Abstract
Extensive durability problems such as weathering and degradation are found in historic Scandinavian brick masonry buildings, especially from the neo-Gothic period. These are largely due to the crystallization of salts and frost action in the bricks and mortars. This article aims to show and illustrate which salts and crystals are found in historic brick masonry buildings and to describe their appearance and behavior. An additional aim is to explore possibilities of preventing salt-related damage on internal masonry wall surfaces, such as using hemp-lime sacrificial plaster beneath the plaster. The objective is to show the mechanisms behind salt-related problems and to perform a case study and a laboratory study on salt-damaged brick masonry containing sodium sulphate. In order to prevent and stop damage to the masonry, it is important to be able to identify the nature of the salt damage and the type of salt that caused the damage. Neo-Gothic brick masonry buildings require well-planned, continuous maintenance of the masonry. It is therefore of the utmost importance to have an understanding of the complex functions of the masonry and of the salts that can cause damage to these historic buildings.
Keywords:
brick masonry; lime mortar; salt deterioration; thenardite; mirabilite; halite; calcite; frost damage 1. Introduction
The main aim of this article is to show in a pedagogic way the most common salts and crystals found in historic Scandinavian masonry buildings, to describe and illustrate how to use ocular methods to recognize them in macroscopic and microscopic scales and to describe their behaviour when causing damage. It seeks to provide an in-depth understanding of salt and frost-related damage and knowledge of how to repair and renovate brick masonry walls without causing additional damage. It is aimed at those having to deal with damaged masonry in practice.
An additional aim is to explore and present a possible new way to prevent or delay salt-related damage on internal masonry wall surfaces. The objective was to perform a case study and full-scale laboratory studies on brick masonry walls with a hemp-lime plaster and to study salt-induced precipitation from the brick wall into the hemp-lime plaster.
Since the early 13th century, brick masonry has been used for construction in the Scandinavian countries [1], using different construction techniques and with the quality of materials varying over time. The differences have led to a variation in the behaviour of these masonries in terms of weathering and degradation. Brick masonry buildings from the neo-Gothic period and to some extent in the neo-Romanesque style have proven to be extra problematic due to their construction method and choice of materials compared to, for example, medieval massive brick masonry buildings. It became clear at an early stage that poor quality bricks and lime mortar with high porosity and poor frost resistance and bricks containing sulphate had been used in the masonry core. The cause of moisture problems in neo-Gothic buildings has been examined in more in-depth studies [2,3,4,5,6]. The types of damage that can be found in these masonries are very similar, due to a large extent on the crystallization of both salts and ice in the porous bricks and mortars. All the salts presented in this paper can be found in the neo-Gothic buildings studied but the photographs used may come from other historic buildings where they are more illustrative. The illustrations and good examples included here are derived from 20 years of practical work with historic masonry buildings and their decay.
This paper, therefore, focuses primarily on salt and frost-related damage found in Scandinavian neo-Gothic masonry buildings based on their structure, function and degradation processes. Its purpose is to provide an understanding of what these salt and frost- related moisture problems entail: their appearance, what causes them and, where possible, measures to minimise their harmful effect on the durability of the masonry. Salt and frost problems in historic Scandinavian masonry buildings are often noted [2,7,8,9,10,11,12], but the complexity of these neo-Gothic brick walls mean that the damage is often very extensive and costly.
This paper is based on previous international and national research, a case study and a laboratory test plus a number of field studies of historic buildings. There is essential international research focusing on the occurrence and behaviour of salts in porous building materials [13,14,15,16,17,18,19,20,21,22,23,24,25,26,27]. These provide in-depth knowledge of how different salts crystallise and cause damage. Microscopy is a widely accessible and relatively straightforward method to identify salts and to determine their occurrence and behaviour in porous building materials. A recent literature review on test methods presents laboratory tests that are often used [28]; very little is said about microscopic methods for identification.
There is also valuable research presenting theoretical models, numerical simulations and quantitative studies on crystal growth in porous building materials in general [29,30,31,32,33,34,35] and in bricks and mortars in particular [36,37,38,39,40].
Several studies on frost damage in porous materials are of interest and have provided more in-depth knowledge of the influence of pore structure on durability [9,11,41,42,43,44,45,46]. Several papers combining numerical models and microscopic and/or macroscopic studies are of interest [44,47,48,49,50]. Some studies using microscopic methods on crystal growth are of particular interest for this paper, and previous research on the subject is of importance for understanding and interpretation [15,51,52,53,54].
The problem has also been studied continuously throughout the 20th century focusing on Nordic climatic conditions and brick masonries [7,8,9,10,11,12,55], and a great number of objects built around the year 1900 have been investigated with the aim of restoration [2,3,4,5,6]. The results presented are the results of the research project ‘Preventing salt-induced precipitation through hemp-lime plaster in older brick buildings’, funded by the Swedish Energy Agency through the “Spara och Bevara” research programme.
The paper is divided into two main parts. The first part describes the Scandinavian neo-Gothic brick masonry buildings and the salt and frost-related damage found in them [2,3,4,5,6]. The second part describes a case study and laboratory study of the use of lime-hemp inside salt-damaged brick masonry buildings.
2. Neo-Gothic Brick Architecture in Sweden
There are extensive salt problems in brick masonry in neo-Gothic buildings in Sweden. The south and west façades of high church towers have exhibited moisture and salt-related problems since the day they were built [2]. The construction of these neo-Gothic buildings was new and innovative in the 1870s, when cement and façade bricks simultaneously came into use in Sweden. Before this period, brick masonry was generally constructed using high-quality brick in homogeneous interacting monoliths in combination with high-quality lime mortar [56,57].
Neo-Gothic buildings were commonly constructed using bricks with air lime mortar (lime:sand ratio 1:2 to 1:3), as described by architects in the building instructions preserved in the archives as well as in literature from the 19th century [58]. It became clear at an early stage that both bricks and lime mortar of poor quality had been used in the masonry core of these buildings. In contrast to the masonry core, the façade was built using hard-burned bricks with a dense surface combined with a thin layer of rigid, dense, cement-rich pointing mortar. Among the bricks in the core there were usually some stones of lower quality that were relatively unburned, of sulphur-containing clay. The sulphur has given rise to salt-related damage in the masonry. Additionally, the façade stones sometimes lacked sufficient anchoring in the masonry core wall, since anchoring was accomplished by means of a header course that was tied to the core of the wall. Sometimes only every seventh course was a header course that was anchored to the masonry behind. This has caused structural problems at times, as the façade brick sometimes became detached from the masonry core. This is evident from the study of archives and pilot studies before restoration on many of those churches [2,3,4,5,6].
When the pointing is stiff and dense and the brick surface is hard and dense there is a risk of crack formation between bricks and joints as well as parallel to the surface layer of the brick, caused by temperature and moisture movements. With façade brick surfaces detaching from the masonry core and with cracks between bricks and joints, water can enter into the masonry by capillary action, leading to moisture accumulation in the masonry core. This, in turn, contributes to frost damage in the surface, dissolution of lime in the core and salt transports with salt crystallization on internal and external wall surfaces. With salts abundantly present in the masonry, salt problems have emerged early, with salt damage internally on the plaster and externally causing brick surfaces, renders and joints to spall off.
3. Finding, Recognizing and Understanding Salt and Ice Deformation in Brick Masonry
It has been known for a long time that the presence of salts can cause damage to masonry. Several ways to avoid salts in brick masonry were documented in the 19th century. Among other things, it is imperative to avoid the inclusion of sand that may contain salts in the mortar [59]. It has also been known that salts of sulphur can be formed in the brick production process if the clay contains pyrite [55,58,60].
Salt weathering can occur in two different ways: chlorides (e.g., from sea salts or food storage) deposit a white beard of salts that grows outwards from the surface (efflorescence), while the salts from the masonry cause material loss since they grow inside a porous media and cause weathering from within (subflorescence). If there is a combination of salts, they will interact and cause damage [61,62]. This paper presents the salts one by one to aid understanding.
Frost can also often be a contributing factor in degradation and the damage can be reminiscent of salt weathering (although no crystals remain to be observed at temperatures above zero).
Sodium sulphate can occur in bricks if they are slightly underburnt. This happens when sulphate reacts with combustion gases forming sulphuric acid [55,63]. If the clay contains pyrite, there is a known risk of the brick containing masonry salts. In the case of proper combustion, all sulphur in the sulphuric acid (FeS2) should be expelled, but sometimes the pyrite is only converted to iron sulphide (FeS) which in itself can contribute to water absorption and expansion [55]. Calcium and carbonates are naturally found in all air lime mortar that occurs in masonry. If there is a presence of acidic salts, the solubility of calcium carbonate increases due to acid-base reactions.
Calcium sulphate (i.e., gypsum) can be used as an additive in cement but it can also be formed on lime-based surfaces when there is sulphur in the air, e.g., from car exhaust fumes [64,65]. Sodium chloride is commonly found in the sea, which is why these salts are often found in sea-facing masonry. Previous use of the building for food storage may also cause salt occurrence in the form of chlorides. Sodium chloride and calcium chloride can also occur in masonry as a result of the use of road salts, for example on stairs and pavements [13].
In order to give a greater understanding of the specific problems that most commonly occur in brick masonry, we provide an in-depth study of the phenomena that can be observed. This involves a deeper understanding of chloride and sodium sulphate and specific problems that are linked to these particular salts. We also discuss the appearance of gypsum clusters and the solubility of calcium carbonate and what happens when calcium hydroxide and calcium carbonate are exposed to water for a long time. In the objects studied in Scandinavia, the following salts and crystals are those most represented to a greater or lesser extent. We also use photographs of other objects with the aim of showing illustrative and pedagogic examples for each crystallization process.
3.1. Sodium Sulphate
The most harmful salts for a plaster or a painted wall appear to be the sulphates [15,66], see Figure 1, Figure 2, Figure 3 and Figure 4. These can be based on sodium Na2SO4 (forming salt crystals called thenardite or mirabilite) but also potassium K2SO4, magnesium MgSO4 and calcium CaSO4 [67]. These are particularly harmful because sulphates crystallise in places where they cause great damage. They can cause disintegration due to crystallization in a porous material and they can also affect the dissolution of lime due to acid-base reactions. Sodium sulphate can crystallise inside the surface and switch between two phases (Na2SO4 and Na2SO4⋅10H2O) with an explosive effect due to hydration pressure and crystallization pressure [15,66].
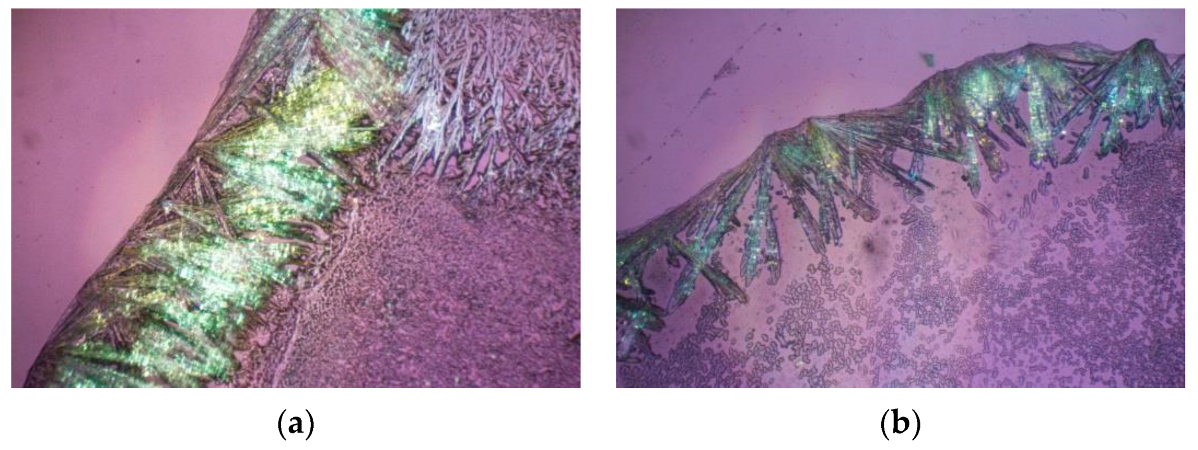
Figure 1.
Sodium sulphate photographed in a polarisation microscope: (a) Sodium sulphate is dissolved and recrystallized on the surface; (b) the sodium sulphate crystals grow in tree-like formations from the surface.
Figure 2.
Sulphates are recognized by the fact that they often grow just below the surface: (a) A surface painted with impermeable paint. When the surface layer is lifted it falls off and leaves a slightly hollow wall surface, covered with white salt crystals; (b) the permeable lime wash is dissolved, leaving only superficial damage on the surface.
Figure 3.
Crystallised sulphates: (a) Newly crystallised sulphates give the illusion of being soft and fuzzy like cotton; (b) newly formed crystals can be observed as tree-like crystal formations.
Figure 4.
Sulphate damage to brick and cement surfaces: (a) Test wall built with bricks that were saturated with sodium sulphate. The surface of the bricks has been gradually degraded due to the explosive effect of the salts; (b) on a strong and dense cement plaster, sulphates are visible as dark salt roses where the paint layer has come off and the plaster has darkened as if it were constantly wet.
3.2. Black Crust from Gypsum
Calcium sulphate (gypsum) CaSO3∙2H2O is usually formed on the surface of limestone or lime mortar as sulphur in the air reacts with lime to form gypsum [64,65]. Its salt crystals are called ettringite; see Figure 5. Where parts of the surface layer dissolve, it grows to form an often dirty or black crust on the outside; see Figure 6.
Figure 5.
A characteristic gypsum cross as photographed in a polarisation microscope.
Figure 6.
(a) Black crust is usually seen when sulphur has reacted with lime on the surface of calcareous rock or lime render and lime wash; (b) a close-up of a coloured lime cement mortar where the surface has transformed into gypsum. This causes the surface to appear to be very dirty. The original colour of the lime cement mortar can still be observed.
Calcium sulphate forms on a rain-protected surface or crystallises inside a lime mortar by the sulphating of calcium carbonate, forming needles in the voids. Calcium sulphate is often formed when air pollution containing sulphur is involved in the process and is most intensely visible on the surfaces that rain does not reach [64,65]; see Figure 7.
Figure 7.
Stockholm Castle showing a coloured lime cement render. As sulphur-containing air causes the formation of gypsum, this usually shows clearly where the rain impinges on a façade. As gypsum is highly soluble in water, the damage is greatest on surfaces sheltered from rain.
3.3. Chlorides
Sodium chloride NaCl usually deposits on the surface, forming salt crystals called halite; see Figure 8. It grows like a beard, with salt crystals and long strands [26]. If there are tight/impermeable paint layers, it is deposited under the surface and lifts the paint off, but if there is a homogeneous porous material, it is deposited on the surface [10]. If the sodium chloride comes from sea winds, it does not usually cause great damage. In a hydration or dehydration process, it may, however, generate dissolution of the surface, since at different temperatures it can also affect other salts that may be present [62,67]. Sodium chlorides are often found in cellars used for food storage; see examples in Figure 9.
Figure 8.
(a) Halite crystals recrystallised and photographed in a polarisation microscope; (b) a macro photo of compact halite crystals.
Figure 9.
Examples of halite crystals that formed in basements where food had been stored: (a) Halite crystals on a brick wall; (b) halite crystals grow from a surface, forming both compact crystals and long strands.
3.4. Calcium Carbonates
Calcium carbonate CaCO3 is the binder in lime mortar and limestone. Calcium carbonate itself has no disintegrating effect when crystallised [67,68], forming salt crystals called calcite; see Figure 10. It can, however, dissolve and recrystallise under prolonged humid conditions and with the presence of acidic salts. Upon recrystallization, it forms crusts that are very hard and difficult to dissolve. These can sometimes be seen on the outside of masonry repointed with cement, in the form of floatstones and stalactites; see Figure 11 and Figure 12. It can also sometimes be seen as a thick, colour- intensive layer on lime render that has a dense film of binder at the surface, where the lime from inside the render has been deposited on the surface in a glassy calcite layer on the external surface of the lime wash; see Figure 13 and Figure 14.
Figure 10.
Polarisation photograph showing a glassy calcite crystal. Usually these are very small, making it difficult to identify them through a polarisation microscope.
Figure 11.
When lime mortar is trapped in a damp wall that is exposed to water for a long time, the lime dissolves: (a) The mortar in the brick wall is dissolved behind the dense surface of façade brick and cement mortar; (b) lime mortar from the inside of the wall is deposited as floatstone on the surface.
Figure 12.
Lime dissolved inside masonry repointed with cement is deposited as stalactites on the surface: (a) Stalactites from dissolved lime mortar on Visby city wall; (b) floatstone on a granite wall.
Figure 13.
Calcite crystals: (a) Calcite crystals have grown slowly over time on a surface with free access to calcium hydroxide and water. The large trigonal crystals are approx. 5 mm; (b) a surface where calcite crystals were formed on the external surface of a matt lime paint. This gives an apparently oily film with a glassy character. The hexagonal shapes of the crystals are discernible.
Figure 14.
Calcite crystallization and recrystallization: (a) A thick, glassy film of calcite on the external surface of a lime wash. The calcite film prevents new lime wash from attaching, causing the lime wash to spall off when freezing; (b) the surface of a porous lime render restored in the 1970s has changed colour due to some recrystallization.
3.5. Ice Formation
Water forms ice crystals, expanding in volume by about 10% and breaking up water-saturated porous materials [45]. Inside unheated (church) towers, it is not uncommon to find thick layers of ice crystals as they form quite slowly on a water-saturated masonry surface; see Figure 15 and Figure 16. The external wall surface may also bear witness to the effect of frost damage such as spalling/flaking of the mortar. In renders, damage can occur between layers of render or between the lime wash and the render; see Figure 17. On brick, ice crystals can cause damage causing parts of the brick to spall off.
Figure 15.
Frost damage on masonry: (a) A layer of ice covering brick inside a church tower. The ice is formed from water-saturated brick and so this effect is not found on the adjacent granite; (b) frost-damaged brick. On some bricks, only the compact surface layer has frozen off, and on others deeper frost damage has resulted in more extensive material loss.
Figure 16.
Ice crystal formation on masonry: (a) Ice crystals cover the entire inside of a brick tower on a cold winter’s day. Here, the ice crystals have formed an armour-like layer of ice as well as some filiform crystals of approx. 2 cm; (b) an example from a basement where a thick layer of porous ice crystals covers the internal concrete surface. This phenomenon can be observed when porous materials saturated with water are exposed to frost.
Figure 17.
Spalling of lime mortar due to ice formation: (a) When lime mortar freezes and spalls off it leaves a characteristic flake-shaped pattern; (b) each separate render layer spalled off is caused by freezing temperatures in a lean lime render saturated with water.
3.6. The Behaviour of Different Salts That Cause Degradation
Due to the way different salts behave, they can often be identified based on how they are deposited, the type of damage they have caused and how they crystallise. The appearance of some salt crystals is very characteristic provided they grow from a concentrated saline. These are often easy to recognize both in the field and through a polarisation microscope [12,69]; see photographs on the previous pages.
Different salts act in different ways. Depending on the type of salt present in a masonry, they differ greatly in behaviour in relation to factors such as temperature and relative humidity (RH) [19,68]. For example, each salt has a specific critical RH for crystallization; see Table 1. This RH can also be called equilibrium RH, and it is the climate that a saturated salt solution gives rise to in, for example, a closed climate chamber [23].
Table 1.
Common salts in masonry, their critical Relative Humidity (RH), solubility and molar mass [67,68].
Salts react in different ways when they are exposed to water. Salts are readily soluble in water, so that when there are enough water molecules surrounding a salt molecule, a salt solution is formed. If the salt concentration is saturated, a salt solution is formed, otherwise a dilute salt solution [67,68] is formed. In porous materials, the presence of hygroscopic bound water is sufficient for salts to dissolve. The relative humidity together with access to free water affects this process. For crystals that have a critical RH of ~100%, i.e., lime/calcite, access to free water is generally required over a long period to enable them to dissolve.
Different salts grow in different ways, and they each have their own distinct degradation mechanism [23]; see illustrations in Figure 18. Halite grows from the surface in a filiform shape, while mirabilite/thenardite grows inside the material forming a tree-like pattern and causing the material to fall apart. Calcite crystals form a hard, glassy shell on the external surface of a material, while ettringite forms crusts where lime is dissolved and integrated. The drawings of halite and thenardite at Figure 18 show how they are formed through efflorescence and subflorescence on the surface as well as in a material’s voids and capillary pores [23]. In the latter case, the salts rupture the material as the crystallization pressure increases. Ettringite is often formed by lime dissolving on the surface of the material and forming a porous layer of gypsum crystals—as this happens, part of the surface material is dissolved and replaced with gypsum clusters [70]. Calcite can be formed on a surface that is moist over a long period and has access to calcium that can recrystallise. This is illustrated here by a lime render with a dense surface, where lime that has gone into solution is transported outwards and ultimately deposited as an insoluble, glassy crystal film.
Figure 18.
The general principles for the appearance of the growth of crystals of different salts and how they gradually break down the surface of the material: (a) Halite; (b) mirabilite and thenardite; (c) calcite; (d) ettringite.
Some salts can bind water molecules in the salt crystal (hydration). Interestingly for brick masonry, the two different sodium sulphates are stable in an indoor climate; mirabilite (Na2SO4 · 10H2O) is a hydrated salt, as opposed to thenardite (Na2SO4) which is an anhydrous salt [17,21]. Mirabilite holds ten water molecules bound in each crystal compared to the anhydrous salt which has no bound water at all. This greatly influences the volume of the salt crystals and the crystallization pressure [16,39].
When salts are in solution in masonry, they can affect the pH and thereby the solubility of CaCO3 through an acid-base reaction. They do not otherwise cause great mechanical damage inside the masonry. By contrast, these salts can cause severe damage when they form crystals, and especially when these occur repeatedly in crystallization cycles near the surface [10]. This is particularly evident with sodium sulphate, which shifts between its two different phases, where one crystal is much larger because of its water content. Slow growth of mirabilite from solution produces large hydrated crystals. After some dehydration and hydration, the more sparingly soluble thenardite crystals can form a nucleus from which the mirabilite crystals can grow [21].
When a saline solution dries below its critical RH, salt crystals are formed. The largest crystals are formed at just below the critical RH of the salt [23]. Different salts grow in different ways. When sodium chloride (NaCl) forms halite, the crystals grow in the form of cube-shaped crystals inside a drop of water or larger crystals are formed in the zone between air and water [10]. When they occur in masonry, this means that they have usually grown from the surface through efflorescence. With sodium sulphate, the crystals grow into the saline solution, forming fast-growing, prism-shaped crystals. This causes them to form inside fluid-filled pores by subflorescence, i.e., crystal formation inside the material [10,14].
Sodium sulphate is the salt that can individually cause the most damage through crystallization in masonry, which is due to its two stable crystal phases; hydrated and anhydrous. These two crystal forms at different RH and temperature in accordance with a phase diagram. Likewise, in repeated cycles of crystallization, it can give rise to crystal growth that causes high pressure [21]. With saturated salt solutions where thenardite and mirabilite coexist, crystallization pressure can reach levels of about 30-60 MPa [19], which far exceeds the tensile strength of both granite (about 4.8 MPa), brick (approx. 2.8 MPa) and lime mortar (about 2.1 MPa) [63]. During hydration, thenardite expands in volume by 320% [69]. Crystallization behaviour in porous materials has been clearly and pedagogically illustrated by Pühringer [10] and Zehnder [23].
A phase diagram for sodium sulphate [19] shows how the salt moves between its different phases depending on relative humidity and temperature changes. Every time the climate in the material passes a phase a change occurs, causing what is known as a crystallization cycle, and the salt changes its crystal phase. As a result, the crystals degrade the material with every crystallization cycle. An illustrative phase diagram can be found in the references [19,71]. It is here exemplified in Figure 19, where temperature and RH were measured on an interior surface of a church with salt crystallization problems.
Figure 19.
A diagram of climate measurement—indoor temperature [°C] and relative humidity [%]—in a salt-damaged church on the island of Gotland, Sweden. The indoor climate often exceeds the critical RH of sodium chloride (NaCl) or is between the two crystal phases of sodium sulphate (NaSO4). Illustration by Magnus Wessberg, Uppsala University, and reproduced with his kind permission.
With sodium chloride, for example, one can clearly identify a critical RH for crystallization. However, because sodium sulphate can switch between different phases, no single critical RH can be identified for this salt [16].
Controlling the crystallization process of salts by controlling the (micro)climate in a wall is a possible option, but because sodium sulphate can be dissolved all the time, at various RH values and temperatures, an indoor climate with an RH above 93–95% would be required if the indoor temperature was between 15–20 °C. Unfortunately, this is an inappropriate climate that can cause other damage in the form of degradation of materials, health problems for occupants and, in particular, (micro)biological activity [72]. The greatest damage is caused where the climate frequently shifts within the phase diagram so that mirabilite turns to thenardite and back again, which is why it would be appropriate to avoid this specific climate. The thenardite crystals act as a “breeding ground” for the mirabilite crystals and the total volume, and consequently the crystallization pressure, becomes substantial [20].
When it comes to the presence of sodium sulphate in brick masonry, many case studies [4,5,6] have clearly shown that problems are most severe in façades facing sun, rain and wind. This can be related to areas where temperature and moisture movements at the surface cause most of the micro-cracks between joints and bricks, where moisture loads through (wind-driven) rain are greatest and where the microclimate on external as well as internal walls is affected by the sun and its radiant heat. In the northern hemisphere, walls facing south and west are considerably more vulnerable to weathering from salt and frost damage than walls facing east and north, see Figure 20.
Figure 20.
(a–c). Examples of salt and frost damage on Swedish neo-Gothic masonries. The extent of the damage depends on a range of factors including exposure to the sun, wind-driven rain and the internal and external microclimate.
3.7. The Moisture Transport Phenomenon and Degradation of The Masonry Core
In the typical problematic neo-Gothic brick walls, moisture can be absorbed in three main ways; by capillary suction in joints, by capillary suction through weathered bricks and by cracks and cavities between bricks and joints. Problems with roof and sheet coverings can also affect the ability of water to enter the masonry walls. Where the masonry core consists of bricks and lime mortars that are more porous than the façade materials, water can be transported into the masonry core from the façade shell by means of capillary suction.
The water can evaporate by diffusion and capillary transport to the surface. Water can dry out both inwards and outwards. If the masonry core is made of very porous materials as in the walls studied, a great deal of water can accumulate in the masonry and it is difficult for the moisture to dry up as the surface tends to let in more water than can evaporate. When the water is transported towards the interior wall surface, the salts dissolved from the bricks are transported and deposited when the climate is right for the formation of crystals. This results in a discoloured and damaged façade surface. The use of dense paint layers, asphalt coatings or impermeable plasters and renders can further exacerbate the situation so that moisture becomes trapped inside the masonry. With masonry cores, it is interesting to note that the lime in the mortar acts as a poorly soluble salt; see Table 1; CaCO3. A humid environment (RH higher than 100%) and a lengthy period of exposure are required in order for it to dissolve [18]. In addition, if there is a type of salt present that lowers the pH, its solubility increases through an acid-base reaction. Inside masonries, there is usually both exposure to high relative humidity over long periods and a presence of salts—thus, the lime in the mortar can dissolve, pulverising the mortar and reducing its load-bearing capacity.
During the 20th century, most extensive masonry repairs have been carried out using cement-based mortar, regardless of whether the original masonry was built with some type of lime mortar (which can be assumed to be the case for most buildings built in Scandinavia before the 1940s, though with significant variation). It was probably thought that it was important to do the repair using a strong and dense material (cement) and there was no real awareness of the possible negative consequences for the masonry wall. For the brick masonry buildings studied [4,5,6], the archive material shows that, at certain times, people have been aware of this and have tried to retain the use of lime mortar, and both cement and lime-based mortars were used during the second half of the 20th century. In large masonry walls there are always some moisture and temperature-related movements [63], and when they are repaired with a hard, stiff mortar such as cement mortar, lime cement mortar or strong hydraulic lime mortar, cracks in the surface will eventually develop. Water will be able to enter the masonry through these cracks and through weathered brick. If the masonry has a dense surface layer, it may mean that evaporation does not take place at the same rate as humidification, causing moisture to accumulate inside the masonry behind the dense surface. Moreover, if the façade bricks are not well connected to the core of the wall and are partly freestanding, no capillary transport of water can take place and there will only be very limited drying of the core.
When degradation has been ongoing over several decades, which is currently the case with most large historic masonry constructions in Scandinavia, it has often caused the lime binder, initially present as binder in joints and bedding mortars, to leach out [4,56]. The high content of moisture inside the masonry has likewise led to frost damage inside the wall. What remains inside the masonry is not a bedding mortar with bonding ability but mainly moist, lime-containing sand. This phenomenon is described in archive material [5] where it was observed that both the mortar and the bricks had been completely pulverised and had a high moisture content—in older Swedish literature this is sometimes described as “masonry rot” [73,74]; see Figure 21.
Figure 21.
(a) Neo-Gothic masonry where accumulated moisture inside the masonry has caused “masonry rot”; (b) the bricks have frozen and split, while the lime mortar has assumed the character and characteristics of wet sand.
This phenomenon may eventually lead to structural problems [18]. During the renovation of one church tower in 1992, the masons noted that the entire interior of the masonry was frozen and pulverised [5]. Where the façade bricks had been laid with insufficient cohesion (with larger bricks in every seventh course instead of every other course), these larger façade bricks had frozen off, see Figure 22. The consequence was that, in addition to the façade layer becoming detached from the masonry core, loose material inside the wall had fallen off behind the façade layer and created an even larger cavity [5]; see illustration in Figure 22. After years of weathering, the surface layers had been damaged, both internally (salt crystals) and externally (salt and ice crystals). Mortar of lime and the wall core of bricks had been frost-damaged and the lime mortar had also leached and lost its adhesion. The outer layer of the façade brick had lost its cohesion since these bricks had spalled off and weathering products had increased the volume of material behind the façade layer, moving it outwards and leaving it unable to return to its original position. When the outer layer had lost its adhesion to the substrate, dehydration towards the core masonry could no longer take place and the denser surface layers thereby delayed diffusion, so an increasing amount of water accumulated in the masonry.
Figure 22.
Schematic illustration of damage mechanisms in a solid masonry wall with a brick façade.
4. Case Studies Using Hemp-Lime as Sacrificial Plaster
Hemp-lime is a building material that is a combination of hemp shiv (the woody core parts of the hemp stem) and building limes. Hemp-lime has been used as a building material for new walls but also as insulation material when renovating or retrofitting historic buildings. While the material has good insulating properties [75,76,77,78], it is also moisture diffusion open, allowing moisture transport through the material. Hemp-lime has a complex porosity; a micro porosity inside the lime binder, meso porosity in the hemp shiv and lime binder and a macro porosity in the material due to the arrangement of the hemp shiv [79,80]. Furthermore hemp-lime works well as a basis for the application of lime render. These characteristics may be beneficial when using hemp-lime as a sacrificial plaster on the internal surface of brick masonry.
A case study and a laboratory study were undertaken.
4.1. ÖRgryte New Church
This brick church has salt-related problems which occurred only some years after it was built. The church was built in the 1890s and designed by the architect Adrian Peterson, who built over 30 similar churches [2,3]. Previous tests with sacrificial plasters were unsatisfactory; immediately after plastering, there were salt deposits in the form of efflorescence and subflorescence, and soon after application the plaster partially spalled off from the wall. The salt causing most damage has been analysed with SEM/EDS and identified as sodium sulphate [4]. The other salts described above are also present in the building but not together with the sodium sulphate on internal plaster surfaces.
In 2016, three new test surfaces of different sacrificial plasters were applied to the internal surface of a brick wall in Örgryte new church [57]. One of these test surfaces was constructed using a layer of 20 mm hemp-lime (1:3 lime:hemp shiv) with a surface finish of 20 mm lime plaster (NHL 3.5). After construction, the surface was worked with a wooden trowel; see Figure 23.
Figure 23.
Hemp-lime case studies: (a) Hemp-lime test surface in Örgryte new church, Gothenburg; (b) test wall of brick with sodium sulphate at Lund University; (c) section of the test wall: 1. Lime plaster, 2. Hemp-lime 100 mm, 3. Lime finish, 4. Brick saturated with sodium sulphate.
4.2. Test Lab in Lund
A south-facing, brick masonry wall measuring 102 × 212 cm was constructed in 2017 as an external wall in the test lab at the Department of Building Materials, Lund Faculty of Engineering; see Figure 23. Prior to construction, the bricks were immersed in a solution of water saturated with sodium sulphate. Internally, a lime surface finish was applied to the brick. Then, a layer of 100 mm hemp-lime was applied to the wall, with an internal lime plaster.
Material from the hemp-lime at the test lab in Lund was sent to Petrolab in Redruth, UK for production of thin section analysis samples. These were studied and photographed in a Brunel SP1500-XP polarisation microscope. No salts were detected in the samples. After 3,5 years, no salts were visible on the surface of the hemp-lime.
5. Discussion—What Can Be Done to Prevent Salt-Related Damage in Masonry?
Removing salts present in historic masonry walls is almost impossible. For thick masonry such as in basement vaults or high church towers, the salts are present to such an extent and at such depth that they are not accessible to desalination at the surface [7]. However, depending on which salts occur as well as in the form in which they are present in the masonry, the damage can be minimised by taking the following measures:
- Minimising water supply from the outside;
- Adapting internal surface layers so that moisture transport can be controlled and drying can take place;
- Applying climate control measures (primarily indoors);
- The climate envelope must of course have a functioning water run-off and drainage.
Outer walls should not be able to absorb more water than can be evaporated. If there are points or cracks in the masonry that allow water to enter the wall, the masonry should be able to support moisture transport towards the outside so that drying can take place, i.e., its surface must not be too dense if there are portions of brick with high capillary suction capacity behind the dense surface. In older masonry, there is a constant ageing process, which means that all masonry takes in some water by absorption through vertical wall surfaces such as bricks and joints.
Indoor surfaces should not be too dense so that dehydration can take place. If dehydration is difficult or even impossible, salts are deposited under the surface layer and “eat” into the material underneath. Two examples of documented renovation measures that caused more harm than good are:
- Repair of lime plaster with a dense plaster based on cement;
- Painting with latex paint on a lime plaster [4].
If a sacrificial coating of lime plaster is applied on the internal surface of a wall, it needs to have a pore structure that allows it to absorb moisture from the substrate by capillary suction while not containing excessive cavities. There is no clear research as to what such a plaster should look like in detail. If the plaster consists of a lean lime and is porous with a tightly worked surface, it can be subjected to extensive damage [4,69]. Where that happens, the binder is not able to withstand the crystallization pressure formed when salts are deposited in the pores.
Rodriguez-Navarro and Doehne [14] state that in materials containing only a few large voids together with a limited amount of capillary pores (a limited inner surface area), the salt solution can reach the surface more quickly and form efflorescence rather than subflorescence. They have also stated that with pore sizes below 100 nm (thenardite; 5.2 nm for halite), the crystallization pressure will often exceed 3 MPa, which is more than the tensile strength limit values of most inorganic building materials [17]. If the surface layer contains extremely small pores, halite (NaCl) crystals can cause damage through subflorescence.
These are the factors that must be taken into account when undertaking repairs or applying sacrificial or new paint layers to a surface. Mortars must therefore be prepared, applied and processed so that they have a specific pore structure [69]. In addition, different measures are needed depending on the salt that has caused the damage. For chlorides, renovation materials can be chosen whereby salts can be deposited on the surface without causing damage that may be too aesthetically disturbing, such as paint loss. For sulphates, a measure can be chosen whereby salts are deposited inside an inner substrate behind the plaster. This can accommodate the salt crystals and withstand its crystallization pressure without allowing the salts to damage the surface plaster.
Where salts occur indoors or in a plaster, it is possible in some cases to control the climate so as to minimise cycles of crystallization. This is theoretically only possible for certain salts and certain combinations of salts. It is, therefore, first and foremost important to identify which salts are present in the masonry and to identify their critical RH to determine their point of crystallization. If several salts are present, a range of critical RH needs to be calculated [22]. The climate can then be controlled for different spaces so that the changes in RH do not repeatedly pass critical levels. However, external factors can also affect the indoor climate in certain types of spaces. For example, solar radiation can influence both the indoor climate and masonry surfaces, thereby creating local variations in the wall’s microclimate.
When sodium sulphate is present, however, it is difficult, if not impossible, to create an optimal climate to avoid crystallization. This is because it starts to crystallise at very low RH and varies in crystallization phases up to 93% RH at 20 °C [16]. Here, it is important that additional moisture loads on the façade are minimised and evaporation is possible on both the external and the internal surfaces of the masonry.
Results and Discussion of the Hemp-Lime Case Studies
The test wall at Örgryte new church was evaluated regularly over four years. An ocular inspection with macro photography showed no signs of salt efflorescence on the test surface. No salts were visible on the surface of the hemp-lime test wall, whereas salts were observed already after a few months on the surface of one of the other test surfaces, with a sacrificial layer of clay mortars behind the lime plaster.
After one year, severe damage was observed on the external surface of the test wall at Lund Faculty of Engineering, with some extensive scaling caused by the salts inside the brick. However, an ocular inspection with macro photography of the internal wall surface showed no signs of salt efflorescence after 3,5 years. The thin section analysis clearly shows that the lime encloses all the hemp shiv in the material. In addition, two types of micro pore structures can be found; one in the lime plaster and another in the hemp shiv. No signs of weathering or degradation caused by the sodium sulphate could be observed in the thin section samples, see Figure 24.
Figure 24.
Hemp-lime from 115–130 mm inside the wall closest to the brick photographed in a polarisation microscope. A homogenous lime (K) encloses the hemp shiv (H). In the lime, there are round air pores of various sizes (P), mostly without capillary pores. In the hemp shiv, the fibre direction can be observed as well as the shiv’s pore structure, which follows the direction of the fibres. The photo shows a 2.65 mm-wide sample.
6. Concluding Remarks
In order to be able to undertake a durable renovation, it is important to first identify the nature of the salt damage and the type of salt that is present in the masonry. The next step is to identify the factors affecting the occurrence of the salt, the salt transport, crystallization patterns and crystallization cycles based on the microclimate at the origin of the damage. Certain factors can then be addressed through continuous maintenance. These are as follows:
- The masonry’s behaviour in terms of absorption and evaporation, both externally and internally;
- Thermal and moisture movements, adhesion and compatibility between bricks and pointing mortars;
- Pore structure and frost resistance of porous materials;
- Minimisation of crystallization cycles on and near wall surfaces through climate control.
By creating the conditions for an altered microclimate that can be obtained by introducing a heat insulating layer and by ensuring a substrate behind the plaster has a proper pore structure, salt transport to the surface can be slightly reduced. At the same time, the brickwork must be intact in order to reduce water absorption and thus the need for evaporation inwards.
The exterior brickwork materials need to be appropriate and compatible with each other as well as compatible with the original masonry material. They need a suitable pore structure for both moisture transport and frost resistance, and they need moisture and temperature expansion capabilities that can prevent cracking. Research issues relating to the compatibility of repair materials for neo-Gothic brick buildings need to be studied more closely in the future.
Salts deposited internally on wall surfaces move by means of moisture transport into the masonry. As the masonry can absorb a lot of moisture, the salts dissolve and move with the drying water towards a surface. Through temperature changes in the masonry as well as in the surrounding air in combination with high relative humidity, salts in the masonry will often exceed their crystallization thresholds, with repeated damage as a result. With salts such as sodium sulphate, it is not possible to control the indoor climate in order to completely avoid salt crystallization. Instead, the effect of the damage can be minimised by using appropriate and compatible materials when renovating the walls in question.
Maintenance-free materials do not exist, but materials can be more or less complicated to maintain. It is important for maintenance of the brickwork to be easy and manageable, and no measures should aggravate or cause further damage. When choosing brick, mortar, pointing mortar, render and plaster for the renovation of historic masonry walls, it is of the utmost importance to have an understanding of the complex functions of the masonry. The results of the case studies showed that hemp-lime could be a good option for use as a sacrificial plaster on salt-damaged masonry walls. The results from the case study and laboratory study to date have led to full-scale-studies of hemp-lime plaster beneath the internal lime plaster on salt-damaged brick masonry walls. A follow-up is planned in 2021–2022.
This type of neo-Gothic masonry will continue to have some degree of frost and salt-related moisture problems. Careful maintenance planning covering at least the next 50 years is therefore essential. Above all, these buildings require well-planned continuous maintenance of the masonry with damaged material being replaced with appropriate, compatible materials.
Author Contributions
Conceptualisation, K.B.; methodology, K.B. and P.S.-d.B.; software, K.B.; validation, K.B. and P.S.-d.B.; formal analysis, K.B.; investigation, K.B. and P.S.-d.B.; resources, K.B. and P.S.-d.B.; data curation, K.B. and P.S.-d.B.; writing—original draft preparation, K.B.; writing—review and editing, P.S.-d.B. and K.B.; visualisation, K.B.; project administration, P.S.-d.B.; funding acquisition, P.S.-d.B. and K.B. All authors have read and agreed to the published version of the manuscript.
Funding
This research was funded by the Swedish Energy Agency through the Spara och Bevara research programme, grant number 42308-2. The role of this funding source was strictly financial. During the course of the project, two seminars were held as part of the research programme, where the outline of the project and some preliminary results were presented.
Acknowledgments
The case studies that this paper refers to are mainly projects financed by the Swedish Church, and we gratefully acknowledge their help. This work would not have been possible without the help of mason Henrik Nilsson and technical staff Bengt Nilsson (in memoriam) and Stefan Backe. Their help is gratefully acknowledged. Our thanks go also to Petrolab in Redruth, UK for preparing samples and Jan-Erik Lindqvist for help with the analysis of polarisation microscope results.
Conflicts of Interest
The authors declare no conflict of interest. The funders had no role in the design of the study, the collection, analysis, or interpretation of data, the writing of the manuscript or the decision to publish the results.
References
- Paulsson, G. Hantverkets bok 4 Mureri; Lindfors: Stockholm, Sweden, 1936. [Google Scholar]
- Andersson, E. Fuktproblematik i Oputsade Sten- och tegelkyrkor i Göteborgs Stift: Projektrapport 2010; Göteborgs Stift: Gothenburg, Sweden, 2010; ISBN 978-91-978433-6-2. [Google Scholar]
- Balksten, K.; Lindholm, M.; Lange, J. Increased salt and frost damages in solid neo-Gothic brickwork masonry due to low permeable restoration materials of the 20th century. In Proceedings of the 9th International Masonry Conference, Guimarães, Portugal, 7–9 July 2014; University of Minho: Guimarães, Portugal, 2014. [Google Scholar]
- Balksten, K.; Lange, J.; Lindholm, M. Fuktproblem i Salt och Frostskadat Tegelmurverk—Fördjupad Analys av Örgryte nya Kyrka; Göteborgs Stift: Gothenburg, Sweden, 2012. [Google Scholar]
- Balksten, K. Högsäters Kyrka; Fördjupad Förundersökning av Fukt- och Saltskadat Tegelmurverk; The Church of Sweden: Munkedal, Sweden, 2017. [Google Scholar]
- Balksten, K.; Lindholm, M.; Rodin, A. Gödestads Kyrka. Förundersökning & Åtgärdsprogram för Underhåll; The Church of Sweden: Munkedal/Gothenburg, Sweden, 2018. [Google Scholar]
- Eklind, Å. Saltvittring i Äldre Tegelmurverk: Tekniska Problem och Metod att Förhindra Saltvittring; Swedish Council for Building Research [Statens råd för byggnadsforskning]: Stockholm, Sweden, 1983. [Google Scholar]
- Granholm, H. Om Vattengenomslag i Murade Väggar med Särskild Hänsyn till Tegel som Fasadmaterial; Gumpert: Gothenburg, Sweden, 1958. [Google Scholar]
- Fagerlund, G. Kritiska Vattenmättnadsgrader i Samband Med Frysning av porösa och Spröda Material; LTH, Lund University: Lund, Sweden, 1972. [Google Scholar]
- Pühringer, J. Salt Disintegration: Salt Migration and Degradation by Salt: A Hypothesis; Swedish Council for Building Research [Statens råd för byggnadsforskning]: Stockholm, Sweden, 1983; ISBN 9154040019. [Google Scholar]
- Carlsson, T. Luftporstrukturens inverkan på egenskaperna hos puts- och murbruk; Division of Building Materials, LTH, Lund University: Lund, Sweden, 1995. [Google Scholar]
- von Konow, T.; Suomenlinnan hoitokunta. The Study of Salt Deterioration Mechanisms: Decay of Brick Walls Influenced by Interior Climate Changes; Governing Body of Suomenlinna: Helsinki, Finland, 2002; ISBN 951-9437-29-0. [Google Scholar]
- Freedland, J. Soluble Salts in Porous Materials: Evaluating Effectiveness of Their Removal. Master’s Thesis, University of Pennsylvania, Philadelphia, PA, USA, 1999. [Google Scholar]
- Rodriguez-Navarro, C.; Doehne, E. Salt weathering: Influence of evaporation rate, supersaturation and crystallization pattern. Earth Surf. Process. Landf. 1999, 24, 191–209. [Google Scholar] [CrossRef]
- Rodriguez-Navarro, C.; Doehne, E.; Sebastian, E. How does sodium sulfate crystallize? Implications for the decay and testing of building materials. Cem. Concr. Res. 2000, 30, 1527–1534. [Google Scholar] [CrossRef]
- Flatt, R.J. Salt damage in porous materials: How high supersaturations are generated. J. Cryst. Growth 2002, 242, 435–454. [Google Scholar] [CrossRef]
- Rijniers, L.A. Salt Crystallization in Porous Materials: An NMR Study. Ph.D. Thesis, Eindhoven University of Technology, Eindhoven, The Netherlands, 2004. [Google Scholar]
- Forster, A. Binder loss in traditional mass masonry: A cause for concern? Struct. Surv. 2007, 25, 148–170. [Google Scholar] [CrossRef]
- Steiger, M.; Asmussen, S. Crystallization of sodium sulfate phases in porous materials: The phase diagram Na2SO4–H2O and the generation of stress. Geochim. Cosmochim. Acta 2008, 72, 4291–4306. [Google Scholar] [CrossRef]
- Shahidzadeh-Bonn, N.S.; Bertrand, F.; Bonn, D. Damage due to salt crystallization in porous media. arXiv 2009, arXiv:0906.2502. [Google Scholar] [CrossRef] [PubMed]
- Shahidzadeh-Bonn, N.; Desarnaud, J.; Bertrand, F.; Chateau, X.; Bonn, D. Damage in porous media due to salt crystallization. Phys. Rev. E 2010, 81, 066110. [Google Scholar] [CrossRef] [PubMed]
- Laue, S.; Schaab, C. Mitigation of salt damages by climate stabilization and salt extractions in the Crypt of St. Maria im Kapitol, Cologne. In Proceedings of the SWBSS 2011—Salt Weathering on Buildings and Stone Sculpture, Limassol, Cyprus, 19–22 October 2011; Ioannou, I., Theodoridou, M., Eds.; University of Cyprus: Nicosia, Cyprus, 2011; pp. 129–136. [Google Scholar]
- Zehnder, K.; Arnold, A. Crystal growth in salt efflorescence. J. Cryst. Growth 1989, 97, 513–521. [Google Scholar] [CrossRef]
- Scherer, G.W. Crystallization in pores. Cem. Concr. Res. 1999, 29, 1347–1358. [Google Scholar] [CrossRef]
- Lewin, S.Z. The mechanism of masonry decay through crystallization. In Conservation of Historic Stone Buildings and Monuments: Report of the Committee on Conservation of Historic Stone Buildings and Monuments; National Academies Press: Washington, DC, USA, 1982; pp. 120–144. [Google Scholar]
- Lubelli, B.; De Rooij, M.R. NaCl crystallization in restoration plasters. Constr. Build. Mater. 2009, 23, 1736–1742. [Google Scholar] [CrossRef]
- Granneman, S.J.; Lubelli, B.; Van Hees, R.P. Mitigating salt damage in building materials by the use of crystallization modifiers—a review and outlook. J. Cult. Herit. 2019, 40, 183–194. [Google Scholar] [CrossRef]
- Lubelli, B.; Cnudde, V.; Diaz-Goncalves, T.; Franzoni, E.; Van Hees, R.P.J.; Ioannou, I.; Menendez, B.; Nunes, C.; Siedel, H.; Stefanidou, M.; et al. Towards a more effective and reliable salt crystallization test for porous building materials: State of the art. Mater. Struct. 2018, 51, 55. [Google Scholar] [CrossRef]
- Koniorczyk, M.; Konca, P. Experimental and numerical investigation of sodium sulphate crystallization in porous materials. Heat Mass Transf. 2012, 49, 437–449. [Google Scholar] [CrossRef]
- Espinosa-Marzal, R.M.; Scherer, G.W. Advances in understanding damage by salt crystallization. Acc. Chem. Res. 2010, 43, 897–905. [Google Scholar] [CrossRef]
- Koniorczyk, M.; Gawin, D.; Schrefler, B.A. Multiphysics model for spalling prediction of brick due to in-pore salt crystallization. Comput. Struct. 2018, 196, 233–245. [Google Scholar] [CrossRef]
- La Iglesia, A.; González, V.; Lopez-Acevedo, V.; Viedma, C. Salt crystallization in porous construction materials. 1. Estimation of crystallization pressure. J. Cryst. Growth 1997, 177, 111–118. [Google Scholar] [CrossRef]
- Coussy, O. Deformation and stress from in-pore drying-induced crystallization of salt. J. Mech. Phys. Solids 2006, 54, 1517–1547. [Google Scholar] [CrossRef]
- Koniorczyk, M.; Gawin, D. Modelling of salt crystallization in building materials with microstructure—Poromechanical approach. Constr. Build. Mater. 2012, 36, 860–873. [Google Scholar] [CrossRef]
- Espinosa, R.; Franke, L.; Deckelmann, G. Model for the mechanical stress due to the salt crystallization in porous materials. Constr. Build. Mater. 2008, 22, 1350–1367. [Google Scholar] [CrossRef]
- Benavente, D.; Linares-Fernández, L.; Cultrone, G.; Sebastián, E. Influence of microstructure on the resistance to salt crystallisation damage in brick. Mater. Struct. 2006, 39, 105–113. [Google Scholar] [CrossRef]
- Hendrickx, R.; De Clercq, H.; Roels, S.; Vanhellemont, Y.; Herinckx, S. Experimental investigation of the influence of precipitated salts on the liquid transport properties of brick using an organic fluid. In Proceedings of the SWBSS 2011, Limassol, Cyprus, 19–22 October 2011; pp. 55–62. [Google Scholar]
- Stryszewska, T.; Matysek, P.; Kańka, S.; Witkowski, M. The influence of water saturation on mechanical properties of ceramic bricks—tests on 19th century and contemporary bricks. Mater. Construcción 2016, 66, e095. [Google Scholar] [CrossRef]
- Stryszewska, T.; Kanka, S. The effects of salt crystallization in ceramic bricks in terms of line deformations. In Proceedings of the International Conference on Analystical Models and new Concepts in Concrete and Masonry Structures, Gliwice, Poland, 5–7 June 2017; Kubica, J., Ed.; Elsevier Procedia Engineering: Amsterdam, The Netherlands, 2017; Volume 193, pp. 120–127. [Google Scholar]
- Arizzi, A.; Viles, H.A.; Cultrone, G. Experimental testing of the durability of lime-based mortars used for rendering historic buildings. Constr. Build. Mater. 2012, 28, 807–818. [Google Scholar] [CrossRef]
- Fagerlund, G. Critical Degrees of Saturation at Freezing of Porous and Brittle Materials. Ph.D. Thesis, Lund University, Lund, Sweden, 1973. [Google Scholar]
- Fagerlund, G. Significance of Critical Degrees of Saturation at Freezing of Porous and Brittle Materials: Contribution to ACI-Symposium Durability of Concrete, Ottawa October 1973; Former Dept of Building Technology [Tid. Institutionen för byggnadsteknik] LTH, Lund University: Lund, Sweden, 1973. [Google Scholar]
- Koniorczyk, M.; Gawin, D.; Schrefler, B.A. Modeling evolution of frost damage in fully saturated porous materials exposed to variable hygro-thermal conditions. Comput. Methods Appl. Mech. Eng. 2015, 297, 38–61. [Google Scholar] [CrossRef]
- Stryszewska, T.; Kańka, S. Forms of damage of bricks subjected to cyclic freezing and thawing in actual conditions. Materials 2019, 12, 1165. [Google Scholar] [CrossRef]
- Balksten, K. Traditional Lime Mortar and Plaster: Reconstruction with Emphasis on Durability. Ph.D. Thesis, Chalmers University of Technology, Gothenburg, Sweden, 2007. [Google Scholar]
- von Konow, T. Restaurering och Reparation Med Puts- och Murbruk; Åbo Akademi: Åbo, Finland, 1997; ISBN 9529616791. [Google Scholar]
- Desarnaud, J.; Bonn, D.; Shahidzadeh, N. The pressure induced by salt crystallization in confinement. Sci. Rep. 2016, 6, 30856. [Google Scholar] [CrossRef] [PubMed]
- Grementieri, L.; Molari, L.; Derluyn, H.; Desarnaud, J.; Cnudde, V.; Shahidzadeh, N.; De Miranda, S. Numerical simulation of salt transport and crystallization in drying Prague sandstone using an experimentally consistent multiphase model. Build. Environ. 2017, 123, 289–298. [Google Scholar] [CrossRef]
- Lindström, N.; Heitmann, N.; Linnow, K.; Steiger, M. Crystallization behavior of NaNO3–Na2SO4 salt mixtures in sandstone and comparison to single salt behavior. Appl. Geochem. 2015, 63, 116–132. [Google Scholar] [CrossRef]
- Franković, M.; Novaković, N.; Erić, S.; Vulić, P.; Matović, V. Investigation of salts sources at the Karadjordje’s Gate on the Belgrade Fortress. In Proceedings of the SWBSS 2017, Potsdam, Germany, 20–22 September 2017; Laue, S., Ed.; Verlag der Fachhochschule Potsdam: Potsdam, Germany, 2017; pp. 252–260. [Google Scholar]
- Golež, M.; Siedel, H.; Drnovšek, S. Attack of marine salts on the church of St. Mary of Health in Piran, Slovenia: Material deterioration and conservation strategies. In Proceedings of the SWBSS 2011, Limassol, Cyprus, 19–22 October 2011; pp. 137–144. [Google Scholar]
- Madureira, M.C.V.; Begonha, A. Salt weathering in the Monastery of Serra do Pilar in Vila Nova de Gaia, Portugal. In Proceedings of the SWBSS 2011, Limassol, Cyprus, 19–22 October 2011; pp. 121–128. [Google Scholar]
- Török, Á.; Galambos, É.; Józsa, Z.; Kriston, L.; Bóna, I.; Csányi, E.; Szemerey-Kiss, B.; Méreyné-Bán, B. Salt efflourescence and subfluorescence in Baroque frescos and the role of bat droppings in the decay wall paintings. In Proceedings of the SWBSS 2011, Limassol, Cyprus, 19–22 October 2011; pp. 97–104. [Google Scholar]
- Desarnaud, J.; Bertran, F.; Shahidzadeh-Bonn, N. Dynamics of salt crystallization. In Proceedings of the SWBSS 2011, Limassol, Cyprus, 19–22 October 2011; pp. 23–30. [Google Scholar]
- Eriksson, A. Murtegel och Tegelmurverk ur Byggnadsteknisk Synpunkt; Swedish Brick Industry Association [Sveriges tegelindustriförening]: Stockholm, Sweden, 1932. [Google Scholar]
- Balksten, K.; Mebus, U. Bruk av Ruiner—Kulturarv, Konstruktion, Kalkbruk, Komfort och Kalsonger; Fornsalens Förlag, Gotlands Museum: Visby, Sweden, 2012. [Google Scholar]
- Balksten, K.; Strandberg-de Bruijn, P.B. Hampakalk: Tilläggsisolering på Reveterade Trähus och Saltskadat Tegelmurverk: Research Report 2019; Lund University: Lund, Sweden, 2019; ISBN 9789178950348. [Google Scholar]
- von Rothstein, E. Allmänna Byggnadsläran; Beijers förlag: Stockholm, Sweden, 1890. [Google Scholar]
- Stål, C. Utkast till Allmän Byggnadslära. Fahlun, Sweden. 1854. Available online: https://gupea.ub.gu.se/handle/2077/41760 (accessed on 11 February 2021).
- Henström, A. Praktisk Handbok i Landtbyggnads-Konsten: Innefattande Läran om Byggnadsmaterialierna, Bygnadsmaterialiernas Bearbetning och Sammanfogning, Byggnadsdelarnes Form, Dimensioner och Styrka; Beijer: Örebro, Sweden, 1869. [Google Scholar]
- Maes, M.; De Belie, N. Resistance of concrete and mortar against combined attack of chloride and sodium sulphate. Cem. Concr. Compos. 2014, 53, 59–72. [Google Scholar] [CrossRef]
- Price, C.; Brimblecombe, P. Preventing salt damage in porous materials. Stud. Conserv. 1994, 39, 90–93. [Google Scholar] [CrossRef]
- Burström, P.G.; Nilvér, K. Byggnadsmaterial—Tillverkning, Egenskaper och Användning, 3rd ed.; Studentlitteratur AB: Lund, Sweden, 2018. [Google Scholar]
- Verney-Carron, A.; Saheb, M.; Ben Amor, Y.; Balland, C. Correlation between Black Crust Formation on Limestone Monuments and Air Pollution; hal-02277446, Barcelone, France; Available online: https://hal.archives-ouvertes.fr/hal-02277446 (accessed on 11 February 2021)2019.
- Graue, B.; Siegesmund, S.; Simon, K.; Licha, T.; Oyhantcabal, P.; Middendorf, B. Environmental impact on stone decay: Crust formation at the Cologne Cathedral. In Proceedings of the 12th International Congress on the Deterioration and Conservation of Stone, New York, NY, USA, 21–25 October 2012. [Google Scholar]
- Tsui, N.; Flatt, R.J.; Scherer, G.W. Crystallization damage by sodium sulfate. J. Cult. Herit. 2003, 4, 109–115. [Google Scholar] [CrossRef]
- Grahn Andersson, A. Salter i Porösa Oorganiska Byggnadsmaterial. Bachelor Thesis, Högskolan på Gotland, Visby, Sweden, 2008. [Google Scholar]
- Klenz Larsen, P. Desalination of Painted Bick Vaults. Ph.D. Thesis, Technical University of Denmark, Kongens Lyngby, Denmark, 1999. [Google Scholar]
- Schwarz, H.-J. Salt Wiki. Available online: www.saltwiki.net (accessed on 1 March 2020).
- López-Acevedo, V.; Viedma, C.; Gonzalez, V.; La Iglesia, A. Salt crystallization in porous construction materials. 2. Mass transport and crystallization processes. J. Cryst. Growth 1997, 182, 103–110. [Google Scholar] [CrossRef]
- Camuffo, D.; Bertolin, C.; Amore, C.; Bergonzini, A.; Brimblecombe, P. Thenardite-Mirabilite cycles in historical buildings. In Proceedings of the 9th Indoor Air Quality Meeting, Chalon-Sur-Saone, France, 21–23 April 2010. [Google Scholar]
- Broström, T.; Leijonhufvud, G. The Indoor Climate in Skokloster Castle. In Historical Buildings as Museums: Systems for Climate Control and Heritage Preservation; Nardini Editore: Florence, Italy, 2010; pp. 84–93. [Google Scholar]
- Kjellin, E.; Hökerberg, O. Byggnadskonsten, dess Teori, Juridik och Praktik; Hökerberg: Stockholm, Sweden, 1928. [Google Scholar]
- Kreüger, H. Om Murbruk och Tegelmurverk; Tekniskt Bibliotek: Stockholm, Sweden, 1916. [Google Scholar]
- De Bruijn, P.; Johansson, P. Moisture fixation and thermal properties of lime–hemp concrete. Constr. Build. Mater. 2013, 47, 1235–1242. [Google Scholar] [CrossRef]
- Collet, F.; Pretot, S. Thermal conductivity of hemp concretes: Variation with formulation, density and water content. Constr. Build. Mater. 2014, 65, 612–619. [Google Scholar] [CrossRef]
- Gourlay, E.; Glé, P.; Marceau, S.; Foy, C.; Moscardelli, S. Effect of water content on the acoustical and thermal properties of hemp concretes. Constr. Build. Mater. 2017, 139, 513–523. [Google Scholar] [CrossRef]
- Page, J.; Sonebi, M.; Amziane, S. Design and multi-physical properties of a new hybrid hemp-flax composite material. Constr. Build. Mater. 2017, 139, 502–512. [Google Scholar] [CrossRef]
- Arnaud, L.; Gourlay, E. Experimental study of parameters influencing mechanical properties of hemp concretes. Constr. Build. Mater. 2012, 28, 50–56. [Google Scholar] [CrossRef]
- Collet, F.; Bart, M.; Serres, L.; Miriel, J. Porous structure and water vapour sorption of hemp-based materials. Constr. Build. Mater. 2008, 22, 1271–1280. [Google Scholar] [CrossRef]
Publisher’s Note: MDPI stays neutral with regard to jurisdictional claims in published maps and institutional affiliations. |
© 2021 by the authors. Licensee MDPI, Basel, Switzerland. This article is an open access article distributed under the terms and conditions of the Creative Commons Attribution (CC BY) license (http://creativecommons.org/licenses/by/4.0/).























