The High-Throughput Screening of Microorganisms to Eliminate Ethyl Carbamate in Chinese Liquor
Abstract
1. Introduction
2. Materials and Methods
2.1. Materials and Media
2.2. Isolation of Urea-Degradation Microorganisms
2.3. Identification of Urea-Degradation Microorganisms
2.4. Screening of Cyanide-Degradation Microorganisms
2.5. Classification of Selected Strains
2.6. Analytical Method for EC and Its Precursors
2.7. The Expression of ureABC and CNH
2.8. The Simulation of Chinese Liquor Fermentation
2.9. The Simulation of Distillation for Chinese Liquor
2.10. The Analysis of Flavors in Simulated Base Liquor
3. Results and Discussion
3.1. Screening of Microorganisms with the Degradative Activities of Urea
3.2. The Influence Factors of Urea Degradation for F3 Strain
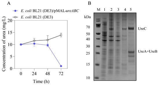
3.3. Identification of Urea-Degradation Enzyme in F3 Strain
3.4. Screening of Microorganisms with the Degradative Activities of Cyanide
3.5. Identification of Cyanide-Degradation Enzyme in YA2 Strain
3.6. Elimination of EC in the Simulated Fermentation and Distillation of Chinese Liquor by F3 or YA2 Strain
3.7. The Degradative Activities by Mixed Culture of F3 and YA2 Strains
3.8. The Comparative Analysis of Flavor Substances in the Base Liquor after Adding YA2 and F3 Strains
4. Conclusions
Author Contributions
Funding
Institutional Review Board Statement
Informed Consent Statement
Data Availability Statement
Conflicts of Interest
References
- Abt, E.; Incorvati, V.; Robin, L.P.; Redan, B.W. Occurrence of ethyl carbamate in foods and beverages: Review of the formation mechanisms, advances in analytical methods, and mitigation strategies. J. Food Prot. 2021, 84, 2195–2212. [Google Scholar] [CrossRef] [PubMed]
- Forkert, P. Mechanisms of lung tumorigenesis by ethyl carbamate and vinyl carbamate. Drug Metab. Rev. 2010, 42, 355–378. [Google Scholar] [CrossRef] [PubMed]
- Forkert, P.G.; Kaufmann, M.; Black, G.; Bowers, R.; Chen, H.; Collins, K.; Sharma, A.; Jones, G. Oxidation of vinyl carbamate and formation of 1,N6-ethenodeoxyadenosine in murine lung. Drug Metab. Dispos. 2007, 35, 713–720. [Google Scholar] [CrossRef] [PubMed]
- Beland, F.A.; Benson, R.W.; Mellick, P.W.; Kovatch, R.M.; Roberts, D.W.; Fang, J.; Doerge, D.R. Effect of ethanol on the tumorigenicity of urethane (ethyl carbamate) in B6C3F1 mice. Food Chem. Toxicol. 2005, 43, 1–19. [Google Scholar] [CrossRef]
- Wu, P.; Yang, D.; Shen, X.; Wang, L.; Tan, Y. Survey and analysis of ethyl carbamate in commercial fermented foods in Hangzhou in 2010. Zhonghua Yu Fang Yi Xue Za Zhi 2011, 45, 609–611. [Google Scholar]
- Wang, C.; Wang, M.; Zhang, M. Ethyl carbamate in Chinese liquor (Baijiu): Presence, analysis, formation, and control. Appl. Microbiol. Biot. 2021, 105, 4383–4395. [Google Scholar] [CrossRef]
- Peng, L.; Kong, X.; Wang, Z.; Ai-Lati, A.; Ji, Z.; Mao, J. Baijiu vinasse as a new source of bioactive peptides with antioxidant and anti-inflammatory activity. Food Chem. 2021, 339, 128159. [Google Scholar] [CrossRef]
- Vetter, J. Plant cyanogenic glycosides. Toxicon 2000, 38, 11–36. [Google Scholar] [CrossRef]
- Weber, J.V.; Sharypov, V.I. Ethyl carbamate in foods and beverages: A review. Environ. Chem. Lett. 2009, 7, 233–247. [Google Scholar] [CrossRef]
- Gowd, V.; Su, H.; Karlovsky, P.; Chen, W. Ethyl carbamate: An emerging food and environmental toxicant. Food Chem. 2018, 248, 312–321. [Google Scholar] [CrossRef]
- Wu, C.; Fan, W.; Xu, Y. Influence of different types of double distillation on removal efficiency of ethyl carbamate in Chinese strong aroma type liquor. Food Ferment. Ind. 2015, 41, 1–7. [Google Scholar]
- Wang, C.; Zhang, M.P.; Wang, M. Regulation of ethyl carbamate of Saccharomyces cerevisiae in Chinese Luzhou-flavor liquor fermentation. J. Biobased Mater. Bioenergy 2020, 14, 670–675. [Google Scholar] [CrossRef]
- Cui, K.; Wu, Q.; Xu, Y. Biodegradation of ethyl carbamate and urea with Lysinibacillus sphaericus MT33 in Chinese Liquor fermentation. J. Agric. Food Chem. 2018, 66, 1583–1590. [Google Scholar] [CrossRef]
- Di, Y.; Li, J.; Chen, J.; Zhao, X.; Du, G. Simulation and control of the formation of ethyl carbamate during the fermentation and distillation processes of Chinese Baijiu. Foods 2023, 12, 821. [Google Scholar] [CrossRef]
- Guo, X.; Li, Y.; Guo, J.; Wang, Q.; Huang, S.; Chen, Y.; Du, L.; Xiao, D. Reduced production of ethyl carbamate for wine fermentation by deleting CAR1 in Saccharomyces cerevisiae. J. Ind. Microbiol. Biotechnol. 2016, 43, 671–679. [Google Scholar] [CrossRef]
- Meng, Q.; Zhou, X.; Chen, X.; Du, G.; Chen, J.; Fang, F. Reduction of urea in fermented grains during Chinese liquor brewing process. Food Ferment. Ind. 2017, 43, 33–39. [Google Scholar]
- Shen, T.; Wu, Q.; Xu, Y. Biodegradation of cyanide with Saccharomyces cerevisiae in Baijiu fermentation. Food Control 2021, 127, 108107. [Google Scholar] [CrossRef]
- Al-Badri, B.A.S.; Al-Maawali, S.S.; Al-Balushi, Z.M.; Al-Mahmooli, I.H.; Al-Sadi, A.M.; Velazhahan, R. Cyanide degradation and antagonistic potential of endophytic Bacillus subtilis strain BEB1 from Bougainvillea spectabilis Willd. All Life 2020, 13, 92–98. [Google Scholar] [CrossRef]
- Karamba, K.I.; Ahmad, S.A.; Zulkharnain, A.; Syed, M.A.; Khalil, K.A.; Shamaan, N.A.; Dahalan, F.A.; Shukor, M.Y. Optimisation of biodegradation conditions for cyanide removal by Serratia marcescens strain AQ07 using one-factor-at-a-time technique and response surface methodology. Rend. Lincei-Sci. Fis. E. Nat. 2016, 27, 533–545. [Google Scholar] [CrossRef]
- Arevalo, S.J.; Sifuentes, D.Z.; Portocarrero, A.C.; Reátegui, M.B.; Pimentel, C.M.; Martins, L.F.; Pierry, P.M.; Piroupo, C.M.; Santa Cruz, A.G.; Aguilar, M.Q.; et al. Genomic characterization of Bacillus safensis isolated from mine tailings in Peru and evaluation of its cyanide-degrading enzyme CynD. Appl. Environ. Microbiol. 2022, 88, e0091622. [Google Scholar]
- Terada, A.; Komatsu, D.; Ogawa, T.; Flamandita, D.; Sahlan, M.; Nishimura, M.; Yohda, M. Isolation of cyanide-degrading bacteria and molecular characterization of its cyanide-degrading nitrilase. Biot. Appl. Biochem. 2021, 69, 183–189. [Google Scholar] [CrossRef]
- Niu, K.M.; Kothari, D.; Lee, W.D.; Zhang, Z.; Lee, B.J.; Kim, K.W.; Wu, X.; Han, H.S.; Khosravi, S.; Lee, S.M.; et al. Probiotic potential of the farmed olive flounder, paralichthys olivaceus, autochthonous gut microbiota. Probiotics Antimicrob. Proteins 2021, 13, 1106–1118. [Google Scholar] [CrossRef] [PubMed]
- Zarei, M.; Nezafat, N.; Morowvat, M.H.; Dehshahri, A.; Ghoshoon, M.B.; Berenjian, A.; Ghasemi, Y. Medium optimization for recombinant soluble arginine deiminase expression in Escherichia coli using response surface methodology. Curr. Pharm. Biotechnol. 2017, 18, 935–941. [Google Scholar] [CrossRef] [PubMed]
- Sabatini, L.; Ferrini, C.; Micheloni, M.; Pianetti, A.; Citterio, B.; Parlani, C.; Bruscolini, F. Isolation of a strain of Aspergillus fumigatus able to grow in minimal medium added with an industrial cyanide waste. World J. Microbiol. Biotechnol. 2012, 28, 165–173. [Google Scholar] [CrossRef]
- Rahmati, F. Characterization of Lactobacillus, Bacillus and Saccharomyces isolated from Iranian traditional dairy products for potential sources of starter cultures. AIMS Microbiol. 2017, 3, 815–825. [Google Scholar] [CrossRef]
- Bizani, D.; Brandelli, A. Influence of media and temperature on bacteriocin production by Bacillus cereus 8A during batch cultivation. Appl. Microbiol. Biotechnol. 2004, 65, 158–162. [Google Scholar] [CrossRef] [PubMed]
- Larpin, S.; Sauvageot, N.; Pichereau, V.; Laplace, J.M.; Auffray, Y. Biosynthesis of exopolysaccharide by a Bacillus licheniformis strain isolated from ropy cider. Int. J. Food Microbiol. 2002, 77, 1–9. [Google Scholar] [CrossRef]
- Signore, G.; Langenfeld, N.J.; Payne, L.E.; Bugbee, B. Colorimetric determination of urea using diacetyl monoxime with strong acids. PLoS ONE 2021, 16, e0259760. [Google Scholar]
- Weatherburn, M.W. Phenol-hypochlorite reaction for determination of ammonia. Anal. Chem. 1967, 39, 971–974. [Google Scholar] [CrossRef]
- Black, G.W.; Brown, N.L.; Perry, J.J.B.; Randall, P.D.; Turnbull, G.; Zhang, M. A high-throughput screening method for determining the substrate scope of nitrilases. Chem. Commun. 2015, 51, 2660–2662. [Google Scholar] [CrossRef]
- Xue, Y.; Yang, Y.; Lv, S.; Liu, Z.; Zheng, Y. High-throughput screening methods for nitrilases. Appl. Microbiol. Biotechnol. 2016, 100, 3421–3432. [Google Scholar] [CrossRef]
- Logue, J.B.; Lindström, E.S. Species sorting affects bacterioplankton community composition as determined by 16S rDNA and 16S rRNA fingerprints. ISME J. 2010, 4, 729–738. [Google Scholar] [CrossRef]
- Weisburg, W.G.; Barns, S.M.; Pelletier, D.A.; Lane, D.J. 16S ribosomal DNA amplification for phylogenetic study. J. Bacteriol. 1991, 173, 697–703. [Google Scholar] [CrossRef] [PubMed]
- Saitou, N.; Nei, M. The neighbor-joining method: A new method for reconstructing phylogenetic trees. Mol. Biol. Evol. 1987, 4, 406–425. [Google Scholar]
- Lyubetsky, V.; Piel, W.H.; Stadler, P.F. Molecular phylogenetics 2016. BioMed Res. Int. 2016, 2016, 9029306. [Google Scholar] [CrossRef] [PubMed]
- Tamura, K.; Stecher, G.; Kumar, S. MEGA11: Molecular evolutionary genetics analysis version 11. Mol. Biol. Evol. 2021, 38, 3022–3027. [Google Scholar] [CrossRef]
- Ferrero, R.L.; Thiberge, J.M.; Huerre, M.; Labigne, A. Recombinant antigens prepared from the urease subunits of helicobacter srp-evidence of protection in a mouse model of grastric infection. Infect. Immun. 1994, 62, 4981–4989. [Google Scholar] [CrossRef] [PubMed]
- Pryor, K.D.; Leiting, B. High-level expression of soluble protein in Escherichia coli using a His(6)-tag and maltose-binding-protein double-affinity fusion system. Protein Expr. Purif. 1997, 10, 309–319. [Google Scholar] [CrossRef]
- Riggs, P. Expression and purification of recombinant proteins by fusion to maltose-binding protein. Mol. Biotechnol. 2000, 15, 51–63. [Google Scholar] [CrossRef]
- Xue, J.; Guo, G.; Liu, P.; Chen, L.; Wang, W.; Zhang, J.; Yin, J.; Ni, D.; Engelhardt, U.H.; Jiang, H. Identification of aroma-active compounds responsible for the floral and sweet odors of Congou black teas using gas chromatography–mass spectrometry/olfactometry, odor activity value, and chemometrics. J. Sci. Food Agric. 2022, 102, 5399–5410. [Google Scholar] [CrossRef]
- Yin, W.; Tung, H.; Sam, C.; Koh, C.; Chan, K. Quorum Quenching Bacillus sonorensis Isolated from soya sauce fermentation brine. Sensors 2012, 12, 4065–4073. [Google Scholar] [CrossRef] [PubMed]
- Palmisano, M.M.; Nakamura, L.K.; Duncan, K.E.; Istock, C.A.; Cohan, F.M. Bacillus sonorensis sp. nov., a close relative of Bacillus licheniformis, isolated from soil in the Sonoran Desert, Arizona. Int. J. Syst. Evol. Microbiol. 2001, 51, 1671–1679. [Google Scholar] [CrossRef] [PubMed]
- Liu, Q.; Chen, Y.; Yuan, M.; Du, G.; Chen, J.; Kang, Z.; Dudley, E.G. A Bacillus paralicheniformis iron-containing urease reduces urea concentrations in rice wine. Appl. Environ. Microbiol. 2017, 83, e0125817. [Google Scholar] [CrossRef] [PubMed]
- Zambelli, B.; Musiani, F.; Benini, S.; Ciurli, S. Chemistry of Ni2+ in urease: Sensing, trafficking, and catalysis. Acc. Chem. Res. 2011, 44, 520–530. [Google Scholar] [CrossRef]
- Fang, F.; Ding, X.; Li, Q.; Liu, F.; Zhou, X.; Chen, X.; Chen, J.; Du, G. Method for Simultaneously Reducing Urethane and Its Precursors Levels during Chinese Liquor Production Process. U.S. Patent 10253285 B2, 9 April 2019. [Google Scholar]
- Fang, F.; Ding, X.; Chen, J.; Zhou, X.; Chen, X.; Du, G.; Gan, G. A Strain of Bacillus licheniformis Degrading Ethyl Carbamate and Its Precursors. CN 107502574 B, 8 October 2019. [Google Scholar]








Disclaimer/Publisher’s Note: The statements, opinions and data contained in all publications are solely those of the individual author(s) and contributor(s) and not of MDPI and/or the editor(s). MDPI and/or the editor(s) disclaim responsibility for any injury to people or property resulting from any ideas, methods, instructions or products referred to in the content. |
© 2024 by the authors. Licensee MDPI, Basel, Switzerland. This article is an open access article distributed under the terms and conditions of the Creative Commons Attribution (CC BY) license (https://creativecommons.org/licenses/by/4.0/).
Share and Cite
Yin, Z.; Li, J.; Chen, J.; Du, G.; Zhao, X. The High-Throughput Screening of Microorganisms to Eliminate Ethyl Carbamate in Chinese Liquor. Foods 2024, 13, 864. https://doi.org/10.3390/foods13060864
Yin Z, Li J, Chen J, Du G, Zhao X. The High-Throughput Screening of Microorganisms to Eliminate Ethyl Carbamate in Chinese Liquor. Foods. 2024; 13(6):864. https://doi.org/10.3390/foods13060864
Chicago/Turabian StyleYin, Zirui, Jianghua Li, Jian Chen, Guocheng Du, and Xinrui Zhao. 2024. "The High-Throughput Screening of Microorganisms to Eliminate Ethyl Carbamate in Chinese Liquor" Foods 13, no. 6: 864. https://doi.org/10.3390/foods13060864
APA StyleYin, Z., Li, J., Chen, J., Du, G., & Zhao, X. (2024). The High-Throughput Screening of Microorganisms to Eliminate Ethyl Carbamate in Chinese Liquor. Foods, 13(6), 864. https://doi.org/10.3390/foods13060864
