Knockdown of the Autophagy Protein Beclin-1 Does Not Affect Innate Cytokine Production in Human Lung Epithelial Cells during Respiratory Syncytial Virus Infection
Abstract
:1. Introduction
2. Materials and Methods
2.1. Cell Culture
2.2. Virus Propagation and Titration
2.3. Transient Gene Knockdown Using Short Interfering RNA (siRNA)
2.4. RSV Infection on BEAS-2B Cells
2.5. Lactate Dehydrogenase Cytotoxic Assay
2.6. Western Blot
2.7. Flow Cytometry
2.8. Cytokine Measurement by Enzyme-Linked Immunosorbent Assay (ELISA)
2.9. Statistical Analyses
3. Results
3.1. Cell Viability Is Not Affected by the Knockdown of Bec-1
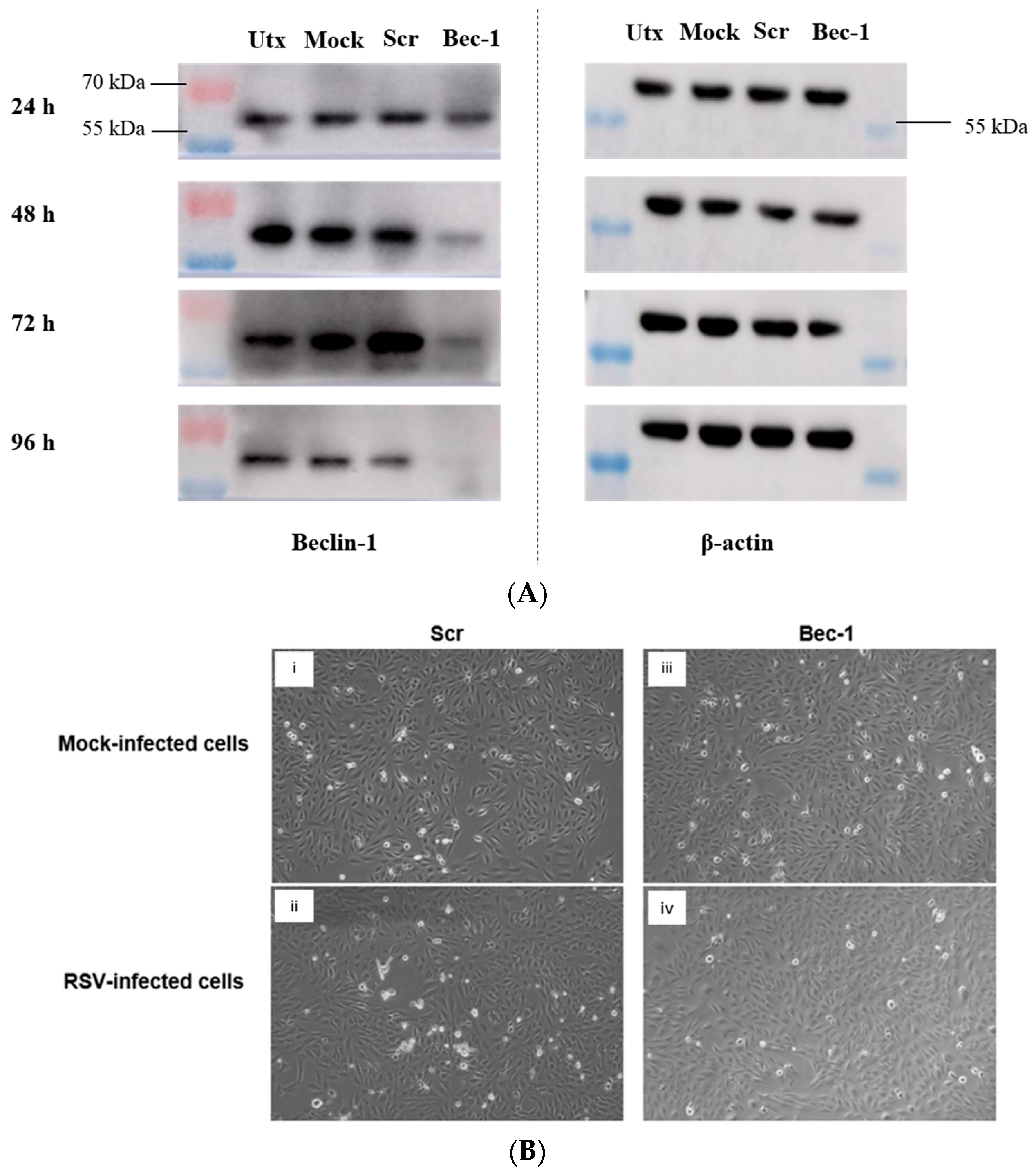
3.2. Bec-1 Knockdown Inhibits RSV-Induced Autophagy in BEAS-2B Lung Epithelial Cells
3.3. Bec-1 Knockdown Does Not Affect RSV-Induced Innate Cytokine Production in Lung Epithelial Cells
4. Discussion
5. Conclusions
Author Contributions
Funding
Informed Consent Statement
Data Availability Statement
Acknowledgments
Conflicts of Interest
References
- Rey-Jurado, E.; Kalergis, A.M. Immunological features of respiratory syncytial virus-caused pneumonia—Implications for vaccine design. Int. J. Mol. Sci. 2017, 18, 556. [Google Scholar] [CrossRef] [PubMed]
- Shi, T.; McAllister, D.A.; O’Brien, K.L.; Simoes, E.A.F.; Madhi, S.A.; Gessner, B.D.; Polack, F.P.; Balsells, E.; Acacio, S.; Aguayo, C.; et al. Global, regional, and national disease burden estimates of acute lower respiratory infections due to respiratory syncytial virus in young children in 2015: A systematic review and modelling study. Lancet 2017, 390, 946–958. [Google Scholar] [CrossRef] [PubMed]
- Karron, R.A. Respiratory Syncytial Virus Vaccines, 7th ed.; Elsevier Inc.: Amsterdam, The Netherlands, 2018. [Google Scholar] [CrossRef]
- Barbati, F.; Moriondo, M.; Pisano, L.; Calistri, E.; Lodi, L.; Ricci, S.; Giovannini, M.; Canessa, C.; Indolfi, G.; Azzari, C. Epidemiology of respiratory syncytial virus-related hospitalization over a 5-year period in Italy: Evaluation of seasonality and age distribution before vaccine introduction. Vaccines 2020, 8, 15. [Google Scholar] [CrossRef] [PubMed]
- Harris, E. FDA Clears RSV Vaccine for Adults Aged 60 Years or Older. JAMA 2023, 329, 1817. [Google Scholar] [CrossRef]
- Hurk, S.v.D.L.-V.D.; Watkiss, E.R. Pathogenesis of respiratory syncytial virus. Curr. Opin. Virol. 2012, 2, 300–305. [Google Scholar] [CrossRef]
- Rossi, G.A.; Colin, A.A. Infantile respiratory syncytial virus and human rhinovirus infections: Respective role in inception and persistence of wheezing. Eur. Respir. J. 2015, 45, 774–789. [Google Scholar] [CrossRef]
- Lee, H.K.; Lund, J.M.; Ramanathan, B.; Mizushima, N.; Iwasaki, A. Autophagy-dependent viral recognition by plasmacytoid dendritic cells. Science 2007, 315, 1398–1401. [Google Scholar] [CrossRef]
- Oh, J.E.; Lee, H.K. Pattern recognition receptors and autophagy. Front. Immunol. 2014, 5, 300. [Google Scholar] [CrossRef]
- Owczarczyk, A.B.; Schaller, M.A.; Reed, M.; Rasky, A.J.; Lombard, D.B.; Lukacs, N.W. Sirtuin 1 Regulates Dendritic Cell Activation and Autophagy during Respiratory Syncytial Virus–Induced Immune Responses. J. Immunol. 2015, 195, 1637–1646. [Google Scholar] [CrossRef]
- Reed, M.; Morris, S.H.; Jang, S.; Mukherjee, S.; Yue, Z.; Lukacs, N.W. Autophagy-Inducing Protein Beclin-1 in Dendritic Cells Regulates CD4 T Cell Responses and Disease Severity during Respiratory Syncytial Virus Infection. J. Immunol. 2013, 191, 2526–2537. [Google Scholar] [CrossRef]
- Morris, S.; Swanson, M.S.; Lieberman, A.; Reed, M.; Yue, Z.; Lindell, D.M.; Lukacs, N.W. Autophagy-Mediated Dendritic Cell Activation Is Essential for Innate Cytokine Production and APC Function with Respiratory Syncytial Virus Responses. J. Immunol. 2011, 187, 3953–3961. [Google Scholar] [CrossRef] [PubMed]
- Pokharel, S.M.; Shil, N.K.; Bose, S. Autophagy, TGF-β, and SMAD-2/3 signaling regulates interferon-β response in respiratory syncytial virus infected macrophages. Front. Cell. Infect. Microbiol. 2016, 6, 174. [Google Scholar] [CrossRef] [PubMed]
- Reed, M.; Morris, S.H.; Owczarczyk, A.B.; Lukacs, N.W. Deficiency of autophagy protein Map1-LC3b mediates IL-17-dependent lung pathology during respiratory viral infection via ER stress-associated IL-1. Mucosal Immunol. 2015, 8, 1118–1130. [Google Scholar] [CrossRef] [PubMed]
- Azman, A.F.; Chia, S.L.; Sekawi, Z.; Yusoff, K.; Ismail, S. Inhibition of autophagy does not affect innate cytokine production in human lung epithelial cells during respiratory syncytial virus infection. Viral Immunol. 2021, 34, 421–426. [Google Scholar] [CrossRef]
- Cao, Y.; Klionsky, D.J. Physiological functions of Atg6/Beclin 1: A unique autophagy-related protein. Cell Res. 2007, 17, 839–849. [Google Scholar] [CrossRef]
- Wirawan, E.; Vande Walle, L.; Kersse, K.; Cornelis, S.; Claerhout, S.; Vanoverberghe, I.; Roelandt, R.; De Rycke, R.; Verspurten, J.; Declercq, W.; et al. Caspase-mediated cleavage of Beclin-1 inactivates Beclin-1-induced autophagy and enhances apoptosis by promoting the release of proapoptotic factors from mitochondria. Cell Death Dis. 2010, 1, e18. [Google Scholar] [CrossRef]
- Zheng, Y.; Tang, Y.; Fu, Y.; He, J.; Wang, X.; Hong, T. Purification of human respiratory syncytial virus fusion glycoprotein. Protein Expr. Purif. 2012, 81, 115–118. [Google Scholar] [CrossRef]
- McKimm-Breschkin, J.L. A simplified plaque assay for respiratory syncytial virus—Direct visualization of plaques without immunostaining. J. Virol. Methods 2004, 120, 113–117. [Google Scholar] [CrossRef]
- Ismail, S.; Stokes, C.A.; Prestwich, E.C.; Roberts, R.L.; Juss, J.K.; Sabroe, I.; Parker, L.C. Phosphoinositide-3 kinase inhibition modulates responses to rhinovirus by mechanisms that are predominantly independent of autophagy. PLoS ONE 2014, 9, e116055. [Google Scholar] [CrossRef]
- Bohmwald, K.; Gálvez, N.M.S.; Canedo-Marroquín, G.; Pizarro-Ortega, M.S.; Andrade-Parra, C.; Gómez-Santander, F.; Kalergis, A.M. Contribution of cytokines to tissue damage during human respiratory syncytial virus infection. Front. Immunol. 2019, 10, 452. [Google Scholar] [CrossRef]
- Reza, M.; Azizi, F.; Othman, N.; Lye, M. Diversity of respiratory viruses detected among hospitalized children with acute lower respiratory tract infections at Hospital Serdang, Malaysia. J. Virol. Methods 2019, 269, 1–6. [Google Scholar]
- Ruck, A.; Attonito, J.; Garces, K.T.; Nuñez, L.; Palmisano, N.J.; Rubel, Z.; Bai, Z.; Nguyen, K.C.; Sun, L.; Grant, B.D.; et al. The Atg6/Vps30/Beclin 1 ortholog BEC-1 mediates endocytic retrograde transport in addition to autophagy in C. elegans. Autophagy 2011, 7, 386–400. [Google Scholar] [CrossRef] [PubMed]
- Russell, C.D.; Unger, S.A.; Walton, M.; Schwarze, J. The human immune response to respiratory syncytial virus infection. Clin. Microbiol. Rev. 2017, 30, 481–502. [Google Scholar] [CrossRef] [PubMed]




Disclaimer/Publisher’s Note: The statements, opinions and data contained in all publications are solely those of the individual author(s) and contributor(s) and not of MDPI and/or the editor(s). MDPI and/or the editor(s) disclaim responsibility for any injury to people or property resulting from any ideas, methods, instructions or products referred to in the content. |
© 2023 by the authors. Licensee MDPI, Basel, Switzerland. This article is an open access article distributed under the terms and conditions of the Creative Commons Attribution (CC BY) license (https://creativecommons.org/licenses/by/4.0/).
Share and Cite
Parameswaran, K.; Azman, A.F.; Chia, S.L.; Yusoff, K.; Ismail, S. Knockdown of the Autophagy Protein Beclin-1 Does Not Affect Innate Cytokine Production in Human Lung Epithelial Cells during Respiratory Syncytial Virus Infection. Trop. Med. Infect. Dis. 2023, 8, 434. https://doi.org/10.3390/tropicalmed8090434
Parameswaran K, Azman AF, Chia SL, Yusoff K, Ismail S. Knockdown of the Autophagy Protein Beclin-1 Does Not Affect Innate Cytokine Production in Human Lung Epithelial Cells during Respiratory Syncytial Virus Infection. Tropical Medicine and Infectious Disease. 2023; 8(9):434. https://doi.org/10.3390/tropicalmed8090434
Chicago/Turabian StyleParameswaran, Kavesha, Amiera Fatin Azman, Suet Lin Chia, Khatijah Yusoff, and Saila Ismail. 2023. "Knockdown of the Autophagy Protein Beclin-1 Does Not Affect Innate Cytokine Production in Human Lung Epithelial Cells during Respiratory Syncytial Virus Infection" Tropical Medicine and Infectious Disease 8, no. 9: 434. https://doi.org/10.3390/tropicalmed8090434
APA StyleParameswaran, K., Azman, A. F., Chia, S. L., Yusoff, K., & Ismail, S. (2023). Knockdown of the Autophagy Protein Beclin-1 Does Not Affect Innate Cytokine Production in Human Lung Epithelial Cells during Respiratory Syncytial Virus Infection. Tropical Medicine and Infectious Disease, 8(9), 434. https://doi.org/10.3390/tropicalmed8090434

