Vertical Edgeless Preparation: Periodontal Dominance in Prosthetic Crown Preparation
Abstract
1. Introduction
2. Technique
- Periodontal mapping: The first step is to map the periodontium of the tooth with a periodontal probe. Hence, the evaluation is repeated with a steady Komet 862 bur (Komet Dental, Germany). The tip of the steady bur tilted 30° leans on the root surface. Moving it in the sulcus allows the periodontal site mapping as if it were a probe, obtaining the necessary anatomical information.
- Initial reduction: Subsequently, the occlusal part of the tooth is reduced to create adequate prosthetic space. The amount of occlusal reduction is defined by the necessary thickness of the material used for the crown and the distance between the to-be abutment and the opposing tooth. Usually, and specifically, when the tooth is close to other dental structures not included in the prosthetic rehabilitation, the preparation phase is preceded by an interproximal separation phase which prevents sound structures from being damaged by the burs during subsequent steps.
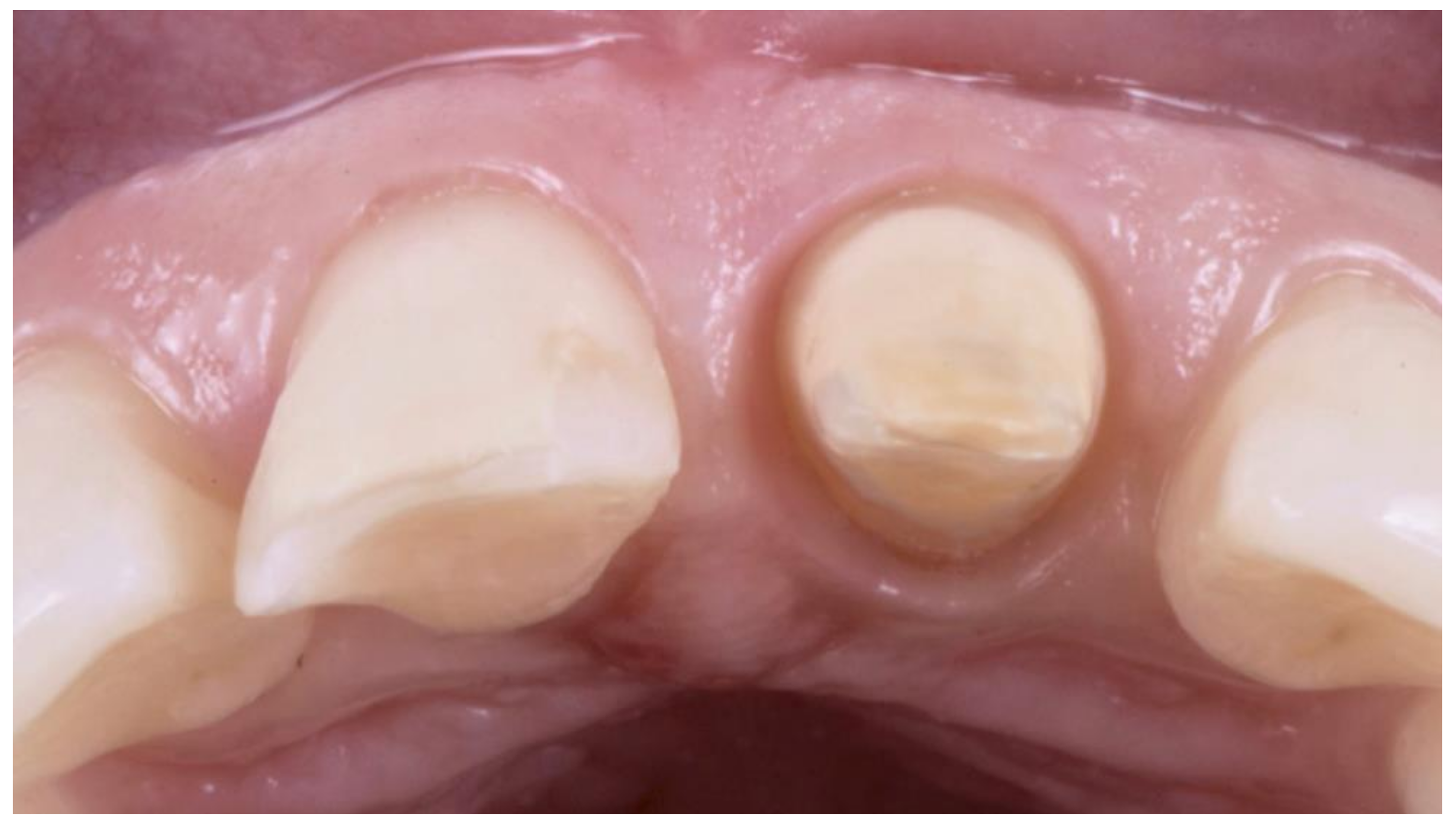
- Primary progressive reduction: This procedure is performed by using the bur with an inclination of 30° so that only the final part of the bur is in contact with the tooth structure. The bur is kept more coronal than the previously measured depth of the gingival sulcus of that site. In this way, the tissue of the root surface and a small component of the internal part of the gingival sulcus is removed. This reduction will result in a small step at the level corresponding to the tip of the bur. At this point, the preparation is “bur-shaped” as with most of the complete crown techniques (Figure 3).
- Secondary progressive reduction: The previously performed reduction of tooth structure and the push of the bur on the gingival margin, together with the unavoidable gingitage, will result in an augmented space between the tooth structures and the gingival margin. This allows the clinician to obtain better vision and access to the deepest parts of the sulcus and, therefore, to see and remove any calculus, steps, grooves, or undercuts from the root surfaces. Using a “toe-heel” technique, the apical part of the root surface is structured, creating the edgeless profile of this preparation. Then, the coronal portion of the abutment is reduced by using a bur with reverse angulation. In this phase, it is also necessary to connect the different reduction planes created during the various stages (Figure 4).
- Finishing: At the end of these steps, which are performed with coarse-grain burs, the abutment preparation is finished with fine-grain burs.
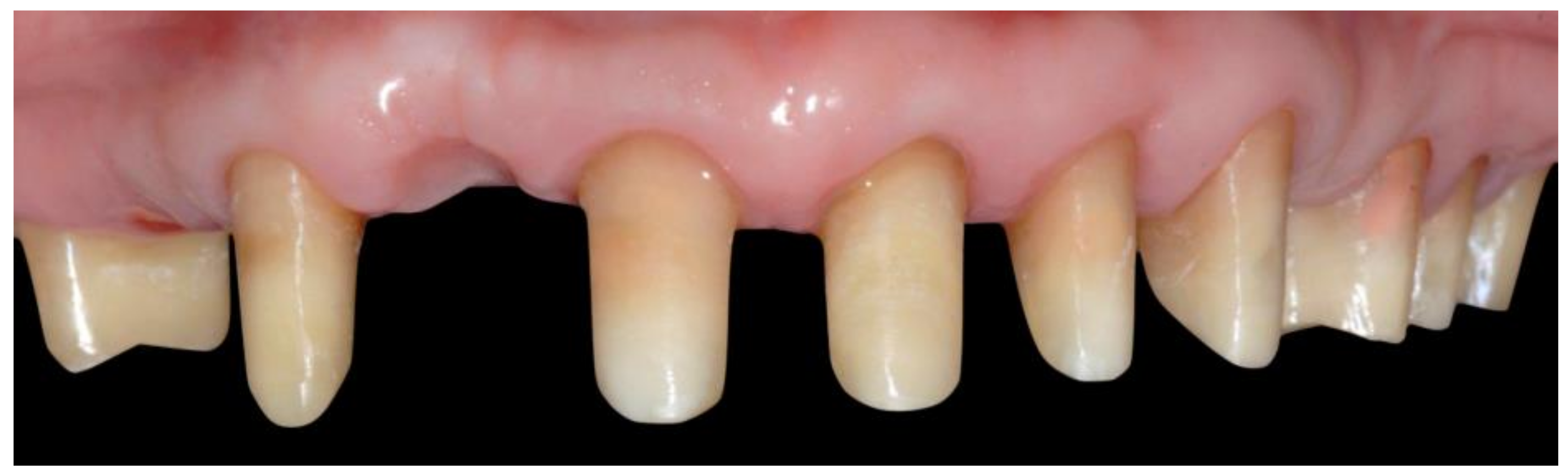
- Temporary crown relining and delivery: Next, the insertion and the housing of the temporary crown are checked and then relined. It is essential not to move the crown during the relining stage so that the margin will not open, guaranteeing an adequate closure (Figure 5). After that, refining is necessary, keeping the margin as thin as possible. After polishing, the temporary crown is cemented with eugenol-free temporary cement. With the VEP technique, as with the intraoperative preparation technique, the apical part of the abutment reached by the bur does not correspond with the prosthetic margins, both for the provisional crown and the ceramic one. The cervical margin of the temporary crown is placed coronally to the corresponding gingival margin to allow undisturbed healing of the soft tissues surrounding the abutment (Figure 6).




3. Discussion
3.1. Tooth Reduction
3.2. Temporary Crown Management
3.3. Impression Phase
3.4. Crown Margins
3.5. Soft Tissues Management
4. Conclusions
Author Contributions
Funding
Institutional Review Board Statement
Informed Consent Statement
Data Availability Statement
Conflicts of Interest
References
- Foce, E.; Noè, G.; di Febo, G.; Bonfiglioli, R.; Carnevale, G. VEP—Vertical Edgeless Preparation—La dominanza parodontale nella preparazione protesica; Quintessenza: Milano, Italy, 2022; pp. 1–77. [Google Scholar]
- Carnevale, G.; Sterrantino, S.F.; di Febo, G. Soft and hard tissue wound healing following tooth preparation to the alveolar crest. Int. J. Periodontics Restor. Dent. 1983, 3, 36–53. [Google Scholar]
- Carnevale, G.; di Febo, G.; Biscaro, L.; Sterrantino, S.F.; Fuzzi, M. An in vivo study of teeth reprepared during periodontal surgery. Int. J. Periodontics Restor. Dent. 1990, 10, 40–55. [Google Scholar]
- Carnevale, G.; Febo, G.; Fuzzi, M. A retrospective analysis of the perio-prosthetic aspect of teeth re-prepared during periodontal surgery. J. Clin. Periodontol. 1990, 17, 313–316. [Google Scholar] [CrossRef] [PubMed]
- Turktekin, F.; Buduneli, N.; Lappin, D.F.; Turk, T.; Buduneli, E. Diamond burs versus curettes in root planing: A randomized clinical trial. Aust. Dent. J. 2018, 63, 242–252. [Google Scholar] [CrossRef]
- Abduo, J.; Lyons, K.M. Interdisciplinary interface between fixed prosthodontics and periodontics. Periodontology 2000 2017, 74, 40–62. [Google Scholar] [CrossRef]
- Shariff, J.A.; Cheng, B.; Papapanou, P.N. Age-Specific Predictive Models of the Upper Quintile of Periodontal Attachment Loss. J. Dent. Res. 2020, 99, 44–50. [Google Scholar] [CrossRef]
- Jovanovic, M.; Zivkovic, N.; Gligorijevic, N.; Igic, M.; Petrovic, M.; Bojovic, M.; Jovanovic, R.; Kostic, M. Cytomorphometric and Clinical Changes in Gingival Tissue after Subgingival Tooth Preparation—A Pilot Study. Healthcare 2023, 11, 414. [Google Scholar] [CrossRef]
- Loe, H. Reactions of marginal tissues to restorative procedures. Int. Dent. J. 1968, 18, 759–778. [Google Scholar]
- Ferencz, J.L. Maintaining and enhancing gingival architecture in fixed prosthodontics. J. Prosthet. Dent. 1991, 65, 650–657. [Google Scholar] [CrossRef]
- Goodacre, C.J.; Campagni, W.V.; Aquilino, S.A. Tooth preparations for complete crowns: An art form based on scientific principles. J. Prosthet. Dent. 2001, 85, 363–376. [Google Scholar] [CrossRef]
- Larson, T.D. Atraumatic tooth preparation. Northwest Dent. 2008, 87, 29–34. [Google Scholar]
- Thomas, M.S.; Kundabala, M. Pulp hyperthermia during tooth preparation: The effect of rotary instruments, lasers, ultrasonic devices, and airborne particle abrasion. J. Calif. Dent. Assoc. 2012, 40, 720–731. [Google Scholar] [CrossRef]
- Felton, D.A.; Kanoy, B.E.; Bayne, S.C.; Wirthman, G.P. Effect of in vivo crown margin discrepancies on periodontal health. J. Prosthet. Dent. 1991, 65, 357–364. [Google Scholar] [CrossRef]
- Fuzzi, M.; Tricarico, M.G.; Ferrari Cagidiaco, E.; Bonadeo, G.; Sorrentino, M.; Ferrari, M. Nanoleakage and internal adaptation of zirconia and lithium disilicate single crowns with feather edge preparation. J. Osseointegr. 2017, 9, 250–262. [Google Scholar]
- Ferrari Cagidiaco, E.; Discepoli, N.; Goracci, C.; Carboncini, F.; Vigolo, P.; Ferrari, M. Randomized clinical trial on single zirconia crowns with feather-edge vs chamfer finishing lines: Four years results. Int. J. Periodontics Restor. Dent. 2018, 39, 817–826. [Google Scholar] [CrossRef]
- Rosner, D. Function, placement, and reproduction of bevels for gold castings. J. Prosthet. Dent. 1963, 13, 1160–1166. [Google Scholar] [CrossRef]
- McLean, J.W.; Wilson, A.D. Butt joint versus bevelled gold margin in metal-ceramic crowns. J. Biomed. Mater. Res. 1980, 14, 239–250. [Google Scholar] [CrossRef]
- Belser, U.C.; Macentee, M.I.; Richter, W.A. Fit of three porcelain-fused-to-metal marginal designs in vivo: A scanning electron microscope study. J. Prosthet. Dent. 1985, 53, 24–29. [Google Scholar] [CrossRef]
- Gonzalo, E.; Suárez, M.J.; Serrano, B.; Lozano, J.F.L. A comparison of the marginal vertical discrepancies of zirconium and metal-ceramic posterior fixed dental prostheses before and after cementation. J. Prosthet. Dent. 2009, 102, 378–384. [Google Scholar] [CrossRef]
- Gavelis, J.R.; Morency, J.D.; Riley, E.D.; Sozio, R.B. The effect of various finish line preparations on the marginal seal and occlusal seat of full crown preparations. J. Prosthet. Dent. 1981, 45, 138–145. [Google Scholar] [CrossRef] [PubMed]
- Elsherbini, M.; Sakrana, A.A.; Amin, R.A.; Diaa, M.; Özcan, M.; Al-Zordk, W. A micro-computed tomography analysis of internal and marginal fits of fixed partial dentures: Effect of preparation finish line designs on monolithic zirconia and heat-pressed zirconia-reinforced lithium disilicate. J. Prosthodont. 2023. Online version of record before inclusion in an issue. Available online: https://onlinelibrary.wiley.com/doi/epdf/10.1111/jopr.13656 (accessed on 15 March 2023). [CrossRef] [PubMed]






Disclaimer/Publisher’s Note: The statements, opinions and data contained in all publications are solely those of the individual author(s) and contributor(s) and not of MDPI and/or the editor(s). MDPI and/or the editor(s) disclaim responsibility for any injury to people or property resulting from any ideas, methods, instructions or products referred to in the content. |
© 2023 by the authors. Licensee MDPI, Basel, Switzerland. This article is an open access article distributed under the terms and conditions of the Creative Commons Attribution (CC BY) license (https://creativecommons.org/licenses/by/4.0/).
Share and Cite
Noè, G.; Toffoli, A.; Foce, E.; Di Febo, G.; Carnevale, G.; Bonfiglioli, R.; Macaluso, G.M.; Manfredi, E. Vertical Edgeless Preparation: Periodontal Dominance in Prosthetic Crown Preparation. Prosthesis 2023, 5, 358-367. https://doi.org/10.3390/prosthesis5020026
Noè G, Toffoli A, Foce E, Di Febo G, Carnevale G, Bonfiglioli R, Macaluso GM, Manfredi E. Vertical Edgeless Preparation: Periodontal Dominance in Prosthetic Crown Preparation. Prosthesis. 2023; 5(2):358-367. https://doi.org/10.3390/prosthesis5020026
Chicago/Turabian StyleNoè, Gaetano, Andrea Toffoli, Edoardo Foce, Gianfranco Di Febo, Gianfranco Carnevale, Roberto Bonfiglioli, Guido Maria Macaluso, and Edoardo Manfredi. 2023. "Vertical Edgeless Preparation: Periodontal Dominance in Prosthetic Crown Preparation" Prosthesis 5, no. 2: 358-367. https://doi.org/10.3390/prosthesis5020026
APA StyleNoè, G., Toffoli, A., Foce, E., Di Febo, G., Carnevale, G., Bonfiglioli, R., Macaluso, G. M., & Manfredi, E. (2023). Vertical Edgeless Preparation: Periodontal Dominance in Prosthetic Crown Preparation. Prosthesis, 5(2), 358-367. https://doi.org/10.3390/prosthesis5020026

