Methodological Approaches to DNA Authentication of Foods, Wines and Raw Materials for Their Production
Abstract
1. Introduction
- to test well-known and developed methods for sample preparation and extraction of nucleic acids of the Vitis vinifera L. from raw grapes and wines produced from them;
- to develop a strategy for their DNA authentication by interpreting the detected polymorphic positions of variable Vitis vinifera L. UFGT gene by direct sequencing of the PCR product.
2. Materials and Methods
3. Results
4. Discussion
5. Conclusions
Author Contributions
Funding
Institutional Review Board Statement
Informed Consent Statement
Data Availability Statement
Conflicts of Interest
References
- Pereira, L.; Gomes, S.; Barrias, S.; Gomes, E.P.; Baleiras-Couto, M.; Fernandes, J.R.; Martins-Lopes, P. From the Field to the Bottle—An Integrated Strategy for Wine Authenticity. Beverages 2018, 4, 71. [Google Scholar] [CrossRef]
- Vignani, R.; Liò, P.; Scali, M. How to integrate wet lab and bioinformatics procedures for wine DNA admixture analysis and compositional profiling: Case studies and perspectives. PLoS ONE 2019, 14, e0211962. [Google Scholar] [CrossRef]
- Oganesyants, L.; Vafin, R.; Galstyan, A.; Semipyatniy, V.; Khurshudyan, S.; Ryabova, A. Prospects for DNA authentication in wine production monitoring. Food Raw Mater. 2018, 6, 438–448. [Google Scholar] [CrossRef]
- Savazzini, F.; Martinelli, L. DNA analysis in wines: Development of methods for enhanced extraction and real-time polymerase chain reaction quantification. Anal. Chim. Acta 2006, 563, 274–282. [Google Scholar] [CrossRef]
- Pereira, L.; Guedes-Pinto, H.; Martins-Lopes, P. An Enhanced Method for Vitis vinifera L. DNA Extraction from Wines. Am. J. Enol. Vitic. 2011, 62, 547–552. [Google Scholar] [CrossRef]
- Catalano, V.; Moreno-Sanz, P.; Lorenzi, S.; Grando, M.S. Experimental Review of DNA-Based Methods for Wine Traceability and Development of a Single-Nucleotide Polymorphism (SNP) Genotyping Assay for Quantitative Varietal Authentication. J. Agric. Food Chem. 2016, 64, 6969–6984. [Google Scholar] [CrossRef] [PubMed]
- Drábek, J.; Stávek, J.; Jalůvková, M.; Jurček, T.; Frébort, I. Quantification of DNA during winemaking by fluorimetry and Vitis vinifera L.-specific quantitative PCR. Eur. Food Res. Technol. 2008, 226, 491–497. [Google Scholar] [CrossRef]
- Bigliazzi, J.; Scali, M.; Paolucci, E.; Cresti, M.; Vignani, R. DNA Extracted with Optimized Protocols Can Be Genotyped to Reconstruct the Varietal Composition of Monovarietal Wines. Am. J. Enol. Vitic. 2012, 63, 568–573. [Google Scholar] [CrossRef]
- Işçi, B.; Yıldırım, H.K.; Altindişli, A. Evaluation of methods for DNA extraction from must and wine. J. Inst. Brew. 2014, 120, 238–243. [Google Scholar] [CrossRef]
- Siret, R.; Boursiquot, J.M.; Merle, M.H.; Cabanis, J.C.; This, P. Toward the authentication of varietal wines by the analysis of grape (Vitis vinifera L.) residual DNA in must and wine using microsatellite markers. J. Agric. Food Chem. 2000, 48, 5035–5040. [Google Scholar] [CrossRef]
- García-Beneytez, E.; Moreno-Arribas, M.V.; Borrego, J.; Polo, M.C.; Ibáñez, J. Application of a DNA Analysis Method for the Cultivar Identification of Grape Musts and Experimental and Commercial Wines ofVitis viniferaL. Using Microsatellite Markers. J. Agric. Food Chem. 2002, 50, 6090–6096. [Google Scholar] [CrossRef] [PubMed]
- Agrimonti, C.; Marmiroli, N. PCR analysis of experimental and commercial wines by means of nuclear and chloroplast SSRs. Eur. Food Res. Technol. 2018, 244, 2127–2140. [Google Scholar] [CrossRef]
- Siret, R.; Gigaud, O.; Rosec, J.P.; This, P. Analysis of GrapeVitis viniferaL. DNA in Must Mixtures and Experimental Mixed Wines Using Microsatellite Markers. J. Agric. Food Chem. 2002, 50, 3822–3827. [Google Scholar] [CrossRef]
- Recupero, M.; Garino, C.; De Paolis, A.; Cereti, E.; Coisson, J.-D.; Travaglia, F.; Arlorio, M. A Method to Check and Discover Adulteration of Nebbiolo-Based Monovarietal Musts: Detection of Barbera and Dolcetto cv via SSR Analysis Coupled with Lab-On-Chip® Microcapillary Electrophoresis. Food Anal. Methods 2013, 6, 952–962. [Google Scholar] [CrossRef]
- Scali, M.; Elisa, P.; Jacopo, B.; Mauro, C.; Vignani, R. Vineyards genetic monitoring and Vernaccia di San Gimignano wine molecular fingerprinting. Adv. Biosci. Biotechnol. 2014, 5, 142–154. [Google Scholar] [CrossRef][Green Version]
- Di Rienzo, V.; Miazzi, M.M.; Fanelli, V.; Savino, V.; Pollastro, S.; Colucci, F.; Miccolupo, A.; Blanco, A.; Pasqualone, A.; Montemurro, C. An enhanced analytical procedure to discover table grape DNA adulteration in industrial musts. Food Control. 2016, 60, 124–130. [Google Scholar] [CrossRef]
- Hârţa, M.; Pamfil, D.C.; Pop, R.; Vicaş, S.I. DNA fingerprinting used for testing some Romanian wine varieties. Bulletin UASVM Horticulture 2011, 68, 143–148. [Google Scholar]
- Gheţea, L.G.; Motoc, R.M.; Popescu, C.F.; Barbacar, N.; Iancu, D.; Constantinescu, C.; Barbarii, L.E. Genetic profiling of nine grapevine cultivars from Romania, based on SSR markers. Rom. Biotechnol. Lett. 2010, 15, 116–124. [Google Scholar]
- Dokupilová, I.; Šturdík, E.; Mihalik, D. Characterization of vine varieties by SSR markers. Acta Chim. Slovaca 2013, 6, 227–234. [Google Scholar] [CrossRef][Green Version]
- Hârta, M.; Pamfil, D. Molecular Characterisation of Romanian Grapevine Cultivars Using Nuclear Microsatellite Markers. Bulletin of University of Agricultural Sciences and Veterinary Medicine Cluj-Napoca. Horticulture 2013, 70, 131–136. [Google Scholar]
- Arroyo-García, R.; Ruiz-García, L.; Bolling, L.; Ocete, R.; López, M.A.; Arnold, C.; Ergul, A.; Söylemezo, L.G.; Uzun, H.I.; Cabello, F.; et al. Multiple origins of cultivated grapevine (Vitis vinifera L. ssp. sativa) based on chloroplast DNA polymorphisms. Mol. Ecol. 2006, 15, 3707–3714. [Google Scholar] [CrossRef]
- Péros, J.-P.; Berger, G.; Portemont, A.; Boursiquot, J.-M.; Lacombe, T. Genetic variation and biogeography of the disjunct Vitis subg. Vitis (Vitaceae). J. Biogeogr. 2011, 38, 471–486. [Google Scholar] [CrossRef]
- Aversano, R.; Basile, B.; Buonincontri, M.P.; Carucci, F.; Carputo, M.; Frusciante, L.; Di Pasquale, G. Dating the beginning of the Roman viticultural model in the Western Mediterranean: The case study of Chianti (Central Italy). PLoS ONE 2017, 12, e0186298. [Google Scholar] [CrossRef] [PubMed]
- Baleiras-Couto, M.; Eiras-Dias, J. Detection and identification of grape varieties in must and wine using nuclear and chloroplast microsatellite markers. Anal. Chim. Acta 2006, 563, 283–291. [Google Scholar] [CrossRef]
- Boccacci, P.; Akkak, A.; Marinoni, D.T.; Gerbi, V.; Schneider, A. Genetic traceability of Asti Spumante and Moscato d’Asti musts and wines using nuclear and chloroplast microsatellite markers. Eur. Food Res. Technol. 2012, 235, 439–446. [Google Scholar] [CrossRef]
- Pereira, L.; Martins-Lopes, P.; Batista, C.; Zanol, G.C.; Clímaco, P.; Brazão, J.; Eiras-Dias, J.E.; Guedes-Pinto, H. Molecular Markers for Assessing Must Varietal Origin. Food Anal. Methods 2012, 5, 1252–1259. [Google Scholar] [CrossRef]
- Lijavetzky, D.; Cabezas, J.A.; Ibáñez, A.; Rodríguez, V.; Martínez-Zapater, J.M. High throughput SNP discovery and genotyping in grapevine (Vitis vinifera L.) by combining a re-sequencing approach and SNPlex technology. BMC Genom. 2007, 8, 424. [Google Scholar] [CrossRef] [PubMed]
- A Cabezas, J.; Ibáñez, J.; Lijavetzky, D.; Vélez, D.; Bravo, G.; Rodríguez, V.; Carreño, I.; Jermakow, A.M.; Carreño, J.; Ruiz-García, L.; et al. A 48 SNP set for grapevine cultivar identification. BMC Plant Biol. 2011, 11, 153. [Google Scholar] [CrossRef] [PubMed]
- Pereira, L.; Martins-Lopes, P. Vitis vinifera L. Single-Nucleotide Polymorphism Detection with High-Resolution Melting Analysis Based on the UDP-Glucose:Flavonoid 3-O-Glucosyltransferase Gene. J. Agric. Food Chem. 2015, 63, 9165–9174. [Google Scholar] [CrossRef] [PubMed]
- Pereira, L.; Gomes, S.; Castro, C.; Eiras-Dias, J.E.; Brazão, J.; Graça, A.; Fernandes, J.R.; Martins-Lopes, P. High Resolution Melting (HRM) applied to wine authenticity. Food Chem. 2017, 216, 80–86. [Google Scholar] [CrossRef] [PubMed]
- Gomes, S.; Castro, C.; Barrias, S.; Pereira, L.; Jorge, P.; Fernandes, J.R.; Martins-Lopes, P. Alternative SNP detection platforms, HRM and biosensors, for varietal identification in Vitis vinifera L. using F3H and LDOX genes. Sci. Rep. 2018, 8, 5850. [Google Scholar] [CrossRef] [PubMed]
- Del Campo, E.M.; Hoyo, A.D.; Casano, L.M.; Martínez-Alberola, F.; Barreno, E. A rapid and cost–efficient DMSO–based method for isolating DNA from cultured lichen photobionts. Taxon 2010, 59, 588–591. [Google Scholar] [CrossRef]









| I | II | III | IV | V |
|---|---|---|---|---|
| 15 mL Falcon-type test tube | 15 mL Falcon-type test tube | 15 mL Falcon-type test tube | 15 mL Falcon-type test tube | 1.5 mL Eppendorf-type test tube |
| 8 mL wine | 7 mL wine | 7 mL wine | 7 mL white wine | 100 μL red wine |
| - | - | 15 μL linear polyacrylamide solution | 10 mg PVP | 10 mg PVP |
| - | 700 μL 3 M sodium acetate | 700 μL 3 M sodium acetate | 700 μL 3 M sodium acetate | - |
| 6 mL cold isopropanol | 7 mL cold isopropanol | 7 mL cold isopropanol | 7 mL cold isopropanol | 900 μL cold isopropanol |
| −20 °C 1–14 days | −20 °C 1–3 days | −20 °C 1–24 h | −20 °C 1–24 h | 20 °C 10 min, 1–10 days |
| 3000 rpm * 1 h | 3000 rpm * 1 h | 3000 rpm * 1 h | 3000 rpm * 1 h | 15000 rpm ** 10 min |
| Extraction with the “DNA-Sorb-S-M Kit” in Modification | Extraction by Dimethyl Sulfoxide Lysis (DMSO) |
|---|---|
| Resuspension of wine debris in 521 µL of lysing solution (400 µL of buffer for lysing reagent, 17 µL of lysing reagent, 4 µL of 2-mercaptoethanol, 100 µL of proteinase K) by tube vortexing | Resuspending of wine debris in 300 µL 100% DMSO by tube vortexing |
![]() | ![]() |
| Incubation of the resultant mixture at 64 °C for 60 min with periodic stirring on the vortex every 10–12 min | Incubation of the resultant mixture at 64 °C for 30 min. with periodic stirring on the vortex every 10 min |
![]() | ![]() |
| Precipitation of undissolved sample particles by centrifugation at 10,000× g for 5 min | Precipitation of undissolved sample particles by centrifugation at 10,000× g for 10 min |
![]() | ![]() |
| Selection of the lysate supernatant (400–450 µL) and transfer to a test tube with a sorbent (25 µL) | Selection and transfer of the lysate supernatant (250 µL) into a new test tube |
![]() | ![]() |
| Tube vortexing, exposure in a rack for 10 min with periodic stirring on the vortex every 2 min | Mixing of lysate with 250 µL of 4 M ammonium acetate and 1 mL of cold isopropanol (1:1:4 ratio) |
![]() | ![]() |
| Centrifugation at 2000× g for 1 min | Exposure of the resultant mixture at −20 °C for 60 min |
![]() | ![]() |
| Removal of the supernatant | Precipitation of the nucleoprotein complex by centrifugation at 10,000× g for 10 min |
![]() | ![]() |
| Resuspending of the sorbent in 300 µL of washing solution 1 by vortexing the test tube | Removal of the supernatant |
![]() | ![]() |
| Centrifugation at 2000× g for 1 min | Insertion of 500 µL of cold 70% ethanol to the deposited nucleoprotein complex |
![]() | ![]() |
| Removal of the supernatant | Vortexing the test tube. Exposure in a rack for 10 min with periodic stirring on the vortex every 5 min |
![]() | ![]() |
| Resuspending of the sorbent in 500 µL of the solution for washing 2 by vortexing the test tube | Centrifugation at 10,000× g for 10 min |
![]() | ![]() |
| Centrifugation at 7000× g for 1 min | Removal of the supernatant |
![]() | ![]() |
| Removal of the supernatant | Incubation of test tubes with open cap at 64 °C for 5–10 min |
![]() | ![]() |
| Resuspending of the sorbent in 500 µL of the solution for washing 2 by vortexing the test tube | Resuspending of the dried sediment in 25 µL of TE buffer by incubation at 64 °C for 10 min with periodic stirring on the vortex every 2 min |
![]() | ![]() |
| Centrifugation at 7000× g for 1 min | Centrifugation at 10,000× g for 10 min |
![]() | ![]() |
| Incubation of test tubes with open cap at 64 °C for 5–10 min | Transfer of the supernatant to a new test tube |
![]() | |
| Resuspending of the sorbent in 25 µL buffer for elution in a vortexing tube | |
![]() | |
| Incubation of the resultant mixture at 64 °C for 5–10 min with periodic stirring on the vortex every 1 min | |
![]() | |
| Centrifugation at 10,000× g for 1 min | |
![]() | |
| Transfer of the supernatant to a new test tube | |
![]() | |
| Transfer of the supernatant to a new test tube |
| Reagents | PCR with DNA Samples Extracted from Grapes | PCR with DNA Samples Extracted from Wine Debris | ||||
|---|---|---|---|---|---|---|
| Initial Concentration | Working Concentration | 1 Test (µL) | Initial Concentration | Working Concentration | 1 Test (µL) | |
| Sterile water | - | - | 16.5 | - | - | 15 |
| 5× Encyclo Red buffer | 5× | 1× | 5 | 5× | 1× | 5 |
| 50× mixture dNTP | 50× | 1× | 0.5 | 50× | 2× | 1 |
| Primer No. 1 | 50 μM | 0.5 μM | 0.25 | 50 μM | 1 μM | 0.5 |
| Primer No. 2 | 50 μM | 0.5 μM | 0.25 | 50 μM | 1 μM | 0.5 |
| 50× mixture of polymerases Encyclo | 50× | 1× | 0.5 | 50× | 2× | 1 |
| DNA matrix | - | - | 2 | - | - | 2 * |
| Final volume | - | - | 25 | - | - | 25 |
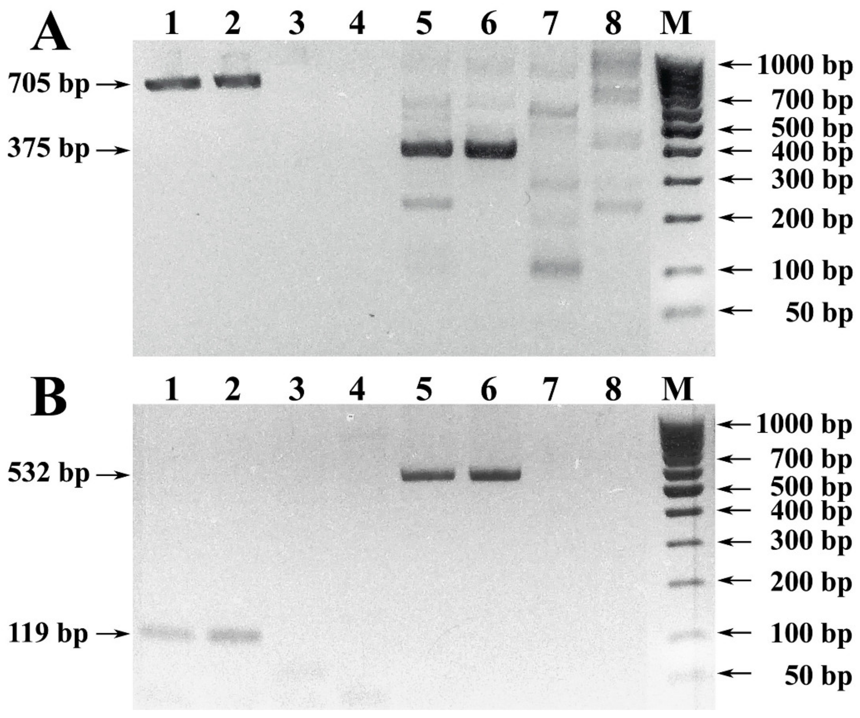
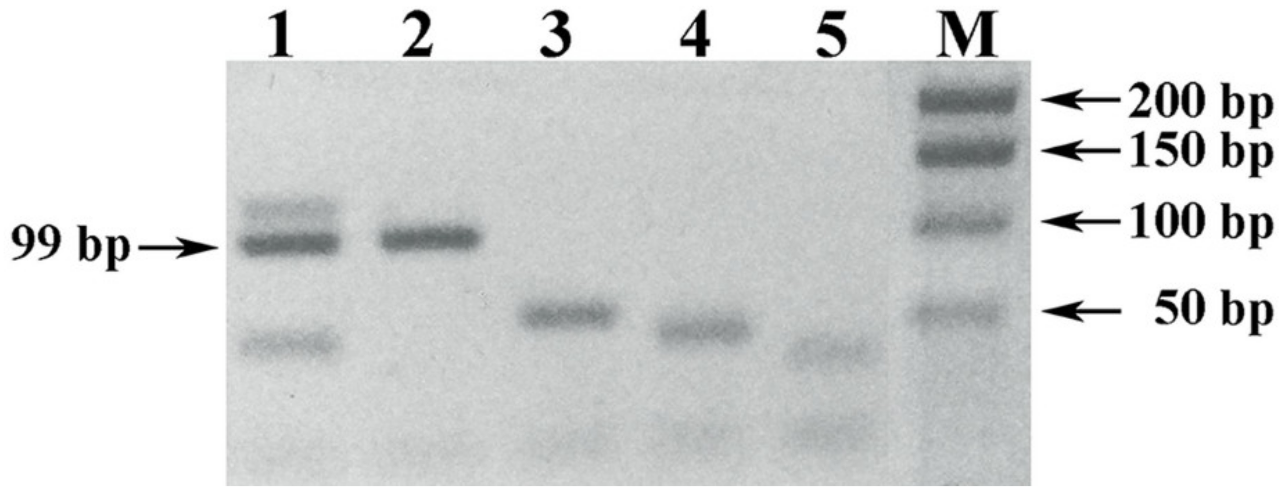
| Gene Locus | Name and Sequence of Oligonucleotide Primers | Basic Thermal Cycling Mode * | PCR-Product |
|---|---|---|---|
| UFGT | Vv1-Fwd: 5/-GCAATGTAATATCAAGTCC-3/ [30] | ×1: 95 °C—300 s; ×40: 95 °C—30 s, 58 °C—30 s, 72 °C—30 s; ×1: 72 °C—300 s | 705 bp |
| Vv1-Rev: 5/-TTTCTTTCTTTGAGCCATT-3/ [30] | |||
| Vv3-Fwd: 5/-AGCAGAGATGGGGGTGGCTT-3/ [30] | ×1: 95 °C—300 s; ×40: 95 °C—30 s, 58 °C—30 s, 72 °C—30 s; ×1: 72 °C—300 s | 119 bp | |
| Vv3-Rev: 5/-AGCAGGTAAAACCACCTGAA-3/ [30] | |||
| Vv3-Fwd: 5/-AGCAGAGATGGGGGTGGCTT-3/ [30] | ×1: 95 °C—300 s; ×40: 95 °C—10 s, 62 °C—10 s, 72 °C—10 s; ×1: 72 °C—300 s | 118 bp | |
| UFGT-R: 5/-GCAGGTAAAACCACCTGAAACT-3/ | |||
| UFGT-F: 5/-CTTGGCTGCCGTTTTGGACT-3/ | ×1: 95 °C—300 s; ×40: 95 °C—10 s, 62 °C—10 s, 72 °C—10 s; ×1: 72 °C—300 s | 101 bp | |
| UFGT-R: 5/-GCAGGTAAAACCACCTGAAACT-3/ | |||
| UFGT-F1: 5/-CTTGGCTGCCGTTTTGGA-3/ | ×1: 95 °C—300 s; ×40: 95 °C—10 s, 58 °C—10 s, 72 °C—10 s; ×1: 72 °C—300 s | 99 bp | |
| UFGT-R1: 5/-AGGTAAAACCACCTGAAACT-3/ | |||
| F3H1 | F3H_H1fwd: 5/-AGAGAAAGAAGGCGACGT-3/ [31] | ×1: 95 °C—300 s; ×40: 95 °C—30 s, 58 °C—30 s, 72 °C—30 s; ×1: 72 °C—300 s | 375 bp |
| F3H_H1rev: 5/-GATGGCTGGAAACGATGA-3/ [31] | |||
| F3H_H2fwd: 5/-CTGTTGAAGGAGCTTTCG-3/ [31] | ×1: 95 °C—300 s; ×40: 95 °C—30 s, 58 °C—30 s, 72 °C—30 s; ×1: 72 °C—300 s | 532 bp | |
| F3H_H2rev: 5/-GGCTTGGACTCTAACTTG-3/ [31] |
| # | Technical Grape Varieties | Polymorphic Positions (INDEL/SNPs) | |||||
|---|---|---|---|---|---|---|---|
| 424 * | 425 | 442 | 459 | 483 | |||
| 1 | B * | Chardonnay | - | G | C | C | G |
| Gouveio | |||||||
| N * | Touriga Brasileira | ||||||
| Donzelinho Tinto | |||||||
| 2 | B | Codega do Larinho | - | G | C | C | S |
| Rabigato | |||||||
| N | Tinta Amarela | ||||||
| Alicante Bouschet | |||||||
| 3 | B | Fernao Pires | - | G | C | T | G |
| Malvasia Fina | |||||||
| N | Tinta Roriz | ||||||
| Agostana Nera | |||||||
| 4 | B | Moscatel Galego | - | G | C | Y | G |
| Bianca | |||||||
| N | Tinto Cão | ||||||
| Pinot Noir | |||||||
| 5 | B | Trebbiano RomagnoloVermentino | - | K | C | C | C |
| N | Merlot | ||||||
| Tinta Barroca | |||||||
| 6 | B | Touriga Franca | - | - | - | - | - |
| N | Touriga Nacional | - | K | C | C | S | |
| 7 | B | Viosinho | - | G | C | Y | S |
| N | Freisa | ||||||
| 8 | B | Pedro Ximenez | - | G | M | Y | G |
| N | Rufete | ||||||
| 9 | B | - | T | G | C | Y | S |
| N | Cabernet Sauvignon | ||||||
| 10 | B | - | T | G | C | T | S |
| N | Souzão | ||||||
| 11 | B | - | - | G | C | C | C |
| N | Cannonao | ||||||
| Nero d’Avola | |||||||
| 12 | B | Parda | - | G | M | C | G |
| Blanca Cayetana | |||||||
| N | - | ||||||
| 13 | B | - | - | K | C | Y | S |
| N | Rondinella | ||||||
| Raboso Piave | |||||||
| # | GenBank A/N (Technical Grape Varieties, Country) | |
|---|---|---|
| 1 | B | JF522533 (Perla, Italy), JF522518 (Malvasia del Chianti, Italy), JF522500 (Robolla, Greece), JF522495 (Matilde, Italy), JF522483 (Chardonnay, Italy), JF522431 (Feteasca Alba, Romania), JF522413 (Sultanina, Greece), JF522412 (Verduzzo Friulano, Italy), JF522411 (Prosecco Balbi, Italy), JF522406 (Ribolla, Italy) |
| N | KY293689 (Yaghuty, Iran), KY305474 (Sirch, Iran), KY305473 (Shiraz, Iran), JF522524 (Dolcetto, Italy), JF522512 (Tintoria, Italy), JF522505 Bastardo, Portugal), JF522484 (Franconia, Italy), JF522470 (Carignan, Italy), JF522440 (Colorino, Italy), JF522386 (Monastrel, Spain), JF522380 (Croatina, Italy) | |
| 2 | B | JF522420 (Rabigato, Portugal) |
| N | JF522514 (Tinta Francisca, Portugal), JF522429 (Feteasca Neagra, Romania), JF522417 (Pignola, Italy) | |
| 3 | B | KJ495698 (Trebbiano Toscano, Italy), KJ495697 (Grechetto, Italy), KJ495695 (Pecorino, Italy), JF522535 (Albarino, Spain), JF522517 (Malvasia Istriana, Italy), JF522501 (Incrocio Manzoni Bianco, Italy), JF522493 (Riesling Italico, Italy), JF522432 (Greco, Italy), JF522426 (Fiano, Italy), JF522401 (Vittoria, Italy), JF522385 (Xarello, Spain), JF522388 (Assyrtiko, Greece), JF522459 (Sauvignon Blanc, Italy), JF522408 (Fernao Pires, Portugal) |
| N | KJ495696 (Sangiovese VCR4, Italy), JF522510 (Sangiovese cR10, Italy), JF522506 (Agostana Nera, Italy), JF522486 (Malbech, Italy), JF522472 (Aglianico, Italy), JF522455 (Marzemina Cenerenta, Italy), JF522456 (Marzemina Nera, Italy), JF522454 (Pattaresca, Italy), JF522453 (Refosco dal Peduncolo Rosso, Italy), JF522446 (Ciliegiolo, Italy), JF522436 (Teroldego, Italy), JF522427 (Petit Verdot, Italy), JF522415 (Primitivo di Gioia, Italy), JF522399 (Moscato di Amburgo, Italy), JF522397 (Castelao, Portugal), JF522400 (Mencia, Italy) | |
| 4 | B | JF522528 (Bianca, Italy), JF522527 (Picolit, Italy), JF522507 (Gatta, Italy), JF522502 (Riesling Renano, Italy), JF522496 (Mustoasa de Maderat, Romania), JF522491 (Pinot Blanc, Italy), JF522475 (Malvasia Fina, Portugal), JF522466 (Tocai, Italy), JF522461 (Albana, Italy), JF522457 (Marzemina Bianca, Italy), JF522438 (Regina, Italy), JF522435 (Grechetto, Italy), JF522424 (Feteasca Regala, Romania), JF522422 (Moscato Bianco, Italy), JF522423 (Moscato Giallo, Italy), JF522410 (Parellada, Spain), JF522402 (Italia, Italy) |
| N | JF522519 (Tinto Cão, Portugal), JF522511 (Gruaja, Italy), JF522489 (Pinot Noir, Italy), JF522488 (Marzemina Nera Bastarda, Italy), JF522485 (Xinomavro, Greece), JF522409 (Malvasia Nera, Italy), JF522474 (Alfrocheiro, Portugal), JF522447 (Canaiolo Nero, Italy), JF522468 (Raboso Piave, Italy), JF522469 (Raboso Veronese, Italy), JF522441 (Agiorgitiko, Greece), JF522434 (Corbinona, Italy), JF522433 (Corbinella, Italy), JF522428 (Bovale Sardo, Italy), JF522425 (Lambrusco Maestri, Italy), JF522418 (Moschomavro, Greece), JF522407 (Graciano, Spain), JF522398 (Cardinal, Italy) | |
| 5 | B | JF522508 (Trebbiano Romagnolo, Italy), JF522499 (Vermentino, Italy) |
| N | JF522378 (Tinta Barroca, Portugal), JF522462 (Piedirosso, Italy), JF522450 (Merlot, Italy), JF522391 (Malbo Gentile, Italy) | |
| 6 | B | - |
| N | JF522525 (Corvina, Italy), JF522516 (Touriga Franca, Portugal), JF522448 (Touriga Nacional, Portugal), JF522464 (Carmenere, Italy) | |
| 7 | B | - |
| N | JF522497 (Freisa, Italy) | |
| 8 | B | JF522405 (Pedro Ximenez, Spain) |
| N | - | |
| 11 * | B | - |
| N | JF522522 (Cannonao, Spain), JF522515 (Tocai Rosso, Italy), JF522442 (Nero d’Avola, Italy) | |
| 12 | B | JF522443 (Parda, Spain); JF522444 (Blanca Cayetana, Spain); JF522377 (Antao Vaz, Italy) |
| N | - | |
| 13 | B | - |
| N | JF522509 (Rondinella, Italy), JF522430 (Cabernet Franc, Italy), JF522476 (Raboso Piave, Italy), JF522477 (Raboso Veronese, Italy), JF522445 (Negrara Veronese, Italy), JF522471 (Nebbiolo, Italy), JF522384 (Cabernet Sauvignon, Italy) | |
Publisher’s Note: MDPI stays neutral with regard to jurisdictional claims in published maps and institutional affiliations. |
© 2021 by the authors. Licensee MDPI, Basel, Switzerland. This article is an open access article distributed under the terms and conditions of the Creative Commons Attribution (CC BY) license (http://creativecommons.org/licenses/by/4.0/).
Share and Cite
Galstyan, A.G.; Semipyatniy, V.K.; Mikhailova, I.Y.; Gilmanov, K.K.; Bigaeva, A.V.; Vafin, R.R. Methodological Approaches to DNA Authentication of Foods, Wines and Raw Materials for Their Production. Foods 2021, 10, 595. https://doi.org/10.3390/foods10030595
Galstyan AG, Semipyatniy VK, Mikhailova IY, Gilmanov KK, Bigaeva AV, Vafin RR. Methodological Approaches to DNA Authentication of Foods, Wines and Raw Materials for Their Production. Foods. 2021; 10(3):595. https://doi.org/10.3390/foods10030595
Chicago/Turabian StyleGalstyan, Aram G., Vladislav K. Semipyatniy, Irina Yu. Mikhailova, Khamid Kh. Gilmanov, Alana V. Bigaeva, and Ramil R. Vafin. 2021. "Methodological Approaches to DNA Authentication of Foods, Wines and Raw Materials for Their Production" Foods 10, no. 3: 595. https://doi.org/10.3390/foods10030595
APA StyleGalstyan, A. G., Semipyatniy, V. K., Mikhailova, I. Y., Gilmanov, K. K., Bigaeva, A. V., & Vafin, R. R. (2021). Methodological Approaches to DNA Authentication of Foods, Wines and Raw Materials for Their Production. Foods, 10(3), 595. https://doi.org/10.3390/foods10030595


