First Detection and Identification of FAdV-8b as the Causative Agent of an Outbreak of Inclusion Body Hepatitis in a Commercial Broiler Farm in Greece
Abstract
1. Introduction
2. Materials and Methods
2.1. Case History
2.1.1. Flock History
2.1.2. Clinical Manifestation
2.2. Performance and Mortality Records
2.3. Postmortem Examination
2.4. Microbiological Investigation
2.5. Parasitological Investigation
2.6. Histopathological Investigation
2.7. Serology
2.8. Toxicology
2.9. Molecular Investigation
3. Results
3.1. Performance and Mortality Records
3.2. Postmortem Examination
3.3. Microbiological Investigation
3.4. Parasitology
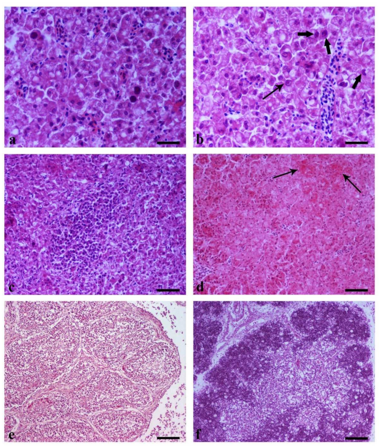
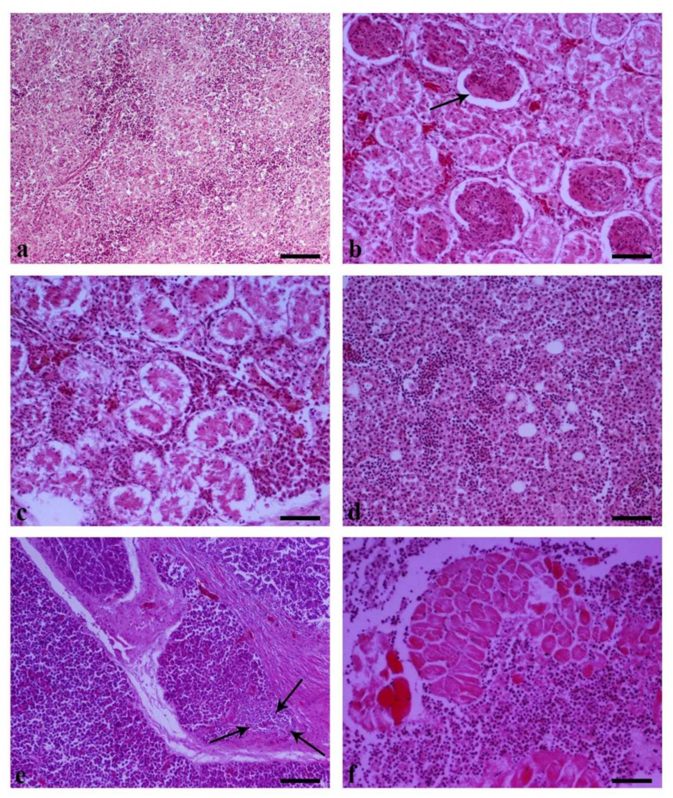
3.5. Histopathology
3.6. Serology
3.7. Toxicology
3.8. Molecular Investigation
4. Discussion
5. Conclusions
Supplementary Materials
Author Contributions
Funding
Institutional Review Board Statement
Informed Consent Statement
Data Availability Statement
Conflicts of Interest
References
- Schachner, A.; Matos, M.; Grafl, B.; Hess, M. Fowl adenovirus-induced diseases and strategies for their control—A review on the current global situation. Avian Pathol. 2018, 47, 111–126. [Google Scholar] [CrossRef] [PubMed]
- McFerran, J.B.; Smyth, J.A. Avian adenoviruses. Rev. Sci. Tech. 2000, 19, 589–601. [Google Scholar] [CrossRef] [PubMed]
- Helmboldt, C.F.; Frazier, M.N. Avian hepatic inclusion bodies of unknown significance. Avian Dis. 1963, 7, 446–450. [Google Scholar] [CrossRef] [PubMed]
- Chen, L.; Yin, L.; Zhou, Q.; Peng, P.; Du, Y.; Liu, L.; Zhang, Y.; Xue, C.; Cao, Y. Epidemiological investigation of fowl adenovirus infections in poultry in China during 2015–2018. BMC Vet. Res. 2019, 15, 271. [Google Scholar] [CrossRef]
- Choi, K.S.; Kye, S.J.; Kim, J.Y.; Jeon, W.J.; Lee, E.K.; Park, K.Y.; Sung, H.W. Epidemiological investigation of outbreaks of fowl adenovirus infection in commercial chickens in Korea. Poult. Sci. 2012, 91, 2502–2506. [Google Scholar] [CrossRef]
- Kiss, I.; Homonnay, Z.G.; Mató, T.; Bányai, K.; Palya, V. Research Note: An overview on distribution of fowl adenoviruses. Poult. Sci. 2021, 100, 101052. [Google Scholar] [CrossRef]
- Sentíes-Cué, C.G.; Wills, R.W.; Stayer, P.A.; Burleson, M.A.; Magee, D.L. Epidemiology and effect on production parameters of an outbreak of inclusion body hepatitis in broilers. Avian Dis. 2010, 54, 74–78. [Google Scholar] [CrossRef]
- Niu, Y.; Sun, Q.; Zhang, G.; Sun, W.; Liu, X.; Xiao, Y.; Shang, Y.; Liu, S. Epidemiological investigation of outbreaks of fowl adenovirus infections in commercial chickens in China. Transbound. Emerg. Dis. 2018, 65, 121–126. [Google Scholar] [CrossRef]
- Oliver-Ferrando, S.; Dolz, R.; Calderón, C.; Valle, R.; Rivas, R.; Pérez, M.; Biarnés, M.; Blanco, A.; Bertran, K.; Ramis, A.; et al. Epidemiological and pathological investigation of fowl aviadenovirus serotypes 8b and 11 isolated from chickens with inclusion body hepatitis in Spain (2011–2013). Avian Pathol. 2017, 46, 157–165. [Google Scholar] [CrossRef]
- Meulemans, G.; Couvreur, B.; Decaesstecker, M.; Boschmans, M.; Berg, T. Phylogenetic analysis of fowl adenoviruses. Avian Pathol. 2004, 33, 164–170. [Google Scholar] [CrossRef]
- Harrach, B.; Benkö, M.; Both, G.W.; Brown, M.; Davison, A.J.; Echavarría, M.; Hess, M.; Jones, M.S.; Kajon, A.; Lehmkuhl, H.D.; et al. Family Adenoviridae. In Virus Taxonomy: Ninth Report of the International Committee on Taxonomy of Viruses, 9th ed.; King, A.M.Q., Adams, M.J., Castens, E.B., Lefkowitz, E.J., Eds.; Elsevier Academic Press: New York, NY, USA, 2012; pp. 125–141. [Google Scholar]
- Schachner, A.; Marek, A.; Grafl, B.; Hess, M. Detailed molecular analyses of the hexon loop-1 and fibers of fowl aviadenoviruses reveal new insights into the antigenic relationship and confirm that specific genotypes are involved in field outbreaks of inclusion body hepatitis. Vet. Microbiol. 2016, 186, 13–20. [Google Scholar] [CrossRef] [PubMed]
- Kichou, F.; Zro, K.; Mouahid, M.; Berrada, J. Emerging and reemerging fowl aviadenovirus infections. In Emerging and Reemerging Viral Pathogens: Volume 1: Fundamental and Basic Virology Aspects of Human, Animal and Plant Pathogens; Elsevier Inc.: Amsterdam, The Netherlands, 2019. [Google Scholar] [CrossRef]
- Hafez, H.M. Avian adenoviruses infections with special attention to inclusion body hepatitis/hydropericardium syndrome and egg drop syndrome. Pak. Vet. J. 2011, 31, 85–92. [Google Scholar]
- Garmyn, A.; Bosseler, L.; Braeckmans, D.; Erum, J.; Verlinden, M. Adenoviral Gizzard Erosions in Two Belgian Broiler Farms. Avian Dis. 2018, 62, 322–325. [Google Scholar] [CrossRef] [PubMed]
- Niczyporuk, J.S. Adenoviruses and Their Diversity in Poultry. Application of Genetics and Genomics in Poultry Science; IntechOpen: London, United Kingdom, 2018. [Google Scholar] [CrossRef]
- Matos, M.; Grafl, B.; Liebhart, D.; Hess, M. The outcome of experimentally induced inclusion body hepatitis (IBH) by fowl aviadenoviruses (FAdVs) is crucially influenced by the genetic background of the host. Vet. Res. 2016, 47, 69. [Google Scholar] [CrossRef] [PubMed]
- El-Tholoth, M.; Abou El-Azm, K.I. Molecular detection and characterization of fowl adenovirus associated with inclusion body hepatitis from broiler chickens in Egypt. Trop. Anim. Health Prod. 2019, 51, 1065–1071. [Google Scholar] [CrossRef] [PubMed]
- Mariappan, A.K.; Munusamy, P.; Latheef, S.K.; Singh, S.D.; Dhama, K. Hepato nephropathology associated with inclusion body hepatitis complicated with citrinin mycotoxicosis in a broiler farm. Vet. World 2018, 11, 112–117. [Google Scholar] [CrossRef]
- Herdt, P.; Timmerman, T.; Defoort, P.; Lycke, K.; Jaspers, R. Fowl adenovirus infections in Belgian broilers: A ten-year survey. Vlaams Diergeneeskd. Tijdschr. 2013, 82, 125–132. [Google Scholar] [CrossRef]
- Gomis, S.; Goodhope, R.; Ojkic, D.; Willson, P. Inclusion body hepatitis as a primary disease in broilers in Saskatchewan, Canada. Avian Dis. 2006, 50, 550–555. [Google Scholar] [CrossRef]
- Mirzazadeh, A.; Asasi, K.; Mosleh, N.; Abbasnia, M.; Abdi Hachesoo, B. A primary occurrence of inclusion body hepatitis in absence of predisposing agents in commercial broilers in Iran: A case report. Iran. J. Vet. Res. 2020, 21, 314–318. [Google Scholar] [CrossRef]
- Nakamura, K.; Mase, M.; Yamamoto, Y.; Takizawa, K.; Kabeya, M.; Wakuda, T.; Matsuda, M.; Chikuba, T.; Yamamoto, Y.; Ohyama, T.; et al. Inclusion Body Hepatitis Caused by Fowl Adenovirus in Broiler Chickens in Japan, 2009–2010. Avian Dis. 2011, 55, 719–723. [Google Scholar] [CrossRef]
- Steer, P.A.; Ghorashi, S.A.; Noormohammadi, A.H. Application of high-resolution melting curve analysis for typing of fowl adenoviruses in field cases of inclusion body hepatitis. Aust. Vet. J. 2011, 89, 184–192. [Google Scholar] [CrossRef] [PubMed]
- Zadravec, M.; Slavec, B.; Krapež, U.; Kaján, G.L.; Račnik, J.; Juntes, P.; Juršič Cizerl, R.; Benkõ, M.; Zorman Rojs, O. Inclusion body hepatitis (IBH) outbreak associated with Fowl adenovirus type 8b in broilers. Acta Vet. 2013, 63, 101–110. [Google Scholar] [CrossRef]
- Gaweł, A.; Nowak, M.; Ciaputa, R.; Bobrek, K. Prevalence of inclusion body hepatitis (IBH) in Poland from 2010–2014. Polish J. Vet. Sci. 2016, 19, 889–891. [Google Scholar] [CrossRef] [PubMed][Green Version]
- Niczyporuk, J.S.; Kozdrun, W.; Czekaj, H.; Piekarska, K.; Stys-Fijol, N. Characterisation of adenovirus strains represented species B and E isolated from broiler chicken flocks in eastern Poland. Heliyon 2021, 7, e06225. [Google Scholar] [CrossRef]
- Virol, A.; Niczyporuk, J.S. Molecular characterisation of fowl adenovirus type 7 isolated from poultry associated with inclusion body hepatitis in Poland. Arch. Virol. 2017, 162, 1325–1333. [Google Scholar] [CrossRef]
- Franzo, G.; Prentza, Z.; Paparounis, T.; Tsiouris, V.; Centonze, G.; Legnardi, M.; Catelli, E.; Tucciarone, C.M.; Koutoulis, K.; Cecchinato, M. Molecular epidemiology of fowl adenoviruses in Greece. Poult. Sci. 2020, 99, 5983–5990. [Google Scholar] [CrossRef]
- Tsiouris, V.; Georgopoulou, I.; Andreopoulou, M.; Hess, M.; Poutachidis, T. Inclusion Body Hepatitis: Newest epidemiological data. In Proceedings of the 3rd Panhellenic Conference of Reproductive Animals and Food Safety, Ioannina, Greece, 2–4 May 2014. [Google Scholar]
- Aviagen. Ross 308 Handbook. 2018. Available online: https://en.aviagen.com/assets/Tech_Center/Ross_Broiler/Ross-BroilerHandbook2018-EN.pdf (accessed on 15 March 2021).
- Marcu, A.; Vacaru-opri, I.; Dumitrescu, G.; Petculescu, L.; Marcu, A.; Nicula, M.; Pe, I.; Dronca, D.; Kelciov, B.; Mari, C. The Influence of Genetics on Economic Efficiency of Broiler Chickens Growth. Anim. Sci. Biotechnol. 2013, 46, 339–346. [Google Scholar]
- Li, W.; Herrman, T.J.; Dai, S.Y. Rapid determination of fumonisins in corn-based products by liquid chromatography/tandem mass spectrometry. J. AOAC Int. 2010, 93, 1472–1481. [Google Scholar] [CrossRef]
- Ren, Y.; Zhang, Y.; Shao, S.; Cai, Z.; Feng, L.; Pan, H.; Wang, Z. Simultaneous determination of multi-component mycotoxin contaminants in foods and feeds by ultra-performance liquid chromatography tandem mass spectrometry. J. Chromatogr. 2007, 1143, 48–64. [Google Scholar] [CrossRef]
- Tsiouris, V.; Tassis, P.; Raj, J.; Mantzios, T.; Kiskinis, K.; Vasiljević, M.; Delić, N.; Petridou, E.; Brellou, G.D.; Polizopoulou, Z.; et al. Investigation of a novel multicomponent mycotoxin detoxifying agent in amelioration of mycotoxicosis induced by aflatoxin-b1 and ochratoxin a in broiler chicks. Toxins 2021, 13, 367. [Google Scholar] [CrossRef]
- Günes, A.; Marek, A.; Grafl, B.; Berger, E.; Hess, M. Real-time PCR assay for universal detection and quantitation of all five species of fowl adenoviruses (FAdV-A to FAdV-E). J. Virol. Methods 2012, 183, 147–153. [Google Scholar] [CrossRef] [PubMed]
- Mittal, D.; Jindal, N.; Tiwari, A.K.; Khokhar, R.S. Characterization of fowl adenoviruses associated with hydropericardium syndrome and inclusion body hepatitis in broiler chickens. Virus Dis. 2014, 25, 114–119. [Google Scholar] [CrossRef] [PubMed]
- Şahindokuyucu, İ.; Çöven, F.; Kılıç, H.; Yılmaz, Ö.; Kars, M.; Yazıcıoğlu, Ö.; Ertunç, E.; Yazıcı, Z. First report of fowl aviadenovirus serotypes FAdV-8b and FAdV-11 associated with inclusion body hepatitis in commercial broiler and broiler-breeder flocks in Turkey. Arch. Virol. 2020, 165, 43–51. [Google Scholar] [CrossRef] [PubMed]
- Cizmecigil, U.Y.; Umar, S.; Yilmaz, A.; Bayraktar, E.; Turan, N.; Tali, B.; Aydin, O.; Tali, H.E.; Yaramanoglu, M.; Yilmaz, S.G.; et al. Characterisation of fowl adenovirus (FAdV-8b) strain concerning the geographic analysis and pathological lesions associated with inclusion body hepatitis in broiler flocks in Turkey. J. Vet. Res. 2020, 64, 231–237. [Google Scholar] [CrossRef] [PubMed]
- Steer-Cope, P.A.; Sandy, J.R.; O’Rourke, D.; Scott, P.C.; Browning, G.F.; Noormohammadi, A.H. Vaccination with FAdV-8a induces protection against inclusion body hepatitis caused by homologous and heterologous strains. Avian Pathol. 2019, 48, 396–405. [Google Scholar] [CrossRef] [PubMed]
- Inoue, D.; Hayashima, A.; Tanaka, T.; Ninomiya, N.; Tonogawa, T.; Nakazato, S.; Mase, M. Virucidal effect of commercial disinfectants on fowl adenovirus serotype 1 strains causing chicken gizzard erosion in Japan. J. Appl. Poult. Res. 2020, 29, 383–390. [Google Scholar] [CrossRef]
- Bougiouklis, P.A.; Sofia, M.; Brellou, G.; Georgopoulou, I.; Billinis, C.; Vlemmas, I. A clinical case of chicken infectious anemia disease and virus DNA detection in naturally infected broilers in Greece. Avian Dis. 2007, 51, 639–642. [Google Scholar] [CrossRef]
- Tsiouris, V.; Mavromati, N.; Kiskinis, K.; Mantzios, T.; Homonnay, Z.G.; Mato, T.; Albert, M.; Kiss, I.; Georgopoulou, I. A case of infectious laryngotracheitis in an organic broiler chicken farm in Greece. Vet. Sci. 2021, 8, 64. [Google Scholar] [CrossRef]
- McFerran, J.B.; Adair, B.M.C. Avian adenoviruses—A review. Avian Pathol. 1977, 6, 189–217. [Google Scholar] [CrossRef]
- Wilson, F.D.; Wills, R.W.; Senties-Cue, C.G.; Maslin, W.R.; Stayer, P.A.; Magee, D.L. High incidence of glomerulonephritis associated with inclusion body hepatitis in broiler chickens: Routine histopathology and histomorphometric studies. Avian Dis. 2010, 54, 975–980. [Google Scholar] [CrossRef]
- Hess, M. Commensal or pathogen—A challenge to fulfil Koch’s Postulates. Br. Poult. Sci. 2017, 58, 1–12. [Google Scholar] [CrossRef] [PubMed]
- Radwan, M.M.; El-deeb, A.H.; Mousa, M.R.; El-Sanousi, A.A. First report of fowl adenovirus 8a from commercial broiler chickens in Egypt: Molecular characterization and pathogenicity. Poult. Sci. 2019, 98, 97–104. [Google Scholar] [CrossRef] [PubMed]
- Steer, P.A.; Sandy, J.R.; O’Rourke, D.; Scott, P.C.; Browning, G.F.; Noormohammadi, A.H. Chronological analysis of gross and histological lesions induced by field strains of fowl adenovirus serotypes 1, 8b and 11 in one-day-old chickens. Avian Pathol. 2015, 44, 106–113. [Google Scholar] [CrossRef] [PubMed]
- Dar, A.; Gomis, S.; Shirley, I.; Mutwiri, G.; Brownlie, R.; Potter, A.; Gerdts, V.; Tikoo, S.K. Pathotypic and molecular characterization of a fowl adenovirus associated with inclusion body hepatitis in Saskatchewan chickens. Avian Dis. 2012, 56, 73–81. [Google Scholar] [CrossRef] [PubMed]
- Juliana, M.A.; Nurulfiza, I.; Hair-Bejo, M.; Omar, A.R.; Aini, I. Molecular characterization of fowl adenoviruses isolated from inclusion body hepatitis outbreaks in commercial broiler chickens in Malaysia. Pertanika J. Trop. Agric. Sci. 2014, 37, 483–497. [Google Scholar]
- Maartens, L.H.; Joubert, H.W.; Aitchison, H.; Venter, E.H. Inclusion body hepatitis associated with an outbreak of fowl adenovirus type 2 and type 8b in broiler flocks in South Africa. J. S. Afr. Vet. Assoc. 2014, 85, 1–5. [Google Scholar] [CrossRef]
- Izquierdo-Lara, R.; Calderón, K.; Chumbe, A.; Montesinos, R.; Montalván, Á.; González, A.E.; Icochea, E.; Fernández-Díaz, M. Complete genome sequence of fowl aviadenovirus serotype 8b isolated in South America. Genome Announc. 2016, 4, 2009–2010. [Google Scholar] [CrossRef]
- Morshed, R.; Hosseini, H.; Langeroudi, A.G.; Fard, M.H.B.; Charkhkar, S. Fowl Adenoviruses D and e Cause Inclusion Body Hepatitis Outbreaks in Broiler and Broiler Breeder Pullet Flocks. Avian Dis. 2017, 61, 205–210. [Google Scholar] [CrossRef]
- Torre, D.; Nuñez, L.F.N.; Santander Parra, S.H.; Astolfi-Ferreira, C.S.; Piantino Ferreira, A.J. Molecular characterization of fowl adenovirus group I in commercial broiler chickens in Brazil. Virus Dis. 2018, 29, 83–88. [Google Scholar] [CrossRef]
- Radin, J.M.; Shaffer, R.A.; Lindsay, S.P.; Araneta, M.R.G.; Raman, R.; Fowler, J.H. International chicken trade and increased risk for introducing or reintroducing highly pathogenic avian influenza A (H5N1) to uninfected countries. Infect. Dis. Model. 2017, 2, 412–418. [Google Scholar] [CrossRef]
- Niczyporuk, J.S.; Kozdruń, W.; Czekaj, H.; Styś-Fijoł, N.; Piekarska, K. Detection of fowl adenovirus D strains in wild birds in Poland by Loop-Mediated Isothermal Amplification (LAMP). Vet. Res. 2020, 16, 58. [Google Scholar] [CrossRef]
- Hess, M. Aviadenovirus infections. In Diseases of Poultry, 13th ed.; Swayne, D.E., Glisson, J.R., McDougald, L.R., Nolan, L.K., Suarez, D.L., Nair, V., Eds.; Wiley-Blackwell: Ames, IA, USA, 2013; pp. 290–300. [Google Scholar]
- Yugo, D.M.; Hauck, R.; Shivaprasad, H.L.; Meng, X.J. Hepatitis Virus Infections in Poultry. Avian Dis. 2016, 60, 576–588. [Google Scholar] [CrossRef] [PubMed]
- Venne, D.; Chorfi, Y. Blood biochemical changes in birds with inclusion body hepatitis and the effect of supportive treatments during outbreaks. In Proceedings of the Sixty-First Western Poultry Disease Conference, Scottsdale, AZ, USA, 2–4 April 2012; pp. 73–75. [Google Scholar]










| Publisher’s Note: MDPI stays neutral with regard to jurisdictional claims in published maps and institutional affiliations. | 
© 2022 by the authors. Licensee MDPI, Basel, Switzerland. This article is an open access article distributed under the terms and conditions of the Creative Commons Attribution (CC BY) license (https://creativecommons.org/licenses/by/4.0/).
Share and Cite
Tsiouris, V.; Mantzios, T.; Kiskinis, K.; Guérin, J.-L.; Croville, G.; Brellou, G.D.; Apostolopoulou, E.P.; Petridou, E.J.; Georgopoulou, I. First Detection and Identification of FAdV-8b as the Causative Agent of an Outbreak of Inclusion Body Hepatitis in a Commercial Broiler Farm in Greece. Vet. Sci. 2022, 9, 160. https://doi.org/10.3390/vetsci9040160
Tsiouris V, Mantzios T, Kiskinis K, Guérin J-L, Croville G, Brellou GD, Apostolopoulou EP, Petridou EJ, Georgopoulou I. First Detection and Identification of FAdV-8b as the Causative Agent of an Outbreak of Inclusion Body Hepatitis in a Commercial Broiler Farm in Greece. Veterinary Sciences. 2022; 9(4):160. https://doi.org/10.3390/vetsci9040160
Chicago/Turabian StyleTsiouris, Vasileios, Tilemachos Mantzios, Konstantinos Kiskinis, Jean-Luc Guérin, Guillaume Croville, Georgia D. Brellou, Emmanouela P. Apostolopoulou, Evanthia J. Petridou, and Ioanna Georgopoulou. 2022. "First Detection and Identification of FAdV-8b as the Causative Agent of an Outbreak of Inclusion Body Hepatitis in a Commercial Broiler Farm in Greece" Veterinary Sciences 9, no. 4: 160. https://doi.org/10.3390/vetsci9040160
APA StyleTsiouris, V., Mantzios, T., Kiskinis, K., Guérin, J.-L., Croville, G., Brellou, G. D., Apostolopoulou, E. P., Petridou, E. J., & Georgopoulou, I. (2022). First Detection and Identification of FAdV-8b as the Causative Agent of an Outbreak of Inclusion Body Hepatitis in a Commercial Broiler Farm in Greece. Veterinary Sciences, 9(4), 160. https://doi.org/10.3390/vetsci9040160
 
         
                                                


