less pronounced for Greek-affiliated students compared to non-Greek-affiliated students. Our results suggest that interventions that aim to reduce perceived parental permissiveness toward HED, such as parent-based normative feedback interventions, may be an effective strategy to reduce drinking among first-year Greek-affiliated students. Full article
20 pages, 2937 KB  
Article
PLX3397-Induced Microglial Ablation Alters Adipose Tissue Accumulation in a Male–Female-Dependent Manner Under High-Energy-Diet Feeding
by Flynn P. O’Connell, Andras Hajnal, Patricia M. Di Lorenzo and Krzysztof Czaja
Nutrients 2025, 17(21), 3445; https://doi.org/10.3390/nu17213445 - 31 Oct 2025
Viewed by 859
Abstract
Background: Diet-induced obesity (DIO) is increasingly linked to microglial proliferation in the central nervous system, yet the causal role of microglia in metabolic and behavioral changes remains unclear. Methods: Here, we investigated the effects of microglial suppression using the CSF-1R antagonist PLX 3397 [...] Read more.
Background: Diet-induced obesity (DIO) is increasingly linked to microglial proliferation in the central nervous system, yet the causal role of microglia in metabolic and behavioral changes remains unclear. Methods: Here, we investigated the effects of microglial suppression using the CSF-1R antagonist PLX 3397 (Pexidartinib; PLX) on body weight, adiposity, and sucrose preference in lean and DIO male and female rats. Microglial activation was quantified in the hypothalamus and nucleus tractus solitarius (NTS). Results: PLX administered during initial high-energy-diet (HED) exposure produced sex-specific effects: body weight increased in males but decreased in females. In male DIO rats, PLX+HED reduced body fat percentage without altering total weight. PLX treatment did not significantly alter body weight, food intake, or glucose tolerance in females. Hypothalamic microglial suppression was more extensive in males, whereas NTS suppression was similar across sexes. PLX also reversed HED-induced reductions in low-concentration sucrose preference in males. Substantial individual variability was observed in both susceptibility to DIO and responsiveness to PLX. Conclusions: These findings reveal a clear sexual dimorphism in microglial responses to HED, with females showing relative protection and males’ greater vulnerability. Overall, the results underscore the importance of accounting for sex differences in the design and application of microglia-targeted interventions. Full article
Show Figures

Figure 1

12 pages, 1196 KB  
Article
The Opacity Project: R-Matrix Calculations for Opacities of High-Energy-Density Astrophysical and Laboratory Plasmas
by Anil K. Pradhan and Sultana N. Nahar
Atoms 2025, 13(10), 85; https://doi.org/10.3390/atoms13100085 - 20 Oct 2025
Cited by 1 | Viewed by 703
Abstract
Accurate determination of opacity is critical for understanding radiation transport in both astrophysical and laboratory plasmas. We employ atomic data from R-Matrix calculations to investigate radiative properties in high-energy-density (HED) plasma sources, focusing on opacity variations under extreme plasma conditions. Specifically, we analyze [...] Read more.
Accurate determination of opacity is critical for understanding radiation transport in both astrophysical and laboratory plasmas. We employ atomic data from R-Matrix calculations to investigate radiative properties in high-energy-density (HED) plasma sources, focusing on opacity variations under extreme plasma conditions. Specifically, we analyze environments such as the base of the convective zone (BCZ) of the Sun (2×106 K, Ne=1023/cc), and radiative opacity data collected using the inertial confinement fusion (ICF) devices at the Sandia Z facility (2.11×106 K, Ne=3.16×1022/cc) and the Lawrence Livermore National Laboratory National Ignition Facility. We calculate Rosseland Mean Opacities (RMO) within a range of temperatures and densities and analyze how they vary under different plasma conditions. A significant factor influencing opacity in these environments is line and resonance broadening due to plasma effects. Both radiative and collisional broadening modify line shapes, impacting the absorption and emission profiles that determine the RMO. In this study, we specifically focus on electron collisional and Stark ion microfield broadening effects, which play a dominant role in HED plasmas. We assume a Lorentzian profile factor to model combined broadening and investigate its impact on spectral line shapes, resonance behavior, and overall opacity values. Our results are relevant to astrophysical models, particularly in the context of the solar opacity problem, and provide insights into discrepancies between theoretical calculations and experimental measurements. In addition, we investigate the equation-of-state (EOS) and its impact on opacities. In particular, we examine the “chemical picture” Mihalas–Hummer–Däppen EOS with respect to level populations of excited levels included in the extensive R-matrix calculations. This study should contribute to improving opacity models of HED sources such as stellar interiors and laboratory plasma experiments. Full article
(This article belongs to the Special Issue Electronic, Photonic and Ionic Interactions with Atoms and Molecules)
Show Figures

Figure 1

14 pages, 416 KB  
Article
Joint Hypermobility: An Under-Recognised Cause of Palpitations, Dizziness, and Syncope in Young Females
by Zeina Abu Orabi, Sophie E. Thompson, Jan van Vliet, Kate Gee, Ashwin Roy and Jonathan N. Townend
J. Clin. Med. 2025, 14(20), 7373; https://doi.org/10.3390/jcm14207373 - 18 Oct 2025
Viewed by 2334
Abstract
Background: Symptoms of dizziness, syncope, and palpitations are common presentations in outpatient and emergency care, frequently attributed to stress and anxiety when conventional neurological and cardiac evaluations are normal. Joint hypermobility (JH) syndromes including hypermobile Ehlers–Danlos syndrome (hEDS), and hypermobility spectrum disorders (HSD) [...] Read more.
Background: Symptoms of dizziness, syncope, and palpitations are common presentations in outpatient and emergency care, frequently attributed to stress and anxiety when conventional neurological and cardiac evaluations are normal. Joint hypermobility (JH) syndromes including hypermobile Ehlers–Danlos syndrome (hEDS), and hypermobility spectrum disorders (HSD) are under-recognised as potential causes. Methods: Our retrospective cohort study examined the clinical features, diagnostic findings, and responses to treatment in patients with JH syndromes, who are referred to a specialised syncope clinic within a UK teaching hospital. It involved 218 patients with joint hypermobility, predominantly young females (median Beighton score: 6), reporting chronic orthostatic intolerance, dizziness, and palpitations. Common comorbidities included joint pain, chronic fatigue, gastrointestinal dysmotility, and psychiatric conditions. Prevalence of symptoms, cardiovascular abnormalities on investigation (ECG, echocardiography, and tilt-table testing), and treatment responses were analysed. Results: History and examination were often diagnostic. Standard cardiac tests rarely provided diagnostic value except to exclude alternate conditions. Tilt-table testing was abnormal in 82.0% of cases, revealing orthostatic hypotension, reflex syncope, or postural tachycardia syndrome (POTS). Conservative measures (hydration, salt intake, and exercise) were effective in over half of the cases; pharmacological treatments (ivabradine, fludrocortisone) were considered for refractory cases. Conclusions: This study emphasises that JH syndromes are a common cause of palpitations, dizziness, and syncope in young females. They are multi-system conditions affecting both physical and mental health, which remain under-recognised and are often dismissed as ‘functional’, particularly in women—highlighting gender bias in diagnosis. A structured diagnostic approach with routine joint assessments for JH and increased awareness can facilitate early recognition and management in general medical settings, reducing reliance on emergency services and improving patient outcomes. Full article
(This article belongs to the Section Cardiology)
Show Figures

Figure 1

Back to TopTop