ErisNet: A Deep Learning Model for Noise Reduction in CT Images
Abstract
1. Introduction
- 1.
- Materials and Methods; describes the postmortem CT dataset comprising 23 whole-body scans, the detailed architecture of ErisNet integrating encoder–decoder blocks with DnCNN components, hyperparameter optimization procedures, and evaluation metrics including quantitative image quality measures and qualitative radiological assessment protocols.
- 2.
- Results: presents the complete experimental results related to three evaluation approaches: global quantitative analysis using six image quality metrics (MSE, PSNR, SSIM, VIF, EPI, NV), organ-level ROI analysis in five anatomical locations, and qualitative evaluation by six expert radiologists using a structured nine-question assessment.
- 3.
- Discussion: Provides an in-depth analysis of the results, a comparison with existing denoising methods, the architectural advantages of the proposed approach, and contextualizes the results within the current literature.
- 4.
- Conclusion: Summarizes the limitations of the study, outlines future research directions, and presents key conclusions regarding the potential of ErisNet for reducing clinical CT dose while maintaining diagnostic quality.
2. Materials and Methods
2.1. Dataset
Dataset Management and Data Augmentation
2.2. ErisNet Model Architecture
2.3. ErisNet Model Mathematical Details
- 2D convolution operation: where x represents the input image, w the kernel (filter) applied, b the bias, and the resulting value at position ;
- ReLU Activation Function: which keeps the positive values and puts the negative ones to 0;
- Max pooling operation: where represents the value of the pixel in the feature map at the position within the kernel window, indicate the coordinates (row, column) of the current position in the output image after pooling is applied, : are the offsets within the kernel window, the kernel represents the local area over which max pooling is calculated,
- Batch normalization: where μ and σ are the mean and variance of the batch, and ϵ is a small stabilization term;
- Dropout used to reduce overfitting, randomly cancels a fraction of the nodes during training, reducing feature co-adaptation. Mathematically, we multiply each activation by a binary variable d (with probability p to be 0) during training.
2.4. Hardware and Software Configuration
2.5. Hyperparameter Optimization
2.6. Evaluation Metrics
- m: number of rows (height) of the image.
- n: number of columns (width) of the image.
- : pixel value in the HQ image at position (i,j).
- : pixel value in the processed image at position (i,j).
- L: maximum possible pixel value, which is 255 (8-bit images).
- : mean of the pixel values in the HQ image.
- : mean of the pixel values in the processed image.
- : variance of pixel values in HQ image.
- : variance of the pixel values in the processed image.
- : covariance of the pixel values in the two images.
- C1 and C2 are constants to avoid division by zero.
- S: total number of sub-bands.
- : mutual information between the original signal Ws and the distorted signal Ŵs given the filter coefficients Fs
- : mutual information between the original signal Ws and noise Es, given the filter coefficients Fs.
- gradient of the HQ image with respect to the x-coordinate at position (i,j).
- gradient of the processed image with respect to the x-coordinate at position (i,j).
- gradient of the HQ image with respect to the y-coordinate at position (i,j).
- gradient of the processed image with respect to the y-coordinate at position (i,j).
- m: number of rows (height) of the image.
- n: number of columns (width) of the image.
- : pixel value in the image at position .
- μ: mean of pixel values in the image.
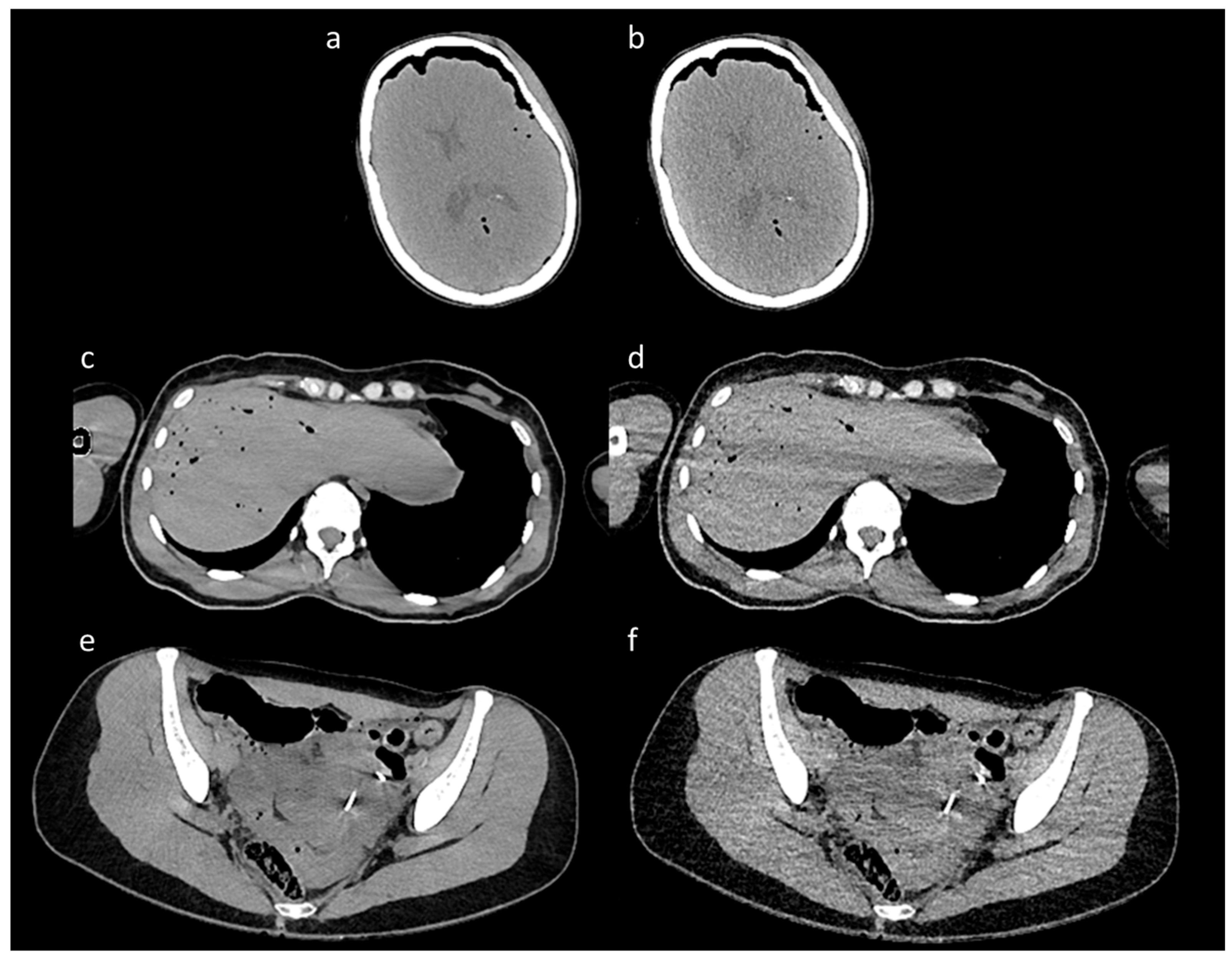
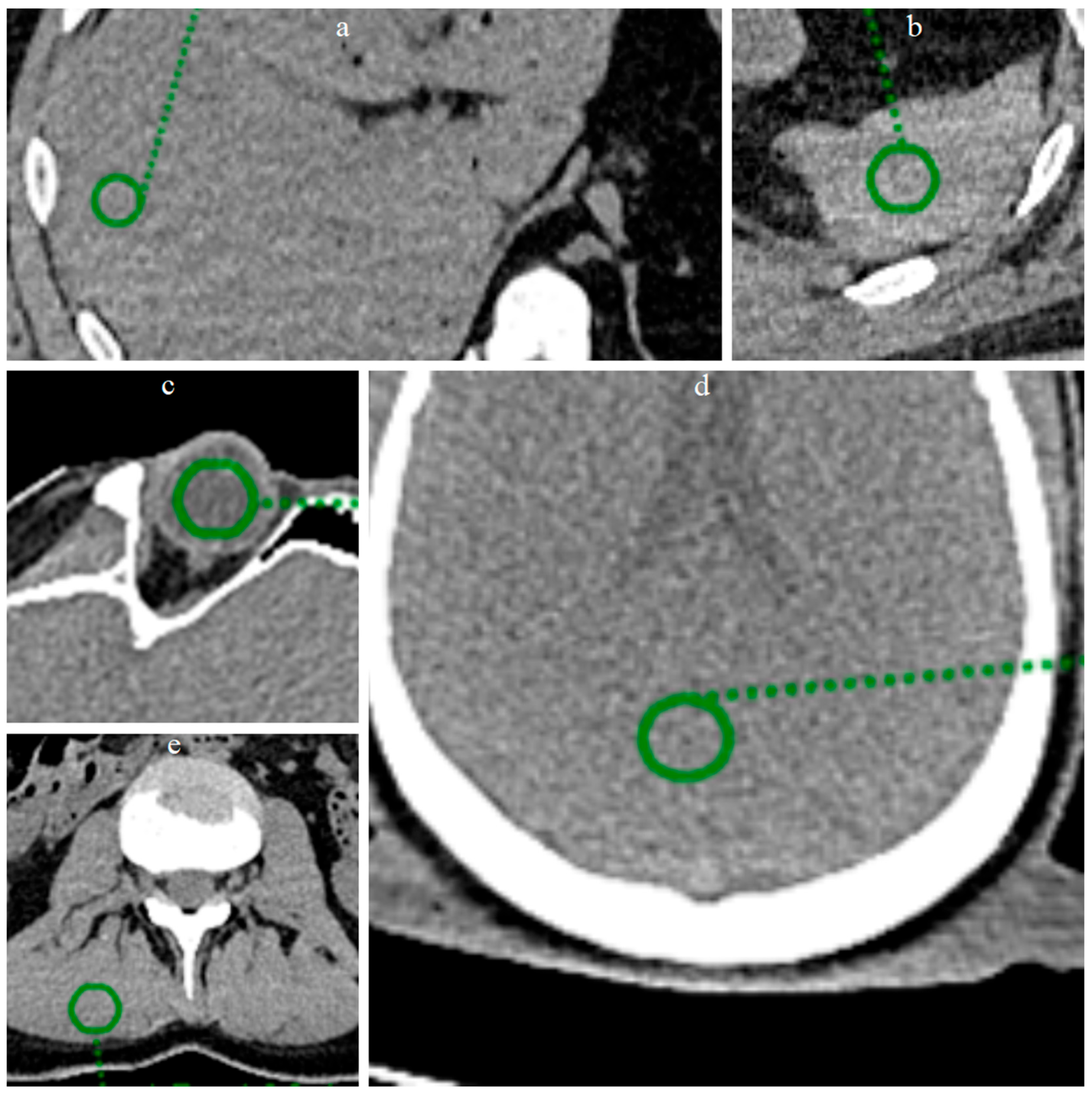
2.7. ROI Evaluation
2.8. Qualitative Evaluation
- Overall assessment of the visual result.
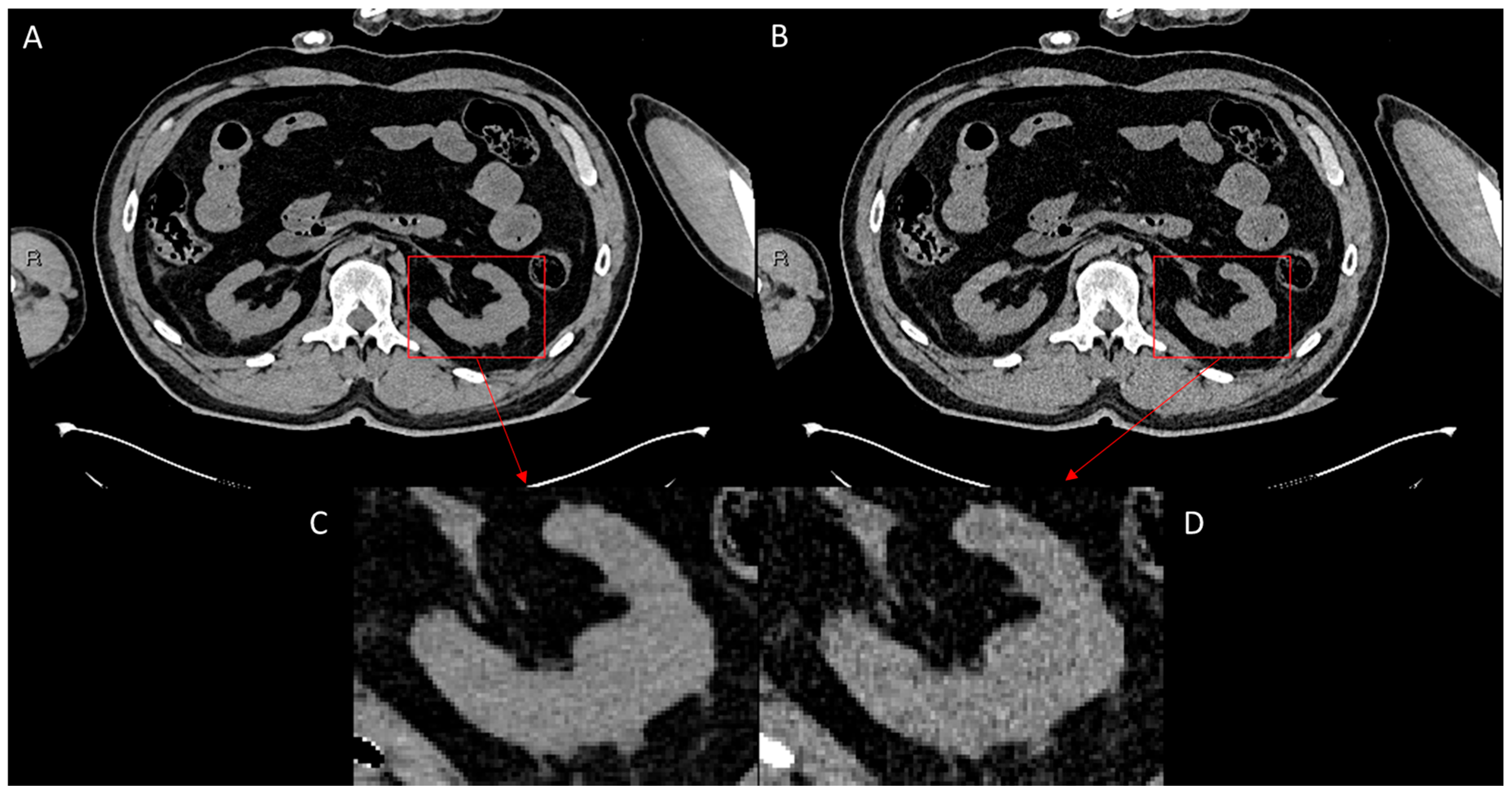
- Ability of ErisNet to attenuate noise without altering diagnostic details.
- Preservation of anatomical detail, contrast and tissue differentiation.
- Presence of artefacts, possible occurrence of artefacts that interfere with the diagnostic interpretation.
- Diagnostic confidence, degree of support provided by the image to the clinical decision-making process.
- Noise reduction-detail balance, trade-off between noise dampening and fidelity of anatomical structures.
- Image naturalness, perception of realism and consistency with the expected anatomy, avoiding an excessively smooth or artificial appearance.
- Clinical usefulness, potential applicability of the images in daily clinical practice.
- Improvement over the original image, degree of improvement observable by comparing the processed images with unprocessed low-dose images.
3. Results
3.1. Quantitative Results
- Increased PSNR from an average of 30.78 in the LQ images to 31.32 in the ErisNet-processed images, with a SD of 3.69;
- Substantially reduced MSE from 73.45 in the LQ images to 64.70 in the ErisNet-processed images;
- Increased the SSIM values from 0.92 to 0.94;
- Increased VIF from 0.47 in LQ images to 0.49;
- Did not compromise EPI, which was 0.97 in LQ images and 0.97 with ErisNet;
- Decreased noise variance from 73.43 in LQ images to 64.69 in ErisNet;
3.1.1. Violin Plots Description
3.1.2. Table 3 Description
| Metric | Mean | SD | Median | Min | Max |
|---|---|---|---|---|---|
| PSNR LQ | 30.78 | 3.68 | 30.71 | 24.76 | 69.89 |
| PSNR ErisNet | 31.32 | 3.69 | 31.44 | 24.93 | 69.15 |
| MSE LQ | 73.45 | 52.91 | 55.12 | 0.06 | 217.05 |
| MSE ErisNet | 64.70 | 46.81 | 46.59 | 0.01 | 208.59 |
| SSIM LQ | 0.92 | 0.06 | 0.95 | 0.73 | 0.98 |
| SSIM ErisNet | 0.94 | 0.05 | 0.95 | 0.74 | 0.99 |
| VIF LQ | 0.47 | 0.09 | 0.47 | 0.21 | 0.78 |
| VIF ErisNet | 0.49 | 0.09 | 0.48 | 0.01 | 0.81 |
| EPI LQ | 0.97 | 0.01 | 0.97 | 0.27 | 0.99 |
| EPI ErisNet | 0.97 | 0.01 | 0.97 | 0.13 | 0.99 |
| Noise Variance LQ | 73.43 | 52.88 | 55.12 | 0.01 | 216.92 |
| Noise Variance ErisNet | 64.69 | 46.80 | 46.59 | 0.01 | 208.57 |
3.2. ROI Results
| Organ | Mean HU | SD | Difference HU (%) |
|---|---|---|---|
| Vitreous LQ | 18.75 | 17.60 | 7.95 |
| Vitreous ErisNet | 18.00 | 16.20 | |
| Brain LQ | 45.50 | 18.85 | 18.30 |
| Brain ErisNet | 46.00 | 15.40 | |
| Liver LQ | 59.00 | 19.65 | 13.36 |
| Liver ErisNet | 58.00 | 17.03 | |
| Spleen LQ | 54.61 | 25.11 | 12.01 |
| Spleen ErisNet | 52.34 | 22.09 | |
| Muscle LQ | 52.12 | 25.65 | 9.35 |
| Muscle ErisNet | 50.74 | 23.26 |
3.3. Qualitative Results
4. Discussion
5. Conclusions
Author Contributions
Funding
Institutional Review Board Statement
Informed Consent Statement
Data Availability Statement
Acknowledgments
Conflicts of Interest
Abbreviations
| BMI | Body mass indices |
| CI | Confidence interval |
| CT | Computed tomography |
| CTDIvol | CT dose index |
| DLP | Dose length product |
| DnCNN | Denoising convolutional neural network |
| EN | ErisNet |
| EPI | Edge preservation index |
| HQ | High quality |
| IQR | Interquartile range |
| LQ | Low quality |
| MSE | Mean squared error |
| NV | Noise variance |
| PMCT | Post-mortem CT |
| PSNR | Peak signal-to-noise ratio |
| ReLU | Rectified Linear Unit |
| ROI | Regions of Inerest |
| SD | Standard deviation |
| SSIM | Structural similarity index measure |
| VIF | Visual information fidelity |
References
- U.S. Food and Drug Administration. Computed Tomography (CT). Available online: https://www.fda.gov/radiation-emitting-products/medical-x-ray-imaging/computed-tomography-ct (accessed on 26 February 2024).
- Boone, J.M.; Hendee, W.R.; McNitt-Gray, M.F.; Seltzer, S.E. Radiation exposure from CT scans: How to close our knowledge gaps, monitor and safeguard exposure—Proceedings and recommendations of the Radiation Dose Summit, sponsored by NIBIB, February 24–25 2011. Radiology 2012, 265, 544–554. [Google Scholar] [CrossRef]
- Mohammadinejad, P.; Mileto, A.; Yu, L.; Leng, S.; Guimaraes, L.S.; Missert, A.D.; Jensen, C.T.; Gong, H.; McCollough, C.H.; Fletcher, J.G. CT noise-reduction methods for lower-dose scanning: Strengths and weaknesses of iterative reconstruction algorithms and new techniques. Radiographics 2021, 41, 1493–1508. [Google Scholar] [CrossRef] [PubMed]
- Obhuli Chandran, M.; Pendem, S.; Priya, P.S.; Chacko, C. Influence of deep learning image reconstruction algorithm for reducing radiation dose and image noise compared to iterative reconstruction and filtered back projection for head and chest computed tomography examinations: A systematic review. F1000Research 2024, 13, 274. [Google Scholar] [CrossRef]
- Arndt, C.; Güttler, F.; Heinrich, A.; Bürckenmeyer, F.; Diamantis, I.; Teichgräber, U. Deep learning CT image reconstruction in clinical practice. RöFo 2021, 193, 252–261. [Google Scholar] [CrossRef]
- Mileto, A.; Guimaraes, L.S.; McCollough, C.H.; Fletcher, J.G.; Yu, L. State of the art in abdominal CT: The limits of iterative reconstruction algorithms. Radiology 2019, 293, 491–503. [Google Scholar] [CrossRef] [PubMed]
- Sadia, R.T.; Chen, J.; Zhang, J. CT image denoising methods for image quality improvement and radiation dose reduction. J. Appl. Clin. Med. Phys. 2024, 25, e14270. [Google Scholar] [CrossRef] [PubMed] [PubMed Central]
- Tao, S.; Rajendran, K.; Zhou, W.; Fletcher, J.G.; McCollough, C.H.; Leng, S. Noise reduction in CT image using prior knowledge aware iterative denoising. Phys. Med. Biol. 2021, 65. [Google Scholar] [CrossRef]
- Liu, P.; Xu, L.; Fullerton, G.; Xiao, Y.; Nguyen, J.-B.; Li, Z.; Barreto, I.; Olguin, C.; Fang, R. PIMA-CT: Physical model-aware cyclic simulation and denoising for ultra-low-dose CT imaging. Front. Radiol. 2022, 2, 904601. [Google Scholar] [CrossRef]
- Won, D.; Jung, E.; An, S.; Chikontwe, P.; Park, S.H. Self-supervised learning based CT denoising using pseudo-CT image pairs. arXiv 2021, arXiv:2104.02326. [Google Scholar] [CrossRef]
- Zhang, Z.; Liang, X.; Zhao, W.; Xing, L. Noise2Context: Context-assisted Learning 3D Thin-layer Low Dose CT Without Clean Data. arXiv 2020, arXiv:2011.12525. [Google Scholar] [CrossRef]
- Zainulina, E.; Chernyavskiy, A.; Dylov, D.V. Self-supervised physics-based denoising for computed tomography. arXiv 2022, arXiv:2211.00745. [Google Scholar] [CrossRef]
- Eulig, E.; Ommer, B.; Kachelrieß, M. Benchmarking deep learning-based low-dose CT image denoising algorithms. Med. Phys. 2024, 51, 8776–8788. [Google Scholar] [CrossRef] [PubMed] [PubMed Central]
- Heinrich, M.P.; Stille, M.; Buzug, T.M. Residual U-Net convolutional neural network architecture for low-dose CT denoising. Curr. Dir. Biomed. Eng. 2018, 4, 297–300. [Google Scholar] [CrossRef]
- Zhao, T.; McNitt-Gray, M.; Ruan, D. A convolutional neural network for ultra-low-dose CT denoising and emphysema screening. Med. Phys. 2019, 46, 3941–3950. [Google Scholar] [CrossRef]
- Taylor L, Nitschke G Improving deep learning using generic data augmentation. arXiv 2017, arXiv:1708.06020. [CrossRef]
- Ronneberger O, Fischer P, Brox T U-Net: Convolutional networks for biomedical image segmentation. arXiv 2015, arXiv:1505.04597. [CrossRef]
- Murali, V.; Sudeep, P.V. Image denoising using DnCNN: An exploration study. In Advances in Communication Systems and Networks; Springer: Singapore, 2020; Volume 656, pp. 847–859. [Google Scholar] [CrossRef]
- He, K.; Zhang, X.; Ren, S.; Sun, J. Deep residual learning for image recognition. arXiv 2015, arXiv:1512.03385. [Google Scholar] [CrossRef]
- Tanchenko, A. Visual-PSNR measure of image quality. J. Vis. Commun. Image Represent. 2014, 25, 874–878. [Google Scholar] [CrossRef]
- Horé, A.; Ziou, D. Image quality metrics: PSNR vs SSIM. Proc. ICPR 2010, 20, 2366–2369. [Google Scholar] [CrossRef]
- Sheikh, H.R.; Bovik, A.C. Image information and visual quality. IEEE Trans. Image Process 2006, 15, 430–444. [Google Scholar] [CrossRef]
- Han, C.; Guo, H.; Wang, C. Edge preservation evaluation of digital speckle filters. IGARSS 2002, 4, 2471–2473. [Google Scholar] [CrossRef]
- Sara, U.; Akter, M.; Uddin, M. Image quality assessment through FSIM, SSIM, MSE and PSNR—A comparative study. J. Comput. Commun. 2019, 7, 8–18. [Google Scholar] [CrossRef]
- Szczykutowicz, T.P.; Toia, G.V.; Dhanantwari, A.; Nett, B. A review of deep learning CT reconstruction: Concepts, limitations, and promise in clinical practice. Curr. Radiol. Rep. 2022, 10, 101–115. [Google Scholar] [CrossRef]
- Koetzier, L.R.; Mastrodicasa, D.; Szczykutowicz, T.P.; van der Werf, N.R.; Wang, A.S.; Sandfort, V.; van der Molen, A.J.; Fleischmann, D.; Willemink, M.J. Deep learning image reconstruction for CT: Technical principles and clinical prospects. Radiology 2023, 306, e221257. [Google Scholar] [CrossRef]
- Kim, Y.; Oh, D.Y.; Chang, W.; Kang, E.; Ye, J.C.; Lee, K.; Kim, H.Y.; Kim, Y.H.; Park, J.H.; Lee, Y.J.; et al. Deep learning-based denoising algorithm in comparison to iterative reconstruction and filtered back projection: A 12-reader phantom study. Eur. Radiol. 2021, 31, 8755–8764. [Google Scholar] [CrossRef] [PubMed]
- Du, Y.; Liu, Y.; Wu, H.; Kang, J.; Gui, Z.; Zhang, P.; Ren, Y. Combination of edge enhancement and cold diffusion model for low dose CT image denoising. Biomed. Eng. Biomed. Tech. 2024, 70, 157–169. [Google Scholar] [CrossRef]
- Shi, Y.; Abulizi, A.; Wang, H.; Feng, K.; Abudukelimu, N.; Su, Y.; Abudukelimu, H. Diffusion models for medical image computing: A survey. Tsinghua Sci. Technol. 2024, 30, 194–215. [Google Scholar] [CrossRef]
- Zhang, J.; Gong, W.; Ye, L.; Wang, F.; Shangguan, Z.; Cheng, Y. A Review of deep learning methods for denoising of medical low-dose CT images. Comput. Biol. Med. 2024, 171, 108112. [Google Scholar] [CrossRef]
- Pan, J.; Zhang, X.; Chen, H. Synthetic CT generation from MRI using 3D transformer-based denoising diffusion model. Med. Phys. 2024, 51, 1287–1299. [Google Scholar] [CrossRef]
- Chen, L.; Wang, Y.; Liu, S. Transforming medical imaging with Transformers? A comparative review of key properties, current progresses, and future perspectives. Med. Image Anal. 2024, 85, 102768. [Google Scholar]
- Yuan, J.; Zhou, F.; Guo, Z.; Li, X.; Yu, H. HCformer: Hybrid CNN-Transformer for LDCT Image Denoising. J. Imaging Inform. Med. 2023, 36, 1751–1764. [Google Scholar] [CrossRef] [PubMed]
- Wang, X.; Chen, Z.; Liu, M. A novel denoising method for low-dose CT images based on transformer and CNN. Comput. Biol. Med. 2023, 161, 107031. [Google Scholar]










| Study | Technique/Approach | Key Features | Limitations |
|---|---|---|---|
| Sadia et al. [7] | Denoising convolutional neural networks | Convolutional approach for image denoising | Requires trade-off between noise suppression and preservation of diagnostic details |
| Chen et al. [8] | Iterative denoising technique | Exploits spatial redundancy in the direction of increasing slice thickness | Tested only on phantom experiments |
| Liu et al. [9] | Physical model integrated with unsupervised learning | Uses generative neural networks trained on CT scans of phantom at different doses | Based on phantom data, may not represent real clinical scan complexities |
| Won et al. [10] | Self-supervised learning method | Generates pseudo-CT image pairs by adding artificial noise | Uses artificial noise, may not reflect real noise characteristics |
| Zhang et al. [11] | Unsupervised method | Exploits similarity between adjacent slices in thin-layer CT scans, trained with artificial noise data | Based on artificial noise data, limited to thin-layer CT applications |
| Zainulina et al. [12] | Self-supervised physics-based denoising | Does not require high-dose CT images as ground truth, employs simulated noise for training | Uses simulated noise, may not capture real-world noise variations |
| Eulig et al. [13] | Comprehensive review of CT denoising methods | Systematic analysis of various denoising approaches including deep learning methods for image quality improvement and dose reduction | Review paper—does not propose new methodology, focuses on existing techniques |
| U-Net [14] | Encoder–decoder architecture | Established deep learning architecture for image segmentation and denoising | Requires trade-off between noise suppression and preservation of diagnostic details |
| DnCNN [15] | Denoising convolutional neural networks | Convolutional approach for image denoising | Requires trade-off between noise suppression and preservation of diagnostic details |
| High Dose | Low Dose | |||||||
|---|---|---|---|---|---|---|---|---|
| n. | kV | mAs | CTDIvol (mGy) | DLP (mGy·cm) | kV | mAs | CTDIvol (mGy) | DLP (mGy·cm) |
| 1 | 120 | 285 | 19.30 | 3349.9 | 100 | 80 | 3.16 | 548.10 |
| 2 | 120 | 371 | 25.09 | 4459.7 | 80 | 50 | 0.93 | 165.40 |
| 3 | 120 | 345 | 23.35 | 4191.5 | 80 | 80 | 1.49 | 270.60 |
| 4 | 120 | 328 | 22.20 | 3915.9 | 100 | 321 | 12.69 | 2238.70 |
| 5 | 120 | 394 | 26.68 | 5011.00 | 120 | 200 | 13.53 | 2542.00 |
| 6 | 120 | 364 | 24.65 | 4874.00 | 120 | 142 | 9.67 | 1911.00 |
| 7 | 120 | 432 | 29.29 | 5685.00 | 100 | 280 | 11.53 | 2230.00 |
| 8 | 140 | 246 | 29.80 | 5950.00 | 120 | 137 | 11.60 | 2315.00 |
| 9 | 120 | 234 | 19.70 | 3295.00 | 100 | 355 | 18.50 | 3019.00 |
| 10 | 140 | 231 | 28.00 | 5079.00 | 100 | 307 | 16.00 | 2848.00 |
| 11 | 140 | 255 | 30.90 | 5796.00 | 100 | 341 | 17.90 | 3366.00 |
| 12 | 120 | 247 | 20.80 | 3574.00 | 120 | 63 | 5.30 | 905.00 |
| 13 | 140 | 250 | 30.30 | 5482.00 | 140 | 125 | 15.20 | 2727.00 |
| 14 | 140 | 328 | 39.90 | 6314.00 | 140 | 137 | 17.00 | 2653.00 |
| 16 | 120 | 209 | 26.10 | 4989.00 | 120 | 118 | 10.10 | 1896.00 |
| 17 | 120 | 205 | 17.20 | 3233.00 | 120 | 75 | 6.31 | 1207.00 |
| 18 | 140 | 309 | 22.80 | 3993.30 | 140 | 97 | 11.80 | 2226.00 |
| 19 | 120 | 294 | 24.70 | 4357.00 | 120 | 113 | 9.49 | 1647.00 |
| 20 | 140 | 295 | 35.80 | 7033.00 | 140 | 119 | 14.50 | 2840.00 |
| 21 | 140 | 220 | 26.80 | 5176.00 | 120 | 81 | 6.94 | 1338.00 |
| 22 | 120 | 221 | 14.9 | 2784.00 | 110 | 56 | 3.79 | 704.00 |
| 23 | 140 | 223 | 27.3 | 5133.00 | 140 | 57 | 7.02 | 1321.00 |
| Q1 | Q2 | Q3 | Q4 | Q5 | Q6 | Q7 | Q8 | Q9 | |
|---|---|---|---|---|---|---|---|---|---|
| Mean | 4.5 | 4.5 | 4.67 | 4.5 | 4.33 | 4.33 | 3.83 | 3.83 | 4.83 |
| Median | 4.5 | 4.5 | 5 | 5 | 4 | 4 | 4 | 4 | 5 |
| SD | 0.55 | 0.55 | 0.52 | 0.84 | 0.52 | 0.52 | 0.41 | 0.75 | 0.41 |
| IQR | 1 | 1 | 0.75 | 0.75 | 0.75 | 0.75 | 0 | 0.75 | 0 |
| Standard error | 0.22 | 0.22 | 0.21 | 0.34 | 0.21 | 0.21 | 0.17 | 0.31 | 0.17 |
| Critical t value | 2.57 | 2.57 | 2.57 | 2.57 | 2.57 | 2.57 | 2.57 | 2.57 | 2.57 |
| CI width | 0.57 | 0.57 | 0.54 | 0.88 | 0.54 | 0.54 | 0.43 | 0.79 | 0.43 |
| CI minimum | 3.93 | 3.93 | 4.12 | 3.62 | 3.79 | 3.79 | 3.40 | 3.04 | 4.40 |
| CI maximum | 5.07 | 5.07 | 5.21 | 5.38 | 4.88 | 4.88 | 4.26 | 4.62 | 5.26 |
| t statistic | 6.71 | 6.71 | 7.91 | 4.39 | 6.32 | 6.32 | 5.00 | 2.71 | 11.00 |
| Raw p value | 0.001 | 0.001 | 0.001 | 0.007 | 0.002 | 0.002 | 0.004 | 0.042 | 0.0001 |
| Holm p value | 0.007 | 0.007 | 0.004 | 0.014 | 0.007 | 0.007 | 0.012 | 0.042 | 0.001 |
| Cohen’s d | 2.74 | 2.74 | 3.23 | 1.79 | 2.58 | 2.58 | 2.04 | 1.11 | 4.49 |
Disclaimer/Publisher’s Note: The statements, opinions and data contained in all publications are solely those of the individual author(s) and contributor(s) and not of MDPI and/or the editor(s). MDPI and/or the editor(s) disclaim responsibility for any injury to people or property resulting from any ideas, methods, instructions or products referred to in the content. |
© 2025 by the authors. Licensee MDPI, Basel, Switzerland. This article is an open access article distributed under the terms and conditions of the Creative Commons Attribution (CC BY) license (https://creativecommons.org/licenses/by/4.0/).
Share and Cite
Mattiussi, F.; Magoga, F.; Cozzi, A.; Ferraro, S.; Cadei, G.; Martini, C.; Leu, S.; Khalifa, E.B.; Azzena, A.A.; Pileggi, M.; et al. ErisNet: A Deep Learning Model for Noise Reduction in CT Images. Bioengineering 2025, 12, 997. https://doi.org/10.3390/bioengineering12090997
Mattiussi F, Magoga F, Cozzi A, Ferraro S, Cadei G, Martini C, Leu S, Khalifa EB, Azzena AA, Pileggi M, et al. ErisNet: A Deep Learning Model for Noise Reduction in CT Images. Bioengineering. 2025; 12(9):997. https://doi.org/10.3390/bioengineering12090997
Chicago/Turabian StyleMattiussi, Fabio, Francesco Magoga, Andrea Cozzi, Salvatore Ferraro, Gabrio Cadei, Chiara Martini, Svenja Leu, Ebticem Ben Khalifa, Alcide Alessandro Azzena, Marco Pileggi, and et al. 2025. "ErisNet: A Deep Learning Model for Noise Reduction in CT Images" Bioengineering 12, no. 9: 997. https://doi.org/10.3390/bioengineering12090997
APA StyleMattiussi, F., Magoga, F., Cozzi, A., Ferraro, S., Cadei, G., Martini, C., Leu, S., Khalifa, E. B., Azzena, A. A., Pileggi, M., Rezzonico, E., & Rizzo, S. (2025). ErisNet: A Deep Learning Model for Noise Reduction in CT Images. Bioengineering, 12(9), 997. https://doi.org/10.3390/bioengineering12090997

