Sign in to use this feature.

Years

Between: -

Subjects

remove_circle_outline
remove_circle_outline
remove_circle_outline
remove_circle_outline
remove_circle_outline
remove_circle_outline
remove_circle_outline
remove_circle_outline
remove_circle_outline

Journals

remove_circle_outline
remove_circle_outline
remove_circle_outline
remove_circle_outline
remove_circle_outline
remove_circle_outline
remove_circle_outline
remove_circle_outline
remove_circle_outline
remove_circle_outline
remove_circle_outline
remove_circle_outline
remove_circle_outline
remove_circle_outline

Article Types

Countries / Regions

remove_circle_outline
remove_circle_outline
remove_circle_outline
remove_circle_outline
remove_circle_outline

Search Results (776)

Search Parameters:
Keywords = COVID-19 clinical diagnostics

Order results
Result details
Results per page
Select all
Export citation of selected articles as:
25 pages, 1388 KB  
Review
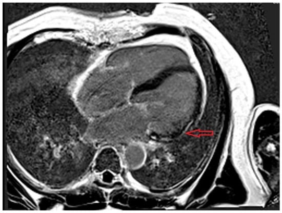
Myocardial and Vascular Involvement in COVID-19 and Post-Vaccination States: Understanding Injury Pathways and Clinical Implications
by Roxana-Nicoleta Siliste, Serban Benea, Corina Homentcovschi, Teodora Deaconu, Constantin Caruntu and Ilinca Savulescu-Fiedler
Life 2026, 16(2), 268; https://doi.org/10.3390/life16020268 - 4 Feb 2026
Abstract
Myocardial and vascular injury secondary to SARS-CoV-2 infection and vaccination has emerged as a clinically relevant phenomenon, with distinct but overlapping mechanisms. Myocardial injury in COVID-19 results from a complex interplay between direct viral effects and immune-mediated inflammation, supported by histopathological studies revealing [...] Read more.
Myocardial and vascular injury secondary to SARS-CoV-2 infection and vaccination has emerged as a clinically relevant phenomenon, with distinct but overlapping mechanisms. Myocardial injury in COVID-19 results from a complex interplay between direct viral effects and immune-mediated inflammation, supported by histopathological studies revealing macrophage-rich infiltrates, microthrombosis, and supporting fibrosis in isolated areas. In contrast, vaccine-associated myocarditis—reported predominantly following mRNA vaccines—has a self-limiting clinical course, with mechanisms likely involving molecular mimicry, aberrant immune activation, or hypersensitivity reactions, although these pathways require further validation. Although mRNA vaccines have been associated with a small increase in myocarditis, particularly in young men, the risk is significantly lower than that associated with COVID-19 infection, and the cardiovascular benefits of vaccination far outweigh these rare adverse events in most populations. After the end of the pandemic, the number of patients with severe forms of COVID-19 has decreased significantly, but we consider that cardiac involvement remains an important issue for the acute and long-term prognosis of patients with SARS-CoV-2 infection. Our paper synthesizes the latest epidemiological and mechanistic evidence on the link between COVID-19, vaccination, and myocardial and/or vascular injuries, highlighting the clinical implications and providing practical recommendations for management, as well as future perspectives on risk assessment, targeted immunotherapy, advanced diagnostic tools, and long-term monitoring. Full article
(This article belongs to the Section Medical Research)
Show Figures

Figure 1

19 pages, 1699 KB  
Article
Changing Clinical Spectrum of Invasive Meningococcal Disease in France (2014–2025): Impact of Age and Meningococcal Lineage on Atypical Presentations
by Samy Taha, Ala-Eddine Deghmane and Muhamed-Kheir Taha
Microorganisms 2026, 14(2), 356; https://doi.org/10.3390/microorganisms14020356 - 3 Feb 2026
Abstract
Invasive meningococcal disease (IMD) is classically associated with meningitis and septic shock, but an increasing proportion of cases present with atypical, extra-meningeal manifestations. Following the COVID-19 pandemic, major epidemiological shifts have occurred in France, including a rebound in IMD incidence and changes in [...] Read more.
Invasive meningococcal disease (IMD) is classically associated with meningitis and septic shock, but an increasing proportion of cases present with atypical, extra-meningeal manifestations. Following the COVID-19 pandemic, major epidemiological shifts have occurred in France, including a rebound in IMD incidence and changes in circulating serogroups and clonal complexes. We conducted a nationwide retrospective study including all laboratory-confirmed IMD cases analysed by the French National Reference Centre between July 2014 and June 2025. Clinical presentations were coded as non-exclusive entities. Associations with age, serogroup, clonal complex, antimicrobial susceptibility and early mortality (≤72 h) were assessed using descriptive analyses and multivariable logistic regression models. Among 4328 IMD cases, sepsis/shock (61.1%) and meningeal involvement (54.9%) predominated, while atypical forms were frequent, including bacteraemic pneumonia (7.7%), abdominal presentations (8.0%) and arthritis (6.0%). Bacteraemic pneumonia was strongly associated with older age and serogroups W and Y, whereas abdominal forms predominated in adolescents and young adults and were independently associated with serogroups W and Y and clonal complex (cc) cc11. Abdominal presentations were independently associated with early mortality (adjusted odds ratio [aOR] 2.40) but not meningococcal pneumonia. Abdominal presentations were associated with serogroup W (aOR 2.27; 95% CI 1.35–3.83) and serogroup Y (aOR 2.92; 95% CI 1.79–4.75) and with cc11 (aOR 1.77; 95% CI 1.07–2.94). In contrast, cc23 was associated with lower odds of abdominal involvement (aOR 0.42; 95% CI 0.25–0.70). Overall, atypical presentations now represent a substantial proportion of IMD in France and are strongly shaped by age and meningococcal lineage. These findings highlight diagnostic challenges, prognostic heterogeneity and the need for continued integrated clinical, microbiological and genomic surveillance in the context of evolving vaccination strategies. Full article
(This article belongs to the Special Issue Meningococcal Infections)
Show Figures

Figure 1

15 pages, 4000 KB  
Article
Non-Surgical Causes of Death in the Emergency Department: A Five-Year Monocentric Clinicopathological Study
by Adrian-Iosif Moldoveanu, Diana Maria Orzata, Gabriel Veniamin Cozma, Radu Gheorghe Dan, Ovidiu Alexandru Mederle and Flavia Zara
Medicina 2026, 62(2), 293; https://doi.org/10.3390/medicina62020293 - 2 Feb 2026
Viewed by 59
Abstract
Background and objectives: Non-surgical deaths in the Emergency Department (ED) occur in the context of severe acute pathology and frequently under conditions of limited diagnostic time and incomplete clinical information. Data integrating ante-mortem clinical assessment with medico-legal autopsy results remain scarce, particularly [...] Read more.
Background and objectives: Non-surgical deaths in the Emergency Department (ED) occur in the context of severe acute pathology and frequently under conditions of limited diagnostic time and incomplete clinical information. Data integrating ante-mortem clinical assessment with medico-legal autopsy results remain scarce, particularly in Central and Eastern Europe. Materials and Methods: We conducted a retrospective, monocentric descriptive clinicopathological study including 45 consecutive non-surgical deaths occurring in the Emergency Department of a tertiary care hospital between January 2019 and December 2023. Clinical, biological, and temporal data were retrospectively analyzed and correlated with complete medico-legal autopsy findings in order to establish the cause of death and to assess clinicopathological concordance. Results: The mean patient age was 74.3 years, and the median time from ED admission to death was 142 min. Cardiovascular disease was the most frequent cause of death in this cohort (35.6%), followed by sepsis (22.2%), non-COVID respiratory causes (15.6%), and SARS-CoV-2 infection (17.8%). Complete clinicopathological concordance was observed in 37.8% of cases, while partial concordance predominated (57.8%). Total discordance was rare (4.4%). Autopsy findings frequently demonstrated multisystem involvement, particularly in deaths attributed to sepsis and COVID-19. Conclusions: In this descriptive, autopsy-based cohort, non-surgical deaths in the Emergency Department were associated with advanced disease severity and rapid clinical deterioration, limiting complete etiological clarification prior to death. The high rate of partial clinicopathological concordance may reflect the complexity of terminal pathophysiological mechanisms encountered in emergency settings. Systematic clinicopathological correlation through autopsy remains essential for understanding selected cases of acute non-surgical mortality in selected, rapidly fatal ED cases. Full article
Show Figures

Figure 1

22 pages, 1588 KB  
Article
A Hybrid HOG-LBP-CNN Model with Self-Attention for Multiclass Lung Disease Diagnosis from CT Scan Images
by Aram Hewa, Jafar Razmara and Jaber Karimpour
Computers 2026, 15(2), 93; https://doi.org/10.3390/computers15020093 - 1 Feb 2026
Viewed by 65
Abstract
Resource-limited settings continue to face challenges in the identification of COVID-19, bacterial pneumonia, viral pneumonia, and normal lung conditions because of the overlap of CT appearance and inter-observer variability. We justify a hybrid architecture of deep learning which combines hand-designed descriptors (Histogram of [...] Read more.
Resource-limited settings continue to face challenges in the identification of COVID-19, bacterial pneumonia, viral pneumonia, and normal lung conditions because of the overlap of CT appearance and inter-observer variability. We justify a hybrid architecture of deep learning which combines hand-designed descriptors (Histogram of Oriented Gradients, Local Binary Patterns) and a 20-layer Convolutional Neural Network with dual self-attention. Handcrafted features were then trained with Support Vector Machines, and ensemble averaging was used to integrate the results with the CNN. The confidence level of 0.7 was used to mark suspicious cases to be reviewed manually. On a balanced dataset of 14,000 chest CT scans (3500 per class), the model was trained and cross-validated five-fold on a patient-wise basis. It had 97.43% test accuracy and a macro F1-score of 0.97, which was statistically significant compared to standalone CNN (92.0%), ResNet-50 (90.0%), multiscale CNN (94.5%), and ensemble CNN (96.0%). A further 2–3% enhancement was added by the self-attention module that targets the diagnostically salient lung regions. The predictions that were below the confidence limit amounted to only 5 percent, which indicated reliability and clinical usefulness. The framework provides an interpretable and scalable method of diagnosing multiclass lung disease, especially applicable to be deployed in healthcare settings with limited resources. The further development of the work will involve the multi-center validation, optimization of the model, and greater interpretability to be used in the real world. Full article
(This article belongs to the Special Issue AI in Bioinformatics)
16 pages, 686 KB  
Review
Audiovestibular Dysfunction Related to Long COVID-19 Syndrome: A Systematic Review of Characteristics, Pathophysiology, Diagnosis, and Management
by Jiann-Jy Chen, Chih-Wei Hsu, Hung-Yu Wang, Brendon Stubbs, Tien-Yu Chen, Chih-Sung Liang, Yen-Wen Chen, Bing-Syuan Zeng and Ping-Tao Tseng
Int. J. Mol. Sci. 2026, 27(3), 1417; https://doi.org/10.3390/ijms27031417 - 30 Jan 2026
Viewed by 249
Abstract
Long COVID-19 syndrome (or so-called post-COVID-19) is indicated by miscellaneous symptoms, usually starting 3 months from the COVID-19 infection and lasting for at least 2 months, which cannot be explained by an alternative diagnosis. There has been more and more reports addressing the [...] Read more.
Long COVID-19 syndrome (or so-called post-COVID-19) is indicated by miscellaneous symptoms, usually starting 3 months from the COVID-19 infection and lasting for at least 2 months, which cannot be explained by an alternative diagnosis. There has been more and more reports addressing the audiovestibular dysfunction related to long COVID-19 syndrome. Emerging evidence suggests that the linkage between audiovestibular dysfunction and long COVID-19 syndrome might rely on (a) direct inner ear system damage related to viral invasion and consequent inflammation, (b) micro thromboembolic events, which might result from the COVID-19-induced autoimmune reaction against endothelial cells, and consequent transient-ischemia and hypoxia of the auditory pathways, (c) the disturbed nerve conduction in vestibulocochlear nerves due to viral invasion, and finally (d) altered auditory cortex function, either imbalanced central gain or neurotransmitter disturbance. However, most of the aforementioned mechanism remained hypothetic and still needed further studies to approve or refute. This systematic review synthesizes current evidence on the characteristics, pathophysiology, diagnostic approaches, and management of audiovestibular dysfunction related to long COVID-19 syndrome. Literature searches across PubMed, Embase, ClinicalKey, Web of Science, and ScienceDirect (up to 15 December 2025) were conducted in accordance with PRISMA guidelines. Through this systematic review, we provided a schematic diagram of the physiopathology of long COVID-19 syndrome-related audiovestibular dysfunction. Further, we summarized the currently available diagnostic tools to explore the audiovestibular function in such patients. The currently available treatment, either pharmacotherapy or nonpharmacotherapy, mainly tackles idiopathic audiovestibular dysfunction but not specifically long COVID-19 syndrome-related audiovestibular dysfunction. Timely recognition and intervention may prevent progression to permanent hearing loss or vestibular disability, improving quality of life. Trial registration: PROSPERO CRD420251265741. Full article
34 pages, 4203 KB  
Review
Insights into Monkeypox Virus: Host Immunity, Viral Immune Evasion, Recent Advances in Vaccines, Therapeutic Development, and Future Perspectives
by Mingzhuo Chen, Weigang Ren, Xin Wu, Jamal Muhammad Khan, Humera Nazir, Shafeeq Ur Rehman, Faizan Ali and Junwei Li
Microorganisms 2026, 14(2), 317; https://doi.org/10.3390/microorganisms14020317 - 29 Jan 2026
Viewed by 430
Abstract
Monkeypox (Mpox), a zoonotic viral disease caused by the Monkeypox Virus (MPXV), has gained significant attention in recent years due to its increasing incidence and the grave threat it poses to global health. MPXV has spread at a rapid pace during the COVID-19 [...] Read more.
Monkeypox (Mpox), a zoonotic viral disease caused by the Monkeypox Virus (MPXV), has gained significant attention in recent years due to its increasing incidence and the grave threat it poses to global health. MPXV has spread at a rapid pace during the COVID-19 pandemic, causing 10,000+ confirmed cases and ~300 fatalities in 122 countries. This virus comprises two major clades, Clade I (Central African), which is evidently more virulent, and Clade II (West African), which has caused the recent outbreaks across the world and caused fewer deaths. Clinically, Mpox presents as a milder form with fever, lymphadenopathy, and vesiculopustular rash similar to smallpox. Diagnostic measures such as polymerase chain reaction (PCR) are the main diagnostic confirmatory tools. Advanced diagnostics involve electronic microscopy, serology, and immunohistochemistry. Alternative drugs like tecovirimat and brincidofovir have demonstrated potential for treating smallpox, but there is scanty evidence on their efficacy against MPXV. Most recent advancements in the study of vaccines have resulted in the creation and introduction of MVA-BN (JYNNEOS/Imvanex/Imvamune) and ACAM2000 vaccines, which conferred cross-protection against MPXV. MVA-BN is suggested to perform better than other types due to its enhanced safety and immunogenicity. Researchers are also developing DNA and protein subunit vaccines against Mpox to induce specific immune responses by presenting viral proteins. The discovery of novel vaccine candidates and antiviral treatments will be needed to prevent future outbreaks and reduce the global health burden of Mpox. This review focuses on the characterization of MPXV, summarizing current knowledge on its genomic structure, pathogenesis, replication, potential targets of anti-MPXV drugs, clinical features, and epidemiological patterns, along with recent advances in vaccine development. Full article
Show Figures

Figure 1

16 pages, 2287 KB  
Article
Extracellular Vesicle-Derived MicroRNAs’ Value in Diagnosing and Predicting Clinical Outcomes in Patients with COVID-19 and Bacterial Sepsis
by Martina Schiavello, Barbara Vizio, Ornella Bosco, Chiara Dini, Barbara Gennaro, Anna Trost, Elisabetta Greco, Salvatore Andrea Randazzo, Emanuele Pivetta, Giulio Mengozzi, Giuseppe Montrucchio, Fulvio Morello and Enrico Lupia
Int. J. Mol. Sci. 2026, 27(3), 1334; https://doi.org/10.3390/ijms27031334 - 29 Jan 2026
Viewed by 110
Abstract
Severe COVID-19 and bacterial sepsis share clinical manifestations of systemic inflammation and organ dysfunction. Yet, early differentiation between these conditions and timely identification of patients at risk of deterioration remain major clinical challenges. Extracellular vesicle (EV)-associated microRNAs (miRNAs) have emerged as promising biomarkers [...] Read more.
Severe COVID-19 and bacterial sepsis share clinical manifestations of systemic inflammation and organ dysfunction. Yet, early differentiation between these conditions and timely identification of patients at risk of deterioration remain major clinical challenges. Extracellular vesicle (EV)-associated microRNAs (miRNAs) have emerged as promising biomarkers of host immune dysregulation. In our study, we have characterized circulating EV-miRNAs in patients with COVID-19, bacterial sepsis, localized bacterial infections, and healthy subjects to assess their diagnostic and prognostic utility. After EV isolation from plasma and characterization by nanoparticle tracking analysis and flow cytometry, a panel of 12 inflammation-related miRNAs were individually quantified by qRT-PCR. Four EV-miRNAs—miR-28-5p, miR-199a-5p, miR-200a-3p, and miR-369-3p—were significantly elevated in COVID-19 patients, with higher levels in those with poor prognosis. miR-199a-5p and miR-200a-3p were increased in bacterial sepsis compared with COVID-19, enabling discrimination between viral and bacterial sepsis. Three EV-miRNAs—miR-28-5p, miR-199a-5p, and miR-200a-3p—were markedly higher in bacterial sepsis than localized infections, and ROC analysis showed a strong diagnostic performance, particularly for miR-199a-5p, alone or in combination with other EV-miRNAs. The increased expression of selected EV-miRNAs was associated with higher SOFA scores and in-hospital mortality. These findings indicate that EV-miRNAs reflect pathogen-specific and severity-related immune responses, supporting their potential as minimally invasive biomarkers for early diagnosis and risk stratification in severe infections. Full article
(This article belongs to the Special Issue Molecular Mechanism of Extracellular Vesicles in Human Diseases)
Show Figures

Figure 1

43 pages, 595 KB  
Review
An Overview of Severe Myalgic Encephalomyelitis
by Mark Vink and Alexandra Vink-Niese
J. Clin. Med. 2026, 15(2), 805; https://doi.org/10.3390/jcm15020805 - 19 Jan 2026
Viewed by 2724
Abstract
In this article, we have reviewed the literature on severe myalgic encephalomyelitis/chronic fatigue syndrome (ME/CFS). ME/CFS is a clinical diagnosis in the absence of a diagnostic test. However, in research settings and disability disputes, 2-day cardiopulmonary exercise testing can be used to diagnose [...] Read more.
In this article, we have reviewed the literature on severe myalgic encephalomyelitis/chronic fatigue syndrome (ME/CFS). ME/CFS is a clinical diagnosis in the absence of a diagnostic test. However, in research settings and disability disputes, 2-day cardiopulmonary exercise testing can be used to diagnose and document the abnormal response to exercise. Biomedical research into this disease has been scarce and underfunded for decades. Consequently, there are no effective treatments. In its most severe form, it is more disabling than many other diseases, and patients are bedbound 24/7, dependent on carers, and spend their days in dark and quiet rooms. Even the soft sound of a human voice can lead to further deterioration. Some of the very severely ill suffer from life-threatening malnutrition and need to be tube-fed. The COVID-19 pandemic has led to a sharp increase in the number of patients with post-infectious diseases, and many of them fulfill ME/CFS criteria. Dedicated, focused research using advanced medical technologies is needed to gain further understanding of the underlying disease mechanism. This will enable us to find effective pharmacological treatments and address the unmet medical needs of these very ill people. Full article
(This article belongs to the Special Issue POTS, ME/CFS and Long COVID: Recent Advances and Future Direction)
26 pages, 1203 KB  
Review
Learning from an Emerging Infection: How the COVID-19 Pandemic Reshaped Gastric Cancer Care
by Alexandru Marian Vieru, Dumitru Radulescu, Liliana Streba, Emil Tiberius Trasca, Sergiu Marian Cazacu, Razvan-Cristian Statie, Petrica Popa and Tudorel Ciurea
Life 2026, 16(1), 161; https://doi.org/10.3390/life16010161 - 19 Jan 2026
Viewed by 223
Abstract
Background/Objectives: The COVID-19 pandemic profoundly disrupted gastric cancer care, reducing access to screening, delaying diagnosis, and altering therapeutic pathways worldwide. Beyond clinical challenges, it exposed structural weaknesses in healthcare systems but also accelerated innovation. Methods: We conducted a narrative review supported by a [...] Read more.
Background/Objectives: The COVID-19 pandemic profoundly disrupted gastric cancer care, reducing access to screening, delaying diagnosis, and altering therapeutic pathways worldwide. Beyond clinical challenges, it exposed structural weaknesses in healthcare systems but also accelerated innovation. Methods: We conducted a narrative review supported by a structured literature search (PubMed/MEDLINE, Scopus, Web of Science; 1 January 2014–30 November 2025), with a narrative synthesis of observational studies, registry analyses, and meta-analyses addressing COVID-19–related changes in gastric cancer epidemiology, diagnosis, treatment, vaccination, and telemedicine. A PRISMA-style flow diagram was used to illustrate study selection. Results: Elective endoscopy volumes fell by up to 80%, leading to diagnostic backlogs and increased proportions of advanced-stage gastric cancer. Surgical postponements, modified chemotherapy and radiotherapy schedules, and reduced molecular/genetic testing further compromised outcomes. Conversely, vaccination, telemedicine, capsule endoscopy, and adaptive triage frameworks enabled partial recovery of services. Geographical variations were observed in the recovery of gastric cancer care services, with regions that had established screening infrastructure generally resuming activity more rapidly, whereas others experienced ongoing delays and diagnostic backlogs. Conclusions: This review integrates epidemiological, diagnostic, and therapeutic evidence to demonstrate how COVID-19 redefined gastric cancer care. By highlighting regional disparities and outlining a conceptual model for oncologic resilience, it provides an innovative framework for future crisis preparedness. The lessons of the pandemic—digital health integration, flexible treatment protocols, and international collaboration—represent a foundation for more robust, equitable gastric cancer management in the post-pandemic era. Full article
Show Figures

Figure 1

10 pages, 1558 KB  
Communication
The Impact of IgG Glycosylation in SARS-CoV-2 Infection vs. Vaccination: A Statistical Analysis
by Adriána Kutás, Attila Garami and Csaba Váradi
Int. J. Mol. Sci. 2026, 27(2), 946; https://doi.org/10.3390/ijms27020946 - 18 Jan 2026
Viewed by 139
Abstract
This study investigates the glycosylation patterns of serum IgG antibodies in relation to COVID-19 infection and vaccination, highlighting the potential of specific glycan profiles as biomarkers for immune responses. Using Spearman correlation analysis, distinct associations among glycan levels and various clinical laboratory parameters [...] Read more.
This study investigates the glycosylation patterns of serum IgG antibodies in relation to COVID-19 infection and vaccination, highlighting the potential of specific glycan profiles as biomarkers for immune responses. Using Spearman correlation analysis, distinct associations among glycan levels and various clinical laboratory parameters were identified, revealing complex, non-linear interactions that influence immune dynamics. Significant differences were observed in sialylated glycan profiles across patient groups, indicating that vaccination and natural infection elicit unique immune mechanisms and suggesting that vaccination induces favorable glycosylation changes. Notably, high-mannose glycans were found to correlate with other glycan types, underscoring their critical role in the immune response and suggesting their potential as biomarkers to differentiate between infection- and vaccination-induced immunity. The findings suggest that understanding these glycosylation dynamics may enhance diagnostic and therapeutic strategies, providing valuable tools for differentiating between immune responses elicited by infection and vaccination. Overall, this study contributes to the understanding of glycosylation’s impact on immune function in the context of COVID-19, emphasizing the importance of specific glycan markers, such as sialylated and high-mannose structures, in clinical applications. Full article
(This article belongs to the Special Issue COVID-19: Molecular Research and Novel Therapy)
Show Figures

Figure 1

30 pages, 1851 KB  
Review
Telehealth for Sexual and Reproductive Healthcare: Evidence Map of Effectiveness, Patient and Provider Experiences and Preferences, and Patient Engagement Strategies
by Romil R. Parikh, Nishka U. Shetty, Chinar Singhal, Prachi Patel, Priyanka Manghani, Ashwin A. Pillai, Luz Angela Chocontá-Piraquive and Mary E. Butler
Clin. Pract. 2026, 16(1), 14; https://doi.org/10.3390/clinpract16010014 - 9 Jan 2026
Viewed by 414
Abstract
Objective: The aim of this study was to systematically map evidence to inform best practices for sexual and reproductive healthcare delivered via telehealth (TeleSRH) in United States-based Title X-funded clinics. Methods: We searched three databases (2017–2025) for studies evaluating effectiveness, harms, patient and [...] Read more.
Objective: The aim of this study was to systematically map evidence to inform best practices for sexual and reproductive healthcare delivered via telehealth (TeleSRH) in United States-based Title X-funded clinics. Methods: We searched three databases (2017–2025) for studies evaluating effectiveness, harms, patient and provider experiences, barriers/facilitators, and engagement strategies encompassing TeleSRH for sexually transmitted infections (STIs), contraceptive care/family planning (CC/FP), and sexual wellness, in countries with a human development index of ≥0.8. Results: From 5963 references and 436 articles, we included 142 eligible publications. TeleSRH use declined since the COVID-19 pandemic’s peak but remains higher than pre-pandemic. Evidence comes mostly from poor-quality studies. TeleSRH increases access and adherence to STI prevention (e.g., pre-exposure prophylaxis for HIV). Tele-follow-up may safely facilitate HIV care continuity. For CC/FP, TeleSRH is comparable to in-person care for patient satisfaction and uptake; patients are less likely to select long-acting reversible contraception but post-initiation tele-follow-up may increase its continuation rates. Vasectomy completion rates may be similar between pre-procedural counseling via telehealth versus in-person. TeleSRH’s potential benefits might include reduced travel time, wait times, no-show rates, and clinic human resource burden (via tele-triaging) and increased preventative screening rates for STIs and non-communicable diseases, prescription refill rates, ability to receive confidential care in preferred settings, and rural/marginalized community outreach. Implementation challenges span technological and capital constraints, provider availability, staff capability building, restrictive policies, language incompatibility, and patient mistrust. Supplementing synchronous TeleSRH with asynchronous communication (e.g., mobile application) may improve continued patient engagement. Conclusions: Preventive, diagnostic, and therapeutic TeleSRH can be effective, with high patient acceptability; however, effectiveness and adoption hinge on contextual factors outlined in this review. Full article
Show Figures

Figure 1

14 pages, 672 KB  
Article
Impact of a Teledermatology-Based Referral Model on Melanoma Diagnostic Pathways and Clinicopathologic Features: A Retrospective Comparative Study Between Face-to-Face Consultation (2019) and Teledermatology (2022) in a Tertiary Hospital
by Marta Cebolla-Verdugo, Husein Husein El-Ahmed, Francisco Manuel Ramos-Pleguezuelos and Ricardo Ruiz-Villaverde
J. Clin. Med. 2026, 15(1), 267; https://doi.org/10.3390/jcm15010267 - 29 Dec 2025
Viewed by 210
Abstract
Background/Objectives: Teledermatology has transformed access to dermatologic care, yet its association with melanoma prognostic parameters and diagnostic pathways in tertiary settings remains incompletely characterized. To compare the clinicopathologic profile of melanomas diagnosed under face-to-face consultation (2019) versus teledermatology-based referral (teleconsultation) (2022). Methods: A [...] Read more.
Background/Objectives: Teledermatology has transformed access to dermatologic care, yet its association with melanoma prognostic parameters and diagnostic pathways in tertiary settings remains incompletely characterized. To compare the clinicopathologic profile of melanomas diagnosed under face-to-face consultation (2019) versus teledermatology-based referral (teleconsultation) (2022). Methods: A retrospective observational study comparing two patient cohorts: those diagnosed with melanoma via in-person consultation in 2019, and those diagnosed through teleconsultation in 2022. These years were selected to reflect the structural shift in care delivery models before and after the COVID-19 pandemic, during which teledermatology was formally implemented. Sociodemographic, clinical, and histopathological variables were collected. A multivariable logistic regression model assessed variables associated with being diagnosed in the 2022 teledermatology cohort versus the 2019 face-to-face cohort. Statistical analyses were performed using R (v. 4.4.3). Results: A total of 151 patients were included (89 in-person in 2019, 62 via teleconsultation in 2022). Multivariable analysis identified three variables independently associated with being diagnosed via teleconsultation. Increasing Breslow thickness was inversely associated with teleconsultation diagnosis (OR 0.60 per 1 mm increase; 95% CI 0.40–0.91; p= 0.017). Similarly, the presence of histologic regression (OR 0.28; 95% CI 0.09–0.90; p = 0.032) and immunosuppression (OR 0.08; 95% CI 0.008–0.86; p = 0.037) were inversely associated with teleconsultation diagnosis. No significant associations were found for sex, age, tumor location, ulceration, mitosis, or clinical stage. Conclusions: In this retrospective single-center comparison of two care models, melanomas diagnosed through teleconsultation in 2022 were associated with a more favorable clinicopathologic profile at diagnosis than those diagnosed via face-to-face consultation in 2019. These findings support the role of teledermatology-based referral pathways in facilitating timely melanoma assessment, although causal inference is limited by the observational design. Full article
Show Figures

Figure 1

25 pages, 1405 KB  
Review
The Current Landscape of Automatic Radiology Report Generation with Deep Learning: A Scoping Review
by Patricio Meléndez Rojas, Jaime Jamett Rojas, María Fernanda Villalobos Dellafiori, Pablo R. Moya and Alejandro Veloz Baeza
AI 2026, 7(1), 8; https://doi.org/10.3390/ai7010008 - 29 Dec 2025
Viewed by 1022
Abstract
Automatic radiology report generation (ARRG) has emerged as a promising application of deep learning (DL) with the potential to alleviate reporting workload and improve diagnostic consistency. However, despite rapid methodological advances, the field remains technically fragmented and not yet mature for routine clinical [...] Read more.
Automatic radiology report generation (ARRG) has emerged as a promising application of deep learning (DL) with the potential to alleviate reporting workload and improve diagnostic consistency. However, despite rapid methodological advances, the field remains technically fragmented and not yet mature for routine clinical adoption. This scoping review maps the current ARRG research landscape by examining DL architectures, multimodal integration strategies, and evaluation practices from 2015 to April 2025. Following the PRISMA-ScR (Preferred Reporting Items for Systematic Reviews and Meta-Analyses extension for Scoping Reviews) guidelines, a comprehensive literature search identified 89 eligible studies, revealing a marked predominance of chest radiography datasets (87.6%), primarily driven by their public availability and the accelerated development of automated tools during the COVID-19 pandemic. Most models employed hybrid architectures (73%), particularly CNN–Transformer pairings, reflecting a shift toward systems that combine local feature extraction with global contextual reasoning. Although these approaches have achieved measurable gains in textual and semantic coherence, several challenges persist, including limited anatomical diversity, weak alignment with radiological rationale, and evaluation metrics that insufficiently reflect diagnostic adequacy or clinical impact. Overall, the findings indicate a rapidly evolving but clinically immature field, underscoring the need for validation frameworks that more closely reflect radiological practice and support future deployment in real-world settings. Full article
(This article belongs to the Section Medical & Healthcare AI)
Show Figures

Graphical abstract

15 pages, 4017 KB  
Review
COVID-19 and Interstitial Lung Disease
by Roberto G. Carbone, Sharada Nagoti, Assaf Monselise, Keith M. Wille, Francesco Puppo and Pallav L. Shah
Medicina 2026, 62(1), 22; https://doi.org/10.3390/medicina62010022 - 23 Dec 2025
Viewed by 2144
Abstract
Background and Objectives: COVID-19 is an infection caused by the SARS-CoV-2 coronavirus that may develop several complications. Interstitial lung disease (ILD) is the major long-term complication of COVID-19 disease leading to progressive lung fibrosis and reduced respiratory function. The aim of this [...] Read more.
Background and Objectives: COVID-19 is an infection caused by the SARS-CoV-2 coronavirus that may develop several complications. Interstitial lung disease (ILD) is the major long-term complication of COVID-19 disease leading to progressive lung fibrosis and reduced respiratory function. The aim of this narrative review is to provide an updated overview of post-COVID-19 ILD by examining research publications and clinical guidelines selected from PubMed, Web of Science, and major respiratory medicine journals from 2020 to 2025. Methods: ILDs are diagnosed by medical history, physiological examination, pulmonary function tests, and chest X-ray or high-resolution computed tomography (HRCT) scan. Lung biopsy, especially cryobiopsy or video-assisted thoracoscopic (VATS) biopsy, can be performed to define histological patterns and confirm the diagnosis. Results: Post-COVID-19 ILD is a chronic condition characterized by long-term respiratory symptoms, radiological findings, and reduced lung function. Fibrotic injury is a consequence of the initial infection and could be influenced by persistent inflammation and dysregulated tissue repair. Risk factors include severe acute illness, advanced age, male sex, and smoking. Clinical course and prognosis of post-COVID-19 ILD is uncertain, as most patients experience gradual improvement or stability, whereas others develop progressive lung function decline. Treatment of post-COVID-19 ILD is not presently defined by guidelines but comprises corticosteroids, antifibrotics (including new drugs such as nerandomilast), supportive oxygen, pulmonary physiotherapy rehabilitation, smoking cessation, and vaccination. Conclusions: ILD represents a significant long-term complication of COVID-19 infection. Further investigations are required to better understand its pathophysiology and clinical management. As research progresses, more effective diagnostic and therapeutic strategies are expected to emerge. Full article
(This article belongs to the Special Issue Diagnosis and Treatment of Interstitial Lung Disease)
Show Figures

Figure 1

17 pages, 994 KB  
Article
Clinical Symptom Patterns as Predictors of SARS-CoV-2 Infection in Healthcare Workers in Puerto Rico
by Desiré Vázquez Ortiz, Josefina Romaguera, Jean L. Santos Agrait, Frances Vázquez, María E. Pérez, Carmen D. Zorrilla and Filipa Godoy-Vitorino
Int. J. Environ. Res. Public Health 2026, 23(1), 8; https://doi.org/10.3390/ijerph23010008 - 19 Dec 2025
Viewed by 483
Abstract
Coronavirus disease 2019 (COVID-19), caused by SARS-CoV-2, has posed major risks for healthcare workers (HCWs) worldwide. This study assessed the prevalence of infection and its relationship with demographic and clinical characteristics among HCWs at the University of Puerto Rico Adult Hospital. A total [...] Read more.
Coronavirus disease 2019 (COVID-19), caused by SARS-CoV-2, has posed major risks for healthcare workers (HCWs) worldwide. This study assessed the prevalence of infection and its relationship with demographic and clinical characteristics among HCWs at the University of Puerto Rico Adult Hospital. A total of 132 individuals were enrolled, of whom six tested positive (4.55%). The study population was predominantly female (78.8%) with a mean age of 41 years, and although men showed higher odds of infection (OR = 3.98), the difference was not significant. Symptom presence was strongly associated with infection: 7.4% of symptomatic participants tested positive compared to none of the asymptomatic (p < 0.001). Symptom count was also predictive, with those reporting three to four symptoms showing the highest positivity rate (14.8%) and those with five to ten symptoms at 6.7%. Specific symptoms including muscle pain (OR = 21.04, p = 0.002), taste loss (OR = 24.20, p = 0.002), smell loss (OR = 15.25, p = 0.024), and fever (OR = 20.50, p = 0.016) were significantly linked to infection, while others such as headache and congestion were not. These findings underscore the utility of symptom-based monitoring in occupational health, though the single-site design, modest sample size, reliance on self-report, and early pandemic diagnostic limitations may have led to underestimation of true cases. Full article
Show Figures

Figure 1

Back to TopTop