Ultrasound Processing of Vinegar: Modelling the Impact on Bioactives and Other Quality Factors
Abstract
:1. Introduction
2. Materials and Methods
2.1. Ultrasound Treatments
2.2. Pasteurization Procedure
2.3. Modelling Procedure for Response Surface Method
2.4. Modelling Procedure for Artificial Neural Networks
2.5. Analysis of Bioactive Compounds
2.6. Analysis of ACE Inhibitor and Antidiabetic (In Vitro)
2.7. Optical Microstructure
2.8. Analysis of Microbiological Properties
2.9. Sensory Analysis
2.10. Statistical Analysis
3. Results
3.1. Total Lycopene and Ascorbic Acid
3.2. Total Polyphenol Content and Total Flavonoid Content
3.3. Antioxidant Activity
3.4. Comparison between RSM and ANN Models
3.5. ACE (Angiotensin-Converting Enzyme)
3.6. Antidiabetic Activity
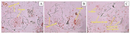
3.7. Optical Microstructure
4. Microbiological Quality and Sensory Properties
5. Conclusions
Author Contributions
Funding
Institutional Review Board Statement
Informed Consent Statement
Data Availability Statement
Conflicts of Interest
References
- Gullo, M.; Verzelloni, E.; Canonico, M. Aerobic submerged fermentation by acetic acid bacteria for vinegar production: Process and biotechnological aspects. Process Biochem. 2014, 49, 1571–1579. [Google Scholar] [CrossRef] [Green Version]
- Chen, H.; Chen, T.; Giudici, P.; Chen, F. Vinegar Functions on Health: Constituents, Sources, and Formation Mechanisms. Compr. Rev. Food Sci. Food Saf. 2016, 15, 1124–1138. [Google Scholar] [CrossRef]
- Xia, T.; Zhang, B.; Duan, W.; Zhang, J.; Wang, M. Nutrients and bioactive components from vinegar: A fermented and functional food. J. Funct. Foods 2020, 64, 103681. [Google Scholar] [CrossRef]
- Santos, H.O.; de Moraes, W.M.A.M.; da Silva, G.A.R.; Prestes, J.; Schoenfeld, B.J. Vinegar (acetic acid) intake on glucose metabolism: A narrative review. Clin. Nutr. ESPEN 2019, 32, 1–7. [Google Scholar] [CrossRef]
- Karabiyikli, S.; Sengun, I.Y. Beneficial Effects of Acetic Acid Bacteria and Their Food Products. In Acetic Acid Bacteria: Fundamentals and Food Applications; CRC Press: Boca Raton, FL, USA, 2017; pp. 221–242. [Google Scholar]
- Pazuch, C.M.; Siepmann, F.B.; Canan, C.; Colla, E. Vinegar: Functional aspects. Científica 2015, 43, 302–308. [Google Scholar] [CrossRef] [Green Version]
- Yıkmış, S.; Bozgeyik, E.; Şimşek, M.A. Ultrasound processing of verjuice (unripe grape juice) vinegar: Effect on bioactive compounds, sensory properties, microbiological quality and anticarcinogenic activity. J. Food Sci. Technol. 2020, 57, 3445–3456. [Google Scholar] [CrossRef]
- Gheflati, A.; Bashiri, R.; Ghadiri-Anari, A.; Reza, J.Z.; Kord, M.T.; Nadjarzadeh, A. The effect of apple vinegar consumption on glycemic indices, blood pressure, oxidative stress, and homocysteine in patients with type 2 diabetes and dyslipidemia: A randomized controlled clinical trial. Clin. Nutr. ESPEN 2019, 33, 132–138. [Google Scholar] [CrossRef]
- Kondo, S.; Tayama, K.; Tsukamoto, Y.; Ikeda, K.; Yamori, Y. ACE inhibitor Effects of Acetic Acid and Vinegar on Spontaneously Hypertensive Rats. Biosci. Biotechnol. Biochem. 2001, 65, 2690–2694. [Google Scholar] [CrossRef] [PubMed]
- Rawson, A.; Patras, A.; Tiwari, B.K.; Noci, F.; Koutchma, T.; Brunton, N. Effect of thermal and nonthermal processing technologies on the bioactive content of exotic fruits and their products: Review of recent advances. Food Res. Int. 2011, 44, 1875–1887. [Google Scholar] [CrossRef]
- Chemat, F.; Khan, M.K. Applications of ultrasound in food technology: Processing, preservation and extraction. Ultrason. Sonochem. 2011, 18, 813–835. [Google Scholar] [CrossRef] [PubMed]
- Zafra-Rojas, Q.Y.; Cruz-Cansino, N.; Ramírez-Moreno, E.; Delgado-Olivares, L.; Villanueva-Sánchez, J.; Alanís-García, E. Effects of ultrasound treatment in purple cactus pear (Opuntia ficus-indica) juice. Ultrason. Sonochem. 2013, 20, 1283–1288. [Google Scholar] [CrossRef]
- Cheng, L.H.; Soh, C.Y.; Liew, S.C.; Teh, F.F. Effects of sonication and carbonation on guava juice quality. Food Chem. 2007, 104, 1396–1401. [Google Scholar] [CrossRef]
- Rojas, M.L.; Leite, T.S.; Cristianini, M.; Alvim, I.D.; Augusto, P.E.D. Peach juice processed by the ultrasound technology: Changes in its microstructure improve its physical properties and stability. Food Res. Int. 2016, 82, 22–33. [Google Scholar] [CrossRef]
- Bhat, R.; Goh, K. Sonication treatment convalesce the overall quality of hand-pressed strawberry juice. Food Chem. 2017, 215, 470–476. [Google Scholar] [CrossRef] [PubMed]
- Yıkmış, S. Effect of ultrasound on different quality parameters of functional sirkencubin syrup. Food Sci. Technol. 2019, 40, 258–265. [Google Scholar] [CrossRef] [Green Version]
- Gao, R.; Ye, F.; Wang, Y.; Lu, Z.; Yuan, M.; Zhao, G. The spatial-temporal working pattern of cold ultrasound treatment in improving the sensory, nutritional and safe quality of unpasteurized raw tomato juice. Ultrason. Sonochem. 2019, 56, 240–253. [Google Scholar] [CrossRef] [PubMed]
- Clodoveo, M.L.; Dipalmo, T.; Rizzello, C.G.; Corbo, F.; Crupi, P. Emerging technology to develop novel red winemaking practices: An overview. Innov. Food Sci. Emerg. Technol. 2016, 38, 41–56. [Google Scholar] [CrossRef]
- Oms-Oliu, G.; Odriozola-Serrano, I.; Soliva-Fortuny, R.; Martín-Belloso, O. Effects of high-intensity pulsed electric field processing conditions on lycopene, vitamin C and antioxidant capacity of watermelon juice. Food Chem. 2009, 115, 1312–1319. [Google Scholar] [CrossRef]
- AOAC Official Methods of Analysis of Association of Analytical Chemistry; AOAO: Arlingo, VA, USA, 2000.
- Singleton, V.L.; Rossi, J.A. Colorimetry of Total Phenolics with Phosphomolybdic-Phosphotungstic Acid Reagents. Am. J. Enol. Vitic. 1965, 16, 144–158. [Google Scholar]
- Zhishen, J.; Mengcheng, T.; Jianming, W. The determination of flavonoid contents in mulberry and their scavenging effects on superoxide radicals. Food Chem. 1999, 64, 555–559. [Google Scholar] [CrossRef]
- Grajeda-Iglesias, C.; Salas, E.; Barouh, N.; Baréa, B.; Panya, A.; Figueroa-Espinoza, M.C. Antioxidant activity of protocatechuates evaluated by DPPH, ORAC, and CAT methods. Food Chem. 2016, 194, 749–757. [Google Scholar] [CrossRef]
- Apak, R.; Güçlü, K.; Özyürek, M.; Esin Karademir, S.; Erçağ, E. The cupric ion reducing antioxidant capacity and polyphenolic content of some herbal teas. Int. J. Food Sci. Nutr. 2006, 57, 292–304. [Google Scholar] [CrossRef]
- Cushman, D.W.; Cheung, H.S. Spectrophotometric assay and properties of the angiotensin-converting enzyme of rabbit lung. Biochem. Pharmacol. 1971, 20, 1637–1648. [Google Scholar] [CrossRef]
- Worthington, V. Alpha amylase. In Worthington Enzyme Manual; Enzymes and Related Biochemicals; Worthington, V., Ed.; Wohington Biochemical Company: Lakewood, NJ, USA, 1993; pp. 36–41. [Google Scholar]
- De Vero, L.; Gala, E.; Gullo, M.; Solieri, L.; Landi, S.; Giudici, P. Application of denaturing gradient gel electrophoresis (DGGE) analysis to evaluate acetic acid bacteria in traditional balsamic vinegar. Food Microbiol. 2006, 23, 809–813. [Google Scholar] [CrossRef]
- Cruz, N.; Capellas, M.; Hernández, M.; Trujillo, A.J.; Guamis, B.; Ferragut, V. Ultra high pressure homogenization of soymilk: Microbiological, physicochemical and microstructural characteristics. Food Res. Int. 2007, 40, 725–732. [Google Scholar] [CrossRef]
- Khachik, F.; Goli, M.B.; Beecher, G.R.; Holden, J.; Lusby, W.R.; Tenorio, M.D.; Barrera, M.R. Effect of food preparation on qualitative and quantitative distribution of major carotenoid constituents of tomatoes and several green vegetables. J. Agric. Food Chem. 1992, 40, 390–398. [Google Scholar] [CrossRef]
- Bhat, R.; Kamaruddin, N.; Min-Tze, L.; Karim, A. Sonication improves kasturi lime (Citrus microcarpa) juice quality. Ultrason. Sonochem. 2011, 18, 1295–1300. [Google Scholar] [CrossRef]
- Dadgar, M.; Hosseini Varkiyani, S.M.; Merati, A.A. Comparison between artificial neural network and response surface methodology in the prediction of the parameters of heat set polypropylene yarns. J. Text. Inst. 2015, 106, 417–430. [Google Scholar] [CrossRef]
- Yang, Q.Q.; Gan, R.Y.; Zhang, D.; Ge, Y.Y.; Cheng, L.Z.; Corke, H. Optimization of kidney bean antioxidants using RSM & ANN and characterization of antioxidant profile by UPLC-QTOF-MS. LWT 2019, 114, 108321. [Google Scholar]
- Lin, J.A.; Kuo, C.H.; Chen, B.Y.; Li, Y.; Liu, Y.C.; Chen, J.H.; Shieh, C.J. A novel enzyme-assisted ultrasonic approach for highly efficient extraction of resveratrol from Polygonum cuspidatum. Ultrason. Sonochem. 2016, 32, 258–264. [Google Scholar] [CrossRef] [PubMed]
- Ciric, A.; Krajnc, B.; Heath, D.; Ogrinc, N. Response surface methodology and artificial neural network approach for the optimization of ultrasound-assisted extraction of polyphenols from garlic. Food Chem. Toxicol. 2020, 135, 110976. [Google Scholar] [CrossRef]
- Balasuriya, N.B.W.; Vasantha, R.H.P. Plant flavonoids as angiotensin converting enzyme inhibitors in regulation of hypertension. Funct. Foods Health Dis. 2011, 1, 172–188. [Google Scholar] [CrossRef]
- Nandasiri, R.; Rupasinghe, H.V. Inhibition of low density lipoprotein oxidation and angiotensin converting enzyme in vitro by functional fruit vinegar beverages. J. Food Process. Beverages 2013, 1, 4. [Google Scholar]
- Jung, M.; Park, M.; Lee, H.; Kang, Y.-H.; Kang, E.; Kim, S. Antidiabetic Agents from Medicinal Plants. Curr. Med. Chem. 2006, 13, 1203–1218. [Google Scholar] [CrossRef] [Green Version]
- Shori, A.B. Screening of antidiabetic and antioxidant activities of medicinal plants. J. Integr. Med. 2015, 13, 297–305. [Google Scholar] [CrossRef]
- Wu, J.; Gamage, T.V.; Vilkhu, K.S.; Simons, L.K.; Mawson, R. Effect of thermosonication on quality improvement of tomato juice. Innov. Food Sci. Emerg. Technol. 2008, 9, 186–195. [Google Scholar] [CrossRef]
- Wang, J.; Wang, J.; Ye, J.; Vanga, S.K.; Raghavan, V. Influence of high-intensity ultrasound on bioactive compounds of strawberry juice: Profiles of ascorbic acid, phenolics, antioxidant activity and microstructure. Food Control 2019, 96, 128–136. [Google Scholar] [CrossRef]
- Campoli, S.S.; Rojas, M.L.; do Amaral, J.E.P.G.; Canniatti-Brazaca, S.G.; Augusto, P.E.D. Ultrasound processing of guava juice: Effect on structure, physical properties and lycopene in vitro accessibility. Food Chem. 2018, 268, 594–601. [Google Scholar] [CrossRef]
- De São José, J.F.B.; de Andrade, N.J.; Ramos, A.M.; Vanetti, M.C.D.; Stringheta, P.C.; Chaves, J.B.P. Decontamination by ultrasound application in fresh fruits and vegetables. Food Control 2014, 45, 36–50. [Google Scholar] [CrossRef]
- Nadeem, M.; Ubaid, N.; Qureshi, T.M.; Munir, M.; Mehmood, A. Effect of ultrasound and chemical treatment on total phenol, flavonoids and antioxidant properties on carrot-grape juice blend during storage. Ultrason. Sonochem. 2018, 45, 1–6. [Google Scholar] [CrossRef] [PubMed]
- Samani, B.H.; Khoshtaghaza, M.H.; Lorigooini, Z.; Minaei, S.; Zareiforoush, H. Journal of Food Science & Technology. Innov. Food Sci. Emerg. Technol. 2015, 32, 110–115. [Google Scholar]
- Jambrak, A.R.; Šimunek, M.; Petrović, M.; Bedić, H.; Herceg, Z.; Juretić, H. Aromatic profile and sensory characterisation of ultrasound treated cranberry juice and nectar. Ultrason. Sonochem. 2017, 38, 783–793. [Google Scholar] [CrossRef] [PubMed]





| Independent Variable | Factor Levels | ||||
|---|---|---|---|---|---|
| Lowest | Low | Center | High | Highest | |
| (−1.41) | (−1) | 0 | (+1) | (1.41) | |
| Time (Factor 1, X1) | 2 | 4 | 6 | 8 | 10 |
| Amplitude (Factor 2, X2) | 60 | 65 | 70 | 75 | 80 |
| Sample | Encoded Independent Variables | Dependent Variables | ||||||||||||||||||
|---|---|---|---|---|---|---|---|---|---|---|---|---|---|---|---|---|---|---|---|---|
| X1 (Encoded) | X2 (Encoded) | TL (μg/mL) | TAC (mg/100 mL) | TPC (mg GAE/mL) | TFC (mg CE/mL) | DPPH (% inhibition) | CUPRAC (% inhibition) | |||||||||||||
| Experimental Data | RSM Predicted | ANN Predicted | Experimental Data | RSM Predicted | ANN Predicted | Experimental Data | RSM Predicted | ANN Predicted | Experimental Data | RSM Predicted | ANN Predicted | Experimental Data | RSM Predicted | ANN Predicted | Experimental Data | RSM Predicted | ANN Predicted | |||
| 1 | 8 (+1) | 65 (−1) | 5.38 | 5.36 | 5.39 | 2.45 | 2.45 | 2.45 | 12.2 | 12.19 | 12.20 | 2.44 | 2.43 | 2.44 | 61.38 | 61.29 | 61.32 | 67.51 | 67.43 | 67.51 |
| 2 | 8 (+1) | 75 (+1) | 5.43 | 5.42 | 5.43 | 2.51 | 2.51 | 2.51 | 12.24 | 12.23 | 12.24 | 2.45 | 2.45 | 2.45 | 62.46 | 62.40 | 62.39 | 68.56 | 68.56 | 68.56 |
| 3 | 6 (0) | 70 (0) | 5.36 | 5.35 | 5.35 | 2.46 | 2.46 | 2.46 | 12.09 | 12.14 | 12.12 | 2.42 | 2.43 | 2.43 | 61.47 | 61.58 | 61.64 | 67.62 | 67.71 | 67.69 |
| 4 | 2 (−1.41) | 70 (0) | 5.27 | 5.26 | 5.27 | 2.43 | 2.43 | 2.43 | 11.87 | 11.85 | 11.86 | 2.37 | 2.37 | 2.37 | 59.76 | 59.71 | 59.79 | 65.75 | 65.72 | 65.75 |
| 5 | 6 (0) | 70 (0) | 5.34 | 5.35 | 5.35 | 2.46 | 2.46 | 2.46 | 12.14 | 12.14 | 12.13 | 2.43 | 2.43 | 2.43 | 61.65 | 61.58 | 61.64 | 67.82 | 67.71 | 67.69 |
| 6 | 6 (0) | 70 (0) | 5.36 | 5.35 | 5.35 | 2.47 | 2.46 | 2.46 | 12.13 | 12.14 | 12.13 | 2.44 | 2.43 | 2.43 | 61.56 | 61.58 | 61.64 | 67.56 | 67.71 | 67.69 |
| 7 | 6 (0) | 70 (0) | 5.35 | 5.35 | 5.35 | 2.45 | 2.46 | 2.46 | 12.14 | 12.14 | 12.13 | 2.43 | 2.43 | 2.43 | 61.54 | 61.58 | 61.64 | 67.69 | 67.71 | 67.69 |
| 8 | 10 (+1.41) | 70 (0) | 5.44 | 5.45 | 5.44 | 2.51 | 2.51 | 2.51 | 12.23 | 12.26 | 12.22 | 2.44 | 2.45 | 2.44 | 61.47 | 61.54 | 61.59 | 67.62 | 67.67 | 67.62 |
| 9 | 4 (−1) | 75 (+1) | 5.33 | 5.35 | 5.33 | 2.42 | 2.43 | 2.42 | 12.09 | 12.12 | 12.09 | 2.42 | 2.42 | 2.42 | 60.48 | 60.54 | 60.49 | 66.53 | 66.60 | 66.53 |
| 10 | 6 (0) | 80 (+1.41) | 5.41 | 5.40 | 5.41 | 2.48 | 2.48 | 2.48 | 12.22 | 12.22 | 12.22 | 2.44 | 2.44 | 2.44 | 61.92 | 61.92 | 61.90 | 68.11 | 68.08 | 68.11 |
| 11 | 4 (−1) | 65 (−1) | 5.24 | 5.24 | 5.24 | 2.45 | 2.46 | 2.45 | 11.86 | 11.89 | 11.86 | 2.38 | 2.38 | 2.38 | 61.29 | 61.33 | 61.29 | 67.46 | 67.45 | 67.46 |
| 12 | 6 (0) | 70 (0) | 5.34 | 5.35 | 5.35 | 2.46 | 2.46 | 2.46 | 12.18 | 12.14 | 12.13 | 2.43 | 2.43 | 2.43 | 61.65 | 61.58 | 61.63 | 67.82 | 67.71 | 67.69 |
| 13 | 6 (0) | 60 (−1.41) | 5.23 | 5.24 | 5.23 | 2.45 | 2.45 | 2.45 | 11.95 | 11.95 | 11.95 | 2.38 | 2.38 | 2.38 | 61.58 | 61.60 | 61.58 | 67.74 | 67.79 | 67.74 |
| PTV | 5.19 | 2.28 | 11.48 | 2.14 | 58.61 | 64.42 | ||||||||||||||
| TTV | 5.21 | 2.41 | 11.74 | 2.37 | 60.66 | 66.74 | ||||||||||||||
| Variable | Setting | |||
|---|---|---|---|---|
| Time (X1) (min.) | 8.9 | |||
| Amplitude (X2) (%) | 74.5 | |||
| Response | Fit | SE Fit | 95% CI | 95% PI |
| CUPRAC (% inhibition) | 68.64 | 0.09 | (68.4195; 68.8505) | (68.3113; 68.9587) |
| DPPH (% inhibition) | 62.47 | 0.07 | (62.2950; 62.6436) | (62.2075; 62.7311) |
| TFC (mg CE/mL) | 2.44 | 0.01 | (2.43051; 2.45913) | (2.42332; 2.46632) |
| TPC (mg GAE/mL) | 12.22 | 0.03 | (12.1586; 12.2898) | (12.1257; 12.3228) |
| TAC (mg/100 mL) | 2.53 | 0.01 | (2.51582; 2.54454) | (2.50861; 2.55176) |
| TL (μg/mL) | 5.44 | 0.01 | (5.4102; 5.4717) | (5.3947; 5.4871) |
| Parameters | TL (μg/mL) | TAC (mg/100 mL) | TPC (mg GAE/mL) | TFC (mg CE/mL) | DPPH (% İnhibition) | CUPRAC (% İnhibition) | ||||||
|---|---|---|---|---|---|---|---|---|---|---|---|---|
| RSM | ANN | RSM | ANN | RSM | ANN | RSM | ANN | RSM | ANN | RSM | ANN | |
| R2 | 0.97 | 0.99 | 0.96 | 0.98 | 0.96 | 0.98 | 0.96 | 0.98 | 0.99 | 0.99 | 0.99 | 0.99 |
| RMSE | 0.011 | 0.006 | 0.005 | 0.004 | 0.024 | 0.014 | 0.005 | 0.04 | 0.061 | 0.073 | 0.075 | 0.065 |
| ADD (%) | 0.1783 | 0.0431 | 0.1531 | 0.0003 | 0.152 | 0.0761 | 0.169 | 0.0633 | 0.0876 | 0.0863 | 0.0915 | 0.0523 |
| Sample | ACE Inhibitory Activity % | α-Amylase Inhibitory Activity % | α-Glucosidase Inhibitory Activity % |
|---|---|---|---|
| PTV | 25.84 ± 0.79 a | 41.07 ± 0.71 a | 39.80 ± 0.66 a |
| TTV | 28.92 ± 0.66 b | 42.09 ± 0.29 ab | 41.75 ± 0.76 b |
| UTV | 29.45 ± 0.76 b | 42.72 ± 0.43 b | 42.68 ± 0.67 b |
| Samples | Microbiological Analyzes | |||
|---|---|---|---|---|
| Acetic Acid Bacteria (Log CFU/mL) | Total Enterobacteria Count (Log CFU/mL) | Total Plate Count (log CFU/mL) | Yeast and Mould Count (log CFU/mL) | |
| TTV | 4.25 ± 0.11 a | ND | 2.92 ± 0.20 a | 3.34 ± 0.11 a |
| PTV | 1.95 ± 0.17 c | ND | 1.47 ± 0.24 b | 0.85 ± 0.09 b |
| UTV | 3.27 ± 0.16 b | ND | 1.63 ± 0.19 b | 1.13 ± 0.07 a |
Publisher’s Note: MDPI stays neutral with regard to jurisdictional claims in published maps and institutional affiliations. |
© 2021 by the authors. Licensee MDPI, Basel, Switzerland. This article is an open access article distributed under the terms and conditions of the Creative Commons Attribution (CC BY) license (https://creativecommons.org/licenses/by/4.0/).
Share and Cite
Yıkmış, S.; Aksu, F.; Altunatmaz, S.S.; Çöl, B.G. Ultrasound Processing of Vinegar: Modelling the Impact on Bioactives and Other Quality Factors. Foods 2021, 10, 1703. https://doi.org/10.3390/foods10081703
Yıkmış S, Aksu F, Altunatmaz SS, Çöl BG. Ultrasound Processing of Vinegar: Modelling the Impact on Bioactives and Other Quality Factors. Foods. 2021; 10(8):1703. https://doi.org/10.3390/foods10081703
Chicago/Turabian StyleYıkmış, Seydi, Filiz Aksu, Sema Sandıkçı Altunatmaz, and Başak Gökçe Çöl. 2021. "Ultrasound Processing of Vinegar: Modelling the Impact on Bioactives and Other Quality Factors" Foods 10, no. 8: 1703. https://doi.org/10.3390/foods10081703
APA StyleYıkmış, S., Aksu, F., Altunatmaz, S. S., & Çöl, B. G. (2021). Ultrasound Processing of Vinegar: Modelling the Impact on Bioactives and Other Quality Factors. Foods, 10(8), 1703. https://doi.org/10.3390/foods10081703

