Unravelling the Potential of Fungal Division of Labour in the Laccase Producer Coriolopsis trogii MUT3379 Through Protoplast Formation and Regeneration
Abstract
1. Introduction
2. Materials and Methods
2.1. Cultivation of C. trogii MUT3379 and Production of Oxidative Enzymes
2.2. Protoplast Preparation and Manipulation
2.3. Enzyme Assays
2.4. NATIVE-PAGE and Zymograms
2.5. Tandem Mass Spectrometry
3. Results
3.1. Production of Laccases and Other Oxidative Enzymes in C. trogii MUT3379
3.2. Protoplast-Derived Clone Isolation
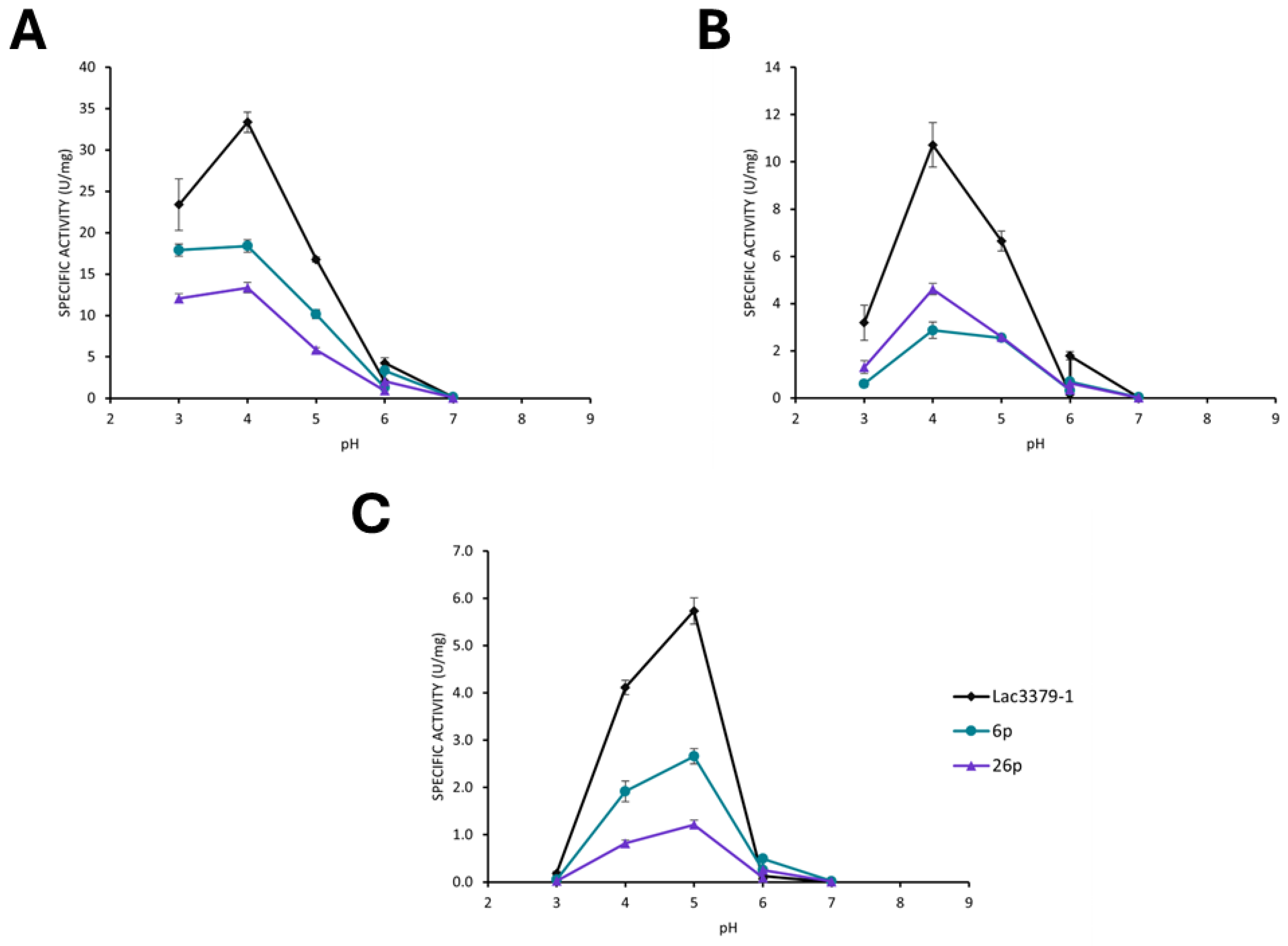
3.3. Quantification of the Oxidative Activity in the Protoplast-Derived Clones
3.4. Comparison of the Oxidative Potential of the Protoplast-Derived Clones
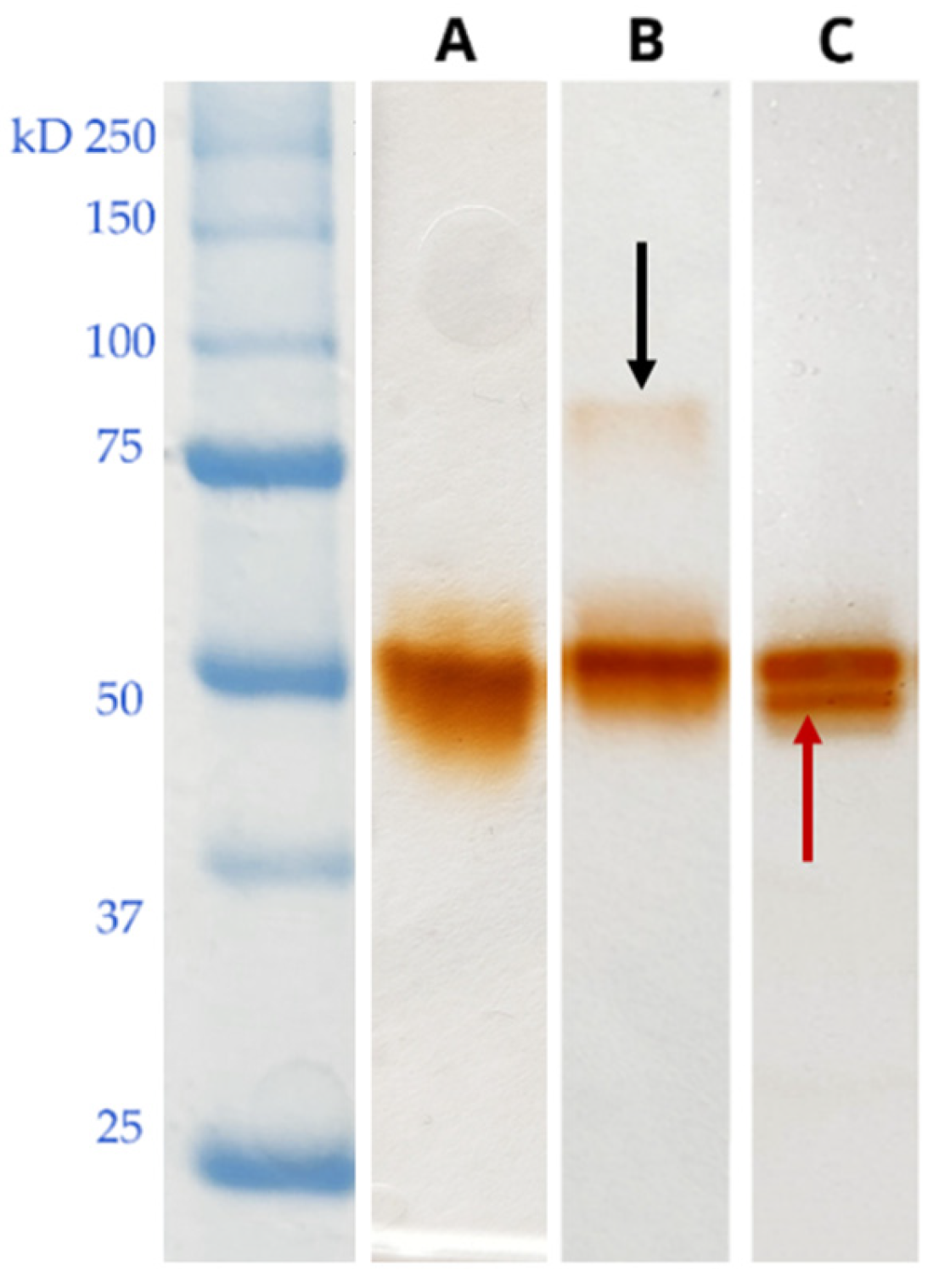
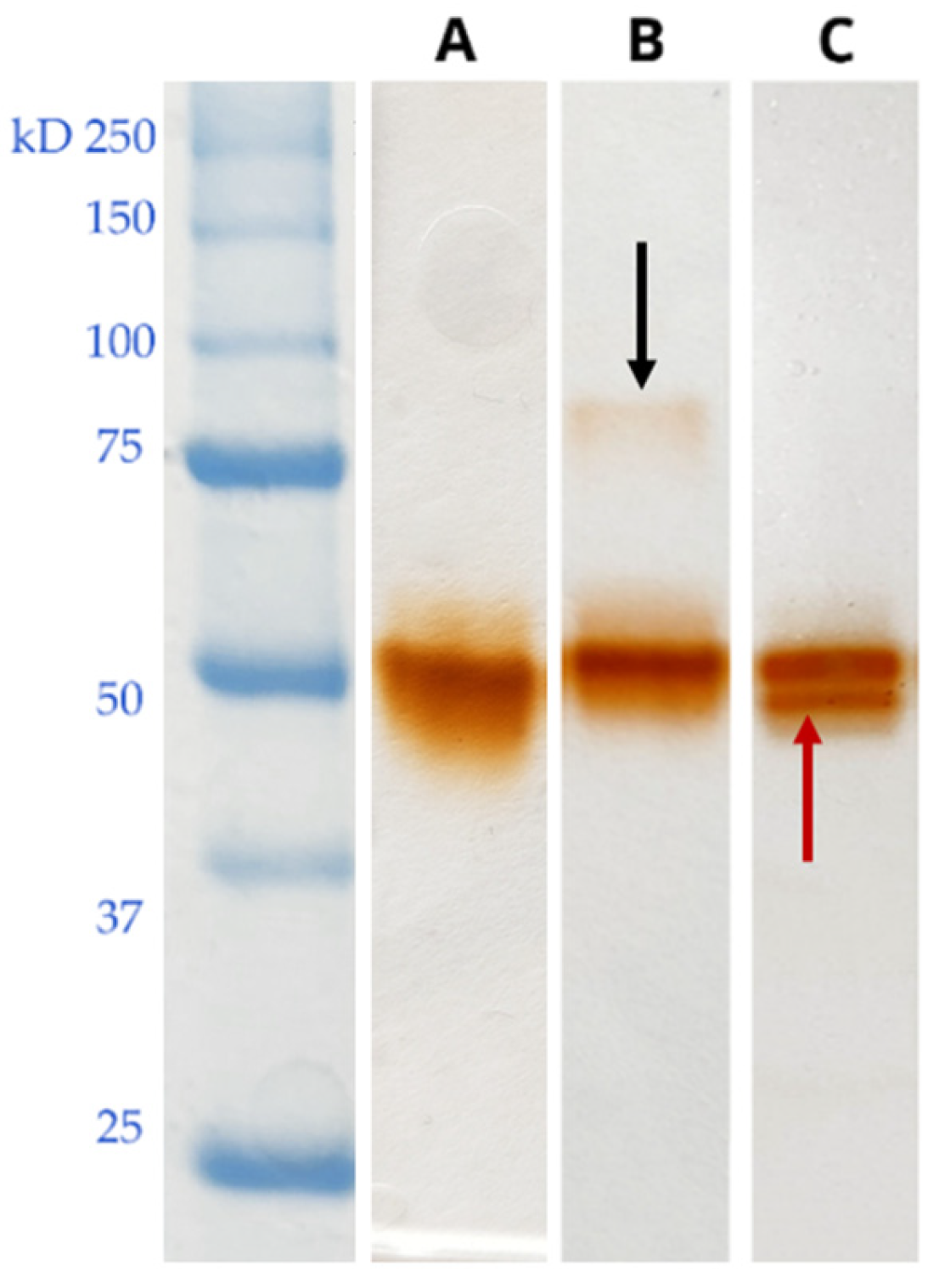
3.5. Identification of the Proteins Mapping in the Ox-L and Ox-H Bands
4. Discussion
5. Conclusions
Supplementary Materials
Author Contributions
Funding
Institutional Review Board Statement
Informed Consent Statement
Data Availability Statement
Acknowledgments
Conflicts of Interest
References
- Bentil, J.A. Biocatalytic Potential of Basidiomycetes: Relevance, Challenges and Research Interventions in Industrial Processes. Sci. Afr. 2021, 11, e00717. [Google Scholar] [CrossRef]
- Baldrian, P. Forest Microbiome: Diversity, Complexity and Dynamics. FEMS Microbiol. Rev. 2017, 41, 109–130. [Google Scholar] [CrossRef] [PubMed]
- Skovgaard, N. The Mycota. A Comprehensive Treatise on Fungi as Experimental Systems for Basic and Applied Research; Springer: Berlin/Heidelberg, Germany, 2002; Volume 77, ISBN 9783540706151. [Google Scholar]
- Zhang, Z.; Claessen, D.; Rozen, D.E. Understanding Microbial Divisions of Labor. Front. Microbiol. 2016, 7, 2070. [Google Scholar] [CrossRef]
- Traxler, M.F.; Rozen, D.E. Ecological Drivers of Division of Labour in Streptomyces. Curr. Opin. Microbiol. 2022, 67, 102148. [Google Scholar] [CrossRef]
- Zhang, Z.; Du, C.; de Barsy, F.; Liem, M.; Liakopoulos, A.; van Wezel, G.P.; Choi, Y.H.; Claessen, D.; Rozen, D.E. Antibiotic Production in Streptomyces Is Organized by a Division of Labor through Terminal Genomic Differentiation. Sci. Adv. 2020, 6, eaay5781. [Google Scholar] [CrossRef]
- Mellere, L.; Bava, A.; Capozzoli, C.; Branduardi, P.; Berini, F.; Beltrametti, F. Strain Improvement and Strain Maintenance Revisited. The Use of Actinoplanes teichomyceticus ATCC 31121 Protoplasts in the Identification of Candidates for Enhanced Teicoplanin Production. Antibiotics 2022, 11, 24. [Google Scholar] [CrossRef] [PubMed]
- Zacchetti, B.; Wösten, H.A.B.; Claessen, D. Multiscale Heterogeneity in Filamentous Microbes. Biotechnol. Adv. 2018, 36, 2138–2149. [Google Scholar] [CrossRef]
- Simonin, A.; Palma-Guerrero, J.; Fricker, M.; Louise Glass, N. Physiological Significance of Network Organization in Fungi. Eukaryot. Cell 2012, 11, 1345–1352. [Google Scholar] [CrossRef]
- Krijgsheld, P.; Nitsche, B.M.; Post, H.; Levin, A.M.; Müller, W.H.; Heck, A.J.R.; Ram, A.F.J.; Altelaar, A.F.M.; Wösten, H.A.B. Deletion of FlbA Results in Increased Secretome Complexity and Reduced Secretion Heterogeneity in Colonies of Aspergillus niger. J. Proteome Res. 2013, 12, 1808–1819. [Google Scholar] [CrossRef]
- Moukha, S.M.; Wosten, H.A.B.; Asther, M.; Wessels, J.G.H. In Situ Localization of the Secretion of Lignin Peroxidases in Colonies of Phanerochaete chrysosporium Using a Sandwiched Mode of Culture. J. Gen. Microbiol. 1993, 139, 969–978. [Google Scholar] [CrossRef]
- Jiménez-Tobon, G.; Kurzatkowski, W.; Rozbicka, B.; Solecka, J.; Pocsi, I.; Penninckx, M.J. In Situ Localization of Manganese Peroxidase Production in Mycelial Pallets of Phanerochaete chrysosporium. Microbiology 2003, 149, 3121–3127. [Google Scholar] [CrossRef] [PubMed][Green Version]
- Strom, N.B.; Bushley, K.E. Two Genomes Are Better than One: History, Genetics, and Biotechnological Applications of Fungal Heterokaryons. Fungal Biol. Biotechnol. 2016, 3, 4. [Google Scholar] [CrossRef]
- Daskalov, A.; Heller, J.; Herzog, S.; Fleißner, A.; Glass, N.L. Molecular Mechanisms Regulating Cell Fusion and Heterokaryon Formation in Filamentous Fungi. Fungal Kingd 2017, 5, 215–229. [Google Scholar] [CrossRef]
- Brown, A.J.P. The Mycota XIII: Fungal Genomics; Springer: Berlin/Heidelberg, Germany, 2006; ISBN 9783540793069. [Google Scholar]
- Vande Zande, P.; Zhou, X.; Selmecki, A. The Dynamic Fungal Genome: Polyploidy, Aneuploidy and Copy Number Variation in Response to Stress. Annu. Rev. Microbiol. 2023, 77, 341–361. [Google Scholar] [CrossRef]
- Martzy, R.; Mello-de-Sousa, T.M.; Mach, R.L.; Yaver, D.; Mach-Aigner, A.R. The Phenomenon of Degeneration of Industrial Trichoderma reesei Strains. Biotechnol. Biofuels 2021, 14, 1–14. [Google Scholar] [CrossRef]
- Wang, X.; Hong, S.; Tang, G.; Wang, C. Accumulation of the Spontaneous and Random Mutations Is Causative of Fungal Culture Degeneration. Fundam. Res 2024. [Google Scholar] [CrossRef]
- Mellere, L.; Bellasio, M.; Berini, F.; Marinelli, F.; Armengaud, J.; Beltrametti, F. Coriolopsis Trogii MUT3379: A Novel Cell Factory for High-Yield Laccase Production. Fermentation 2024, 10, 376. [Google Scholar] [CrossRef]
- Savinova, O.S.; Moiseenko, K.V.; Vavilova, E.A.; Chulkin, A.M.; Fedorova, T.V.; Tyazhelova, T.V.; Vasina, D.V. Evolutionary Relationships between the Laccase Genes of Polyporales: Orthology-Based Classification of Laccase Isozymes and Functional Insight from Trametes hirsuta. Front. Microbiol. 2019, 10, 152. [Google Scholar] [CrossRef]
- Shirahama, T.; Furumai, T.; Okanishi, M. A Modified Regeneration Method for Streptomycete Protoplasts. Agric. Biol. Chem. 1981, 45, 1271–1273. [Google Scholar] [CrossRef][Green Version]
- Pible, O.; Allain, F.; Jouffret, V.; Culotta, K.; Miotello, G.; Armengaud, J. Estimating Relative Biomasses of Organisms in Microbiota Using “Phylopeptidomics”. Microbiome 2020, 8, 30. [Google Scholar] [CrossRef] [PubMed]
- de Groot, A.; Dulermo, R.; Ortet, P.; Blanchard, L.; Guérin, P.; Fernandez, B.; Vacherie, B.; Dossat, C.; Jolivet, E.; Siguier, P.; et al. Alliance of Proteomics and Genomics to Unravel the Specificities of Sahara Bacterium Deinococcus deserti. PLoS Genet. 2009, 5, e1000434. [Google Scholar] [CrossRef] [PubMed]
- De Souza, C.G.M.; Tychanowicz, G.K.; De Souza, D.F.; Peralta, R.M. Production of Laccase Isoforms by Pleurotus pulmonarius in Response to Presence of Phenolic and Aromatic Compounds. J. Basic. Microbiol. 2004, 44, 129–136. [Google Scholar] [CrossRef]
- Yang, J.; Wang, G.; Ng, T.B.; Lin, J.; Ye, X. Laccase Production and Differential Transcription of Laccase Genes in Cerrena Sp. in Response to Metal Ions, Aromatic Compounds, and Nutrients. Front. Microbiol. 2016, 6, 1558. [Google Scholar] [CrossRef]
- West, S.A.; Cooper, G.A. Division of Labour in Microorganisms: An Evolutionary Perspective. Nat. Rev. Microbiol. 2016, 14, 716–723. [Google Scholar] [CrossRef]
- Rayner, A.D.M.; Ramsdale, M.; Watkins, Z.R. Origins and Significance of Genetic and Epigenetic Instability in Mycelial Systems. Can. J. Bot. 1995, 73, 1241–1248. [Google Scholar] [CrossRef]
- Zacharia, V.M.; Ra, Y.; Sue, C.; Alcala, E.; Reaso, J.N.; Ruzin, S.E.; Traxler, M.F. Genetic Network Architecture and Environmental Cues Drive Spatial Organization of Phenotypic Division of Labor in Streptomyces coelicolor. mBio 2021, 12. [Google Scholar] [CrossRef]
- Roper, M.; Ellison, C.; Taylor, J.W.; Glass, N.L. Nuclear and Genome Dynamics in Multinucleate Ascomycete Fungi. Curr. Biol. 2011, 21, R786–R793. [Google Scholar] [CrossRef]
- El Enshasy, H.A. Fungal Morphology: A Challenge in Bioprocess Engineering Industries for Product Development. Curr. Opin. Chem. Eng. 2022, 35, 100729. [Google Scholar] [CrossRef]
- Veiter, L.; Rajamanickam, V.; Herwig, C. The Filamentous Fungal Pellet—Relationship between Morphology and Productivity. Appl. Microbiol. Biotechnol. 2018, 102, 2997–3006. [Google Scholar] [CrossRef]
- Sun, X.; Wu, H.; Zhao, G.; Li, Z.; Wu, X.; Liu, H.; Zheng, Z. Morphological Regulation of Aspergillus niger to Improve Citric Acid Production by ChsC Gene Silencing. Bioprocess Biosyst. Eng. 2018, 41, 1029–1038. [Google Scholar] [CrossRef]
- Miyazawa, K.; Yoshimi, A.; Yoshimi, A.; Abe, K.; Abe, K.; Abe, K. The Mechanisms of Hyphal Pellet Formation Mediated by Polysaccharides, α-1,3-Glucan and Galactosaminogalactan, in Aspergillus Species. Fungal Biol. Biotechnol. 2020, 7, 1–13. [Google Scholar] [CrossRef] [PubMed]
- Pombeiro-Sponchiado, S.R.; Sousa, G.S.; Andrade, J.C.R.; Lisboa, H.F.; Gonçalves, R.C.R. Production of Melanin Pigment by Fungi and Its Biotechnological Applications. In Melanin; IntechOpen: London, UK, 2017. [Google Scholar] [CrossRef]
- Dullah, S.; Hazarika, D.J.; Goswami, G.; Borgohain, T.; Ghosh, A.; Barooah, M.; Bhattacharyya, A.; Boro, R.C. Melanin Production and Laccase Mediated Oxidative Stress Alleviation during Fungal-Fungal Interaction among Basidiomycete Fungi. IMA Fungus 2021, 12, 33. [Google Scholar] [CrossRef]
- Suthar, M.; Dufossé, L.; Singh, S.K. The Enigmatic World of Fungal Melanin: A Comprehensive Review. J. Fungi 2023, 9, 891. [Google Scholar] [CrossRef]
- Carlquist, M.; Fernandes, R.L.; Helmark, S.; Heins, A.L.; Lundin, L.; Sørensen, S.J.; Gernaey, K.V.; Lantz, A.E. Physiological Heterogeneities in Microbial Populations and Implications for Physical Stress Tolerance. Microb. Cell Fact. 2012, 11, 94. [Google Scholar] [CrossRef]
- Herpoël, I.; Moukha, S.; Lesage-Meessen, L.; Sigoillot, J.C.; Asther, M. Selection of Pycnoporus cinnabarinus Strains for Laccase Production. FEMS Microbiol. Lett. 2000, 183, 301–306. [Google Scholar] [CrossRef]
- Lin, X.; Andrew Alspaugh, J.; Liu, H.; Harris, S. Fungal Morphogenesis. Cold Spring Harb. Perspect. Med. 2015, 5, a019679. [Google Scholar] [CrossRef]
- Gambhir, N.; Harris, S.D.; Everhart, S.E. Evolutionary Significance of Fungal Hypermutators: Lessons Learned from Clinical Strains and Implications for Fungal Plant Pathogens. mSphere 2022, 7, e0008722. [Google Scholar] [CrossRef]
- Levin, A.M.; De Vries, R.P.; Conesa, A.; De Bekker, C.; Talon, M.; Menke, H.H.; Van Peij, N.N.M.E.; Wösten, H.A.B. Spatial Differentiation in the Vegetative Mycelium of Aspergillus niger. Eukaryot. Cell 2007, 6, 2311–2322. [Google Scholar] [CrossRef]
- Hao, H.; Zhang, J.; Wang, Q.; Huang, J.; Juan, J.; Kuai, B.; Feng, Z.; Chen, H. Transcriptome and Differentially Expressed Gene Profiles in Mycelium, Primordium and Fruiting Body Development in Stropharia rugosoannulata. Genes 2022, 13, 1080. [Google Scholar] [CrossRef] [PubMed]
- Ehinger, M.O.; Croll, D.; Koch, A.M.; Sanders, I.R. Significant Genetic and Phenotypic Changes Arising from Clonal Growth of a Single Spore of an Arbuscular Mycorrhizal Fungus over Multiple Generations. New Phytol. 2012, 196, 853–861. [Google Scholar] [CrossRef] [PubMed]
- Wyss, T.; Masclaux, F.G.; Rosikiewicz, P.; Pagni, M.; Sanders, I.R. Population Genomics Reveals That Within-Fungus Polymorphism Is Common and Maintained in Populations of the Mycorrhizal Fungus Rhizophagus irregularis. ISME J. 2016, 10, 2514–2526. [Google Scholar] [CrossRef]
- Lübeck, M.; Lübeck, P.S. Fungal Cell Factories for Efficient and Sustainable Production of Proteins and Peptides. Microorganisms 2022, 10, 753. [Google Scholar] [CrossRef] [PubMed]
- Peberdy, J.F. Protein Secretion in Filamentous Fungi—Trying to Understand a Highly Productive Black Box. Trends Biotechnol. 1994, 12, 50–57. [Google Scholar] [CrossRef]
- Kumar, S.V.S.; Phale, P.S.; Durani, S.; Wangikar, P.P. Combined Sequence and Structure Analysis of the Fungal Laccase Family. Biotechnol. Bioeng. 2003, 83, 386–394. [Google Scholar] [CrossRef]
- Palmieri, G.; Giardina, P.; Bianco, C.; Fontanella, B.; Sannia, G. Copper Induction of Laccase Isoenzymes in the Ligninolytic Fungus Pleurotus ostreatus. Appl. Environ. Microbiol. 2000, 66, 920–924. [Google Scholar] [CrossRef]
- Li, Z.; Zhou, Y.; Xu, C.; Pan, J.; Li, H.; Zhou, Y.; Zou, Y. Genome-Wide Analysis of the Pleurotus eryngii Laccase Gene (PeLac) Family and Functional Identification of PeLac5. AMB Express 2023, 13, 104. [Google Scholar] [CrossRef]
- Yang, J.; Xu, X.; Ng, T.B.; Lin, J.; Ye, X. Laccase Gene Family in Cerrena Sp. HYB07: Sequences, Heterologous Expression and Transcriptional Analysis. Molecules 2016, 21, 1017. [Google Scholar] [CrossRef]
- Vasina, D.V.; Moiseenko, K.V.; Fedorova, T.V.; Tyazhelova, T.V. Lignin-Degrading Peroxidases in White-Rot Fungus Trametes hirsuta 072. Absolute Expression Quantification of Full Multigene Family. PLoS ONE 2017, 12, e0173813. [Google Scholar] [CrossRef]








Disclaimer/Publisher’s Note: The statements, opinions and data contained in all publications are solely those of the individual author(s) and contributor(s) and not of MDPI and/or the editor(s). MDPI and/or the editor(s) disclaim responsibility for any injury to people or property resulting from any ideas, methods, instructions or products referred to in the content. |
© 2025 by the authors. Licensee MDPI, Basel, Switzerland. This article is an open access article distributed under the terms and conditions of the Creative Commons Attribution (CC BY) license (https://creativecommons.org/licenses/by/4.0/).
Share and Cite
Mellere, L.; Bava, A.; Armengaud, J.; Berini, F.; Marinelli, F.; Varese, G.C.; Spina, F.; Beltrametti, F. Unravelling the Potential of Fungal Division of Labour in the Laccase Producer Coriolopsis trogii MUT3379 Through Protoplast Formation and Regeneration. J. Fungi 2025, 11, 890. https://doi.org/10.3390/jof11120890
Mellere L, Bava A, Armengaud J, Berini F, Marinelli F, Varese GC, Spina F, Beltrametti F. Unravelling the Potential of Fungal Division of Labour in the Laccase Producer Coriolopsis trogii MUT3379 Through Protoplast Formation and Regeneration. Journal of Fungi. 2025; 11(12):890. https://doi.org/10.3390/jof11120890
Chicago/Turabian StyleMellere, Luca, Adriana Bava, Jean Armengaud, Francesca Berini, Flavia Marinelli, Giovanna Cristina Varese, Federica Spina, and Fabrizio Beltrametti. 2025. "Unravelling the Potential of Fungal Division of Labour in the Laccase Producer Coriolopsis trogii MUT3379 Through Protoplast Formation and Regeneration" Journal of Fungi 11, no. 12: 890. https://doi.org/10.3390/jof11120890
APA StyleMellere, L., Bava, A., Armengaud, J., Berini, F., Marinelli, F., Varese, G. C., Spina, F., & Beltrametti, F. (2025). Unravelling the Potential of Fungal Division of Labour in the Laccase Producer Coriolopsis trogii MUT3379 Through Protoplast Formation and Regeneration. Journal of Fungi, 11(12), 890. https://doi.org/10.3390/jof11120890

