Comparative Analysis of Embryonic Development and Antioxidant Stress Response in Hybrid Grouper (Epinephelus fuscoguttatus ♀ × E. lanceolatus ♂) with Different Ploidy Levels
Abstract
1. Introduction
2. Materials and Methods
2.1. Acquisition of Fertilized Eggs
2.2. Cold Shock Treatment
2.3. Embryo Development Observation
2.4. Karyotype Analysis and Ploidy Identification
2.5. Measurement of Stress Markers
2.6. Statistical Analysis
3. Results
3.1. Fertilization
3.2. Identification of Ploidy of Fertilized Eggs
3.2.1. Karyotype Analysis of Embryos and Juvenile Fish
3.2.2. Determination of the Relative Content of Embryonic DNA
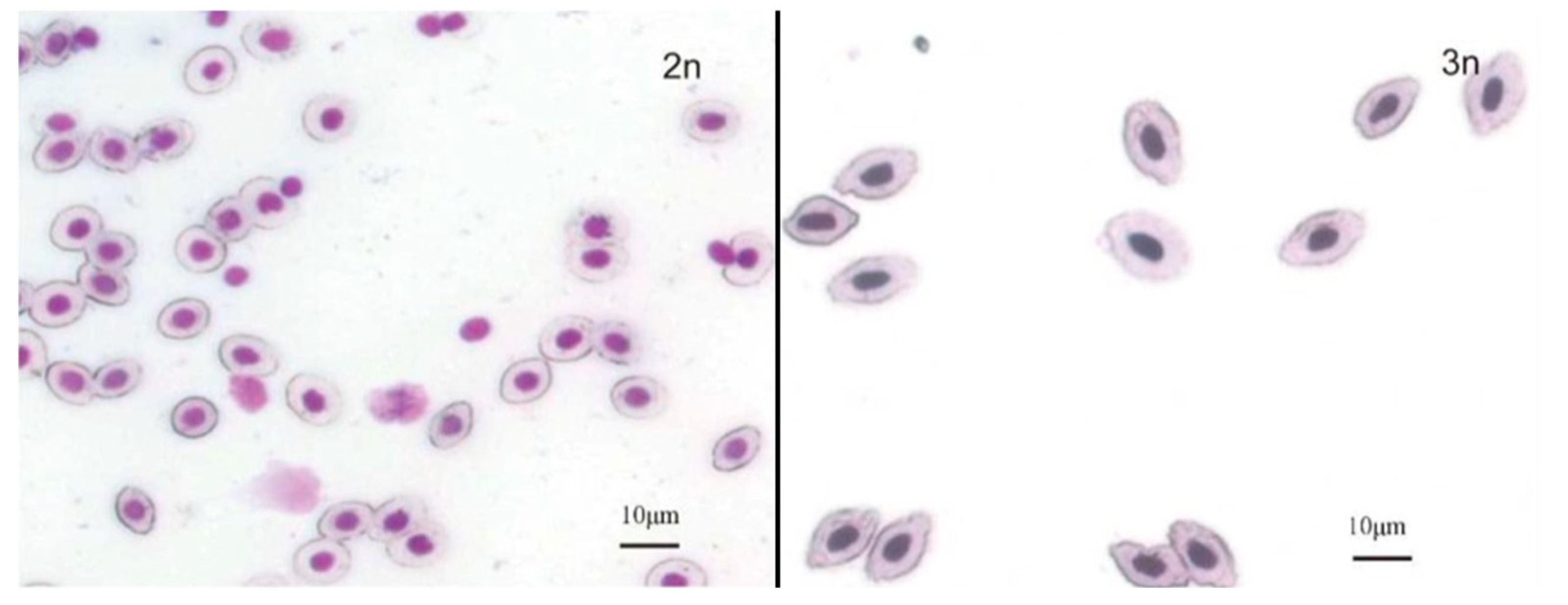
3.2.3. Red Blood Cells and Their Nuclei Size
3.3. Observation of Embryonic Development Process
3.4. Digestive Markers
3.5. Immunological and Antioxidant Index
4. Discussion
4.1. Fertilization and Development Process
4.2. Embryonic Development and Physiological Characteristics
4.3. Ploidy Identification
4.4. Enzyme Analysis
5. Conclusions
Author Contributions
Funding
Institutional Review Board Statement
Data Availability Statement
Conflicts of Interest
References
- Huang, J.; Chen, G.; Zhang, J.; Wang, Z.; Tang, B.; Zhou, H. Effects of Salinity on Fertilized Eggs Hatch, Morphology and Survival Activity of Yolk Sac Larvae of Hybrid Grouper (Epinephelus fuscoguttatus ♀ × Epinephelus polyphekadion ♂). J. Fish. Sci. China 2017, 12–21. [Google Scholar] [CrossRef]
- Olufeagba, S.O.; Moses, Y. Monosex Production of African Catfish, Heterobranchus Longifilis, Through Gynogenesis and Androgenesis. Acad. J. 2011, 3, 65–70. [Google Scholar]
- Hernández-Urcera, J.; Ayala, M.D.; Santaella, M.; Periago, M.J.; López-Albors, O.; Cal, R. Effect of Triploidy on Muscle Cellularity and Flesh Quality of Turbot (Scophthalmus maximus). Aquac. Res. 2017, 48, 3606–3617. [Google Scholar] [CrossRef]
- Pinthong, K.; Tanomtong, A.; Sudmoon, R.; Chaveerach, A.; Tanee, T.; Noikotr, K. Karyotype Analysis of Two Groupers, Epinephelus Species (Serranidae). Caryologia 2014, 67, 63–65. [Google Scholar]
- Karami, A. Effect of Triploidization on Juvenile African Catfish (Clarias gariepinus). Aquac. Int. 2010, 18, 851–858. [Google Scholar] [CrossRef]
- Maxime, V. The Physiology of Triploid Fish: Current Knowledge and Comparisons with Diploid Fish. Fish Fish. 2010, 9, 67–78. [Google Scholar] [CrossRef]
- Lei, Y.; Sun, Y.; Wang, X.; Lin, Z.; Bu, X.; Wang, N. Effect of Dietary Phosphorus on Growth Performance, Body Composition, Antioxidant Activities and Lipid Metabolism of Juvenile Chinese Mitten Crab (Eriocheir sinensis). Aquaculture 2021, 531, 735856. [Google Scholar] [CrossRef]
- Wang, Q.; Fan, C.; Xiuting, H.E.; Cheng, K. Effects of Three Typical Sulfonamides on GST Activity and MDA Content In Liver Tissue of Oreochromis niloticus. Ecol. Environ. 2010, 19, 1014. [Google Scholar]
- Berges, J.A.; Ballantyne, J.S. Size Scaling of Whole-Body Maximal Enzyme Activities in Aquatic Crustaceans. Can. J. Fish. Aquat. Sci. 1991, 48, 2385–2394. [Google Scholar] [CrossRef]
- Kengyel, A.; Bécsi, B.; Kónya, Z.; Sellers, J.R.; Erdődi, F.; Nyitrai, M. Ankyrin Domain of Myosin 16 Influences Motor Function and Decreases Protein Phosphatase Catalytic Activity. Eur. Biophys. J. 2015, 44, 207–218. [Google Scholar] [CrossRef] [PubMed]
- Pierre, S.; Gaillard, S.; Prévot-D’Alvise, N.; Aubert, J.; Rostaing-Capaillon, O.; Leung-Tack, D.; Grillasca, J.P. Grouper Aquaculture: Asian Success and Mediterranean Trials. Aquat. Conserv. 2008, 18, 297–308. [Google Scholar] [CrossRef]
- Guo, C.Y.; Huang, Y.H.; Wei, S.N.; Ouyang, Z.L.; Qin, Q.W. Establishment of A New Cell Line from the Heart of Giant Grouper, Epinephelus lanceolatus (B Loch), and Its Application In Toxicology and Virus Susceptibility. J. Fish Dis. 2015, 38, 175–186. [Google Scholar] [CrossRef]
- Yang, Y.; Wang, T.; Chen, J.; Wu, X.; Wu, L.; Zhang, W.; Luo, J.; Xia, J.; Meng, Z.; Liu, X. First Construction of Interspecific Backcross Grouper and Genome-Wide Identification of Their Genetic Variants Associated with Early Growth. Aquaculture 2021, 545, 737221. [Google Scholar] [CrossRef]
- Féral, J.P. How Useful are The Genetic Markers in Attempts to Understand and Manage Marine Biodiversity? J. Exp. Mar. Biol. Ecol. 2002, 268, 121–145. [Google Scholar] [CrossRef]
- Liu, Y.G.; Chen, S.L.; Li, B.F.; Wang, Z.J.; Liu, Z. Analysis of Genetic Variation in Selected Stocks of Hatchery Flounder, Paralichthys olivaceus, Using AFLP Markers. Biochem. Syst. Ecol. 2005, 33, 993–1005. [Google Scholar] [CrossRef]
- Kiriyakit, A.; Gallardo, W.G.; Bart, A.N. Successful Hybridization of Groupers (Epinephelus coioides × Epinephelus lanceolatus) Using Cryopreserved Sperm. Aquaculture 2011, 320, 106–112. [Google Scholar] [CrossRef]
- Yuan, C. Comparison of Nutritional Compositions in Muscles of Diploid and Triploid Rainbow Trouts (Oncorhynchus mykiss). Acta Nutr. Sin. 2018, 40, 206–208. [Google Scholar]
- Karayucel, I.; Akyüz, A.P.; Dernekba, S. Comparison of Growth Performance, Biochemical and Fatty Acid Compositions Between All-Female Diploid and Triploid Rainbow Trout Oncorhynchus mykiss (Walbaum, 1792). J. Appl. Ichthyol. 2018, 34, 142–148. [Google Scholar] [CrossRef]
- Liu, W.; Wen, Y.; Wang, M.; Gui, S.; Li, X.; Fan, Y.; Yan, X.; Lin, Y.; Sun, Y.; Liu, J.; et al. Enhanced Resistance of Triploid Crucian Carp to Cadmiuminduced Oxidative and Endoplasmic Reticulum Stresses. Curr. Mol. Med. 2018, 18, 400–408. [Google Scholar] [CrossRef] [PubMed]
- Huang, W.; Qin, Q.; Yang, H.; Li, S.; Hu, C.; Wang, Y.; Zhang, Y.; Liu, S.; Lin, H. Formation of Diploid and Triploid Hybrid Groupers (Hybridization of Epinephelus coioides ♀ × Epinephelus lanceolatus ♂) and Their 5S Gene Analysis. BMC Genet. 2016, 17, 136. [Google Scholar] [CrossRef]
- Piferrer, F.; Beaumont, A.; Falguière, J.; Flaj Hans, M.; Haffray, P.; Colombo, L. Polyploid Fish and Shellfish: Production, Biology and Applications to Aquaculture for Performance Improvement and Genetic Containment. Aquaculture 2009, 293, 125–156. [Google Scholar] [CrossRef]
- Song, C.; Liu, S.; Xiao, J.; He, W.; Zhou, Y.; Qin, Q.; Liu, Y. Polyploid Organisms. Sci. China Life Sci. 2012, 55, 301–311. [Google Scholar] [CrossRef]
- Zhou, L.; Gui, J. Natural and Artificial Polyploids in Aquaculture. Aquac. Fish. 2017, 2, 103–111. [Google Scholar] [CrossRef]
- Rimmer, M.A.; Glamuzina, B. A Review of Grouper (Family Serranidae: Subfamily Epinephelinae) Aquaculture from a Sustainability Science Perspective. Rev. Aquac. 2019, 11, 58–87. [Google Scholar] [CrossRef]
- Wu, S.; Zheng, L.; Huang, Z.; Qiu, D.; Xu, C.; Zheng, J.; Qiu, F.; Wu, J.; Liu, Y. Embryonic and Morphological Development in Larva, Juvenile, and Young Stages of Hybrid Grouper (Epinephelus moara ♀ × E. lanceolatus ♂). Fish. Res. 2017, 38, 27. [Google Scholar]
- Zhang, H.; Zhuo, Z.; Chen, L.; Chen, C.; Luo, F.; Chen, Y.; Guo, L.; Qiu, B.; Lin, Z.; Chen, G. Enhanced Performance of a Hyperbranched Rolling Circle Amplification Based Electrochemiluminescence Aptasensor for Ochratoxin a Using an Electrically Heated Indium Tin Oxide Electrode. Electrochem. Commun. 2018, 88, 75–78. [Google Scholar] [CrossRef]
- Chen, G.; Qian, J.; Liu, H.; Tan, B.; Dong, X.; Yang, Q.; Chi, S.; Zhang, S. Metabolic Responses of Hybrid Grouper (Epinephelus fuscoguttatus ♀ × E. lanceolatus ♂) Induced by Different Feeding Modes: Effects on Growth, Serum Biochemical Indices, Intestinal Digestion and Hepatic Metabolism of Glucose And Lipid. Aquac. Res. 2022, 53, 2708–2723. [Google Scholar] [CrossRef]
- Irawanto, Y.E.; Yanuhar, U.; Kurniawan, A. In-Vivo test of Spirulina Sp as Inducer of β-Actin in Cantang Grouper (Epinephelus fuscoguttatus-lanceolatus) Infected by Viral Nervous necrosis. J. Fish. Mar. Res. 2018, 2, 225–234. [Google Scholar] [CrossRef]
- Dahlia; Suprapto, H.; Kusdarwati, R. Isolation and Identification Bacteria on The Seeds Cantang Grouper Epinephelus Sp. from Nursery Pond at Fisheries Center Brackish Water Aquaculture, Situbondo, East Java. J. Aquat. Anim. Health 2017, 6, 57–66. [Google Scholar]
- Kang, M.J.; Noh, C.H.; Kim, J.H.; Park, J.Y. The Embryonic Development and Hatchability of Two Hybrids with Giant Grouper Female: Giant Grouper ♀ × Kelp Grouper ♂ and Giant Grouper ♀ × Red-Spotted Grouper ♂. Can. J. Fish. Aquat. Sci. 2020, 53, 557–562. [Google Scholar]
- Huang, W.; Liu, Q.; Xie, J.; Wang, W.; Xiao, J. Characterization of Triploid Hybrid Groupers from Interspecies Hybridization (Epinephelus coioides ♀ × Epinephelus lanceolatus ♂). Aquac. Res. 2016, 47, 2195–2204. [Google Scholar] [CrossRef]
- Zhang, W.; Fu, S.; Fan, X.; Huang, J.; Liang, Y.; Wen, X.; Luo, J. Triploid Production and Performance in Hybrid Grouper (Epinephelus fuscoguttatus ♀ × Epinephelus lanceolatus ♂). Aquaculture 2023, 563, 738891. [Google Scholar] [CrossRef]
- Huang, J.; Yang, M.; Liu, J.; Tang, H.; Fan, X.; Zhang, W.; Wen, X.; Luo, J. Transcriptome Analysis of High Mortality Phenomena in Polyploid Fish Embryos: An Allotriploid Embryo Case Study in Hybrid Grouper (Epinephelus fuscoguttatus ♀ × Epinephelus lanceolatus ♂). Aquaculture 2023, 571, 739446. [Google Scholar] [CrossRef]
- Chourrout, D.; Chevassus, B.; Krieg, F.; Happe, A.; Burger, G.; Renard, P. Production of Second Generation Triploid and Tetraploid Rainbow Trout by Mating Tetraploid Males and Diploid Females—Potential of Tetraploid Fish. Theor. Appl. Genet. 1986, 72, 193–206. [Google Scholar] [CrossRef] [PubMed]
- Thorgaard, G.H.; Gall, G.A.E. Adult Triploids in a Rainbow Trout Family. Genetics 1979, 93, 961–973. [Google Scholar] [CrossRef]
- Poleo, G.A.; Lutz, C.G.; Cheuk, G.; Tiersch, T.R. Fertilization by Intracytoplasmic Sperm Injection in Nile Tilapia (Oreochromis niloticus) Eggs. Aquaculture 2005, 250, 82–94. [Google Scholar] [CrossRef]
- Wu, Z.X.; Feng, X.; Xie, L.L.; Peng, X.Y.; Yuan, J.; Chen, X.X. Effect of Probiotic Bacillus Subtilis Ch9 for Grass Carp, Ctenopharyngodon idella (Valenciennes, 1844), on Growth Performance, Digestive Enzyme Activities and Intestinal Microflora. J. Appl. Ichthyol. 2012, 28, 721–727. [Google Scholar] [CrossRef]
- Hussain, M.G.; Chatterji, A.; Mcandrew, B.J.; Johnstone, R. Triploidy Induction in Nile Tilapia, Oreochromis Niloticus L. Using Pressure, Heat and Cold Shocks. Theor. Appl. Genet. 1991, 81, 6–12. [Google Scholar] [CrossRef] [PubMed]
- Linhart, O.; Flajšhans, M. Triploidization of European Catfish, Silurus glanis L., by Heat Shock. Aquac. Res. 2010, 26, 367–370. [Google Scholar] [CrossRef]
- Oliver, L.P.M.J. Triploid Induction in Cultured Burbot (Lota lota) Using Thermal and Hydrostatic Shock. Aquaculture 2020, 515, 734582. [Google Scholar] [CrossRef]
- Deb, R.; Sengar, G.S. Expression Pattern of Bta-Mir-2898 Mirna and Their Correlation with Heat Shock Proteins During Summer Heat Stress Among Native vs Crossbred Cattle. J. Therm. Biol. 2020, 94, 102771. [Google Scholar] [CrossRef]
- Liu, G.; Liao, Y.; Sun, B.; Guo, Y.; Liu, D. Effects of Chronic Heat Stress on mRNA and miRNA Expressions in Dairy Cows. Gene 2020, 742, 144550. [Google Scholar] [CrossRef] [PubMed]
- Raza, S.H.A.; Abdelnour, S.A.; Alotaibi, M.A.; AlGabbani, Q.; Naiel, M.A.; Shokrollahi, B. Micrornas Mediated Environmental Stress Responses and Toxicity Signs in Teleost Fish Species. Aquaculture 2022, 546, 737310. [Google Scholar] [CrossRef]
- Felip, A.; Zanuy, S.; Carrillo, M.; Piferrer, F. Induction of Triploidy and Gynogenesis in Teleost Fish with Emphasis on Marine Species. Genetica 2001, 111, 175. [Google Scholar] [CrossRef] [PubMed]
- Takeuchi, Y.; Yatabe, T.; Yoshikawa, H.; Ino, Y.; Kabeya, N.; Yazawa, R.; Yoshizaki, G. Production of Functionally Sterile Triploid Nibe Croaker Nibea mitsukurii Induced by Cold-Shock Treatment with Special Emphasis on Triploid Aptitude as Surrogate Broodstock. Aquaculture 2016, 494, 45–56. [Google Scholar] [CrossRef]
- Ren, L.; Wu, L.; Liu, F.; Song, Y.; Li, J.; Xu, S.; Song, C.; Wang, Y.; Li, X. Visual System Development and Changes in Hatching Performance in Hybrid Grouper Embryos Under Different Light Conditions. Aquac. Rep. 2021, 21, 100814. [Google Scholar] [CrossRef]
- Hernandez-Urcera, J.; Torres, E.; Cal, R.; Barreiro, D.; Barreiro-Lois, A. Induction of Triploidy in Turbot (Scophthalmus maximus) Does Not Affect Gross Body Morphology and Skeleton Characteristics. Aquaculture 2012, 338, 309–312. [Google Scholar] [CrossRef]
- Zheng, L.-Y.; Huang, Z.-C.; Wei, L.-D.; Huang, C.-J.; Dong, Q.-X. Cryopreservation and Short-Term Preservation of Red Spotted Grouper (Epinephelus akaara) Sperm. Mar. Sci. 2013, 37, 56–71. [Google Scholar]
- Fan, B.; Yang, S.; Wang, L.; Chen, X.; Liu, X.; Zhang, Y.; Li, S.; Zhang, H.; Meng, Z.; Lin, H. Hybridization of Tiger Grouper (Epinephelus fuscoguttatus ♀) × Giant Grouper (Epinephelus lanceolatus ♂) Using Cryopreserved Sperm. Cryobiology 2020, 95, 84–89. [Google Scholar] [CrossRef] [PubMed]
- Tamaru, C.S.; Trick, C.C.; Fitzgerald, W.J.; Ako, H. Induced Final Maturation and Spawning of The Marbled Grouper Epinephelus microdon Captured from Spawning Aggregations in the Republic of Palau, Micronesia. J. World Aquac. Soc. 1996, 27, 363–372. [Google Scholar] [CrossRef]
- Kumar, P.; Kailasam, M.; Biswas, G.; Christina, L.; Ghoshal, T.K. Effect of Different Inducing Hormones, Sex Ratio and Oocyte Diameter on Breeding Performance of Brackish Water Catfish, Mystus gulio. Aquaculture 2021, 530, 735821. [Google Scholar] [CrossRef]
- Mandal, B.; Kailasam, M.; Bera, A.; Sukumaran, K.; Hussain, T.; Biswas, G.; Vijayan, K.K. Standardization of Oocyte Size During Artificial Fertilization and Optimization of Stocking Density During Indoor Larval and Outdoor Nursery Rearing of Captive Spotted Scat (Scatophagus argus) for a Viable Juvenile Production System. Aquaculture 2021, 534, 736262. [Google Scholar] [CrossRef]
- Kolek, L.; Szczygie, J.; Napora-Rutkowski, U.; Irnazarow, I. Effect of Trypanoplasma borreli Infection on Sperm Quality And Reproductive Success of Common Carp (Cyprinus carpio L.) Males. Aquaculture 2021, 539, 736623. [Google Scholar] [CrossRef]
- Yanagitsuru, Y.R.; Main, M.A.; Lewis, L.S.; Hobbs, J.A.; Fangue, N.A. Effects of Temperature on Hatching and Growth Performance of Embryos and Yolk-Sac Larvae of a Threatened Estuarine Fish: Longfin Smelt (Spirinchus thaleichthys). Aquaculture 2021, 537, 736502. [Google Scholar] [CrossRef]
- Yu, J.; Li, M.; Wang, W. Fertility Investigation in F1 Hybrid and Karyotype Analysis of Backcross Progeny from Misgurnus Anguillicaudatus and Paramisgurnus Dabryanus. Aquaculture 2022, 547, 737509. [Google Scholar] [CrossRef]
- Torres-Hernández, P.; Cebada-Martínez, P.; Girón-Cruz, D.A.; Garrido-Fariña, G.I.; Alvarez-González, C.A. Embryonic Development of the Starry Grouper Epinephelus labriformis (Jenyns, 1840) and Description of Its Eleutheroembryo. Oceanides 2015, 30, 27–33. [Google Scholar] [CrossRef]
- Tan, J.; Liu, K.; Lv, L.; Yu, J.; Xiao, T. Ploidy Identification for Carassius auratus Var. Dongting Based on Microsatellites. J. Fish. China 2019, 43, 1549–1559. [Google Scholar]
- Holzner, G.; Mateescu, B.; Leeuwen, D.V.; Cereghetti, G.; Demello, A. High-Throughput Multiparametric Imaging Flow Cytometry: Toward Diffraction-Limited Sub-Cellular Detection and Monitoring of Sub-Cellular Processes. Cell Rep. 2021, 34, 108824. [Google Scholar] [CrossRef] [PubMed]
- Weber, G.M.H.M. Growth Performance Comparison of Intercross-Triploid, Induced Triploid, and Diploid Rainbow Trout. Aquaculture 2014, 433, 85–93. [Google Scholar] [CrossRef]
- Johnson, R.M.; Shrimpton, J.M.; Heath, J.W.; Heath, D.D. Family, Induction Methodology and Interaction Effects on The Performance of Diploid and Triploid Chinook Salmon (Oncorhynchus tshawytscha). Aquaculture 2004, 234, 123–142. [Google Scholar] [CrossRef]
- Peruzzi, S.; Chatain, B. Pressure and Cold Shock Induction of Meiotic Gynogenesis and Triploidy in The European Sea Bass, Dicentrarchus labrax L.: Relative Efficiency of Methods and Parental Variability. Aquaculture 2000, 189, 23–37. [Google Scholar] [CrossRef]
- Felip, A.; Zanuy, S.; Carrillo, M.; Martínez, G.; Ramos, J.; Piferrer, F. Optimal Conditions for The Induction of Triploidy in The Sea Bass (Dicentrarchus labrax L.). Aquaculture 1997, 152, 287–298. [Google Scholar] [CrossRef]
- Al-Fageeh, M.B.; Smales, C.M. Control and Regulation of The Cellular Responses to Cold Shock: The Responses in Yeast and Mammalian Systems. Biochem. J. 2006, 397, 247–259. [Google Scholar] [CrossRef] [PubMed]
- Riess, B.H.A.P. The Cellular and Molecular Basis of Hyperthermia. Crit. Rev. Oncol. Hemat 2002, 43, 33–56. [Google Scholar]
- Arai, K.; Wilkins, N.P. Triploidization of Brown Trout (Salmo trutta) by Heat Shocks. Aquaculture 1987, 64, 97–103. [Google Scholar] [CrossRef]
- Ji, G.-D.; Li, M.-Y.; Zhou, L.; Gui, J.F. Screening and Analysis of Differential Expression Genes in Blastula and Tail Bud Stage Embryos in The Orange Spotted Grouper (Epinephelus coioides). Zool. Res. 2006, 27, 97–118. [Google Scholar]
- Hong, Y.J. Studies of The Best Condition to Induce Triploid in Xingguo Red Carp. Chin. J. Zool. 2000, 35, 2–4. [Google Scholar]
- Aydin, L. Effects of Triploid Induction to The Early Cleavage Patterns of Black Sea Turbot (Psetta maxima) Embryos. Genet. Aquat. Org. 2017, 1, 15–20. [Google Scholar]
- You, F.; Liu, J.; Wang, X.C. Study on Embryonic Development and Early Growth of Triploid and Gynogenetic Diploid Left-Eyed Flounder, Paralichthys olivaceus. Chin. J. Oceanol. Limnol. 2001, 19, 147–151. [Google Scholar] [CrossRef]
- Yamamoto, A.; Iida, T. Hematological Characteristics of Triploid Rainbow Trout. Fish Pathol. 1994, 29, 239–243. [Google Scholar] [CrossRef]
- Piferrer, F.; Cal, R.M.; Álvarez-Blázquez, B.; Sánchez, L.; Martinez, P. Induction of Triploidy in the Turbot (Scophthalmus maximus): I. Ploidy Determination and The Effects of Cold Shocks. Aquaculture 2000, 188, 79–90. [Google Scholar] [CrossRef]
- Kim, H.S.; Chung, K.H.; Son, J.H. Comparison of Different Ploidy Detection Methods in Oncorhynchus mykiss, the Rainbow Trout. Fish. Aquat. Sci. 2017, 20, 29. [Google Scholar] [CrossRef]
- Kim, M.G.K.S. Cytogenetic Analysis of All-Female Triploid Olive Flounder Paralichthysolivaceus for Ploidy Verification. Fish. Aquat. Sci. 2016, 49, 671–674. [Google Scholar]
- Nomura, K.A.; Nakajima, U.I.; Ohta, H.I.; Kagawa, H.I.; Tanaka, H.I.; Unuma, T.A.; Yamauchi, K.O.; Arai, K.A. Induction of Triploidy by Heat Shock in the Japanese Eel Anguilla japonica. Fish. Sci. 2010, 70, 247–255. [Google Scholar] [CrossRef]
- Rastiannasab, A.; Sharifian, M.; Gandomkar, H.; Nazari, S.; Moradian, S.H.; Mahdavi, J.; Falahat, E.; Hossaeini, A.H.; Kazemi, E.; Matinfar, A. Investigation of Chromosome and Ploidy Levels of Rainbow Trout Produced from Imported Eyed Eggs; Iranian Fisheries Science Research Institute: Tehran, Iran, 2017; pp. 53–64. [Google Scholar]
- Domingues, P.; Hernández-Urcera, J.; Cal, R.; Olivares, A.; Chimal, M.; Sánchez, A.; Rosas, C.; Gallardo, P. Effect of Triploidy on Digestive Enzyme Activity of Early Stages of Turbot (Scophthalmus maximus). Fish Physiol. Biochem. 2019, 45, 573–582. [Google Scholar] [CrossRef]
- Peruzzi, S.; Jobling, M.; Falk-Petersen, I.-B.; Lein, I.; Puvanendran, V. Gut Morphology of Diploid and Triploid Atlantic Cod, Gadus morhua. J. Appl. Ichthyol. 2013, 29, 1104–1108. [Google Scholar] [CrossRef]
- Fawole, F.J.; Adeoye, A.A.; Tiamiyu, L.O.; Ajala, K.I.; Obadara, S.O.; Ganiyu, I.O. Substituting Fishmeal with Hermetia Illucens in The Diets of African Catfish (Clarias gariepinus): Effects on Growth, Nutrient Utilization, Haemato-Physiological Response, and Oxidative Stress Biomarker. Aquaculture 2020, 518, 734849. [Google Scholar] [CrossRef]
- Liu, Y.; Miao, Y.; Xu, N.; Ding, T.; Cui, K.; Chen, Q.; Zhang, J.; Fang, W.; Mai, K.; Ai, Q. Effects of Dietary Astragalus Polysaccharides (APS) on Survival, Growth Performance, Activities of Digestive Enzyme, Antioxidant Responses and Intestinal Development of Large Yellow Croaker (Larimichthys crocea) Larvae. Aquaculture 2020, 520, 734752. [Google Scholar] [CrossRef]
- Rubio, J.A.; Blasco, J.; Mazorra, M.T. Acid and Alkaline Phosphatase Activities in The Clam Scrobicularia plana: Kinetic Characteristics and Effects of Heavy Metals. Comp. Biochem. Phys. B. 2002, 131, 241–249. [Google Scholar]
- Viarengo, A.; Canesi, L.; Martinez, P.G.; Peters, L.D. Pro-Oxidant Processes and Antioxidant Defence Systems in the Tissues of The Antarctic Scallop (Adamussium colbecki) Compared with The Mediterranean Scallop (Pecten jacobaeus). Comp. Biochem. Phys. B 1995, 111, 119–126. [Google Scholar] [CrossRef]
- ABDEL-MOHSEN, H.A. Assessment of Respiratory and Ion Transport Potential of Penaeus Japonicus Gills In Response to Environmental Pollution. Mediterr. Mar. Sci. 2009, 10, 5–18. [Google Scholar] [CrossRef]
- Jin, Y.; Li, R.; Zhang, Z.; Ren, J.; Song, X.; Zhang, G. ZBED1/DREF: A Transcription Factor that Regulates Cell Proliferation. Oncol. Lett. 2020, 20, 1. [Google Scholar] [CrossRef]
- Shao, Y.; Li, C.; Zhang, W.; Duan, X.; Li, Y.; Han, Q.; Jin, C. Three Members in JAK/STAT Signal Pathway from The Sea Cucumber Apostichopus Japonicus: Molecular Cloning, Characterization and Function Analysis. Fish Shellfish. Immunol. 2015, 46, 523–536. [Google Scholar] [CrossRef] [PubMed]
- Cremona, M.L.; Matthies, H.J.; Pau, K.; Bowton, E.; Speed, N.; Lute, B.J.; Anderson, M.; Sen, N.; Robertson, S.D.; Vaughan, R.A. Flotillin-1 is Essential for PKC-Triggered Endocytosis and Membrane Microdomain Localization of DAT. Nat. Neurosci. 2011, 14, 469–477. [Google Scholar] [CrossRef]
- Rousso, D.L.; Pearson, C.A.; Gaber, Z.B.; Miquelajauregui, A.; Li, S.; Portera-Cailliau, C.; Morrisey, E.E.; Novitch, B.G. Foxp-Mediated Suppression of N-Cadherin Regulates Neuroepithelial Character and Progenitor Maintenance in the CNS. Neuron 2012, 74, 314–330. [Google Scholar] [CrossRef] [PubMed]
- Holborn, M.K.; Ang, K.P.; Elliott, J.A.K.; Powell, F.; Boulding, E.G. Genome wide analysis of infectious salmon anemia resistance in commercial Saint John River Atlantic salmon. Aquaculture 2020, 514, 734514. [Google Scholar] [CrossRef]
- Robledo, D.; Matika, O.; Hamilton, A.; Houston, R.D. Genome-Wide Association and Genomic Selection for Resistance to Amoebic Gill Disease in Atlantic Salmon. G3 (Bethesda Md.) 2018, 8, 1195–1203. [Google Scholar] [CrossRef]
- Gutierrez, A.P.; Yáñez, J.M.; Fukui, S.; Swift, B.; Davidson, W.S. Genome-Wide Association Study (GWAS) for Growth Rate and Age at Sexual Maturation in Atlantic Salmon (Salmo salar). PLoS ONE 2015, 10, e119730. [Google Scholar] [CrossRef] [PubMed]
- Wang, X.; Liu, S.; Jiang, C.; Geng, X.; Zhou, T.; Li, N.; Bao, L.; Li, Y.; Yao, J.; Yang, Y. Multiple Across-Strain and within-Strain QTLs Suggest Highly Complex Genetic Architecture For Hypoxia Tolerance in Channel Catfish. Mol. Genet. Genom. 2017, 292, 63–76. [Google Scholar] [CrossRef]







| Group | Number of Fertilized Eggs | Number of Seedlings | Number of Deformities | Fertilization Rate % | Hatching Rate % | Triploid Induction Success Rate % | Deformation Rate % |
|---|---|---|---|---|---|---|---|
| Diploid | 216 | 205 | 0 | 99.08 | 82.87 | -- | 0 |
| 209 | 187 | 0 | 98.20 | 83.66 | -- | 0 | |
| 231 | 214 | 0 | 98.76 | 85.70 | -- | 0 | |
| 224 | 208 | 0 | 97.34 | 82.73 | -- | 0 | |
| 215 | 191 | 0 | 98.48 | 85.64 | -- | 0 | |
| Triploid | 223 | 87 | 25 | 95.71 | 39.63 | 87.30 | 11.52 |
| 225 | 95 | 28 | 91.20 | 38.80 | 81.50 | 14.06 | |
| 215 | 92 | 23 | 90.10 | 36.74 | 88.90 | 20.10 | |
| 231 | 98 | 24 | 89.98 | 36.24 | 85.44 | 18.48 | |
| 218 | 86 | 23 | 92.22 | 37.86 | 87.82 | 15.36 |
| Red Blood Cell Size Method | ||||||
|---|---|---|---|---|---|---|
| Individuals | Number | Long Axis Length (μm) | Short Axis Length (μm) | Area (μm2) | Volume (μm3) | Ploidy |
| 1 | 1-1 | 11.13 | 3.06 | 26.74 | 54.564 | Diploid |
| 1-2 | 12.52 | 3.11 | 30.57 | 63.400 | ||
| 1-3 | 11.67 | 3.02 | 27.67 | 55.725 | ||
| 1-4 | 12.40 | 3.12 | 27.98 | 56.600 | ||
| 1-5 | 11.74 | 3.03 | 28.04 | 59.386 | ||
| 1-6 | 12.12 | 3.06 | 29.44 | 62.012 | ||
| 2 | 2-1 | 12.04 | 3.08 | 29.11 | 59.799 | Diploid |
| 2-2 | 10.56 | 2.89 | 23.96 | 46.177 | ||
| 2-3 | 11.44 | 3.12 | 28.02 | 58.304 | ||
| 2-4 | 10.98 | 2.98 | 27.40 | 56.068 | ||
| 2-5 | 12.38 | 3.14 | 26.38 | 57.486 | ||
| 2-6 | 10.68 | 2.80 | 27.64 | 58.362 | ||
| 3 | 3-1 | 11.28 | 3.08 | 27.27 | 56.024 | Diploid |
| 3-2 | 11.12 | 3.05 | 26.62 | 54.159 | ||
| 3-3 | 11.92 | 3.1 | 29.01 | 59.974 | ||
| 3-4 | 10.98 | 3.07 | 26.84 | 55.650 | ||
| 3-5 | 11.78 | 3.11 | 28.98 | 57.769 | ||
| 3-6 | 11.39 | 3.12 | 29.01 | 55.893 | ||
| 4 | 4-1 | 15.89 | 3.15 | 39.29 | 82.549 | Triploid |
| 4-2 | 16.52 | 3.30 | 42.80 | 94.190 | ||
| 4-3 | 15.51 | 3.12 | 37.99 | 79.047 | ||
| 4-4 | 15.78 | 3.23 | 38.76 | 88.682 | ||
| 4-5 | 15.93 | 3.21 | 37.98 | 87.921 | ||
| 4-6 | 16.01 | 318 | 39.03 | 84.386 | ||
| 5-1 | 15.00 | 3.03 | 35.68 | 72.101 | ||
| 5 | 5-2 | 15.67 | 3.17 | 38.99 | 82.443 | Triploid |
| 5-3 | 16.87 | 3.46 | 45.82 | 105.739 | ||
| 5-4 | 16.32 | 3.32 | 40.64 | 87.350 | ||
| 5-5 | 15.86 | 3.41 | 43.86 | 96.089 | ||
| 5-6 | 15.93 | 3.48 | 44.40 | 93.620 | ||
| 6 | 6-1 | 15.78 | 3.20 | 39.64 | 84.601 | Triploid |
| 6-2 | 15.54 | 3.18 | 38.79 | 82.276 | ||
| 6-3 | 16.24 | 3.24 | 41.30 | 89.257 | ||
| 6-4 | 15.84 | 3.31 | 42.49 | 83.639 | ||
| 6-5 | 16.37 | 3.29 | 41.48 | 87.369 | ||
| 6-6 | 15.64 | 3.24 | 41.99 | 91.374 | ||
| Corresponding Number (Figure 4) | Developmental Time | Diploid | Triploid | Main Developmental Characteristics |
|---|---|---|---|---|
| -- | Fertilized egg | 0 | 0 | -- |
| 1 | 2 Cell phase | 40 min | 1 h 9 min | 1st cleavage, forming two cells |
| 2 | 4 Cell phase | 47 min | 1 h15 min | 2nd cleavage, forming 4 cells |
| 3 | 8 Cell phase | 56 min | 1 h 25 min | 3rd cleavage, forming 8 cells |
| 4 | 16 Cell phase | 1 h 2 min | 1 h 34 min | 4th cleavage, forming 16 cells |
| 5 | 32 Cell phase | 1 h 26 min | 1 h 55 min | 5th cleavage, forming 32 cells |
| 6 | 64 Cell phase | 1 h 45 min | 2 h 18 min | 6th cleavage, forming 64 cells |
| 7 | Multicellular phase | 2 h 15 min | 2 h 49 min | Cells become smaller and overlap |
| 8 | Mulberry period | 2 h 49 min | 3 h 16 min | Cell clusters stacked in layers, shaped like mulberries |
| 9 | Late blastocyst stage | 3 h 11 min | 3 h 51 min | High concentration of blastocysts in a high-cap shape |
| 10 | Early blastocyst stage | 3 h 52 min | 4 h 36 min | Blastocyst margin thinning, Subcellular envelope |
| 11 | Protointestinal early | 4 h 08 min | 4 h 49 min | Embryonic ring visible on dorsal surface, forming embryonic shield |
| 12 | Proto-intestinal medium term | 4 h 29 min | 5 h 18 min | Embryo cold shock response treatment |
| 13 | Late gastrula phase | 5 h 40 min | 6 h 40 min | Partial embryonic death |
| 14 | Embryo formation period | 7 h 08 min | 7 h 59 min | Embryo formation with a clear outline |
| 15 | Embryonic pore closure period | 8 h 01 min | 8 h 46 min | The embryonic layer is unwrapped, embryonic pores are completely closed |
| 16 | Optic capsule formation period | 8 h 41 min | 9 h 32 min | A pair of optic vesicles appear on the head of the embryo |
| 17 | Period of muscle node appearance | 9 h 21 min | 10 h 15 min | Myotomes appear in the middle of the embryo |
| 18 | Hearing capsule formation period | 10 h 49 min | 11 h 46 min | Presence of a pair of auditory sacs in the posterior position of the visual sac of the head |
| 19 | Cerebral vesicle formation period | 11 h 54 min | 12 h 50 min | Cerebral vesicles in the middle of the optic capsule |
| 20 | Cardiogenesis | 13 h 22 min | 14 h18 min | Heart formation with clear contours |
| 21 | Tail bud stage | 15 h 43 min | 16 h 35 min | The caudal part of the embryo body begins to separate from the yolk sac |
| 22 | Crystal formation period | 16 h 31 min | 17 h 26 min | Clear crystal outline |
| 23 | Heartbeat Period | 18 h 56 min | 19 h 50 min | Slight heartbeat |
| 24 | Incubation period | 19 h 27 min | 20 h 18 min | Violent shaking of the embryo |
| 25 | Incubation period | 20 h 09 min | 20 h 59 min | The head of the embryo body breaks the egg membrane and emerges |
| 26 | newly hatched larvae | 20 h 46 min | 21 h 35 min | The embryo hatches out of the membrane |
Disclaimer/Publisher’s Note: The statements, opinions and data contained in all publications are solely those of the individual author(s) and contributor(s) and not of MDPI and/or the editor(s). MDPI and/or the editor(s) disclaim responsibility for any injury to people or property resulting from any ideas, methods, instructions or products referred to in the content. |
© 2024 by the authors. Licensee MDPI, Basel, Switzerland. This article is an open access article distributed under the terms and conditions of the Creative Commons Attribution (CC BY) license (https://creativecommons.org/licenses/by/4.0/).
Share and Cite
Tang, H.; Li, Y.; Zhang, M.; Fan, X.; Luo, J.; Wen, X. Comparative Analysis of Embryonic Development and Antioxidant Stress Response in Hybrid Grouper (Epinephelus fuscoguttatus ♀ × E. lanceolatus ♂) with Different Ploidy Levels. Fishes 2025, 10, 4. https://doi.org/10.3390/fishes10010004
Tang H, Li Y, Zhang M, Fan X, Luo J, Wen X. Comparative Analysis of Embryonic Development and Antioxidant Stress Response in Hybrid Grouper (Epinephelus fuscoguttatus ♀ × E. lanceolatus ♂) with Different Ploidy Levels. Fishes. 2025; 10(1):4. https://doi.org/10.3390/fishes10010004
Chicago/Turabian StyleTang, Haizhan, Yang Li, Meng Zhang, Xin Fan, Jian Luo, and Xin Wen. 2025. "Comparative Analysis of Embryonic Development and Antioxidant Stress Response in Hybrid Grouper (Epinephelus fuscoguttatus ♀ × E. lanceolatus ♂) with Different Ploidy Levels" Fishes 10, no. 1: 4. https://doi.org/10.3390/fishes10010004
APA StyleTang, H., Li, Y., Zhang, M., Fan, X., Luo, J., & Wen, X. (2025). Comparative Analysis of Embryonic Development and Antioxidant Stress Response in Hybrid Grouper (Epinephelus fuscoguttatus ♀ × E. lanceolatus ♂) with Different Ploidy Levels. Fishes, 10(1), 4. https://doi.org/10.3390/fishes10010004

