Identification and Testing of Antidermatophytic Oxaborole-6-Benzene Sulphonamide Derivative (OXBS) from Streptomyces atrovirens KM192347 Isolated from Soil
Abstract
1. Introduction
2. Results
2.1. Isolation of Streptomycetes from Soil Samples and Screening Their Antifungal Activity
2.2. Characterization and Identification of the Most Active Streptomycetes Isolate
2.3. Optimization of Anti-Dermatophytic Substance (s) Production by S. Atrovirens
2.4. Extraction and Purification of the Antifungal Substance(s) from CFCS of S. Atrovirens
2.5. Elucidation of the Structure of the Antifungal Substance(s)
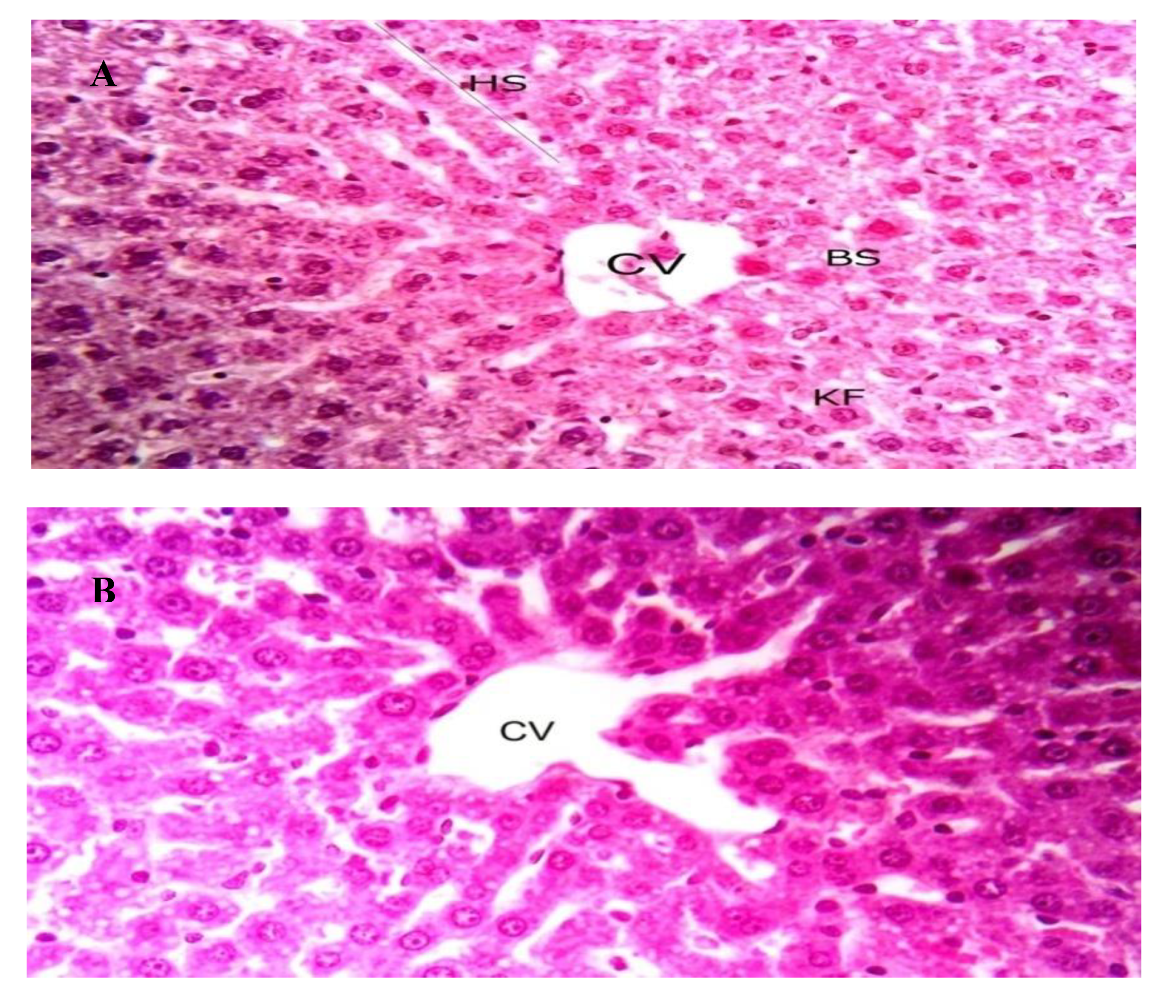
2.6. Determination of the Minimum Inhibitory Concentration (MIC) Value of OXBS and Its Toxicity
3. Discussion
4. Materials and Methods
4.1. Isolation of Actinomycetes
4.2. Indicator Dermatophytes
4.3. Screening of Streptomycete Isolates for Production of Antifungal Substance(s)
4.4. Cultural and Morphological Characteristics
4.5. Physiological and Biochemical Characteristics
4.6. Molecular Identification of the Isolate S10Q6
4.7. Optimization of Both Environmental and Nutritional Conditions Necessary for Production of Antifungal Substance(s) by S. atrovirens
4.8. Extraction, Purification, and Structure Elucidation of the Antifungal Compound(s) Producedby S. atrovirens
4.9. Determination of Minimum Inhibitory Concentration (MIC) Value of the Antifungal Substance
4.10. Toxcicity of Crude OXBS and Histological Examination
4.11. Statistical Analysis
4.12. Ethical Approval
5. Conclusions
Supplementary Materials
Author Contributions
Funding
Acknowledgments
Conflicts of Interest
References
- Goodfellow, M.; Williams, S.T. Ecology of Actinomycetes. Annu. Rev. Microbiol. 1983, 37, 189–216. [Google Scholar] [CrossRef]
- Elnakady, Y.A.; Chatterjee, I.; Bischoff, M.; Rohde, M.; Josten, M.; Sahl, H.-G.; Herrmann, M.; Müller, R. Investigations to the Antibacterial Mechanism of Action of Kendomycin. PLoS ONE 2016, 11, e0146165. [Google Scholar] [CrossRef] [PubMed]
- Nass, N.; Farooque, S.; Hind, C.; Wand, M.E.; Randall, C.; Sutton, J.M.; Seipke, R.F.; Rayner, C.M.; O’Neill, A. Revisiting unexploited antibiotics in search of new antibacterial drug candidates: The case of γ-actinorhodin. Sci. Rep. 2017, 7, 17419. [Google Scholar] [CrossRef] [PubMed]
- Terra, L.; Dyson, P.J.; Hitchings, M.; Thomas, L.; Abdelhameed, A.; Banat, I.M.; Gazze, S.A.; Vujaklija, D.; Facey, P.D.; Francis, L.W.; et al. A Novel Alkaliphilic Streptomyces Inhibits ESKAPE Pathogens. Front. Microbiol. 2018, 9, 2458. [Google Scholar] [CrossRef]
- Keikha, N.; AyatollahiMousavi, S.A.; ShahidiBonjar, G.H.; Fouladi, B.; Izadi, A.R. Invitro antifungal activities of Actinomyces species isolated from soil samples against Trichophytonmentagrophytes. Curr. Med. Mycol. 2015, 1, 33–38. [Google Scholar]
- El-Gendy, M.; El-Bondkly, A. Production and genetic improvement of a novel antimycotic agent, Saadamycin, against Dermatophytes and other clinical fungi from Endophytic Streptomyces sp. Hedaya48. J. Ind. Microbiol. Biotechnol. 2010, 37, 831–841. [Google Scholar] [CrossRef]
- Cartledge, J.D.; Midgley, J.; Gazzard, B.G. Clinically significant azole cross-resistance in Candida isolates from HIV-positive patients with oral candidiasis. AIDS 1997, 11, 1839–1844. [Google Scholar] [CrossRef]
- Ayari, A. Identification and antifungal activity of Streptomyces sp. S72 isolated from Lake Oubeira sediments in North-East of Algeria. Afr. J. Biotechnol. 2011, 11, 305–311. [Google Scholar] [CrossRef]
- Fisher, M.C.; Hawkins, N.J.; Sanglard, D.; Gurr, S.J. Worldwide emergence of resistance to antifungal drugs challenges human health and food security. Science 2018, 360, 739–742. [Google Scholar] [CrossRef]
- Kemung, H.M.; Tan, L.T.-H.; Khan, T.M.; Chan, K.-G.; Priyia, P.; Goh, B.-H.; Lee, L.-H. Streptomyces as a Prominent Resource of Future Anti-MRSA Drugs. Front. Microbiol. 2018, 9, 2221. [Google Scholar] [CrossRef]
- Pishchany, G.; Mevers, E.; Ndousse-Fetter, S.; Horvath, D.J.; Paludo, C.R.; Silva-Junior, E.A.; Koren, S.; Skaar, E.P.; Clardy, J.; Kolter, R. Amycomicin is a potent and specific antibiotic discovered with a targeted interaction screen. Proc. Natl. Acad. Sci. USA 2018, 115, 10124–10129. [Google Scholar] [CrossRef] [PubMed]
- Gramajo, H.C.; Takano, E.; Bibb, M.J. Stationary-phase production of the antibiotic actinorhodin in Streptomyces colelicolorA3 (2) is transcriptionally regulated. Mol. Microbiol. 1993, 7, 837–845. [Google Scholar] [CrossRef] [PubMed]
- Neu, J.M.; Wright, G.D. Inhibition of sporulation, glycopeptides antibiotic production and resistance in Streptomyces toyocaensis NRRL 15009 by protein kinase inhibitors. FEMS Microbiol. Lett. 2001, 199, 15–20. [Google Scholar] [CrossRef] [PubMed]
- Nakazawa, H.; Nishina, S.; Senoo, Y.; Sakai, H.; Ito, T.; Kikuchi, K.; Ishida, F. Breakthrough Candidaguilliermondii (Meyerozymaguilliermondii) fungemia after cord blood transplantation for extranodal NK-cell lymphoma with azole prophylaxis. Transpl. Infect. Dis. 2018, 20, e12922. [Google Scholar] [CrossRef]
- Saunders, J.; Maki, K.; Koski, R.; Nybo, S.E. Tavaborole, Efinaconazole, and Luliconazole: Three New Antimycotic Agents for the Treatment of Dermatophytic Fungi. J. Pharm. Pract. 2016, 30, 621–630. [Google Scholar] [CrossRef]
- Choudhary, S.; Bisati, S.; Singh, D.; Koley, S. Efficacy and Safety of Terbinafine Hydrochloride 1% Cream vs. Sertaconazole Nitrate 2% Cream in Tinea Corporis and Tinea Cruris: A Comparative Therapeutic Trial. Indian J. Dermatol. 2013, 58, 457–460. [Google Scholar] [CrossRef]
- Osman, A.; Daidamony, G.; Sitohy, M.; Khalifa, M.; Enan, G. Soybean glycinin basic subunit inhibits methicillin resistant-vancomycin intermediate Staphylococcusaureus (MRSA-VISA) in vitro. Int. J. Appl. Res. Nat. Prod. 2016, 9, 17–26. [Google Scholar]
- Abdel-Salam, H.A.; El-Khamissy, T.; Enan, G.A.; Hollenberg, C.P. Experssion of mouse anticreatine kinase (MAK33) monoclonal antibody in the yeast Hansenulapolymorpha. Appl. Microbiol. Biotechnol. 2001, 56, 157–164. [Google Scholar] [CrossRef]
- Anacor Pharmaceuticals Inc. FDA Approves Anacor Pharmaceuticals’ KERYDIN™ (Tavaborole) Topical Solution, 5% for the Treatment of Onychomycosis of the Toenails. Available online: http://investor.anacor.com (accessed on 8 July 2014).
- Elewski, B.E.; Aly, R.; Baldwin, S.L.; Soto, R.F.G.; Rich, P.; Weisfeld, M.; Wiltz, H.; Zane, L.T.; Pollak, R. Efficacy and safety of tavaborole topical solution, 5%, a novel boron-based antifungal agent, for the treatment of toenail onychomycosis: Results from 2 randomized phase-III studies. J. Am. Acad. Dermatol. 2015, 73, 62–69. [Google Scholar] [CrossRef]
- Augustine, S.K.; Bhavsar, S.P.; Kapadnis, B.P. Production of a growth dependent metabolite active against dermatophytes by Streptomyces rochei AK 39. Indian J. Med Res. 2005, 121, 164–170. [Google Scholar]
- Kuester, E.; Williams, S.T. Selection of media for isolation of Streptomyces. Nature 1964, 202, 928–929. [Google Scholar] [CrossRef]
- George, M. Distribution of bioactive potential of soil actinomycetes from different ecological habitats. Afr. J. Microbiol. Res. 2012, 6, 2265–2271. [Google Scholar] [CrossRef]
- Shirling, E.B.; Gottlieb, D. Cooperative description of type cultures of Streptomyces. II. Species descriptions from first study. Int. J. Syst. Bacteriol. 1968, 18, 69–189. [Google Scholar] [CrossRef]
- Shirling, E.B.; Gottlieb, D. Cooperative Description of Type Cultures of Streptomyces. III. Additional Species Descriptions from First and Second Studies. Int. J. Syst. Bacteriol. 1968, 18, 279–392. [Google Scholar] [CrossRef][Green Version]
- Shirling, E.B.; Gottlieb, D. Cooperative description of type strains Streptomyces. V. Additional descriptions. Int. J. Syst. Bacteriol. 1972, 22, 265–394. [Google Scholar] [CrossRef]
- Krieg, N.R.; Staley, J.T.; Brown, D.R.; Hedlund, B.P.; Paster, B.J.; Ward, N.L.; Ludwig, W.; Whitman, W.B. Bergey’s Manual of Systematic Bacteriology; The Williams & Wilkins Co.: Baltimore, MD, USA, 1989. [Google Scholar]
- Anderson, A.S.; Wellington, E.M. The taxonomy of Streptomyces and related genera. Int. J. Syst. Evol. Microbiol. 2001, 51, 797–814. [Google Scholar] [CrossRef]
- Enan, G.; Abdel-Shafi, S.; Ouda, S.; Negm, S. Novel antibacterial activity of Lactococcuslactis subspecies lactis Z11 isolated from Zabady. Int. J. Biomed. Sci. 2013, 9, 174–180. [Google Scholar]
- Abdel-Shafi, S.; Saad, T.M.M.; Abdel-Haliem, M.E.F.; Ghonemey, A.-R.M.A.; Enan, G. Radioprotective Role of Some Bacteria Belonging to Actinomycetales against Gamma Irradiation-Induced Oxidative Stress in Male Albino Rats. Egypt J. Hosp. Med. 2016, 64, 364–372. [Google Scholar] [CrossRef]
- Garde, S.; Babin, M.; Gaya, P.; Nuñez, M.; Medina, M. PCR amplification of the gene acmA differentiates Lactococcuslactis subsp. lactis and L. lactis subsp. cremoris. Appl. Environ. Microbiol. 1999, 65, 5151–5153. [Google Scholar] [CrossRef]
- Zhang, Z.; Wang, Y.; Ruan, J. A Proposal to Revive the Genus Kitasatospora (Omura, Takahashi, Iwai, and Tanaka 1982). Int. J. Syst. Bacteriol. 1997, 47, 1048–1054. [Google Scholar] [CrossRef]
- Adamek, M.; Spohn, M.; Stegmann, E.; Ziemert, N. Mining Bacterial Genomes for Secondary Metabolite Gene Clusters. Methods Mol. Biol. 2017, 1520, 23–47. [Google Scholar]
- Bundale, S.; Begde, D.; Nashikkar, N.; Kadam, T.; Upadhyay, A. Optimization of Culture Conditions for Production of Bioactive Metabolites by Streptomyces spp. Isolated from Soil. Adv. Microbiol. 2015, 5, 441–451. [Google Scholar] [CrossRef]
- Vijayakumar, R.; Panneerselvam, K.; Muthukumar, C.; Thajuddin, N.; Panneerselvam, A.; Saravanamuthu, R. Optimization of Antimicrobial Production by a Marine Actinomycete Streptomyces afghaniensis VPTS3-1 Isolated from Palk Strait, East Coast of India. Indian J. Microbiol. 2011, 52, 230–239. [Google Scholar] [CrossRef]
- Messis, A.; Bettache, A.; Brahami, A.; Kecha, M.; Benallaoua, S. Optimization of antifungal production from a novel strain Streptomyces sp. TKJ2 using response surface methodology. Med. Chem. Res. 2014, 23, 310–316. [Google Scholar] [CrossRef]
- Rizk, M.; Abdel-Rahman, T.; Metwally, H. Factors affecting growth and antifungal activity of some Streptomyces species against Candida albicans. J. Food Agric. Environ. 2007, 5, 446–449. [Google Scholar]
- Lee, K.H.; Kim, K.W.; Rhee, K.H. Identification of Streptomyces sp. KH29, which produces an antibiotic substance processing an inhibitory activity against multidrug- resistant Acinetobacterbaumannii. J. Microbiol. Biotechnol. 2010, 20, 1672–1676. [Google Scholar]
- Hamid, A.A.; Ariffin, S.; Mohamad, S.A.S. Identification and optimal growth conditions of actinomycetes isolated from mangrove environment. Malays. J. Anal. Sci. 2015, 19, 904–910. [Google Scholar]
- Oskay, M. Effects of some environmental conditions on biomass and antimicrobial metabolite production by Streptomyces sp., KGG32. Int. J. Agric. Biol. 2011, 13, 317–324. [Google Scholar]
- Padalia, H.; Chanda, S. Antimicrobial Efficacy of Different Solvent Extracts of Tageteserecta L. Flower, Alone and in Combination with Antibiotics. Appl. Microbiol. Open Access 2015, 1, 106. [Google Scholar] [CrossRef]
- Ibrahim, S.Y.; El-Salam, M.M.A. Isolation of anti-fungal agent from a soil inhabitant Streptomyces albaduncus-M51 and its efficacy against osmophilic food spoilage by Saccharomyces cerevisiae. J. Environ. Occup. Sci. 2016, 5, 38–46. [Google Scholar] [CrossRef]
- Nandhini, S.U.; Sudha, S.; Jeslin, V.A.; Manisha, S. Isolation, identification and extraction of antimicrobial compounds produced by Streptomyces sps. from terrestrial soil. Biocatal. Agric. Biotechnol. 2018, 15, 317–321. [Google Scholar] [CrossRef]
- Abdel-Shafi, S.; Al-Mohammadi, A.-R.; Sitohy, M.; Mosa, B.; Ismaiel, A.; Enan, G.; Osman, A. Antimicrobial Activity and Chemical Constitution of the Crude, Phenolic-Rich Extracts of Hibiscus sabdariffa, Brassica oleracea and Beta vulgaris. Molecules 2019, 24, 4280. [Google Scholar] [CrossRef]
- Prakasham, R.S.; Buddana, S.K.; Tatipamula, V.B.; Naga, Y.V.V.; Ahmad, J. Production of polypeptide antibiotic from Streptomyces parvulus and its antibacterial activity. Braz. J. Microbiol. 2014, 45, 303–312. [Google Scholar]
- Hosny, A.-E.M.S. Production and characterization of antimicrobial compound produced by Streptomyces atrovirens H33. Biolife 2015, 3, 476–482. [Google Scholar] [CrossRef][Green Version]
- Nare, B.; Wring, S.A.; Bacchi, C.; Beaudet, B.; Bowling, T.; Brun, R.; Chen, D.; Ding, C.; Freund, Y.; Gaukel, E.; et al. Discovery of novel orally bioavailable oxaborole 6-carboxamides that demonstrate cure in a murine model of late-stage central nervous system african trypanosomiasis. Antimicrob. Agents Chemother. 2010, 54, 4379–4388. [Google Scholar] [CrossRef]
- Hu, Q.-H.; Liu, R.-J.; Fang, Z.; Zhang, J.; Ding, Y.-Y.; Tan, M.; Wang, M.; Pan, W.; Zhou, H.; Wang, E.-D. Discovery of a potent benzoxaborole-based anti-pneumococcal agent targeting leucyl-tRNA synthetase. Sci. Rep. 2013, 3, 2475. [Google Scholar] [CrossRef]
- Tačić, A.; Nikolić, V.; Nikolić, L.; Savić, I.; Ana, T.; Vesna, N.; Ljubiša, N.; Ivan, S. Antimicrobial sulfonamide drugs. Adv. Technol. 2017, 6, 58–71. [Google Scholar] [CrossRef]
- Budavari, S. The Merck Index: An Encyclopedia of Chemicals, Drugs, and Biologicals; Merck and Co. Inc.: Rahway, NJ, USA, 1989; p. 1409. [Google Scholar]
- Enan, G.; El-Essawy, A.A.; Uytendaale, M.; Debevere, J. Antibacterial activity of L. plantarum UG1 isolated from dry sausage: Characterization, production and bactericidal action of plantaricinUG1. Int. J. Food Microbiol. 1996, 30, 189–215. [Google Scholar] [CrossRef]
- Shirling, E.B.; Gottlieb, D. Methods for characterization of Streptomyces species. Int. J. Syst. Bacteriol. 1966, 16, 313–340. [Google Scholar] [CrossRef]
- Taplin, D.; Zaias, N.; Rebell, G.; Blank, H. Isolation and recognition of dermatophyteson a new medium (DTM). Arch. Dermatol. 1969, 99, 203–209. [Google Scholar] [CrossRef]
- Gromadzki, S.; Ramani, R.; Chaturvedi, V. Evaluation of New Medium for Identification of Dermatophytes and Primary Dimorphic Pathogens. J. Clin. Microbiol. 2003, 41, 467–468. [Google Scholar] [CrossRef]
- Williams, S.T.; Goodfellow, M.; Alderson, G.; Wellington, E.M.H.; Sneath, P.H.A.; Sackin, M.J. Numerical Classification of Streptomyces and Related Genera. J. Gen. Microbiol. 1983, 129, 1743–1813. [Google Scholar] [CrossRef]
- Pridham, T.G.; Gottlieb, D. The Utilization of Carbon Compounds by Some Actinomycetales as an Aid for Species Determination. J. Bacteriol. 1948, 56, 107. [Google Scholar] [CrossRef] [PubMed]
- Pridham, T.G.; Anderson, P.; Foly, C.; Lindenfelser, L.A.; Hasseltine, C.W.; Benedict, R.G. A Selection of Media for Maintaince and Taxonomic Study of Streptomycetes; Antibio Mann Med Encyclopedia, Inc.: New York, NY, USA, 1957; p. 974. [Google Scholar]
- Küster, E. Introductory remarks to the round table conference on streptomycetes. Int. Bull. Bacter. Named. Taxon 1959, 9. [Google Scholar]
- Pridham, T.G.; Lyons, A.G. Streptomycesalbus (Rossl-Doria) Waksman etHenerici. Taxonomic study of strain labelled Streptomyces albus. J. Bacterial. 1961, 81, 431–441. [Google Scholar] [CrossRef]
- Tresner, H.D.; Danga, F. Hydrogen sulphide production by Streptomyces as a criterion for species differentiation. J. Bacteriol. 1958, 76, 239. [Google Scholar] [CrossRef]
- Shinobu, R. Physiological and cultural study for the identification of soil actinomycete species. Mem. Osaka Univ. Lib. Arts Educ. Ser. B Nat. Sci. 1958, 7, 1–76. [Google Scholar]
- Holt, J.G.; Krieg, N.R.; Sneath, P.H.A.; Staley, J.T.; Williams, T.; Hensyl, W.R. Bergey’s Manual of Systematic Bacteriology, 9th ed.; Williams & Wilkins: Baltimore, MS, USA, 1994. [Google Scholar]
- Turner, S.; Pryer, K.M.; Miao, V.P.W.; Palmer, J.D. Investigating deep phylogenetic relationships among cyanobacteria and plastids by small subunit rRNA sequence analysis. J. Eukaryot. Microbiol. 1999, 46, 327–338. [Google Scholar] [CrossRef]
- Altschul, S. Gapped BLAST and PSI-BLAST: A new generation of protein database search programs. Nucleic Acids Res. 1997, 25, 3389–3402. [Google Scholar] [CrossRef]
- Augustine, S.K.; Bhavsar, S.P.; Kapadnis, B.P. A non-polyene antifungal antibiotic from Streptomyces albidoflavus PU 23. J. Biosci. 2005, 30, 201–211. [Google Scholar] [CrossRef]
- Chi, W.-J.; Lee, S.-Y.; Lee, J. Functional analysis of SGR4635-induced enhancement of pigmented antibiotic production in Streptomyces lividans. J. Microbiol. 2011, 49, 828–833. [Google Scholar] [CrossRef]
- Yang, Z. Online hyphenated liquid chromatography–nuclear magnetic resonance spectroscopy–mass spectrometry for drug metabolite and nature product analysis. J. Pharm. Biomed. Anal. 2006, 40, 516–527. [Google Scholar] [CrossRef] [PubMed]
- Clinical and Laboratory Standards Institute (CLSI). Performance Standards for Antimicrobial Susceptibility Testing: Eighteenth Informational Supplement; CLSI: Wayne, PA, USA, 2008. [Google Scholar]
- Liop, C.; Pujol, I.; Guarro, J. Comparesion of three methods of determining MICs for filamentous fungi using different end point criteria and incubation periods. Abtimicrob. Agents Chemother. 2000, 44, 239–242. [Google Scholar] [CrossRef]
- Arikan, S. Current status of antifungal susceptibility testing methods. Med Mycol. 2007, 45, 569–587. [Google Scholar] [CrossRef]
- Abdel-Shafi, S.; Osman, A.; Enan, G.; El-Nemer, M.; Sitohy, M. Antibacterial activity of methylated egg white proteins against pathogenic G+ and G- bacteria matching antibiotics. Springer Plus 2016, 5, 983. [Google Scholar] [CrossRef] [PubMed]
- Abdel-Shafi, S.; Al-Mohammadi, A.-R.; Osman, A.; Enan, G.; Abdel-Hameid, S.; Sitohy, M. Characterization and Antibacterial Activity of 7S and 11S Globulins Isolated from Cowpea Seed Protein. Molecules 2019, 24, 1082. [Google Scholar] [CrossRef] [PubMed]
- Abdel-Shafi, S.; Osman, A.; Al-Mohammadi, A.-R.; Enan, G.; Kamal, N.; Sitohy, M. Biochemical, biological characteristics and antibacterial activity of glycoprotein extracted from the epidermal mucus of African catfish (Clariasgariepinus). Int. J. Biol. Macromol. 2019, 138, 773–780. [Google Scholar] [CrossRef] [PubMed]








| Area of Soil Sample | Serial Number and Isolate Code | Cultivated Plant | Color of Aerial Mycelium | Antifungal Activity (Inhibition Zone Diameter by mm) | ||
|---|---|---|---|---|---|---|
| T. mentagrophytes | M. canis | T. tonsurans | ||||
| Zagazig (Z) | S1Z3 | Onion | Grey | - | - | 13.0 + 0.19 |
| S3Z8 | Onion | Green | 12.2 + 0.31 | - | - | |
| S3Z10 | Onion | Yellow | 10.6 + 0.23 | - | - | |
| S5Z16 | Maize | Grey | - | - | 10.4 + 0.33 | |
| S6Z19 | Maize | Yellow | 15.0 + 0.87 | - | 19.2 + 0.41 | |
| S7Z23 | Maize | Green | - | - | 11.0 + 0.34 | |
| Qenayat (Q) | S10Q5 | Onion | Grey | 13.8 + 0.45 | - | - |
| S10Q6 | Onion | Grey | 20.2 + 0.40 | 18.2 + 0.25 | 24.4 + 0.49 | |
| S12Q14 | Onion | Green | 11.5 + 0.61 | - | - | |
| Menya EL-Kamh (M) | S17M6 | Maize | Green | 18.4 + 0.33 | - | 20.1 + 0.33 |
| S19M11 | Maize | Green | - | - | 12.8 + 0.30 | |
| S20M16 | Maize | Grey | 13.9 + 0.43 | 12.9 + 0.52 | 17.6 + 0.62 | |
| S22M21 | Maize | Green | 10.3 + 0.41 | - | - | |
| S22M26 | Maize | Green | 21.0 + 0.39 | - | 21.9 + 0.45 | |
| S24M29 | Maize | White | 11.2 + 0.53 | - | - | |
| Belbis (B) | S26B4 | Maize | Grey | 9.8 + 0.31 | - | - |
| S26B6 | Maize | Yellow | 8.9 + 0.63 | - | - | |
| S27B9 | Onion | Green | 14.1 + 0.38 | - | 15.9 + 0.39 | |
| S27B10 | Onion | Grey | 12.0 + 0.43 | - | - | |
| S28B17 | Maize | Green | - | - | 11.4 + 0.23 | |
| Parameter | Optimum Value | Inhibition Zone * (mm) | ||
|---|---|---|---|---|
| T. mentagrophytes | M. canis | T. tonsurans | ||
| Environmental Conditions | ||||
| Incubation Period (Days) | 7 | 40.0a ± 0.58 | 24.03b ± 0.26 | 26.17b ± 0.44 |
| pH | 7 | 39.27a ± 0.43 | 23.33b ± 0.6 | 24.87b ± 0.3 |
| Incubation Temperature (°C) | 30 | 40.03b ± 0.27 | 23.70c ± 0.75 | 26.23b ± 0.38 |
| Agitation Rate (rpm) | 150 | 55.23a ± 0.42 | 22.5c ± 0.36 | 26.77b ± 0.38 |
| Nutritional conditions | ||||
| Carbon Source | Starch(20g/L) | 52.80a ± 0.57 | 31.47c ± 0.26 | 34.63b ± 0.45 |
| Nitrogen Source | Potassium Nitrate (2g/L) | 52.37a ± 0.24 | 31.53c ± 0.29 | 35.33b ± 0.2 |
| Phosphorus Source | DipotassiumHydrogen Phosphate (1g/L) | 55.00a ± 0.25 | 32.73c ± 0.15 | 36.70b ± 0.65 |
| Sodium Chloride Concentration (g/L) | 0.5 g/L | 50.73a ± 0.13 | 29.90c ± 0.21 | 33.43b ± 0.3 |
| Concentration μg/mL | Growth of the Indicator Dermatophytes | ||
|---|---|---|---|
| T. mentagrophytes | M. canis | T. tonsurans | |
| 100 | − | − | − |
| 80 | − | − | − |
| 60 | − | − | − |
| 40 | − | − | − |
| 20 | − | − | − |
| 10 | + | + | + |
| Negative Control | + | + | + |
| Ketoconazole (10 μg/disc) | − | − | − |
© 2020 by the authors. Licensee MDPI, Basel, Switzerland. This article is an open access article distributed under the terms and conditions of the Creative Commons Attribution (CC BY) license (http://creativecommons.org/licenses/by/4.0/).
Share and Cite
Abdel-Shafi, S.; Al-Mohammadi, A.-R.; Almanaa, T.N.; Moustafa, A.H.; Saad, T.M.M.; Ghonemey, A.-R.; Anacarso, I.; Enan, G.; El-Gazzar, N. Identification and Testing of Antidermatophytic Oxaborole-6-Benzene Sulphonamide Derivative (OXBS) from Streptomyces atrovirens KM192347 Isolated from Soil. Antibiotics 2020, 9, 176. https://doi.org/10.3390/antibiotics9040176
Abdel-Shafi S, Al-Mohammadi A-R, Almanaa TN, Moustafa AH, Saad TMM, Ghonemey A-R, Anacarso I, Enan G, El-Gazzar N. Identification and Testing of Antidermatophytic Oxaborole-6-Benzene Sulphonamide Derivative (OXBS) from Streptomyces atrovirens KM192347 Isolated from Soil. Antibiotics. 2020; 9(4):176. https://doi.org/10.3390/antibiotics9040176
Chicago/Turabian StyleAbdel-Shafi, Seham, Abdul-Raouf Al-Mohammadi, Taghreed N. Almanaa, Ahmed H. Moustafa, Tamer M. M. Saad, Abdel-Rahman Ghonemey, Immacolata Anacarso, Gamal Enan, and Nashwa El-Gazzar. 2020. "Identification and Testing of Antidermatophytic Oxaborole-6-Benzene Sulphonamide Derivative (OXBS) from Streptomyces atrovirens KM192347 Isolated from Soil" Antibiotics 9, no. 4: 176. https://doi.org/10.3390/antibiotics9040176
APA StyleAbdel-Shafi, S., Al-Mohammadi, A.-R., Almanaa, T. N., Moustafa, A. H., Saad, T. M. M., Ghonemey, A.-R., Anacarso, I., Enan, G., & El-Gazzar, N. (2020). Identification and Testing of Antidermatophytic Oxaborole-6-Benzene Sulphonamide Derivative (OXBS) from Streptomyces atrovirens KM192347 Isolated from Soil. Antibiotics, 9(4), 176. https://doi.org/10.3390/antibiotics9040176

