Sign in to use this feature.

Years

Between: -

Subjects

remove_circle_outline
remove_circle_outline
remove_circle_outline
remove_circle_outline
remove_circle_outline
remove_circle_outline

Journals

Article Types

Countries / Regions

Search Results (13)

Search Parameters:
Keywords = Cladosiphon okamuranus

Order results
Result details
Results per page
Select all
Export citation of selected articles as:
12 pages, 1439 KB  
Article
Incorporation of Silver into Sulfate Groups Enhances Antimicrobial and Antiviral Effects of Fucoidan
by Akira Iwata, Mayuko Yamamoto-Fujimura, Suzuka Fujiwara, Saya Tajima, Takahide Shigeyama, Moriya Tsukimoto, Tatsuya Ibuki and Akito Kataoka-Kato
Mar. Drugs 2024, 22(11), 486; https://doi.org/10.3390/md22110486 - 29 Oct 2024
Cited by 1 | Viewed by 2661
Abstract
The COVID-19 pandemic has significantly impacted our daily lives. Routine infection-control measures present an effective preventive strategy for a new infectious disease outbreak. Fucoidan, a fucose-rich sulfated polysaccharide found in brown algae, exhibits antiviral activity. Moreover, fucoidan exerts an antimicrobial effect; however, it [...] Read more.
The COVID-19 pandemic has significantly impacted our daily lives. Routine infection-control measures present an effective preventive strategy for a new infectious disease outbreak. Fucoidan, a fucose-rich sulfated polysaccharide found in brown algae, exhibits antiviral activity. Moreover, fucoidan exerts an antimicrobial effect; however, it requires considerably higher concentrations than those needed for its antiviral effect. In this study, we aimed to enhance the antimicrobial activity of fucoidan and prepared a fucoidan silver salt (Ag-Fuc) by incorporating silver ions into the sulfate groups of Yakult Fucoidan derived from Cladosiphon okamuranus Tokida. The fucoidan exhibited a weak inhibitory effect on Escherichia coli growth at significantly higher concentrations, whereas Ag-Fuc inhibited the growth of E. coli and Staphylococcus epidermidis at concentrations comparable to those required for its antiviral effects. Moreover, Ag-Fuc inhibited the growth of Cladosporium cladosporioides. Infections of human cells with severe acute respiratory syndrome coronavirus 2 (SARS-CoV-2) and influenza A virus were more effectively inhibited by lower concentrations of Ag-Fuc compared with fucoidan. Overall, silver ions added to the sulfate groups induced strong antimicrobial activity and enhanced the antiviral effect of fucoidan. We suggest a wide application of Ag-Fuc as a routine preventive material to avoid new infectious disease pandemics. Full article
(This article belongs to the Special Issue Marine Algal Compounds with Antimicrobial Activities)
Show Figures

Graphical abstract

23 pages, 5079 KB  
Article
Supply Chain-Based Coral Conservation: The Case of Mozuku Seaweed Farming in Onna Village, Okinawa
by Reiko Omoto, Masato Uehara, Daigo Seki and Masaru Kinjo
Sustainability 2024, 16(7), 2713; https://doi.org/10.3390/su16072713 - 26 Mar 2024
Cited by 2 | Viewed by 5267
Abstract
Blue foods, including seaweed, have been overlooked in food systems analysis and policy-making due to a lack of available data. However, seaweed cultivation is gaining attention as a restorative aquaculture that could contribute to ocean health by serving as blue carbon or nurturing [...] Read more.
Blue foods, including seaweed, have been overlooked in food systems analysis and policy-making due to a lack of available data. However, seaweed cultivation is gaining attention as a restorative aquaculture that could contribute to ocean health by serving as blue carbon or nurturing seagrass beds. Commercial restorative aquaculture may provide market-based solutions for improving ocean health. The Onna Village Fisheries Cooperative producers have been restoring corals, knowing empirically that when the coral weakens, the yield of Mozuku seaweed drops. Furthermore, measures taken to reduce red soil run-off prevent the reduction in Mozuku quality and quantity and protect seagrass beds, since Mozuku cultivators have continued to use them as an important nursery. The fishery cooperative and the seaweed processing company, Igeta Takeuchi Co., Ltd., have jointly developed high-quality Mozuku that is resistant to climate change and extreme weather conditions through strain selection. Based on this case, this paper examines the following questions: (1) What quality assurance technique is necessary to continue restorative aquaculture as a market-based solution over the long term? (2) What social platforms and communication channels are available to stakeholders to maintain restorative aquaculture in the long run? To answer these questions, Japanese consumer cooperatives that established “the Mozuku Fund” are also examined. This case study of Mozuku highlights how the sustainability and quality of marine products are maintained throughout the whole supply chain, focusing on the power of the Japanese consumers’ cooperative. Full article
(This article belongs to the Special Issue Sustainability in the Seafood Chain and Impacts on Product Quality)
Show Figures

Figure 1

14 pages, 2242 KB  
Article
The Cell Wall Characterization of Brown Alga Cladosiphon okamuranus during Growth
by Yuka Miwa, Mahanama Geegana Gamage Awanthi, Kouichi Soga, Atsuko Tanaka, Michihiro Ito, Yuichiro Numata, Yoichi Sato and Teruko Konishi
Plants 2023, 12(18), 3274; https://doi.org/10.3390/plants12183274 - 15 Sep 2023
Cited by 2 | Viewed by 3870
Abstract
The present study provides new insights into the growth of the brown algal cell wall by showing that cell wall polysaccharides play an important role in the process of growth, considering the physicochemical characteristic of young and old Cladosiphon okamuranus. To determine [...] Read more.
The present study provides new insights into the growth of the brown algal cell wall by showing that cell wall polysaccharides play an important role in the process of growth, considering the physicochemical characteristic of young and old Cladosiphon okamuranus. To determine its structural variation in detail, the cell wall was sequentially fractionated into five fractions: hot water (HW), ammonium oxalate, hemicellulose-I (HC–I), HC-II, and cellulose, and analyzed physicochemically. Results showed that almost 80% of the total recovery cell wall from both young and old thalli was HW, and HC-I contained mainly fucoidan composed of Fucose, Glucuronic acid, and sulfate in molar ratios of 1.0:0.3:0.6~0.7 and 1.0:0.3:0.2~0.3, respectively. Fucoidan in HW was a highly sulfated matrix polysaccharide abundance in young thalli, while fucoidan in HC-I was rich in old thalli and functions as hemicellulose in land plants, crosslinking with cellulose and strengthening the cell wall. We found that HW and HC-I were particularly involved in the growth and strength of old thalli appeared to be due to the deposition of HC-I and the reduction in water content during the growth process. Full article
(This article belongs to the Special Issue Current Topics in Macroalgal Research)
Show Figures

Figure 1

10 pages, 1031 KB  
Article
Effects of Ingesting Fucoidan Derived from Cladosiphon okamuranus Tokida on Human NK Cells: A Randomized, Double-Blind, Parallel-Group, Placebo-Controlled Pilot Study
by Makoto Tomori, Takeaki Nagamine, Tomofumi Miyamoto and Masahiko Iha
Mar. Drugs 2021, 19(6), 340; https://doi.org/10.3390/md19060340 - 15 Jun 2021
Cited by 12 | Viewed by 5599
Abstract
The aim of this study was to evaluate the effects of ingesting fucoidan derived from Okinawa mozuku (Cladosiphon okamuranus) on natural killer (NK) cell activity and to assess its safety in healthy adults via a randomized, double-blind, parallel-group, placebo-controlled pilot study. [...] Read more.
The aim of this study was to evaluate the effects of ingesting fucoidan derived from Okinawa mozuku (Cladosiphon okamuranus) on natural killer (NK) cell activity and to assess its safety in healthy adults via a randomized, double-blind, parallel-group, placebo-controlled pilot study. Subjects were randomly divided into two groups—a placebo group (ingesting citric acid, sucralose, and caramel beverages; n = 20; 45.5 ± 7.8 years (mean ± standard deviation)) and a fucoidan group (3.0 g/day from beverages; n = 20; 47.0 ± 7.6 years); after 12 weeks, blood, biochemical, and immunological tests were performed. Clinically adverse events were not observed in any of the tests during the study period. In addition, adverse events due to the test food were not observed. In the immunological tests, NK cell activity was significantly enhanced at 8 weeks in the fucoidan group, compared to before ingestion (0 weeks). In addition, a significantly enhanced NK cell activity was observed in male subjects at 8 weeks, compared with the placebo group. These results confirm that Okinawa mozuku-derived fucoidan enhances NK cell activity and suggest that it is a safe food material. Full article
(This article belongs to the Special Issue Fucoidans Ⅱ: Immunomodulating Activity of Fucoidans)
Show Figures

Figure 1

11 pages, 1059 KB  
Article
Are Helicobacter pylori Infection and Fucoidan Consumption Associated with Fucoidan Absorption?
by Makoto Tomori, Takeaki Nagamine and Masahiko Iha
Mar. Drugs 2020, 18(5), 235; https://doi.org/10.3390/md18050235 - 30 Apr 2020
Cited by 8 | Viewed by 5202
Abstract
We examined the associations of Helicobacter pylori and mozuku consumption with fucoidan absorption. Overall, 259 Japanese volunteers consumed 3 g fucoidan, and their urine samples were collected to measure fucoidan values and H. pylori titers before and 3, 6, and 9 h after [...] Read more.
We examined the associations of Helicobacter pylori and mozuku consumption with fucoidan absorption. Overall, 259 Japanese volunteers consumed 3 g fucoidan, and their urine samples were collected to measure fucoidan values and H. pylori titers before and 3, 6, and 9 h after fucoidan ingestion. Compared to the basal levels (3.7 ± 3.4 ng/mL), the urinary fucoidan values significantly increased 3, 6, and 9 h (15.3 ± 18.8, 24.4 ± 35.1, and 24.2 ± 35.2 ng/mL, respectively) after fucoidan ingestion. The basal fucoidan levels were significantly lower in H. pylori-negative subjects who rarely ate mozuku than in those who regularly consumed it. Regarding the ΔMax fucoidan value (highest value − basal value) in H. pylori-positive subjects who ate mozuku at least once a month, those aged ≥40 years exhibited significantly lower values than <40 years old. Among subjects ≥40 years old who regularly consumed mozuku, the ΔMax fucoidan value was significantly lower in H. pylori-positive subjects than in H. pylori-negative ones. In H. pylori-positive subjects who ate mozuku at least once monthly, basal fucoidan values displayed positive correlations with H. pylori titers and ΔMax fucoidan values in subjects <40 years old. No correlations were found in H. pylori-positive subjects who ate mozuku once every 2–3 months or less. Thus, fucoidan absorption is associated with H. pylori infection and frequency of mozuku consumption. Full article
(This article belongs to the Special Issue Fucoidans)
Show Figures

Figure 1

13 pages, 2358 KB  
Article
Improvement of Psoriasis by Alteration of the Gut Environment by Oral Administration of Fucoidan from Cladosiphon Okamuranus
by Masanobu Takahashi, Kento Takahashi, Sunao Abe, Kosuke Yamada, Manami Suzuki, Mai Masahisa, Mari Endo, Keiko Abe, Ryo Inoue and Hiroko Hoshi
Mar. Drugs 2020, 18(3), 154; https://doi.org/10.3390/md18030154 - 10 Mar 2020
Cited by 28 | Viewed by 6011
Abstract
Psoriasis is a chronic autoimmune inflammatory disease for which there is no cure; it results in skin lesions and has a strong negative impact on patients’ quality of life. Fucoidan from Cladosiphon okamuranus is a dietary seaweed fiber with immunostimulatory effects. The present [...] Read more.
Psoriasis is a chronic autoimmune inflammatory disease for which there is no cure; it results in skin lesions and has a strong negative impact on patients’ quality of life. Fucoidan from Cladosiphon okamuranus is a dietary seaweed fiber with immunostimulatory effects. The present study reports that the administration of fucoidan provided symptomatic relief of facial itching and altered the gut environment in the TNF receptor-associated factor 3-interacting protein 2 (Traf3ip2) mutant mice (m-Traf3ip2 mice); the Traf3ip2 mutation was responsible for psoriasis in the mouse model used in this study. A fucoidan diet ameliorated symptoms of psoriasis and decreased facial scratching. In fecal microbiota analysis, the fucoidan diet drastically altered the presence of major intestinal opportunistic microbiota. At the same time, the fucoidan diet increased mucin volume in ileum and feces, and IgA contents in cecum. These results suggest that dietary fucoidan may play a significant role in the prevention of dysfunctional immune diseases by improving the intestinal environment and increasing the production of substances that protect the immune system. Full article
(This article belongs to the Special Issue Fucoidans)
Show Figures

Graphical abstract

23 pages, 3107 KB  
Article
Genome–Scale Metabolic Networks Shed Light on the Carotenoid Biosynthesis Pathway in the Brown Algae Saccharina japonica and Cladosiphon okamuranus
by Delphine Nègre, Méziane Aite, Arnaud Belcour, Clémence Frioux, Loraine Brillet-Guéguen, Xi Liu, Philippe Bordron, Olivier Godfroy, Agnieszka P. Lipinska, Catherine Leblanc, Anne Siegel, Simon M. Dittami, Erwan Corre and Gabriel V. Markov
Antioxidants 2019, 8(11), 564; https://doi.org/10.3390/antiox8110564 - 16 Nov 2019
Cited by 18 | Viewed by 5917
Abstract
Understanding growth mechanisms in brown algae is a current scientific and economic challenge that can benefit from the modeling of their metabolic networks. The sequencing of the genomes of Saccharina japonica and Cladosiphon okamuranus has provided the necessary data for the reconstruction of [...] Read more.
Understanding growth mechanisms in brown algae is a current scientific and economic challenge that can benefit from the modeling of their metabolic networks. The sequencing of the genomes of Saccharina japonica and Cladosiphon okamuranus has provided the necessary data for the reconstruction of Genome–Scale Metabolic Networks (GSMNs). The same in silico method deployed for the GSMN reconstruction of Ectocarpus siliculosus to investigate the metabolic capabilities of these two algae, was used. Integrating metabolic profiling data from the literature, we provided functional GSMNs composed of an average of 2230 metabolites and 3370 reactions. Based on these GSMNs and previously published work, we propose a model for the biosynthetic pathways of the main carotenoids in these two algae. We highlight, on the one hand, the reactions and enzymes that have been preserved through evolution and, on the other hand, the specificities related to brown algae. Our data further indicate that, if abscisic acid is produced by Saccharina japonica, its biosynthesis pathway seems to be different in its final steps from that described in land plants. Thus, our work illustrates the potential of GSMNs reconstructions for formalizing hypotheses that can be further tested using targeted biochemical approaches. Full article
(This article belongs to the Special Issue Marine Algal Antioxidants)
Show Figures

Graphical abstract

8 pages, 563 KB  
Article
Evaluation of the Immunomodulatory Effects of Fucoidan Derived from Cladosiphon Okamuranus Tokida in Mice
by Makoto Tomori, Takeaki Nagamine, Tomofumi Miyamoto and Masahiko Iha
Mar. Drugs 2019, 17(10), 547; https://doi.org/10.3390/md17100547 - 24 Sep 2019
Cited by 49 | Viewed by 6510
Abstract
Okinawa mozuku (Cladosiphon okamuranus Tokida) is an edible seaweed classified as brown algae and is a native species of the Ryukyu Islands in Japan. In recent years, the genomic decoding of Okinawa mozuku has been completed. Previous studies on the anti-inflammatory, antiviral, [...] Read more.
Okinawa mozuku (Cladosiphon okamuranus Tokida) is an edible seaweed classified as brown algae and is a native species of the Ryukyu Islands in Japan. In recent years, the genomic decoding of Okinawa mozuku has been completed. Previous studies on the anti-inflammatory, antiviral, and antitumor properties of Okinawa mozuku have suggested that it affects the regulation of cellular and humoral immunity. The aim of the present study was to examine the immunoregulatory effect of fucoidan derived from Okinawa mozuku in mice. A product containing fucoidan (purity, 88.3%; molecular weight, 49.8 kDa) was developed from Okinawa mozuku and tested for its immunoregulatory effects in mice. The experimental animals were 8-week-old female BALB/c mice to which fucoidan (0, 102.5, 205.0, 410.0, and 1025.0 mg/kg) was administered orally continuously for six weeks. Immune cell proliferation, cytokine production, macrophage phagocytosis, and serum antibody concentration were measured. We found that immune cell proliferation, interleukin (IL)-2, macrophage phagocytes, and serum antibodies (IgM, -G, -A) increased significantly, but IL-4, -5, and IgE decreased significantly. These results indicated that fucoidan modulated cellular and humoral immunity. Full article
Show Figures

Figure 1

10 pages, 1929 KB  
Article
Anti-Oxidant and Fucoxanthin Contents of Brown Alga Ishimozuku (Sphaerotrichia divaricata) from the West Coast of Aomori, Japan
by Hayato Maeda, Satoru Fukuda, Hikari Izumi and Naotsune Saga
Mar. Drugs 2018, 16(8), 255; https://doi.org/10.3390/md16080255 - 30 Jul 2018
Cited by 56 | Viewed by 5783
Abstract
Fucoxanthin is a specific carotenoid in brown seaweeds with remarkable biological properties. Ishimozuku (Sphaerotrichia divaricata), an edible brown alga from northern Japan, has morphology that is almost identical to that of Okinawa-mozuku (Cladosiphon okamuranus) harvested off Okinawa, Japan. However, [...] Read more.
Fucoxanthin is a specific carotenoid in brown seaweeds with remarkable biological properties. Ishimozuku (Sphaerotrichia divaricata), an edible brown alga from northern Japan, has morphology that is almost identical to that of Okinawa-mozuku (Cladosiphon okamuranus) harvested off Okinawa, Japan. However, because of Ishimozuku’s lower availability compared to Okinawa-mozuku, the contents of its nutrient compounds remain unclear. The present study analyzed fucoxanthin and anti-oxidant compound contents of Ishimozuku harvested off the northern coast of Japan from 2014 to 2016. First, 80% ethanol extract solutions were prepared from Ishimozuku harvested from several west coast areas of Aomori, Japan. Then, polyphenol content was analyzed using the Folin–Ciocalteu method. Then anti-oxidative effects were analyzed by their 1,1-diphenyl-2-picrylhydrazyl (DPPH) radical scavenging activity and hydrogen peroxide scavenging activity. Furthermore, fucoxanthin contents were measured using high performance liquid chromatography (HPLC) analysis. Fucoxanthin contents of Ishimozuku were 105.6–1148.5 μg/g dry weight. Total polyphenol contents of Ishimozuku were of 0.296–0.958 mg/g dry weight: higher than Okinawa-mozuku (0.082 ± 0.011 mg/g dry weight). The anti-oxidation effects of Ishimozuku accompanied the polyphenol content. These results suggest that Ishimozuku contains various anti-oxidant components and has high potential to provide the promotion of human health. Full article
(This article belongs to the Special Issue Seaweeds and Their Biological Actions)
Show Figures

Figure 1

16 pages, 816 KB  
Article
Sulphated Polysaccharides from Ulva clathrata and Cladosiphon okamuranus Seaweeds both Inhibit Viral Attachment/Entry and Cell-Cell Fusion, in NDV Infection
by José Alberto Aguilar-Briseño, Lucia Elizabeth Cruz-Suarez, Jean-François Sassi, Denis Ricque-Marie, Pablo Zapata-Benavides, Edgar Mendoza-Gamboa, Cristina Rodríguez-Padilla and Laura María Trejo-Avila
Mar. Drugs 2015, 13(2), 697-712; https://doi.org/10.3390/md13020697 - 26 Jan 2015
Cited by 153 | Viewed by 12584
Abstract
Sulphated polysaccharides (SP) extracted from seaweeds have antiviral properties and are much less cytotoxic than conventional drugs, but little is known about their mode of action. Combination antiviral chemotherapy may offer advantages over single agent therapy, increasing efficiency, potency and delaying the emergence [...] Read more.
Sulphated polysaccharides (SP) extracted from seaweeds have antiviral properties and are much less cytotoxic than conventional drugs, but little is known about their mode of action. Combination antiviral chemotherapy may offer advantages over single agent therapy, increasing efficiency, potency and delaying the emergence of resistant virus. The paramyxoviridae family includes pathogens causing morbidity and mortality worldwide in humans and animals, such as the Newcastle Disease Virus (NDV) in poultry. This study aims at determining the antiviral activity and mechanism of action in vitro of an ulvan (SP from the green seaweed Ulva clathrata), and of its mixture with a fucoidan (SP from Cladosiphon okamuranus), against La Sota NDV strain. The ulvan antiviral activity was tested using syncytia formation, exhibiting an IC50 of 0.1 μg/mL; ulvan had a better anti cell-cell spread effect than that previously shown for fucoidan, and inhibited cell-cell fusion via a direct effect on the F0 protein, but did not show any virucidal effect. The mixture of ulvan and fucoidan showed a greater anti-spread effect than SPs alone, but ulvan antagonizes the effect of fucoidan on the viral attachment/entry. Both SPs may be promising antivirals against paramyxovirus infection but their mixture has no clear synergistic advantage. Full article
(This article belongs to the Special Issue Marine Anti-infective Agents)
Show Figures

Figure 1

17 pages, 1186 KB  
Article
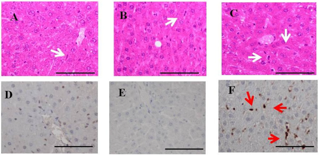
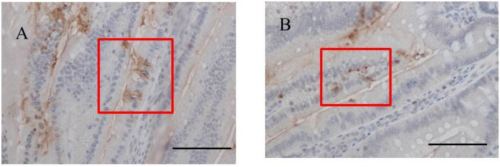
Intestinal Absorption of Fucoidan Extracted from the Brown Seaweed, Cladosiphon okamuranus
by Takeaki Nagamine, Kyoumi Nakazato, Satoru Tomioka, Masahiko Iha and Katsuyuki Nakajima
Mar. Drugs 2015, 13(1), 48-64; https://doi.org/10.3390/md13010048 - 25 Dec 2014
Cited by 138 | Viewed by 11087
Abstract
The aim of this study was to examine the absorption of fucoidan through the intestinal tract. Fucoidan (0.1, 0.5, 1.0, 1.5 and 2.0 mg/mL) was added to Transwell inserts containing Caco-2 cells. The transport of fucoidan across Caco-2 cells increased in a dose-dependent [...] Read more.
The aim of this study was to examine the absorption of fucoidan through the intestinal tract. Fucoidan (0.1, 0.5, 1.0, 1.5 and 2.0 mg/mL) was added to Transwell inserts containing Caco-2 cells. The transport of fucoidan across Caco-2 cells increased in a dose-dependent manner up to 1.0 mg/mL. It reached a maximum after 1 h and then rapidly decreased. In another experiment, rats were fed standard chow containing 2% fucoidan for one or two weeks. Immunohistochemical staining revealed that fucoidan accumulated in jejunal epithelial cells, mononuclear cells in the jejunal lamina propria and sinusoidal non-parenchymal cells in the liver. Since we previously speculated that nitrosamine may enhance the intestinal absorption of fucoidan, its absorption was estimated in rats administered N-butyl-N-(4-hydroxybutyl) nitrosamine (BBN) in their drinking water. Rats were fed 0.2% fucoidan chow (BBN + 0.2% fucoidan rats), 2% fucoidan chow (BBN + 2% fucoidan rats) and standard chow for eight weeks. The uptake of fucoidan through the intestinal tract seemed to be low, but was measurable by our ELISA method. Fucoidan-positive cells were abundant in the small intestinal mucosa of BBN + 2% fucoidan rats. Most fucoidan-positive cells also stained positive for ED1, suggesting that fucoidan was incorporated into intestinal macrophages. The uptake of fucoidan by Kupffer cells was observed in the livers of BBN + 2% fucoidan rats. In conclusion, the absorption of fucoidan through the small intestine was demonstrated both in vivo and in vitro. Full article
Show Figures

Figure 1

15 pages, 578 KB  
Article
Influence of Fucoidans on Hemostatic System
by Nadezhda E. Ustyuzhanina, Natalia A. Ushakova, Ksenia A. Zyuzina, Maria I. Bilan, Anna L. Elizarova, Oksana V. Somonova, Albina V. Madzhuga, Vadim B. Krylov, Marina E. Preobrazhenskaya, Anatolii I. Usov, Mikhail V. Kiselevskiy and Nikolay E. Nifantiev
Mar. Drugs 2013, 11(7), 2444-2458; https://doi.org/10.3390/md11072444 - 12 Jul 2013
Cited by 76 | Viewed by 9916
Abstract
Three structurally different fucoidans from the brown seaweeds Saccharina latissima (SL), Fucus vesiculosus (FV), and Cladosiphon okamuranus (CO), two chemically modified fucoidans with a higher degree of sulfation (SL-S, CO-S), and a synthetic totally sulfated octasaccharide (OS), related to fucoidans, were assessed on [...] Read more.
Three structurally different fucoidans from the brown seaweeds Saccharina latissima (SL), Fucus vesiculosus (FV), and Cladosiphon okamuranus (CO), two chemically modified fucoidans with a higher degree of sulfation (SL-S, CO-S), and a synthetic totally sulfated octasaccharide (OS), related to fucoidans, were assessed on anticoagulant and antithrombotic activities in different in vitro experiments. The effects were shown to depend on the structural features of the compounds tested. Native fucoidan SL with a degree of sulfation (DS) of 1.3 was found to be the most active sample, fucoidan FV (DS 0.9) demonstrated moderate activity, while the polysaccharide CO (DS 0.4) was inactive in all performed experiments, even at high concentrations. Additional introduction of sulfate groups into fucoidan SL slightly decreased the anticoagulant effect of SL-S, while sulfation of CO, giving rise to the preparation CO-S, increased the activity dramatically. The high level of anticoagulant activity of polysaccharides SL, SL-S, and CO-S was explained by their ability to form ternary complexes with ATIII-Xa and ATIII-IIa, as well as to bind directly to thrombin. Synthetic per-O-sulfated octasaccharide OS showed moderate anticoagulant effect, determined mainly by the interaction of OS with the factor Xa in the presence of ATIII. Comparable tendencies were observed in the antithrombotic properties of the compounds tested. Full article
Show Figures

Figure 1

12 pages, 388 KB  
Article
Effects of Oral Administration of Fucoidan Extracted from Cladosiphon okamuranus on Tumor Growth and Survival Time in a Tumor-Bearing Mouse Model
by Kazuo Azuma, Toshitsugu Ishihara, Hiroyuki Nakamoto, Takao Amaha, Tomohiro Osaki, Takeshi Tsuka, Tomohiro Imagawa, Saburo Minami, Osamu Takashima, Shinsuke Ifuku, Minoru Morimoto, Hiroyuki Saimoto, Hitoshi Kawamoto and Yoshiharu Okamoto
Mar. Drugs 2012, 10(10), 2337-2348; https://doi.org/10.3390/md10102337 - 22 Oct 2012
Cited by 69 | Viewed by 11388
Abstract
We evaluated the anti-tumor activities of the oral administration of fucoidan extracted from Cladosiphon okamuranus using a tumor (colon 26)-bearing mouse model. The materials used included low-molecular-weight fucoidan (LMWF: 6.5–40 kDa), intermediate-molecular-weight fucoidan (IMWF: 110–138 kDa) and high-molecular-weight fucoidan (HMWF: 300–330 kDa). [...] Read more.
We evaluated the anti-tumor activities of the oral administration of fucoidan extracted from Cladosiphon okamuranus using a tumor (colon 26)-bearing mouse model. The materials used included low-molecular-weight fucoidan (LMWF: 6.5–40 kDa), intermediate-molecular-weight fucoidan (IMWF: 110–138 kDa) and high-molecular-weight fucoidan (HMWF: 300–330 kDa). The IMWF group showed significantly suppressed tumor growth. The LMWF and HMWF groups showed significantly increased survival times compared with that observed in the control group (mice fed a fucoidan-free diet). The median survival times in the control, LMWF, IMWF and HMWF groups were 23, 46, 40 and 43 days, respectively. It was also found that oral administration of fucoidan increased the population of natural killer cells in the spleen. Furthermore, from the results of the experiment using Myd-88 knockout mice, it was found that these effects are related to gut immunity. These results suggest that fucoidan is a candidate anti-tumor functional food. Full article
(This article belongs to the Special Issue Marine Glycoconjugates)
Show Figures

Figure 1

Back to TopTop