Effect of Psyllium (Plantago ovata Forks) Husk on Characteristics, Rheological and Textural Properties of Threadfin Bream Surimi Gel
Abstract
1. Introduction
2. Materials and Methods
2.1. Chemicals, Surimi, and Psyllium Husk Powder
2.2. Preparation of Surimi Gel
2.3. Analyses
2.3.1. Breaking Force (BF) and Deformation (DF)
2.3.2. Expressible Moisture Content (EMC)
2.3.3. Whiteness
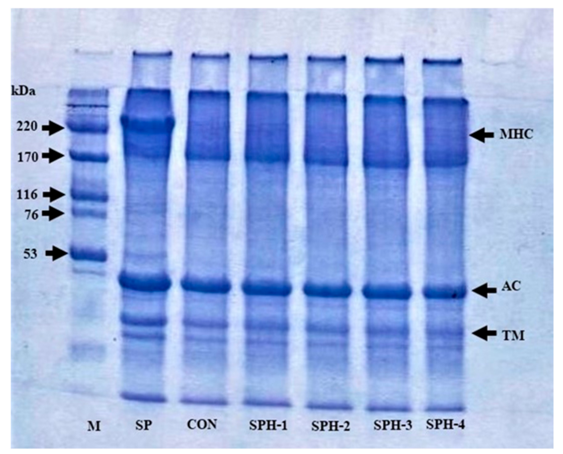
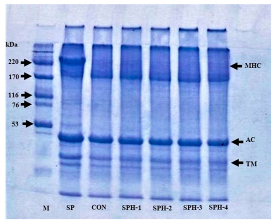
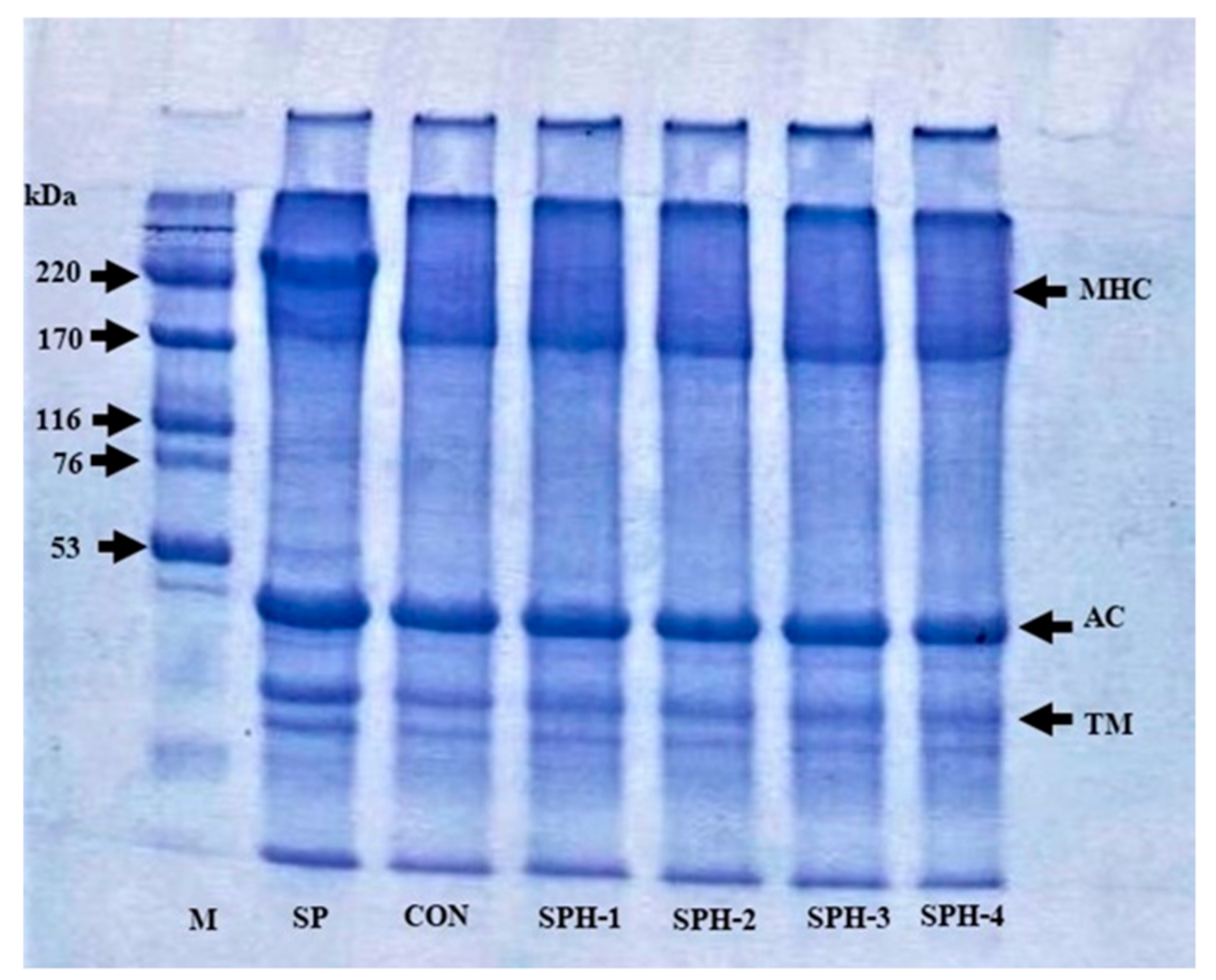
2.3.4. Protein Pattern
2.3.5. Scanning Electron Microscopic (SEM) Images
2.3.6. Dynamic Rheology
2.3.7. Sensory Properties
2.3.8. Fourier Transform Infrared (FTIR) Spectra
2.4. Statistical Analysis
3. Results and Discussion
3.1. Change in BF and DF of Surimi Gel Added without and with PHP at Various Levels
3.2. Expressible Moisture Content (EMC)
3.3. Whiteness
3.4. Protein Patterns
3.5. Microstructure
3.6. Rheological Properties
3.7. FTIR Spectra
3.8. Sensory Property
4. Conclusions
Author Contributions
Funding
Data Availability Statement
Acknowledgments
Conflicts of Interest
References
- Petcharat, T.; Benjakul, S. Effect of gellan incorporation on gel properties of bigeye snapper surimi. Food Hydrocoll. 2018, 77, 746–753. [Google Scholar] [CrossRef]
- Singh, A.; Benjakul, S. Effect of serine protease inhibitor from squid ovary on gel properties of surimi from Indian mackerel. J. Texture Stud. 2017, 48, 541–549. [Google Scholar] [CrossRef]
- Prodpran, T.; Benjakul, S. Effect of Acid and Alkaline Solubilization on the Properties of Surimi Based Film. Songklanakarin J. Sci. Technol. 2005, 27, 563–574. [Google Scholar]
- Singh, A.; Benjakul, S. Proteolysis and Its Control Using Protease Inhibitors in Fish and Fish Products: A Review. Compr. Rev. Food Sci. Food Saf. 2018, 17, 496–509. [Google Scholar] [CrossRef]
- Singh, A.; Benjakul, S. Serine protease inhibitors from squid ovary: Extraction and its effect on proteolysis and gel properties of surimi. J. Food Sci. Technol. 2016, 54, 267–275. [Google Scholar] [CrossRef]
- Quan, T.H.; Benjakul, S. Impact of salted duck egg albumen powder on proteolysis and gelling properties of sardine surimi. J. Texture Stud. 2019, 50, 434–442. [Google Scholar] [CrossRef]
- Fang, M.; Xiong, S.; Jiang, Y.; Yin, T.; Hu, Y.; Liu, R.; You, J. In Vitro Pepsin Digestion Characteristics of Silver Carp (Hypophthalmichthys molitrix) Surimi Gels with Different Degrees of Cross-Linking Induced by Setting Time and Microbial Transglutaminase. J. Agric. Food Chem. 2020, 68, 8413–8430. [Google Scholar] [CrossRef] [PubMed]
- Murthy, L.N.; Phadke, G.G.; Jeyakumari, A.; Ravishankar, C.N. Effect of added calcium and heat setting on gel forming and functional properties of Sardinella fimbriata surimi. J. Food Sci. Technol. 2021, 58, 427–436. [Google Scholar] [CrossRef] [PubMed]
- Sae-Leaw, T.; Buamard, N.; Vate, N.K.; Benjakul, S. Effect of Squid Melanin-Free Ink and Pre-Emulsification on Properties and Stability of Surimi Gel Fortified with Seabass Oil during Refrigerated Storage. J. Aquat. Food Prod. Technol. 2018, 27, 919–933. [Google Scholar] [CrossRef]
- Vate, N.K.; Benjakul, S. Enhancement of Gel Properties of Sardine Surimi using Squid Ink Tyrosinase in Combination with Coconut Husk Extract. Int. J. Food Eng. 2017, 13, 13. [Google Scholar] [CrossRef]
- Liang, F.; Lin, L.; He, T.; Zhou, X.; Jiang, S.; Lu, J. Effect of transglutaminase on gel properties of surimi and precocious Chinese mitten crab (Eriocheir sinensis) meat. Food Hydrocoll. 2020, 98, 105261. [Google Scholar] [CrossRef]
- Singh, A.; Prabowo, F.F.; Benjakul, S.; Pranoto, Y.; Chantakun, K. Combined effect of microbial transglutaminase and ethanolic coconut husk extract on the gel properties and in-vitro digestibility of spotted golden goatfish (Parupeneus heptacanthus) surimi gel. Food Hydrocoll. 2020, 109, 106107. [Google Scholar] [CrossRef]
- Singh, A.; Benjakul, S.; Prodpran, T. Effect of chitooligosaccharide from squid pen on gel properties of sardine surimi gel and its stability during refrigerated storage. Int. J. Food Sci. Technol. 2019, 54, 2831–2838. [Google Scholar] [CrossRef]
- Singh, A.; Benjakul, S.; Prodpran, T. Chitooligosaccharides from squid pen prepared using different enzymes: Characteristics and the effect on quality of surimi gel during refrigerated storage. Food Prod. Process. Nutr. 2019, 1, 1–10. [Google Scholar] [CrossRef]
- Buamard, N.; Benjakul, S. Cross-Linking Activity of Ethanolic Coconut Husk Extract Toward Sardine (Sardinella albella) Muscle Proteins. J. Food Biochem. 2016, 41, e12283. [Google Scholar] [CrossRef]
- Mi, H.; Li, Y.; Wang, C.; Yi, S.; Li, X.; Li, J. The interaction of starch-gums and their effect on gel properties and protein conformation of silver carp surimi. Food Hydrocoll. 2021, 112, 106290. [Google Scholar] [CrossRef]
- Ren, Y.; Yakubov, G.E.; Linter, B.R.; Macnaughtan, W.; Foster, T.J. Temperature fractionation, physicochemical and rheological analysis of psyllium seed husk heteroxylan. Food Hydrocoll. 2020, 104, 105737. [Google Scholar] [CrossRef]
- Mehmood, M.H.; Aziz, N.; Ghayur, M.N.; Gilani, A.-H. Pharmacological Basis for the Medicinal Use of Psyllium Husk (Ispaghula) in Constipation and Diarrhea. Dig. Dis. Sci. 2010, 56, 1460–1471. [Google Scholar] [CrossRef]
- Franco, E.A.N.; Sanches-Silva, A.; Ribeiro-Santos, R.; de Melo, N.R. Psyllium (Plantago ovata Forsk): From evidence of health benefits to its food application. Trends Food Sci. Technol. 2020, 96, 166–175. [Google Scholar] [CrossRef]
- Elli, M.; Cattivelli, D.; Soldi, S.; Bonatti, M.; Morelli, L. Evaluation of Prebiotic Potential of Refined Psyllium (Plantago ovata) Fiber in Healthy Women. J. Clin. Gastroenterol. 2008, 42, S174–S176. [Google Scholar] [CrossRef] [PubMed]
- Rodríguez-Morán, M.; Guerrero-Romero, F.; Lazcano-Burciaga, G. Lipid- and Glucose-Lowering Efficacy of Plantago Psyllium in Type II Diabetes. J. Diabetes Its Complicat. 1998, 12, 273–278. [Google Scholar] [CrossRef]
- Ou, S.; Kwok, K.-C.; Li, Y.; Fu, L. In Vitro Study of Possible Role of Dietary Fiber in Lowering Postprandial Serum Glucose. J. Agric. Food Chem. 2001, 49, 1026–1029. [Google Scholar] [CrossRef] [PubMed]
- Belorio, M.; Gómez, M. Psyllium: A useful functional ingredient in food systems. Crit. Rev. Food Sci. Nutr. 2020, 1–12. [Google Scholar] [CrossRef] [PubMed]
- Van Craeyveld, V.; Delcour, J.; Courtin, C. Ball Milling Improves Extractability and Affects Molecular Properties of Psyllium (Plantago ovata Forsk) Seed Husk Arabinoxylan. J. Agric. Food Chem. 2008, 56, 11306–11311. [Google Scholar] [CrossRef]
- Glore, S.R.; Van Treeck, D.; Knehans, A.W.; Guild, M. Soluble fiber and serum lipids: A literature review. J. Am. Diet. Assoc. 1994, 94, 425–436. [Google Scholar] [CrossRef]
- Fischer, M.H.; Yu, N.; Gray, G.R.; Ralph, J.; Anderson, L.; Marlett, J.A. The gel-forming polysaccharide of psyllium husk (Plantago ovata Forsk). Carbohydr. Res. 2004, 339, 2009–2017. [Google Scholar] [CrossRef]
- Guo, Q.; Cui, S.W.; Wang, Q.; Goff, H.D.; Smith, A. Microstructure and rheological properties of psyllium polysaccharide gel. Food Hydrocoll. 2009, 23, 1542–1547. [Google Scholar] [CrossRef]
- Zhou, Y.; Dai, H.; Ma, L.; Yu, Y.; Zhu, H.; Wang, H.; Zhang, Y. Effect and mechanism of psyllium husk (Plantago ovata) on myofibrillar protein gelation. LWT 2021, 138, 110651. [Google Scholar] [CrossRef]
- AOAC. Official Methods of Analysis. In Association of Official Analytical Chemists; AOAC: Washington, DC, USA, 2002. [Google Scholar]
- Buamard, N.; Benjakul, S. Combination effect of high pressure treatment and ethanolic extract from coconut husk on gel properties of sardine surimi. LWT 2018, 91, 361–367. [Google Scholar] [CrossRef]
- Wijayanti, I.; Singh, A.; Benjakul, S.; Sookchoo, P. Textural, Sensory, and Chemical Characteristic of Threadfin Bream (Nemipterus sp.) Surimi Gel Fortified with Bio-Calcium from Bone of Asian Sea Bass (Lates calcarifer). Foods 2021, 10, 976. [Google Scholar] [CrossRef]
- Singh, A.; Benjakul, S.; Kishimura, H. Characteristics and Functional Properties of Ovary from Squid Loligo Formosana. J. Aquat. Food Prod. Technol. 2017, 26, 1083–1092. [Google Scholar] [CrossRef]
- Robinson, H.W.; Hogden, C.G. The Biuret Reaction in the Determination of Serum Proteins. 1. A Study of the Conditions Necessary for the Production of a Stable Color Which Bears a Quantitative Relationship to the Protein Concentration. J. Biol. Chem. 1940, 135, 707–725. [Google Scholar] [CrossRef]
- Olatunde, O.; Singh, A.; Shiekh, K.; Nuthong, P.; Benjakul, S. Effect of High Voltage Cold Plasma on Oxidation, Physiochemical, and Gelling Properties of Myofibrillar Protein Isolate from Asian Sea Bass (Lates calcarifer). Foods 2021, 10, 326. [Google Scholar] [CrossRef]
- Meilgaard, M.C.; Carr, B.T.; Civille, G.V. Sensory Evaluation Techniques, 4th ed.; CRC Press: Boca Raton, FL, USA, 2006. [Google Scholar]
- Steel, R.; Torrie, J. Biostatistics: Principles and Procedures; McGraw-Hill Book Company, Inc.: New York, NY, USA, 1986. [Google Scholar]
- Cardoso, C.; Mendes, R. The effect of linseed and psyllium fibre on the gelling properties of unwashed mince from farmed meagre (Argyrosomus regius). Int. J. Food Sci. Technol. 2013, 48, 2023–2033. [Google Scholar] [CrossRef]
- Patel, M.K.; Mishra, A.; Jha, B. Non-targeted Metabolite Profiling and Scavenging Activity Unveil the Nutraceutical Potential of Psyllium (Plantago ovata Forsk). Front. Plant. Sci. 2016, 7, 431. [Google Scholar] [CrossRef]
- Quan, T.H.; Benjakul, S.; Sae-Leaw, T.; Balange, A.K.; Maqsood, S. Protein–polyphenol conjugates: Antioxidant property, functionalities and their applications. Trends Food Sci. Technol. 2019, 91, 507–517. [Google Scholar] [CrossRef]
- Balange, A.; Benjakul, S. Enhancement of gel strength of bigeye snapper (Priacanthus tayenus) surimi using oxidised phenolic compounds. Food Chem. 2009, 113, 61–70. [Google Scholar] [CrossRef]
- Zhuang, X.; Jiang, X.; Zhou, H.; Chen, Y.; Zhao, Y.; Yang, H.; Zhou, G. Insight into the mechanism of physicochemical influence by three polysaccharides on myofibrillar protein gelation. Carbohydr. Polym. 2020, 229, 115449. [Google Scholar] [CrossRef]
- Beikzadeh, S.; Peighardoust, S.; Javar-Abadi, M.A.; Rad, A.H. Effect of psyllium husk on physical, nutritional, sensory and staling properties of dietary prebiotic sponge cake. Czech. J. Food Sci. 2016, 34, 534–540. [Google Scholar] [CrossRef]
- Zhuang, X.; Han, M.; Jiang, X.; Bai, Y.; Zhou, H.; Li, C.; Xu, X.-L.; Zhou, G.-H. The effects of insoluble dietary fiber on myofibrillar protein gelation: Microstructure and molecular conformations. Food Chem. 2019, 275, 770–777. [Google Scholar] [CrossRef] [PubMed]
- Debusca, A.; Tahergorabi, R.; Beamer, S.K.; Matak, K.E.; Jaczynski, J. Physicochemical properties of surimi gels fortified with dietary fiber. Food Chem. 2014, 148, 70–76. [Google Scholar] [CrossRef]
- Gani, A.; Benjakul, S.; Nuthong, P. Effect of virgin coconut oil on properties of surimi gel. J. Food Sci. Technol. 2018, 55, 496–505. [Google Scholar] [CrossRef] [PubMed]
- Chanarat, S.; Benjakul, S.H.; Kittikun, A. Comparative study on protein cross-linking and gel enhancing effect of microbial transglutaminase on surimi from different fish. J. Sci. Food Agric. 2011, 92, 844–852. [Google Scholar] [CrossRef] [PubMed]
- Egelandsdal, B.; Fretheim, K.; Samejima, K. Dynamic rheological measurements on heat-induced myosin gels: Effect of ionic strength, protein concentration and addition of adenosine triphosphate or pyrophosphate. J. Sci. Food Agric. 1986, 37, 915–926. [Google Scholar] [CrossRef]
- Zhang, F.; Fang, L.; Wang, C.; Shi, L.; Chang, T.; Yang, H.; Cui, M. Effects of starches on the textural, rheological, and color properties of surimi–beef gels with microbial tranglutaminase. Meat Sci. 2013, 93, 533–537. [Google Scholar] [CrossRef] [PubMed]
- Cui, S.W.; Phillips, G.O.; Blackwell, B.; Nikiforuk, J. Characterisation and Properties of Acacia Senegal (L.) Willd. Var. Senegal with Enhanced Properties (Acacia (Sen) Supergum™): Part 4. Spectroscopic Characterisation of Acacia Senegal Var. Senegal and Acacia (Sen) Supergum™ Arabic. Food Hydrocoll. 2007, 21, 347–352. [Google Scholar] [CrossRef]
- Wei, W.; Hu, W.; Zhang, X.-Y.; Zhang, F.-P.; Sun, S.-Q.; Liu, Y.; Xu, C.-H. Analysis of protein structure changes and quality regulation of surimi during gelation based on infrared spectroscopy and microscopic imaging. Sci. Rep. 2018, 8, 1–8. [Google Scholar] [CrossRef] [PubMed]
- Chan, J.; Gill, T.; Paulson, A. The dynamics of thermal denaturation of fish myosins. Food Res. Int. 1992, 25, 117–123. [Google Scholar] [CrossRef]
- Bertram, H.C.; Kohler, A.; Böcker, U.; Ofstad, R.; Andersen, H.J. Heat-Induced Changes in Myofibrillar Protein Structures and Myowater of Two Pork Qualities. A Combined FT-IR Spectroscopy and Low-Field NMR Relaxometry Study. J. Agric. Food Chem. 2006, 54, 1740–1746. [Google Scholar] [CrossRef]
- Barth, A.; Zscherp, C. What vibrations tell about proteins. Q. Rev. Biophys. 2002, 35, 369–430. [Google Scholar] [CrossRef]
- Wiercigroch, E.; Szafraniec, E.; Czamara, K.; Pacia, M.Z.; Majzner, K.; Kochan, K.; Malek, K. Raman and Infrared Spectroscopy of Carbohydrates: A Review. Spectrochimica Acta Part A: Molecular and Biomolecular. Spectroscopy 2017, 185, 317–335. [Google Scholar]
- Nikonenko, N.A.; Buslov, D.K.; Sushko, N.I.; Zhbankov, R.G. Investigation of stretching vibrations of glycosidic linkages in disaccharides and polysaccarides with use of IR spectra deconvolution. Biopolymers 2000, 57, 257–262. [Google Scholar] [CrossRef]
- Sekkal, M.; Dincq, V.; Legrand, P.; Huvenne, J. Investigation of the glycosidic linkages in several oligosaccharides using FT-IR and FT Raman spectroscopies. J. Mol. Struct. 1995, 349, 349–352. [Google Scholar] [CrossRef]
- Guerrero, P.; Kerry, J.P.; de la Caba, K. FTIR characterization of protein–polysaccharide interactions in extruded blends. Carbohydr. Polym. 2014, 111, 598–605. [Google Scholar] [CrossRef] [PubMed]
- Anderson, J.W.; Baird, P.; Davis, R.H.; Ferreri, S.; Knudtson, M.; Koraym, A.; Waters, V.; Williams, C.L. Health benefits of dietary fiber. Nutr. Rev. 2009, 67, 188–205. [Google Scholar] [CrossRef]





| Samples | Appearance | Color | Odor | Texture | Taste | Overall Likeness |
|---|---|---|---|---|---|---|
| CON | 7.9 ± 1.3 a | 8.0 ± 1.5 a | 6.9 ± 1.6 a | 7.3 ± 1.1 a | 7.2 ± 0.9 a | 7.5 ± 1.0 a |
| SPH-1 | 7.1 ± 1.0 ab | 7.3 ± 1.1 a | 6.8 ± 1.7 a | 6.6 ± 1.2 ab | 6.9 ± 1.2 a | 6.8 ± 1.2 a |
| SPH-2 | 7.2 ± 0.9 ab | 7.1 ± 1.6 a | 6.5 ± 2.1 a | 7.1 ± 1.4 a | 7.1 ± 1.3 a | 7.0 ± 1.3 a |
| SPH-3 | 6.5 ± 1.3 bc | 5.7 ± 1.6 b | 6.6 ± 1.7 a | 6.6 ± 1.1 ab | 6.4 ± 1.1 a | 6.7 ± 1.1 a |
| SPH-4 | 5.8 ± 1.3 c | 5.1 ± 1.7 b | 6.8 ± 1.4 a | 6.1 ± 1.2 b | 6.4 ± 1.1 a | 5.9 ± 1.9 b |
Publisher’s Note: MDPI stays neutral with regard to jurisdictional claims in published maps and institutional affiliations. |
© 2021 by the authors. Licensee MDPI, Basel, Switzerland. This article is an open access article distributed under the terms and conditions of the Creative Commons Attribution (CC BY) license (https://creativecommons.org/licenses/by/4.0/).
Share and Cite
Singh, A.; Benjakul, S.; Prodpran, T.; Nuthong, P. Effect of Psyllium (Plantago ovata Forks) Husk on Characteristics, Rheological and Textural Properties of Threadfin Bream Surimi Gel. Foods 2021, 10, 1181. https://doi.org/10.3390/foods10061181
Singh A, Benjakul S, Prodpran T, Nuthong P. Effect of Psyllium (Plantago ovata Forks) Husk on Characteristics, Rheological and Textural Properties of Threadfin Bream Surimi Gel. Foods. 2021; 10(6):1181. https://doi.org/10.3390/foods10061181
Chicago/Turabian StyleSingh, Avtar, Soottawat Benjakul, Thummanoon Prodpran, and Pornpot Nuthong. 2021. "Effect of Psyllium (Plantago ovata Forks) Husk on Characteristics, Rheological and Textural Properties of Threadfin Bream Surimi Gel" Foods 10, no. 6: 1181. https://doi.org/10.3390/foods10061181
APA StyleSingh, A., Benjakul, S., Prodpran, T., & Nuthong, P. (2021). Effect of Psyllium (Plantago ovata Forks) Husk on Characteristics, Rheological and Textural Properties of Threadfin Bream Surimi Gel. Foods, 10(6), 1181. https://doi.org/10.3390/foods10061181

