Atypical Mitotic Figures Are Prognostically Meaningful for Canine Cutaneous Mast Cell Tumors
Abstract
:Simple Summary
Abstract
1. Introduction
2. Materials and Methods
2.1. Study Population and Histological Sections
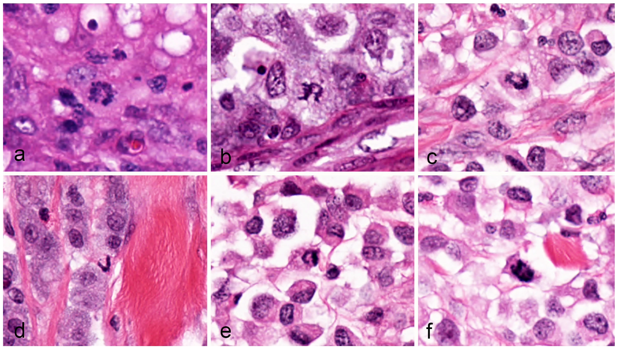
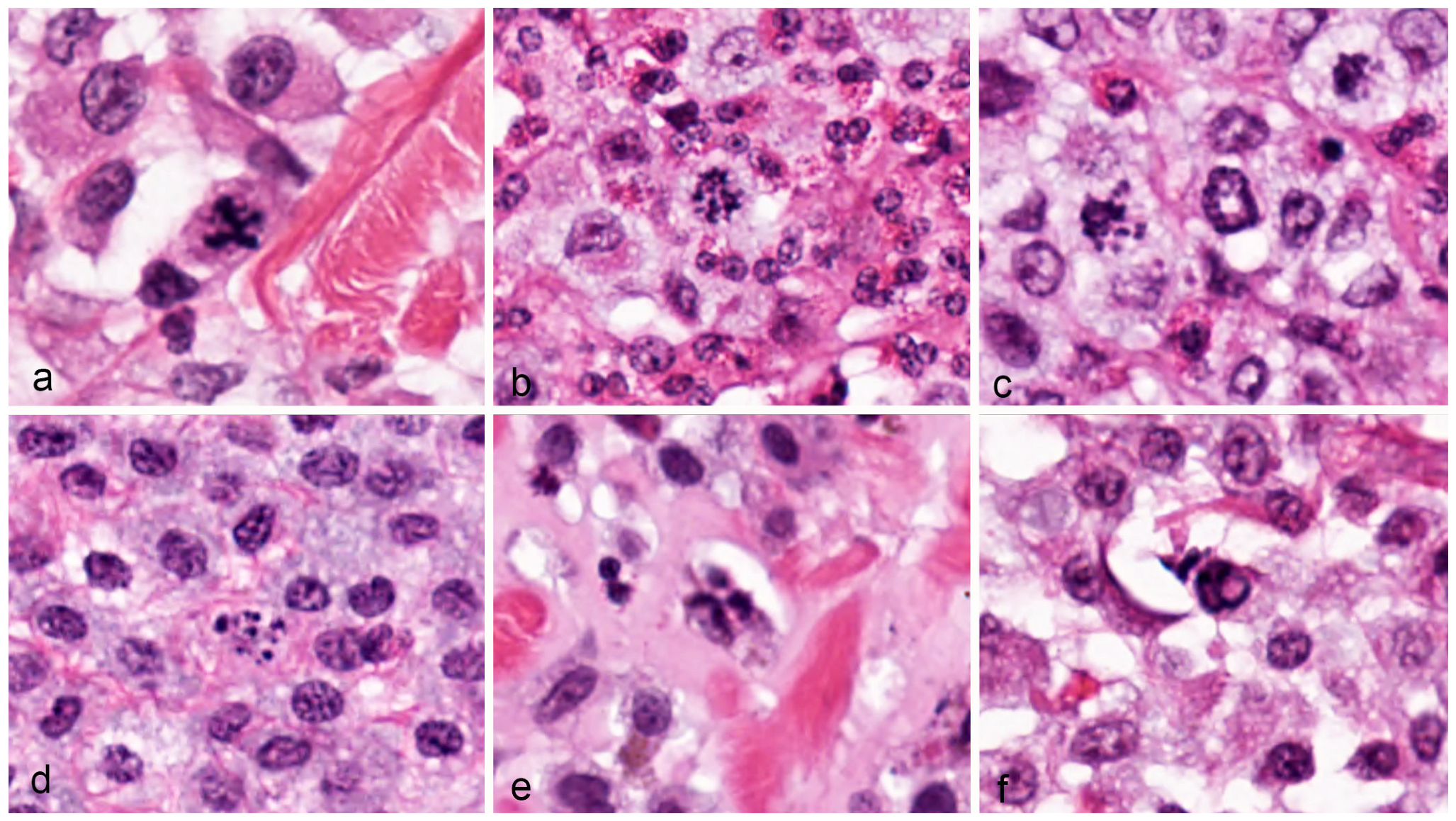
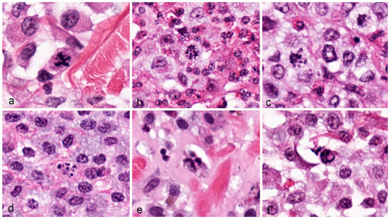
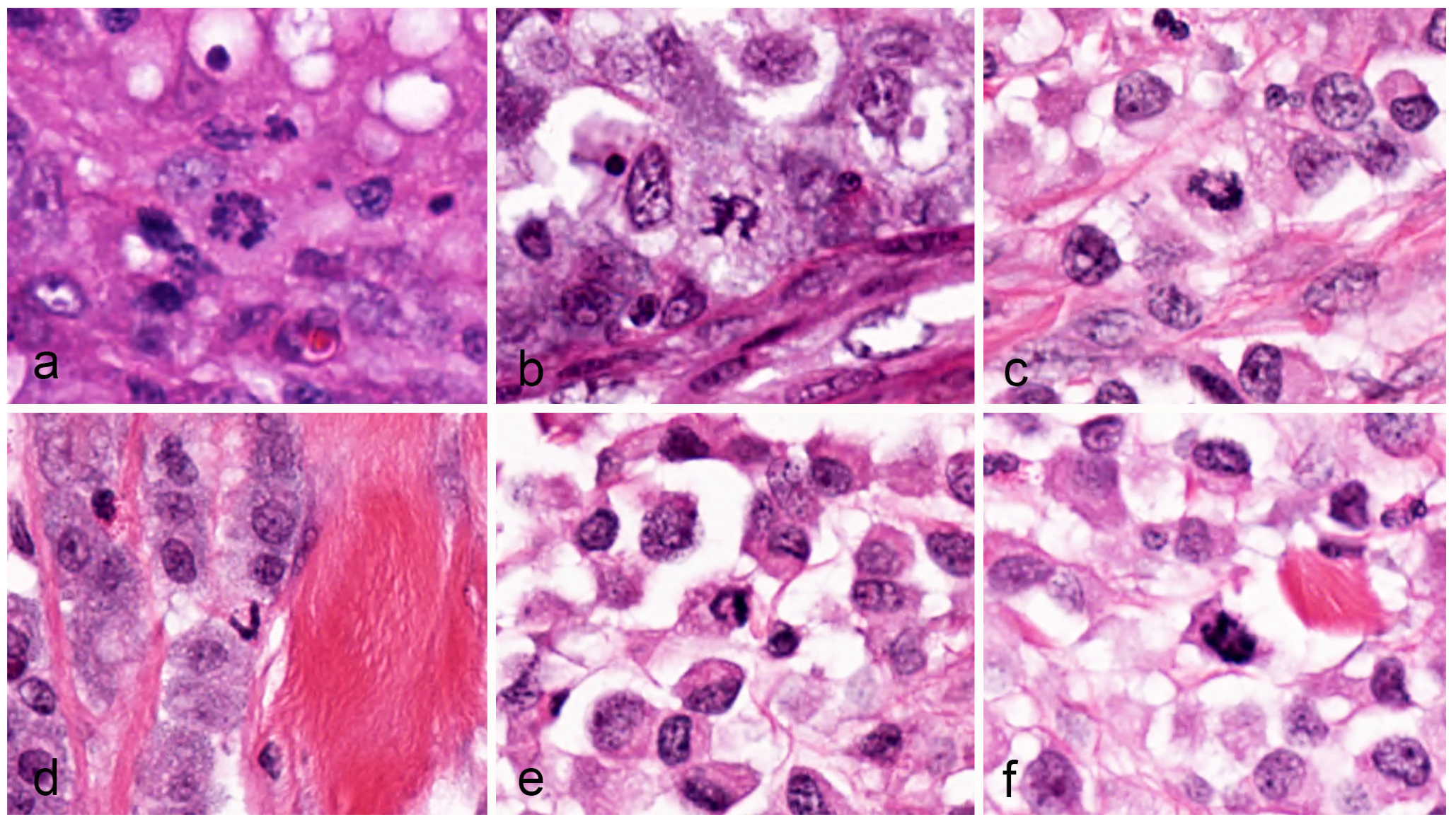
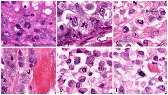
2.2. Histological Evaluation
2.3. Statistical Analysis
3. Results
3.1. Study Population
3.2. Prognostic Value of AMFs
4. Discussion
5. Conclusions
Supplementary Materials
Author Contributions
Funding
Institutional Review Board Statement
Informed Consent Statement
Data Availability Statement
Conflicts of Interest
References
- Bertram, C.A.; Donovan, T.A.; Bartel, A. Systematic Review of Methods and Prognostic Value of Mitotic Activity. Part 1: Feline Tumors. arXiv 2023, arXiv:2305.01403. [Google Scholar]
- Romansik, E.M.; Reilly, C.M.; Kass, P.H.; Moore, P.F.; London, C.A. Mitotic index is predictive for survival for canine cutaneous mast cell tumors. Vet. Pathol. 2007, 44, 335–341. [Google Scholar] [CrossRef] [PubMed]
- Berlato, D.; Murphy, S.; Monti, P.; Stewart, J.; Newton, J.R.; Flindall, A.; Maglennon, G.A. Comparison of mitotic index and Ki67 index in the prognostication of canine cutaneous mast cell tumours. Vet. Comp. Oncol. 2015, 13, 143–150. [Google Scholar] [CrossRef] [PubMed]
- Elston, L.B.; Sueiro, F.A.; Cavalcanti, J.N.; Metze, K. The importance of the mitotic index as a prognostic factor for survival of canine cutaneous mast cell tumors: A validation study. Vet. Pathol. 2009, 46, 362–364. [Google Scholar] [CrossRef]
- Horta, R.S.; Lavalle, G.E.; Monteiro, L.N.; Souza, M.C.C.; Cassali, G.D.; Araújo, R.B. Assessment of Canine Mast Cell Tumor Mortality Risk Based on Clinical, Histologic, Immunohistochemical, and Molecular Features. Vet. Pathol. 2018, 55, 212–223. [Google Scholar] [CrossRef]
- Knight, B.J.; Wood, G.A.; Foster, R.A.; Coomber, B.L. Beclin-1 is a novel predictive biomarker for canine cutaneous and subcutaneous mast cell tumors. Vet. Pathol. 2022, 59, 46–56. [Google Scholar] [CrossRef]
- Skor, O.; Fuchs-Baumgartinger, A.; Tichy, A.; Kleiter, M.; Schwendenwein, I. Pretreatment leukocyte ratios and concentrations as predictors of outcome in dogs with cutaneous mast cell tumours. Vet. Comp. Oncol. 2017, 15, 1333–1345. [Google Scholar] [CrossRef]
- Vascellari, M.; Giantin, M.; Capello, K.; Carminato, A.; Morello, E.M.; Vercelli, A.; Granato, A.; Buracco, P.; Dacasto, M.; Mutinelli, F. Expression of Ki67, BCL-2, and COX-2 in canine cutaneous mast cell tumors: Association with grading and prognosis. Vet. Pathol. 2013, 50, 110–121. [Google Scholar] [CrossRef]
- Bertram, C.A.; Donovan, T.A.; Bartel, A. Systematic Review of Methods and Prognostic Value of Mitotic Activity. Part 2: Canine Tumors. arXiv 2023, arXiv:2305.19667. [Google Scholar]
- Kiupel, M.; Webster, J.D.; Bailey, K.L.; Best, S.; DeLay, J.; Detrisac, C.J.; Fitzgerald, S.D.; Gamble, D.; Ginn, P.E.; Goldschmidt, M.H.; et al. Proposal of a 2-tier histologic grading system for canine cutaneous mast cell tumors to more accurately predict biological behavior. Vet. Pathol. 2011, 48, 147–155. [Google Scholar] [CrossRef]
- Patnaik, A.K.; Ehler, W.J.; MacEwen, E.G. Canine cutaneous mast cell tumor: Morphologic grading and survival time in 83 dogs. Vet. Pathol. 1984, 21, 469–474. [Google Scholar] [CrossRef]
- Gisselsson, D. Classification of chromosome segregation errors in cancer. Chromosoma 2008, 117, 511–519. [Google Scholar] [CrossRef] [PubMed]
- Donovan, T.A.; Moore, F.M.; Bertram, C.A.; Luong, R.; Bolfa, P.; Klopfleisch, R.; Tvedten, H.; Salas, E.N.; Whitley, D.B.; Aubreville, M.; et al. Mitotic Figures-Normal, Atypical, and Imposters: A Guide to Identification. Vet. Pathol. 2021, 58, 243–257. [Google Scholar] [CrossRef] [PubMed]
- Tvedten, H. Atypical mitoses: Morphology and classification. Vet. Clin. Pathol. 2009, 38, 418–420. [Google Scholar] [CrossRef] [PubMed]
- Ohashi, R.; Namimatsu, S.; Sakatani, T.; Naito, Z.; Takei, H.; Shimizu, A. Prognostic utility of atypical mitoses in patients with breast cancer: A comparative study with Ki67 and phosphohistone H3. J. Surg. Oncol. 2018, 118, 557–567. [Google Scholar] [CrossRef] [PubMed]
- Lashen, A.; Toss, M.S.; Alsaleem, M.; Green, A.R.; Mongan, N.P.; Rakha, E. The characteristics and clinical significance of atypical mitosis in breast cancer. Mod. Pathol. 2022, 35, 1341–1348. [Google Scholar] [CrossRef] [PubMed]
- Rudolph, P.; Gloeckner, K.; Parwaresch, R.; Harms, D.; Schmidt, D. Immunophenotype, proliferation, DNA ploidy, and biological behavior of gastrointestinal stromal tumors: A multivariate clinicopathologic study. Hum. Pathol. 1998, 29, 791–800. [Google Scholar] [CrossRef]
- Habougit, C.; Trombert-Paviot, B.; Karpathiou, G.; Casteillo, F.; Bayle-Bleuez, S.; Fournel, P.; Vergnon, J.M.; Tiffet, O.; Péoc’h, M.; Forest, F. Histopathologic features predict survival in diffuse pleural malignant mesothelioma on pleural biopsies. Virchows Arch. Int. J. Pathol. 2017, 470, 639–646. [Google Scholar] [CrossRef]
- Matsuda, Y.; Yoshimura, H.; Ishiwata, T.; Sumiyoshi, H.; Matsushita, A.; Nakamura, Y.; Aida, J.; Uchida, E.; Takubo, K.; Arai, T. Mitotic index and multipolar mitosis in routine histologic sections as prognostic markers of pancreatic cancers: A clinicopathological study. Pancreatology 2016, 16, 127–132. [Google Scholar] [CrossRef]
- Travaglino, A.; Raffone, A.; Santoro, A.; Gencarelli, A.; Angelico, G.; Spadola, S.; Marzullo, L.; Zullo, F.; Insabato, L.; Zannoni, G.F. Prognostic significance of atypical mitotic figures in smooth muscle tumors of uncertain malignant potential (STUMP) of the uterus and uterine adnexa. Apmis 2021, 129, 165–169. [Google Scholar] [CrossRef]
- Walczyk, A.; Kopczyński, J.; Gąsior-Perczak, D.; Pałyga, I.; Kowalik, A.; Chrapek, M.; Hejnold, M.; Góźdź, S.; Kowalska, A. Histopathology and immunohistochemistry as prognostic factors for poorly differentiated thyroid cancer in a series of Polish patients. PLoS ONE 2020, 15, e0229264. [Google Scholar] [CrossRef] [PubMed]
- Aubreville, M.; Bertram, C.; Klopfleisch, R.; Maier, A. Sliderunner: A tool for massive cell annotations in whole slide images. In Bildverarbeitung für die Medizin 2018, Proceedings of the Workshops, Erlangen, Germany, 11–13 March 2018; Springer: Berlin/Heidelberg, Germany, 2018; pp. 309–314. [Google Scholar] [CrossRef]
- Bertram, C.A.; Aubreville, M.; Donovan, T.A.; Bartel, A.; Wilm, F.; Marzahl, C.; Assenmacher, C.A.; Becker, K.; Bennett, M.; Corner, S.; et al. Computer-assisted mitotic count using a deep learning-based algorithm improves interobserver reproducibility and accuracy. Vet. Pathol. 2022, 59, 211–226. [Google Scholar] [CrossRef] [PubMed]
- Meuten, D.J.; Moore, F.M.; Donovan, T.A.; Bertram, C.A.; Klopfleisch, R.; Foster, R.A.; Smedley, R.C.; Dark, M.J.; Milovancev, M.; Stromberg, P.; et al. International Guidelines for Veterinary Tumor Pathology: A Call to Action. Vet. Pathol. 2021, 58, 766–794. [Google Scholar] [CrossRef] [PubMed]
- Aubreville, M.; Ganz, J.; Ammeling, J.; Donovan, T.A.; Fick, R.H.; Breininger, K.; Bertram, C.A. Deep learning-based Subtyping of Atypical and Normal Mitoses using a Hierarchical Anchor-Free Object Detector. In Bildverarbeitung für die Medizin (BVM) 2023. Informatik Aktuell; Deserno, T., Handels, H., Maier, A., Maier-Hein, K., Palm, C., Tolxdorff, T., Eds.; Springer: Wiesbaden, Germany, 2023. [Google Scholar] [CrossRef]
- Aubreville, M.; Wilm, F.; Stathonikos, N.; Breininger, K.; Donovan, T.A.; Jabari, S.; Veta, M.; Ganz, J.; Ammeling, J.; van Diest, P.J.; et al. A comprehensive multi-domain dataset for mitotic figure detection. Sci. Data 2023, 10, 484. [Google Scholar] [CrossRef] [PubMed]
- Veta, M.; Heng, Y.J.; Stathonikos, N.; Bejnordi, B.E.; Beca, F.; Wollmann, T.; Rohr, K.; Shah, M.A.; Wang, D.; Rousson, M.; et al. Predicting breast tumor proliferation from whole-slide images: The TUPAC16 challenge. Med. Image Anal. 2019, 54, 111–121. [Google Scholar] [CrossRef] [PubMed]
- Boracchi, P.; Roccabianca, P.; Avallone, G.; Marano, G. Kaplan-Meier Curves, Cox Model, and P-Values Are Not Enough for the Prognostic Evaluation of Tumor Markers: Statistical Suggestions for a More Comprehensive Approach. Vet. Pathol. 2021, 58, 795–808. [Google Scholar] [CrossRef] [PubMed]
- Schafer, K.A. The cell cycle: A review. Vet. Pathol. 1998, 35, 461–478. [Google Scholar] [CrossRef]
- Weaver, B.A.; Cleveland, D.W. Does aneuploidy cause cancer? Curr. Opin. Cell Biol. 2006, 18, 658–667. [Google Scholar] [CrossRef]
- Wei, B.R.; Halsey, C.H.; Hoover, S.B.; Puri, M.; Yang, H.H.; Gallas, B.D.; Lee, M.P.; Chen, W.; Durham, A.C.; Dwyer, J.E.; et al. Agreement in Histological Assessment of Mitotic Activity between Microscopy and Digital Whole Slide Images Informs Conversion for Clinical Diagnosis. Acad. Pathol. 2019, 6, 2374289519859841. [Google Scholar] [CrossRef]
- Barry, M.; Sinha, S.K.; Leader, M.B.; Kay, E.W. Poor agreement in recognition of abnormal mitoses: Requirement for standardized and robust definitions. Histopathology 2001, 38, 68–72. [Google Scholar] [CrossRef]





| Statistical Analysis | AMF Count | AMF to MF Ratio | Mitotic Count |
|---|---|---|---|
| Area under the ROC curve (95% CI) | 0.859 (0.719–0.999) | 0.880 (0.757–1.0) | 0.885 (0.763–1.0) |
| Prognostic classification ranges | 0–2 vs. ≥3 | 0–7.5% vs. >7.5% | 0–5 vs. ≥6 |
| Sensitivity (95% CI) * | 76.9% (46.2–94.9%) | 76.9% (46.2–94.9%) | 76.9% (46.2–94.9%) |
| Specificity (95% CI) * | 98.8% (93.5–99.9%) | 100% (95.6–100%) | 92.7% (84.9–97.3%) |
| Positive predictive value (95% CI) * | 90.9% (58.7–99.8%) | 100% (69.2–100%) | 62.5% (35.4–94.8%) |
| Hazard ratio (95% CI) * | 79.6 (16.6–382.7) | 90.7 (19.0–432.0) | 30.6 (7.9–118.6) |
| Statistical Analysis | AMF Count | AMF to MF Ratio | Mitotic Count |
|---|---|---|---|
| Area under the ROC curve (95% CI) | 0.688 (0.519–0.858) | 0.727 (0.565–0.890) | 0.744 (0.596–0.891) |
| Prognostic classification ranges | 0–2 vs. ≥3 | 0–7.5% vs. >7.5% | 0–5 vs. ≥6 |
| Sensitivity (95% CI) * | 50.0% | 50.0% | 50.0% |
| Specificity (95% CI) * | 96.3% | 97.5% | 90.0% |
| Positive predictive value (95% CI) * | 72.7% | 80.0% | 50.0% |
| Hazard ratio (95% CI) * | 18.3 (7.1–47.2) | 22.3 (8.9–57.7) | 7.1 (3.0–16.8) |
Disclaimer/Publisher’s Note: The statements, opinions and data contained in all publications are solely those of the individual author(s) and contributor(s) and not of MDPI and/or the editor(s). MDPI and/or the editor(s) disclaim responsibility for any injury to people or property resulting from any ideas, methods, instructions or products referred to in the content. |
© 2023 by the authors. Licensee MDPI, Basel, Switzerland. This article is an open access article distributed under the terms and conditions of the Creative Commons Attribution (CC BY) license (https://creativecommons.org/licenses/by/4.0/).
Share and Cite
Bertram, C.A.; Bartel, A.; Donovan, T.A.; Kiupel, M. Atypical Mitotic Figures Are Prognostically Meaningful for Canine Cutaneous Mast Cell Tumors. Vet. Sci. 2024, 11, 5. https://doi.org/10.3390/vetsci11010005
Bertram CA, Bartel A, Donovan TA, Kiupel M. Atypical Mitotic Figures Are Prognostically Meaningful for Canine Cutaneous Mast Cell Tumors. Veterinary Sciences. 2024; 11(1):5. https://doi.org/10.3390/vetsci11010005
Chicago/Turabian StyleBertram, Christof A., Alexander Bartel, Taryn A. Donovan, and Matti Kiupel. 2024. "Atypical Mitotic Figures Are Prognostically Meaningful for Canine Cutaneous Mast Cell Tumors" Veterinary Sciences 11, no. 1: 5. https://doi.org/10.3390/vetsci11010005
APA StyleBertram, C. A., Bartel, A., Donovan, T. A., & Kiupel, M. (2024). Atypical Mitotic Figures Are Prognostically Meaningful for Canine Cutaneous Mast Cell Tumors. Veterinary Sciences, 11(1), 5. https://doi.org/10.3390/vetsci11010005

