Next Article in Journal
Enhanced CO2 Reduction by Electron Shuttle Molecules via Coupling Different Electron Transport Processes in Microbial Electrosynthesis
Next Article in Special Issue
By-Product from Livestock Waste Recovery System Used as Fertilizer: Bioactive Compounds and Antioxidant Activity of Tomato Fruit as Affected by Fertilization under Field and Greenhouse Conditions
Previous Article in Journal
Comprehensive Changes in Nutrient Constituents and Antioxidant Activity during Food Processing of Isoflavone-Enriched Soybean Leaf by Mycelia of Tricholoma matsutake
Previous Article in Special Issue
Purification and Characterization of Xylanase Produced by Aspergillus fumigatus Isolated from the Northern Border Region of Saudi Arabia
 
 
Font Type:
Arial Georgia Verdana
Font Size:
Aa Aa Aa
Line Spacing:
Column Width:
Background:
Article

Biofuel Production from Mango and Orange Peel and Tapioca Shells by Fermentation Using Consortium of Bacteria: Agricultural and Food Waste Valorization

by
Tamilselvan Vinotha
1,
Narendrakumar Umamaheswari
2,
Jeganathan Pandiyan
3,
Khalid A. Al-Ghanim
4,
Marcello Nicoletti
5 and
Marimuthu Govindarajan
6,7,*
1
Department of Microbiology, Hindustan College of Arts and Science, Coimbatore 641028, Tamil Nadu, India
2
Department of Microbiology, STET Women’s College (Autonomous), Sundarakkottai, Mannargudi 614016, Tamil Nadu, India
3
Department of Zoology and Wildlife Biology, A.V.C. College, Mannampandal, Mayiladuthurai 609305, Tamil Nadu, India
4
Department of Zoology, College of Science, King Saud University, Riyadh 11451, Saudi Arabia
5
Department of Environmental Biology, Sapienza University of Rome, 00185 Rome, Italy
6
Unit of Mycology and Parasitology, Department of Zoology, Annamalai University, Annamalainagar 608002, Tamil Nadu, India
7
Unit of Natural Products and Nanotechnology, Department of Zoology, Government College for Women (Autonomous), Kumbakonam 612001, Tamil Nadu, India
*
Author to whom correspondence should be addressed.
Fermentation 2023, 9(7), 678; https://doi.org/10.3390/fermentation9070678
Submission received: 22 June 2023 / Revised: 9 July 2023 / Accepted: 14 July 2023 / Published: 19 July 2023
(This article belongs to the Special Issue Advanced Research in Biomass and Waste Valorization)

Abstract

Lignocellulosic substrates are considered to be crucial substrates for the production of biofuels. The main objective of the study is to attempt to produce bioethanol using bio-wastes such as mango peels, orange peels, and tapioca shells as renewable sources by employing three bacteria viz., Enterobacter cloacae (ICBP1), Pseudomonas aeruginosa (ICBP7), and Bacillus cereus (ICBP15), which were chosen to produce cellulase enzymes using the submerged fermentation method, which is a novel method for the production of bioethanol. The “zone of clearance” in bacterial growth on CMC agar plates determined the choice. The mixed culture infected units produced a more reduced sugar, i.e., the presence of aldehyde and ketones except sucrose. At 72 h, greater than 41.0 ± 0.48 mL and 0.83 ± 0.07% of ethanol was recovered. This contrasts with the reduced quantities at 24 and 48 h. SDS-PAGE examination showed that the three cellulose-producing bacterial strains (ICPB1, ICPB7, and ICPB15) had enzyme molecular weights of 80–100, 20–30, and 14–20 kDa, respectively, compared to the other 17 isolates. Fourier-transform infrared (FTIR) spectroscopy was used to estimate the bioethanol. The spectrum bands from 1700 to 1800 cm−1 showed bioethanol’s unique absorption characteristics, and GC-MS confirmed 31.38% ethanol. The findings of the research demonstrate that the utilization of fermentation technology, specifically employing microbes, to produce bioethanol from bio-wastes such as fruits and vegetables has the potential to address the worldwide fuel energy requirements.

1. Introduction

The excessive utilization of fossil fuels has experienced a significant surge, leading to a rise in global temperatures and substantial alterations in climate patterns. These changes have resulted in unforeseen calamities and severe pandemic conditions on Earth. The escalating price of petrol and the diminishing petroleum reserves have prompted a call for a sustainable substitute for petrol in the form of biofuels. A variety of renewable biofuels, such as bioethanol, bio-hydrogen, bio-diesel, and bio-butanol, are currently available [1,2,3]. Bioethanol is a highly valuable and widely accepted fuel globally due to its economic feasibility in both production and consumption. Moreover, the large-scale manufacturing of bioethanol is derived from diverse sources, notably sugar and starch sources such as sugarcane juice and maize grains, commonly referred to as first-generation bioethanol [4,5]. The impending scarcity of sugar and starch sources in the future, resulting from their excessive exploitation and utilization as a result of the growing demand for fuel, cannot be disregarded. Despite its abundance and renewability, cellulosics are a highly significant and dependable organic resource found abundantly throughout the world. Cellulosics have the potential to serve as a plentiful source of raw material, which could effectively address the increasing demand for fuel energy and enhance energy security [6,7].
In fact, it is important to explore alternative sources of fuel energy in order to satisfy the growing demand for fuel. Various resources such as vegetables, fruits, forest byproducts, agrofarm waste including chicken feather wastes, municipal waste, and lignocellulosic materials are commonly utilized for the production of biofuels on a global scale. The utilization of lignocellulosic material is considered just as crucial for bioethanol production when compared to other resources due to its ability to provide a blend of sugars [1,8]. The production of biofuels utilizing bio-wastes that contain lignocellulose is a highly feasible and sustainable approach, as the supply of lignocellulosic material is virtually limitless and cannot be compared to the cultivation of crops with similar benefits. Cellulose is a homopolymer composed of over 3000 repeated glucose units that are linked together by β (1–4 bonds) [2]. Cellulose is a constituent of plant matter that is synthesized through the process of photosynthesis. Approximately 7.5 × 1010 tons of cellulose are produced on an annual basis [3].
Metabolic engineering of bacterial strains for high levels of cellulose catabolism is needed to increase cellulosic ethanol output. This second-generation biofuel aims to create new ethanologenic strains that could convert a wider variety of carbohydrates into ethanol with greater efficiency. Ethanol could be made directly from lignocellulosic hydrolysate after pre-treatment, which is the subject of the current work and significantly reduces the cost of ethanol production. Many investigations have shown that bio-waste, notably the outer coverings of fruits and vegetables, are essential sources for the production of bioethanol. For instance, good quantities of ethanol may be produced from mango peel [4]. Additionally, the abundant pectin in orange peel makes it an important source in the synthesis of ethanol production [5,6]. Tapioca, on the other hand, is another vegetable waste that might be used to produce a decent amount of bioethanol [7]. According to research, understanding the metabolism of cellulolytic bacteria is crucial for developing the “third generation” of biofuels [9]. The combination of bacterial species that are allowed to roam freely has the potential to increase the outputs of the conversion of lignocellulosic biomass [9]. In addition, the inherent bacterial consortium presents significant advantages in the bioethanol sector, specifically in the wider range of natural lignocellulosic biomass substrates [10,11,12].
Cellulases are enzymes that catalyze the hydrolysis of the cellulosic molecule, resulting in the formation of monosaccharides, polysaccharides, and oligosaccharides. This reaction pertains to the process of hydrolyzing the 1,4-beta-D-glycosidic bonds present in cellulose, hemicelluloses, and beta-D-glucans. Bioethanol is a type of ethanol that is derived from bio-based feedstock through a sugar fermentation process. Cellulosic materials are currently under investigation for their potential use in the production of biofuels. These materials encompass those present in agricultural and forestry sources as well as plant residues as bio-wastes. Cellulosic ethanol is the term used to refer to the ethanol that is derived from cellulose. Enzymes, as a matter of fact, are a type of protein that function as catalysts, expediting chemical reactions. Enzymes interact with substrates and catalyze their conversion into various products that play crucial roles in cellular metabolic processes. Enzymes play a crucial role in supporting the metabolic processes of cells, thereby sustaining life forms. As such, they are considered vital characteristics of living organisms [3]. Numerous studies have explored the utilization of different substrates for the microbial production of biodiesel. Nevertheless, the present investigation employed a bacterial consortium to synthesize biodiesel from biowastes, representing a pioneering endeavor in the realm of bioethanol generation. Therefore, the present research intended to employ a variety of fruit and vegetable wastes in which specific consortiums of bacteria were used to produce bioethanol. The main objective of the study is to determine the qualitative and quantitative assessment of ethanol produced through fermentation techniques using sophisticated equipment and standard protocols. Furthermore, this study aims to facilitate a novel technique that addresses the pressing global need to meet fuel energy demand in an environmentally friendly manner. This approach is crucial in overcoming the current challenges associated with fuel energy demands.

2. Materials and Methods

2.1. Collection of Bio-Waste Samples

A variety of waste substrate samples were gathered, including tapioca shell, banana peel, beetroot peel, pumpkin peel, custard apple shell, orange peel, mango peel, pineapple peel, jackfruit inner peel, apple peel, papaya peel, watermelon shells, bean shell, sorghum stalk, sweet lime, muskmelon, corn cobs, chikoo fruit, corn stalk, and ginger peel. The waste substrates were procured from Tiruchirappalli, Aruppukottai, Erode, Virudhunagar, Tuticorin, and Sathyamangalam, Tamil Nadu, India. These samples were then transported to the laboratory in a coolant pack for further analysis. The substrates underwent a process of air-drying and pulverization. The pulverized specimens were utilized in the synthesis of ethanol.

2.1.1. Screening of Enzymes Producing Bacteria

The composition of the carboxymethyl cellulose (CMC) agar was developed to include the following components per liter: peptone (10.0 g), carboxymethyl cellulose (CMC) (10.0 g), K2HPO4 (2.0 g), MgSO4·7H2O (0.3 g), (NH4)2SO4 (2.5 g), gelatin (2.0 g), and agar (15 g). The pH of the medium was regulated to a range of 6.8–7.2, and the plates were subsequently subjected to incubation at room temperature for 72 h. The resulting plates were then subjected to staining with a solution of 0.1% Congo red and 1M sodium chloride for 15–20 min [13].

2.1.2. Identification of Isolated Bacteria

Bacterial strains were identified by utilizing cultural morphology, staining techniques, motility assays, and biochemical properties. Giuliano et al.’s approach [14] was employed to conduct morphological and biochemical analyses.

2.1.3. Inoculum Preparation

In a 250 mL flask, the inoculum medium was made using a working volume of 100 mL nutrient agar media, which included (g/L) 0.5 g of peptone, 0.3 g of beef extract, 0.5 g of NaCl, and 100 mL of distilled H2O. It was then pasteurized at 121 °C for around fifteen minutes. A single loopful of bacterial strains Enterobacter cloacae (ICPB1), Pseudomonas aeruginosa (ICPB7), and Bacillus cereus (ICPB15), which are known to produce cellulose, was inoculated into a 250 mL Erlenmeyer flask containing 100 mL of nutrient broth. The bacterial strains were obtained from a one-day-old culture grown on a nutrient agar slant. The flask was maintained at 37 °C and subjected to agitation at 150 rpm within an incubator shaker for 24 h, as reported in reference [15].

2.2. Making of Bioethanol

2.2.1. Cross Streaking Technique

The antagonistic activity was identified using the cross-streak plating method [16]. Nutrient agar plates were inoculated with a single isolate by a single streak in the Petri plate and tested organisms by a single streak at 90° angles. The plates were incubated at 38 °C for 24 h. Antagonistic activities were observed for the inhibition of the test organism.

2.2.2. Bacterial Consortia Preparation

A bacterial consortium that uses enzymatic processes to break down the orange peel, mango peel, and tapioca shell components has been developed. The orange rind was degraded using three bacterial species using the methodology outlined by Rahman et al. [17]. The bacterial consortium was subjected to overnight incubation at 37 °C and 120 rpm. The bacterial strain growth for each species was confirmed by utilizing nutrient agar plates and streaking techniques. In brief, a volume of 5 mL was extracted from each broth (ICPB1, ICPB7, and ICPB15, as specified in Section 2.2.3) using a Falcon transfer pipette. The samples were then subjected to centrifugation at a speed of 5000 rpm for approximately 15 min. The sediment samples were utilized and subsequently treated with a normal saline solution. The mixture was then vigorously agitated using vortexes until homogeneity was achieved. As an illustration, 0.1 mL of individual colonies were introduced into the nutrient broth and subsequently incubated overnight. The present study utilized the consortia sample that had been previously prepared and stored in an inoculated flask, following the methodology outlined by Ho et al. [18].

2.2.3. Microbial Fermentation

The experiment involved utilizing pre-treated orange peel powder as the raw material, supplemented with a combination of NaNO3 (3 g), MgSO7H2O (0.5 g), KCl (0.5 g), K2HPO4 (1.0 g), and FeSO4 7H2O (0.1 g) and maintaining a pH of 7 ± 2. The mixture was placed in 500 mL flasks and subjected to a rotary shaker at 250 rpm. The experimental treatment involved the combination as follows: T1—fermentation medium + orange peel powder + ICPB1, T2—fermentation medium + orange peel powder + ICPB7, T3—fermentation medium + orange peel powder + ICPB15, T4—fermentation medium + orange peel powder + ICPB1 + ICPB7, T5—fermentation medium + orange peel powder + ICPB1+ ICPB15, T6—fermentation medium + orange peel powder + ICPB7 + ICPB15 and T7—fermentation medium + orange peel powder + ICPB1 + ICPB7 + ICPB15.
The flasks underwent inoculation for approximately 24 h. The process of developing the inoculum and conducting fermentation was carried out under controlled temperature conditions at 37 ± 1 °C, utilizing a shaker operating at 250 rpm. The bioethanol was retrieved using conventional distillation [19] after fermentation. The study investigated the effects of orange peel powder on ethanol production by utilizing it as a medium for fermentation and treatments. The development of consortia was achieved through the utilization of three bacterial isolates, employing a permutation combination approach. Notably, no antagonistic effects were observed among the resultant consortia.

2.2.4. Screening for Ethanol

A solution containing 0.1M of potassium dichromate (K2Cr2O7) and a small quantity of H2SO4 was introduced into a 10 mL sample of the fermented substance. The chromatic transition from pink to green observed in the sample indicates the positive detection of bioethanol.

2.2.5. Estimation of Ethanol

A total of 10 mL of distilled water was placed in a beaker, followed by the addition of 25 mL of 3.4% H2CrO4 (dissolving 33.768 g of potassium dichromate in 350 mL of distilled water, which was then cooled in an ice bath before slowly adding 350 mL of concentrated sulfuric acid). Furthermore, a volume of 50 mL of double-distilled water was introduced to the solution, which was subsequently brought to a total volume of 1000 mL by adding distilled water. The resulting mixture was homogenized and subjected to heating at a temperature of 80 °C for 15 min. The absorbance measurement was conducted utilizing a spectrophotometer set at a wavelength of 580 nm. The standard ethanol curve was generated by plotting the concentration of alcohol content against the corresponding absorbance values at 580 nm, as reported in reference [19].

2.3. Reducing Sugar Estimation

The quantification of reducing sugars was carried out using the dinitrosalicylic acid (DNSA) method, as outlined by Miller [20]. The DNSA reagent was prepared by sequentially dissolving 10 g of sodium hydroxide (NaOH), 192 g of Rochelle salt (sodium potassium tartrate), 10 g of DNSA, 2 g of Phenol, and 0.5 g of sodium sulphite in approximately 600 mL of distilled water. The final volume was adjusted to 1000 mL by adding distilled water. A standard curve for glucose was generated by combining 1.0 mL of standard glucose solution with concentrations ranging from 0.1 to 1.0 mg glucose per milliliter with 2.0 mL of DNSA reagent in test tubes. The resulting mixture was incubated at 100 °C for 5 min. In each test tube, a volume of 10 milliliters of distilled water was utilized, and subsequently, the spectrophotometer was employed to measure the blank absorbance at a wavelength of 540 nm. A standard curve of glucose was developed by plotting the glucose concentration (in milligram/milliliter) against the respective absorbance values.

2.4. Estimation of Cellulose

The approach outlined by Viles and Silverman [21] was employed to quantify the amount of cellulose. One milliliter of the sample was mixed with three milliliters of acetic/nitric reagent, which is composed of 80% acetic acid and concentrated nitric acid (10 mL). The mixture was thoroughly mixed using a vortex mixer. The test tube was subjected to thermal treatment by immersion in a water bath at a temperature of 100 °C for 30 min. Following this, the test tubes underwent centrifugation at a rate of 4000 revolutions per minute for 20 min. The supernatant was removed, and a solution of 10 mL of 67% H2SO4 (comprising 67 mL of concentrated H2SO4 and 33 mL of distilled water) was added and allowed to react for a duration of 1 h. The samples underwent a 100-fold dilution, after which a 1 mL aliquot was combined with 10 mL of anthrone reagent consisting of 200 mg of anthrone and 100 mL of concentrated H2SO4. The mixture was heated in a water bath for 10 min then cooled to room temperature. The samples that underwent treatment were assessed at a wavelength of 630 nm utilizing a spectrophotometer.

2.5. Determination of Cellulase Enzyme by SDS-PAGE

The enzyme suspension was subjected to SDS-PAGE analysis, and each lane received 100 µg of protein [22].

2.5.1. Analysis of Ethanol by FTIR

Fourier transform infrared (FTIR) is a powerful technique used to determine the functional group in the material. Infrared spectroscopy is the study of the interaction between matter and electromagnetic fields in the IR region, which reveal the properties of the matter. In this spectral region, the electromagnetic wave mainly pairs with molecular vibrations. In other words, absorbing IR radiation can excite a molecule to a higher vibration state. The probability of an IR frequency and the absorbed molecule depends on the interaction between the frequency and the molecule. In order to estimate the functional group of the target chemical from the samples, ten milliliters of the samples were extracted with ethyl acetate, and the solvent was then vaporized under vacuum [23]. Using an FTIR spectrophotometer, the extracts were examined between 400 and 700 cm−1 [24].

2.5.2. Analysis of Ethanol by GC-MS

The ethanol analysis was carried out using a Varian CP-3800 Gas Chromatograph. The chromatograph was filtered with a RMSH-2 capillary column (carbon). The injector temperature was set at 225 °C, and the over temperature was initially at 50 °C then programmed to 200 °C at a rate of 10 °C/min. Finally, help at 200 °C for 5 min return was used as carried out with a flow rate of 10 mL/min, and the sample was injected in split injection mode in the amount of 2 mL or less. The fermented bioethanol was analyzed using a Varian Shimadzu gas chromatography apparatus (Model: GC 8000 series and MD 8000) equipped with a Varian P—3800 single quadruple mass spectrometer. The GC analysis condition was the same as requested for the GC analysis, and the same column was used. The mass spectrometer was operated in the electron impact (EI) mode at (70 eV). The iron source and transform line temperature were kept at 450 °C. The mass spectrum was obtained “the plot of intensity as function of the mass to charge ratio” over a mass range spanning from 50 to 225 °C. The process of identifying compounds was conducted utilizing a standardized technique as outlined by Pontes [25].

2.5.3. Statistical Analysis

The mean and standard deviation were computed for the volume of ethanol in seven distinct treatments of bacteria on various combinations of substrates. Additionally, the mean and standard deviations were determined for the volume of reducing sugar and cellulase across different time intervals. The data were subjected to analysis using SPSS 25.0.

3. Results

The research yielded a significant amount of bioethanol from lignocellulosic components through the utilization of bacterial consortia sourced from various bio-wastes, employing fermentation methodologies. A total of 20 isolates were procured from bio-wastes, out of which three were found to have effectively produced bioethanol. Consequently, the consortium of three bacteria (ICBP1, ICBP7, and ICBP15) was selected for the study instead of the remaining 17 isolates to produce ethanol using varying combinations and substrates.

3.1. Isolation and Identification of Bacteria

The population of various bacteria gathered from various bio-wastes was tallied, and the orange waste substrate had the greatest bacterial population (221 × 106 CFU/g) compared to the other bio-waste substrates examined throughout the research, i.e., 102 × 10−5 CFU/g and 186 × 10−5 CFU/g in mango and tapioca shells, respectively. The process of isolating and identifying bacteria was conducted by utilizing the morphological and biochemical traits of 20 distinct isolates. All of the examined isolates, specifically 10, exhibited positive results for catalase, while 10 showed negative results for both H2S and lactose fermentation. However, regarding other biochemical tests, there was a lack of consistency in the results. The ten isolates that were examined displayed dissimilar responses. Specifically, six isolates exhibited a positive urease test, three displayed a positive oxidase test, and one was positive for MR, VP, nitrate reduction, and starch hydrolysis tests.

3.2. Screening of Cellulase Enzymes-Producing Bacteria

The three isolates, namely E. cloacae (ICPB1), P. aeruginosa (ICPB7), and B. cereus (ICPB15), exhibited distinct zones as a “zone of clearance” in bacterial growth on CMC agar plates and determined the appearance in contrast to the remaining 17 isolates. The first was determined to be E. cloacae (ICPB1), a rod-shaped, facultatively anaerobic, Gram-negative bacterium with peritrichous flagella. Its oxidase and catalase tests were also negative. P. aeruginosa (ICPB7) was identified as a gram-negative, rod-shaped bacteria with positive citrate, catalase, and oxidase findings. B. cereus (ICPB15) was identified as a gram-positive, rod-shaped, aerobic, facultatively anaerobic, motile, beta-hemolytic bacterium. This was because the Voges-Proskauer test, the starch hydrolysis, the nitrate reduction, and the citrate test were all positive. The bacterial isolates were characterized in accordance with the guidelines set forth in Bergey’s Manual of Systematic Bacteriology [26].

3.3. Production of Bioethanol by Cellulase-Producing Bacteria Using a Waste Substrate of Orange Peel Powder

Cellulase-producing bacteria were utilized to produce bioethanol using a bio-waste substrate composed of orange peel powder. The substrate was subjected to varying treatment units, namely T1, T2, T3, T4, T5, T6, and T7, as outlined in Section 2.2.3 of the methodology. After submerged fermentation, the reducing sugar and cellulose levels were analyzed in all treatment units. The findings are exhibited in Table 1 and Table 2. The mixed culture (ICPB1 + ICPB7 + ICPB15; 1:1:1 ratio) inoculated unit exhibited minimal reducing sugar while demonstrating a maximal level of cellulase enzyme production and total protein content.

3.4. Microbial Consortia

The bacterial consortium consisting of ICPB1, ICPB7, and ICPB15 exhibited a higher volume of ethanol (41 ± 0.48 mL) and a greater total residual sugar of 0.63 ± 0.05 g/L compared to the other combinations of bacteria, as presented in Table 1 and Table 2. The reduction in overall residual sugar content may indicate the conversion of sugars to achieve a greater ethanol yield. The mixed culture (ICPB1 + ICPB7 + ICPB15) inoculated production units exhibited the highest level of protein concentration, with a recorded value of 8.72 ± 0.33 mg/mL.

3.5. Protein Analysis by SDS-PAGE

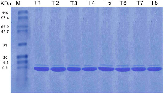
The determination of enzyme molecular weight was conducted through the utilization of SDS-PAGE. The present investigation demonstrated distinct bands of high molecular weight proteins ranging from 80–100 KDa in E. cloacae. The electrophoretic analysis of P. aeruginosa revealed the presence of bands with molecular weights ranging from 20 to 30 KDa. The electrophoretic analysis of B. cereus revealed the presence of bands ranging from 14 to 20 KDa, as depicted in Figure 1.

3.6. Analysis of Ethanol by FTIR

The distinctive absorptions of bioethanol are located in the spectral range between 1700 and 1800 cm−1. The absorption spectrum of ethanol reveals peaks at specific wavenumbers, namely 2750–3000 cm−1, which correspond to the stretching modes of CH2 and CH3, 1350–1500 cm−1, which signify angular deformation of CH2 and CH3, and 720 cm−1, which attributed to asymmetric angular deformation within the plane of CH2. The biodiesel spectra exhibit carbonyl bands’ stretching vibration at approximately 1750 cm−1. Symmetric angular deformation out of the plane of the C–H bonds of olefins is assigned to peaks in the 1000–900 cm−1 region. The asymmetric stretching band of C–C (O)–O bonds of the ester group is assigned to peaks around 1200 cm−1, while peaks around 1183 cm−1 are assigned to the asymmetric stretching band of O–C–C bonds. The 1378 cm−1 band is significant for detecting methyl groups in ethanol due to its association with the bending vibration location of C-H groups (Table 3, Table 4, Table 5, Table 6, Table 7, Table 8 and Table 9 and Figure 2, Figure 3, Figure 4, Figure 5, Figure 6, Figure 7 and Figure 8). The results of our investigation align with the research conducted by Kosa et al. [24], which suggests that the peak observed at 3400 cm−1 can be attributed to the stretching vibration of the hydroxyl group (OH).
Table 3. Prediction of the functional group using FTIR spectroscopy with different frequencies using ICPB1 (E. cloacae) in tapioca shell bioethanol.
Table 3. Prediction of the functional group using FTIR spectroscopy with different frequencies using ICPB1 (E. cloacae) in tapioca shell bioethanol.
S. No.FrequencyBondsFunctional Group
13436.86 cm−1N-HPrimary and secondary amines and amides (stretch)
22357.67 cm−1C-HAldehyde
32073.52 cm−1O-HCarboxylic acid
41637.36 cm−1C-OAlcohols, ethers, ester, carboxylic acid, anhydrides
5672.04 cm−1C=OAmides
Figure 2. FTIR spectroscopy analysis showed the ethanol production using ICPB1 (E. cloacae).
Figure 2. FTIR spectroscopy analysis showed the ethanol production using ICPB1 (E. cloacae).
Fermentation 09 00678 g002
Table 4. Prediction of the functional group using FTIR spectroscopy with different frequencies using ICPB7 (P. aeruginosa) in mango peel bio-ethanol.
Table 4. Prediction of the functional group using FTIR spectroscopy with different frequencies using ICPB7 (P. aeruginosa) in mango peel bio-ethanol.
S. No.FrequencyBondsFunctional Group
13404.93 cm−1O-HEsters
22977.08 cm−1C-HR-CH3
32900.09 cm−1O-H-COOH
42360.02 cm−1CCAlkynes
52124.59 cm−1C-OAlcohols
61922.60 cm−1O-HEsters
71648.70 cm−1C=OAlcohols
81451.70 cm−1C-HR-CH3
91387.49 cm−1, 1329.89 cm−1C=OAlcohols
101271.03 cm−1C-OAlcohols
111082.50 cm−1, 1048.19C-HAlkynes
12880.16 cm−1, 694.42 cm−1C=OAmides
Figure 3. FTIR spectroscopy analysis showed the ethanol production using ICPB7 (P. aeruginosa).
Figure 3. FTIR spectroscopy analysis showed the ethanol production using ICPB7 (P. aeruginosa).
Fermentation 09 00678 g003
Table 5. Prediction of the functional group using FTIR spectroscopy with different frequencies using ICPB15 (B. cereus) in orange peel bio-ethanol.
Table 5. Prediction of the functional group using FTIR spectroscopy with different frequencies using ICPB15 (B. cereus) in orange peel bio-ethanol.
S. No.FrequencyBondsFunctional Group
13435.33 cm−1O-HEsters
22982.55 cm−1C-HR-CH3
32906.50 cm−1C-HR-CH3
42364.27 cm−1, 2337.85 cm−1, 2099.27 cm−1 O-HEsters
51641.33 cm−1C=OAlcohols
61452.74 cm−1C-HR-CH3
71386.42cm−1, 1270.32 cm−1C=OAlcohols
81077.72 cm−1C-OAlcohols
91046.14 cm−1C-HAlkynes
10.876.47 cm−1C=OAmides
11.691.83 cm−1C=OAmides
Figure 4. FTIR spectroscopy analysis showed the ethanol production using ICPB15 (B. cereus).
Figure 4. FTIR spectroscopy analysis showed the ethanol production using ICPB15 (B. cereus).
Fermentation 09 00678 g004
Table 6. Prediction of the functional group using FTIR spectroscopy with different frequencies using ICPB1+ ICPB7 in tapioca shell + mango peel bioethanol.
Table 6. Prediction of the functional group using FTIR spectroscopy with different frequencies using ICPB1+ ICPB7 in tapioca shell + mango peel bioethanol.
S. No.FrequencyBondsFunctional Group
13415.83 cm−1O-HEsters
22978.23 cm−1C-HR-CH3
32930.01 cm−1C-HR-CH3
42901.30 cm−1C-HR-CH3
52497.07 cm−1O-HEsters
62360.78 cm−1C-OAlcohols
72125.72 cm−1C-OAlcohols
81923.06 cm−1C-OAlcohols
91647.67 cm−1C=OAlcohols
101451.91 cm−1, 1406.70 cm−1C=OAldehyde
111328.95 cm−1, 1272.66 cm−1C-OAlcohols
121083.12 cm−1, 1047.39 cm−1C-HAlkynes
13.879.81 cm−1, 685.90 cm−1C=OAmides
Figure 5. FTIR spectroscopy analysis showed the ethanol production using (ICPB1- E. cloacae + ICPB7- P. aeruginosa).
Figure 5. FTIR spectroscopy analysis showed the ethanol production using (ICPB1- E. cloacae + ICPB7- P. aeruginosa).
Fermentation 09 00678 g005
Table 7. Prediction of the functional group using FTIR spectroscopy with different frequencies using the combination of ICPB7 + ICPB15 in mango peel + orange peel, bioethanol.
Table 7. Prediction of the functional group using FTIR spectroscopy with different frequencies using the combination of ICPB7 + ICPB15 in mango peel + orange peel, bioethanol.
S. No.FrequencyBondsFunctional Group
13433.73 cm−1O-HEsters
22075.52 cm−1C-HR-CH3
31636.08 cm−1C=OAlcohols
41455.04 cm−1C-HR-CH3
51406.36 cm−1C-HR-CH3
61078.49 cm−1C-OAlcohols
71045.71 cm−1C-HAlkynes
8687.92 cm−1C=OAmides
Figure 6. FTIR spectroscopy analysis showed the ethanol production using (ICPB1- E. cloacae + ICPB15- B. cereus).
Figure 6. FTIR spectroscopy analysis showed the ethanol production using (ICPB1- E. cloacae + ICPB15- B. cereus).
Fermentation 09 00678 g006
Table 8. Prediction of the functional group using FTIR spectroscopy with different frequencies using the combination of ICPB1+ ICPB15 in tapioca shell + orange peel, bioethanol.
Table 8. Prediction of the functional group using FTIR spectroscopy with different frequencies using the combination of ICPB1+ ICPB15 in tapioca shell + orange peel, bioethanol.
S. No.FrequencyBondsFunctional Group
13433.63 cm−1O-HEsters
22073.53 cm−1C-HR-CH3
31637.01 cm−1C-OAlcohols
4669.19 cm−1C=OAmides
Figure 7. FTIR spectroscopy analysis showed the ethanol production using (ICPB7- P. aeruginosa + ICPB15- B. cereus).
Figure 7. FTIR spectroscopy analysis showed the ethanol production using (ICPB7- P. aeruginosa + ICPB15- B. cereus).
Fermentation 09 00678 g007
Table 9. Prediction of the functional group using FTIR spectroscopy with different frequencies using the combination of ICPB1 + ICPB7 + ICPB15 in tapioca shell + mango peel + orange peel) bioethanol.
Table 9. Prediction of the functional group using FTIR spectroscopy with different frequencies using the combination of ICPB1 + ICPB7 + ICPB15 in tapioca shell + mango peel + orange peel) bioethanol.
S. No.FrequencyBondsFunctional Group
13917.21 cm−1O-HEsters
23436.97 cm−1O-H-COOH
32982.35 cm−1C-HR-CH3
42905 cm−1, 2355.37 cm−1, 2080.20 cm−1C-HR-CH3
51642.77 cm−1C=OAlcohols
61487.18 cm−1C-HR-CH3
71452.55 cm−1, 1395.70 cm−1C-HR-CH3
81078.08 cm−1C-OAlcohols
91046.03 cm−1C-HAlkynes
10876.78 cm−1, 710.17 cm−1C=OAmides
Figure 8. FTIR spectroscopy analysis showed the ethanol production using (ICPB1- E. cloacae + ICPB7- P. aeruginosa + ICPB15- B. cereus).
Figure 8. FTIR spectroscopy analysis showed the ethanol production using (ICPB1- E. cloacae + ICPB7- P. aeruginosa + ICPB15- B. cereus).
Fermentation 09 00678 g008

3.7. Analysis of Ethanol by GC-MS

The quantitative analysis of bioethanol produced by fermented consortia was determined through the utilization of gas chromatography-mass spectrometry (GC-MS). The process of gas chromatography was employed to isolate compounds, and the mass spectrophotometer was utilized to determine the structural composition of expressed components. The quantitative analysis of ethanol in the fermentation consortia was conducted through the utilization of gas chromatography. The present study reports bioethanol production through fermentation consortia using potassium dichromate and its subsequent quantification by spectrophotometric analysis. The obtained bioethanol concentration was determined to be 26.81% (v/v). Furthermore, the bioethanol concentration was confirmed by gas chromatography, which yielded a concentration of 31.38% (v/v). The chromatographic analysis revealed a retention time of 1.497 min. The graphical representation in Figure 9a (sample) and Figure 9b (standard) indicates that the initial peak exhibits the highest ethanol concentration. The quantitative assessment of ethanol in the fermentation products was conducted using the spectrophotometer and GC-MS. The study involved a correlation analysis between the results obtained from the spectrophotometric method utilizing potassium dichromate and the gas chromatography findings of the ethanol volume produced by the bacterial consortium under investigation, which was exposed to different substrates.

4. Discussion

The research employed various permutations of three distinct substrates, namely mango peel, orange peel, and tapioca shells, to generate ethanol using diverse bacterial species. The research discovered that the three types of bacteria created more ethanol and interacted with the fruit wastes more successfully. According to various studies, mango peel, orange peel, and tapioca peel have been found to produce higher amounts of ethanol [4,5,6,7].
The research findings underscored the potential of E. cloacae (ICPB1), P. aeruginosa (ICPB7), and B. cereus (ICPB15) as viable candidates for the bioethanol production process utilizing fruit and vegetable substrates. E. cloacae’s genetic traits can potentially enhance plant substrates’ conversion, particularly lignocellulosic biomass, into bioethanol. For this reason, E. cloacae is regarded as a potential candidate for bioethanol production [27]. The findings of the present investigation demonstrate that utilizing a consortium of three microorganisms resulted in a higher bioethanol yield than a single microbial species for ethanol production. According to a study, P. aeruginosa is a distinct microorganism that can potentially engage with diverse plant substrates and other microorganisms to produce bioethanol in various environments [28,29]. It could be argued that the amalgamation of three distinct species resulted in superior crop output. Furthermore, Levin et al. [30] reported that the genomic makeup of P. aeruginosa exhibits a noteworthy gene expression related to the facilitation of alcohol production. This observation suggests that the species is capable of effectively producing ethanol. Conversely, B. cereus harbors essential microorganisms that exhibit behavior and interaction with substrates comparable to other microorganisms. A recent study revealed that the B. cereus might collaborate with other microorganisms and create more bioethanol, particularly when employing different fruit peel substrates [31,32,33]. The research anticipated that a group of bacteria, including E cloacae, P. aeruginosa, and B. cereus, could be utilized for the efficient generation of bioethanol. This would be achieved through the utilization of a blend of mango peel, orange peel, and tapioca shells, along with an extended fermentation period.
Moreover, 121 × 106 tons of citrus fruits are produced annually, and juice-producing companies produce 25 × 106 tons of citrus peel waste yearly. In addition to that, 50% of citrus fruits are peeled and pressed pulp [34,35,36]. Studies also revealed that bioethanol production from orange peel wastes using microbes is economically cheaper and viable for the production of bioethanol [37]. Therefore, the utilization of orange peel waste is one of the significant bio-wastes for better biofuel production and a hygienic environment. Nevertheless, the quantitative determination of ethanol production (percent v/v) was done by spectrophotometer (chromic acid) and GC-MS methods, and the results showed a positive correlation. In fact, another study has shown similar results as the current study and produced ethanol using the two methods [38].
In fact, the global increase in energy demand and the depletion of oil reserves have spurred the exploration of alternative energy sources, particularly those derived from renewable resources such as biomasses. Maximizing bioethanol production at a low cost can be accomplished by utilizing abundant bio-wastes as raw materials, which can be recycled to promote effective environmental management and ensure hygienic earth for optimal human health. Using bio-wastes, specifically peel wastes from fruits and shells of vegetables, for bioethanol production through microbial means is a viable and ecologically sound approach to biofuel production. This method is characterized by its sustainability, economic feasibility, operational efficiency, convenience, and safety. In recent times, there has been a growing interest in developing co-cultivation systems for producing biofuels and chemicals. Co-cultivation has extended beyond the mere blending of untamed strains and has also encompassed the realm of synthetic biology. Future research endeavors are required to strategize the cost-effective production of bioethanol, a widely utilized energy source. This can be achieved by optimizing the fermentation process, estimating the quantity of bioethanol produced, and establishing an economically viable biofuel production plant. Moreover, the cost of bioethanol has been increased from 1.01 to 1.50 dollar per litter, which is a remarkable monetary benefit in the field of biodiesel industries. In addition, the net present value of bioethanol is more than 300 million US dollars [39]. Therefore, bioethanol production using cellulosic substrates is a novel, economically feasible and profitable ecofriendly industrial revolution.

5. Conclusions

The findings pertaining to E. cloacae (ICPB1), P. aeruginosa (ICPB7), and B. cereus (ICPB15) are noteworthy, as they provide novel insights into the production of ethanol. The combination of all three bacterial species resulted in a higher volume of ethanol after 72 h of fermentation for tapioca shell, mango, and orange peel. Furthermore, the study found that Bacillus cereus (ICPB15) exhibited a higher reduced sugar yield when using orange peel as a substrate. This observation may be attributed to the comparatively higher concentration of pectin in orange peels than the other substrates. The bacterial consortium efficiently utilized the waste substrates and yielded a substantial quantity of ethanol. The ethanol volume was determined through qualitative and quantitative analysis using spectrophotometric and GC-MS techniques, yielding 26.81% and 31.38%, respectively. This article demonstrated that bioethanol production using a consortium of bacteria on bio-wastes, especially orange waste, would give a remarkable volume of bioethanol. In addition, the three bacteria species showed effective cellulase enzyme production with a combination of three substrates, such as orange, mango, and tapioca, rather than other combinations. Thus, the ratio of bacteria and the combination of substrates are vital for the production of bioethanol using bio-wastes, which is environmentally significant for the effective management of bio-waste and fulfilling energy demands as alternate sources of bioenergy to overcome the emerging fuel issues.

Author Contributions

Conceptualization, T.V., N.U., J.P. and M.G.; methodology, T.V., N.U. and M.G.; software, J.P. and M.G.; validation, T.V., K.A.A.-G., M.N., J.P. and M.G.; formal analysis, J.P. and M.G.; investigation, T.V. and N.U.; resources, T.V., N.U. and J.P.; data curation, J.P. and M.G.; writing—original draft preparation, J.P. and M.G.; writing—review and editing, J.P., M.G., K.A.A.-G. and M.N.; visualization, M.G.; supervision, N.U.; funding acquisition, K.A.A.-G. All authors have read and agreed to the published version of the manuscript.

Funding

Researchers Supporting Project Number (RSP2023R48), King Saud University, Riyadh, Saudi Arabia.

Institutional Review Board Statement

Not applicable.

Informed Consent Statement

Not applicable.

Data Availability Statement

Not applicable.

Acknowledgments

The authors express their sincere appreciation to the Researchers Supporting Project Number (RSP2023R48), King Saud University, Riyadh, Saudi Arabia. The Authors express their sincere thanks to Management of the STET Women’s College (Autonomous), Sundarakkottai, Mannargudi, Tamil Nadu, India, for providing necessary facilities to carry out the project successfully.

Conflicts of Interest

The authors declare no conflict of interest.

References

  1. Promon, S.K.; Kamal, W.; Rahman, S.S.; Hossain, M.M.; Choudhury, N. Bioethanol production using vegetable peels medium and the effective role of cellulolytic bacterial (Bacillus subtilis) pre-treatment. F1000Research 2018, 7, 271. [Google Scholar] [CrossRef]
  2. Srivastava, S.; Dafale, N.A.; Tulsani, N.; Jakhesara, S.J.; Patil, N.V.; Joshi, C.G.; Purohit, H.J. Evaluation of designed consortium SNH-1 for efficient hydrolysis of agriculture waste to benefit bioethanol production. J. Clean. Prod. 2021, 288, 125601. [Google Scholar] [CrossRef]
  3. Khalil, H.A.; Davoudpour, Y.; Islam, M.N.; Mustapha, A.; Sudesh, K.; Dungani, R.; Jawaid, M. Production and modification of nanofibrillated cellulose using various mechanical processes: A review. Carbohydr. Polym. 2014, 99, 649–665. [Google Scholar] [CrossRef]
  4. Banjongsinsiri, P.; Kenney, S.; Wicker, L. Texture and distribution of pectin substances of mango as affected by infusion of Pectinmethylesterase and calcium. J. Sci. Food Agric. 2004, 84, 1493–1499. [Google Scholar] [CrossRef]
  5. Grohmann, K.; Baldwin, E.A.; Buslig, B.S. Production of ethanol from enzymatically hydrolyzed orange peel by the yeast Saccharomyces cerevisiae. Appl. Biochem. Biotechnol. 1994, 45, 315–327. [Google Scholar] [CrossRef]
  6. Dhillon, S.S.; Gill, R.K.; Gill, S.S.; Singh, M. Studies on the utilization of citrus peel for pectinase production using fungus Aspergillus niger. Int. J. Environ. Sci. 2004, 61, 199–210. [Google Scholar]
  7. Amalia, A.V.; Widiatningrum, T.; Herdiyanti, R.D. Optimization of bioethanol production from tapioca flour waste through the addition of a starter and fermentation duration. J. Physics. 2021, 1918, 052015. [Google Scholar] [CrossRef]
  8. Gupta, S.; Sharma, S.; Aich, A.; Verma, A.K.; Bhuyar, P.; Nadda, A.K.; Kalia, S. Chicken feather waste hydrolysate as a potential biofertilizer for environmental sustainability in organic agriculture management. Waste Biomass Valorization 2023, 1–17. [Google Scholar] [CrossRef]
  9. Jiang, Y.; Wu, R.; Zhou, J.; He, A.; Xu, J.; Xin, F.; Dong, W. Recent advances of biofuels and biochemicals production from sustainable resources using co-cultivation systems. Biotechnol. Biofuels 2019, 12, 155. [Google Scholar] [CrossRef]
  10. Feng, Y.; Yu, Y.; Wang, X.; Qu, Y.; Li, D.; He, W.; Kim, B.H. Degradation of raw corn stover powder (RCSP) by an enriched microbial consortium and its community structure. Bioresour. Technol. 2011, 102, 742–747. [Google Scholar] [CrossRef]
  11. Lv, Z.; Yang, J.; Wang, E.; Yuan, H. Characterization of extracellular and substrate-bound cellulases from a mesophilic sugarcane bagasse-degrading microbial community. Process Biochem. 2008, 43, 1467–1472. [Google Scholar] [CrossRef]
  12. Zhao, C.; Deng, Y.; Wang, X.; Li, Q.; Huang, Y.; Liu, B. Identification and characterization of an anaerobic ethanol-producing cellulolytic bacterial consortium from great basin hot springs with agricultural residues and energy crops. J. Microbiol. Biotechnol. 2014, 24, 1280–1290. [Google Scholar] [CrossRef]
  13. Apun, K.; Jong, B.C.; Salleh, M.A. Screening and isolation of a cellulolytic and amylolytic Bacillus from sago pith waste. J. Gen. Appl. Microbiol. 2000, 46, 263–267. [Google Scholar] [CrossRef]
  14. Giuliano, C.; Patel, C.R.; Kale-Pradhan, P.B. A guide to bacterial culture identification and results interpretation. Pharm. Ther. 2019, 44, 192. [Google Scholar]
  15. Stanbury, P.F.; Whitaker, A.; Hall, S.J. Principles of Fermentation Technology, 2nd ed.; An Imprint of Elsevier Science; Elsevier: Amsterdam, The Netherlands, 2013. [Google Scholar]
  16. Shirling, E.B.; Gottlieb, D. Methods for characterization of Streptomyces species. Int. J. Syst. Bacteriol. 1966, 16, 313–340. [Google Scholar] [CrossRef]
  17. Rahman, K.S.M.; Thahira-Rahman, J.; Lakshmanaperumalsamy, P.; Banat, I.M. Towards efficient crude oil degradation by a mixed bacterial consortium. Bioresour. Technol. 2002, 85, 257–261. [Google Scholar] [CrossRef]
  18. Ho, C.Y.; Chang, J.J.; Lee, S.C.; Chin, T.Y.; Shih, M.C.; Li, W.H.; Huang, C.C. Development of cellulosic ethanol production process via co-culturing of artificial cellulosomal Bacillus and kefir yeast. Appl. Energy. 2012, 100, 27–32. [Google Scholar] [CrossRef]
  19. Caputi, A.; Ueda, M.T.; Brown, T. Spectrophotometric determination of ethanol in wine. Am. J. Enol. Vitic. 1968, 19, 160–165. [Google Scholar] [CrossRef]
  20. Miller, G.L. Use of dinitrosalicylic acid reagent for determination of reducing sugar. J. Anal. Chem. 1959, 31, 426–428. [Google Scholar] [CrossRef]
  21. Viles, F.J., Jr.; Silverman, L. Determination of starch and cellulose with anthrone. Ana. Chem. 1949, 21, 950–953. [Google Scholar] [CrossRef]
  22. Gaur, R.; Tiwari, S. Isolation, production, purification and characterization of an organic-solvent-thermostable alkalophilic cellulase from Bacillus vallismortis RG-07. BMC Biotechnol. 2015, 15, 19. [Google Scholar] [CrossRef]
  23. Bhalerao, S.U.; Geurtjens, C.; Thomas, G.R.; Kitamura, C.R.; Zhou, C.; Marlborough, M. Understanding the neuropsychiatric consequences associated with significant traumatic brain injury. Brain Inj. 2013, 27, 767–774. [Google Scholar] [CrossRef]
  24. Kosa, G.; Shapaval, V.; Kohler, A.; Zimmermann, B. FTIR spectroscopy as a unified method for simultaneous analysis of intra-and extracellular metabolites in high-throughput screening of microbial bioprocesses. Micro. Cell Factories 2017, 16, 195. [Google Scholar] [CrossRef]
  25. Pontes, H.; de Pinho, P.G.; Casal, S.; Carmo, H.; Santos, A.; Magalhaes, T.; Remiao, F.; Carvalho, F.; Griffiths, P.D.E.; Haseth, J.A. Fourier Transform Infrared Spectrometry, 2nd ed.; John Whiley & Sons: Hoboken, NJ, USA, 2007. [Google Scholar]
  26. Vos, P.; Garrity, G.; Jones, D.; Krieg, N.R.; Ludwig, W.; Rainey, F.A.; Whitman, W.B. (Eds.) Bergey’s Manual of Systematic Bacteriology: Volume 3: The Firmicutes; Springer Science & Business Media: Berlin/Heidelberg, Germany, 2011. [Google Scholar]
  27. Hasan, M.M.; Al Mahmud, M.R.; Islam, M.G. GC-MS analysis of bio-active compounds in ethanol extract of Putranjiva roxburghii Wall. fruit peel. Pharmacogn. J. 2019, 11, 146–149. [Google Scholar] [CrossRef]
  28. Vasan, P.T.; Piriya, P.S.; Prabhu, D.I.G.; Vennison, S.J. Cellulosic ethanol production by Zymomonas mobilis harboring an endoglucanase gene from Enterobacter cloacae. Bioresour. Technol. 2011, 102, 2585–2589. [Google Scholar] [CrossRef]
  29. Crocker, A.W.; Harty, C.E.; Hammond, J.H.; Willger, S.D.; Salazar, P.; Botelho, N.J.; Hogan, D.A. Pseudomonas aeruginosa ethanol oxidation by AdhA in low-oxygen environments. J. Bacteriol. 2019, 201, e00393-19. [Google Scholar] [CrossRef]
  30. Levin, I.; Meiri, G.; Peretz, M.; Burstein, Y.; Frolow, F. The ternary complex of Pseudomonas aeruginosa alcohol dehydrogenase with NADH and ethylene glycol. Protein Sci. 2004, 13, 1547–1556. [Google Scholar] [CrossRef]
  31. Ire, F.S.; Ezebuiro, V.; Ogugbue, C.J. Production of bioethanol by bacterial co-culture from agro-waste-impacted soil through simultaneous saccharification and co-fermentation of steam-exploded bagasse. Bioresour. Bioprocess. 2016, 3, 26. [Google Scholar] [CrossRef]
  32. Abada, E.A.; Masrahi, Y.S.; Al-Abboud, M.; Alnashiri, H.M.; El-Gayar, K.E. Bioethanol production with cellulase enzyme from Bacillus cereus isolated from sesame seed residue from the Jazan region. BioResources. 2018, 13, 3832–3845. [Google Scholar] [CrossRef]
  33. Abood, M.F.; Hamzah, H.M.; Al-Rawii, D.F. Production of Cellulase and bioethanol by ethanol-tolerant coculture of Bacillus cereus and Fusarium solani. J. Physics. 2021, 1879, 022016. [Google Scholar] [CrossRef]
  34. Patsalou, M.; Samanides, C.G.; Protopapa, E.; Stavrinou, S.; Vyrides, I.; Koutinas, M. A citrus peel waste biorefinery for ethanol and methane production. Molecules 2019, 24, 2451. [Google Scholar] [CrossRef]
  35. FAO. Citrus Fruit Statistics 2015; FAO: Rome, Italy, 2016; p. 53. [Google Scholar]
  36. Marin, F.R.; Soler-Rivas, C.; Benavente-Garcia, O.; Castillo, J.; Perez-Alvarez, J.A. By-products from different citrus processes as a source of customized functional fibres. Food Chem. 2007, 100, 736–741. [Google Scholar] [CrossRef]
  37. Wilkins, M.R. Effect of orange peel oil on ethanol production by Zymomonas mobilis. Biomass Bioenergy 2009, 33, 538–541. [Google Scholar] [CrossRef]
  38. Sriariyanun, M.; Mutrakulcharoen, P.; Tepaamorndech, S.; Cheenkachorn, K.; Rattanaporn, K. A rapid spectrophotometric method for quantitative determination of ethanol in fermentation products. Orient. J. Chem. 2019, 35, 744–750. [Google Scholar] [CrossRef]
  39. Kang, K.E.; Jeong, J.S.; Kim, Y.; Min, J.; Moon, S.K. Development and economic analysis of bioethanol production facilities using lignocellulosic biomass. J. Biosci. Bioeng. 2019, 128, 475–479. [Google Scholar] [CrossRef] [PubMed]
Figure 1. Determination of cellulase enzyme using SDS-PAGE electrophoresis using treatments T1–T7. (M-Control medium; T = Treatment medium), [T1—fermentation medium + orange peel powder + ICPB1; T2—fermentation medium + orange peel powder + ICPB7; T3—fermentation medium + orange peel powder + ICPB15; T4—fermentation medium + orange peel powder + ICPB1 + ICPB7; T5—fermentation medium + orange peel powder + ICPB1+ ICPB15; T6—fermentation medium + orange peel powder + ICPB7 + ICPB15; T7—fermentation medium + orange peel powder + ICPB1 + ICPB7+ ICPB15].
Figure 1. Determination of cellulase enzyme using SDS-PAGE electrophoresis using treatments T1–T7. (M-Control medium; T = Treatment medium), [T1—fermentation medium + orange peel powder + ICPB1; T2—fermentation medium + orange peel powder + ICPB7; T3—fermentation medium + orange peel powder + ICPB15; T4—fermentation medium + orange peel powder + ICPB1 + ICPB7; T5—fermentation medium + orange peel powder + ICPB1+ ICPB15; T6—fermentation medium + orange peel powder + ICPB7 + ICPB15; T7—fermentation medium + orange peel powder + ICPB1 + ICPB7+ ICPB15].
Fermentation 09 00678 g001
Figure 9. (a) Quantitative analysis of fermented ethanol production by the bacterial consortium using GC-MS analysis. (b) GC-MS analysis for the concentration of the fermented ethanol for standard.
Figure 9. (a) Quantitative analysis of fermented ethanol production by the bacterial consortium using GC-MS analysis. (b) GC-MS analysis for the concentration of the fermented ethanol for standard.
Fermentation 09 00678 g009
Table 1. Bioethanol production by cellulase-producing bacteria using a waste substrate of orange peel powder. [ICPB1 = E. cloacae; ICPB7 = P. aeruginosa; ICPB15 = B. cereus].
Table 1. Bioethanol production by cellulase-producing bacteria using a waste substrate of orange peel powder. [ICPB1 = E. cloacae; ICPB7 = P. aeruginosa; ICPB15 = B. cereus].
S. No.TreatmentsEthanol Volume (mL) *Ethanol Production (%) *
24 h48 h72 h24 h48 h72 h
1ICPB1(Tapioca Shell)27 ± 0.4529 ± 0.5031 ± 0.540.10 ± 0.090.20 ± 0.010.40 ± 0.03
2ICPB7(Mango peel)28 ± 0.5431 ± 0.4533 ± 0.600.20 ± 0.080.40 ± 0.010.60 ± 0.03
3ICPB15(Orange Peel)32 ± 1.0834 ± 0.7436 ± 0.731.24 ± 0.031.26 ± 0.051.28 ± 0.07
4ICPB1 + ICPB7 (Tapioca Shell + Mango Peel)18 ± 0.5120 ± 0.4220 ± 0.670.21 ± 0.050.23 ± 0.070.26 ± 0.08
5ICPB7 + ICPB15(Mango peel + Orange peel)19 ± 0.6521 ± 0.9723 ± 0.950.81 ± 0.030.83 ± 0.050.86 ± 0.07
6ICPB1+ ICPB15 (Tapioca shell + Orange Peel)25 ± 0.7827 ± 0.7429 ± 0.560.24 ± 0.020.26 ± 0.020.28 ± 0.07
7ICPB1 + ICPB7 + ICPB15 (Tapioca Shell + Mango peel + Orange Peel)37 ± 0.9539 ± 0.9841 ± 0.480.60 ± 0.040.80 ± 0.050.80 ± 0.07
* Values are mean and SD; N = 6.
Table 2. Estimation of reducing sugar and cellulase on submerged fermentation studied with various combinations of substrates. [ICPB1 = E. cloacae; ICPB7 = P. aeruginosa; ICPB15 = B. cereus].
Table 2. Estimation of reducing sugar and cellulase on submerged fermentation studied with various combinations of substrates. [ICPB1 = E. cloacae; ICPB7 = P. aeruginosa; ICPB15 = B. cereus].
S. No.TreatmentsReducing Sugar (g/L) *Cellulase (IU/mL/min) *
24 h48 h72 h24 h48 h72 h
1.ICPB1 (Tapioca Shell)1.08 ± 0.091.10 ± 0.111.12 ± 0.130.64 ± 0.080.64 ± 0.050.64 ± 0.07
2ICPB7 (Mango peel)1.21 ± 0.051.23 ± 0.071.25 ± 0.090.57 ± 0.020.57 ± 0.040.57 ± 0.02
3ICPB15 (Orange Peel)1.69 ± 0.051.72 ± 0.071.75 ± 0.090.74 ± 0.070.74 ± 0.050.74 ± 0.06
4ICPB1 + ICPB7 (Tapioca Shell + Mango Peel)1.19 ± 0.011.21 ± 0.031.23 ± 0.050.62 ± 0.030.64 ± 0.070.66 ± 0.04
5ICPB7 + ICPB15 (Mango peel + Orange peel)0.97 ± 0.070.99 ± 0.090.11 ± 0.010.57 ± 0.020.59 ± 0.040.61 ± 0.03
6ICPB1 + ICPB15 (Tapioca shell + Orange Peel)1.18 ± 0.081.20 ± 0.101.23 ± 0.080.56 ± 0.010.58 ± 0.030.61 ± 0.04
7ICPB1 + ICPB7 + ICPB15 (Tapioca Shell + Mango peel + Orange Peel)0.63 ± 0.050.63 ± 0.150.63 ± 0.150.84 ± 0.030.86 ± 0.050.88 ± 0.06
* Values are mean and SD; N = 6.
Disclaimer/Publisher’s Note: The statements, opinions and data contained in all publications are solely those of the individual author(s) and contributor(s) and not of MDPI and/or the editor(s). MDPI and/or the editor(s) disclaim responsibility for any injury to people or property resulting from any ideas, methods, instructions or products referred to in the content.

Share and Cite

MDPI and ACS Style

Vinotha, T.; Umamaheswari, N.; Pandiyan, J.; Al-Ghanim, K.A.; Nicoletti, M.; Govindarajan, M. Biofuel Production from Mango and Orange Peel and Tapioca Shells by Fermentation Using Consortium of Bacteria: Agricultural and Food Waste Valorization. Fermentation 2023, 9, 678. https://doi.org/10.3390/fermentation9070678

AMA Style

Vinotha T, Umamaheswari N, Pandiyan J, Al-Ghanim KA, Nicoletti M, Govindarajan M. Biofuel Production from Mango and Orange Peel and Tapioca Shells by Fermentation Using Consortium of Bacteria: Agricultural and Food Waste Valorization. Fermentation. 2023; 9(7):678. https://doi.org/10.3390/fermentation9070678

Chicago/Turabian Style

Vinotha, Tamilselvan, Narendrakumar Umamaheswari, Jeganathan Pandiyan, Khalid A. Al-Ghanim, Marcello Nicoletti, and Marimuthu Govindarajan. 2023. "Biofuel Production from Mango and Orange Peel and Tapioca Shells by Fermentation Using Consortium of Bacteria: Agricultural and Food Waste Valorization" Fermentation 9, no. 7: 678. https://doi.org/10.3390/fermentation9070678

APA Style

Vinotha, T., Umamaheswari, N., Pandiyan, J., Al-Ghanim, K. A., Nicoletti, M., & Govindarajan, M. (2023). Biofuel Production from Mango and Orange Peel and Tapioca Shells by Fermentation Using Consortium of Bacteria: Agricultural and Food Waste Valorization. Fermentation, 9(7), 678. https://doi.org/10.3390/fermentation9070678

Note that from the first issue of 2016, this journal uses article numbers instead of page numbers. See further details here.

Article Metrics

Back to TopTop