Sign in to use this feature.

Years

Between: -

Subjects

remove_circle_outline
remove_circle_outline
remove_circle_outline
remove_circle_outline
remove_circle_outline

Journals

Article Types

Countries / Regions

Search Results (17)

Search Parameters:
Keywords = DXPS

Order results
Result details
Results per page
Select all
Export citation of selected articles as:
14 pages, 899 KB  
Article
Elemental Composition Analysis of Major Refined Petroleum Fuel Products in Ghana
by Robert Wilson and Calvin Kwesi Gafrey
Fuels 2025, 6(3), 62; https://doi.org/10.3390/fuels6030062 - 19 Aug 2025
Viewed by 774
Abstract
Samples of refined petroleum fuels from the three major oil-marketing companies (GOIL Company Limited, Total Energies Ghana Limited and Shell Vivo Ghana Limited) in Ghana have been analysed for elemental concentrations using an X-ray fluorescence facility at the National Nuclear Research Institute, Ghana [...] Read more.
Samples of refined petroleum fuels from the three major oil-marketing companies (GOIL Company Limited, Total Energies Ghana Limited and Shell Vivo Ghana Limited) in Ghana have been analysed for elemental concentrations using an X-ray fluorescence facility at the National Nuclear Research Institute, Ghana Atomic Energy Commission. The samples were acquired from seven different fuel service stations where customers directly purchase refined petroleum fuels such as diesel, petrol and kerosene. The X-ray fluorescence method was considered for the study because sample preparation does not require the addition of reagents, and the fluorescence measurements involve a direct electron transition effect. The fluorescence study was carried out to estimate the concentrations of sulphur and other contaminants in the major refined petroleum fuel products patronised in Ghana. The average sulphur concentration in the samples of diesel products were 17.543, 25.805 and 26.813 ppm in DFS, DE and DXP samples compared to 22.258, 22.623 and 15.748 ppm in petrol samples of PE, PXP and VP. Also, the sulphur concentration of sample KE, kerosene products, is 33.250 ppm. Among the diesel samples, DE and DXP recorded the highest but most comparable average concentration of elemental contaminants, and DFS the least, while PXP recorded the least among the petrol samples. The study estimated the concentrations of four heavy metal elements that are toxic to biological life (Hg, Pb, Cr and Mn) to be less than 10.0 ppm, except Cr. The study concluded that most of the elemental contaminants of heavy metals in the samples were relatively less than ultra-low levels. Therefore, exhaust emissions may have little impact on the environment. Also, the content of the ash-producing metal elements in each sample of the seven refined fuel products is between 10.0 and 50.0 ppm. Since the concentration of sulphur and a few other elemental contaminants could not meet the internationally accepted standard (<10.0 ppm), the imported refined fuel products used in Ghana may be considered relatively good but not environmentally safe. Full article
Show Figures

Figure 1

21 pages, 6020 KB  
Article
Anti-Herpes Simplex Virus (Wild-Type and Drug-Resistant) Properties of Herbal KerraTM, KSTM, and MinozaTM
by Chaleampol Loymunkong, Kiattawee Choowongkomon, Chukkris Heawchaiyaphum, Nutchanat Chatchawankanpanich, Chamsai Pientong, Tipaya Ekalaksananan and Jureeporn Chuerduangphui
Viruses 2025, 17(7), 889; https://doi.org/10.3390/v17070889 - 24 Jun 2025
Viewed by 1681
Abstract
Commercial herbal compounds are a main attractive target to explore for a novel drug for the treatment of HSV. This study investigated the anti-HSV infectivity of extracts derived from the Thai commercial herbals KerraTM, KSTM, and MinozaTM. [...] Read more.
Commercial herbal compounds are a main attractive target to explore for a novel drug for the treatment of HSV. This study investigated the anti-HSV infectivity of extracts derived from the Thai commercial herbals KerraTM, KSTM, and MinozaTM. Wild-type HSV-1 KOS, HSV-2, and drug-resistant HSV-1 dxpIII were used to investigate any inhibitory effects of these extracts. A plaque formation assay was performed to investigate the effects of all extracts. The viral ICP4, UL30, gD, and gB and cellular IL1β, IL6, STAT3, and NFKB1 expression levels were evaluated. The KerraTM, KSTM, and MinozaTM extracts at 50–200 μg/mL significantly inhibited HSV-1 KOS and dxpIII infection in the post-entry step, whereas only MinozaTM could not reduce plaque formation of HSV-2. In addition, ICP4, UL30, and gD mRNAs and gB protein were significantly decreased in KerraTM- and KSTM-treated cells. Furthermore, IL1B, IL6, STAT3, and NFKB1 expression was upregulated in KerraTM- and KSTM-treated cells. KerraTM and KSTM could be agents against HSV infection, especially the HSV acyclovir (ACV)-resistant strain. From the docking result and drug-likeness prediction, 2-Methoxy-9H-xanthen-9-one, piperine, and sargassopenilline D found in KerraTM, KSTM, and MinozaTM show high binding energy closely resembling ACV, and are desirable as drug-like characteristics. Full article
(This article belongs to the Section Viral Immunology, Vaccines, and Antivirals)
Show Figures

Figure 1

24 pages, 15824 KB  
Article
Insights into Transfer of Supramolecular Doxorubicin/Congo Red Aggregates through Phospholipid Membranes
by Anna Stachowicz-Kuśnierz, Paulina Rychlik, Jacek Korchowiec and Beata Korchowiec
Molecules 2024, 29(11), 2567; https://doi.org/10.3390/molecules29112567 - 30 May 2024
Cited by 2 | Viewed by 1513
Abstract
Doxorubicin (DOX) is a commonly used chemotherapeutic drug, from the anthracycline class, which is genotoxic to neoplastic cells via a DNA intercalation mechanism. It is effective and universal; however, it also causes numerous side effects. The most serious of them are cardiotoxicity and [...] Read more.
Doxorubicin (DOX) is a commonly used chemotherapeutic drug, from the anthracycline class, which is genotoxic to neoplastic cells via a DNA intercalation mechanism. It is effective and universal; however, it also causes numerous side effects. The most serious of them are cardiotoxicity and a decrease in the number of myeloid cells. For this reason, targeted DOX delivery systems are desirable, since they would allow lowering the drug dose and therefore limiting systemic side effects. Recently, synthetic dyes, in particular Congo red (CR), have been proposed as possible DOX carriers. CR is a planar molecule, built of a central biphenyl moiety and two substituted naphthalene rings, connected with diazo bonds. In water, it forms elongated ribbon-shaped supramolecular structures, which are able to selectively interact with immune complexes. In our previous studies, we have shown that CR aggregates can intercalate DOX molecules. In this way, they preclude DOX precipitation in water solutions and increase its uptake by MCF7 breast cancer cells. In the present work, we further explore the interactions between DOX, CR, and their aggregates (CR/DOX) with phospholipid membranes. In addition to neutral molecules, the protonated doxorubicin form, DXP, is also studied. Molecular dynamics simulations are employed to study the transfer of CR, DOX, DXP, and their aggregates through POPC bilayers. Interactions of CR, DOX, and CR/DOX with model monolayers are studied with Langmuir trough measurements. This study shows that CR may support the transfer of doxorubicin molecules into the bilayer. Both electrostatic and van der Waals interactions with lipids are important in this respect. The former promote the initial stages of the insertion process, the latter keep guest molecules inside the bilayer. Full article
(This article belongs to the Special Issue Advances in Computational and Theoretical Chemistry—2nd Edition)
Show Figures

Graphical abstract

19 pages, 4045 KB  
Article
Interpenetrating Polymer Networks of Poly(2-hydroxyethyl methacrylate) and Poly(N, N-dimethylacrylamide) as Potential Systems for Dermal Delivery of Dexamethasone Phosphate
by Marin Simeonov, Bistra Kostova and Elena Vassileva
Pharmaceutics 2023, 15(9), 2328; https://doi.org/10.3390/pharmaceutics15092328 - 15 Sep 2023
Cited by 7 | Viewed by 1592
Abstract
In this study, a series of novel poly(2-hydroxyethyl methacrylate) (PHEMA)/poly(N,N′-dimethylacrylamide) (PDMAM) interpenetrating polymer networks (IPNs) were synthesized and studied as potential drug delivery systems of dexamethasone sodium phosphate (DXP) for dermal application. The IPN composition allows for control over its swelling ability as [...] Read more.
In this study, a series of novel poly(2-hydroxyethyl methacrylate) (PHEMA)/poly(N,N′-dimethylacrylamide) (PDMAM) interpenetrating polymer networks (IPNs) were synthesized and studied as potential drug delivery systems of dexamethasone sodium phosphate (DXP) for dermal application. The IPN composition allows for control over its swelling ability as the incorporation of the highly hydrophilic PDMAM increases more than twice the IPN swelling ratio as compared to the PHEMA single networks, namely from ~0.5 to ~1.1. The increased swelling ratio of the IPNs results in an increased entrapment efficiency up to ~30% as well as an increased drug loading capacity of DXP up to 4.5%. X-ray diffraction (XRD) and differential scanning calorimetry (DSC) show the formation of a solid dispersion between the drug DXP and the polymer (IPNs) matrix. Energy-dispersive X-ray (EDX) spectroscopy shows an even distribution of DXP within the IPN structure. The DXP release follows Fickian diffusion with ~70% of DXP released in 24 h. This study demonstrates the potential of the newly developed IPNs for the dermal delivery of DXP. Full article
Show Figures

Graphical abstract

12 pages, 2553 KB  
Article
Structure of Mycobacterium tuberculosis 1-Deoxy-D-Xylulose 5-Phosphate Synthase in Complex with Butylacetylphosphonate
by Victor Oliveira Gawriljuk, Rick Oerlemans, Robin M. Gierse, Riya Jotwani, Anna K. H. Hirsch and Matthew R. Groves
Crystals 2023, 13(5), 737; https://doi.org/10.3390/cryst13050737 - 27 Apr 2023
Cited by 5 | Viewed by 2605
Abstract
Stagnation in the development of new antibiotics emphasizes the need for the discovery of drugs with novel modes of action that can tackle antibiotic resistance. Contrary to humans, most bacteria use the methylerythritol phosphate (MEP) pathway to synthesize crucial isoprenoid precursors. 1-deoxy-D-xylulose 5-phosphate [...] Read more.
Stagnation in the development of new antibiotics emphasizes the need for the discovery of drugs with novel modes of action that can tackle antibiotic resistance. Contrary to humans, most bacteria use the methylerythritol phosphate (MEP) pathway to synthesize crucial isoprenoid precursors. 1-deoxy-D-xylulose 5-phosphate synthase (DXPS) catalyzes the first and rate-limiting step of the pathway, making it an attractive target. Alkylacetylphosphonates (alkylAPs) are a class of pyruvate mimicking DXPS inhibitors that react with thiamin diphosphate (ThDP) to form a stable phosphonolactyl (PLThDP) adduct. Here, we present the first M. tuberculosis DXPS crystal structure in complex with an inhibitor (butylacetylphosphonate (BAP)) using a construct with improved crystallization properties. The 1.6 Å structure shows that the BAP adduct interacts with catalytically important His40 and several other conserved residues of the active site. In addition, a glycerol molecule, present in the D-glyceraldehyde 3-phosphate (D-GAP) binding site and within 4 Å of the BAP adduct, indicates that there is space to extend and develop more potent alkylAPs. The structure reveals the BAP binding mode and provides insights for enhancing the activity of alkylAPs against M. tuberculosis, aiding in the development of novel antibiotics. Full article
(This article belongs to the Special Issue Feature Papers in Biomolecular Crystals in 2022-2023)
Show Figures

Figure 1

15 pages, 1967 KB  
Article
DXP Synthase Function in a Bacterial Metabolic Adaptation and Implications for Antibacterial Strategies
by Eric C. Chen and Caren L. Freel Meyers
Antibiotics 2023, 12(4), 692; https://doi.org/10.3390/antibiotics12040692 - 1 Apr 2023
Cited by 8 | Viewed by 4051
Abstract
Pathogenic bacteria possess a remarkable ability to adapt to fluctuating host environments and cause infection. Disturbing bacterial central metabolism through inhibition of 1-deoxy-d-xylulose 5-phosphate synthase (DXPS) has the potential to hinder bacterial adaptation, representing a new antibacterial strategy. DXPS functions at [...] Read more.
Pathogenic bacteria possess a remarkable ability to adapt to fluctuating host environments and cause infection. Disturbing bacterial central metabolism through inhibition of 1-deoxy-d-xylulose 5-phosphate synthase (DXPS) has the potential to hinder bacterial adaptation, representing a new antibacterial strategy. DXPS functions at a critical metabolic branchpoint to produce the metabolite DXP, a precursor to pyridoxal-5-phosphate (PLP), thiamin diphosphate (ThDP) and isoprenoids presumed essential for metabolic adaptation in nutrient-limited host environments. However, specific roles of DXPS in bacterial adaptations that rely on vitamins or isoprenoids have not been studied. Here we investigate DXPS function in an adaptation of uropathogenic E. coli (UPEC) to d-serine (d-Ser), a bacteriostatic host metabolite that is present at high concentrations in the urinary tract. UPEC adapt to d-Ser by producing a PLP-dependent deaminase, DsdA, that converts d-Ser to pyruvate, pointing to a role for DXPS-dependent PLP synthesis in this adaptation. Using a DXPS-selective probe, butyl acetylphosphonate (BAP), and leveraging the toxic effects of d-Ser, we reveal a link between DXPS activity and d-Ser catabolism. We find that UPEC are sensitized to d-Ser and produce sustained higher levels of DsdA to catabolize d-Ser in the presence of BAP. In addition, BAP activity in the presence of d-Ser is suppressed by β-alanine, the product of aspartate decarboxylase PanD targeted by d-Ser. This BAP-dependent sensitivity to d-Ser marks a metabolic vulnerability that can be exploited to design combination therapies. As a starting point, we show that combining inhibitors of DXPS and CoA biosynthesis displays synergy against UPEC grown in urine where there is increased dependence on the TCA cycle and gluconeogenesis from amino acids. Thus, this study provides the first evidence for a DXPS-dependent metabolic adaptation in a bacterial pathogen and demonstrates how this might be leveraged for development of antibacterial strategies against clinically relevant pathogens. Full article
(This article belongs to the Special Issue Antibiotics and Bacterial Metabolism)
Show Figures

Figure 1

19 pages, 2734 KB  
Article
Antimicrobial and Antibiofilm Effects of Combinatorial Treatment Formulations of Anti-Inflammatory Drugs—Common Antibiotics against Pathogenic Bacteria
by Fatemehalsadat Tabatabaeifar, Elham Isaei, Davood Kalantar-Neyestanaki and José Rubén Morones-Ramírez
Pharmaceutics 2023, 15(1), 4; https://doi.org/10.3390/pharmaceutics15010004 - 20 Dec 2022
Cited by 11 | Viewed by 5302
Abstract
With the spread of multi-drug-resistant (MDR) bacteria and the lack of effective antibiotics to treat them, developing new therapeutic methods and strategies is essential. In this study, we evaluated the antibacterial and antibiofilm activity of different formulations composed of ibuprofen (IBP), acetylsalicylic acid [...] Read more.
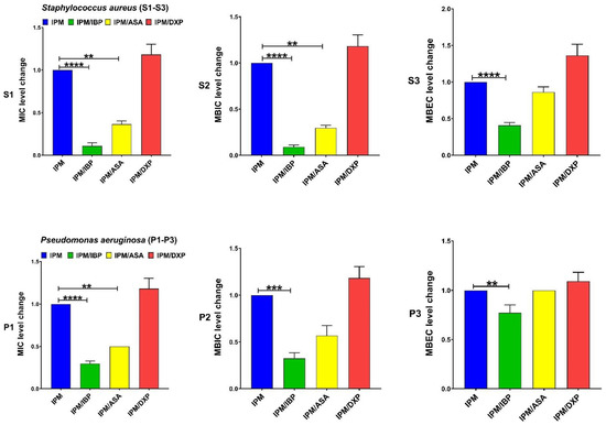
With the spread of multi-drug-resistant (MDR) bacteria and the lack of effective antibiotics to treat them, developing new therapeutic methods and strategies is essential. In this study, we evaluated the antibacterial and antibiofilm activity of different formulations composed of ibuprofen (IBP), acetylsalicylic acid (ASA), and dexamethasone sodium phosphate (DXP) in combination with ciprofloxacin (CIP), gentamicin (GEN), cefepime (FEP), imipenem (IPM), and meropenem (MEM) on clinical isolates of Staphylococcus aureus (S. aureus) and Pseudomonas aeruginosa (P. aeruginosa) as well as the transcription levels of biofilm-associated genes in the presence of sub-MICs of IBP, ASA, and DXP. The minimal inhibitory concentrations (MICs), minimal biofilm inhibitory concentrations (MBICs), and minimum biofilm eradication concentrations (MBECs) of CIP, GEN, FEP, IPM, and MEM with/without sub-MICs of IBP (200 µg/mL), ASA (200 µg/mL), and DXP (500 µg/mL) for the clinical isolates were determined by the microbroth dilution method. Quantitative real-time-PCR (qPCR) was used to determine the expression levels of biofilm-related genes, including icaA in S. aureus and algD in P. aeruginosa at sub-MICs of IBP, ASA, and DXP. All S. aureus isolates were methicillin-resistant S. aureus (MRSA), and all P. aeruginosa were resistant to carbapenems. IBP decreased the levels of MIC, MBIC, and MBEC for all antibiotic agents in both clinical isolates, except for FEP among P. aeruginosa isolates. In MRSA isolates, ASA decreased the MICs of GEN, FEP, and IPM and the MBICs of IPM and MEM. In P. aeruginosa, ASA decreased the MICs of FEP, IPM, and MEM, the MBICs of FEP and MEM, and the MBEC of FEP. DXP increased the MICs of CIP, GEN, and FEP, and the MBICs of CIP, GEN, and FEP among both clinical isolates. The MBECs of CIP and FEP for MRSA isolates and the MBECs of CIP, GEN, and MEM among P. aeruginosa isolates increased in the presence of DXP. IBP and ASA at 200 µg/mL significantly decreased the transcription level of algD in P. aeruginosa, and IBP significantly decreased the transcription level of icaA in S. aureus. DXP at 500 µg/mL significantly increased the expression levels of algD and icaA genes in S. aureus and P. aeruginosa isolates, respectively. Our findings showed that the formulations containing ASA and IBP have significant effects on decreasing the MIC, MBIC, and MBEC levels of some antibiotics and can down-regulate the expression of biofilm-related genes such as icaA and algD. Therefore, NSAIDs represent appropriate candidates for the design of new antibacterial and antibiofilm therapeutic formulations. Full article
(This article belongs to the Section Drug Delivery and Controlled Release)
Show Figures

Figure 1

9 pages, 779 KB  
Communication
Enhancing Sesquiterpenoid Production from Methane via Synergy of the Methylerythritol Phosphate Pathway and a Short-Cut Route to 1-Deoxy-D-xylulose 5-Phosphate in Methanotrophic Bacteria
by Anh Duc Nguyen, Diep Ngoc Pham, Tin Hoang Trung Chau and Eun Yeol Lee
Microorganisms 2021, 9(6), 1236; https://doi.org/10.3390/microorganisms9061236 - 7 Jun 2021
Cited by 15 | Viewed by 3630
Abstract
Sesquiterpenoids are one of the most diverse classes of isoprenoids which exhibit numerous potentials in industrial biotechnology. The methanotrophs-based methane bioconversion is a promising approach for sustainable production of chemicals and fuels from methane. With intrinsic high carbon flux though the ribulose monophosphate [...] Read more.
Sesquiterpenoids are one of the most diverse classes of isoprenoids which exhibit numerous potentials in industrial biotechnology. The methanotrophs-based methane bioconversion is a promising approach for sustainable production of chemicals and fuels from methane. With intrinsic high carbon flux though the ribulose monophosphate cycle in Methylotuvimicrobium alcaliphilum 20Z, we demonstrated here that employing a short-cut route from ribulose 5-phosphate to 1-deoxy-d-xylulose 5-phosphate (DXP) could enable a more efficient isoprenoid production via the methylerythritol 4-phosphate (MEP) pathway, using α-humulene as a model compound. An additional 2.8-fold increase in α-humulene production yield was achieved by the fusion of the nDXP enzyme and DXP reductase. Additionally, we utilized these engineering strategies for the production of another sesquiterpenoid, α-bisabolene. The synergy of the nDXP and MEP pathways improved the α-bisabolene titer up to 12.24 ± 0.43 mg/gDCW, twofold greater than that of the initial strain. This study expanded the suite of sesquiterpenoids that can be produced from methane and demonstrated the synergistic uses of the nDXP and MEP pathways for improving sesquiterpenoid production in methanotrophic bacteria. Full article
(This article belongs to the Section Microbial Biotechnology)
Show Figures

Figure 1

20 pages, 5208 KB  
Article
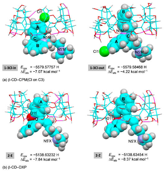
Supramolecular Complexes of β-Cyclodextrin with Clomipramine and Doxepin: Effect of the Ring Substituent and Component of Drugs on Their Inclusion Topologies and Structural Flexibilities
by Thammarat Aree
Pharmaceuticals 2020, 13(10), 278; https://doi.org/10.3390/ph13100278 - 29 Sep 2020
Cited by 16 | Viewed by 3409
Abstract
Depression is a global threat. Tricyclic antidepressants (TCAs) are still efficacious in treating depression, albeit with more side effects. Cyclodextrins (CDs) with a suitable nanocavity are potential drug carriers and can enhance the drug bioavailability. Aiming for an atomistic understanding of the CD [...] Read more.
Depression is a global threat. Tricyclic antidepressants (TCAs) are still efficacious in treating depression, albeit with more side effects. Cyclodextrins (CDs) with a suitable nanocavity are potential drug carriers and can enhance the drug bioavailability. Aiming for an atomistic understanding of the CD encapsulation facilitating the improvement of drug stability and the reduction of side effects, a comprehensive study series of the β-CD–TCA inclusion complexes through single crystal X-ray diffraction and density functional theory (DFT) calculation was undertaken. This work reports the supramolecular complexes of β-CD with two pivotal TCAs, clomipramine (CPM; 1) and doxepin (DXP; 2). The different inclusion topologies of the β-CD–TCA complexes were notable. X-ray analysis revealed that, in 1, the CPM B-ring (without chloro group) was entrapped in the β-CD cavity, whereas, in 2, the E-DXP A-ring and the Z-DXP B-ring were disordered in the cavity, yielding energetically favorable complexes primarily maintained by intermolecular C–Hπ interactions, as indicated by DFT calculation. Because both wings of TCAs were similar, an alternative inclusion scenario of the A-ring was evidenced crystallographically in four other TCA complexes. The enhanced TCA thermodynamic stabilities via CD inclusion complexation helped to reduce the side effects and to increase the bioavailability. Moreover, the scrutinization of six TCAs in different lattice circumstances revealed the greater TCA structural flexibilities for their optimum pharmacological activity while binding with proteins. Full article
(This article belongs to the Section Medicinal Chemistry)
Show Figures

Graphical abstract

29 pages, 4121 KB  
Article
Chitosan Derivatives with Mucoadhesive and Antimicrobial Properties for Simultaneous Nanoencapsulation and Extended Ocular Release Formulations of Dexamethasone and Chloramphenicol Drugs
by Aikaterini Karava, Maria Lazaridou, Stavroula Nanaki, Georgia Michailidou, Evi Christodoulou, Margaritis Kostoglou, Hermis Iatrou and Dimitrios N. Bikiaris
Pharmaceutics 2020, 12(6), 594; https://doi.org/10.3390/pharmaceutics12060594 - 26 Jun 2020
Cited by 62 | Viewed by 5484
Abstract
The aim of this work was to evaluate the effectiveness of neat chitosan (CS) and its derivatives with 2-acrylamido-2-methyl-1-propanesulfonic acid (AAMPS) and [2-(methacryloyloxy)ethyl]dimethyl-(3-sulfopropyl)ammonium hydroxide (MEDSP) as appropriate nanocarriers for the simultaneous ocular administration of dexamethasone sodium phosphate (DxP) and chloramphenicol (CHL). The derivatives [...] Read more.
The aim of this work was to evaluate the effectiveness of neat chitosan (CS) and its derivatives with 2-acrylamido-2-methyl-1-propanesulfonic acid (AAMPS) and [2-(methacryloyloxy)ethyl]dimethyl-(3-sulfopropyl)ammonium hydroxide (MEDSP) as appropriate nanocarriers for the simultaneous ocular administration of dexamethasone sodium phosphate (DxP) and chloramphenicol (CHL). The derivatives CS-AAMPS and CS-MEDSP have been synthesized by free-radical polymerization and their structure has been proved by Fourier-Transformed Infrared Spectroscopy (FT-IR) spectroscopy. Both derivatives exhibited low cytotoxicity, enhanced mucoadhesive properties and antimicrobial activity against Staphylococcus aureus (S.aureus) and Escherichia coli (E. coli). Encapsulation was performed via ionic crosslinking gelation using sodium tripolyphosphate (TPP) as the crosslinking agent. Dynamic light scattering measurements (DLS) showed that the prepared nanoparticles had bimodal distribution and sizes ranging from 50–200 nm and 300–800 nm. Drugs were encapsulated in their crystalline (CHL) or amorphous (DexSP) form inside nanoparticles and their release rate was dependent on the used polymer. The CHL dissolution rate was substantially enhanced compared to the neat drug and the release time was extended up to 7 days. The release rate of DexSP was much faster than that of CHL and was prolonged up to 3 days. Drug release modeling unveiled that diffusion is the main release mechanism for both drugs. Both prepared derivatives and their drug-loaded nanoparticles could be used for extended and simultaneous ocular release formulations of DexSP and CHL drugs. Full article
(This article belongs to the Special Issue Smart Polymeric Nanocarriers for Drug and Gene Delivery)
Show Figures

Graphical abstract

21 pages, 4310 KB  
Article
Overexpression of PtDXS Enhances Stress Resistance in Poplars
by Hui Wei, Ali Movahedi, Chen Xu, Weibo Sun, Amir Almasi Zadeh Yaghuti, Pu Wang, Dawei Li and Qiang Zhuge
Int. J. Mol. Sci. 2019, 20(7), 1669; https://doi.org/10.3390/ijms20071669 - 3 Apr 2019
Cited by 24 | Viewed by 4082
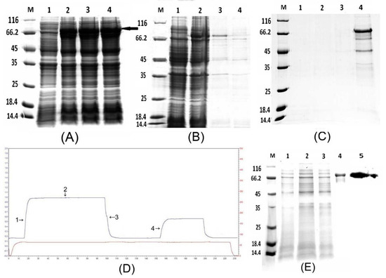
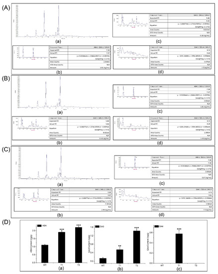
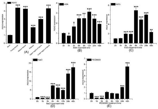
Abstract
1-Deoxy-d-xylulose-5-phosphate synthase (DXS) is the rate-limiting enzyme in the plastidial methylerythritol phosphate pathway (MEP). In this study, PtDXS (XM_024607716.1) was isolated from Populus trichocarpa. A bioinformatics analysis revealed that PtDXS had high homology with the DXSs of other plant [...] Read more.
1-Deoxy-d-xylulose-5-phosphate synthase (DXS) is the rate-limiting enzyme in the plastidial methylerythritol phosphate pathway (MEP). In this study, PtDXS (XM_024607716.1) was isolated from Populus trichocarpa. A bioinformatics analysis revealed that PtDXS had high homology with the DXSs of other plant species. PtDXS expression differed among plant tissues and was highest in young leaves and lowest in roots. The recombinant protein was produced in Escherichia coli BL21 (DE3), purified, and its activity evaluated. The purified protein was capable of catalyzing the formation of 1-deoxy-d-xylulose-5-phosphate (DXP) from glyceraldehyde-3-phosphate and pyruvate. A functional color assay in E. coli harboring pAC-BETA indicated that PtDXS encodes a functional protein involved in the biosynthesis of isoprenoid precursors. The treatment of P. trichocarpa seedlings with 200 μM abscisic acid (ABA), 200 mM NaCl, 10% polyethylene glycol6000, and 2 mM H2O2 resulted in increased expression of PtDXS. The ABA and gibberellic acid contents of the transgenic lines (Poplar Nanlin 895) were higher than wild types, suggesting that DXS is important in terpenoid biosynthesis. Overexpression of PtDXS enhanced resistance to S. populiperda infection. Furthermore, the transgenic lines showed decreased feeding by Micromelalopha troglodyta, supporting the notion that PtDXS is a key enzyme in terpenoid biosynthesis. Full article
(This article belongs to the Section Molecular Plant Sciences)
Show Figures

Figure 1

13 pages, 1747 KB  
Article
Engineering Pathways in Central Carbon Metabolism Help to Increase Glycan Production and Improve N-Type Glycosylation of Recombinant Proteins in E. coli
by Benjamin Strutton, Stephen RP Jaffe, Caroline A Evans, Gregory JS Fowler, Paul D Dobson, Jagroop Pandhal and Phillip C Wright
Bioengineering 2019, 6(1), 27; https://doi.org/10.3390/bioengineering6010027 - 21 Mar 2019
Cited by 10 | Viewed by 6955
Abstract
Escherichia coli strains have been modified in a variety of ways to enhance the production of different recombinant proteins, targeting membrane protein expression, proteins with disulphide bonds, and more recently, proteins which require N-linked glycosylation. The addition of glycans to proteins remains [...] Read more.
Escherichia coli strains have been modified in a variety of ways to enhance the production of different recombinant proteins, targeting membrane protein expression, proteins with disulphide bonds, and more recently, proteins which require N-linked glycosylation. The addition of glycans to proteins remains a relatively inefficient process and here we aimed to combine genetic modifications within central carbon metabolic pathways in order to increase glycan precursor pools, prior to transfer onto polypeptide backbones. Using a lectin screen that detects cell surface representation of glycans, together with Western blot analyses using an O-antigen ligase mutant strain, the enhanced uptake and phosphorylation of sugars (ptsA) from the media combined with conservation of carbon through the glyoxylate shunt (icl) improved glycosylation efficiency of a bacterial protein AcrA by 69% and over 100% in an engineered human protein IFN-α2b. Unexpectedly, overexpression of a gene involved in the production of DXP from pyruvate (dxs), which was previously seen to have a positive impact on glycosylation, was detrimental to process efficiency and the possible reasons for this are discussed. Full article
Show Figures

Figure 1

15 pages, 1552 KB  
Article
A Modified Kulka Micromethod for the Rapid and Safe Analysis of Fructose and 1-Deoxy-d-xylulose-5-phosphate
by Shreya Shaw and Robin Ghosh
Metabolites 2018, 8(4), 77; https://doi.org/10.3390/metabo8040077 - 8 Nov 2018
Cited by 1 | Viewed by 4797
Abstract
The Kulka resorcinol assay (Kulka, R.G., Biochemistry 1956, 63, 542–548) for ketoses has been widely used in the literature but suffers from two major disadvantages: (a) it employs large amounts of potentially harmful reagents for a general biology laboratory environment; and (b) [...] Read more.
The Kulka resorcinol assay (Kulka, R.G., Biochemistry 1956, 63, 542–548) for ketoses has been widely used in the literature but suffers from two major disadvantages: (a) it employs large amounts of potentially harmful reagents for a general biology laboratory environment; and (b) in its original formulation, it is unsuited for modern high-throughput applications. Here, we have developed a modified Kulka assay, which contains a safer formulation, employing approx. 5.4 M HCl in 250 µL aliquots, and is suitable for use in high-throughput systems biology or enzymatic applications. The modified assay has been tested extensively for the measurement of two ketoses—fructose (a common substrate in cell growth experiments) and 1-deoxy-d-xylulose-5-phosphate (DXP), the product of the DXP-synthase reaction—which until now has only been assayable using time-consuming chromatographic methods or radioactivity. The Kulka microassay has a sensitivity of 0–250 nmol fructose or 0–500 nmol DXP. The assay is suitable for monitoring the consumption of fructose in bacterial growth experiments but is too insensitive to be used directly for the measurement of DXP in in vitro enzyme assays. However, we show that after concentration of the DXP-enzyme mix by butanol extraction, the Kulka resorcinol method can be used for enzyme assays. Full article
Show Figures

Graphical abstract

13 pages, 4102 KB  
Article
Healing of Ischemic Colon Anastomosis in Rats Could Be Provided by Administering Dexpanthenol or Coenzyme Q10
by Faruk Pehlivanlı, Oktay Aydin, Gökhan Karaca, Gülçin Aydin, Tuba Devrim, Huri Bulut, Bülent Bakar and Çağatay Erden Daphan
J. Clin. Med. 2018, 7(7), 161; https://doi.org/10.3390/jcm7070161 - 25 Jun 2018
Cited by 5 | Viewed by 3796
Abstract
Background: In this study, the effectiveness of dexpanthenol and coenzyme Q10 (CoQ10) on the healing of ischemic colon anastomosis was investigated. Methods: Forty eight male Wistar Albino rats were divided into four equal groups (Sham-S, Sham-I, DXP, Q10). Following full layer colon resection, [...] Read more.
Background: In this study, the effectiveness of dexpanthenol and coenzyme Q10 (CoQ10) on the healing of ischemic colon anastomosis was investigated. Methods: Forty eight male Wistar Albino rats were divided into four equal groups (Sham-S, Sham-I, DXP, Q10). Following full layer colon resection, single layer colon anastomosis, without creating ischemia, was performed on the Sham-S group. The same experimental model was performed on remaining groups after ischemia was created. Intraperitoneal dexpanthenol and CoQ10 was administered to the DXP and Q10 groups once a day for three days. Ten days later, all colon anastomoses were investigated histopathologically and biochemically, as well as their burst pressure values, in all sacrificed rats. Results: The highest burst pressure value was observed in the Sham-S group, decreasing from high to low in the DXP, Q10, and Sham-I groups, respectively (p = 0.008). Furthermore, tissue hydroxyproline (p = 0.001) level values were significantly different among the groups. Additionally, histopathological analysis revealed a significant difference among groups regarding reepithelization (p = 0.027) and polymorphonuclear leukocyte density (p = 0.022). Conclusions: This preliminary study has shown that ischemia-reperfusion injury may impair the healing of colon anastomosis and it has been concluded that dexpanthenol and CoQ10 may have positive effects on the healing of ischemic colon anastomosis in rat, although re-epithelization may be adversely affected using CoQ10. Full article
Show Figures

Figure 1

17 pages, 1047 KB  
Article
Intelligent Color Vision System for Ripeness Classification of Oil Palm Fresh Fruit Bunch
by Norasyikin Fadilah, Junita Mohamad-Saleh, Zaini Abdul Halim, Haidi Ibrahim and Syed Salim Syed Ali
Sensors 2012, 12(10), 14179-14195; https://doi.org/10.3390/s121014179 - 22 Oct 2012
Cited by 83 | Viewed by 13752
Abstract
Ripeness classification of oil palm fresh fruit bunches (FFBs) during harvesting is important to ensure that they are harvested during optimum stage for maximum oil production. This paper presents the application of color vision for automated ripeness classification of oil palm FFB. Images [...] Read more.
Ripeness classification of oil palm fresh fruit bunches (FFBs) during harvesting is important to ensure that they are harvested during optimum stage for maximum oil production. This paper presents the application of color vision for automated ripeness classification of oil palm FFB. Images of oil palm FFBs of type DxP Yangambi were collected and analyzed using digital image processing techniques. Then the color features were extracted from those images and used as the inputs for Artificial Neural Network (ANN) learning. The performance of the ANN for ripeness classification of oil palm FFB was investigated using two methods: training ANN with full features and training ANN with reduced features based on the Principal Component Analysis (PCA) data reduction technique. Results showed that compared with using full features in ANN, using the ANN trained with reduced features can improve the classification accuracy by 1.66% and is more effective in developing an automated ripeness classifier for oil palm FFB. The developed ripeness classifier can act as a sensor in determining the correct oil palm FFB ripeness category. Full article
(This article belongs to the Special Issue Sensor-Based Technologies and Processes in Agriculture and Forestry)
Show Figures

Graphical abstract

Back to TopTop