Abstract
The condition of sarcopenia, defined as a progressive loss of musculoskeletal mass and muscular strength, is very common in patients with hepatocellular carcinoma (HCC) and presents a remarkable association with its prognosis. Thus, the early identification of sarcopenic patients represents one of the potential new approaches in the global assessment of HCC, and there is increasing interest regarding the potential therapeutic implications of this condition. The gold standard for the quantification of muscle mass is magnetic resonance imaging (MRI) or computed tomography (CT), but these techniques are not always feasible because of the high-cost equipment needed. A new possibility in sarcopenia identification could be muscle ultrasound examination. The measurement of specific parameters such as the muscle thickness, muscular fascicles length or pennation angle has shown a good correlation with CT or MRI values and a good diagnostic accuracy in the detection of sarcopenia. Recently, these results were also confirmed specifically in patients with chronic liver disease. This review summarizes the role of imaging for the diagnosis of sarcopenia in patients with HCC, focusing on the advantages and disadvantages of the diagnostic techniques currently validated for this aim and the future perspectives for the identification of this condition.
1. Introduction
Hepatocellular carcinoma (HCC) represents the most common primary liver cancer and a current global health challenge, being the fifth most prevalent solid tumor worldwide and the second cause of tumor-related death in men []. Its incidence is constantly growing, and it is expected that by 2025, more than one million individuals will be affected by liver cancer annually []. Despite the major therapeutic advances of the last few decades, HCC still presents a generally poor prognosis, with a global 5-year survival rate of about 16% [,]. A crucial issue in the actual scenario is represented by the identification of prognostic biomarkers able to provide an early identification of patients at a high risk of death or therapeutic failure. In this context, the evaluation of nutritional status and, in particular, of muscular mass impairment (sarcopenia), has recently emerged as a possible new instrument in the management of this disease [].
Sarcopenia can be defined as a progressive and generalized disorder which results in a reduced muscle quantity and muscle strength [], increasing the likelihood of adverse outcomes such as reduced mobility, falls, fractures and disability [,]. It is possible to distinguish “primary” or age-related sarcopenia, when no apparent causes or underlying factors are evident [], and “secondary” sarcopenia, when this condition arises in the context of a systemic, inflammatory or malignant disease []. Secondary sarcopenia is very common in patients with HCC. According to a recent meta-analysis which included 48 studies and 8959 patients with HCC, about 42% of the whole cohort was sarcopenic []. Moreover, it is known that, in patients with HCC, the presence of sarcopenia predicts negative outcomes in each stage of the disease [], and is associated with adverse events and poor prognosis in patients undergoing liver resection [,], liver transplant [,], trans-arterial chemoembolization (TACE) [,,,], trans-arterial radioembolization (TARE) [], percutaneous radio-frequency ablation (RFA) [,,,] and systemic therapy [,]. Thus, the early diagnosis of this condition could be useful for the identification of patients with a worse prognosis and could represent a new therapeutic target to improve the overall survival and the quality of life of these patients [].
While the assessment of muscle strength and physical performance can be performed through several cheap and easily available clinical tests such as the handgrip strength test, the chair stand test and the gait speed velocity measurement [,], the evaluation of the muscle mass quantity requires the calculation of individual parameters which can be identified through specific imaging techniques. To date, the gold standard for the radiological diagnosis of sarcopenia is the quantification of muscle mass through a computed tomography scan (CT) or magnetic resonance imaging (MRI) [,]. Furthermore, the evaluation of the total skeletal muscle index (SMI) through the quantification of the muscular area at the level of the L3 vertebral body has shown a good capability to predict the total muscle mass and body composition [,]. This parameter has been extensively used for the assessment of sarcopenia in patients with HCC [,]. However, the routinary use of CT and MRI for the detection of sarcopenia is limited by the high costs of these techniques, the use of ionizing radiation for CT scans and the need of specific equipment and trained specialists for both methods [,]. Moreover, CT and MRI need to be scheduled in advance and are often associated with a long waiting list. An alternative, easily available and safe technique to assess muscle mass is dual-energy X-ray absorptiometry (DXA), which consists of a whole-body scan through a specific machine which uses a very low dose of ionizing radiation []. DXA is considered a simple, valuable, cheap and reproducible method to assess muscle mass with a strong correlation with the results of CT and MRI [,]. However, this technique is affected by individual factors such as body thickness, hydration status and water retention, making it unreliable in pathologic conditions associated with fluid retention such as ascites [], and, as a consequence, in some patients with HCC. Bioelectrical impedance analysis (BIA) represents another feasible technique able to estimate the muscle mass quantity with the application of a low-intensity electrical current through the whole body []. Even if it has the advantages of being cheap, accurate, easy to perform and portable, this technique is also affected by individuals’ hydration status, and seems to be associated with a significant grade of variability among different health conditions, specific populations and different equipment [,,].
Among the emerging methods for the evaluation of muscle mass and the diagnosis of sarcopenia is muscle ultrasound (MUS). It is a cheap, non-invasive and easily available technique already validated for the diagnosis of several musculoskeletal conditions [], representing a reliable instrument for the evaluation of muscle quantity and quality [,,]. Compared to CT and MRI, MUS can be performed at the bedside, requires a significantly shorter time and does not require the presence of a radiology technician. Moreover, MUS, unlike CT, does not expose the patient to potentially harmful radiations. MUS allows for the measurements of several variables, such as the muscle thickness (MT), cross-sectional area (CSA), fascicle length (FL), pennation angle (PA) and echogenicity index (EI) [,], the alterations of which have shown a strong correlation with muscular performance [,] and structure [,], with results similar to those obtained by the gold standards CT or MRI []. Even if the majority of data concerning the performance of MUS have been collected in the geriatric population [], its usefulness has been recently studied also in patients affected by chronic liver disease [] and hepatocellular carcinoma [], with promising results in terms of the reliability and prognostic value.
To the best of our knowledge, this is the first review that explores the state of the art regarding the application of MUS for the diagnosis of sarcopenia in patients with HCC, evidencing the potential benefits of its routinary use in clinical practice as well as the pitfalls and limits of its application.
2. Pathophysiology of Sarcopenia in HCC Patients
The biological basis of sarcopenia in HCC patients is complex and multifactorial and depends both on the cancer itself and upon factors that are not tumor related. Cancer induces systemic inflammation by cytokine production (IL-1, IL-6, TNF-a, IFN-y) and due to reactive oxygen species (ROS) imbalance; this inflammatory microenvironment favors proteolysis and increases gluconeogenesis and insulin resistance. Insulin resistance facilitates fat deposition between muscle fibers, resulting in myosteatosis [].
Patients with cirrhosis-related HCC display the condition of cellular starvation and a hypermetabolic state that raises the demand of proteins and calories. The increased usage of amino acids results in a reduced supply of energy sources for skeletal muscles and therefore induces muscle degradation. In this context, malabsorption and inadequate nutrient intake potentially contribute to sarcopenia development. The nutritional deficiencies reduce the muscle anabolic activity and therefore can further worsen muscle wasting. Moreover, in cirrhotic patients, hyperammonemia and low testosterone levels are also involved with muscle wasting. This hormonal imbalance is responsible for the upregulation of myokines (myostatin, IL-6 and follistatin). Follistatin, a myostatin, is an inhibitor of the TGF-β superfamily related to the tumor size and stage, and it plays an oncogenic role in hepatocarcinogenesis. This complex interplay between muscle wasting and carcinogenesis could be a future therapeutic target for sarcopenia [] (Figure 1).

Figure 1.
Biological basis of sarcopenia in hepatocellular carcinoma. Created with BioRender.com. HCC, hepatocellular carcinoma; ROS, reactive oxygen species.
3. Ultrasound Assessment of Sarcopenia
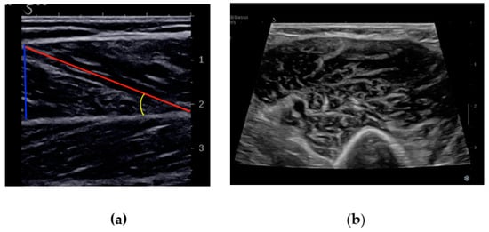
MUS provides an easy-to-use, noninvasive and point-of-care tool for assessing sarcopenia with the advantage of multiple sequential assessments. It allows one to estimate the muscle mass and to evaluate the distribution of adipose and fibrous tissue within skeletal muscle. The European Geriatric Medicine Society (EuGMS) sarcopenia group recently proposed a consensus protocol on the ultrasound evaluation of muscle mass, which involves the measurement of MT, CSA, FL, PA and EI [] (Figure 2). In particular, MUS can provide a detailed evaluation of the quantitative and qualitative parameters of specific anatomical sites.

Figure 2.
(a) A longitudinal US scan of the gastrocnemius muscle showing muscle thickness (blue line), fascicle length (red line) and pennation angle (yellow line); (b) a transverse US scan of biceps muscle showing cross-sectional area.
3.1. Quantitative Ultrasound Parameters
The thickness of specific muscle groups provides valuable information on the muscle size and composition since it directly reflects the degree of muscle atrophy. A reduction in the MT indicates a loss of muscle mass. This parameter is often measured in the quadriceps, where it has been shown to be a good predictor of the muscle volume, but it can be targeted to other muscle groups as well.
Another interesting parameter is the CSA, defined as the area of a muscle in a transverse plane. Both the CSA and MT provide numerical data, allowing for accurate comparisons over time and between individuals. It has been shown that individuals with a significant reduction in the MT and CSA may be at a higher risk for complications related to sarcopenia []. Moreover, in clinical settings, both parameters could serve as accurate endpoints for evaluating treatment efficacy [].
With MUS, it is also possible to evaluate the PA and FL, defined as the orientation of muscle fibers with respect to the tendon and the length of muscle fibers within a muscle, respectively. The PA has a direct impact on muscle strength: muscles with a higher PA can generate greater force due to the increased number of fibers that can be packed into a given cross-sectional area. Hence, muscles with a parallel fiber arrangement, like the biceps brachii, usually have an angle close to zero since they are designed for speed and range of motion. On the other hand, muscles with an oblique fiber arrangement designed for force generation, like the gastrocnemius, have a larger PA that can range from 10 to 30 degrees or more. Alterations in the PA may be indicative of structural changes associated with sarcopenia, offering additional insights into muscle health. Ultrasound can easily measure this angle, providing information about muscle architecture []. The measurement of the FL helps to define the architectural arrangement of muscle tissues This parameter has a direct impact on muscle strength: the longer the fascicle, the greater the mechanical advantage and hence the force generated. Therefore, a reduced FL may lead to diminished muscle strength and functional impairment. This evaluation is particularly relevant in predicting the impact of sarcopenia on activities of daily living and the overall quality of life [,].
3.2. Qualitative Ultrasound Parameters
While assessing sarcopenia, emphasis has traditionally been placed on evaluating muscle mass for diagnosis. However, it is evident that reduced muscle mass alone does not comprehensively account for the decline in muscle strength. Additionally, age-related changes in muscle strength outpace those related to muscle mass, suggesting the potential significance of qualitative muscular changes alongside quantitative parameters. Within the realm of ultrasound characteristics, the Echo Intensity (EI) emerges as a critical indicator reflecting variations in muscle quality. The EI, denoting the brightness or darkness observed in ultrasound images of muscle tissue, offers valuable insights into the distribution of adipose and fibrous tissues within skeletal muscles. Notably, elevated levels of intramuscular fat correspond to increased muscle brightness, termed hyperechogenicity, in ultrasound imaging (see Figure 3). Studies have established a negative correlation between the EI of the quadriceps femoris and quadriceps strength [].

Figure 3.
Differences in echogenicity of gastrocnemius. (a) High echogenicity index (EI) in an old patient with myosteatosis and sarcopenia. (b) Normal EU in a young patient.
3.3. Anatomical Sites for Muscle Ultrasound
MUS evaluation is usually performed with the patient in a supine position, applying a gentle pressure with a high-frequency (5–14 MHz) linear array probe. The quadriceps and hamstring muscles are commonly assessed due to their accessibility and their central role in mobility and daily activities. In patients with limited lower limb mobility, the biceps brachii, triceps brachii and transversus abdominis are frequently evaluated. Among the previously described MUS parameters, the MT of the gastrocnemius, rectus femoris, tibialis anterior and soleus have shown a moderate accuracy for the diagnosis of sarcopenia []. Similar results were obtained for the CSA of the rectus femoris and biceps brachii and the FL of the gastrocnemius [,]. A complete ultrasound evaluation should be targeted to all the above-mentioned muscle groups.
3.4. Advantages of Ultrasound in the Diagnosis of Sarcopenia
The non-invasive nature of MUS makes it a safe and easily accessible tool for the regular monitoring and follow-up assessment of sarcopenia. First of all, patients can undergo real-time evaluation without exposure to ionizing radiation or the need for contrast agents, unlike CT and MRI. This is important, especially in patients with renal impairment. Moreover, MUS is a rapid and cost-effective method that can be performed at the patient’s bedside with widely available equipment, unlike standard imaging techniques that require a longer time of evaluation, sometimes with patients in uncomfortable positions, and more expensive instruments [,].
Finally, unlike traditional static imaging, real-time ultrasound allows for the direct observation of muscle at rest and in motion, giving immediate feedback on the muscle quality [] and performance []. The possibility to perform a dynamic evaluation is important not only in the differential diagnosis with other potential causes of muscle weakness but also to evaluate the impact of sarcopenia on a patient’s daily life [,]. All the above-mentioned advantages make MUS a useful option for assessing and monitoring sarcopenia over time in healthcare settings. A comparison between MUS and other techniques for the diagnosis of sarcopenia can be found in Table 1.

Table 1.
Comparison of CT, MUS, DXA and BIA advantages and disadvantages in sarcopenia diagnosis.
3.5. New Technologies: Shear Wave Elastography and Quantitative Ultrasound
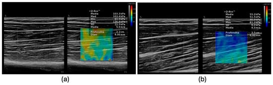
Recently, novel US based techniques have been evaluated as adjunctive tools in the diagnosis of sarcopenia. Preliminary evidence suggests a possible role of shear wave elastography (SWE), a method used to assess tissue stiffness, in the assessment of muscle quantity and quality [] (Figure 4). SWE velocities have shown a significantly lower value in sarcopenic patients and have been positively correlated with grip strength []. These results could be related to the muscle structural rearrangements that occur in sarcopenic patients with increased adipose tissue deposition and fibrosis.

Figure 4.
Differences in muscle stiffness evaluated by SWE. (a) Elevated stiffness in an old patient with myosteatosis and sarcopenia (103.3 kPa). (b) Lower stiffness in a young patient (55.2 kPa). SWE, shear wave elastography, kPa, kilopascal.
Another emergent technology is represented by quantitative ultrasound that aims to estimate the quantitative characteristics of analyzed tissues through the evaluation and measurement of backscattered signals []. Indeed, the analysis and quantification of acoustic scattering parameters associated with the acoustic impedance, for example, the backscatter coefficient or scatterer size, is able to provide an estimation of the microstructural and elastic properties of tissues [,]. This technology is far from clinical application in muscle ultrasound because the aforementioned quantitative variables cannot be easily applied to anisotropic tissues, like skeletal muscle. A recently introduced geometric model, published by Santoso et al., could overcome these limits [].
4. Sarcopenia in HCC Patients
As described in the Introduction, the early detection and monitoring of sarcopenia in patients with HCC can significantly influence clinical decision-making. In particular, the identification of individuals at a higher risk for sarcopenia-related complications could drive targeted interventions, including nutritional support and physical therapy. Furthermore, clinicians can adjust treatment regimens, including chemotherapy dosages, to prevent potential muscle-related side effects. This personalized approach enhances overall patient care and improves treatment outcomes [].
The role of MUS has been extensively studied in patients with liver cirrhosis. In 2019, Hari et al. demonstrated that the psoas muscle diameter was significantly related to hospitalization and mortality in patients with decompensated liver cirrhosis []. More recently, Dhariwal et al. evaluated patients with liver cirrhosis and sarcopenic obesity and demonstrated a positive correlation of different MUS parameters with CT scan-derived SMI [].
While there is large consensus on the utility of MUS for the assessment of sarcopenia in patients with liver disease, to date, there is little evidence concerning the role of MUS in patients with HCC []. In this specific clinical setting, the available data refer to standard imaging techniques and are focused mainly on preoperative risk assessment or the prediction of prognosis in patients undergoing treatment. It is known that sarcopenia, characterized by the loss of muscle mass and function, is associated with increased surgical complications, longer hospital stays, and poorer postoperative outcomes [,]. The possibility to assess muscle mass could be useful to evaluate morphological and functional changes over time. This is especially relevant for patients undergoing major surgeries with potential impacts on muscle health.
In 2015, Kobayashi et al. retrospectively analyzed the CT scans of 241 patients undergoing primary hepatectomy for HCC. They evaluated post-operative changes in the intramuscular adipose tissue content (IMAC) and the psoas muscle mass index (PMI) and their correlation with HCC recurrence during follow-up. In a multivariate analysis, the increase in the IMAC 6 months after hepatectomy was significantly correlated with HCC recurrence (OR = 3.713; p = 0.024) in patients with a normal preoperative IMAC [].
The role of the preoperative assessment of sarcopenia was evaluated by Hamaguchi et al. in a retrospective study performed in 492 patients undergoing hepatectomy for HCC. They analyzed the impact of preoperative IMAC assessed by CT scan on the development of surgical complications after hepatectomy. An increased IMAC emerged as an independent risk factor for major postoperative complications, showcasing an odds ratio (OR) of 1.580 (p = 0.049). In particular, the authors found a higher susceptibility to infections, with an OR of 1.903 (p = 0.021) [].
In a recent study focusing on the impact of sarcopenia on the postoperative outcomes of HCC patients [], a total of 155 patients underwent evaluation through handgrip strength and chair stand tests, physical performance, and CT scans. The patients were categorized into three groups based on muscle mass and strength. The baseline data and postoperative changes were compared. The primary outcome was the occurrence of major postoperative complications, while the secondary outcome was the 90-day re-admission rate. The group exhibiting a diminished muscle mass and strength post-surgery experienced a higher incidence of major complications, increased blood transfusion rates, elevated hospitalization costs (p = 0.001),and prolonged hospital stays (p < 0.001). However, no significant differences in the 90-day re-admission rates were observed among the three groups. Notably, sarcopenia (hazard ratio: 10.735; 95% CI: 2.547–45.244; p = 0.001) and open surgery (hazard ratio: 4.528; 95% CI: 1.425–14.387; p = 0.010) emerged as independent risk factors for the occurrence of major complications [].
The overall influence of sarcopenia on the post-operative prognosis of HCC was recently summarized by Kong and colleagues []. They analyzed 30 studies, with a total of 7352 HCC patients (2695 in the sarcopenia group and 4657 in the non-sarcopenia group) who had undergone curative surgical resection. The meta-analysis performed on 28 out of the 30 studies indicated that the patients with sarcopenia had a significantly lower overall survival (HR = 2.20; 95% CI, 1.88–2.58; p < 0.01) []. These findings confirm the considerable importance of identifying and correcting sarcopenia in HCC patients who are candidates for surgery.
The role of sarcopenia developed after surgery was explored by Yang et al. in 62 patients treated with curative hepatectomy and adjuvant TACE. The loss of skeletal muscle (in terms of a low SMI measured by CT) during the 6 months following treatment was predictive of worse liver-related survival [].
The impact of sarcopenia in patients with HCC is not only limited to the prognosis of subjects undergoing surgery, but it also has possible implications in the outcomes of other treatments, including pharmacological therapy.
Wu et al. [] investigated if sarcopenia defined with a CT scan and evaluated in different muscles can predict the prognosis of HCC after radioembolization. The pre-treatment assessment included the examination of the abdominal muscle, psoas muscle and paraspinal muscle. Each muscle was analyzed to determine its potential as a prognostic factor for OS. Interestingly, sarcopenic patients identified by the psoas muscle had a notably inferior OS compared to those without sarcopenia, while sarcopenia defined by the abdominal and paraspinal muscles was not associated with significant differences in prognosis. Upon adjusting for clinical variables, the presence of sarcopenia defined by the psoas muscle remained an independent predictor for a poor OS (HR: 1.899, 95% CI: 1.087–3.315) [].
Nam et al. [] explored the effects of sarcopenia in HCC patients treated with TARE. In this multi-center retrospective study, sarcopenia was assessed by CT. A multivariate Cox regression analysis revealed that a low skeletal muscle mass (LSMM) was independently associated with a poor OS (HR, 1.36; 95% CI, 1.00–1.85, p = 0.05). These findings suggest that pre-treatment LSMM could serve as a surrogate biomarker for identifying TARE candidates [].
The impact of sarcopenia in patients selected for TACE was studied by Loosen and colleagues []. As in the previously cited studies, the authors defined sarcopenia by a CT scan; the parameters evaluated were the SMI, median muscular attenuation (MMA), bone mineral density (BMD) and the visceral and subcutaneous fat area. The results were correlated with the tumor response to TACE and the patients’ outcome. The pre-interventional SMI turned out to be an independent prognostic factor for the clinical outcome (HR: 0.899, 95% CI 0.827–0.979, p = 0.014). These findings are consistent with those of Chien et al. [], who evaluated sarcopenia by CT before the first TACE session. Once again, a multivariate analysis demonstrated that sarcopenia was an independent poor prognostic factor for the overall survival in HCC patients receiving TACE.
In a retrospective study by Kobayashi et al. conducted on 102 patients treated with trans-arterial treatments, the authors evaluated the SMI through a CT scan both at the baseline and 6 months after the treatment []. Notably, they found that the OS did not differ significantly among the patients with or without sarcopenia at baseline but was significantly lower in those who showed a higher muscle loss at 6 months.
In patients undergoing systemic therapy with Sorafenib, a lower muscle mass at baseline and rapid muscle wasting during treatment were associated with a poorer prognosis in terms of the OS and early therapeutic discontinuation [,,,,]. In a retrospective study conducted by Cheng et al. [] on 385 patients with disease progression after Sorafenib, a poorer prognosis was observed in those with a lower muscle mass at the time of therapeutic failure. Notably, in this group of patients, the gain of muscle mass after therapeutic failure was associated with a higher post-progression survival. The effective benefit in the reversal of this condition suggests the potential role of a nutritional therapeutic approach [].
Xiong and colleagues [] recently conducted a study exploring the prognostic relevance of sarcopenia in patients undergoing immune checkpoint inhibitor therapy. Utilizing CT scans, sarcopenia was assessed by computing various parameters such as the SMI, visceral adipose tissue index, subcutaneous adipose tissue index (SATI) and total adipose tissue index. A multivariate analysis demonstrated that both the SATI (HR 0.251; 95% CI 0.109–0.577; p = 0.001) and the presence of sarcopenia (sarcopenia vs. no sarcopenia; HR 2.171; 95% CI 1.100–4.284; p = 0.026) independently served as prognostic indicators for the OS [].
Imai et al. [] studied the effects of lenvatinib or sorafenib treatment on body composition and how these changes could affect OS. They evaluated the SMI, subcutaneous and visceral adipose tissue indices before treatment, after three months and at treatment discontinuation or the last observation. Both the pre-treatment SMI and its decrease during treatment were independent prognostic factors for HCC [].
In patients with HCC treated with lenvatinib, Uojima et al. observed an association between sarcopenia and a worse prognosis not only in terms of the OS and treatment failure, but also in terms of the treatment tolerability and severe adverse events [].
Another recent study conducted by Luo et al. investigated the prognostic value of a low PMI in patients with HCC undergoing combination therapy with immune checkpoint inhibitors and tyrosine kinase inhibitors. Sarcopenia was an independent negative prognostic factor in the long-term outcomes, being associated with the risk of death at both 1 year and at the end of the follow-up [].
The investigation by Oura et al. [] delved into the correlation between sarcopenia and the prognosis of patients with hepatocellular carcinoma (HCC) treated using Atezolizumab plus Bevacizumab. Sarcopenia was assessed through the skeletal muscle index (SMI) defined by a bioelectrical impedance analysis (BIA) and grip strength measurements. The median progression-free survival was observed to be 4.7 months (range: 0.4–26.4) in the sarcopenia group and 10.6 months (range: 1.1–24.5) in the non-sarcopenia group. Upon conducting a multivariate analysis, sarcopenia exhibited a significant association with the OS, notably concerning the occurrence of adverse effects and decreased liver function.
These results were analogous to those of a recent multicenter retrospective study conducted by Hiraoka et al. [].
Finally, a study conducted by Yang et al. investigated the correlation among sarcopenia and clinical outcomes in patients undergoing stereotactic body radiotherapy []. In this study, the loss of muscle mass after radiotherapy, rather than the presence of pre-therapy sarcopenia, was predictive of poor survival and liver toxicity.
To our knowledge, there have been no studies performed with MUS to assess the impact of sarcopenia for risk stratification in patients with HCC undergoing surgery or other treatments. On the other hand, only one recent study evaluated the role of MUS in the diagnosis of sarcopenia in patients with HCC []. In this study, the ultrasound evaluation of the MT and subcutaneous fat of the lower limbs was compared to the SMI measured by CT in 30 patients with HCC. The assessment encompassed six distinct muscles in the lower limbs: the right gastrocnemius medial head, right gastrocnemius lateral head, right soleus, left gastrocnemius medial head, left gastrocnemius lateral head and left soleus.
The authors found no significant correlation between the SMI and MT, but only between the SMI and left subcutaneous fat thickness (r = 0.406, p = 0.026). It is unclear why these results differ from the results of patients not affected by HCC, in whom there is a large consensus on the utility of ultrasound in sarcopenia assessment (Table 2). The authors suggest that in HCC patients, the progression of sarcopenia is worse in the lower limbs than the trunk. This could imply that lower limb muscle atrophy could not correlate with the SMI in those patients with a normal SMI.

Table 2.
Sarcopenia evaluation in HCC patients.
The cited articles do not represent the entirety of studies on HCC and sarcopenia. They were specifically chosen to highlight the impact of sarcopenia in HCC patients and the need for new techniques to simplify its evaluation. MUS could aid in this field of the study, but needs more evidence before it can be routinely applied into clinical practice.
5. Discussion
Sarcopenia is a major actor in the natural history of HCC, as highlighted by Liu et al. in a recent meta-analysis on 8959 HCC patients in which 42% of the whole cohort was sarcopenic []. As clearly discussed above, sarcopenia has a negative impact in each stage of the disease and implies worse prognosis in terms of the therapeutic response, OS [,,,,,,,], surgical complications [,,] and HCC recurrence [].
Furthermore, the wasting of muscle mass after treatments has been shown to affect equally the global prognosis and survival [,]. In this context, the reversal of this condition could potentially benefit the OS []. Hence, sarcopenia should not be considered only a mere prognostic marker of therapeutic success, but an independent factor that constantly affects the prognosis and quality of life of these patients.
Whereas nowadays, CT scans and MRI represent the most reliable imaging techniques to assess the presence of this condition, the high costs, the exposure to ionizing radiation and the low availability make these techniques unsuitable for routinary use in follow-up. MUS could therefore represent a useful alternative to perform easy, cheap and repeatable evaluations.
The literature gives plenty of evidence on the role of CT parameters in this context, while the role of MUS in liver disease has been mainly studied in cirrhosis [,]. However, the paucity of studies on MUS for sarcopenia detection in HCC patients cannot currently support its use in daily practice as an alternative to the gold standard methods, such as CT. Moreover, the only data found in literature about this specific topic are controversial [], due to the small cohort number and to potential bias linked to the degree of muscle wasting in the patients included. With the increase in MUS application in HCC populations, more data will be available to analyze its capacity as a potentially alternative method for sarcopenia assessment and support its reliability as a prognostic factor. Further insight upon this topic could be given from new technologies, like SWE or quantitative ultrasound. These technologies could integrate the use of MUS in HCC patients allowing for the better evaluation of muscle quality and derivation of numerical cut-offs to correlate with HCC stages, response to therapies and surgical risk.
6. Conclusions
MUS could be a future tool for assessing sarcopenia in HCC patients with the advantage of a cheap, easy-to-use and easily available technique. Although it has been recently studied in patients with chronic liver disease, with interesting results as a prognostic parameter, there is only little and controversial evidence on its applicability in patients with HCC. The evaluation of sarcopenia in this group of patients seems to be essential for outcome prediction, especially in patients undergoing surgery. Hence, further studies and analysis on larger cohorts are needed to explore the feasibility of MUS in this specific clinical context.
Author Contributions
Conceptualization, M.A.Z.; writing—original draft preparation, G.E., R.B., L.G., F.T., I.M. and L.C.; writing—review and editing, M.E.A. and M.A.Z.; supervision, A.G. All authors have read and agreed to the published version of the manuscript.
Funding
This research received no external funding.
Institutional Review Board Statement
Not applicable.
Informed Consent Statement
Not applicable.
Data Availability Statement
These data were derived from the following resources available in the public domain: Medline via PubMed.
Conflicts of Interest
The authors declare no conflicts of interest.
References
- Sung, H.; Ferlay, J.; Siegel, R.L.; Laversanne, M.; Soerjomataram, I.; Jemal, A.; Bray, F. Global Cancer Statistics 2020: GLOBOCAN Estimates of Incidence and Mortality Worldwide for 36 Cancers in 185 Countries. CA Cancer J. Clin. 2021, 71, 209–249. [Google Scholar] [CrossRef]
- Llovet, J.M.; Kelley, R.K.; Villanueva, A.; Singal, A.G.; Pikarsky, E.; Roayaie, S.; Lencioni, R.; Koike, K.; Zucman-Rossi, J. Hepatocellular carcinoma. Nat. Rev. Dis. Primer 2021, 7, 6. [Google Scholar] [CrossRef] [PubMed]
- Ding, J.; Wen, Z. Survival improvement and prognosis for hepatocellular carcinoma: Analysis of the SEER database. BMC Cancer 2021, 21, 1157. [Google Scholar] [CrossRef]
- Zhang, X.; El-Serag, H.B.; Thrift, A.P. Predictors of five-year survival among patients with hepatocellular carcinoma in the United States: An analysis of SEER-Medicare. Cancer Causes Control CCC 2021, 32, 317–325. [Google Scholar] [CrossRef]
- Ruiz-Margáin, A.; Román-Calleja, B.M.; Moreno-Guillén, P.; González-Regueiro, J.A.; Kúsulas-Delint, D.; Campos-Murguía, A.; Flores-García, N.C.; Macías-Rodríguez, R.U. Nutritional therapy for hepatocellular carcinoma. World J. Gastrointest. Oncol. 2021, 13, 1440–1452. [Google Scholar] [CrossRef]
- Cruz-Jentoft, A.J.; Bahat, G.; Bauer, J.; Boirie, Y.; Bruyère, O.; Cederholm, T.; Cooper, C.; Landi, F.; Rolland, Y.; Sayer, A.A.; et al. Sarcopenia: Revised European consensus on definition and diagnosis. Age Ageing 2019, 48, 16–31. [Google Scholar] [CrossRef] [PubMed]
- Bhasin, S.; Travison, T.G.; Manini, T.M.; Patel, S.; Pencina, K.M.; Fielding, R.A.; Magaziner, J.M.; Newman, A.B.; Kiel, D.P.; Cooper, C.; et al. Sarcopenia Definition: The Position Statements of the Sarcopenia Definition and Outcomes Consortium. J. Am. Geriatr. Soc. 2020, 68, 1410–1418. [Google Scholar] [CrossRef]
- Liu, J.; Luo, H.; Huang, L.; Wang, J. Prevalence of sarcopenia among patients with hepatocellular carcinoma: A systematic review and meta-analysis. Oncol. Lett. 2023, 26, 283. [Google Scholar] [CrossRef] [PubMed]
- Fujiwara, N.; Nakagawa, H.; Kudo, Y.; Tateishi, R.; Taguri, M.; Watadani, T.; Nakagomi, R.; Kondo, M.; Nakatsuka, T.; Minami, T.; et al. Sarcopenia, intramuscular fat deposition, and visceral adiposity independently predict the outcomes of hepatocellular carcinoma. J. Hepatol. 2015, 63, 131–140. [Google Scholar] [CrossRef]
- Yang, J.; Chen, K.; Zheng, C.; Chen, K.; Lin, J.; Meng, Q.; Chen, Z.; Deng, L.; Yu, H.; Deng, T.; et al. Impact of sarcopenia on outcomes of patients undergoing liver resection for hepatocellular carcinoma. J. Cachexia Sarcopenia Muscle 2022, 13, 2383–2392. [Google Scholar] [CrossRef]
- Otsuji, H.; Yokoyama, Y.; Ebata, T.; Igami, T.; Sugawara, G.; Mizuno, T.; Nagino, M. Preoperative sarcopenia negatively impacts postoperative outcomes following major hepatectomy with extrahepatic bile duct resection. World J. Surg. 2015, 39, 1494–1500. [Google Scholar] [CrossRef] [PubMed]
- Tan, Y.; Duan, T.; Li, B.; Zhang, B.; Zhu, Y.; Yan, K.; Song, J.; Lv, T.; Jiang, L.; Yang, J.; et al. Sarcopenia defined by psoas muscle index independently predicts long-term survival after living donor liver transplantation in male recipients. Quant. Imaging Med. Surg. 2022, 12, 215–228. [Google Scholar] [CrossRef] [PubMed]
- Kaido, T. Selection Criteria and Current Issues in Liver Transplantation for Hepatocellular Carcinoma. Liver Cancer 2016, 5, 121–127. [Google Scholar] [CrossRef] [PubMed]
- Loosen, S.H.; Schulze-Hagen, M.; Bruners, P.; Tacke, F.; Trautwein, C.; Kuhl, C.; Luedde, T.; Roderburg, C. Sarcopenia Is a Negative Prognostic Factor in Patients Undergoing Transarterial Chemoembolization (TACE) for Hepatic Malignancies. Cancers 2019, 11, 1503. [Google Scholar] [CrossRef] [PubMed]
- Loosen, S.H.; Jördens, M.S.; Schoon, B.; Antoch, G.; Luedde, T.; Minko, P.; Loberg, C.; Roderburg, C. Sarcopenia indicate poor survival in patients undergoing transarterial chemoembolization (TACE) for hepatic malignancies. J. Cancer Res. Clin. Oncol. 2023, 149, 6181–6190. [Google Scholar] [CrossRef] [PubMed]
- Roth, G.; Teyssier, Y.; Benhamou, M.; Abousalihac, M.; Caruso, S.; Sengel, C.; Seror, O.; Ghelfi, J.; Seigneurin, A.; Ganne-Carrie, N.; et al. Impact of sarcopenia on tumor response and survival outcomes in patients with hepatocellular carcinoma treated by trans-arterial (chemo)-embolization. World J. Gastroenterol. 2022, 28, 5324–5337. [Google Scholar] [CrossRef]
- Lanza, E.; Masetti, C.; Messana, G.; Muglia, R.; Pugliese, N.; Ceriani, R.; de Nalda, A.L.; Rimassa, L.; Torzilli, G.; Poretti, D.; et al. Sarcopenia as a predictor of survival in patients undergoing bland transarterial embolization for unresectable hepatocellular carcinoma. PLoS ONE 2020, 15, e0232371. [Google Scholar] [CrossRef]
- Faron, A.; Sprinkart, A.M.; Pieper, C.C.; Kuetting, D.L.; Fimmers, R.; Block, W.; Meyer, C.; Thomas, D.; Attenberger, U.; Luetkens, J.A. Yttrium-90 radioembolization for hepatocellular carcinoma: Outcome prediction with MRI derived fat-free muscle area. Eur. J. Radiol. 2020, 125, 108889. [Google Scholar] [CrossRef]
- Yuri, Y.; Nishikawa, H.; Enomoto, H.; Ishii, A.; Iwata, Y.; Miyamoto, Y.; Ishii, N.; Hasegawa, K.; Nakano, C.; Nishimura, T.; et al. Implication of Psoas Muscle Index on Survival for Hepatocellular Carcinoma Undergoing Radiofrequency Ablation Therapy. J. Cancer 2017, 8, 1507–1516. [Google Scholar] [CrossRef] [PubMed]
- Jaruvongvanich, V.; Thamtorawat, S.; Saiviroonporn, P.; Pisanuwongse, A.; Siriwanarangsun, P. Sarcopenia as a Predictive Factor for Recurrence of Hepatocellular Carcinoma Following Radiofrequency Ablation. Asian Pac. J. Cancer Prev. APJCP 2023, 24, 1143–1150. [Google Scholar] [CrossRef] [PubMed]
- Salman, A.; Salman, M.; Moustafa, A.; Shaaban, H.E.-D.; El-Mikkawy, A.; Labib, S.; Youssef, A.; Omar, M.G.; Matter, M.; Elkassar, H. Impact of Sarcopenia on Two-Year Mortality in Patients with HCV-Associated Hepatocellular Carcinoma after Radiofrequency Ablation. J. Hepatocell. Carcinoma 2021, 8, 313–320. [Google Scholar] [CrossRef]
- Kamachi, S.; Mizuta, T.; Otsuka, T.; Nakashita, S.; Ide, Y.; Miyoshi, A.; Kitahara, K.; Eguchi, Y.; Ozaki, I.; Anzai, K. Sarcopenia is a risk factor for the recurrence of hepatocellular carcinoma after curative treatment. Hepatol. Res. 2016, 46, 201–208. [Google Scholar] [CrossRef]
- Yamasaki, T.; Saeki, I.; Yamauchi, Y.; Matsumoto, T.; Suehiro, Y.; Kawaoka, T.; Uchikawa, S.; Hiramatsu, A.; Aikata, H.; Kobayashi, K.; et al. Management of Systemic Therapies and Hepatic Arterial Infusion Chemotherapy in Patients with Advanced Hepatocellular Carcinoma Based on Sarcopenia Assessment. Liver Cancer 2022, 11, 329–340. [Google Scholar] [CrossRef]
- Oura, K.; Morishita, A.; Manabe, T.; Takuma, K.; Nakahara, M.; Tadokoro, T.; Fujita, K.; Mimura, S.; Tani, J.; Ono, M.; et al. Relationship between Accurate Diagnosis of Sarcopenia and Prognosis in Patients with Hepatocellular Carcinoma Treated with Atezolizumab plus Bevacizumab Combination Therapy. Cancers 2023, 15, 3243. [Google Scholar] [CrossRef] [PubMed]
- Albano, D.; Messina, C.; Vitale, J.; Sconfienza, L.M. Imaging of sarcopenia: Old evidence and new insights. Eur. Radiol. 2020, 30, 2199–2208. [Google Scholar] [CrossRef] [PubMed]
- Jiang, C.; Wang, Y.; Fu, W.; Zhang, G.; Feng, X.; Wang, X.; Wang, F.; Zhang, L.; Deng, Y. Association between sarcopenia and prognosis of hepatocellular carcinoma: A systematic review and meta-analysis. Front. Nutr. 2022, 9, 978110. [Google Scholar] [CrossRef] [PubMed]
- Chianca, V.; Albano, D.; Messina, C.; Gitto, S.; Ruffo, G.; Guarino, S.; Del Grande, F.; Sconfienza, L.M. Sarcopenia: Imaging assessment and clinical application. Abdom. Radiol. 2022, 47, 3205–3216. [Google Scholar] [CrossRef] [PubMed]
- Tosato, M.; Marzetti, E.; Cesari, M.; Savera, G.; Miller, R.R.; Bernabei, R.; Landi, F.; Calvani, R. Measurement of muscle mass in sarcopenia: From imaging to biochemical markers. Aging Clin. Exp. Res. 2017, 29, 19–27. [Google Scholar] [CrossRef] [PubMed]
- Sconfienza, L.M.; Albano, D.; Allen, G.; Bazzocchi, A.; Bignotti, B.; Chianca, V.; de Castro, F.F.; Drakonaki, E.E.; Gallardo, E.; Gielen, J.; et al. Clinical indications for musculoskeletal ultrasound updated in 2017 by European Society of Musculoskeletal Radiology (ESSR) consensus. Eur. Radiol. 2018, 28, 5338–5351. [Google Scholar] [CrossRef] [PubMed]
- Perkisas, S.; Baudry, S.; Bauer, J.; Beckwée, D.; De Cock, A.-M.; Hobbelen, H.; Jager-Wittenaar, H.; Kasiukiewicz, A.; Landi, F.; Marco, E.; et al. Application of ultrasound for muscle assessment in sarcopenia: Towards standardized measurements. Eur. Geriatr. Med. 2018, 9, 739–757. [Google Scholar] [CrossRef]
- Mirón Mombiela, R.; Vucetic, J.; Rossi, F.; Tagliafico, A.S. Ultrasound Biomarkers for Sarcopenia: What Can We Tell So Far? Semin. Musculoskelet. Radiol. 2020, 24, 181–193. [Google Scholar] [CrossRef]
- Kawakami, Y.; Abe, T.; Fukunaga, T. Muscle-fiber pennation angles are greater in hypertrophied than in normal muscles. J. Appl. Physiol. 1993, 74, 2740–2744. [Google Scholar] [CrossRef]
- Randhawa, A.; Wakeling, J.M. Associations between muscle structure and contractile performance in seniors. Clin. Biomech. 2013, 28, 705–711. [Google Scholar] [CrossRef]
- Fu, H.; Wang, L.; Zhang, W.; Lu, J.; Yang, M. Diagnostic test accuracy of ultrasound for sarcopenia diagnosis: A systematic review and meta-analysis. J. Cachexia Sarcopenia Muscle 2023, 14, 57–70. [Google Scholar] [CrossRef] [PubMed]
- Hari, A.; Berzigotti, A.; Štabuc, B.; Caglevič, N. Muscle psoas indices measured by ultrasound in cirrhosis-Preliminary evaluation of sarcopenia assessment and prediction of liver decompensation and mortality. Dig. Liver Dis. 2019, 51, 1502–1507. [Google Scholar] [CrossRef] [PubMed]
- Sakai, M.; Kawaguchi, T.; Koya, S.; Hirota, K.; Matsuse, H.; Torimura, T. Subcutaneous Fat Thickness of the Lower Limb is Associated with Trunk Muscle Mass in Patients with Hepatocellular Carcinoma: A Simple Assessment for Sarcopenia Using Conventional Ultrasonography. Kurume Med. J. 2022, 67, 97–105. [Google Scholar] [CrossRef]
- Gallo, P.; Silletta, M.; De Vincentis, A.; Lo Prinzi, F.; Terracciani, F.; Di Fazio, G.; Flagiello, V.; Vespasiani Gentilucci, U.; Antonelli Incalzi, R.; Picardi, A. Sarcopenia in Hepatocellular Carcinoma: Pathogenesis and Management. Chemotherapy 2022, 67, 152–163. [Google Scholar] [CrossRef]
- Perisetti, A.; Goyal, H.; Yendala, R.; Chandan, S.; Tharian, B.; Thandassery, R.B. Sarcopenia in hepatocellular carcinoma: Current knowledge and future directions. World J. Gastroenterol. 2022, 28, 432–448. [Google Scholar] [CrossRef] [PubMed]
- Perkisas, S.; Bastijns, S.; Sanchez-Rodriguez, D.; Piotrowicz, K.; De Cock, A.M.; full SARCUS working group. Application of ultrasound for muscle assessment in sarcopenia: 2020 SARCUS update: Reply to the letter to the editor: SARCUS working group on behalf of the Sarcopenia Special Interest Group of the European Geriatric Medicine Society. Eur. Geriatr. Med. 2021, 12, 427–428. [Google Scholar] [CrossRef]
- Stringer, H.J.; Wilson, D. The Role of Ultrasound as a Diagnostic Tool for Sarcopenia. J. Frailty Aging 2018, 7, 258–261. [Google Scholar] [CrossRef]
- Ozturk, Y.; Koca, M.; Burkuk, S.; Unsal, P.; Dikmeer, A.; Oytun, M.G.; Bas, A.O.; Kahyaoglu, Z.; Deniz, O.; Coteli, S.; et al. The role of muscle ultrasound to predict sarcopenia. Nutrition 2022, 101, 111692. [Google Scholar] [CrossRef] [PubMed]
- Narici, M.; McPhee, J.; Conte, M.; Franchi, M.V.; Mitchell, K.; Tagliaferri, S.; Monti, E.; Marcolin, G.; Atherton, P.J.; Smith, K.; et al. Age-related alterations in muscle architecture are a signature of sarcopenia: The ultrasound sarcopenia index. J. Cachexia Sarcopenia Muscle 2021, 12, 973–982. [Google Scholar] [CrossRef]
- Nagae, M.; Umegaki, H.; Yoshiko, A.; Fujita, K. Muscle ultrasound and its application to point-of-care ultrasonography: A narrative review. Ann. Med. 2023, 55, 190–197. [Google Scholar] [CrossRef] [PubMed]
- Stanley, B.; Greig, C.; Jackson, T.; Lewis, D.; Moorey, H.; Majid, Z.; Masud, T.; Pinkney, T.; Welch, C. Investigating the impact of fluid status on the ultrasound assessment of muscle quantity and quality in the diagnosis of sarcopenia-A multidimensional cross-sectional study. BMC Geriatr. 2023, 23, 493. [Google Scholar] [CrossRef] [PubMed]
- Inami, T.; Tsujimura, T.; Shimizu, T.; Watanabe, T.; Lau, W.Y.; Nosaka, K. Relationship between isometric contraction intensity and muscle hardness assessed by ultrasound strain elastography. Eur. J. Appl. Physiol. 2017, 117, 843–852. [Google Scholar] [CrossRef] [PubMed]
- Madden, K.M.; Feldman, B.; Arishenkoff, S.; Meneilly, G.S. A rapid point-of-care ultrasound marker for muscle mass and muscle strength in older adults. Age Ageing 2021, 50, 505–510. [Google Scholar] [CrossRef] [PubMed]
- Mañago, M.M.; Seamon, B.A.; Boncella, K.L.; Wallin, M.T.; Maloni, H.; Hoover, B.; Blackman, M.R.; Harris-Love, M.O. Ultrasound measures of muscle morphology in people with multiple sclerosis are associated with muscle performance and functional mobility. Mult. Scler. Relat. Disord. 2023, 75, 104759. [Google Scholar] [CrossRef] [PubMed]
- Okyar Baş, A.; Baş, H.; Ceylan, S.; Güner Oytun, M.; Koca, M.; Hafızoğlu, M.; Şahiner, Z.; Öztürk, Y.; Balcı, C.; Doğu, B.B.; et al. Changes in muscle quality identified by shear-wave elastography and association with sarcopenia. J. Parenter. Enter. Nutr. 2023, 47, 253–264. [Google Scholar] [CrossRef]
- Zhou, Z.; Gao, R.; Wu, S.; Ding, Q.; Bin, G.; Tsui, P.-H. Scatterer Size Estimation for Ultrasound Tissue Characterization: A Survey. Measurement 2024, 225, 114046. [Google Scholar] [CrossRef]
- Oelze, M.L.; Mamou, J. Review of Quantitative Ultrasound: Envelope Statistics and Backscatter Coefficient Imaging and Contributions to Diagnostic Ultrasound. IEEE Trans. Ultrason. Ferroelectr. Freq. Control 2016, 63, 336–351. [Google Scholar] [CrossRef]
- Santoso, A.P.; Rosado-Mendez, I.; Guerrero, Q.W.; Hall, T.J. A Geometric Model of Ultrasound Backscatter to Describe Microstructural Anisotropy of Tissue. Ultrason. Imaging 2023, 45, 206–214. [Google Scholar] [CrossRef] [PubMed]
- Becchetti, C.; Berzigotti, A. Ultrasonography as a diagnostic tool for sarcopenia in patients with cirrhosis: Examining the pros and cons. Eur. J. Intern. Med. 2023, 116, 27–33. [Google Scholar] [CrossRef] [PubMed]
- Dhariwal, S.M.; Roy, A.M.; Taneja, S.M.; Bansal, A.M.; Gorsi, U.M.; Singh, S.M.; De, A.M.; Verma, N.M.; Premkumar, M.M.; Duseja, A.M.; et al. Assessment of Sarcopenia Using Muscle Ultrasound in Patients with Cirrhosis and Sarcopenic Obesity (AMUSE STUDY). J. Clin. Gastroenterol. 2023, 57, 841–847. [Google Scholar] [CrossRef]
- Marasco, G.; Serenari, M.; Renzulli, M.; Alemanni, L.V.; Rossini, B.; Pettinari, I.; Dajti, E.; Ravaioli, F.; Golfieri, R.; Cescon, M.; et al. Clinical impact of sarcopenia assessment in patients with hepatocellular carcinoma undergoing treatments. J. Gastroenterol. 2020, 55, 927–943. [Google Scholar] [CrossRef] [PubMed]
- Simonsen, C.; de Heer, P.; Bjerre, E.D.; Suetta, C.; Hojman, P.; Pedersen, B.K.; Svendsen, L.B.; Christensen, J.F. Sarcopenia and Postoperative Complication Risk in Gastrointestinal Surgical Oncology: A Meta-analysis. Ann. Surg. 2018, 268, 58–69. [Google Scholar] [CrossRef]
- Kobayashi, A.; Kaido, T.; Hamaguchi, Y.; Okumura, S.; Taura, K.; Hatano, E.; Okajima, H.; Uemoto, S. Impact of postoperative changes in sarcopenic factors on outcomes after hepatectomy for hepatocellular carcinoma. J. Hepatobiliary Pancreat. Sci. 2016, 23, 57–64. [Google Scholar] [CrossRef]
- Hamaguchi, Y.; Kaido, T.; Okumura, S.; Kobayashi, A.; Fujimoto, Y.; Ogawa, K.; Mori, A.; Hammad, A.; Hatano, E.; Uemoto, S. Muscle Steatosis is an Independent Predictor of Postoperative Complications in Patients with Hepatocellular Carcinoma. World J. Surg. 2016, 40, 1959–1968. [Google Scholar] [CrossRef]
- Kong, Q.; Gao, Q.; Li, W.; Chen, Z. The Impact of Imaging-Diagnosed Sarcopenia on Long-term Prognosis after Curative Resection for Hepatocellular Carcinoma: A Systematic Review and Meta-analysis. Acad. Radiol. 2023, in press. [Google Scholar] [CrossRef]
- Yang, S.; Zhang, Z.; Su, T.; Yu, J.; Cao, S.; Wang, H.; Jin, L. CT-Based Skeletal Muscle Loss for Predicting Poor Survival in Patients with Hepatocellular Carcinoma Experiencing Curative Hepatectomy plus Adjuvant Transarterial Chemoembolization: A Preliminary Retrospective Study. Eur. J. Med. Res. 2022, 27, 131. [Google Scholar] [CrossRef] [PubMed]
- Wu, C.H.; Ho, M.C.; Chen, C.H.; Liang, J.D.; Huang, K.W.; Cheng, M.F.; Chang, C.K.; Chang, C.H.; Liang, P.C. Computed Tomography-Defined Sarcopenia in Outcomes of Patients with Unresectable Hepatocellular Carcinoma Undergoing Radioembolization: Assessment with Total Abdominal, Psoas, and Paraspinal Muscles. Liver Cancer 2023, 12, 550–564. [Google Scholar] [CrossRef] [PubMed]
- Nam, H.; Yang, H.; Chun, H.S.; Lee, H.A.; Nam, J.Y.; Jang, J.W.; Seo, Y.S.; Kim, D.Y.; Kim, Y.J.; Bae, S.H. Impact of Low Skeletal Muscle Mass on Long-Term Outcomes in Hepatocellular Carcinoma Treated with Trans-Arterial Radioembolization: A Retrospective Multi-Center Study. Cancers 2023, 15, 5195. [Google Scholar] [CrossRef] [PubMed]
- Chien, T.P.; Huang, S.F.; Chan, W.H.; Pan, K.T.; Yu, M.C.; Lee, W.C.; Tsai, H.I.; Lin, P.T.; Chen, H.Y.; Chen, J.H.; et al. The combination of sarcopenia and biochemical factors can predict the survival of hepatocellular carcinoma patients receiving transarterial chemoembolization. Front. Oncol. 2022, 12, 1005571. [Google Scholar] [CrossRef] [PubMed]
- Kobayashi, T.; Kawai, H.; Nakano, O.; Abe, S.; Kamimura, H.; Sakamaki, A.; Kamimura, K.; Tsuchiya, A.; Takamura, M.; Yamagiwa, S.; et al. Rapidly Declining Skeletal Muscle Mass Predicts Poor Prognosis of Hepatocellular Carcinoma Treated with Transcatheter Intra-Arterial Therapies. BMC Cancer 2018, 18, 756. [Google Scholar] [CrossRef] [PubMed]
- Imai, K.; Takai, K.; Miwa, T.; Taguchi, D.; Hanai, T.; Suetsugu, A.; Shiraki, M.; Shimizu, M. Rapid Depletions of Subcutaneous Fat Mass and Skeletal Muscle Mass Predict Worse Survival in Patients with Hepatocellular Carcinoma Treated with Sorafenib. Cancers 2019, 11, 1206. [Google Scholar] [CrossRef] [PubMed]
- Takada, H.; Kurosaki, M.; Nakanishi, H.; Takahashi, Y.; Itakura, J.; Tsuchiya, K.; Yasui, Y.; Tamaki, N.; Takaura, K.; Komiyama, Y.; et al. Impact of Pre-Sarcopenia in Sorafenib Treatment for Advanced Hepatocellular Carcinoma. PLoS ONE 2018, 13, e0198812. [Google Scholar] [CrossRef] [PubMed]
- Badran, H.; Elsabaawy, M.M.; Ragab, A.; Aly, R.A.; Alsebaey, A.; Sabry, A. Baseline Sarcopenia Is Associated with Lack of Response to Therapy, Liver Decompensation and High Mortality in Hepatocellular Carcinoma Patients. Asian Pac. J. Cancer Prev. APJCP 2020, 21, 3285–3290. [Google Scholar] [CrossRef] [PubMed]
- Antonelli, G.; Gigante, E.; Iavarone, M.; Begini, P.; Sangiovanni, A.; Iannicelli, E.; Biondetti, P.; Pellicelli, A.M.; Miglioresi, L.; Marchetti, P.; et al. Sarcopenia Is Associated with Reduced Survival in Patients with Advanced Hepatocellular Carcinoma Undergoing Sorafenib Treatment. United Eur. Gastroenterol. J. 2018, 6, 1039–1048. [Google Scholar] [CrossRef]
- Hiraoka, A.; Hirooka, M.; Koizumi, Y.; Izumoto, H.; Ueki, H.; Kaneto, M.; Kitahata, S.; Aibiki, T.; Tomida, H.; Miyamoto, Y.; et al. Muscle Volume Loss as a Prognostic Marker in Hepatocellular Carcinoma Patients Treated with Sorafenib. Hepatol. Res. 2017, 47, 558–565. [Google Scholar] [CrossRef]
- Cheng, T.-Y.; Lee, P.-C.; Chen, Y.-T.; Chao, Y.; Hou, M.-C.; Huang, Y.-H. Pre-Sarcopenia Determines Post-Progression Outcomes in Advanced Hepatocellular Carcinoma after Sorafenib Failure. Sci. Rep. 2020, 10, 18375. [Google Scholar] [CrossRef]
- Xiong, B.; Fu, B.; Wu, Y.; Gao, F.; Hou, C. Body composition predicts prognosis of hepatocellular carcinoma patients undergoing immune checkpoint inhibitors. J. Cancer Res. Clin. Oncol. 2023, 149, 11607–11617. [Google Scholar] [CrossRef] [PubMed]
- Imai, K.; Takai, K.; Unome, S.; Miwa, T.; Hanai, T.; Suetsugu, A.; Shimizu, M. Lenvatinib or Sorafenib Treatment Causing a Decrease in Skeletal Muscle Mass, an Independent Prognostic Factor in Hepatocellular Carcinoma: A Survival Analysis Using Time-Varying Covariates. Cancers 2023, 15, 4223. [Google Scholar] [CrossRef] [PubMed]
- Uojima, H.; Chuma, M.; Tanaka, Y.; Hidaka, H.; Nakazawa, T.; Iwabuchi, S.; Kobayashi, S.; Hattori, N.; Ogushi, K.; Morimoto, M.; et al. Skeletal Muscle Mass Influences Tolerability and Prognosis in Hepatocellular Carcinoma Patients Treated with Lenvatinib. Liver Cancer 2020, 9, 193–206. [Google Scholar] [CrossRef] [PubMed]
- Luo, N.; Li, H.; Luo, Y.; Hu, P.; Liang, L.; Zhang, R.; Zhang, D.; Cai, D.; Kang, J. Prognostic Significance of Psoas Muscle Index in Male Hepatocellular Carcinoma Patients Treated with Immune Checkpoint Inhibitors and Tyrosine Kinase Inhibitors. Hum. Vaccines Immunother. 2023, 19, 2258567. [Google Scholar] [CrossRef] [PubMed]
- Hiraoka, A.; Kumada, T.; Tada, T.; Hirooka, M.; Kariyama, K.; Tani, J.; Atsukawa, M.; Takaguchi, K.; Itobayashi, E.; Fukunishi, S.; et al. Relationship of Atezolizumab plus Bevacizumab Treatment with Muscle Volume Loss in Unresectable Hepatocellular Carcinoma Patients: Multicenter Analysis. Liver Cancer 2023, 12, 209–217. [Google Scholar] [CrossRef]
- Yang, J.-F.; Huang, W.-Y.; Lo, C.-H.; Lee, M.-S.; Lin, C.-S.; Shen, P.-C.; Dai, Y.-H.; Wang, Y.-F.; Chen, T.-W. Significant Muscle Loss after Stereotactic Body Radiotherapy Predicts Worse Survival in Patients with Hepatocellular Carcinoma. Sci. Rep. 2022, 12, 19100. [Google Scholar] [CrossRef]
Disclaimer/Publisher’s Note: The statements, opinions and data contained in all publications are solely those of the individual author(s) and contributor(s) and not of MDPI and/or the editor(s). MDPI and/or the editor(s) disclaim responsibility for any injury to people or property resulting from any ideas, methods, instructions or products referred to in the content. |
© 2024 by the authors. Licensee MDPI, Basel, Switzerland. This article is an open access article distributed under the terms and conditions of the Creative Commons Attribution (CC BY) license (https://creativecommons.org/licenses/by/4.0/).