Ameliorative Effect of Artemisia absinthium Ethanolic Extract Against Sodium Fluoride Toxicity in Rat Testes: Histological and Physiological Study
Simple Summary
Abstract
1. Introduction
2. Materials and Methods
2.1. Chemicals
2.2. Preparation of Artemisia absinthium Extract
2.3. Experimental Animals
2.4. Design of Experiments
2.5. Blood Assays
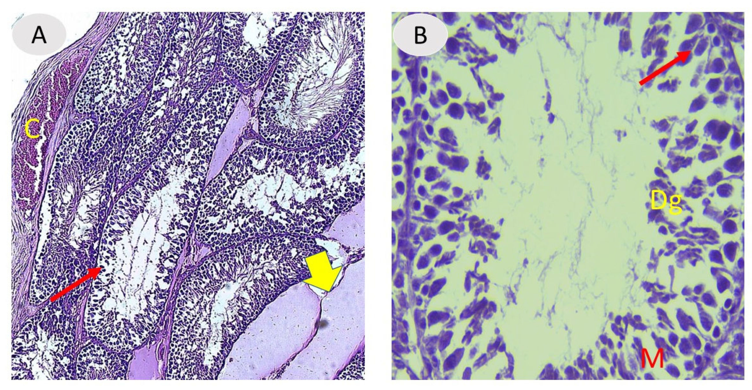
2.6. Histological Examination
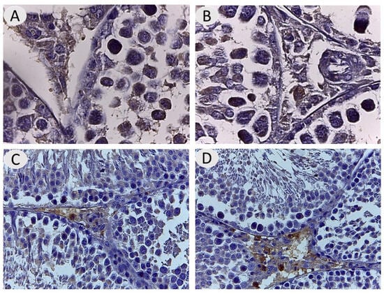
2.7. Immunohistochemical Staining of Androgen-Receptor Protein
2.8. Imaging and Histomorphometric Analysis
2.9. Statistical Analysis
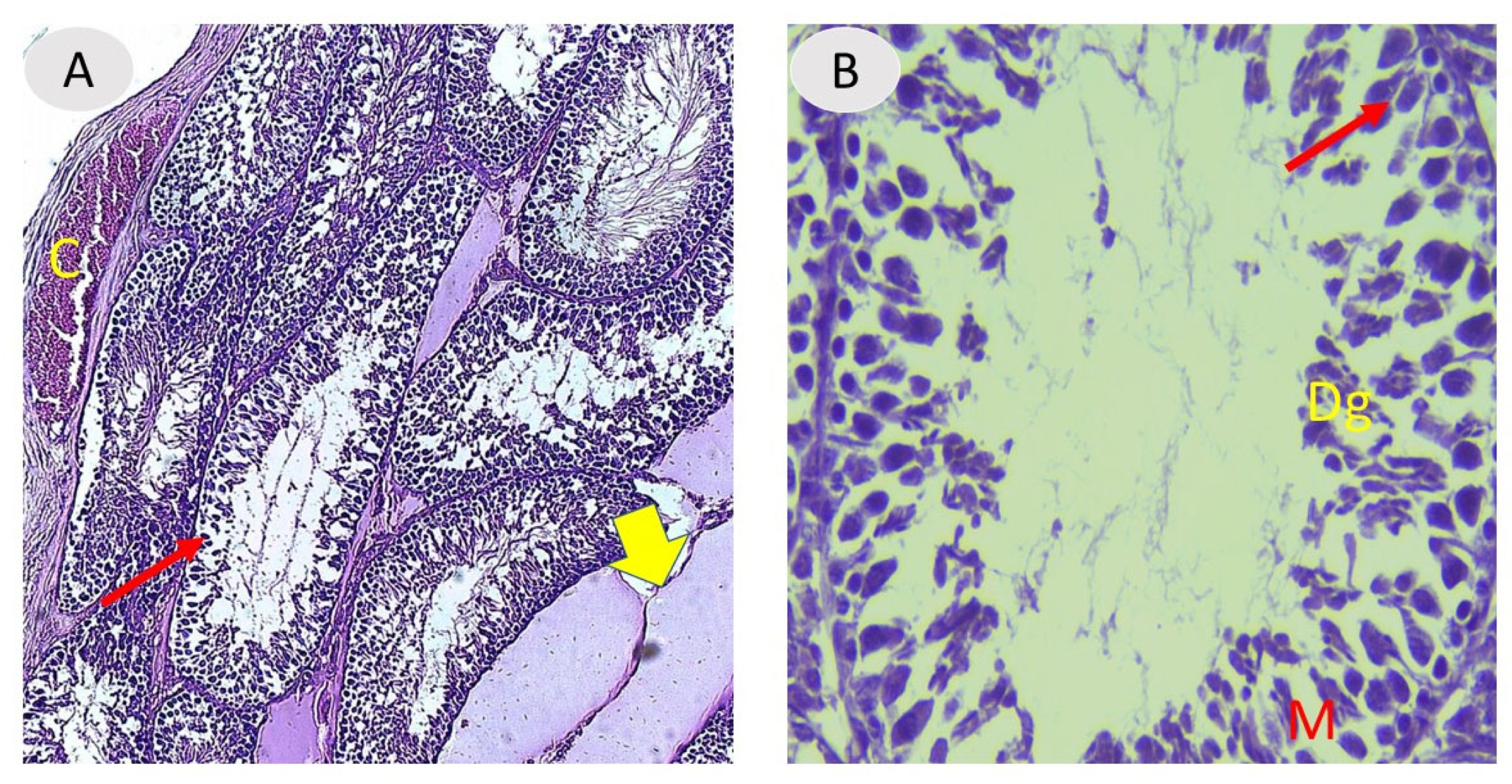
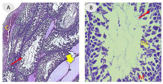
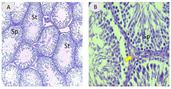
3. Results
3.1. Effect of Ethanolic Extract of A. absinthium on Body and Testis Weights Under NaF Toxicity in Rats
3.2. Effects of Ethanolic Extract of A. absinthium on Levels of FSH, LH, Testosterone, and MDA Under NaF Toxicity in Male Rats
4. Discussion
5. Conclusions
Author Contributions
Funding
Institutional Review Board Statement
Informed Consent Statement
Data Availability Statement
Conflicts of Interest
References
- Khriachtchev, L.; Pettersson, M.; Runeberg, N.; Lundell, J.; Räsänen, M. A stable argon compounds. Nature 2000, 406, 874–876. [Google Scholar] [CrossRef] [PubMed]
- Kordnezhadian, R.; De Bels, T.; Su, K.; Van Meervelt, L.; Ismalaj, E.; Demaerel, J.; De Borggraeve, W.M. An Extrusion Strategy for On-Demand SF5Cl Gas Generation from a Commercial Disulfide. Org. Lett. 2023, 25, 8947–8951. [Google Scholar] [CrossRef] [PubMed]
- Çakır, A.; Şahin, T.N. Evaluation of the impact of fluoride in drinking water and tea on the enamel of deciduous and permanent teeth. BMC Oral Health 2023, 23, 565. [Google Scholar] [CrossRef] [PubMed]
- Nakamoto, T.; Rawls, H.R. Fluoride exposure in early life as the possible root cause of disease in later life. J. Clin. Pediatr. Dent. 2018, 42, 325–330. [Google Scholar] [CrossRef]
- Shanmugam, T.; Selvaraj, M. Sources of Human Overexposure to Fluoride, Its Toxicities, and Their Amelioration Using Natural Antioxidants. In Fluoride; IntechOpen: London, UK, 2022. [Google Scholar]
- Hu, Y.; Li, Y.; Li, M.; Zhao, T.; Zhang, W.; Wang, Y.; Wang, J. Calcium supplementation attenuates fluoride-induced bone injury via PINK1/Parkin-mediated mitophagy and mitochondrial apoptosis in mice. J. Hazard. Mater. 2024, 465, 133411. [Google Scholar] [CrossRef]
- Norman, H.O.; Arden, C.G. Water Fluoridation in Primary Preventive Dentistry; Appleton & Lange: Stamford, CO, USA, 1991. [Google Scholar]
- Zhou, Y.; Zhang, H.; He, J.; Chen, X.; Ding, Y.; Wang, Y.; Liu, X. Effects of sodium fluoride on reproductive function in female rats. Food Chem. Toxicol. 2013, 56, 297–303. [Google Scholar] [CrossRef]
- Zhang, J.; Li, Z.; Qie, M.; Zheng, R.; Shetty, J.; Wang, J. Sodium fluoride and sulfur dioxide affected male reproduction by disturbing blood-testis barrier in mice. Food Chem. Toxicol. 2016, 94, 103–111. [Google Scholar] [CrossRef]
- Grzegorzewska, A.K.; Grot, E.; Sechman, A. Sodium fluoride in vitro treatment affects the expression of gonadotropin and steroid hormone receptors in chicken embryonic gonads. Animals 2021, 11, 943. [Google Scholar] [CrossRef]
- Al-Sabaawy, H.B.; Al-Kaisie, B.I. Effects of sub lethal concentrations of sodium fluoride on sperm activity and on the level of sex hormones of adult male albino rats. Iraqi J. Vet. Med. 2020, 44, 92–98. [Google Scholar] [CrossRef]
- Bhat, R.R.; Rehman, M.U.; Shabir, A.; Rahman Mir, M.U.; Ahmad, A.; Khan, R.; Ganaie, M.A. Chemical composition and biological uses of Artemisia absinthium (wormwood). In Plant and Human Health, Volume 3: Pharmacology and Therapeutic Uses; Springer: Berlin/Heidelberg, Germany, 2019; pp. 37–63. [Google Scholar]
- Hussain, M.; Raja, N.I.; Akram, A.; Iftikhar, A.; Ashfaq, D.; Yasmeen, F.; Mazhar, R.; Imran, M.; Iqbal, M.A. A status review on the pharmacological implications of Artemisia absinthium: A critically endangered plant. Asian Pac. J. Trop. Dis. 2017, 7, 185–192. [Google Scholar] [CrossRef]
- Lou, S.N.; Lai, Y.C.; Hsu, Y.S.; Ho, C.T. Phenolic content, antioxidant activity and effective compounds of kumquat extracted by different solvents. Food Chem. 2016, 197, 1–6. [Google Scholar] [CrossRef] [PubMed]
- Ahamad, J. A pharmacognostic review on Artemisia absinthium. Int. Res. J. Pharm. 2019, 10, 25–31. [Google Scholar] [CrossRef]
- Chen, L.; Kuang, P.; Liu, H.; Wei, Q.; Cui, H.; Fang, J.; Zhao, L. Sodium fluoride (NaF) induces inflammatory responses via activating MAPKs/NF-κB signaling pathway and reducing anti-inflammatory cytokine expression in the mouse liver. Biol. Trace Elem. Res. 2019, 189, 157–171. [Google Scholar] [CrossRef] [PubMed]
- Harborne, J.B. Phytochemical Methods: A Guide to Modern Techniques of Plant Analysis; Chapman and Hall: London, UK, 1998. [Google Scholar]
- Al Bnyean, W.; Al-Mousawi, Z.A.H. Physiological effect of glycyrrhizic acid on adrenal insufficiency induces by glucocorticoid in rats. Adv. Anim. Vet. Sci. 2023, 11, 1667–1672. [Google Scholar] [CrossRef]
- Bancroft, J.D.; Gamble, M. Theory and Practice of Histological Techniques, 5th ed.; Churchill Livingstone: London UK, 2019; Volume 130. [Google Scholar]
- Sar, M.; Lubahn, D.B.; French, F.S.; Wilson, E.M. Immunohistochemical localization of the androgen receptor in rat and human tissues. Endocrinology 1990, 127, 3180–3186. [Google Scholar] [CrossRef]
- Mane, D.R.; Kale, A.D.; Belaldavar, C. Validation of immunoexpression of tenascin-C in oral precancerous and cancerous tissues using ImageJ analysis with novel immunohistochemistry profiler plugin: An immunohistochemical quantitative analysis. J. Oral Maxillofac. Pathol. 2017, 21, 211–217. [Google Scholar] [CrossRef]
- Walters, S.J.; Campbell, M.J.; Machin, D. Medical Statistics: A Textbook for the Health Sciences; John Wiley & Sons: Hoboken, NJ, USA, 2021. [Google Scholar]
- Reddy, P.Y.; Reddy, K.P.; Kumar, K.P. Neurodegenerative changes in different regions of brain, spinal cord and sciatic nerve of rats treated with sodium fluoride. J. Med. Allied Sci. 2011, 1, 30. [Google Scholar]
- Trivedi, M.H.; Verma, R.J.; Sangai, N.P.; Chinoy, N.J. Mitigation by black tea extract of sodium fluoride-induced histopathological changes in brain of mice. Fluoride 2012, 45, 13. [Google Scholar]
- Hbika, A.; Daoudi, N.E.; Bouyanzer, A.; Bouhrim, M.; Mohti, H.; Loukili, E.H.; Zaid, A. Artemisia absinthium L. Aqueous and ethyl acetate extracts: Antioxidant effect and potential activity in vitro and in vivo against pancreatic α-amylase and intestinal α-glucosidase. Pharmaceutics 2022, 14, 481. [Google Scholar] [CrossRef]
- Huang, C.; Yang, H.; Niu, R.; Sun, Z.; Wang, J. Effect of sodium fluoride on androgen receptor expression in male mice. Fluoride 2008, 41, 10–17. [Google Scholar]
- Yilmaz, B.O.; Korkut, A.; Erkan, M. Sodium fluoride disrupts testosterone biosynthesis by affecting the steroidogenic pathway in TM3 Leydig cells. Chemosphere 2018, 212, 447–455. [Google Scholar] [CrossRef] [PubMed]
- Araujo, T.T.; Pereira, H.A.B.S.; Dionizio, A.; do Carmo Sanchez, C.; de Souza Carvalho, T.; da Silva Fernandes, M.; Buzalaf, M.A.R. Changes in energy metabolism induced by fluoride: Insights from inside the mitochondria. Chemosphere 2019, 236, 124357. [Google Scholar] [CrossRef] [PubMed]
- Hao, P.; Ma, X.; Cheng, X.; Ba, Y.; Zhu, J.; Cui, L. Effect of Fluoride on Human Hypothalamus–Hypophysis–Testis Axis Hormones. J. Environ. Health 2009, 26, 838–840. [Google Scholar]
- Apak, R.; Calokerinos, A.; Gorinstein, S.; Segundo, M.A.; Hibbert, D.B.; Gülçin, İ.; Arancibia-Avila, P. Methods to evaluate the scavenging activity of antioxidants toward reactive oxygen and nitrogen species (IUPAC Technical Report). Pure Appl. Chem. 2022, 94, 87–144. [Google Scholar] [CrossRef]
- Ayegboyin, O.A.; Ige, A.O.; Adewoye, E.O. Effect of Sodium Fluoride on Oxidative Stress and Antioxidant System in Male Wistar Rats. Physiology 2024, 39 (Suppl. S1), 1881. [Google Scholar] [CrossRef]
- Wan, X.L.; Niu, Y.; Zheng, X.C.; Huang, Q.; Su, W.P.; Zhang, J.F.; Wang, T. Antioxidant capacities of Artemisia annua L. leaves and enzymatically treated Artemisia annua L. in vitro and in broilers. Anim. Feed. Sci. Technol. 2016, 221, 27–34. [Google Scholar] [CrossRef]
- Giri, D.K.; Ghosh, R.C.; Kashyap, D.K.; Dewangan, G. Evaluation of subacute sodium fluoride toxicity on spermatozoa and testicular tissue of male Wistar rats. Bioscan 2013, 8, 983–987. [Google Scholar]
- Skórka-Majewicz, M.; Goschorska, M.; Żwierełło, W.; Baranowska-Bosiacka, I.; Styburski, D.; Kapczuk, P.; Gutowska, I. Effect of fluoride on endocrine tissues and their secretory functions—Review. Chemosphere 2020, 260, 127565. [Google Scholar] [CrossRef]
- Ali, S.M.; Nawfal, A.J.; Al-Okaily, B.N. Protective effects of coenzyme Q10 against sodium fluoride-induced reproductive disorders in male rats. Iraqi J. Vet. Sci. 2019, 33, 143–149. [Google Scholar]
- Hadi, A.; Hossein, N.; Shirin, P.; Najmeh, N.; Abolfazl, M. Anti-inflammatory and Analgesic Activities of Artemisia absinthium and Chemical Composition of its Essential Oil. Int. J. Pharm. Sci. Rev. Res. 2014, 24, 237–244. [Google Scholar]
- Gabry, M.; Sog Abdel Kader, D.H.; Moustafa, M.; Elenany, A.H. Effect of some antioxidants on the prostate of adult and aged albino rats: A histological and immunohistochemical study. J. Appl. Pharm. Sci. 2014, 4, 017–026. [Google Scholar] [CrossRef]
- Aydin, Y. Exposure to sodium fluoride via drinking water cause cytotoxicity and oxidative damage in Leydig cells. Trak. Univ. J. Nat. Sci. 2017, 18, 115–122. [Google Scholar] [CrossRef]




| Group | Body Weight (mg) | Weight of Testis (mg) |
|---|---|---|
| I | 188.50 a ± 2.428 | 1.7067 a ± 0.018 |
| II | 192.83 a ± 3.86 | 1.7150 a ± 0.030 |
| III | 160.17 c ± 4.445 | 0.8983 c ± 0.0222 |
| IV | 171.40 b ± 3.209 | 1.4820 b ± 0.040 |
| Group | FSH (mlU/mL) | LH (mlU/mL) | Testosterone ng/mL | MDA (nmol/mg of pt) |
|---|---|---|---|---|
| I | 1.388 a ± 0.0116 | 1.186 a ± 0.0103 | 1.678 a ± 0.0116 | 4.096 c ± 0.0355 |
| II | 1.366 a ± 0.0103 | 1.163 a ± 0.0102 | 1.646 a ± 0.0150 | 4.130 c ± 0.0275 |
| III | 0.798 c ± 0.0160 | 0.381 c ± 0.0365 | 0.605 c ± 0.0187 | 7.160 a ± 0.0726 |
| IV | 1.074 b ± 0.0288 | 0.864 b ± 0.027 | 1.138 b ± 0.0130 | 5.506 b ± 0.0841 |
| Group | Diameter of Seminiferous Tubules (μm) | Germinal Epithelial Height (μm) |
|---|---|---|
| I | 169.85 b ± 1.545 | 55.04 b ± 0.857 |
| II | 173.58 a ± 1.191 | 59.41 a ± 1.04 |
| III | 157.37 d ± 1.950 | 45.39 c ± 0.937 |
| IV | 165.766 c ± 1.355 | 52.65 b ± 0.936 |
Disclaimer/Publisher’s Note: The statements, opinions and data contained in all publications are solely those of the individual author(s) and contributor(s) and not of MDPI and/or the editor(s). MDPI and/or the editor(s) disclaim responsibility for any injury to people or property resulting from any ideas, methods, instructions or products referred to in the content. |
© 2025 by the authors. Licensee MDPI, Basel, Switzerland. This article is an open access article distributed under the terms and conditions of the Creative Commons Attribution (CC BY) license (https://creativecommons.org/licenses/by/4.0/).
Share and Cite
Ali, S.A.; AL-Mousawi, Z.A.H.; AL-Rikaby, A.A.; Farouk, S.M.; Elnesr, S.S. Ameliorative Effect of Artemisia absinthium Ethanolic Extract Against Sodium Fluoride Toxicity in Rat Testes: Histological and Physiological Study. Vet. Sci. 2025, 12, 371. https://doi.org/10.3390/vetsci12040371
Ali SA, AL-Mousawi ZAH, AL-Rikaby AA, Farouk SM, Elnesr SS. Ameliorative Effect of Artemisia absinthium Ethanolic Extract Against Sodium Fluoride Toxicity in Rat Testes: Histological and Physiological Study. Veterinary Sciences. 2025; 12(4):371. https://doi.org/10.3390/vetsci12040371
Chicago/Turabian StyleAli, Sawsan A., Zainab A. H. AL-Mousawi, Ahlam A. AL-Rikaby, Sameh Mohamed Farouk, and Shaaban S. Elnesr. 2025. "Ameliorative Effect of Artemisia absinthium Ethanolic Extract Against Sodium Fluoride Toxicity in Rat Testes: Histological and Physiological Study" Veterinary Sciences 12, no. 4: 371. https://doi.org/10.3390/vetsci12040371
APA StyleAli, S. A., AL-Mousawi, Z. A. H., AL-Rikaby, A. A., Farouk, S. M., & Elnesr, S. S. (2025). Ameliorative Effect of Artemisia absinthium Ethanolic Extract Against Sodium Fluoride Toxicity in Rat Testes: Histological and Physiological Study. Veterinary Sciences, 12(4), 371. https://doi.org/10.3390/vetsci12040371

