Chronic Progressive Lymphedema in Belgian Draft Horses: Understanding and Managing a Challenging Disease
Abstract
Simple Summary
Abstract
1. Introduction
2. Pathogenesis: Two Diverging Hypotheses
2.1. Lymphatic Disease
2.2. Inflammatory Skin Disorder
3. Lesions and Clinical Signs
3.1. Primary CPL Lesions
3.2. Lesions Associated with CPL
3.3. Secondary CPL Lesions
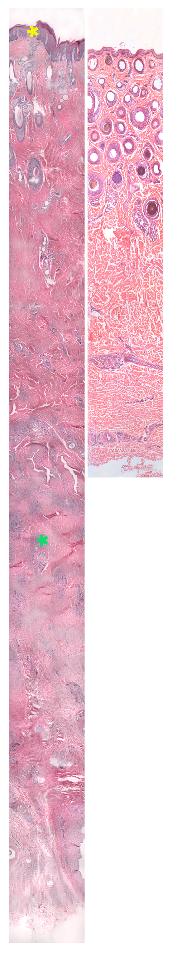
3.4. Histopathology
4. Factors Associated with Occurrence and Severity of CPL
4.1. Age
4.2. Gender
4.3. Secondary Infections
4.4. Housing
4.5. Intended Use of the Horse
4.6. Diet
4.7. Features of the Distal Limbs
5. Diagnosis
5.1. Clinical Examination and Scoring
5.2. Punch Biopsy
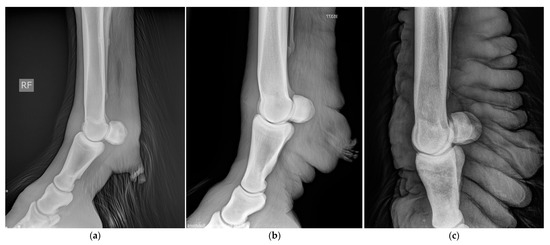
5.3. Medical Imaging
5.4. Anti-Elastin Antibodies ELISA
5.5. Genetic Assays
6. Symptomatic Treatment and Management
6.1. General Skin Care
6.2. Secondary Infections
6.3. Support of Lymph Drainage
6.4. Surgical Intervention
7. Chronic Progressive Lymphedema in Breeding Programs
7.1. Integration of a CPL Scoring System
7.2. Selection against CPL When Genetic Diversity Is at Risk
8. Conclusions and Perspectives
Author Contributions
Funding
Institutional Review Board Statement
Informed Consent Statement
Data Availability Statement
Conflicts of Interest
References
- Schutzer, E. Ein Beitrag zur Kenntnis der Dermatitis Chronica Verrucosa (Sogenannter Straubfuss). Ph.D. Thesis, Medizinische Fakultät der Universität Leipzig, Leipzig, Germany, 1909. [Google Scholar]
- Gustine, G. Die Sogenannte Warzenmauke des Pferdes “Dermatitis Chronica Verrucosa”. Ph.D. Thesis, Vereinigte Medizinische Fakultät der Groβherzöglichen Hessischen Ludwigs-Universität zu Gieβen, Gieβen, Germany, 1910. [Google Scholar]
- Wussow, W.; Hartwig, W. Die Zuchtverwendungsdauer der Beschäler des Landgestüt Kreuz und ihre Abgangsursachen. Tierzucht 1954, 10, 336–342. [Google Scholar]
- Ferraro, G.L. Chronic progressive lymphedema in draft horses. J. Equine Vet. Sci. 2003, 23, 189–190. [Google Scholar] [CrossRef]
- Affolter, V.K. Chronic Progressive Lymphedema in Draft Horses. Vet. Clin. N. Am. Equine Pract. 2013, 29, 589–605. [Google Scholar] [CrossRef] [PubMed]
- De Cock, H.E.; Affolter, V.K.; Wisner, E.R.; Ferraro, G.L.; MacLachlan, N.J. Progressive Swelling, Hyperkeratosis, and Fibrosis of Distal Limbs in Clydesdales, Shires, and Belgian Draft Horses, Suggestive of Primary Lymphedema. Lymphat. Res. Biol. 2003, 1, 191–199. [Google Scholar] [CrossRef]
- De Cock, H.E.; Affolter, V.K.; Wisner, E.R.; Larson, R.F.; Ferraro, G.L. Lymphoscintigraphy of draft horses with chronic progressive lymphedema. Equine Vet. J. 2006, 38, 148–151. [Google Scholar] [CrossRef]
- De Keyser, K. Clinical Assessment, Genetic Parameters and the Role of Elastin in Chronic Progressive Lymphedema in the Belgian Draft Horse. Ph.D. Thesis, Catholic University of Leuven, Leuven, Belgium, 2014. [Google Scholar]
- De Keyser, K.; Janssens, S.; Peeters, L.M.; Gasthuys, F.; Oosterlinck, M.; Buys, N. Chronic progressive lymphedema in the Belgian draft horse in Belgium: Clinical phenotyping, prevalence and risk factor analysis. Vlaams Diergeneeskd. Tijdschr. 2014, 83, 119–124. [Google Scholar] [CrossRef]
- François, L. Conservation Genomics of Living Heritage Breeds. Ph.D. Thesis, Catholic University of Leuven, Leuven, Belgium, 2018. [Google Scholar]
- Mittmann, E.H.; Mömke, S.; Distl, O. Whole-genome scan identifies quantitative trait loci for chronic pastern dermatitis in German draft horses. Mamm Genome 2010, 21, 95–103. [Google Scholar] [CrossRef]
- De Keyser, K.; Janssens, S.; Peeters, L.M.; Foqué, N.; Gasthuys, F.; Oosterlinck, M.; Buys, N. Genetic parameters for chronic progressive lymphedema in Belgian Draft Horses. J. Anim. Breed. Genet. 2014, 131, 522–528. [Google Scholar] [CrossRef]
- Ferraro, G.L. Pastern dermatitis in Shires and Clydesdales. J. Equine Vet. Sci. 2001, 21, 524–527. [Google Scholar] [CrossRef]
- Powell, H.; Affolter, V.K. Combined decongestive therapy including equine manual lymph drainage to assist management of chronic progressive lymphedema in draft horses. Equine Vet. Educ. 2012, 24, 81–89. [Google Scholar] [CrossRef]
- Affolter, V.K.; Dalley, B.; Kass, P.H.; Brown, E.A.; Sonder, C.; Bannasch, D.L. Chronic progressive lymphedema in Friesian horses: Suggestive phenotype of affected horses and genome-wide association study. Vet. Dermatol. 2020, 31, 234-e51. [Google Scholar] [CrossRef]
- Wallraf, A.; Hamann, H.; Deegen, E.; Ohnesorge, B.; Distl, O. Analysis of the prevalence of pastern dermatitis in German Coldblood horse breeds. Berl. Munch. Tierarztl. Wochenschr. 2004, 117, 148–152. [Google Scholar]
- De Cock, H.E.; Affolter, V.K.; Farver, T.B.; Van Brantegem, L.; Scheuch, B.; Ferraro, G.L. Measurement of skin desmosine as an indicator of altered cutaneous elastin in draft horses with chronic progressive lymphedema. Lymphat. Res. Biol. 2006, 4, 67–72. [Google Scholar] [CrossRef]
- Wallraf, A. Populationsgenetische Untersuchung zum Aftreten von Mauke bei den deutschen Kaltblutpferderassen. Ph.D. Thesis, Tierarztliche Hochschule, Hannover, Germany, 2003. [Google Scholar]
- Bonnissent, C.R. Étiologie du Syndrome “Pattes à Jus” Chez le Baudet de Oitou et le Trait Mulassier Poitevin. Ph.D. Thesis, École nationale vétérinaire d’Alfort, Maisons-Alfort, France, 2012. [Google Scholar]
- Boerma, S.; Back, W.; Sloet van Oldruitenborgh-Oosterbaan, M.M. The Friesian horse breed: A clinical challenge to the equine veterinarian? Equine Vet. Educ. 2012, 24, 66–71. [Google Scholar] [CrossRef]
- Lynch, L.L.; Mendez, U.; Waller, A.B.; Gillette, A.A.; Guillory, R.J.; Goldman, J. Fibrosis worsens chronic lymphedema in rodent tissues. Am. J. Physiol.-Heart Circ. Physiol. 2015, 308, H1229–H1236. [Google Scholar] [CrossRef]
- De Cock, H.E.; Van Brantegem, L.; Affolter, V.K.; Oosterlinck, M.; Ferraro, G.L.; Ducatelle, R. Quantitative and qualitative evaluation of dermal elastin of draft horses with chronic progressive lymphedema. J. Comp. Pathol. 2009, 140, 132–139. [Google Scholar] [CrossRef]
- Van Brantegem, L.; de Cock, H.E.V.; Affolter, V.K.; Duchateau, L.; Hoogewijs, M.K.; Govaere, J.; Ferraro, G.L.; Ducatelle, R. Antibodies to elastin peptides in sera of Belgian Draft horses with chronic progressive lymphedema. Equine Vet. J. 2007, 39, 418–421. [Google Scholar] [CrossRef]
- Meyer, W.; Neurand, K.; Schwarz, R.; Bartels, T.; Althoff, H. Arrangement of elastic fibres in the integument of domesticated mammals. Scanning Microsc. 1994, 8, 375–390. [Google Scholar]
- Rockson, S.G. The Lymphatics and the Inflammatory Response: Lessons Learned from Human Lymphedema. Lymphat. Res. Biol. 2013, 11, 117–120. [Google Scholar] [CrossRef]
- Pereira de Godoy, J.M.; Guerreiro Godoy, M.F.; Pereira de Godoy, H.J.; De Santi Neto, D. Stimulation of Synthesis and Lysis of Extracellular Matrix Proteins in Fibrosis Associated with Lymphedema. Dermatopathology 2021, 9, 1–10. [Google Scholar] [CrossRef]
- Grada, A.A.; Phillips, T.J. Lymphedema: Pathophysiology and clinical manifestations. J. Am. Acad. Dermatol. 2017, 77, 1009–1020. [Google Scholar] [CrossRef] [PubMed]
- Young, A.E.; Bower, L.P.; Affolter, V.K.; De Cock, H.E.; Ferraro, G.L.; Bannasch, D.L. Evaluation of FOXC2 as a candidate gene for chronic progressive lymphedema in draft horses. Vet. J. 2007, 174, 397–399. [Google Scholar] [CrossRef] [PubMed]
- Geburek, F.; Deegen, E.; Hewicker-Trautwein, M.; Ohnesorge, B. Verrucous pastern dermatitis syndrome in heavy draft horses. Part II: Clinical findings. Dtsch. Tierärztl. Wochenschr. 2005, 112, 243–251. [Google Scholar] [PubMed]
- Mömke, S.; Distl, O. Molecular genetic analysis of the ATP2A2 gene as candidate for chronic pastern dermatitis in German draft horses. J. Hered. 2007, 98, 267–271. [Google Scholar] [CrossRef]
- Mittmann, E.H. Application of Horse Genomics to Identify Quantitative Trait Loci (QTL) for Chronic Pastern Dermatitis in German Draft Horses. Ph.D. Thesis, Tierarztliche Hochschule, Hannover, Germany, 2009. [Google Scholar]
- Liao, S.; Von der Weid, P.Y. Inflammation-induced lymphangiogenesis and lymphatic dysfunction. Angiogenesis 2014, 17, 325–334. [Google Scholar] [CrossRef]
- Geburek, F.; Ohnesorge, B.; Deegen, E.; Doeleke, R.; Hewicker-Trautwein, M. Alterations of epidermal proliferation and cytokeratin expression in skin biopsies from heavy draft horses with chronic pastern dermatitis. Vet. Dermatol. 2005, 16, 373–384. [Google Scholar] [CrossRef]
- Lindgren, G.; Naboulsi, R.; Frey, R.; Solé, M. Genetics of Skin Disease in Horses. Vet. Clin. North Am. Equine Pract. 2020, 36, 323–339. [Google Scholar] [CrossRef]
- Nobles, T.; Miller, R.A. Intertrigo. [Updated 25 September 2021]. In StatPearls [Internet]; StatPearl Publishing: Treasure Island, FL, USA, 2021. [Google Scholar]
- De Keyser, K.; Janssens, S.; Buys, N. Chronic progressive lymphedema in draft horses. Equine Vet. J. 2014, 47, 260–266. [Google Scholar] [CrossRef]
- Moncrieff, G.; Cork, M.; Lawton, S.; Kokiet, S.; Daly, C.; Clark, C. Use of emollients in dry-skin conditions: Consensus statement. Clin. Exp. Dermatol. 2013, 38, 231–238. [Google Scholar] [CrossRef]
- Johnsen, H.; Hyperkeratosis. Chronic Progressive Lymphedema. 2021. Available online: https://chronicprogressivelymphedema.com/hyperkeratosis-2/ (accessed on 4 May 2022).
- Poore, L.A.B.; Else, R.W.; Licka, T.L. The clinical presentation and surgical treatment of verrucous dermatitis lesions in a draft horse. Vet. Dermatol. 2012, 23, 71–75. [Google Scholar] [CrossRef]
- Yu, A.A. Equine Pastern Dermatitis. Vet. Clin. North Am.-Equine Pract. 2013, 29, 577–588. [Google Scholar] [CrossRef]
- Johnsen, H.; Chronic Proliferative Pastern Dermatitis. Chronic Progressive Lymphedema. 2021. Available online: https://chronicprogressivelymphedema.com/chronic-proliferative-pastern-dermatitis/ (accessed on 4 May 2022).
- Menzies-Gow, N.J.; Bond, R.; Patterson-Kane, J.C.; McGowan, C.M. Coronary band dystrophy in two horses. Vet. Rec. 2002, 150, 665–668. [Google Scholar] [CrossRef]
- Twitchell, E.L.; Hartman, R.A.; Waxman, S.J.; Lescun, T.B.; Miller, M.A. Pathology in practice. Coronary band dystrophy with proliferative pododermatitis. J. Am. Vet. Med. Assoc. 2014, 245, 385–387. [Google Scholar] [CrossRef]
- Jubb, K.V.F.; Kennedy, P.C.; Palmer, N. Integumentary System. In Pathology of Domestic Animals, 5th ed.; Elsevier: St. Luis, MO, USA, 2016; Volume 1, pp. 553–554. [Google Scholar]
- Stannard, A.A. Disorders of cornification. Vet. Dermatol. 2000, 11, 187–189. [Google Scholar] [CrossRef]
- Nagamine, C.M.; Castro, F.; Buchanan, B.; Schumacher, J.; Craig, L.E. Proliferative Pododermatitis (Canker) with Intralesional Spirochetes in Three Horses. J. Vet. Diagn. Investig. 2005, 17, 269–271. [Google Scholar] [CrossRef]
- Brandt, S.; Schoster, A.; Tober, R.; Kainzbauer, C.; Burgstaller, J.P.; Haralambus, R.; Steinborn, R.; Hinterhofer, C.; Stanek, C. Consistent detection of bovine papillomavirus in lesions, intact skin and peripheral blood mononuclear cells of horses affected by hoof canker. Equine Vet. J. 2011, 43, 202–209. [Google Scholar] [CrossRef]
- Redding, W.R.; O’Grady, S.E. Nonseptic Diseases Associated with the Hoof Complex. Vet. Clin. North Am. Equine Pract. 2012, 28, 407–421. [Google Scholar] [CrossRef]
- Fürst, A.E.; Lische, C.J. Chapter 90-Foot. In Equine Surgery, 4th ed.; Auer, J.A., Stick, J.A., Eds.; Elsevier Saunders: Philadelphia, PA, USA, 2012; pp. 1264–1299. [Google Scholar]
- Geburek, F. Zur Entstehung des Warzenmauke-Syndroms der Kaltblutpferde, klinische und histomorphologische Untersuchungen. Ph.D. Thesis, Tierarztliche Hochschule, Hannover, Germany, 2002. [Google Scholar]
- Agneray, S. Les pododermatites du cheval: Connaissances actuelles et étude rétrospective de cas de la Clinéquine du campus vétérinaire de Lyon. Ph.D. Thesis, VetAgro Sup, campus vétérinaire de Lyon, Marcy-l’Etoile, France, 2014. [Google Scholar]
- Adam, E.N.; Southwood, L.L. Primary and secondary limb cellulitis in horses: 44 cases (2000–2006). J. Am. Vet. Med. Assoc. 2007, 231, 1696–1703. [Google Scholar] [CrossRef]
- Kano, Y.; Momose, T. Acute lymphangitis. Clevel. Clin. J. Med. 2020, 87, 129–130. [Google Scholar] [CrossRef]
- Oomen, A.M.; Moleman, M.; Van den Belt, A.J.M.; Brommer, H. An atypical case of recurrent cellulitis/lymphangitis in a Dutch Warmblood horse treated by surgical intervention. Equine Vet. Educ. 2012, 25, 23–28. [Google Scholar] [CrossRef]
- Wilson, W.D. Rational selection for antimicrobial use in horses. In Proceedings of the 47th AAEP Annual Convention, San Diego, CA, USA, 24–28 November 2001; pp. 75–93. [Google Scholar]
- Braid, H.R.; Ireland, J.L. A cross-sectional survey of the diagnosis and treatment of distal limb cellulitis in horses by veterinary surgeons in the United Kingdom. Equine Vet. Educ. 2021, 34, e234–e244. [Google Scholar] [CrossRef]
- Yuan, Y.; Arcucci, V.; Levy, S.M.; Achen, M.G. Modulation of Immunity by Lymphatic Dysfunction in Lymphedema. Front. Immunol. 2019, 10, 76. [Google Scholar] [CrossRef] [PubMed]
- Kaiser-Thom, S.; Hilty, M.; Axiak, S.; Gerber, V. The skin microbiota in equine pastern dermatitis: A case-control study of horses in Switzerland. Vet. Dermatol. 2021, 32, 646. [Google Scholar] [CrossRef] [PubMed]
- Sangiorgio, D.B.; Hilty, M.; Kaiser-Thom, S.; Epper, P.G.; Ramseyer, A.; Overesch, G.; Gerber, V. The influence of clinical severity and topical antimicrobial treatment on bacteriological culture and the microbiota of equine pastern dermatitis. Vet. Dermatol. 2021, 32, 173-e41. [Google Scholar] [CrossRef]
- Cafarchia, C.; Figueredo, L.A.; Otranto, D. Fungal diseases of horses. Vet. Microbiol. 2013, 167, 215–234. [Google Scholar] [CrossRef]
- De Keyser, K.; Peeters, L.M.; Buys, N.; Janssens, S. Assessment of skinfold thickness as a factor related to chronic progressive lymphedema in Belgian draft horses. Commun. Agric. Appl. Biol. Sci. 2010, 76, 189–192. [Google Scholar]
- Sievers, J.; Distl, O. Prevalence of Chronic Progressive Lymphedema in the Rhenish German Draft Horse. Animals 2023, 13, 999. [Google Scholar] [CrossRef]
- Verschooten, F.; Deprez, P.; Nollet, H.; van Loon, G.; Van Zeveren, A.; Devriese, L.; Vand Schandevijl, K.; Vandenberghe, F.; Delesalle, C.; De Clercq, D.; et al. De hengstenkeuring van het Belgische trekpaard. Vlaams Diergeneeskd. Tijdschr. 2003, 72, 224–232. [Google Scholar]
- Knottenbelt, D.C. Pascoe’s Principles and Practice of Equine Dermatology, 2nd ed.; Saunders: London, UK, 2009; p. 502. [Google Scholar]
- Cremers, H.J. The incidence of Chorioptes bovis (Acarina: Psoroptidae) on the feet of horses, sheep and goats in the Netherlands. Vet. Q. 1985, 7, 283–289. [Google Scholar] [CrossRef]
- Rüfenacht, S.; Roosje, P.J.; Sager, H.; Doherr, M.G.; Straub, R.; Goldinger-Muller, P.; Gerber, V. Combined moxidectin and environmental therapy do not eliminate Chorioptes bovis infestation in heavily feathered horses. Vet. Dermatol. 2011, 22, 17–23. [Google Scholar] [CrossRef]
- Paterson, S.; Coumbe, K. An open study to evaluate topical treatment of equine chorioptic mange with shampooing and lime sulphur solution. Vet. Dermatol. 2009, 20, 623–629. [Google Scholar] [CrossRef]
- Suagee, J.K.; Bennett-Wimbush, K.; Splan, R.K. Feeding Grass Hay Before Concentrate Mitigates the Effect of Grain-Based Concentrates on Postprandial Plasma Interleukin-1β. J. Equine Vet. Sci. 2020, 86, 102899. [Google Scholar] [CrossRef]
- Suagee, J.K.; Burk, A.; Quinn, R.W.; Hartsock, T.G.; Douglass, L.W. Effects of diet and weight gain on circulating tumour necrosis factor-α concentrations in Thoroughbred geldings. J. Anim. Physiol. Anim. Nutr. 2011, 95, 161–170. [Google Scholar] [CrossRef]
- Federici, M.; Gerber, V.; Doherr, M.G.; Klopfenstein, S.; Burger, D. Association of skin problems with coat colour and white markings in three-year-old horses of the Franches-Montagnes breed. Schweiz Arch Tierheilkd 2015, 157, 391–398. [Google Scholar] [CrossRef]
- Colman, J.; De Keyser, K. Het scoren van de beenkwaliteit bij het Belgisch trekpaard. Ledenblad K.M.B.T. 2010, 84, 40. [Google Scholar]
- Pugh, D.G.; Hu, X.P.; Bourke, K.H.; Control of chorioptic mange mites on horses, donkeys, and mules. Alabama Cooperative Extension System, ANR-1444.2013. Available online: https://ssl.acesag.auburn.edu/pubs/docs/A/ANR-1444/ANR-1444-archive.pdf/ (accessed on 15 October 2022).
- Van Brantegem, L.; de Cock, H.E.V.; Affolter, V.K.; Duchateau, L.; Govaere, J.; Ferraro, G.L.; Ducatelle, R. Antibodies to elastin peptides in sera of Warmblood horses at different ages. Equine Vet. J. 2007, 39, 414–416. [Google Scholar] [CrossRef]
- De Keyser, K.; Berth, M.; Christensen, N.; Willaert, S.; Janssens, S.; Ducatelle, R.; Goddeeris, B.M.; De Cock, H.E.V.; Buys, N. Assessment of plasma anti-elastin antibodies for use as a diagnostic aid for chronic progressive lymphedema in Belgian Draft Horses. Vet. Immunol. Immunopathol. 2015, 163, 16–22. [Google Scholar] [CrossRef]
- Gloor, M.; Fluhr, J.; Wasik, B.; Gehring, W.J. Clinical effect of salicylic acid and high dose urea applied according to the standardized New German Formulary. Die Pharm. 2001, 56, 810–814. [Google Scholar]
- Piquero-Casals, J.; Morgado-Carrasco, D.; Granger, C.; Trullas, C.; Jesús-Silva, A.; Krutmann, J. Urea in Dermatology: A Review of its Emollient, Moisturizing, Keratolytic, Skin Barrier Enhancing and Antimicrobial Properties. Dermatol. Ther. 2021, 11, 1905–1915. [Google Scholar] [CrossRef]
- Yu, A.A. Pastern dermatitis. In Current Therapy in Equine Medicine, 5th ed.; Robinson, N.E., Ed.; WB Saunders: Philadelphia, PA, USA, 2003; pp. 201–203. [Google Scholar]
- White, S.D.; Yu, A.A. Equine dermatology. AAEP Annu. Conv.-San Antonio 2006, 52, 457–500. [Google Scholar]
- Sauvé, F. Staphylococcal cutaneous infection in horses: From the early 2000s to the present. Can. Vet. J. 2021, 62, 1001–1006. [Google Scholar] [PubMed]
- Tasleem, S.; Naqvi, S.B.; Khan, S.A.; Hashimi, K. ‘Honey ointment’: A natural remedy of skin wound infections. J. Ayub Med. Coll. Abbottabad. 2011, 23, 26–31. [Google Scholar] [PubMed]
- Almasaudi, S.B.; Al-Nahari, A.A.; El-Ghany, E.A.; Barbour, E.K.; Muhayawi, S.M.A.; Al-Jaouni, S.; Azhar, E.I.; Qari, M.H.; Qari, Y.; Harakeh, S. Antimicrobial effect of different types of honey on Staphylococcus aureus. Saudi J. Biol. Sci. 2017, 24, 1255–1261. [Google Scholar] [CrossRef]
- Kondratjeva, J.; Combarros, D.; Pressanti, C.; Cadiergues, M.C. What is the most effective treatment in horses with chorioptic mange? Equine Vet. Educ. 2022, 35. [Google Scholar] [CrossRef]
- Osman, S.A.; Hanafy, A.; Amer, S.E. Clinical and therapeutic studies on mange in horses. Vet. Parasitol. 2006, 141, 191–195. [Google Scholar] [CrossRef]
- Kotb, S.; Abdel-Rady, A. Epidemiological studies of equine mange with special reference to different therapeutic protocols for effective treatment of Chorioptic mange. Assiut Univ. Bull. Environ. Res. 2013, 16, 29–52. [Google Scholar] [CrossRef]
- Littlewood, J.; Rose, J.; Paterson, S. Oral ivermectin paste for the treatment of chorioptic mange in horses. Vet. Rec. 1995, 137, 661–663. [Google Scholar]
- Rendle, D.I.; Cottle, H.J.; Love, S.; Hughes, K.J. Comparative study of doramectin and fipronil in the treatment of equine chorioptic mange. Vet. Rec. 2007, 161, 335–338. [Google Scholar] [CrossRef]
- Curtis, C.F. Pilot study to investigate the efficacy of a 1 per cent selenium sulphide shampoo in the treatment of equine chorioptic mange. Vet. Rec. 1999, 144, 674–675. [Google Scholar] [CrossRef]
- Heile, C.; Schein, E. Wichtige Parasitosen beim Pferd und deren strategische Bekämpfung-ein Überblick. Teil 2: Ektoparasitosen. Der Prakt. Tierarzt 2005, 86, 248–253. [Google Scholar]
- Westermann, C.M.; Boerma, S.; van Nieuwstadt, R.A. Amitraz-intoxicaties bij het paard; casuïstieken en achtergronden [Amitraz intoxications in the horse: Cases and backgrounds]. Tijdschr. Diergeneeskd. 2004, 129, 438–441. [Google Scholar]
- Auer, D.E.; Seawright, A.A.; Pollitt, C.C.; Williams, G. Illness in horses following spraying with amitraz. Aust. Vet. J. 1984, 61, 257–259. [Google Scholar] [CrossRef]
- Liebisch, A.; Oldbrich, S.; Deppe, M. Untersuchungen zur Uberlebensdauer von Milben der Arten Psoroptes ovis, Psoroptes cuniculi and Chorioptes bovis abseits des belebten. Dtsch. Tierarztl. Wochenschr. 1985, 92, 181–185. [Google Scholar]
- Vlaminck, L.; De Cock, H.E.V.; Hoesten, H.; Gasthuys, F. Epidermal shaving for hyperpapillomatosis secondary to chronic progressive lymphedema in Belgian draft horses. Vet. Dermatol. 2008, 19, 76. [Google Scholar]
- Callebert, J. Beenscores van de dierenartsen. Ledenmagazine K.M.B.T. 2016, 108, 49–52. [Google Scholar]
- Janssens, S. De genetica van CPL. In Trekpaard jeugd: Infosessie Beenwerk & CPL (Chronisch Progressief Lymfoedeem); Trekpaard Jeugd: Ranst, Belgium, 2018; pp. 23–26. [Google Scholar]
- Janssens, S.; Chapard, L.; Buys, N. Genetische variatie bij het Belgisch trekpaard (deel 2). Ledenblad V.F.B.T. 2021, 2, 14–15. [Google Scholar]
- Franklin, I.R. Evolutionary change in small populations. In Conservation Biology: An Evolutionary-Ecological Perspective; Soule, M.E., Wilcox, B.A., Eds.; Sinauer Associates: Sunderland, MA, USA, 1980; pp. 135–149. [Google Scholar]

















| Grade | Severity | Region | Clinical Signs | ||
|---|---|---|---|---|---|
| Skin Lesions | Skinfolds/Nodules | Soft Tissue, Skin and Hairs | |||
| AA |
|
|
| ||
| A | Mild | Below fetlock |
|
|
|
| B | Moderate | Up to fetlock |
|
|
|
| C | Severe | Above fetlock |
|
|
|
| D | Extreme | Above fetlock |
|
|
|
Disclaimer/Publisher’s Note: The statements, opinions and data contained in all publications are solely those of the individual author(s) and contributor(s) and not of MDPI and/or the editor(s). MDPI and/or the editor(s) disclaim responsibility for any injury to people or property resulting from any ideas, methods, instructions or products referred to in the content. |
© 2023 by the authors. Licensee MDPI, Basel, Switzerland. This article is an open access article distributed under the terms and conditions of the Creative Commons Attribution (CC BY) license (https://creativecommons.org/licenses/by/4.0/).
Share and Cite
Brys, M.; Claerebout, E.; Chiers, K. Chronic Progressive Lymphedema in Belgian Draft Horses: Understanding and Managing a Challenging Disease. Vet. Sci. 2023, 10, 347. https://doi.org/10.3390/vetsci10050347
Brys M, Claerebout E, Chiers K. Chronic Progressive Lymphedema in Belgian Draft Horses: Understanding and Managing a Challenging Disease. Veterinary Sciences. 2023; 10(5):347. https://doi.org/10.3390/vetsci10050347
Chicago/Turabian StyleBrys, Marieke, Edwin Claerebout, and Koen Chiers. 2023. "Chronic Progressive Lymphedema in Belgian Draft Horses: Understanding and Managing a Challenging Disease" Veterinary Sciences 10, no. 5: 347. https://doi.org/10.3390/vetsci10050347
APA StyleBrys, M., Claerebout, E., & Chiers, K. (2023). Chronic Progressive Lymphedema in Belgian Draft Horses: Understanding and Managing a Challenging Disease. Veterinary Sciences, 10(5), 347. https://doi.org/10.3390/vetsci10050347

