Shape Memory Polymeric Materials for Biomedical Applications: An Update
Abstract
1. Introduction
1.1. Shape Memory Polymers (SMPs)
1.1.1. Structures and Mechanism of SMPs
1.1.2. Classification of SMPs
2. Filler-Enhanced Shape Memory Properties
3. Biomedical Applications of SMPs
3.1. General Medicine
3.2. Drug Delivery
3.3. Regenerative Medicine
3.4. Neuromedicine
3.5. Orthopedics
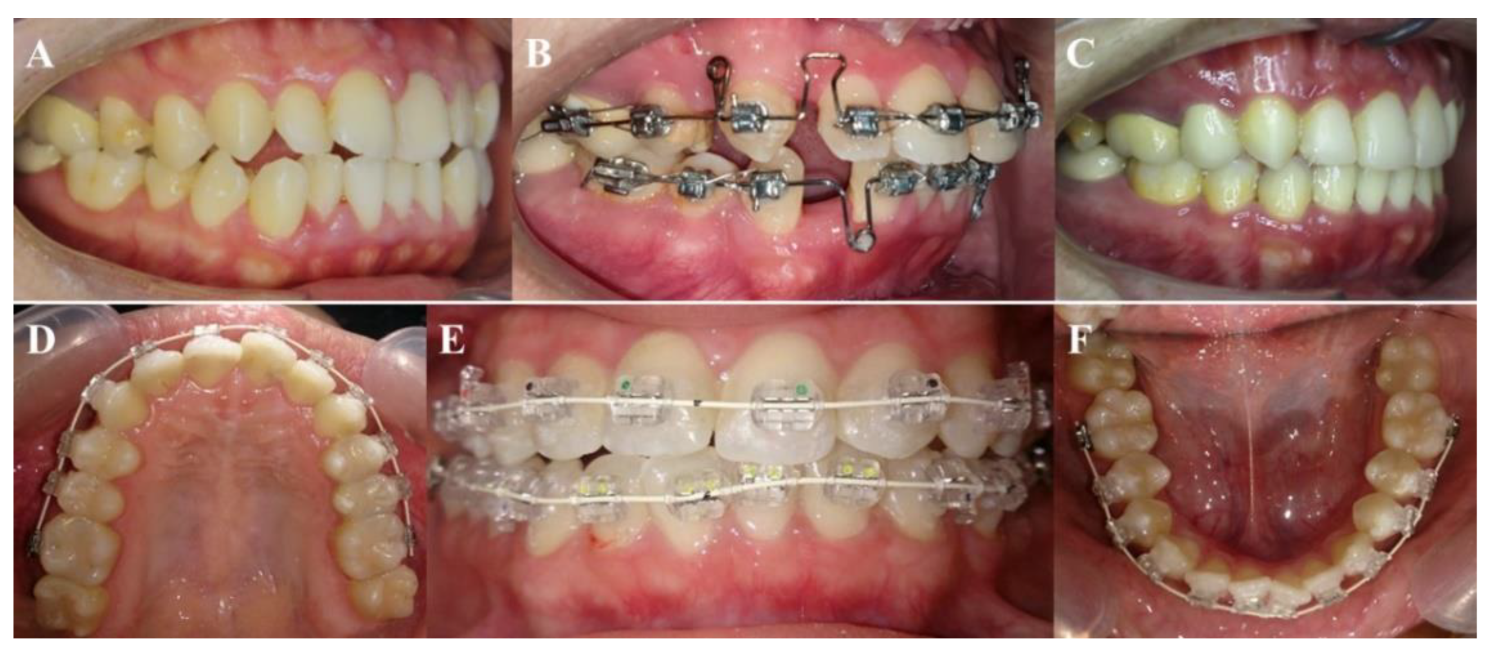
3.6. Dentistry
3.7. Cancer Treatment
3.8. Biocompatible Protective Coating
3.9. Other Applications
4. Shape Memory Composites (SMCs)
5. Conclusions
Author Contributions
Funding
Data Availability Statement
Conflicts of Interest
References
- Akay, M. Introduction to Polymer Science and Technology; Bookboon: London, UK, 2012. [Google Scholar]
- Thakur, V.K.; Thakur, M.K. Eco-Friendly Polymer Nanocomposites; Springer: New Delhi, India, 2015; Volume 51. [Google Scholar]
- Kaojin, W.; Satu, S.; Zhu, X.X. A mini review: Shape memory polymers for biomedical applications. Front. Chem. Sci. Eng. 2017, 11, 143–153. [Google Scholar]
- Wang, S.; Li, X.; Wu, H.; Tian, Z.; Xin, Q.; He, G.; Peng, D.; Chen, S.; Yin, Y.; Jiang, Z. Advances in high permeability polymer-based membrane materials for co 2 separations. Energy Environ. Sci. 2016, 9, 1863–1890. [Google Scholar] [CrossRef]
- Martins, P.; Lanceros-Méndez, S. Polymer-based magnetoelectric materials. Adv. Funct. Mater. 2013, 23, 3371–3385. [Google Scholar] [CrossRef]
- Rokaya, D.; Singh, A.K.; Sanohkan, S.; Nayar, S. Advanced polymers for craniomaxillofacial reconstruction. In Specialty Polymers. Fundamentals, Properties, Applications and Advances, 1st ed.; Gupta, R.K., Ed.; CRC Press: Boca Raton, FL, USA, 2023; p. 488. [Google Scholar]
- Li, G.; Shrotriya, V.; Huang, J.; Yao, Y.; Moriarty, T.; Emery, K.; Yang, Y. High-efficiency solution processable polymer photovoltaic cells by self-organization of polymer blends. Nat. Mater. 2005, 4, 864–868. [Google Scholar] [CrossRef]
- Miao, C.; Hamad, W.Y. Cellulose reinforced polymer composites and nanocomposites: A critical review. Cellulose 2013, 20, 2221–2262. [Google Scholar] [CrossRef]
- Pisani, S.; Genta, I.; Modena, T.; Dorati, R.; Benazzo, M.; Conti, B. Shape-memory polymers hallmarks and their biomedical applications in the form of nanofibers. Int. J. Mol. Sci. 2022, 23, 1290. [Google Scholar] [CrossRef] [PubMed]
- Delaey, J.; Dubruel, P.; Van Vlierberghe, S. Shape-memory polymers for biomedical applications. Adv. Funct. Mater. 2020, 30, 1909047. [Google Scholar] [CrossRef]
- Zulkifli, Z.; Tan, J.J.; Ku Marsilla, K.I.; Rusli, A.; Abdullah, M.K.; Shuib, R.K.; Shafiq, M.D.; Abdul Hamid, Z.A. Shape memory poly (glycerol sebacate)-based electrospun fiber scaffolds for tissue engineering applications: A review. J. Appl. Polym. Sci. 2022, 139, 52272. [Google Scholar] [CrossRef]
- Vakil, A.U.; Petryk, N.M.; Shepherd, E.; Monroe, M.B.B. Biostable shape memory polymer foams for smart biomaterial applications. Polymers 2021, 13, 4084. [Google Scholar] [CrossRef]
- Sokolowski, W.; Metcalfe, A.; Hayashi, S.; Yahia, L.; Raymond, J. Medical applications of shape memory polymers. Biomed. Mater. 2007, 2, S23–S27. [Google Scholar] [CrossRef]
- Liu, C.; Qin, H.; Mather, P. Review of progress in shape-memory polymers. J. Mater. Chem. 2007, 17, 1543–1558. [Google Scholar] [CrossRef]
- Meng, Q.; Hu, J. A review of shape memory polymer composites and blends. Compos. Part A Appl. Sci. Manuf. 2009, 40, 1661–1672. [Google Scholar] [CrossRef]
- Sun, L.; Wang, T.X.; Chen, H.M.; Salvekar, A.V.; Naveen, B.S.; Xu, Q.; Weng, Y.; Guo, X.; Chen, Y.; Huang, W.M. A brief review of the shape memory phenomena in polymers and their typical sensor applications. Polymers 2019, 11, 1049. [Google Scholar] [CrossRef]
- Shahi, K.; Ramachandran, V. Theoretical and experimental investigation of shape memory polymers programmed below glass transition temperature. Polymers 2022, 14, 2753. [Google Scholar] [CrossRef]
- Lendlein, A.; Jiang, H.; Jünger, O.; Langer, R. Light-induced shape-memory polymers. Nature 2005, 434, 879–882. [Google Scholar] [CrossRef] [PubMed]
- Lendlein, A.; Schmidt, A.M.; Schroeter, M.; Langer, R. Shape-memory polymer networks from oligo (ϵ-caprolactone) dimethacrylates. J. Polym. Sci. Part A: Polym. Chem. 2005, 43, 1369–1381. [Google Scholar] [CrossRef]
- Bellin, I.; Kelch, S.; Lendlein, A. Dual-shape properties of triple-shape polymer networks with crystallizable network segments and grafted side chains. J. Mater. Chem. 2007, 17, 2885–2891. [Google Scholar] [CrossRef]
- Zhao, Q.; Qi, H.J.; Xie, T. Recent progress in shape memory polymer: New behavior, enabling materials, and mechanistic understanding. Prog. Polym. Sci. 2015, 49–50, 79–120. [Google Scholar] [CrossRef]
- Alteheld, A.; Feng, Y.; Kelch, S.; Lendlein, A. Biodegradable, amorphous copolyester-urethane networks having shape-memory properties. Angew. Chem. Int. Ed. 2005, 44, 1188–1192. [Google Scholar] [CrossRef]
- Choi, N.Y.; Kelch, S.; Lendlein, A. Synthesis, shape-memory functionality and hydrolytical degradation studies on polymer networks from poly (rac-lactide)-b-poly (propylene oxide)-b-poly (rac-lactide) dimethacrylates. Adv. Eng. Mater. 2006, 8, 439–445. [Google Scholar] [CrossRef]
- Lendlein, A.; Kelch, S. Shape-memory polymers. Angew. Chem. Int. Ed. 2002, 41, 2034–2057. [Google Scholar] [CrossRef]
- Jingcheng, L.; Reddy, V.S.; Jayathilaka, W.A.D.M.; Chinnappan, A.; Ramakrishna, S.; Ghosh, R. Intelligent polymers, fibers and applications. Polymers 2021, 13, 1427. [Google Scholar] [CrossRef] [PubMed]
- Beloshenko, V.A.; Varyukhin, V.N.; Voznyak, Y.V. The shape memory effect in polymers. Russ. Chem. Rev. 2005, 74, 265–283. [Google Scholar] [CrossRef]
- Ratna, D.; Karger-Kocsis, J. Recent advances in shape memory polymers and composites: A review. J. Mater. Sci. 2008, 43, 254–269. [Google Scholar] [CrossRef]
- Chang, Y.W.; Mishra, J.K.; Cheong, J.H.; Kim, D.K. Thermomechanical properties and shape memory effect of epoxidized natural rubber crosslinked by 3-amino-1, 2, 4-triazole. Polym. Int. 2007, 56, 694–698. [Google Scholar] [CrossRef]
- Rousseau, I.A.; Mather, P.T. Shape memory effect exhibited by smectic-c liquid crystalline elastomers. J. Am. Chem. Soc. 2003, 125, 15300–15301. [Google Scholar] [CrossRef]
- Maitland, D.J.; Metzger, M.F.; Schumann, D.; Lee, A.; Wilson, T.S. Photothermal properties of shape memory polymer micro-actuators for treating stroke. Lasers Surg. Med. 2002, 30, 1–11. [Google Scholar] [CrossRef]
- Small IV, W.; Wilson, T.S.; Benett, W.J.; Loge, J.M.; Maitland, D.J. Laser-activated shape memory polymer intravascular thrombectomy device. Opt. Express 2005, 13, 8204–8213. [Google Scholar] [CrossRef]
- Mohr, R.; Kratz, K.; Weigel, T.; Lucka-Gabor, M.; Moneke, M.; Lendlein, A. Initiation of shape-memory effect by inductive heating of magnetic nanoparticles in thermoplastic polymers. Proc. Natl. Acad. Sci. USA 2006, 103, 3540–3545. [Google Scholar] [CrossRef]
- Buckley, P.R.; McKinley, G.H.; Wilson, T.S.; Small, W.; Benett, W.J.; Bearinger, J.P.; McElfresh, M.W.; Maitland, D.J. Inductively heated shape memory polymer for the magnetic actuation of medical devices. IEEE. Trans. Biomed. Eng. 2006, 53, 2075–2083. [Google Scholar] [CrossRef]
- Yu, Y.; Ikeda, T. Photodeformable polymers: A new kind of promising smart material for micro-and nano-applications. Macromol. Chem. Phys. 2005, 206, 1705–1708. [Google Scholar] [CrossRef]
- Liu, C.; Rousseau, I.A.; Qin, H.; Mather, P.T. In Tailored shape memory polymers: Not all smps are created equal. Proceedings of The First World Congress on Biomimetics, lbuquerque, New Mexico, 9–11 December 2002. [Google Scholar]
- Yang, L.; Lou, J.; Yuan, J.; Deng, J. A review of shape memory polymers based on the intrinsic structures of their responsive switches. RSC Adv. 2021, 11, 28838–28850. [Google Scholar] [CrossRef] [PubMed]
- Vaes, D.; Van Puyvelde, P. Semi-crystalline feedstock for filament-based 3d printing of polymers. Prog. Polym. Sci. 2021, 118, 101411. [Google Scholar] [CrossRef]
- Heinz, D.; Amado, E.; Kressler, J. Polyphilicity—An extension of the concept of amphiphilicity in polymers. Polymers 2018, 10, 960. [Google Scholar] [CrossRef] [PubMed]
- Akca, O.; Okay, O. Shape-memory semicrystalline polymeric materials based on various rubbers. Macromol. Mater. Eng. 2022, 307, 2100776. [Google Scholar] [CrossRef]
- Lin, X.; Zou, W.; Terentjev, E.M. Double networks of liquid-crystalline elastomers with enhanced mechanical strength. Macromolecules 2022, 55, 810–820. [Google Scholar] [CrossRef]
- Hussain, M.; Jull, E.I.L.; Mandle, R.J.; Raistrick, T.; Hine, P.J.; Gleeson, H.F. Liquid crystal elastomers for biological applications. Nanomaterials 2021, 11, 813. [Google Scholar] [CrossRef]
- Dayyoub, T.; Maksimkin, A.V.; Filippova, O.V.; Tcherdyntsev, V.V.; Telyshev, D.V. Shape memory polymers as smart materials: A review. Polymers 2022, 14, 3511. [Google Scholar] [CrossRef]
- Raimo, M. Impact of thermal properties on crystalline structure, polymorphism and morphology of polymer matrices in composites. Materials 2021, 14, 2136. [Google Scholar] [CrossRef]
- Rokicka, J.; Wilpiszewska, K.; Janik, J.; Schmidt, B.; Nikiforov, A.; Volfson, S. Multiblock elastomers tpeaa and tpeea: Physical structure and properties. Materials 2021, 14, 7720. [Google Scholar] [CrossRef]
- Korycki, A.; Garnier, C.; Abadie, A.; Nassiet, V.; Sultan, C.T.; Chabert, F. Poly(etheretherketone)/poly(ethersulfone) blends with phenolphthalein: Miscibility, thermomechanical properties, crystallization and morphology. Polymers 2021, 13, 1466. [Google Scholar] [CrossRef]
- Su, S.; Kopitzky, R.; Tolga, S.; Kabasci, S. Polylactide (pla) and its blends with poly(butylene succinate) (pbs): A brief review. Polymers 2019, 11, 1193. [Google Scholar] [CrossRef]
- Thirtha, V.; Lehman, R.; Nosker, T. Morphological effects on glass transition behavior in selected immiscible blends of amorphous and semicrystalline polymers. Polymer 2006, 47, 5392–5401. [Google Scholar] [CrossRef]
- Fredrickson, G.H.; Xie, S.; Edmund, J.; Le, M.L.; Sun, D.; Grzetic, D.J.; Vigil, D.L.; Delaney, K.T.; Chabinyc, M.L.; Segalman, R.A. Ionic compatibilization of polymers. ACS Polym. Au 2022, 2, 299–312. [Google Scholar] [CrossRef] [PubMed]
- Ikematsu, T.; Kishimoto, Y.; Karaushi, M. Block copolymer bumpers with good shape memory. Japan Patent 2022355, 1990. [Google Scholar]
- Li, F.; Zhang, X.; Hou, J.; Xu, M.; Luo, X.; Ma, D.; Kim, B.K. Studies on thermally stimulated shape memory effect of segmented polyurethanes. J. Appl. Polym. Sci. 1997, 64, 1511–1516. [Google Scholar] [CrossRef]
- Pelrine, R.; Kornbluh, R.; Pei, Q.; Joseph, J. High-speed electrically actuated elastomers with strain greater than 100%. Science 2000, 287, 836–839. [Google Scholar] [CrossRef]
- Nam, J.; Choi, H.; Tak, Y.; Kim, K. Novel electroactive, silicate nanocomposites prepared to be used as actuators and artificial muscles. Sens. Actuator A Phys. 2003, 105, 83–90. [Google Scholar] [CrossRef]
- Zhang, Q.; Li, H.; Poh, M.; Xia, F.; Cheng, Z.-Y.; Xu, H.; Huang, C. An all-organic composite actuator material with a high dielectric constant. Nature 2002, 419, 284–287. [Google Scholar] [CrossRef]
- Hiraoka, K.; Sagano, W.; Nose, T.; Finkelmann, H. Biaxial shape memory effect exhibited by monodomain chiral smectic c elastomers. Macromolecules 2005, 38, 7352–7357. [Google Scholar] [CrossRef]
- Bellin, I.; Kelch, S.; Langer, R.; Lendlein, A. Polymeric triple-shape materials. Proc. Natl. Acad. Sci. USA 2006, 103, 18043–18047. [Google Scholar] [CrossRef] [PubMed]
- Kolesov, I.; Radusch, H. Multiple shape-memory behavior and thermal-mechanical properties of peroxide cross-linked blends of linear and short-chain branched polyethylenes. Express Polym. Lett. 2008, 2, 461–473. [Google Scholar] [CrossRef]
- Liu, Y.; Gall, K.; Dunn, M.L.; McCluskey, P. Thermomechanics of shape memory polymer nanocomposites. Mech. Mater. 2004, 36, 929–940. [Google Scholar] [CrossRef]
- Gall, K.; Dunn, M.L.; Liu, Y.; Finch, D.; Lake, M.; Munshi, N.A. Shape memory polymer nanocomposites. Acta Mater. 2002, 50, 5115–5126. [Google Scholar] [CrossRef]
- Shirole, A.; Sapkota, J.; Foster, E.J.; Weder, C. Shape memory composites based on electrospun poly(vinyl alcohol) fibers and a thermoplastic polyether block amide elastomer. ACS Appl. Mater. Interfaces 2016, 8, 6701–6708. [Google Scholar] [CrossRef]
- González-Jiménez, A.; Bernal-Ortega, P.; Salamanca, F.M.; Valentin, J.L. Shape-memory composites based on ionic elastomers. Polymers 2022, 14, 1230. [Google Scholar] [CrossRef]
- Sun, L.; Huang, W.M.; Ding, Z.; Zhao, Y.; Wang, C.C.; Purnawali, H.; Tang, C. Stimulus-responsive shape memory materials: A review. Mater. Des. 2012, 33, 577–640. [Google Scholar] [CrossRef]
- Lendlein, A. Shape-Memory Polymers; Springer: Berlin/Heidelberg, Germany, 2010; Volume 226. [Google Scholar]
- Rokaya, D.; Srimaneepong, V.; Sapkota, J.; Qin, J.; Siraleartmukul, K.; Siriwongrungson, V. Polymeric materials and films in dentistry: An overview. J. Adv. Res. 2018, 14, 25–34. [Google Scholar] [CrossRef]
- Maitz, M.F. Applications of synthetic polymers in clinical medicine. Biosurf. Biotribol. 2015, 1, 161–176. [Google Scholar] [CrossRef]
- Chan, B.Q.Y.; Low, Z.W.K.; Heng, S.J.W.; Chan, S.Y.; Owh, C.; Loh, X.J. Recent advances in shape memory soft materials for biomedical applications. ACS Appl. Mater. Interfaces 2016, 8, 10070–10087. [Google Scholar] [CrossRef]
- Xu, J.; Song, J. 10—polylactic acid (pla)-based shape-memory materials for biomedical applications. In Shape Memory Polymers for Biomedical Applications; Yahia, L.H., Ed.; Woodhead Publishing: Cambridge, UK, 2015; pp. 197–217. [Google Scholar]
- Anju, S.; Prajitha, N.; Sukanya, V.S.; Mohanan, P.V. Complicity of degradable polymers in health-care applications. Mater. Today Chem. 2020, 16, 100236. [Google Scholar] [CrossRef]
- Mather, P.T.; Liu, C.; Campo, C.J. Blends of amorphous and semicrystalline polymers having shape memory properties. European Patents EP 1 558 671 B1, 2 February 2011. [Google Scholar]
- Raasch, J.; Ivey, M.; Aldrich, D.; Nobes, D.S.; Ayranci, C. Characterization of polyurethane shape memory polymer processed by material extrusion additive manufacturing. Addit. Manuf. 2015, 8, 132–141. [Google Scholar] [CrossRef]
- Rokaya, D.; Kongkiatkamon, S.; Heboyan, A.; Dam, V.V.; Amornvit, P.; Khurshid, Z.; Srimaneepong, V.; Zafar, M.S. 3d-printed biomaterials in biomedical application. In Functional Biomaterials: Drug Delivery and Biomedical Applications; Jana, S., Jana, S., Eds.; Springer: Singapore, 2022; pp. 319–339. [Google Scholar]
- Tang, Z.; Gong, J.; Cao, P.; Tao, L.; Pei, X.; Wang, T.; Zhang, Y.; Wang, Q.; Zhang, J. 3d printing of a versatile applicability shape memory polymer with high strength and high transition temperature. J. Chem. Eng. 2022, 431, 134211. [Google Scholar] [CrossRef]
- Cersoli, T.; Cresanto, A.; Herberger, C.; MacDonald, E.; Cortes, P. 3d printed shape memory polymers produced via direct pellet extrusion. Micromachines 2021, 12, 87. [Google Scholar] [CrossRef] [PubMed]
- Yakacki, C.M.; Shandas, R.; Lanning, C.; Rech, B.; Eckstein, A.; Gall, K. Unconstrained recovery characterization of shape-memory polymer networks for cardiovascular applications. Biomaterials 2007, 28, 2255–2263. [Google Scholar] [CrossRef]
- Wache, H.; Tartakowska, D.; Hentrich, A.; Wagner, M. Development of a polymer stent with shape memory effect as a drug delivery system. J. Mater. Sci. Mater. Med. 2003, 14, 109–112. [Google Scholar] [CrossRef] [PubMed]
- Gall, K.; Yakacki, C.M.; Liu, Y.; Shandas, R.; Willett, N.; Anseth, K.S. Thermomechanics of the shape memory effect in polymers for biomedical applications. J. Biomed. Mater. Res. A 2005, 73, 339–348. [Google Scholar] [CrossRef]
- Rodriguez, J.N.; Yu, Y.J.; Miller, M.W.; Wilson, T.S.; Hartman, J.; Clubb, F.J.; Gentry, B.; Maitland, D.J. Opacification of shape memory polymer foam designed for treatment of intracranial aneurysms. Ann. Biomed. Eng. 2012, 40, 883–897. [Google Scholar] [CrossRef] [PubMed]
- Muschenborn, A.D.; Ortega, J.M.; Szafron, J.M.; Szafron, D.J.; Maitland, D.J. Porous media properties of reticulated shape memory polymer foams and mock embolic coils for aneurysm treatment. Biomed. Eng. Online 2013, 12, 103. [Google Scholar] [CrossRef]
- Tamai, H.; Igaki, K.; Kyo, E.; Kosuga, K.; Kawashima, A.; Matsui, S.; Komori, H.; Tsuji, T.; Motohara, S.; Uehata, H. Initial and 6-month results of biodegradable poly-l-lactic acid coronary stents in humans. Circulation 2000, 102, 399–404. [Google Scholar] [CrossRef]
- Wischke, C.; Behl, M.; Lendlein, A. Drug-releasing shape-memory polymers—the role of morphology, processing effects, and matrix degradation. Expert. Opin. Drug. Deliv. 2013, 10, 1193–1205. [Google Scholar] [CrossRef] [PubMed]
- Tatu, R.; Oria, M.; Pulliam, S.; Signey, L.; Rao, M.B.; Peiro, J.L.; Lin, C.-Y. Using poly(l-lactic acid) and poly(ɛ-caprolactone) blends to fabricate self-expanding, watertight and biodegradable surgical patches for potential fetoscopic myelomeningocele repair. J. Biomed. Mater. Res. Part B Appl. Biomater. 2019, 107, 295–305. [Google Scholar] [CrossRef] [PubMed]
- Wischke, C.; Neffe, A.T.; Lendlein, A. Controlled drug release from biodegradable shape-memory polymers. In Shape-Memory Polymers; Lendlein, A., Ed.; Springer Berlin Heidelberg: Berlin/Heidelberg, Germany, 2010; pp. 177–205. [Google Scholar]
- Wischke, C.; Lendlein, A. Shape-memory polymers as drug carriers—A multifunctional system. Pharm. Res. 2010, 27, 527–529. [Google Scholar] [CrossRef]
- Inverardi, N.; Scalet, G.; Melocchi, A.; Uboldi, M.; Maroni, A.; Zema, L.; Gazzaniga, A.; Auricchio, F.; Briatico-Vangosa, F.; Baldi, F.; et al. Experimental and computational analysis of a pharmaceutical-grade shape memory polymer applied to the development of gastroretentive drug delivery systems. J. Mech. Behav. Biomed. Mater. 2021, 124, 104814. [Google Scholar] [CrossRef]
- Wischke, C.; Neffe, A.T.; Steuer, S.; Lendlein, A. Evaluation of a degradable shape-memory polymer network as matrix for controlled drug release. J. Control. Release. 2009, 138, 243–250. [Google Scholar] [CrossRef] [PubMed]
- Pisani, S.; Calcaterra, V.; Croce, S.; Dorati, R.; Bruni, G.; Genta, I.; Avanzini, A.; Benazzo, M.; Pelizzo, G.; Conti, B. Shape memory engineered scaffold (smes) for potential repair of neural tube defects. React. Funct. Polym. 2022, 173, 105223. [Google Scholar] [CrossRef]
- Ramezani, M.; Monroe, M.B.B. Biostable segmented thermoplastic polyurethane shape memory polymers for smart biomedical applications. ACS Appl. Polym. Mater. 2022, 4, 1956–1965. [Google Scholar] [CrossRef]
- Calvo-Correas, T.; Shirole, A.; Crippa, F.; Fink, A.; Weder, C.; Corcuera, M.A.; Eceiza, A. Biocompatible thermo- and magneto-responsive shape-memory polyurethane bionanocomposites. Mater. Sci. Eng. C 2019, 97, 658–668. [Google Scholar] [CrossRef]
- Asensio, M.; Costa, V.; Nohales, A.; Bianchi, O.; Gómez, A.C.M. Tunable structure and properties of segmented thermoplastic polyurethanes as a function of flexible segment. Polymers 2019, 11, 1910. [Google Scholar] [CrossRef]
- Soto, G.D.; Meiorin, C.; Actis, D.G.; Mendoza Zélis, P.; Moscoso Londoño, O.; Muraca, D.; Mosiewicki, M.A.; Marcovich, N.E. Magnetic nanocomposites based on shape memory polyurethanes. Eur. Polym. J. 2018, 109, 8–15. [Google Scholar] [CrossRef]
- Chakraborty, D.D.; Chakraborty, P. Chapter four—shape-memory polymer composites and their applications. In Smart Polymer Nanocomposites; Bhawani, S.A., Khan, A., Jawaid, M., Eds.; Woodhead Publishing: Cambridge, UK, 2021; pp. 103–115. [Google Scholar]
- Metzger, M.F.; Wilson, T.S.; Schumann, D.; Matthews, D.L.; Maitland, D.J. Mechanical properties of mechanical actuator for treating ischemic stroke. Biomed. Microdevices 2002, 4, 89–96. [Google Scholar] [CrossRef]
- Sharp, A.A.; Panchawagh, H.V.; Ortega, A.; Artale, R.; Richardson-Burns, S.; Finch, D.S.; Gall, K.; Mahajan, R.L.; Restrepo, D. Toward a self-deploying shape memory polymer neuronal electrode. J. Neural Eng. 2006, 3, L23. [Google Scholar] [CrossRef] [PubMed]
- Yakacki, C.M.; Shandas, R.; Safranski, D.; Ortega, A.M.; Sassaman, K.; Gall, K. Strong, tailored, biocompatible shape-memory polymer networks. Adv. Funct. Mater. 2008, 18, 2428–2435. [Google Scholar] [CrossRef] [PubMed]
- do Nascimento, R.O.; Chirani, N. 13—shape-memory polymers for dental applications. In Shape Memory Polymers for Biomedical Applications; Yahia, L.H., Ed.; Woodhead Publishing: Cambridge, UK, 2015; pp. 267–280. [Google Scholar]
- Bruni, A.; Serra, F.G.; Deregibus, A.; Castroflorio, T. Shape-memory polymers in dentistry: Systematic review and patent landscape report. Materials 2019, 12, 2216. [Google Scholar] [CrossRef] [PubMed]
- Lai, W.F.; Oka, K.; Jung, H.S. Advanced functional polymers for regenerative and therapeutic dentistry. Oral Dis. 2015, 21, 550–557. [Google Scholar] [CrossRef]
- Rokaya, D.; Bohara, S.; Srimaneepong, V.; Kongkiatkamon, S.; Khurshid, Z.; Heboyan, A.; Zafar, M.S.; Sapkota, J. Metallic biomaterials for medical and dental prosthetic applications. In Functional Biomaterials: Drug Delivery and Biomedical Applications; Jana, S., Jana, S., Eds.; Springer: Singapore, 2022; pp. 503–522. [Google Scholar]
- Jung, Y.C.; Cho, J.W. Application of shape memory polyurethane in orthodontic. J. Mater. Sci. Mater. Med. 2010, 21, 2881–2886. [Google Scholar] [CrossRef]
- Simon, M.; Keilig, L.; Schwarze, J.; Jung, B.A.; Bourauel, C. Forces and moments generated by removable thermoplastic aligners: Incisor torque, premolar derotation, and molar distalization. Am. J. Orthod. Dentofacial. Orthop. 2014, 145, 728–736. [Google Scholar] [CrossRef]
- Rokaya, D.; Srimaneepong, V.; Hiran-us, S.; Khurshid, Z. 6—alloys for endodontic files and hand instruments. In Biomaterials in Endodontics; Khurshid, Z., Zafar, M.S., Najeeb, S., Eds.; Woodhead Publishing: Cambridge, UK, 2022; pp. 131–168. [Google Scholar]
- Alani, A.; Knowles, J.C.; Chrzanowski, W.; Ng, Y.L.; Gulabivala, K. Ion release characteristics, precipitate formation and sealing ability of a phosphate glass-polycaprolactone-based composite for use as a root canal obturation material. Dent. Mater. 2009, 25, 400–410. [Google Scholar] [CrossRef]
- Elzubair, A.; Elias, C.N.; Suarez, J.C.; Lopes, H.P.; Vieira, M.V. The physical characterization of a thermoplastic polymer for endodontic obturation. J. Dent. 2006, 34, 784–789. [Google Scholar] [CrossRef]
- Lee, H.-T.; Kim, S.-I.; Park, J.M.; Kim, H.-J.; Song, D.-S.; Kim, H.-I.; Wu, H.-G.; Ahn, S.-H. Shape memory alloy (sma)-based head and neck immobilizer for radiotherapy. J. Comput. Des. Eng. 2015, 2, 176–182. [Google Scholar] [CrossRef]
- Hayashi, K.; Nakamura, M.; Sakamoto, W.; Yogo, T.; Miki, H.; Ozaki, S.; Abe, M.; Matsumoto, T.; Ishimura, K. Superparamagnetic nanoparticle clusters for cancer theranostics combining magnetic resonance imaging and hyperthermia treatment. Theranostics 2013, 3, 366–376. [Google Scholar] [CrossRef] [PubMed]
- Craciunescu, O.I.; Thrall, D.E.; Vujaskovic, Z.; Dewhirst, M.W. Magnetic resonance imaging: A potential tool in assessing the addition of hyperthermia to neoadjuvant therapy in patients with locally advanced breast cancer. Int. J. Hyperth. 2010, 26, 625–637. [Google Scholar] [CrossRef] [PubMed]
- Ouchi, S.; Niiyama, E.; Sugo, K.; Uto, K.; Takenaka, S.; Kikuchi, A.; Ebara, M. Shape-memory balloon offering simultaneous thermo/chemotherapies to improve anti-osteosarcoma efficacy. Biomater. Sci. 2021, 9, 6957–6965. [Google Scholar] [CrossRef]
- Rokaya, D.; Srimaneepong, V.; Thunyakitpisal, P.; Qin, J.; Rosa, V.; Sapkota, J. Potential applications of graphene-based nanomaterials in biomedical, dental, and implant applications. In Advances in Dental Implantology Using Nanomaterials and Allied Technology Applications; Chaughule, R.S., Dashaputra, R., Eds.; Springer International Publishing: Cham, Switzerland, 2021; pp. 77–105. [Google Scholar]
- Rokaya, D.; Srimaneepong, V.; Qin, J.; Thunyakitpisal, P.; Siraleartmukul, K. Surface adhesion properties and cytotoxicity of graphene oxide coatings and graphene oxide/silver nanocomposite coatings on biomedical niti alloy. Sci. Adv. Mater. 2019, 11, 1474–1487. [Google Scholar] [CrossRef]
- Pipattanachat, S.; Qin, J.; Rokaya, D.; Thanyasrisung, P.; Srimaneepong, V. Biofilm inhibition and bactericidal activity of niti alloy coated with graphene oxide/silver nanoparticles via electrophoretic deposition. Sci. Rep. 2021, 11, 14008. [Google Scholar] [CrossRef]
- Sethi, J.; Afrin, S.; Karim, Z. Chapter seventeen—smart polymer coatings for protection from corrosion. In Smart Polymer Nanocomposites; Bhawani, S.A., Khan, A., Jawaid, M., Eds.; Woodhead Publishing: Cambridge, UK, 2021; pp. 399–413. [Google Scholar]
- Kausar, A. Shape memory polymer/graphene nanocomposites: State-of-the-art. e-Polymers 2022, 22, 165–181. [Google Scholar] [CrossRef]
- Rokaya, D.; Srimaneepong, V.; Qin, J.; Siraleartmukul, K.; Siriwongrungson, V. Graphene oxide/silver nanoparticle coating produced by electrophoretic deposition improved the mechanical and tribological properties of niti alloy for biomedical applications. J. Nanosci. Nanotechnol. 2019, 19, 3804–3810. [Google Scholar] [CrossRef]
- Shao, Y.; Jia, C.; Meng, G.; Zhang, T.; Wang, F. The role of a zinc phosphate pigment in the corrosion of scratched epoxy-coated steel. Corros. Sci. 2009, 51, 371–379. [Google Scholar] [CrossRef]
- Mirzaee, M.; Rashidi, A.; Zolriasatein, A.; Rezaei Abadchi, M. Corrosion properties of organic polymer coating reinforced two-dimensional nitride nanostructures: A comprehensive review. J. Polym. Res. 2021, 28, 62. [Google Scholar] [CrossRef]
- Adhikari, C. Polymer nanoparticles-preparations, applications and future insights: A concise review. Polym. Plast. Technol. Mater. 2021, 60, 1996–2024. [Google Scholar] [CrossRef]
- Zielińska, A.; Carreiró, F.; Oliveira, A.M.; Neves, A.; Pires, B.; Venkatesh, D.N.; Durazzo, A.; Lucarini, M.; Eder, P.; Silva, A.M.; et al. Polymeric nanoparticles: Production, characterization, toxicology and ecotoxicology. Molecules 2020, 25, 3731. [Google Scholar] [CrossRef]
- Guo, Y.; Lv, Z.; Huo, Y.; Sun, L.; Chen, S.; Liu, Z.; He, C.; Bi, X.; Fan, X.; You, Z. A biodegradable functional water-responsive shape memory polymer for biomedical applications. J. Mater. Chem. B 2019, 7, 123–132. [Google Scholar] [CrossRef] [PubMed]
- Fulati, A.; Uto, K.; Ebara, M. Influences of crystallinity and crosslinking density on the shape recovery force in poly(ε-caprolactone)-based shape-memory polymer blends. Polymers 2022, 14, 4740. [Google Scholar] [PubMed]
- Porter, A.E.; Gass, M.; Muller, K.; Skepper, J.N.; Midgley, P.A.; Welland, M. Direct imaging of single-walled carbon nanotubes in cells. Nat. Nanotechnol. 2007, 2, 713–717. [Google Scholar] [CrossRef]
- Schwartz, J.J.; Porcincula, D.H.; Cook, C.C.; Fong, E.J.; Shusteff, M. Volumetric additive manufacturing of shape memory polymers. Polym. Chem. 2022, 13, 1813–1817. [Google Scholar] [CrossRef]








Disclaimer/Publisher’s Note: The statements, opinions and data contained in all publications are solely those of the individual author(s) and contributor(s) and not of MDPI and/or the editor(s). MDPI and/or the editor(s) disclaim responsibility for any injury to people or property resulting from any ideas, methods, instructions or products referred to in the content. |
© 2023 by the authors. Licensee MDPI, Basel, Switzerland. This article is an open access article distributed under the terms and conditions of the Creative Commons Attribution (CC BY) license (https://creativecommons.org/licenses/by/4.0/).
Share and Cite
Rokaya, D.; Skallevold, H.E.; Srimaneepong, V.; Marya, A.; Shah, P.K.; Khurshid, Z.; Zafar, M.S.; Sapkota, J. Shape Memory Polymeric Materials for Biomedical Applications: An Update. J. Compos. Sci. 2023, 7, 24. https://doi.org/10.3390/jcs7010024
Rokaya D, Skallevold HE, Srimaneepong V, Marya A, Shah PK, Khurshid Z, Zafar MS, Sapkota J. Shape Memory Polymeric Materials for Biomedical Applications: An Update. Journal of Composites Science. 2023; 7(1):24. https://doi.org/10.3390/jcs7010024
Chicago/Turabian StyleRokaya, Dinesh, Hans Erling Skallevold, Viritpon Srimaneepong, Anand Marya, Pravin Kumar Shah, Zohaib Khurshid, Muhammad Sohail Zafar, and Janak Sapkota. 2023. "Shape Memory Polymeric Materials for Biomedical Applications: An Update" Journal of Composites Science 7, no. 1: 24. https://doi.org/10.3390/jcs7010024
APA StyleRokaya, D., Skallevold, H. E., Srimaneepong, V., Marya, A., Shah, P. K., Khurshid, Z., Zafar, M. S., & Sapkota, J. (2023). Shape Memory Polymeric Materials for Biomedical Applications: An Update. Journal of Composites Science, 7(1), 24. https://doi.org/10.3390/jcs7010024

