In Vitro Bile Salt Hydrolase (BSH) Activity Screening of Different Probiotic Microorganisms
Abstract
1. Introduction
2. Materials and Methods
2.1. Microorganisms
2.2. Qualitative Direct Plate BSH Assay
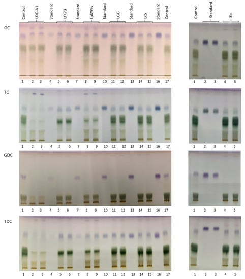
2.3. Quantitative High-Performance Thin-Layer Chromatography (HPTLC) BSH Assay
2.4. Statistical Analysis
3. Results and Discussion
3.1. BSH Activity Screening
3.2. Quantitative HPTLC BSH Assay
3.3. Lactobacillus casei Shirota
3.4. Lactobacillus fermentum K73
3.5. Lactobacillus rhamnosus GG
3.6. Lactobacillus plantarum 299v and DGIA1
3.7. Saccharomyces boulardii
4. Conclusions
Author Contributions
Funding
Data Availability Statement
Acknowledgments
Conflicts of Interest
References
- World Health Organization. Cardiovascular Diseases (CVDs). 2017. Available online: https://www.who.int/news-room/fact-sheets/detail/cardiovascular-diseases-(cvds) (accessed on 20 March 2021).
- Lahoz, C.; Mostaza, J.M. La aterosclerosis como enfermedad sistémica. Rev. Esp. Cardiol. 2007, 60, 184–195. (In Spanish) [Google Scholar] [CrossRef]
- Navi, B.B.; Zegal, A.Z. The role of cholesterol and statins in stroke. Curr. Cardiol. Rep. 2009, 11, 4–11. [Google Scholar] [CrossRef]
- Miremadi, F.; Ayyash, M.; Sherkat, F.; Stojanovska, L. Cholesterol reduction mechanisms and fatty acid composition of cellular membranes of probiotic Lactobacilli and Bifidobacteria. J. Funct. Foods 2014, 9, 295–305. [Google Scholar] [CrossRef]
- Wang, C.; Zhang, C.; Li, S.; Yu, L.; Tian, F.; Zhao, J.; Zhang, H.; Chen, W.; Zhai, Q. Effects of probiotic supplementation on dyslipidemia in type 2 diabetes mellitus: A Meta-Analysis of randomized controlled trials. Foods 2020, 9, 1540. [Google Scholar] [CrossRef] [PubMed]
- Tsai, C.C.; Lin, P.P.; Hsieh, Y.M.; Zhang, Z.Y.; Wu, H.C.; Huang, C.C. Cholesterol-lowering potentials of lactic acid bacteria based on bile-salt hydrolase activity and effect of potent strains on cholesterol metabolism in vitro and in vivo. Sci. World J. 2014, 2014, 690752. [Google Scholar] [CrossRef]
- Begley, M.; Hill, C.; Gahan, C.G.M. Bile salt hydrolase activity in probiotics. Appl. Environ. Microbiol. 2006, 72, 1729–1738. [Google Scholar] [CrossRef]
- Foley, M.H.; O’Flaherty, S.; Barrangou, R.; Theriot, C.M. Bile salt hydrolases: Gatekeepers of bile acid metabolism and host-microbiome crosstalk in the gastrointestinal tract. PLoS Pathog. 2019, 15, e1007581. [Google Scholar] [CrossRef]
- Tanaka, H.; Doesburg, K.; Iwasaki, T.; Mierau, I. Screening of lactic acid bacteria for bile salt hydrolase activity. J. Dairy Sci. 1999, 82, 2530–2535. [Google Scholar] [CrossRef]
- Kumar, R.; Grover, S.; Batish, V.K. Bile Salt Hydrolase (Bsh) activity screening of Lactobacilli: In vitro selection of indigenous lactobacillus strains with potential bile salt hydrolysing and cholesterol-lowering ability. Probiotics Antimicrob. Proteins 2012, 4, 162–172. [Google Scholar] [CrossRef]
- Lambert, J.M.; Weinbreck, F.; Kleerebezem, M. In Vitro analysis of protection of the enzyme bile salt hydrolase against enteric conditions by whey protein−gum arabic microencapsulation. J. Agric. Food Chem. 2008, 56, 8360–8364. [Google Scholar] [CrossRef] [PubMed]
- Christiaens, H.; Leer, R.J.; Pouwels, P.H.; Verstraete, W. Cloning and expression of a conjugated bile acid hydrolase gene from Lactobacillus plantarum by using a direct plate assay. Appl. Environ. Microbiol. 1992, 58, 3792–3798. [Google Scholar] [CrossRef]
- Morales, F.; Morales, J.I.; Hernández, C.H.; Hernández-Sánchez, H. Isolation and partial characterization of halotolerant lactic acid bacteria from two mexican cheeses. Appl. Biochem. Biotechnol. 2011, 164, 889–905. [Google Scholar] [CrossRef]
- Cueto, C.; Aragón, S. Evaluation of probiotic potential of lactic acid bacteria to reduce in vitro cholesterol. Sci. Agropecu. 2012, 3, 45–50. [Google Scholar] [CrossRef][Green Version]
- Czerucka, D.; Piche, T.; Rampal, P. Review article: Yeast as probiotics-Saccharomyces boulardii. Aliment. Pharmacol. Ther. 2007, 26, 767–778. [Google Scholar] [CrossRef]
- Rohawi, N.S.; Ramasamy, K.; Agatonovic-Kustrin, S.; Lim, S.M. A new high-performance thin-layer chromatographic method for determining bile salt hydrolase activity. J. Chromatogr. B 2018, 1092, 145–151. [Google Scholar] [CrossRef]
- McHugh, M.L. Multiple comparison analysis testing in ANOVA. Biochem. Med. 2011, 21, 203–209. [Google Scholar] [CrossRef] [PubMed]
- Koskenniemi, K.; Laakso, K.; Koponen, J.; Kankainen, M.; Greco, D.; Auvinen, P.; Savijoki, K.; Nyman, T.A.; Surakka, A.; Salusjärvi, T.; et al. Proteomics and transcriptomics characterization of bile stress response in probiotic Lactobacillus rhamnosus GG. Mol. Cell. Proteom. 2011, 10, S1–S18. [Google Scholar] [CrossRef]
- Sharaf, A.N.; Abosereh, N.A.R.; Abdalla, S.M.; Mohamed, H.A.L.A.; Salim, R.G.S. Impact of some genetic treatments on the probiotic activities of Saccharomyces boulardii. Res. J. Cell Mol. Biol. 2009, 3, 12–19. [Google Scholar]
- Kato-Kataoka, A.; Nishida, K.; Takada, M.; Kawai, M.; Kikuchi-Hayakawa, H.; Suda, K.; Ishikawa, H.; Gondo, Y.; Shimizu, K.; Matsuki, T.; et al. Fermented milk containing Lactobacillus casei Strain shirota preserves the diversity of the gut microbiota and relieves abdominal dysfunction in healthy medical students exposed to academic stress. Appl. Environ. Microbiol. 2016, 82, 3649–3658. [Google Scholar] [CrossRef] [PubMed]
- Wang, G.; Yin, S.; An, H.; Chen, S.; Hao, Y. Coexpression of bile salt hydrolase gene and catalase gene remarkably improves oxidative stress and bile salt resistance in Lactobacillus casei. J. Ind. Microbiol. Biotechnol. 2011, 38, 985–990. [Google Scholar] [CrossRef] [PubMed]
- Jiang, J.; Hang, X.; Zhang, M.; Liu, X.; Li, D.; Yang, H. Diversity of bile salt hydrolase activities in different lactobacilli toward human bile salts. Ann. Microbiol. 2009, 60, 81–88. [Google Scholar] [CrossRef]
- Liong, M.; Shah, N. Bile salt deconjugation ability, bile salt hydrolase activity and cholesterol co-precipitation ability of lactobacilli strains. Int. Dairy J. 2005, 15, 391–398. [Google Scholar] [CrossRef]
- González-Vázquez, R.; Gutiérrez-López, G.F.; Arellano-Cárdenas, S.; López-Villegas, E.O.; Téllez-Medina, D.I.; Rivera-Espinoza, Y. Morphometric parameters, zeta potential and growth rate of Lactobacillus casei Shirota by effect of different bile salts. Rev. Mex. Ing. Quim. 2014, 13, 189–199. [Google Scholar]
- Kandola, S. Investigation of bile tolerance and deconjugation ability of various Lactobacillus casei group strains. Asian J. Dairy Food Res. 2019, 38, 61–66. [Google Scholar] [CrossRef]
- González-Vázquez, R.; Azaola-Espinosa, A.; Mayorga-Reyes, L.; Reyes-Nava, L.A.; Shah, N.P.; Rivera-Espinoza, Y. Isolation, identification and partial characterization of a Lactobacillus casei Strain with bile salt hydrolase activity from pulque. Probiotics Antimicrob. Proteins 2015, 7, 242–248. [Google Scholar] [CrossRef] [PubMed]
- Brashears, M.M.; Gilliland, S.E.; Buck, L.M. Bile salt deconjugation and cholesterol removal from media by Lactobacillus casei. J. Dairy Sci. 1998, 81, 2103–2110. [Google Scholar] [CrossRef]
- Moser, S.A.; Savage, D.C. Bile salt hydrolase activity and resistance to toxicity of conjugated bile salts are un-related properties in Lactobacilli. Appl. Environ. Microbiol. 2001, 67, 3476–3480. [Google Scholar] [CrossRef] [PubMed]
- Capurso, L. Thirty years of Lactobacillus rhamnosus GG. A review. J. Clin. Gastroenterol. 2019, 53, S1–S41. [Google Scholar] [CrossRef] [PubMed]
- Khare, A.; Gaur, S. Cholesterol-lowering effects of Lactobacillus species. Curr. Microbiol. 2020, 77, 638–644. [Google Scholar] [CrossRef] [PubMed]
- Dong, Z.; Lee, B.H. Bile salt hydrolases: Structure and function, substrate preference, and inhibitor development. Protein Sci. 2018, 27, 1742–1754. [Google Scholar] [CrossRef]
- Świeca, M.; Kordowska-Wiater, M.; Pytka, M.; Gawlik-Dziki, U.; Bochnak, J.; Złotek, U.; Baraniak, B. Lactobacillus plantarum 299V improves the microbiological quality of legume sprouts and effectively survives in these carriers during cold storage and in vitro digestion. PLoS ONE 2018, 13, e0207793. [Google Scholar] [CrossRef]
- Lambert, J.M.; Bongers, R.S.; De Vos, W.M.; Kleerebezem, M. Functional analysis of four bile salt hydrolase and penicillin acylase family members in Lactobacillus plantarum WCFS1. Appl. Environ. Microbiol. 2008, 74, 4719–4726. [Google Scholar] [CrossRef] [PubMed]
- O’Flaherty, S.; Crawley, A.B.; Theriot, C.M.; Barrangou, R. The Lactobacillus bile salt hydrolase repertoire reveals niche-specific adaptation. mSphere 2018, 3, e00140-18. [Google Scholar] [CrossRef]
- Yasiri, A.; Vannaxay, E.; Kiatmontri, J.; Seubsasan, S. Isolation and determination of bile salt hydro-lase-producing lactic acid bacteria from fermented spider plant. J. Pure Appl. Microbiol. 2018, 12, 1055–1060. [Google Scholar] [CrossRef]
- Nuhwa, R.; Tanasupawat, S.; Taweechotipatr, M.; Sitdhipol, J.; Savarajara, A. Bile salt hydrolase activity and cholesterol assimilation of lactic acid bacteria isolated from flowers. J. Appl. Pharm. Sci. 2019, 9, 106–110. [Google Scholar]
- Patel, A.K.; Singhania, R.R.; Pandey, A.; Chincholkar, S.B. Probiotic bile salt hydrolase: Current developments and perspectives. Appl. Biochem. Biotechnol. 2009, 162, 166–180. [Google Scholar] [CrossRef]
- Prete, R.; Long, S.L.; Gallardo, A.L.; Gahan, C.G.; Corsetti, A.; Joyce, S.A. Beneficial bile acid metabolism from Lactobacillus plantarum of food origin. Sci. Rep. 2020, 10, 1165. [Google Scholar] [CrossRef] [PubMed]
- Melgar-Lalanne, G.; Rivera-Espinoza, Y.; Reyes-Méndez, A.I.; Hernández-Sánchez, H. In vitro evaluation of the probiotic potential of halotolerant Lactobacilli isolated from a ripened tropical Mexican cheese. Probiotics Antimicrob. Proteins 2013, 5, 239–251. [Google Scholar] [CrossRef]
- Kelesidis, T.; Pothoulakis, C. Efficacy and safety of the probiotic Saccharomyces boulardii for the prevention and therapy of gastrointestinal disorders. Ther. Adv. Gastroenterol. 2012, 5, 11–125. [Google Scholar] [CrossRef]
- Khatri, I.; Tomar, R.; Ganesan, K.; Prasad, G.S.; Subramanian, S. Complete genome sequence and comparative genomics of the probiotic yeast Saccharomyces boulardii. Sci. Rep. 2017, 7, 371. [Google Scholar] [CrossRef]
- Zubaidy, Z.M.; Khidhr, K.O. Isolation and identification of Saccharomyces cerevisiae var boulardii and its uses as a probiotic (in vitro). Rafidain J. Sci. 2014, 25, 1–11. [Google Scholar]
- Girard, P.; Pansart, Y.; Verleye, M. Anti-hypercholesterolemic effect of Saccharomyces boulardii in the Hamster. Pharmacology 2014, 94, 239–244. [Google Scholar] [CrossRef]
- Ryan, J.J.; Hanes, D.A.; Schafer, M.B.; Mikolai, J.; Zwickey, H. Effect of the probiotic Saccharomyces boulardii on cholesterol and lipoprotein particles in hypercholesterolemic adults: A single-arm, open-label pilot study. J. Altern. Complement. Med. 2015, 21, 288–293. [Google Scholar] [CrossRef] [PubMed]
- Briand, F.; Sulpice, T.; Giammarinaro, P.; Roux, X. Saccharomyces boulardii CNCM I-745 changes lipidemic profile and gut microbiota in a hamster hypercholesterolemic model. Benef. Microbes 2019, 10, 555–567. [Google Scholar] [CrossRef] [PubMed]


| Bile Salt | n-Hexane (%) | Methanol (%) | Ethyl Acetate:Acetic Acid (10:1) (%) | hRf |
|---|---|---|---|---|
| TC | 20 | 40 | 40 | 78 |
| TDC | 15 | 35 | 50 | 70 |
| GC | 10 | 40 | 50 | 70 |
| GDC | 30 | 20 | 50 | 52 |
| Probiotic | Sodium Glycocholate | Sodium Glycodeoxycholate | Sodium Taurocholate | Sodium Taurodeoxycholate |
|---|---|---|---|---|
| Lb. plantarum 299v | 1 | 3 | 0 | 2 |
| Lb. rhamnosus GG | 0 | 0 | 0 | 1 |
| Lb.plantarum DGIA1 | 3 | 3 | 2 | 2 |
| Lb.casei Shirota | 1 | 0 | 2 | 1 |
| Lb. fermentum K73 | 1 | 0 | 3 | 2 |
| S. boulardii | 0 | 0 | 0 | 0 |
| Strain | GC | GDC | TC | TDC |
|---|---|---|---|---|
| Control | 0 ± 1.2 | 0 ± 2.1 | 0 ± 1.41 | 0 ± 2.3 |
| LcS | 49 ± 8.1 a | 100 ± 0 b | 41 ± 2.25 a | 18 ± 0.24 c |
| LDGIA1 | 69 ± 2.2 a | 100 ± 0 b | 81 ± 0.20 c | 92 ± 6.45 d |
| Lfk73 | 61 ± 1.1 a | 100 ± 0 b | 24 ± 5.20 c | 4 ± 2.25 d |
| LGG | 63 ± 3.8 a | 100 ± 0 b | 24 ± 7.31 c | 1 ± 1.22 d |
| Lpl299 | 85 ± 5.2 a | 100 ± 0 b | 65 ± 7.26 c | 31 ± 2.54 d |
| SB | 5 ± 3.6 a | 100 ± 0 b | 57 ± 1.07 c | 63 ± 6.01 c |
Publisher’s Note: MDPI stays neutral with regard to jurisdictional claims in published maps and institutional affiliations. |
© 2021 by the authors. Licensee MDPI, Basel, Switzerland. This article is an open access article distributed under the terms and conditions of the Creative Commons Attribution (CC BY) license (http://creativecommons.org/licenses/by/4.0/).
Share and Cite
Hernández-Gómez, J.G.; López-Bonilla, A.; Trejo-Tapia, G.; Ávila-Reyes, S.V.; Jiménez-Aparicio, A.R.; Hernández-Sánchez, H. In Vitro Bile Salt Hydrolase (BSH) Activity Screening of Different Probiotic Microorganisms. Foods 2021, 10, 674. https://doi.org/10.3390/foods10030674
Hernández-Gómez JG, López-Bonilla A, Trejo-Tapia G, Ávila-Reyes SV, Jiménez-Aparicio AR, Hernández-Sánchez H. In Vitro Bile Salt Hydrolase (BSH) Activity Screening of Different Probiotic Microorganisms. Foods. 2021; 10(3):674. https://doi.org/10.3390/foods10030674
Chicago/Turabian StyleHernández-Gómez, Jimmy G., Argelia López-Bonilla, Gabriela Trejo-Tapia, Sandra V. Ávila-Reyes, Antonio R. Jiménez-Aparicio, and Humberto Hernández-Sánchez. 2021. "In Vitro Bile Salt Hydrolase (BSH) Activity Screening of Different Probiotic Microorganisms" Foods 10, no. 3: 674. https://doi.org/10.3390/foods10030674
APA StyleHernández-Gómez, J. G., López-Bonilla, A., Trejo-Tapia, G., Ávila-Reyes, S. V., Jiménez-Aparicio, A. R., & Hernández-Sánchez, H. (2021). In Vitro Bile Salt Hydrolase (BSH) Activity Screening of Different Probiotic Microorganisms. Foods, 10(3), 674. https://doi.org/10.3390/foods10030674

