Kefir Probiotic-Enriched Non-Alcoholic Beers: Microbial, Genetic, and Sensory-Chemical Assessment
Abstract
1. Introduction
2. Materials and Methods
2.1. Materials
2.2. Substrate for Sugary Kefir Grains Adaptation
2.3. Inoculation Process of Sugary Kefir Grains in Commercial Non-Alcoholic Beers
2.4. Fermentation Kinetics: Physicochemical Analyses
2.5. Microbial Genetic Profile Analysis and Species-Level Detection
2.6. Comparative Analysis of Color Scales for Non-Alcoholic Beers According to the EBC (European Brewing Convention) and SRM (Standard Reference Method)
2.7. Sensory Analysis
2.8. Microbial Shelf Life Analysis of Fermented Non-Alcoholic Beers
2.9. Statistics
3. Results
3.1. Sugary Kefir Grains Adaptation
3.2. Fermentation Kinetics
3.2.1. Sugar and Acidity Parameters
3.2.2. Organic Acids and Ethanol Parameters
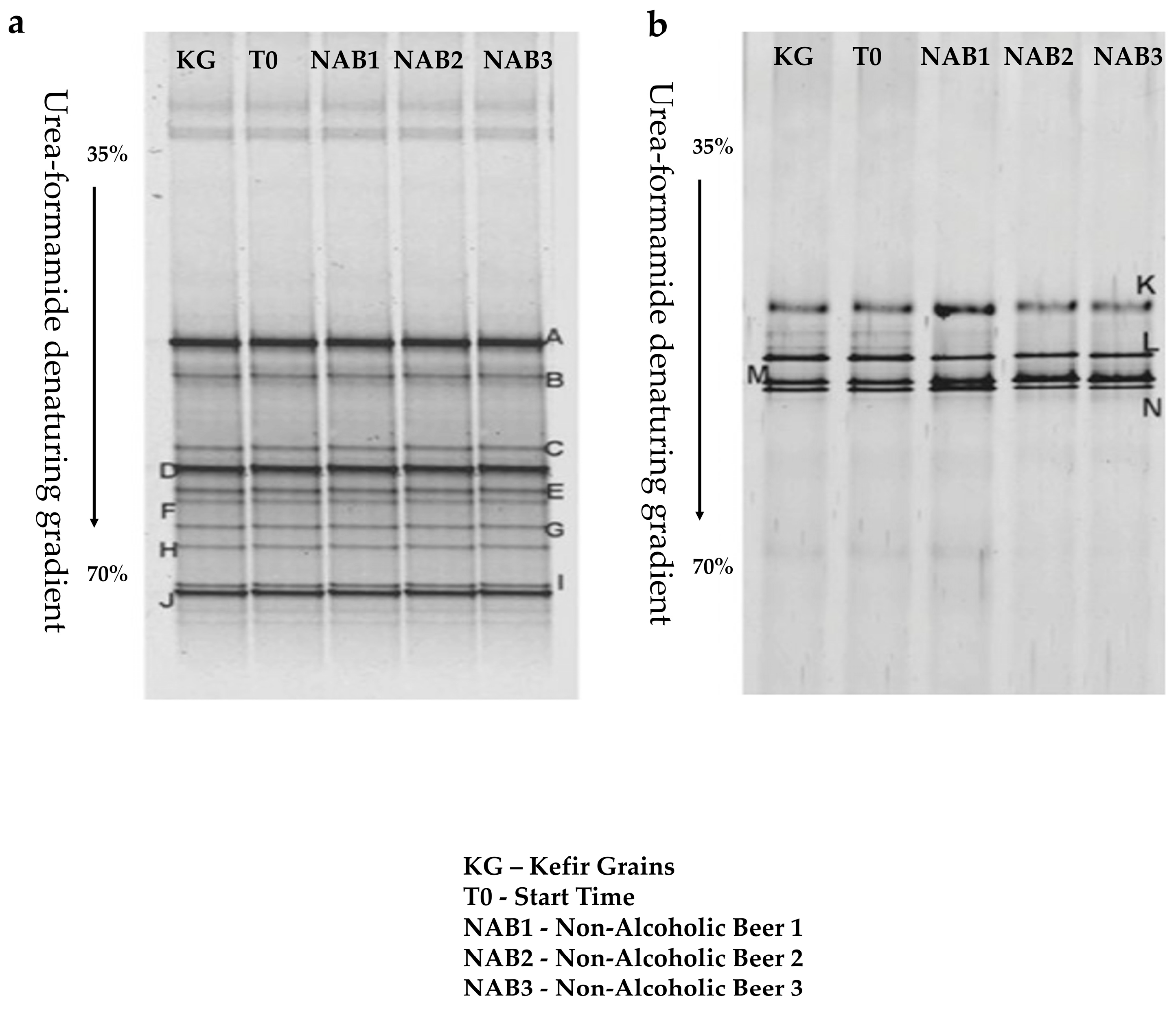
3.2.3. Microbial Genetic Profile
3.2.4. Color Scale for Non-Alcoholic Beers
3.2.5. Sensory Parameters
3.3. Microbial Shelf Life for Non-Alcoholic Beers Fermented with Sugary Kefir
4. Discussion
5. Conclusions
6. Limitations of the Study and Future Prospects
- (1)
- A comparative analysis using multiple commercial non-alcoholic beer brands to evaluate matrix variability;
- (2)
- Longitudinal studies assessing probiotic viability, physicochemical stability, and sensory quality over shelf life;
- (3)
- In-depth characterization of sensory profiles using trained and consumer panels;
- (4)
- Exploration of encapsulation or stabilization techniques to enhance the survival of probiotics in beer matrices.
Author Contributions
Funding
Institutional Review Board Statement
Informed Consent Statement
Data Availability Statement
Acknowledgments
Conflicts of Interest
References
- Yerlikaya, O.; Akan, E.; Kinik, O. The metagenomic composition of water kefir microbiota. Int. J. Gastron. Food Sci. 2022, 30, 100621. [Google Scholar] [CrossRef]
- Tavares, P.P.L.G.; dos Anjos, E.A.; Nascimento, R.Q.; da Silva Cruz, L.F.; Lemos, P.V.F.; Druzian, J.I.; de Oliveira, T.T.B.; de Andrade, R.B.; da Costa Souza, A.L.; Magalhães-Guedes, K.T.; et al. Chemical, Microbiological and Sensory Viability of Low-Calorie, Dairy-Free Kefir Beverages from Tropical Mixed Fruit Juices. CYTA J. Food 2021, 19, 457–464. [Google Scholar] [CrossRef]
- Klimczak, K.; Cioch-Skoneczny, M.; Ciosek, A.; Poreda, A. Application of Non-Saccharomyces Yeast for the Production of Low-Alcohol Beer. Foods 2024, 13, 3214. [Google Scholar] [CrossRef]
- Kokole, D.; Jané Llopis, E.; Anderson, P. Non-alcoholic beer in the European Union and UK: Availability and apparent consumption. Drug Alcohol. Rev. 2022, 41, 550–560. [Google Scholar] [CrossRef]
- Jackowski, M.; Czepiela, W.; Hampf, L.; Żuczkowski, W.; Dymkowski, T.; Trusek, A. Comparison of Two Commercially Available Strains, Saccharomycodes ludwigii and Torulaspora delbrueckii, for the Production of Low-Alcohol Beer. Beverages 2023, 9, 66. [Google Scholar] [CrossRef]
- Hernández-Mora, Y.N.; Verde-Calvo, J.R.; Malpica-Sánchez, F.P.; Escalona-Buendía, H.B. Consumer Studies: Beyond Acceptability—A Case Study with Beer. Beverages 2022, 8, 80. [Google Scholar] [CrossRef]
- Ożga, K.; Stepuch, P.; Maciejewski, R.; Sadok, I. Promising Gastric Cancer Biomarkers—Focus on Tryptophan Metabolism via the Kynurenine Pathway. Int. J. Mol. Sci. 2025, 26, 3706. [Google Scholar] [CrossRef]
- Kumar, M.R.; Yeap, S.K.; Mohamad, N.E.; Abdullah, J.O.; Masarudin, M.J.; Khalid, M.; Leow, A.T.C.; Alitheen, N.B. Metagenomic and Phytochemical Analyses of Kefir Water and Its Subchronic Toxicity Study in BALB/c Mice. BMC Complement. Med. Ther. 2021, 21, 183. [Google Scholar] [CrossRef]
- Santos, E.N.; Magalhães-Guedes, K.T.; Borges, F.E.d.M.; Ferreira, D.D.; da Silva, D.F.; Conceição, P.C.G.; Lima, A.K.d.C.; Cardoso, L.G.; Umsza-Guez, M.A.; Ramos, C.L. Probiotic Microorganisms in Inflammatory Bowel Diseases: Live Biotherapeutics as Food. Foods 2024, 13, 4097. [Google Scholar] [CrossRef]
- da Anunciação, T.A.; Guedes, J.D.S.; Tavares, P.P.L.G.; de Melo Borges, F.E.; Ferreira, D.D.; Costa, J.A.V.; Umsza-Guez, M.A.; Magalhães-Guedes, K.T. Biological Significance of Probiotic Microorganisms from Kefir and Kombucha: A Review. Microorganisms 2024, 12, 1127. [Google Scholar] [CrossRef]
- Ganatsios, V.; Nigam, P.; Plessas, S.; Terpou, A. Kefir as a Functional Beverage Gaining Momentum towards Its Health Promoting Attributes. Beverages 2021, 7, 48. [Google Scholar] [CrossRef]
- Dimitreli, G.; Exarhopoulos, S.; Apidopoulou, P.; Groztidou, O.; Georgiou, D.; Kalogianni, E.P.; Goulas, A. Effect of Final Fermentation pH and Pre-Drying Storage Temperature on Properties of Kefir Powder Produced by Kefir Grains. Appl. Sci. 2025, 15, 2509. [Google Scholar] [CrossRef]
- Teijeiro, M.; Pérez, P.F.; De Antoni, G.L.; Golowczyc, M.A. Suitability of kefir powder production using spray drying. Food Res. Int. 2018, 112, 169–174. [Google Scholar] [CrossRef]
- Newbold, D.; Koppel, K. Carbonated Dairy Beverages: Challenges and Opportunities. Beverages 2018, 4, 66. [Google Scholar] [CrossRef]
- Mantzourani, I.; Terpou, A.; Alexopoulos, A.; Chondrou, P.; Galanis, A.; Bekatorou, A.; Bezirtzoglou, E.; Koutinas, A.A.; Plessas, S. Application of A Novel Potential Probiotic Lactobacillus paracasei Strain Isolated from Kefir Grains in the Production of Feta-Type Cheese. Microorganisms 2018, 6, 121. [Google Scholar] [CrossRef]
- Nejati, F.; Junne, S.; Neubauer, P. A Big World in Small Grain: A Review of Natural Milk Kefir Starters. Microorganisms 2020, 8, 192. [Google Scholar] [CrossRef]
- Vitali, M.; Gandía, M.; Garcia-Llatas, G.; González-Sarrías, A.; Vallejo, F.; Cilla, A.; Gamero, A. Modulation of Antioxidant Capacity, Nutritional Composition, Probiotic Viability After Digestion and Sensory Attributes of Plant-Based Beverages Through Lactic Acid Fermentation. Foods 2025, 14, 1447. [Google Scholar] [CrossRef]
- APHA. Compendium of Methods for the Microbiological Examination of Foods, 5th ed.; Salfinger, Y., lou Tortorello, M., Eds.; APHA: Washington, DC, USA, 2015; Available online: https://ajph.aphapublications.org/doi/abs/10.2105/MBEF.0222 (accessed on 12 December 2024).
- da Silva, R.N.A.; Magalhães-Guedes, K.T.; de Oliveira Alves, R.M.; Souza, A.C.; Schwan, R.F.; Umsza-Guez, M.A. Yeast Diversity in Honey and Pollen Samples from Stingless Bees in the State of Bahia, Brazil: Use of the Maldi-Tof MS/Genbank Proteomic Technique. Microorganisms 2024, 12, 678. [Google Scholar] [CrossRef]
- La Torre, C.; Caputo, P.; Fazio, A. Effect of Milk and Water Kefir Grains on the Nutritional Profile and Antioxidant Capacity of Fermented Almond Milk. Molecules 2025, 30, 698. [Google Scholar] [CrossRef]
- National Library of Medicine BLAST: Basic Local Alignment Search Tool. Available online: https://blast.ncbi.nlm.nih.gov/Blast.cgi (accessed on 12 December 2024).
- Ziarno, M.; Zaręba, D.; Kowalska, E.; Florowski, T. A Study into the Effects of Chosen Lactic Acid Bacteria Cultures on the Quality Characteristics of Fermented Dairy, Dairy–Oat, and Oat Beverages. Appl. Sci. 2025, 15, 3714. [Google Scholar] [CrossRef]
- Chan, M.Z.A.; Tan, L.T.; Heng, S.W.Q.; Liu, S.Q. Effect of Co-Fermentation of Saccharomyces boulardii CNCM-I745 with Four Different Probiotic Lactobacilli in Coffee Brews on Cell Viabilities and Metabolic Activities. Fermentation 2023, 9, 219. [Google Scholar] [CrossRef]
- Yang, S.-J.; Nguyen, T.T.M.; Jin, X.; Zheng, Q.; Park, S.-J.; Yi, G.-S.; Yi, T.-H. A PRISMA Systematic Review of Sexual Dysfunction and Probiotics with Pathophysiological Mechanisms. Biology 2025, 14, 286. [Google Scholar] [CrossRef]
- Fakruddin, M.; Hossain, M.N.; Ahmed, M.M. Antimicrobial and Antioxidant Activities of Saccharomyces cerevisiae IFST062013, a Potential Probiotic. BMC Complement. Altern. Med. 2017, 17, 64. [Google Scholar] [CrossRef]
- Magalhães-Guedes, K.T. Psychobiotic Therapy: Method to Reinforce the Immune System. Clin. Psychopharmacol. Neurosci. 2022, 20, 17–25. [Google Scholar] [CrossRef]
- Destro, T.M.; Prates, D.d.F.; Watanabe, L.S.; Garcia, S.; Biz, G.; Spinosa, W.A. Organic Brown Sugar and Jaboticaba Pulp Influence on Water Kefir Fermentation. Cienc. Agrotec. 2019, 43, e005619. [Google Scholar] [CrossRef]
- Dentice Maidana, S.; Argañaraz Aybar, J.N.; Albarracin, L.; Imamura, Y.; Arellano-Arriagada, L.; Namai, F.; Suda, Y.; Nishiyama, K.; Villena, J.; Kitazawa, H. Modulation of the Gut–Lung Axis by Water Kefir and Kefiran and Their Impact on Toll-like Receptor 3-Mediated Respiratory Immunity. Biomolecules 2024, 14, 1457. [Google Scholar] [CrossRef]
- Zannini, E.; Lynch, K.M.; Nyhan, L.; Sahin, A.W.; O’ Riordan, P.; Luk, D.; Arendt, E.K. Influence of Substrate on the Fermentation Characteristics and Culture-Dependent Microbial Composition of Water Kefir. Fermentation 2023, 9, 28. [Google Scholar] [CrossRef]
- Arroum, S.; Sboui, A.; Fguiri, I.; Dbara, M.; Ayeb, N.; Hammadi, M.; Khorchani, T. Influence of Kefir Grain Concentration on the Nutritional, Microbiological, and Sensory Properties of Camel Milk Kefir and Characterization of Some Technological Properties. Fermentation 2025, 11, 170. [Google Scholar] [CrossRef]
- Çevik, T.; Aydoğdu, N.S.; Özdemir, N.; Kök Taş, T. The Effect of Different Sugars on Water Kefir Grains. Turk. J. Agric. Food Sci. Technol. 2019, 7, 40–45. [Google Scholar] [CrossRef]
- Tzavaras, D.; Papadelli, M.; Ntaikou, I. From Milk Kefir to Water Kefir: Assessment of Fermentation Processes, Microbial Changes and Evaluation of the Produced Beverages. Fermentation. 2022, 8, 135. [Google Scholar] [CrossRef]
- Agarbati, A.; Ciani, M.; Canonico, L.; Galli, E.; Comitini, F. Exploitation of Yeasts with Probiotic Traits for Kefir Production: Effectiveness of the Microbial Consortium. Fermentation 2022, 8, 9. [Google Scholar] [CrossRef]
- Laureys, D.; de Vuyst, L. The Water Kefir Grain Inoculum Determines the Characteristics of the Resulting Water Kefir Fermentation Process. J. Appl. Microbiol. 2017, 122, 719–732. [Google Scholar] [CrossRef]
- de Almeida, K.V.; Sant’ Ana, C.T.; Wichello, S.P.; Louzada, G.E.; Verruck, S.; Teixeira, L.J.Q. Water Kefir: Review of Microbial Diversity, Potential Health Benefits, and Fermentation Process. Processes 2025, 13, 885. [Google Scholar] [CrossRef]
- Ströher, J.A.; Oliveira, W.d.C.; Freitas, A.S.d.; Salazar, M.M.; Flôres, S.H.; Malheiros, P.d.S. Microbial Dynamics and Volatile Compound Profiles in Artisanal Kefir During Storage. Fermentation 2025, 11, 105. [Google Scholar] [CrossRef]
- Lynch, K.M.; Wilkinson, S.; Daenen, L.; Arendt, E.K. An Update on Water Kefir: Microbiology, Composition and Production. Int. J. Food. Microbiol. 2021, 345, 109128. [Google Scholar] [CrossRef]
- Díaz, A.B.; Durán-Guerrero, E.; Valiente, S.; Castro, R.; Lasanta, C. Development and Characterization of Probiotic Beers with Saccharomyces boulardii as an Alternative to Conventional Brewer’s Yeast. Foods 2023, 12, 2912. [Google Scholar] [CrossRef]
- Simón, D.; Palet, C.; Cristóbal, A. Cadmium Removal by Adsorption on Biochars Derived from Wood Industry and Craft Beer Production Wastes. Water 2024, 16, 1905. [Google Scholar] [CrossRef]
- Pater, A.; Januszek, M.; Satora, P. Comparison of the Chemical and Aroma Composition of Low-Alcohol Beers Produced by Saccharomyces cerevisiae var. chevalieri and Different Mashing Profiles. Appl. Sci. 2024, 14, 4979. [Google Scholar] [CrossRef]
- Vaštík, P.; Sulo, P.; Rosenbergová, Z.; Klempová, T.; Dostálek, P.; Šmogrovičová, D. Novel Saccharomyces cerevisiae × Saccharomyces mikatae Hybrids for Non-alcoholic Beer Production. Fermentation 2023, 9, 221. [Google Scholar] [CrossRef]
- Telini, B.d.P.; Villa, L.C.; Vainstein, M.H.; Lopes, F.C. From Vineyard to Brewery: A Review of Grape Pomace Characterization and Its Potential Use to Produce Low-Alcohol Beverages. Fermentation 2025, 11, 57. [Google Scholar] [CrossRef]
- El-Sohaimy, S.A.; Hussain, M.A. Functional Probiotic Foods Development: Trends, Concepts, and Products. Fermentation 2023, 9, 249. [Google Scholar] [CrossRef]
- Santos, D.; Barreiros, L.; Jesus, Â.; Silva, A.L.; Martins, J.P.; Oliveira, A.I.; Pinho, C. Beer with Probiotics: Benefits and Challenges of Their Incorporation. Beverages 2024, 10, 109. [Google Scholar] [CrossRef]
- Fu, X.; Guo, L.; Li, Y.; Chen, X.; Song, Y.; Li, S. Transcriptional Analysis of Mixed-Culture Fermentation of Lachancea thermotolerans and Saccharomyces cerevisiae for Natural Fruity Sour Beer. Fermentation 2024, 10, 180. [Google Scholar] [CrossRef]
- Anderson, P.; Kokole, D.; Jané Llopis, E.; Burton, R.; Lachenmeier, D.W. Lower Strength Alcohol Products—A Realist Review-Based Road Map for European Policy Making. Nutrients 2022, 14, 3779. [Google Scholar] [CrossRef]






| pH | Acidity (% m/v) | |||
|---|---|---|---|---|
| 0 h | 24 h | 0 h | 24 h | |
| Control NAB1 | 3.72 aA ± 0.03 | 3.72 aA ± 0.01 | 1.29 cC ± 0.02 | 1.22 cC ± 0.02 |
| NAB1 with kefir inoculant | 3.71 aA ± 0.02 | 3.52 bB ± 0.01 | 1.31 cC ± 0.02 | 2.35 dD ± 0.02 |
| Control NAB2 | 3.74 aA ± 0.01 | 3.73 aA ± 0.01 | 1.27 cC ± 0.02 | 1.26 cC ± 0.02 |
| NAB2 with kefir inoculant | 3.71 aA ± 0.02 | 3.55 bB ± 0.01 | 1.30 cC ± 0.02 | 2.33 dD ± 0.01 |
| Control NAB3 | 3.75 aA ± 0.01 | 3.75 aA ± 0.01 | 1.28 cC ± 0.02 | 1.25 cC ± 0.02 |
| NAB3 with kefir inoculant | 3.74 aA ± 0.01 | 3.59 bB ± 0.01 | 1.31 cC ± 0.02 | 2.35 dC ± 0.02 |
| °Brix | Sucrose (g/L) | |||
| 0 h | 24 h | 0 h | 24 h | |
| Control NAB1 | 5.57 eE ± 0.01 | 5.47 eE ± 0.02 | 0.34 gG ± 0.01 | 0.34 gG ± 0.01 |
| NAB1 with kefir inoculant | 5.57 eE ± 0.01 | 3.80 fF ± 0.02 | 0.35 gG ± 0.01 | 0.22 hH ± 0.01 |
| Control NAB2 | 5.55 eE ± 0.01 | 5.51 eE ± 0.02 | 0.35 gG ± 0.01 | 0.34 gG ± 0.01 |
| NAB2 with kefir inoculant | 5.55 eE ± 0.01 | 3.78 fF ± 0.02 | 0.34 gG ± 0.01 | 0.22 hH ± 0.01 |
| Control NAB3 | 5.55 eE ± 0.01 | 5.50 eE ± 0.02 | 0.36 gA ± 0.01 | 0.35 gG ± 0.01 |
| NAB3 with kefir inoculant | 5.55 eE ± 0.01 | 3.77 fF ± 0.02 | 0.36 gA ± 0.01 | 0.23 hH ± 0.01 |
| Samples | Lactic Acid (g/L) | Acetic Acid (g/L) | Ethanol (g/L) | |
|---|---|---|---|---|
| 0 h | Control NAB1 | 0.54 ± 0.01 aA | 0.09 ± 0.01 bB | ND cC |
| NAB1 with kefir inoculant | 0.55 ± 0.01 aA | 0.07 ± 0.01 bB | ND cC | |
| Control NAB2 | 0.56 ± 0.01 aA | 0.09 ± 0.01 bB | ND cC | |
| NAB2 with kefir inoculant | 0.55 ± 0.01 aA | 0.09 ± 0.01 bB | ND cC | |
| Control NAB3 | 0.56 ± 0.01 aA | 0.08 ± 0.01 bB | ND cC | |
| NAB3 with kefir inoculant | 0.54 ± 0.01 aA | 0.08 ± 0.01 bB | ND cC | |
| 24 h | Control NAB1 | 0.54 ± 0.01 aA | 0.09 ± 0.01 bB | ND cC |
| NAB1 with kefir inoculant | 1.25 ± 0.02 dD | 0.12 ± 0.01 eE | 0.02 ± 0.01 fF | |
| Control NAB2 | 0.54 ± 0.01 aA | 0.08 ± 0.01 bB | ND cC | |
| NAB2 with kefir inoculant | 1.28 ± 0.06 dD | 0.14 ± 0.01 eE | 0.03 ± 0.00 fF | |
| Control NAB3 | 0.54 ± 0.01 aA | 0.09 ± 0.01 bB | ND cC | |
| NAB3 with kefir inoculant | 1.30 ± 0.02 dD | 0.14 ± 0.01 eE | 0.02 ± 0.01 fF |
| Band | Prokaryotic Species | NCBI-BLAST | Similarity (%) | e-Value |
|---|---|---|---|---|
| A | Lacticaseibacillus paracasei | AB368902.1 | 99 | <10e-100 |
| B | Lacticaseibacillus casei | EU626005.1 | 98 | <10e-50 |
| C | Lacticaseibacillus paracasei subsp. paracasei | NR025880.1 | 98 | <10e-50 |
| D | Lacticaseibacillus paracasei subsp. tolerans | AB181950.1 | 99 | <10e-100 |
| E | Lactobacillus delbrueckii subsp. lactis | EU194346.1 | 98 | <10e-50 |
| F | Lentilactobacillus parabuchneri | AB368914.1 | 99 | <10e-100 |
| G | Lentilactobacillus kefiri | AB3626680.1 | 99 | <10e-100 |
| H | Lactococcus lactis | EU194346.1 | 99 | <10e-100 |
| I | Leuconostoc citreum | FJ378896.1 | 99 | <10e-100 |
| J | Acetobacter lovaniensis | AB308060.1 | 99 | <10e-100 |
| Band | Eukaryotic Species | NCBI-BLAST | Similarity (%) | e-value |
| K | Saccharomyces cerevisiae | EU649673.1 | 99 | <10e-100 |
| L | Kluyveromyces lactis | AJ229069.1 | 99 | <10e-100 |
| M | Lachancea meyersii | AY645661.1 | 99 | <10e-100 |
| N | Kazachstania aerobia | AY582126.1 | 99 | <10e-100 |
| Microbiology | T0—Fermented Non-Alcoholic Beers | T10 Days | T20 Days | T30 Days |
|---|---|---|---|---|
| NAB1 | 4 °C /mL | 4 °C /mL | 4 °C /mL | 4 °C /mL |
| Lactobacillus, Lacticaseibacillus and Lentilactobacillus | # 1.8 × 107 CFU ± 0.02 | # 1.8 × 107 CFU ± 0.02 | # 1.2 × 107 CFU ± 0.02 | # 1.1 × 107 CFU ± 0.02 |
| Lactococcus | 1.4 × 105 CFU ± 0.02 | 1.4 × 105 CFU ± 0.02 | 1.1 × 105 CFU ± 0.02 | 1.1 × 105 CFU ± 0.02 |
| Leuconostoc | 1.4 × 106 CFU ± 0.02 | 1.4 × 106 CFU ± 0.02 | 1.4 × 106 CFU ± 0.02 | 1.4 × 105 CFU ± 0.02 |
| Streptococcus | ND | ND | ND | ND |
| Acetobacter | 1.2 × 105 CFU ± 0.02 | 1.1 × 105 CFU ± 0.02 | 1.1 × 105 CFU ± 0.02 | 1.1 × 104 CFU ± 0.02 |
| Yeasts | # 5.3 × 108 CFU ± 0.02 | # 5.1 × 108 CFU ± 0.02 | # 5.1 × 108 CFU ± 0.02 | # 4.3 × 107 CFU ± 0.02 |
| NAB1 | 25 °C /mL | 25 °C /mL | 25 °C /mL | 25 °C /mL |
| Lactobacillus, Lacticaseibacillus and Lentilactobacillus | # 1.8 × 107 CFU ± 0.02 | # 1.2 × 107 CFU ± 0.02 | # 1.1 × 107 CFU ± 0.02 | # 1.1 × 107 CFU ± 0.02 |
| Lactococcus | 1.4 × 105 CFU ± 0.02 | 1.2 × 105 CFU ± 0.02 | 1.1 × 105 CFU ± 0.02 | 1.1 × 105 CFU ± 0.02 |
| Leuconostoc | 1.4 × 106 CFU ± 0.02 | 1.3 × 106 CFU ± 0.02 | 1.2 × 106 CFU ± 0.02 | 1.1 × 105 CFU ± 0.02 |
| Streptococcus | ND | ND | ND | ND |
| Acetobacter | 1.2 × 105 CFU ± 0.02 | 1.1 × 105 CFU ± 0.02 | 1.1 × 104 CFU ± 0.02 | 1.1 × 104 CFU ± 0.02 |
| Yeasts | # 5.3 × 108 CFU ± 0.02 | # 5.1 × 108 CFU ± 0.02 | # 5.1 × 107 CFU ± 0.02 | # 4.3 × 107 CFU ± 0.02 |
| NAB2 | 4 °C /mL | 4 °C /mL | 4 °C /mL | 4 °C /mL |
| Lactobacillus, Lacticaseibacillus and Lentilactobacillus | # 1.8 × 107 CFU ± 0.02 | # 1.8 × 107 CFU ± 0.02 | # 1.2 × 107 CFU ± 0.02 | # 1.1 × 107 CFU ± 0.02 |
| Lactococcus | 1.4 × 105 CFU ± 0.02 | 1.4 × 105 CFU ± 0.02 | 1.1 × 105 CFU ± 0.02 | 1.1 × 105 CFU ± 0.02 |
| Leuconostoc | 1.4 × 106 CFU ± 0.02 | 1.4 × 106 CFU ± 0.02 | 1.4 × 106 CFU ± 0.02 | 1.4 × 105 CFU ± 0.02 |
| Streptococcus | ND | ND | ND | ND |
| Acetobacter | 1.2 × 105 CFU ± 0.02 | 1.1 × 105 CFU ± 0.02 | 1.1 × 104 CFU ± 0.02 | 1.2 × 104 CFU ± 0.02 |
| Yeasts | # 5.3 × 108 CFU ± 0.02 | # 5.1 × 108 CFU ± 0.02 | # 5.2 × 108 CFU ± 0.02 | # 4.1 × 107 CFU ± 0.02 |
| NAB2 | 25 °C /mL | 25 °C /mL | 25 °C /mL | 25 °C /mL |
| Lactobacillus, Lacticaseibacillus and Lentilactobacillus | # 1.8 × 107 CFU ± 0.02 | # 1.2 × 107 CFU ± 0.02 | # 1.1 × 107 CFU ± 0.02 | # 1.1 × 107 CFU ± 0.02 |
| Lactococcus | 1.4 × 105 CFU ± 0.02 | 1.2 × 105 CFU ± 0.02 | 1.1 × 105 CFU ± 0.02 | 1.1 × 105 CFU ± 0.02 |
| Leuconostoc | 1.4 × 106 CFU ± 0.02 | 1.3 × 106 CFU ± 0.02 | 1.2 × 106 CFU ± 0.02 | 1.1 × 105 CFU ± 0.02 |
| Streptococcus | ND | ND | ND | ND |
| Acetobacter | 1.2 × 105 CFU ± 0.02 | 1.1 × 105 CFU ± 0.02 | 1.1 × 104 CFU ± 0.02 | 1.1 × 104 CFU ± 0.02 |
| Yeasts | # 5.3 × 108 CFU ± 0.02 | # 5.1 × 108 CFU ± 0.02 | # 4.1 × 107 CFU ± 0.02 | # 3.3 × 107 CFU ± 0.02 |
| NAB3 | 4 °C /mL | 4 °C /mL | 4 °C /mL | 4 °C /mL |
| Lactobacillus, Lacticaseibacillus and Lentilactobacillus | # 1.8 × 107 CFU ± 0.02 | # 1.8 × 107 CFU ± 0.02 | # 1.2 × 107 CFU ± 0.02 | # 1.1 × 107 CFU ± 0.02 |
| Lactococcus | 1.4 × 105 CFU ± 0.02 | 1.4 × 105 CFU ± 0.02 | 1.1 × 105 CFU ± 0.02 | 1.1 × 105 CFU ± 0.02 |
| Leuconostoc | 1.4 × 106 CFU ± 0.02 | 1.4 × 106 CFU ± 0.02 | 1.4 × 106 CFU ± 0.02 | 1.4 × 105 CFU ± 0.02 |
| Streptococcus | ND | ND | ND | ND |
| Acetobacter | 1.2 × 105 CFU ± 0.02 | 1.1 × 105 CFU ± 0.02 | 1.1 × 104 CFU ± 0.02 | 1.2 × 104 CFU ± 0.02 |
| Yeasts | # 5.3 × 108 CFU ± 0.02 | # 5.1 × 108 CFU ± 0.02 | # 5.1 × 107 CFU ± 0.02 | # 4.4 × 107 CFU ± 0.02 |
| NAB3 | 25 °C /mL | 25 °C /mL | 25 °C /mL | 25 °C /mL |
| Lactobacillus, Lacticaseibacillus and Lentilactobacillus | # 1.8 × 107 CFU ± 0.02 | # 1.2 × 107 CFU ± 0.02 | # 1.1 × 107 CFU ± 0.02 | # 1.1 × 107 CFU ± 0.02 |
| Lactococcus | 1.4 × 105 CFU ± 0.02 | 1.2 × 105 CFU ± 0.02 | 1.1 × 105 CFU ± 0.02 | 1.1 × 105 CFU ± 0.02 |
| Leuconostoc | 1.4 × 106 CFU ± 0.02 | 1.3 × 106 CFU ± 0.02 | 1.2 × 106 CFU ± 0.02 | 1.1 × 105 CFU ± 0.02 |
| Streptococcus | ND | ND | ND | ND |
| Acetobacter | 1.2 × 105 CFU ± 0.02 | 1.1 × 105 CFU ± 0.02 | 1.1 × 104 CFU ± 0.02 | 1.1 × 104 CFU ± 0.02 |
| Yeasts | # 5.3 × 108 CFU ± 0.02 | # 5.1 × 108 CFU ± 0.02 | # 4.2 × 107 CFU ± 0.02 | # 3.2 × 107 CFU ± 0.02 |
Disclaimer/Publisher’s Note: The statements, opinions and data contained in all publications are solely those of the individual author(s) and contributor(s) and not of MDPI and/or the editor(s). MDPI and/or the editor(s) disclaim responsibility for any injury to people or property resulting from any ideas, methods, instructions or products referred to in the content. |
© 2025 by the authors. Licensee MDPI, Basel, Switzerland. This article is an open access article distributed under the terms and conditions of the Creative Commons Attribution (CC BY) license (https://creativecommons.org/licenses/by/4.0/).
Share and Cite
do Nascimento, A.S.M.; da Silva, R.N.A.; Tavares, P.P.L.G.; Borges, A.S.; Cardoso, M.P.S.; Lobato, A.K.d.C.L.; Almeida, R.C.d.C.; Magalhães-Guedes, K.T. Kefir Probiotic-Enriched Non-Alcoholic Beers: Microbial, Genetic, and Sensory-Chemical Assessment. Beverages 2025, 11, 75. https://doi.org/10.3390/beverages11030075
do Nascimento ASM, da Silva RNA, Tavares PPLG, Borges AS, Cardoso MPS, Lobato AKdCL, Almeida RCdC, Magalhães-Guedes KT. Kefir Probiotic-Enriched Non-Alcoholic Beers: Microbial, Genetic, and Sensory-Chemical Assessment. Beverages. 2025; 11(3):75. https://doi.org/10.3390/beverages11030075
Chicago/Turabian Styledo Nascimento, Alessandra Souza Marques, Raquel Nunes Almeida da Silva, Pedro Paulo Lordelo Guimarães Tavares, Adriana Silva Borges, Marina Passos Soares Cardoso, Ana Katerine de Carvalho Lima Lobato, Rogéria Comastri de Castro Almeida, and Karina Teixeira Magalhães-Guedes. 2025. "Kefir Probiotic-Enriched Non-Alcoholic Beers: Microbial, Genetic, and Sensory-Chemical Assessment" Beverages 11, no. 3: 75. https://doi.org/10.3390/beverages11030075
APA Styledo Nascimento, A. S. M., da Silva, R. N. A., Tavares, P. P. L. G., Borges, A. S., Cardoso, M. P. S., Lobato, A. K. d. C. L., Almeida, R. C. d. C., & Magalhães-Guedes, K. T. (2025). Kefir Probiotic-Enriched Non-Alcoholic Beers: Microbial, Genetic, and Sensory-Chemical Assessment. Beverages, 11(3), 75. https://doi.org/10.3390/beverages11030075

