Sign in to use this feature.

Years

Between: -

Subjects

remove_circle_outline
remove_circle_outline
remove_circle_outline
remove_circle_outline
remove_circle_outline
remove_circle_outline
remove_circle_outline
remove_circle_outline
remove_circle_outline

Journals

Article Types

Countries / Regions

Search Results (80)

Search Parameters:
Keywords = CSVD

Order results
Result details
Results per page
Select all
Export citation of selected articles as:
16 pages, 734 KB  
Article
Associations of Neutrophil-to-Lymphocyte Ratio with Cerebral Small Vessel Disease and Functional Outcome in Acute Ischaemic Stroke Patients
by Nipit Tieachanpan, Surat Tanprawate, Atiwat Soontornpun, Chayasak Wantaneeyawong, Chutithep Teekaput, Nopdanai Sirimaharaj, Angkana Nudsasarn, Withawat Vuthiwong and Kitti Thiankhaw
Life 2026, 16(2), 337; https://doi.org/10.3390/life16020337 (registering DOI) - 15 Feb 2026
Abstract
Background: The relationship between inflammatory markers and cerebral small vessel disease (CSVD) in patients with acute ischaemic stroke (AIS) remains unclear. This study aimed to investigate the association between simplified inflammatory biomarkers and neuroimaging markers of CSVD. Methods: This retrospective cohort study included [...] Read more.
Background: The relationship between inflammatory markers and cerebral small vessel disease (CSVD) in patients with acute ischaemic stroke (AIS) remains unclear. This study aimed to investigate the association between simplified inflammatory biomarkers and neuroimaging markers of CSVD. Methods: This retrospective cohort study included patients with AIS who had symptom onset within 72 h and underwent MRI brain between January 2019 and December 2023. The associations between tertiles (T) of the neutrophil-to-lymphocyte ratio (NLR) and CSVD markers were studied using multinomial logistic regression. Functional outcomes at discharge and 90 days, as measured by the modified Rankin Scale (mRS), were also evaluated. Results: A total of 299 eligible patients were included, with a mean age of 65.7 ± 13.8 years and 55.5% (166/299) were male, and categorised into three tertiles of NLR (T1: 101, T2: 101, T3: 97). Patients with a higher NLR tertile had more admission NIHSS (T3 vs. T1: 3 (2, 5) vs. 2 (1, 3), p = 0.005). NLR was associated with an increased risk of ≥5 lobar cerebral microbleeds (CMBs) in an unadjusted model (T3 vs. T1: relative risk ratio (RRR), 5.69 (95% confidence interval (CI) 1.21–26.68); p = 0.03); however, this was not significant when adjusted for potential confounders (RRR 3.86; 95% CI 0.79–18.89; p = 0.10). No significant associations were observed in the remaining neuroimaging markers of CSVD. Patients in the T2 of NLR had a higher likelihood of achieving an mRS of 0–1 at 90 days (RRR 2.16; 95% CI 1.05–4.44; p = 0.04) compared to those in T1. Conclusions: In AIS, admission NLR showed a possible association with higher lobar CMB burden in unadjusted analyses, but this was not robust after adjustment, and no consistent relationships were observed with other CSVD markers. Associations with functional outcomes were not uniform across tertiles, and the apparent benefit in the middle NLR tertile should be interpreted cautiously as a potentially non-linear or chance finding, indicating that NLR is not a reliable independent imaging or prognostic marker in this cohort. Full article
(This article belongs to the Section Physiology and Pathology)
Show Figures

Figure 1

17 pages, 1952 KB  
Article
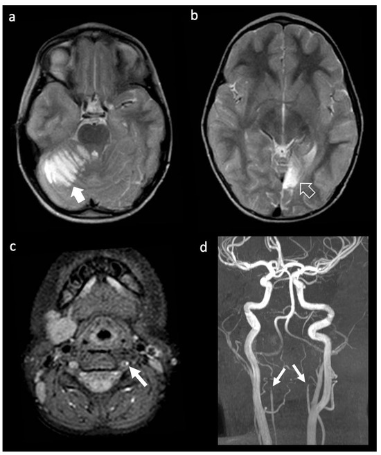
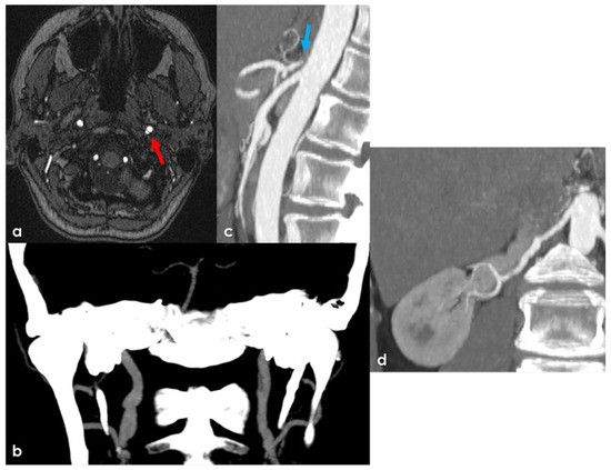
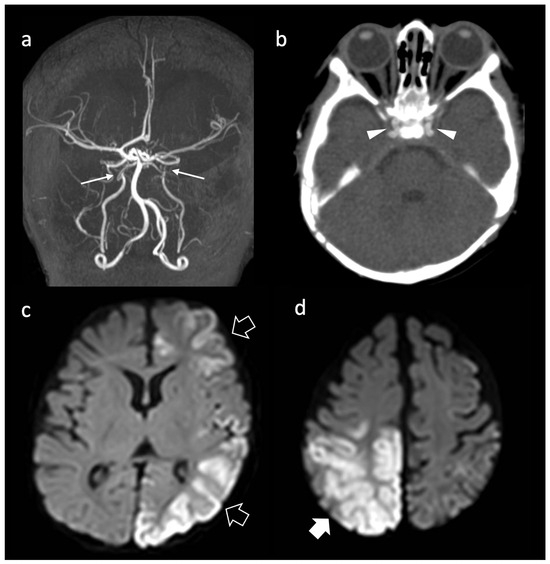
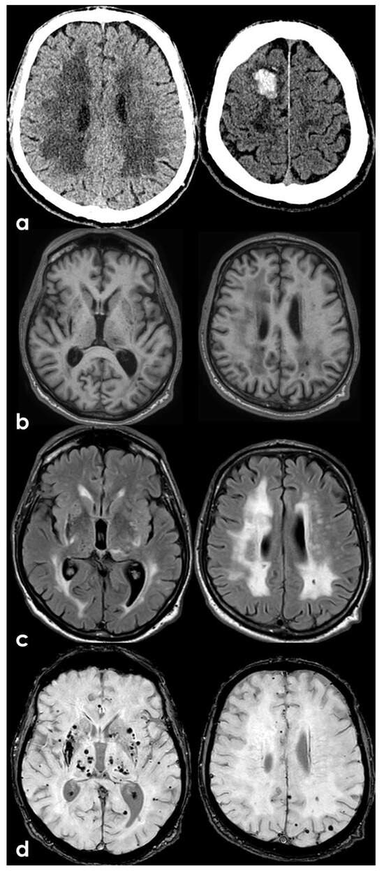
ABCC6 Heterozygosity as Genetic Predisposition to Cerebrovascular Disease Across Ages
by Giulia Amico, Mariasavina Severino, Marta Bertamino, Rosario Pascarella, Domenico Tortora, Sara Signa, Marta Rusmini, Andrea Rossi, Isabella Ceccherini and Marialuisa Zedde
Genes 2026, 17(2), 226; https://doi.org/10.3390/genes17020226 - 11 Feb 2026
Viewed by 169
Abstract
Background: Heterozygosity for pathogenic variants in the ABCC6 gene has been associated with an increased incidence of cerebrovascular diseases. This study aims to characterize the prevalence and clinical and neuroradiological phenotypes associated with monoallelic and biallelic ABCC6 variants in pediatric and adult [...] Read more.
Background: Heterozygosity for pathogenic variants in the ABCC6 gene has been associated with an increased incidence of cerebrovascular diseases. This study aims to characterize the prevalence and clinical and neuroradiological phenotypes associated with monoallelic and biallelic ABCC6 variants in pediatric and adult patients presenting with arterial ischemic stroke or cerebral small vessel disease (CSVD). Methods: We conducted a retrospective observational study on 143 consecutive patients (48 pediatric, 24 juvenile, 71 adult) diagnosed with ischemic stroke or CSVD of unknown etiology. Clinical and neuroradiological data were collected and analyzed in relation to the identified genetic variants through next-generation sequencing. Results: Among the patients, 16 (11.2%) tested positive for causative variants in the ABCC6 gene, with 11 subjects carrying monoallelic variants and 5 carrying biallelic variants. Patients with biallelic variants exhibited severe and complex vasculopathy, with a high incidence of early ischemic events. In contrast, monoallelic carriers predominantly presented with microvascular disease manifestations, including lacunar strokes and signs of CSVD. Conclusions: The results suggest a significant age-dependent phenotypic divergence in patients with ABCC6 variants, highlighting the impact of heterozygosity on cerebrovascular health. Identifying these variants may enhance risk stratification and inform management strategies in patients with traditional vascular risk factors. Full article
Show Figures

Figure 1

8 pages, 184 KB  
Brief Report
Gene Panel Approach to Screen for Hereditary Cerebral Small Vessel Disease: A Proof-of-Concept Study
by Chiara Ferraro, Silvia Giliani and Alessandro Pezzini
Genes 2026, 17(1), 98; https://doi.org/10.3390/genes17010098 - 19 Jan 2026
Viewed by 249
Abstract
Background: The predictive performance of pre-screening phenotype-based algorithms in selecting patients with cerebral small vessel disease (cSVD), one of the main causes of ischaemic and haemorrhagic stroke and dementia, more likely to harbor clinically relevant genetic variants (CRGVs) has to date been poorly [...] Read more.
Background: The predictive performance of pre-screening phenotype-based algorithms in selecting patients with cerebral small vessel disease (cSVD), one of the main causes of ischaemic and haemorrhagic stroke and dementia, more likely to harbor clinically relevant genetic variants (CRGVs) has to date been poorly defined, making it a clinical challenge to decide which patients to screen for hereditary cSVD (hcSVD). Methods: We designed a high-throughput gene panel to identify variants in 27 candidate genes associated with cSVD and screened patients selected by a specific phenotype-based algorithm at one comprehensive stroke center from 2020 to 2023. We categorized participants into two sub-groups defined by pre-screening likelihood of hcSVD (hcSVD; High-Probability Group, HPG vs. Low-Probability Group, LPG) and compared the results of molecular analysis. Results: Among 65 probands, we detected four (6.1%) pathogenic CRGVs and seven (10.7%) variants of unknown significance (VUSs) in 11 (16.9%) patients. Pathogenic CRGVs were exclusively detected in the HPG (4/22 probands), corresponding to an 18.2% prevalence of hcSVD in this group. Of the seven VUSs, five (22.7%) were detected in the HPG vs. two (4.6%) in the LPG. Conclusions: The pragmatic algorithm we are proposing has the potential to help clinicians in identifying patients who are more likely to harbor monogenic disease. Full article
(This article belongs to the Section Genetic Diagnosis)
20 pages, 664 KB  
Systematic Review
Design of Trials for Cerebral Small Vessel Disease and Vascular Cognitive Impairment
by Elizabeth Phan, Shi Pei Loo and Terence J. Quinn
Neurol. Int. 2025, 17(11), 181; https://doi.org/10.3390/neurolint17110181 - 4 Nov 2025
Viewed by 1869
Abstract
Background/Objectives: Cerebral small vessel disease (cSVD) and vascular cognitive impairment (VCI) are major contributors to stroke and dementia. Despite their importance, there are few effective treatments for cSVD and VCI. Variability in cSVD/VCI populations, intervention targets, and outcome selection may contribute to inconsistencies [...] Read more.
Background/Objectives: Cerebral small vessel disease (cSVD) and vascular cognitive impairment (VCI) are major contributors to stroke and dementia. Despite their importance, there are few effective treatments for cSVD and VCI. Variability in cSVD/VCI populations, intervention targets, and outcome selection may contribute to inconsistencies and challenges in clinical trial design. We reviewed the design of cSVD and VCI clinical trials to describe current practice in the selection of populations, interventions, and outcomes. Methods: We systematically searched Ovid Medline, Embase, and PsychInfo databases for recently completed cSVD/VCI trials and searched online trial registries (ClinicalTrials.gov, European Union Clinical Trials Register, and International Clinical Trials Registry Platform) for ongoing cSVD/VCI trials. We determined the use of specific categories of inclusion and exclusion criteria, interventions, and outcomes in the included trials and described these as counts and percentages. Results: We included a total of 82 cSVD trials and 120 VCI trials. Neuroimaging features were most frequently used as inclusion criteria for cSVD (88%) and cognition for VCI (88%). There was substantial variation in eligible ages for participation. Both cSVD and VCI trials largely excluded patients with comorbidities, vascular risk factors, and neuropsychiatric disorders, with a notable proportion of cSVD trials excluding on the basis of functional impairment. The most studied intervention classes were repurposed cardiovascular drugs (40%) for cSVD and Traditional Chinese Medicine (35%) in VCI. The most common primary outcome category was neuroimaging for cSVD (53%) and cognition for VCI (86%). Notably, functional outcomes were underused in both cSVD and VCI trials (13% and 12%, respectively, for primary outcomes). Conclusions: We have identified substantial variability in all aspects of cSVD and VCI clinical trial design. Inconsistent neuroimaging criteria and exclusions based on common long-term conditions limit the generalisability of findings. There is a need for greater focus on clinical outcomes, particularly functional ability, to better reflect treatment impact. Increased integration and standardisation of cSVD and VCI trial design is needed to accelerate progress in developing treatments. Full article
(This article belongs to the Special Issue Cognitive Impairment After Stroke)
Show Figures

Figure 1

29 pages, 4560 KB  
Article
Neuroimaging and Genetic Markers of Cerebral Small Vessel Disease and Cognitive Outcomes: A Systematic Review and Meta-Analysis (NEUROGEN-SVD Study)
by Chelsea Jin, Roy G. Beran and Sonu M. M. Bhaskar
Diagnostics 2025, 15(20), 2585; https://doi.org/10.3390/diagnostics15202585 - 13 Oct 2025
Cited by 3 | Viewed by 2262
Abstract
Background/Objectives: Cerebral small vessel disease (CSVD) is a leading cause of cognitive decline and dementia. The comparative prognostic value of MRI-based neuroimaging markers and genetic risk factors such as the APOE ε4 allele for cognitive outcomes remains uncertain. The objectives of this study [...] Read more.
Background/Objectives: Cerebral small vessel disease (CSVD) is a leading cause of cognitive decline and dementia. The comparative prognostic value of MRI-based neuroimaging markers and genetic risk factors such as the APOE ε4 allele for cognitive outcomes remains uncertain. The objectives of this study were to estimate the pooled prevalence of cognitive impairment in CSVD, evaluate the associations of key neuroimaging markers (white matter hyperintensities [WMHs], cerebral microbleeds [CMBs], lacunes) and APOE ε4 with cognitive outcomes, and assess their diagnostic performance. Methods: This study included a systematic review and meta-analysis in accordance with PRISMA and MOOSE guidelines, searching five databases (2005–2025). Eligible studies included adults with CSVD and MRI-visible markers reporting cognitive outcomes (mild cognitive impairment [MCI], global cognitive impairment [GCI], all-cause dementia [ACD], vascular dementia [VaD], and Alzheimer’s disease [AD]). Thirty-nine studies comprising 18,425 participants were included. Pooled prevalence and associations were estimated using random-effects models, and diagnostic accuracy was evaluated. Certainty of evidence was assessed using the GRADE framework. Results: The pooled prevalence of GCI in CSVD was 57% (95% CI: 51–62%), while MCI prevalence was 46% (95% CI: 42–51%). WMHs were strongly associated with VaD (OR 10.35, 95% CI: 7.32–14.64), lacunes with ACD (OR 3.18, 95% CI: 1.24–8.20), and CMBs with AD (OR 1.52, 95% CI: 1.04–2.24). APOE ε4 carriage increased the risk of GCI (OR 1.80, 95% CI: 1.41–2.29). Across markers, diagnostic sensitivity was low, specificity was moderate-to-high, and AUROC values were modest. GRADE certainty ranged from low to moderate, with the highest confidence for WMHs and VaD. Conclusions: CSVD-related MRI markers and APOE ε4 are significantly associated with both early and late cognitive outcomes, supporting the integrated vascular–neurodegenerative continuum. The limited diagnostic sensitivity and variable certainty of evidence highlight the need for harmonized definitions, lesion quantification, and multimodal imaging–genetic approaches to improve early detection and risk stratification of CSVD-related cognitive impairment. Full article
Show Figures

Graphical abstract

14 pages, 267 KB  
Article
Assessment of Gait Disorders in Cerebral Small Vessel Disease: Advantages of Different Clinical Scales
by Larisa A. Dobrynina, Elina T. Bitsieva, Kamila V. Shamtieva, Maryam R. Zabitova and Marina V. Krotenkova
J. Clin. Med. 2025, 14(18), 6626; https://doi.org/10.3390/jcm14186626 - 19 Sep 2025
Viewed by 1247
Abstract
Background/Objectives: Cerebral small vessel disease (cSVD) is one of the leading causes of gait disorders (GDs) in the elderly. Clinical diversity and lack of standardization in assessment of GDs in cSVD patients are associated with late diagnosis. The comparative value of clinical rating [...] Read more.
Background/Objectives: Cerebral small vessel disease (cSVD) is one of the leading causes of gait disorders (GDs) in the elderly. Clinical diversity and lack of standardization in assessment of GDs in cSVD patients are associated with late diagnosis. The comparative value of clinical rating scales used for gait assessment in clinical studies of cSVD has not been previously clarified. The purpose of the study was to assess GDs in cSVD patients with different scales and evaluate the advantages of their usage in clinical practice. Materials and methods: The study included 124 cSVD patients (STRIVE, 2013) (average age 62.2 ± 7.9, women—53.2%) and 30 healthy volunteers (average age 59.77 ± 6.361, women—56.7%). Gait and balance function were assessed with the Tinetti test, “6-m walk” test, and the Clinical Scale for Assessing the Severity of Gait Disorders in SVD (RCN, 2019). Results: In total, 85 (68.5%) patients had gait disturbances. The “6-MWT” showed a general tendency to decrease gait speed, step length, and increase in base width. ROC analysis established their thresholds for GD diagnosis. Moderate- or high-risk of falls was found in 52 (41.9%) patients. Gait parameters assessed by two tests (Tinneti and 6-WMT) showed a high degree of intercorrelations. Comparative analysis of the quantitative parameters of Tinneti and 6-WMT tests revealed significant differences depending on the severity of the GD assessed by the Clinical Scale for Assessing the Severity of GDs in cSVD (RCN, 2019). Conclusions: GDs in cSVD are characterized by slowness, changes in step length, base width, and a high risk of falls. The Tinetti test and “6-MWT” have good reproducibility in cSVD, high correlations between the tests, as well as significant differences between the categories of GD severity, which justifies their use in cSVD patients. The advantage of the Tinetti test is the ability to perform a fall risk assessment, while “6-MWT” allows for the diagnosis of GD based on gait parameter thresholds, which is important in the early stages of the disease and in dynamic observation. The Clinical Scale for Assessing the Severity of Gait Disorders in cSVD is a convenient screening tool for assessing the severity of GDs in clinical practice. Full article
(This article belongs to the Section Clinical Neurology)
14 pages, 1005 KB  
Article
The Impact of Cerebral Small Vessel Disease on Functional Recovery After Intracerebral Hemorrhage: Stratified Analysis by Age
by Hong-Jae Lee, Haney Kim and Sook Joung Lee
J. Clin. Med. 2025, 14(18), 6450; https://doi.org/10.3390/jcm14186450 - 12 Sep 2025
Viewed by 1129
Abstract
Background: Cerebral small vessel disease (cSVD) is a major contributor to intracerebral hemorrhage (ICH). Its presence carries significant implications for stroke prevention, acute management, post-stroke recovery, and socioeconomic burden. Despite its clinical significance, the impact of cSVD on functional outcomes after ICH, [...] Read more.
Background: Cerebral small vessel disease (cSVD) is a major contributor to intracerebral hemorrhage (ICH). Its presence carries significant implications for stroke prevention, acute management, post-stroke recovery, and socioeconomic burden. Despite its clinical significance, the impact of cSVD on functional outcomes after ICH, particularly concerning aging, remains uncertain. Objective: This study evaluated how cSVD influences post-ICH functional recovery, using age stratification (<65 and ≥65 years) and a multidomain functional assessment approach. Methods: We retrospectively analyzed data from 356 patients with primary spontaneous ICH. Functional status was evaluated at baseline and at three months post-ICH across multiple domains, including global disability, activities of daily living, gait, upper-extremity function, and swallowing ability, using validated assessment tools. Patients were categorized based on age and the presence or absence of cSVD. Results: Patients without cSVD consistently exhibited better functional status than those with cSVD at both baseline and three-month evaluations across age groups. Although all groups showed statistically significant functional improvement over time, the degree of improvement was significantly lower in patients with cSVD, particularly among those aged 65 years or older. Multivariable logistic regression analysis confirmed that cSVD was a strong and independent predictor of poor functional outcomes at three months after ICH. Conclusions: Our findings emphasize that cSVD is not merely a passive comorbidity but an active and independent determinant of poor prognosis and limited recovery following ICH. The clinical importance of early detection of cSVD supports the need for more intensive, individualized rehabilitation strategies in ICH survivors. Full article
(This article belongs to the Special Issue Rehabilitation and Management of Stroke)
Show Figures

Figure 1

19 pages, 570 KB  
Review
Imaging of Cerebral Iron as an Emerging Marker for Brain Aging, Neurodegeneration, and Cerebrovascular Diseases
by Chi-Heng Zhou and Yi-Cheng Zhu
Brain Sci. 2025, 15(9), 944; https://doi.org/10.3390/brainsci15090944 - 29 Aug 2025
Cited by 1 | Viewed by 2103
Abstract
Iron is critical for brain development, metabolism, and function; however, dysregulated iron disposition contributes to neurological diseases. Many neuroimaging techniques have enabled detection of iron susceptibility, and quantitative susceptibility mapping (QSM) offers a sensitive magnetic resonance imaging (MRI) technique for quantifying brain iron. [...] Read more.
Iron is critical for brain development, metabolism, and function; however, dysregulated iron disposition contributes to neurological diseases. Many neuroimaging techniques have enabled detection of iron susceptibility, and quantitative susceptibility mapping (QSM) offers a sensitive magnetic resonance imaging (MRI) technique for quantifying brain iron. To elucidate the functional role of cerebral iron and clarify the utility of QSM in establishing iron as a potential biomarker, this review synthesizes cellular and regional behaviours of iron from physiological aging to disease conditions, with a focus on neurodegeneration such as Alzheimer’s disease (AD), Parkinson’s disease (PD), and multiple sclerosis (MS), as well as cerebral small vessel disease (CSVD) as cerebrovascular manifestation. Distinct patterns of iron distribution in deep gray matter and selective cortical regions are associated with motor and cognitive impairment, while the interaction between iron, vascular integrity, and glial function further stresses its pathological relevance. QSM of iron may, thereby, serve as a marker to monitor iron-related disease progression and facilitate intervention. Temporal dynamics of iron in brain pathology remain underexplored, and we emphasized the need for longitudinal mapping and multi-modality biomarker integration. Establishing iron as a clinically relevant imaging biomarker requires continued investigation into its topographical, molecular, and functional correlates across aging and disease trajectories. Full article
(This article belongs to the Special Issue Using Neuroimaging to Explore Neurodegenerative Diseases)
Show Figures

Figure 1

18 pages, 4022 KB  
Article
Glymphopathy and Reduced Processing Speed in Community-Dwelling Adults with Silent Cerebral Small Vessel Disease: A DTI-ALPS Study
by Zaw Myo Hein, Muhammad Faqhrul Fahmy Arbain, Muhammad Danial Che Ramli, Usman Jaffer and Che Mohd Nasril Che Mohd Nassir
J. Clin. Med. 2025, 14(17), 6039; https://doi.org/10.3390/jcm14176039 - 26 Aug 2025
Viewed by 1320
Abstract
Background/Objectives: Cerebral small vessel disease (CSVD) often manifests as enlarged perivascular spaces (ePVS), which are linked to reduced processing speed even in asymptomatic individuals. Glymphatic dysfunction (or glymphopathy) has been proposed as a mechanism underlying ePVS, with the diffusion tensor image analysis [...] Read more.
Background/Objectives: Cerebral small vessel disease (CSVD) often manifests as enlarged perivascular spaces (ePVS), which are linked to reduced processing speed even in asymptomatic individuals. Glymphatic dysfunction (or glymphopathy) has been proposed as a mechanism underlying ePVS, with the diffusion tensor image analysis along the perivascular space (DTI-ALPS) index serving as a potential non-invasive surrogate marker. This study aimed to examine the association between DTI-ALPS index, ePVS burden, and processing speed in community-dwelling adults without overt neurological symptoms, stratified by QRISK3 cardio-cerebrovascular risk prediction score. Methods: Sixty young-to-middle-aged adults (aged 25–65 years), classified as low-to-moderate QRISK3 scores, underwent brain 3T diffusion magnetic resonance imaging (MRI) to evaluate ePVS burden and calculate DTI-ALPS indices. Processing speed index (PSI) was assessed using the Wechsler Adult Intelligence Scale—Version IV (WAIS-IV). Results: Approximately 43% of subjects reported having ePVS with significantly lower DTI-ALPS indices and PSI compared to those without ePVS. The DTI-ALPS index was inversely correlated with ePVS burden and positively correlated with PSI. Mediation analysis showed that the lower DTI-ALPS partially mediated the association between ePVS burden and slower processing speed. Conclusions: Visible ePVS in our cohort may reflect early glymphopathy and subtle cognitive slowing, while the DTI-ALPS index may serve as an early biomarker for preclinical CSVD-related cognitive vulnerability, supporting targeted prevention strategies. Full article
(This article belongs to the Special Issue Biomarkers and Diagnostics in Neurological Diseases)
Show Figures

Figure 1

8 pages, 404 KB  
Brief Report
Cerebral Microbleeds with a Venous Connection on 3 Tesla Susceptibility-Weighted Imaging in Persons with Alzheimer’s Disease and Healthy Aging Controls
by Ulf Jensen-Kondering, Veronique Kuhn, Hannes Schacht, Alexander Neumann, Georg Royl and Peter Schramm
Brain Sci. 2025, 15(8), 851; https://doi.org/10.3390/brainsci15080851 - 10 Aug 2025
Viewed by 1014
Abstract
Introduction: It has been recently demonstrated that some cerebral microbleeds (CMBs) are connected to cerebral veins in patients with cerebral small vessel disease (CSVD) including cerebral amyloid angiopathy (CAA). We sought to demonstrate the presence of CMB at 3 Tesla using susceptibility-weighted [...] Read more.
Introduction: It has been recently demonstrated that some cerebral microbleeds (CMBs) are connected to cerebral veins in patients with cerebral small vessel disease (CSVD) including cerebral amyloid angiopathy (CAA). We sought to demonstrate the presence of CMB at 3 Tesla using susceptibility-weighted imaging and speculated that it was more prevalent in persons with Alzheimer’s disease (AD), another amyloid-related disease, than in healthy ageing controls. Material and Methods: We included persons from the publicly available OASIS3-database. Persons were included if they had a structural MRI including a susceptibility-weighted sequence (SWI) and relevant clinical data. Two raters assessed the presence and location of CMBs and CMBs with a venous connection (CMBven). Results: A total of 571 persons (AD, n = 140, healthy controls, n = 431) were included. In total, 367 CMBs were detected, encompassing 26/571 persons (4.5%) who had a total of 40/367 (10.9%) CMBs with a CMBven, though there was no difference between persons with AD and healthy controls (AD 6.6%, healthy controls 7.4%, p = 0.773). Persons with CMBven had a higher total CMB load, were more likely female, displayed an APOE ε2/2 genotype and had antithrombotic treatment more often. Logistic regression revealed a higher number of CMB (OR (95% CI) = 1.351 (1.161–1.688), p < 0.0014) and a lower MoCA score (OR (95% CI) = 0.862 (0.762–0.982), p = 0.018), indicating a statistically significant association with the presence of CMBven. Discussion: CMBven are not an uncommon finding in persons with AD and healthy ageing controls. Our results highlight the potential venous contribution to CSVD. Histopathological studies will be needed to assess these further. Full article
(This article belongs to the Special Issue Cerebral Amyloid Angiopathy: Advances in the Field)
Show Figures

Figure 1

11 pages, 622 KB  
Article
Prevalent Cardiovascular Disease and Atrial Fibrillation in Relation to Cerebral Small Vessel Disease Burden
by Oluchi Ekenze, Adlin Pinheiro, Alexa S. Beiser, Vasileios-Arsenios Lioutas, Hugo J. Aparicio, Emelia J. Benjamin, Ramachandran S. Vasan, Charles DeCarli, Sudha Seshadri, Serkalem Demissie and Jose R. Romero
Brain Sci. 2025, 15(8), 813; https://doi.org/10.3390/brainsci15080813 - 29 Jul 2025
Cited by 1 | Viewed by 1186
Abstract
Background/Objectives: Cardiovascular disease (CVD) contributes to stroke and dementia. Individuals with CVD have high risk for adverse cognitive outcomes and stroke, possibly due to shared risk factors between CVD, stroke, and dementia, which may be attributed to cerebral small vessel disease (CSVD). We [...] Read more.
Background/Objectives: Cardiovascular disease (CVD) contributes to stroke and dementia. Individuals with CVD have high risk for adverse cognitive outcomes and stroke, possibly due to shared risk factors between CVD, stroke, and dementia, which may be attributed to cerebral small vessel disease (CSVD). We aim to determine the association between prevalent CVD and atrial fibrillation (AF) with CSVD. Methods: Composite of CVD [coronary heart disease, heart failure (HF)], its individual components, and AF were assessed. Multi-marker CSVD score was used to reflect increasing CSVD burden (cerebral microbleeds (CMBs), high-burden perivascular spaces, extensive white matter hyperintensity, cortical superficial siderosis, or covert brain infarcts were assigned 1 point each, with a range of 0–5). We related prevalent CVD, its individual components, and AF to multi-marker CSVD score and individual CSVD markers using logistic regression analyses adjusted for age, sex, FHS cohort, time between MRI and clinic exam (model-1), and vascular risk factors (model-2). Results: In 3413 participants (mean age: 59 ± 14 years, 53.4% women), 11% had prevalent CVD or AF, 8% had prevalent CVD, and 4% had prevalent AF. One CSVD marker was seen in 23% participants, and 9% had ≥ 2 markers. In multivariable-adjusted analyses, composite prevalent CVD and AF was associated with the presence of one CSVD marker (OR: 1.38, 95% confidence interval [CI]: 1.05–1.84). The association with ≥2 CSVD markers was not significant. Only CMBs were associated with components of CVD and AF, with the highest odds of association with HF. Conclusions: Prevalent CVD (including AF) is associated with the presence of CSVD, with all components associated with CMBs. Full article
(This article belongs to the Section Neurosurgery and Neuroanatomy)
Show Figures

Figure 1

14 pages, 2036 KB  
Article
Differences in Cerebral Small Vessel Disease Magnetic Resonance Imaging Depending on Cardiovascular Risk Factors: A Retrospective Cross-Sectional Study
by Marta Ribera-Zabaco, Carlos Laredo, Emma Muñoz-Moreno, Andrea Cabero-Arnold, Irene Rosa-Batlle, Inés Bartolomé-Arenas, Sergio Amaro, Ángel Chamorro and Salvatore Rudilosso
Brain Sci. 2025, 15(8), 804; https://doi.org/10.3390/brainsci15080804 - 28 Jul 2025
Cited by 1 | Viewed by 1441
Abstract
Background: Vascular risk factors (VRFs) are known to influence cerebral small vessel disease (cSVD) burden and progression. However, their specific impact on the presence and distribution of each cSVD imaging marker (white matter hyperintensity [WMH], perivascular spaces [PVSs], lacunes, and cerebral microbleeds [...] Read more.
Background: Vascular risk factors (VRFs) are known to influence cerebral small vessel disease (cSVD) burden and progression. However, their specific impact on the presence and distribution of each cSVD imaging marker (white matter hyperintensity [WMH], perivascular spaces [PVSs], lacunes, and cerebral microbleeds [CMBs]) and their spatial distribution remains unclear. Methods: We conducted a retrospective analysis of 93 patients with lacunar stroke with a standardized investigational magnetic resonance imaging protocol using a 3T scanner. WMH and PVSs were segmented semi-automatically, and lacunes and CMBs were manually segmented. We assessed the univariable associations of four common VRFs (hypertension, hyperlipidemia, diabetes, and smoking) with the load of each cSVD marker. Then, we assessed the independent associations of these VRFs in multivariable regression models adjusted for age and sex. Spatial lesion patterns were explored with regional volumetric comparisons using Pearson’s coefficient analysis, which was adjusted for multiple comparisons, and by visually examining heatmap lesion distributions. Results: Hypertension was the VRF that exhibited stronger associations with the cSVD markers in the univariable analysis. In the multivariable analysis, only lacunes (p = 0.009) and PVSs in the basal ganglia (p = 0.014) and white matter (p = 0.016) were still associated with hypertension. In the regional analysis, hypertension showed a higher WMH load in deep structures and white matter, particularly in the posterior periventricular regions. In patients with hyperlipidemia, WMH was preferentially found in hippocampal regions. Conclusions: Hypertension was confirmed to be the VRF with the most impact on cSVD load, especially for lacunes and PVSs, while the lesion topography was variable for each VRF. These findings shed light on the complexity of cSVD expression in relation to factors detrimental to vascular health. Full article
(This article belongs to the Section Neurosurgery and Neuroanatomy)
Show Figures

Figure 1

2 pages, 131 KB  
Abstract
Microvascular and Blood–Brain Barrier Dysfunction in COL4A1-Related cSVD Can Be Identified by MR DSC Perfusion Imaging
by Diana Tambala, John P. Snow, Daniel Balentine, Karl G. Helmer, Kenda Alhadid, Patricia L. Musolino and Arne Lauer
Proceedings 2025, 120(1), 9; https://doi.org/10.3390/proceedings2025120009 - 14 Jul 2025
Viewed by 766
Abstract
Introduction: Pathogenic variants in COL4A1 compromise basement membrane integrity, leading to cerebral small vessel disease (cSVD) characterized by white matter hyperintensities (WMHs), microbleeds, and ischemic or hemorrhagic strokes [...] Full article
(This article belongs to the Proceedings of The 2nd COL4A1-A2 International Conference)
26 pages, 19416 KB  
Article
Identification and Characterization of a Translational Mouse Model for Blood–Brain Barrier Leakage in Cerebral Small Vessel Disease
by Ruxue Jia, Gemma Solé-Guardia, Vivienne Verweij, Jessica M. Snabel, Bram Geenen, Anil Man Tuladhar, Robert Kleemann, Amanda J. Kiliaan and Maximilian Wiesmann
Int. J. Mol. Sci. 2025, 26(14), 6706; https://doi.org/10.3390/ijms26146706 - 12 Jul 2025
Viewed by 2121
Abstract
Blood–brain barrier (BBB) dysfunction is a hallmark of cerebral small vessel disease (cSVD). This study aimed to identify a mouse model that replicates BBB impairment and shares key cSVD risk factors. Transgenic db/db and LDLr−/−.Leiden mice, both prone to obesity and [...] Read more.
Blood–brain barrier (BBB) dysfunction is a hallmark of cerebral small vessel disease (cSVD). This study aimed to identify a mouse model that replicates BBB impairment and shares key cSVD risk factors. Transgenic db/db and LDLr−/−.Leiden mice, both prone to obesity and hypertension, were compared to C57BL/6J controls. BBB leakage was assessed using DCE-MRI and sodium fluorescein (NaFl); cerebral blood flow (CBF) by MRI. Dyslipidemia and vascular inflammation were measured by plasma tests. Tight junction integrity, endothelial dysfunction (glucose transporter 1, GLUT-1) and neuroinflammation were evaluated with immunohistochemistry and PCR. Both transgenic models developed an obese phenotype with hyperinsulinemia, but only LDLr−/−.Leiden mice showed human-like dyslipidemia. When fed a high-fat diet (HFD) or HFD plus cholesterol, LDLr−/−.Leiden mice showed reduced CBF, endothelial dysfunction (lowered GLUT-1), elevated vascular inflammation (ICAM-1, VCAM-1, S-selectin), and BBB leakage, as evidenced by DCE-MRI and NaFl, together with reduced ZO-1 and claudin-5 expression. Contrastingly, db/db mice showed endothelial dysfunction without BBB leakage. Neuroinflammation (IBA-1, GFAP) was observed only in LDLr−/−.Leiden groups, consistent with BBB disruption. These findings indicate that LDLr−/−.Leiden mice, but not db/db mice, are a promising translational model for studying BBB dysfunction in cSVD, offering insights into disease mechanisms and a platform for therapeutic development. Full article
Show Figures

Figure 1

2 pages, 129 KB  
Abstract
Developing Zebrafish Models to Study COL4A1-Related Disease
by Daisy Flatman, Richard W. Naylor, Siobhan Crilly, Emmanuel Pinteaux, Stuart M. Allan, Rachel Lennon and Paul R. Kasher
Proceedings 2025, 120(1), 3; https://doi.org/10.3390/proceedings2025120003 - 8 Jul 2025
Viewed by 738
Abstract
Cerebral small vessel disease (cSVD) is a leading contributor to both stroke and vascular dementia, yet its underlying mechanisms remain poorly understood, and treatment options are limited [...] Full article
(This article belongs to the Proceedings of The 2nd COL4A1-A2 International Conference)
Back to TopTop