Growth, Anatomical, and Biochemical Responses of the Space Farming Candidate Brassica rapa L. Microgreens to Low-LET Ionizing Radiation
Abstract
1. Introduction
2. Materials and Methods
2.1. Experimental Design
2.2. Irradiation Procedure and Microgreens Cultivation
2.3. Morpho-Biometric Analyses and Sampling
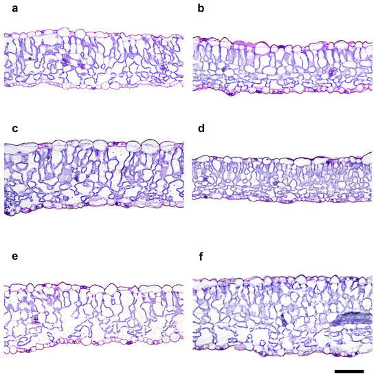
2.4. Anatomical Analyses
2.5. Antioxidant, Pigment and Protein Determination
2.6. Statistical Analyses
3. Results
3.1. Morpho-Biometric Traits
3.2. Anatomical Traits
3.3. Antioxidants, Photosynthetic Pigment, and Proteins
4. Discussion
Author Contributions
Funding
Data Availability Statement
Acknowledgments
Conflicts of Interest
References
- Cucinotta, F.A. Space Radiation Risks for Astronauts on Multiple International Space Station Missions. PLoS ONE 2014, 9, e96099. [Google Scholar] [CrossRef] [PubMed]
- Kononikhin, A.S.; Starodubtseva, N.L.; Pastushkova, L.K.; Kashirina, D.N.; Fedorchenko, K.Y.; Brhozovsky, A.G.; Popov, I.A.; Larina, I.M.; Nikolaev, E.N. Spaceflight Induced Changes in the Human Proteome. Expert Rev. Proteom. 2017, 14, 15–29. [Google Scholar] [CrossRef] [PubMed]
- Hellweg, C.E.; Baumstark-Khan, C. Getting Ready for the Manned Mission to Mars: The Astronauts’ Risk from Space Radiation. Naturwissenschaften 2007, 94, 517–526. [Google Scholar] [CrossRef]
- Smith, T.A.; Kirkpatrick, D.R.; Smith, S.; Smith, T.K.; Pearson, T.; Kailasam, A.; Herrmann, K.Z.; Schubert, J.; Agrawal, D.K. Radioprotective Agents to Prevent Cellular Damage Due to Ionizing Radiation. J. Transl. Med. 2017, 15, 232. [Google Scholar] [CrossRef] [PubMed]
- Mukwevho, E.; Ferreira, Z.; Ayeleso, A. Potential Role of Sulfur-Containing Antioxidant Systems in Highly Oxidative Environments. Molecules 2014, 19, 19376–19389. [Google Scholar] [CrossRef]
- Chaloulakou, S.; Poulia, K.A.; Karayiannis, D. Physiological Alterations in Relation to Space Flight: The Role of Nutrition. Nutrients 2022, 14, 4896. [Google Scholar] [CrossRef] [PubMed]
- Kumar, A.; Goyal, N.; Pramanik, J.; Prajapati, B.; Patel, J. Nutritional and Alternative Approaches to Treatment in Space. In Handbook of Space Pharmaceuticals; Springer International Publishing: Cham, Switzerland, 2022; pp. 935–953. [Google Scholar]
- Bychkov, A.; Reshetnikova, P.; Bychkova, E.; Podgorbunskikh, E.; Koptev, V. The Current State and Future Trends of Space Nutrition from a Perspective of Astronauts’ Physiology. Int. J. Gastron. Food Sci. 2021, 24, 100324. [Google Scholar] [CrossRef]
- Carter, K.; Campbell, J.; Shoemaker, P.; Dichiara, E.; Patel, N.; Caruso, J. Dietary Needs, Approaches and Recommendations to Meet the Demands of Future Manned Space Flights. Recent Prog. Nutr. 2021, 2, 1. [Google Scholar] [CrossRef]
- Mishra, G.P.; Priti; Dikshit, H.K.; Aski, M.; Sangwan, S.; Stobdan, T.; Singh, A.; Kumar, R.R.; Praveen, S. Microgreens: A Novel Food for Nutritional Security. In Conceptualizing Plant-Based Nutrition; Springer Nature: Singapore, 2022; pp. 123–156. [Google Scholar]
- Kyriacou, M.C.; de Pascale, S.; Kyratzis, A.; Rouphael, Y. Microgreens as a Component of Space Life Support Systems: A Cornucopia of Functional Food. Front. Plant Sci. 2017, 8, 1587. [Google Scholar] [CrossRef]
- Teng, Z.; Luo, Y.; Pearlstein, D.J.; Wheeler, R.M.; Johnson, C.M.; Wang, Q.; Fonseca, J. Microgreens for Home, Commercial, and Space Farming: A Comprehensive Update of the Most Recent Developments. Annu. Rev. Food Sci. Technol. 2023, 14, 539–562. [Google Scholar] [CrossRef]
- Teng, J.; Liao, P.; Wang, M. The Role of Emerging Micro-Scale Vegetables in Human Diet and Health Benefits—An Updated Review Based on Microgreens. Food Funct. 2021, 12, 1914–1932. [Google Scholar] [CrossRef] [PubMed]
- Kyriacou, M.C.; Rouphael, Y.; di Gioia, F.; Kyratzis, A.; Serio, F.; Renna, M.; de Pascale, S.; Santamaria, P. Micro-Scale Vegetable Production and the Rise of Microgreens. Trends Food Sci. Technol. 2016, 57, 103–115. [Google Scholar] [CrossRef]
- Jahangir, M.; Kim, H.K.; Choi, Y.H.; Verpoorte, R. Health-Affecting Compounds in Brassicaceae. Compr. Rev. Food Sci. Food Saf. 2009, 8, 31–43. [Google Scholar] [CrossRef]
- Ramirez, D.; Abellán-Victorio, A.; Beretta, V.; Camargo, A.; Moreno, D.A. Functional Ingredients From Brassicaceae Species: Overview and Perspectives. Int. J. Mol. Sci. 2020, 21, 1998. [Google Scholar] [CrossRef] [PubMed]
- Liu, Z.; Shi, J.; Wan, J.; Pham, Q.; Zhang, Z.; Sun, J.; Yu, L.; Luo, Y.; Wang, T.T.Y.; Chen, P. Profiling of Polyphenols and Glucosinolates in Kale and Broccoli Microgreens Grown under Chamber and Windowsill Conditions by Ultrahigh-Performance Liquid Chromatography High-Resolution Mass Spectrometry. ACS Food Sci. Technol. 2022, 2, 101–113. [Google Scholar] [CrossRef]
- Marchioni, I.; Martinelli, M.; Ascrizzi, R.; Gabbrielli, C.; Flamini, G.; Pistelli, L.; Pistelli, L. Small Functional Foods: Comparative Phytochemical and Nutritional Analyses of Five Microgreens of the Brassicaceae Family. Foods 2021, 10, 427. [Google Scholar] [CrossRef]
- Abellán, Á.; Domínguez-Perles, R.; García-Viguera, C.; Moreno, D.A. Evidence on the Bioaccessibility of Glucosinolates and Breakdown Products of Cruciferous Sprouts by Simulated In Vitro Gastrointestinal Digestion. Int. J. Mol. Sci. 2021, 22, 11046. [Google Scholar] [CrossRef] [PubMed]
- Miękus, N.; Marszałek, K.; Podlacha, M.; Iqbal, A.; Puchalski, C.; Świergiel, A.H. Health Benefits of Plant-Derived Sulfur Compounds, Glucosinolates, and Organosulfur Compounds. Molecules 2020, 25, 3804. [Google Scholar] [CrossRef]
- Elena Cartea, M.; Cámara-Martos, F.; Obregón, S.; Rubén Badenes-Pérez, F.; de Haro, A. Advances in Breeding in Vegetable Brassica rapa Crops. In Brassica Breeding and Biotechnology; IntechOpen: London, UK, 2021. [Google Scholar]
- Cartea, M.E.; Velasco, P. Glucosinolates in Brassica Foods: Bioavailability in Food and Significance for Human Health. Phytochem. Rev. 2008, 7, 213–229. [Google Scholar] [CrossRef]
- Traka, M.; Mithen, R. Glucosinolates, Isothiocyanates and Human Health. Phytochem. Rev. 2009, 8, 269–282. [Google Scholar] [CrossRef]
- Fimognari, C.; Turrini, E.; Ferruzzi, L.; Lenzi, M.; Hrelia, P. Natural Isothiocyanates: Genotoxic Potential versus Chemoprevention. Mutat. Res. Rev. Mutat. Res. 2012, 750, 107–131. [Google Scholar] [CrossRef]
- Kyriacou, M.C.; El-Nakhel, C.; Pannico, A.; Graziani, G.; Soteriou, G.A.; Giordano, M.; Zarrelli, A.; Ritieni, A.; De Pascale, S.; Rouphael, Y. Genotype-Specific Modulatory Effects of Select Spectral Bandwidths on the Nutritive and Phytochemical Composition of Microgreens. Front. Plant. Sci. 2019, 10, 1501. [Google Scholar] [CrossRef]
- Kyriacou, M.C.; El-Nakhel, C.; Pannico, A.; Graziani, G.; Soteriou, G.A.; Giordano, M.; Palladino, M.; Ritieni, A.; De Pascale, S.; Rouphael, Y. Phenolic Constitution, Phytochemical and Macronutrient Content in Three Species of Microgreens as Modulated by Natural Fiber and Synthetic Substrates. Antioxidants 2020, 9, 252. [Google Scholar] [CrossRef]
- di Stasio, E.; Rouphael, Y.; Colla, G.; Raimondi, G.; Giordano, M.; Pannico, A.; El-Nakhel, C.; De Pascale, S. The Influence of Ecklonia Maxima Seaweed Extract on Growth, Photosynthetic Activity and Mineral Composition of Brassica rapa L. Subsp. Sylvestris under Nutrient Stress Conditions. Eur. J. Hortic. Sci. 2018, 82, 286–293. [Google Scholar] [CrossRef]
- Cazalis, R. Plants under the Moonlight: The Biology and Installation of Industrial Plants for Lunar Settlements; Springer International Publishing: Cham, Switzerland, 2021; pp. 75–96. [Google Scholar]
- Prasad, B.; Richter, P.; Vadakedath, N.; Haag, F.W.M.; Strauch, S.M.; Mancinelli, R.; Schwarzwälder, A.; Etcheparre, E.; Gaume, N.; Lebert, M. How the Space Environment Influences Organisms: An Astrobiological Perspective and Review. Int. J. Astrobiol. 2021, 20, 159–177. [Google Scholar] [CrossRef]
- De Pascale, S.; Arena, C.; Aronne, G.; De Micco, V.; Pannico, A.; Paradiso, R.; Rouphael, Y. Biology and Crop Production in Space Environments: Challenges and Opportunities. Life Sci. Space Res. 2021, 29, 30–37. [Google Scholar] [CrossRef]
- Hasanuzzaman, M.; Hossain, M.A.; da Silva, J.A.T.; Fujita, M. Plant Response and Tolerance to Abiotic Oxidative Stress: Antioxidant Defense Is a Key Factor. In Crop Stress and Its Management: Perspectives and Strategies; Springer: Dordrecht, The Netherlands, 2012; pp. 261–315. [Google Scholar]
- Gudkov, S.V.; Grinberg, M.A.; Sukhov, V.; Vodeneev, V. Effect of Ionizing Radiation on Physiological and Molecular Processes in Plants. J. Environ. Radioact. 2019, 202, 8–24. [Google Scholar] [CrossRef]
- Le Caër, S. Water Radiolysis: Influence of Oxide Surfaces on H2 Production under Ionizing Radiation. Water 2011, 3, 235–253. [Google Scholar] [CrossRef]
- Caplin, N.; Willey, N. Ionizing Radiation, Higher Plants, and Radioprotection: From Acute High Doses to Chronic Low Doses. Front. Plant. Sci. 2018, 9, 847. [Google Scholar] [CrossRef]
- Arena, C.; de Micco, V.; Aronne, G.; Pugliese, M.; Virzo De Santo, A.; de Maio, A. Response of Phaseolus vulgaris L. Plants to Low-Let Ionizing Radiation: Growth and Oxidative Stress. Acta Astronaut. 2013, 91, 107–114. [Google Scholar] [CrossRef]
- De Micco, V.; Arena, C.; Pignalosa, D.; Durante, M. Effects of Sparsely and Densely Ionizing Radiation on Plants. Radiat. Environ. Biophys. 2011, 50, 1–19. [Google Scholar] [CrossRef]
- Arena, C.; de Micco, V.; Macaeva, E.; Quintens, R. Space Radiation Effects on Plant and Mammalian Cells. Acta Astronaut. 2014, 104, 419–431. [Google Scholar] [CrossRef]
- Mousseau, T.A.; Møller, A.P. Plants in the Light of Ionizing Radiation: What Have We Learned From Chernobyl, Fukushima, and Other “Hot” Places? Front. Plant Sci. 2020, 11, 552. [Google Scholar] [CrossRef]
- Rezk, A.A.; Al-Khayri, J.M.; Al-Bahrany, A.M.; El-Beltagi, H.S.; Mohamed, H.I. X-ray Irradiation Changes Germination and Biochemical Analysis of Two Genotypes of Okra (Hibiscus esculentus L.). J. Radiat. Res. Appl. Sci. 2019, 12, 393–402. [Google Scholar] [CrossRef]
- Arena, C.; de Micco, V.; de Maio, A. Growth Alteration and Leaf Biochemical Responses in Phaseolus Vulgaris Exposed to Different Doses of Ionising Radiation. Plant Biol. 2014, 16, 194–202. [Google Scholar] [CrossRef]
- Albarzinji, I.M.; Anwar, A.M.; Karim, H.H.; Ahmed, M.O. Photosynthetic Pigments and Stomata Characteristics of Cowpea (Vigna Sinensis Savi) under the Effect of X-ray Radiation. UHD J. Sci. Technol. 2022, 6, 58–64. [Google Scholar] [CrossRef]
- De Micco, V.; De Francesco, S.; Amitrano, C.; Arena, C. Comparative Analysis of the Effect of Carbon- and Titanium-Ions Irradiation on Morpho-Anatomical and Biochemical Traits of Dolichos Melanophthalmus DC. Seedl. Aimed Space Explor. Plants 2021, 10, 2272. [Google Scholar] [CrossRef]
- Jan, S.; Parween, T.; Siddiqi, T.O. Mahmooduzzafar Effect of Gamma Radiation on Morphological, Biochemical, and Physiological Aspects of Plants and Plant Products. Environ. Rev. 2012, 20, 17–39. [Google Scholar] [CrossRef]
- De Micco, V.; Arena, C.; Di Fino, L.; Narici, L. Radiation Environment in Exploration-Class Space Missions and Plants’ Responses Relevant for Cultivation in Bioregenerative Life Support Systems. Front. Plant Sci. 2022, 13, 1001158. [Google Scholar] [CrossRef]
- Nisa, M.-U.; Huang, Y.; Benhamed, M.; Raynaud, C. The Plant DNA Damage Response: Signaling Pathways Leading to Growth Inhibition and Putative Role in Response to Stress Conditions. Front. Plant Sci. 2019, 10, 653. [Google Scholar] [CrossRef]
- Kathpalia, R.; Bhatla, S.C. Seed Dormancy and Germination. In Plant Physiology, Development and Metabolism; Springer: Singapore, 2018; pp. 885–906. [Google Scholar]
- Bewley, J.D.; Bradford, K.J.; Hilhorst, H.W.M.; Nonogaki, H. Seeds; Springer: New York, NY, USA, 2013; ISBN 978-1-4614-4692-7. [Google Scholar]
- Wamelink, G.W.W.; Frissel, J.Y.; Krijnen, W.H.J.; Verwoert, M.R. Crop Growth and Viability of Seeds on Mars and Moon Soil Simulants. In Terraforming Mars; Wiley: New York, NY, USA, 2021; pp. 313–329. [Google Scholar]
- Durante, M.; Cucinotta, F.A. Heavy Ion Carcinogenesis and Human Space Exploration. Nat. Rev. Cancer 2008, 8, 465–472. [Google Scholar] [CrossRef] [PubMed]
- Hase, Y.; Shimono, K.; Inoue, M.; Tanaka, A.; Watanabe, H. Biological Effects of Ion Beams in Nicotiana tabacum L. Radiat. Environ. Biophys. 1999, 38, 111–115. [Google Scholar] [CrossRef]
- Kumagai, J.; Katoh, H.; Kumada, T.; Tanaka, A.; Tano, S.; Miyazaki, T. Strong Resistance of Arabidopsis Thaliana and Raphanus Sativus Seeds for Ionizing Radiation as Studied by ESR, ENDOR, ESE Spectroscopy and Germination Measurement: Effect of Long-Lived and Super-Long-Lived Radicals. Radiat. Phys. Chem. 2000, 57, 75–83. [Google Scholar] [CrossRef]
- Wu, L.; Yu, Z. Radiobiological Effects of a Low-Energy Ion Beam on Wheat. Radiat. Environ. Biophys. 2001, 40, 53–57. [Google Scholar] [CrossRef] [PubMed]
- George, B.; Kaur, C.; Khurdiya, D.S.; Kapoor, H.C. Antioxidants in Tomato (Lycopersium Esculentum) as a Function of Genotype. Food Chem. 2004, 84, 45–51. [Google Scholar] [CrossRef]
- Costanzo, G.; Iesce, M.R.; Naviglio, D.; Ciaravolo, M.; Vitale, E.; Arena, C. Comparative Studies on Different Citrus Cultivars: A Revaluation of Waste Mandarin Components. Antioxidants 2020, 9, 517. [Google Scholar] [CrossRef]
- Lichtenthaler, H.K. [34] Chlorophylls and Carotenoids: Pigments of Photosynthetic Biomembranes. In Methods in Enzymology; Academic Press: Orlando, FL, USA, 1987; pp. 350–382. [Google Scholar]
- Vitale, E.; Velikova, V.; Tsonev, T.; Ferrandino, I.; Capriello, T.; Arena, C. The Interplay between Light Quality and Biostimulant Application Affects the Antioxidant Capacity and Photosynthetic Traits of Soybean (Glycine max L. Merrill). Plants 2021, 10, 861. [Google Scholar] [CrossRef]
- Wang, W.; Vignani, R.; Scali, M.; Cresti, M. A Universal and Rapid Protocol for Protein Extraction from Recalcitrant Plant Tissues for Proteomic Analysis. Electrophoresis 2006, 27, 2782–2786. [Google Scholar] [CrossRef]
- Bradford, M.M. A Rapid and Sensitive Method for the Quantitation of Microgram Quantities of Protein Utilizing the Principle of Protein-Dye Binding. Anal. Biochem. 1976, 72, 248–254. [Google Scholar] [CrossRef]
- Fenner, M.; Thompson, K. The Ecology of Seeds; Cambridge University Press: Cambridge, UK, 2005. [Google Scholar]
- Sax, K. The Stimulation of Plant Growth by Ionizing Radiation. Radiat. Bot. 1963, 3, 179–186. [Google Scholar] [CrossRef]
- Calabrese, E.J.; Baldwin, L.A. Radiation Hormesis: Its Historical Foundations as a Biological Hypothesis. Hum. Exp. Toxicol. 2000, 19, 41–75. [Google Scholar] [CrossRef] [PubMed]
- De Micco, V.; Amitrano, C.; Vitaglione, P.; Ferracane, R.; Pugliese, M.; Arena, C. Effect of Light Quality and Ionising Radiation on Morphological and Nutraceutical Traits of Sprouts for Astronauts’ Diet. Acta Astronaut. 2021, 185, 188–197. [Google Scholar] [CrossRef]
- de Micco, V.; Arena, C.; Aronne, G. Anatomical Alterations of P Haseolus vulgaris L. Matur. Leaves Irradiat. X-rays. Plant. Biol. 2014, 16, 187–193. [Google Scholar] [CrossRef] [PubMed]
- Arena, C.; Turano, M.; Mele, B.; Cataletto, P.R.; Furia, M.; Pugliese, M.; Micco, V. Anatomy, Photochemical Activity, and DNA Polymorphism in Leaves of Dwarf Tomato Irradiated with X-rays. Biol. Plant. 2017, 61, 305–314. [Google Scholar] [CrossRef]
- Amitrano, C.; Arena, C.; Rouphael, Y.; De Pascale, S.; De Micco, V. Vapour Pressure Deficit: The Hidden Driver behind Plant Morphofunctional Traits in Controlled Environments. Ann. Appl. Biol. 2019, 175, 313–325. [Google Scholar] [CrossRef]
- Amitrano, C.; Junker, A.; D’Agostino, N.; de Pascale, S.; de Micco, V. Integration of High-Throughput Phenotyping with Anatomical Traits of Leaves to Help Understanding Lettuce Acclimation to a Changing Environment. Planta 2022, 256, 68. [Google Scholar] [CrossRef]
- Arena, C.; Vitale, E.; Hay Mele, B.; Cataletto, P.R.; Turano, M.; Simoniello, P.; De Micco, V. Suitability of Solanum lycopersicum L. ‘Microtom’ for Growth in Bioregenerative Life Support Systems: Exploring the Effect of High-LET Ionising Radiation on Photosynthesis, Leaf Structure and Fruit Traits. Plant Biol. 2019, 21, 615–626. [Google Scholar] [CrossRef]
- Vitale, E.; Vitale, L.; Costanzo, G.; Velikova, V.; Tsonev, T.; Simoniello, P.; De Micco, V.; Arena, C. Light Spectral Composition Influences Structural and Eco-Physiological Traits of Solanum lycopersicum L. Cv. ‘Microtom’ Response High-LET Ioniz. Radiation. Plants 2021, 10, 1752. [Google Scholar] [CrossRef]
- Aly, A.; Eliwa, N.; AbdEl-Megid, M. Stimulating Effect of Gamma Radiation on Some Active Compounds in Eggplant Fruits. Egypt. J. Radiat. Sci. Appl. 2019, 32, 61–73. [Google Scholar] [CrossRef]
- ben Salem, I.; Fekih, S.; Sghaier, H.; Bousselmi, M.; Saidi, M.; Landoulsi, A.; Fattouch, S. Effect of Ionising Radiation on Polyphenolic Content and Antioxidant Potential of Parathion-Treated Sage (Salvia Officinalis) Leaves. Food Chem. 2013, 141, 1398–1405. [Google Scholar] [CrossRef]
- Akram, N.A.; Shafiq, F.; Ashraf, M. Ascorbic Acid-A Potential Oxidant Scavenger and Its Role in Plant Development and Abiotic Stress Tolerance. Front. Plant. Sci. 2017, 8, 613–630. [Google Scholar] [CrossRef] [PubMed]
- Bendich, A.; Olson, J.A. Biological Actions of Carotenoids 1. FASEB J. 1989, 3, 1927–1932. [Google Scholar] [CrossRef] [PubMed]
- Britton, G. Structure and Properties of Carotenoids in Relation to Function. FASEB J. 1995, 9, 1551–1558. [Google Scholar] [CrossRef] [PubMed]
- Oshima, S.; Ojima, F.; Sakamoto, H.; Ishiguro, Y.; Terao, J. Supplementation with Carotenoids Inhibits Singlet Oxygen-Mediated Oxidation of Human Plasma Low-Density Lipoprotein. J. Agric. Food Chem. 1996, 44, 2306–2309. [Google Scholar] [CrossRef]
- Kiong, A.L.P.; Lai, A.G.; Hussein, S.; Harun, A.R. Physiological Responses of Orthosiphon Stamineus Plantles to Gamma Irradiation. Am. Eurasian J. Sustain. Agric. 2008, 2, 135–149. [Google Scholar]
- Kim, J.-H.; Lee, M.H.; Moon, Y.R.; Kim, J.-S.; Wi, S.G.; Kim, T.H.; Chung, B.Y. Characterization of Metabolic Disturbances Closely Linked to the Delayed Senescence of Arabidopsis Leaves after γ Irradiation. Environ. Exp. Bot. 2009, 67, 363–371. [Google Scholar] [CrossRef]
- Alikamanoglu, S.; Yaycili, O.; Sen, A. Effect of Gamma Radiation on Growth Factors, Biochemical Parameters, and Accumulation of Trace Elements in Soybean Plants (Glycine max L. Merrill). Biol. Trace Elem. Res. 2011, 141, 283–293. [Google Scholar] [CrossRef]
- Mohammed, A.H.; Mohamed, H.I.; Zaki, L.M.; Mogazy, A.M. Pre-Exposure to Gamma Rays Alleviates the Harmful Effect of Salinity on Cowpea Plants. J. Stress Physiol. Biochem. 2012, 8, 199–217. [Google Scholar]
- Desai Aruna, S. Rao Srinath Effect of Gamma Radiation on Germination and Physiological Aspects of Pigeon Pea (Cajanus cajan (L.) Millsp) Seedlings. IMPACT Int. J. Res. Appl. Nat. Social Sci. (IMPACT IJRANSS) 2014, 2, 47–52. [Google Scholar]
- Kim, J.-H.; Baek, M.-H.; Chung, B.Y.; Wi, S.G.; Kim, J.-S. Alterations in the Photosynthetic Pigments and Antioxidant Machineries of Red Pepper (Capsicum annuum L.) Seedlings from Gamma-Irradiated Seeds. J. Plant Biol. 2004, 47, 314–321. [Google Scholar] [CrossRef]
- Ling Anna Pick Kiong; Chia Jing Yi; Sobri Hussein; Abdul Rahim Harun Physiological Responses of Citrus Sinensis to Gamma Irradiation. World Appl. Sci. J. 2008, 5, 12–19.
- Kumar, P.; Sharma, V.; Atmaram, C.K.; Singh, B. Regulated Partitioning of Fixed Carbon (14C), Sodium (Na+), Potassium (K+) and Glycine Betaine Determined Salinity Stress Tolerance of Gamma Irradiated Pigeonpea [Cajanus cajan (L.) Millsp]. Environ. Sci. Pollut. Res. 2017, 24, 7285–7297. [Google Scholar] [CrossRef] [PubMed]
- Vardhan, P.V.; Shukla, L.I. Gamma Irradiation of Medicinally Important Plants and the Enhancement of Secondary Metabolite Production. Int. J. Radiat. Biol. 2017, 93, 967–979. [Google Scholar] [CrossRef] [PubMed]



| 0 Gy | 0.3 Gy | 1 Gy | 10 Gy | 20 Gy | 30 Gy | Sig. | |
|---|---|---|---|---|---|---|---|
| UET (μm) | 21.3 ± 1.07 a | 21.2 ± 0.85 a | 24.2 ± 1.16 a | 20.6 ± 1.06 a | 20.2 ± 0.99 a | 22.8 ± 0.86 a | NS |
| PPT (μm) | 61.7 ± 1.92 b | 55.3 ± 2.40 c | 70.8 ± 2.46 a | 47.9 ± 1.31 d | 52.0 ± 1.55 cd | 62.9 ± 2.07 b | *** |
| SPT (μm) | 87.4 ± 3.11 b | 82.1 ± 2.08 bc | 104 ± 2.55 a | 77.0 ± 2.13 c | 86.5 ± 2.32 b | 107 ± 3.19 a | *** |
| LET (μm) | 16.7 ± 0.79 a | 15.9 ± 0.77 a | 17.7 ± 1.10 a | 15.6 ± 0.70 a | 16.4 ± 0.78 a | 18.5 ± 0.76 a | NS |
| TLLT (μm) | 187 ± 3.67 b | 173 ± 3.43 c | 217 ± 3.96 a | 160 ± 2.01 d | 175 ± 3.45 c | 211 ± 4.47 a | *** |
| SPIS (%) | 10.3 ± 1.45 b | 8.96 ± 1.84 b | 13.6 ± 1.46 a | 10.3 ± 1.12 b | 14.2 ± 2.02 a | 15.0 ± 1.15 a | *** |
| SD ad (n/mm) | 3.05 ± 0.48 ab | 3.58 ± 0.61 ab | 2.09 ± 0.30 b | 2.71 ± 0.54 ab | 4.27 ± 0.68 a | 2.35 ± 0.39 b | * |
| SD ab (n/mm) | 3.66 ± 0.74 a | 5.09 ± 1.13 a | 3.98 ± 0.55 a | 4.89 ± 0.77 a | 5.97 ± 0.94 a | 4.89 ± 0.81 a | NS |
Disclaimer/Publisher’s Note: The statements, opinions and data contained in all publications are solely those of the individual author(s) and contributor(s) and not of MDPI and/or the editor(s). MDPI and/or the editor(s) disclaim responsibility for any injury to people or property resulting from any ideas, methods, instructions or products referred to in the content. |
© 2023 by the authors. Licensee MDPI, Basel, Switzerland. This article is an open access article distributed under the terms and conditions of the Creative Commons Attribution (CC BY) license (https://creativecommons.org/licenses/by/4.0/).
Share and Cite
De Francesco, S.; Amitrano, C.; Vitale, E.; Costanzo, G.; Pugliese, M.; Arrichiello, C.; Ametrano, G.; Muto, P.; Arena, C.; De Micco, V. Growth, Anatomical, and Biochemical Responses of the Space Farming Candidate Brassica rapa L. Microgreens to Low-LET Ionizing Radiation. Horticulturae 2023, 9, 452. https://doi.org/10.3390/horticulturae9040452
De Francesco S, Amitrano C, Vitale E, Costanzo G, Pugliese M, Arrichiello C, Ametrano G, Muto P, Arena C, De Micco V. Growth, Anatomical, and Biochemical Responses of the Space Farming Candidate Brassica rapa L. Microgreens to Low-LET Ionizing Radiation. Horticulturae. 2023; 9(4):452. https://doi.org/10.3390/horticulturae9040452
Chicago/Turabian StyleDe Francesco, Sara, Chiara Amitrano, Ermenegilda Vitale, Giulia Costanzo, Mariagabriella Pugliese, Cecilia Arrichiello, Gianluca Ametrano, Paolo Muto, Carmen Arena, and Veronica De Micco. 2023. "Growth, Anatomical, and Biochemical Responses of the Space Farming Candidate Brassica rapa L. Microgreens to Low-LET Ionizing Radiation" Horticulturae 9, no. 4: 452. https://doi.org/10.3390/horticulturae9040452
APA StyleDe Francesco, S., Amitrano, C., Vitale, E., Costanzo, G., Pugliese, M., Arrichiello, C., Ametrano, G., Muto, P., Arena, C., & De Micco, V. (2023). Growth, Anatomical, and Biochemical Responses of the Space Farming Candidate Brassica rapa L. Microgreens to Low-LET Ionizing Radiation. Horticulturae, 9(4), 452. https://doi.org/10.3390/horticulturae9040452

