Next Issue
Volume 12, 09
Previous Issue
Volume 12, 03
 
 
Germs is published by MDPI from Volume 15 Issue 4 (2025). Previous articles were published by another publisher in Open Access under a CC-BY (or CC-BY-NC-ND) licence, and they are hosted by MDPI on mdpi.com as a courtesy and upon agreement with the former publisher Infection Science Forum.

Germs, Volume 12, Issue 2 (06 2022) – 18 articles , Pages 155-317

  • Issues are regarded as officially published after their release is announced to the table of contents alert mailing list.
  • You may sign up for e-mail alerts to receive table of contents of newly released issues.
  • PDF is the official format for papers published in both, html and pdf forms. To view the papers in pdf format, click on the "PDF Full-text" link, and use the free Adobe Reader to open them.
Order results
Result details
Select all
Export citation of selected articles as:
2 pages, 140 KB  
Communication
Catheter-Related Bloodstream Infection Caused by Burkholderia Cepacia in a Pediatric Oncology Patient
by Oğuzhan Kandemir, Fatih Erbey, Fikret Asarcıklı, Banu Oflaz Sözmen, Mehmet Ali Özen and Hacer Aktürk
Germs 2022, 12(2), 316-317; https://doi.org/10.18683/germs.2022.1335 - 30 Jun 2022
Cited by 5 | Viewed by 226
Abstract
Catheter-related bloodstream infection caused by Burkholderia spp. is very rare in oncology patients, with only few cases reported in the literature [...] Full article
8 pages, 425 KB  
Case Report
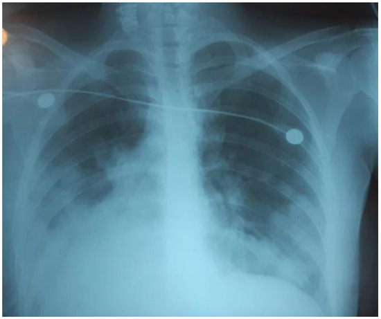
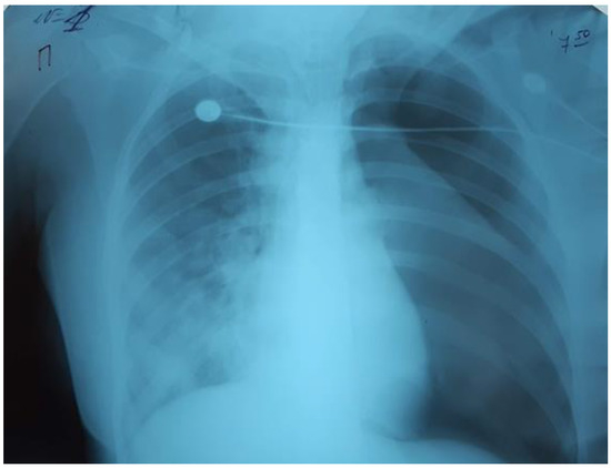
Successful Use of Ecmo in the Treatment of Acute Respiratory Distress Syndrome Associated with Sars-Cov-2 in Two Pediatric Cases
by Mariia Stasiv, Volodymyr Mishchuk, Natella Basa and Halyna Lytvyn
Germs 2022, 12(2), 308-315; https://doi.org/10.18683/germs.2022.1334 - 30 Jun 2022
Cited by 3 | Viewed by 310
Abstract
SARS-CoV-2 infection, in the vast majority, affects adult patients. The severity of COVID-19 and mortality are directly correlated with the increasing age of patients and the number of comorbidities. However, with the further development of the COVID-19 pandemic, severe cases of COVID-19 have [...] Read more.
SARS-CoV-2 infection, in the vast majority, affects adult patients. The severity of COVID-19 and mortality are directly correlated with the increasing age of patients and the number of comorbidities. However, with the further development of the COVID-19 pandemic, severe cases of COVID-19 have been reported in children. About 0.8–1% of sick children require hospitalization in an intensive care unit. The main syndromes that cause disease severity and mortality in children are acute respiratory distress syndrome, multisystem inflammation syndrome and multiple organ failure. The rapid development of severe respiratory failure and hypoxemia in respiratory distress syndrome leads to the use of various methods of respiratory therapy, and in case of their ineffectiveness to extracorporeal membrane oxygenation (ECMO). In our report, we present two clinical cases of successful use of ECMO in children with COVID-19, who developed severe ARDS. Full article
Show Figures

Figure 1

4 pages, 147 KB  
Case Report
Lactobacillus Delbrueckii Urinary Tract Infection in a Male Patient: A Case Report
by Ioannis K. Neonakis, Iordanis Skamagkas, Dimitra Stafylaki and Sofia Maraki
Germs 2022, 12(2), 304-307; https://doi.org/10.18683/germs.2022.1333 - 30 Jun 2022
Cited by 6 | Viewed by 434
Abstract
Introduction: Lactobacilli are Gram-positive rods, commensals of the normal human flora. Generally, these lactic acid-producing bacteria are considered contaminants, however over the last years their clinical relevance is reevaluated. Lactobacillus delbrueckii is very rarely isolated and only a few cases of L. delbrueckii [...] Read more.
Introduction: Lactobacilli are Gram-positive rods, commensals of the normal human flora. Generally, these lactic acid-producing bacteria are considered contaminants, however over the last years their clinical relevance is reevaluated. Lactobacillus delbrueckii is very rarely isolated and only a few cases of L. delbrueckii urinary tract infections (UTIs) have been reported, mainly in females. Case report: We report the case of a L. delbrueckii UTI in an 82-year-old male suffering from benign prostate hyperplasia with repeated episodes of acute urinary retention over the last month before presenting to our hospital. The catheter urine culture grew >105 CFUs/mL of pure L. delbrueckii on Columbia CNA blood agar and on Trypticase soy agar. Identification was achieved by matrix-assisted laser desorption/ionization time of flight mass spectrometry (MALDI-TOF MS), using VITEK MS (bioMérieux, France). The patient was successfully treated with cefixime for ten days. A follow-up urine culture performed 7 days after antibiotic discontinuation was sterile. Conclusions: To our knowledge the present is the second case of L. delbrueckii urinary tract infection in a male patient. Further cases are required to confirm the clinical significance of these unusual pathogens and their involvement in human urinary tract infections. Full article
6 pages, 321 KB  
Case Report
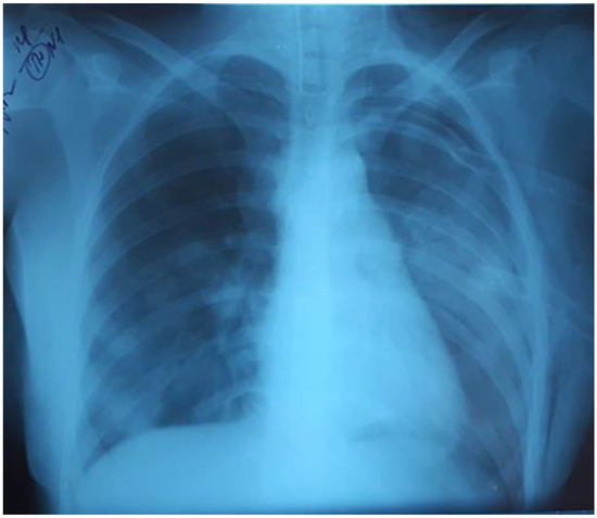
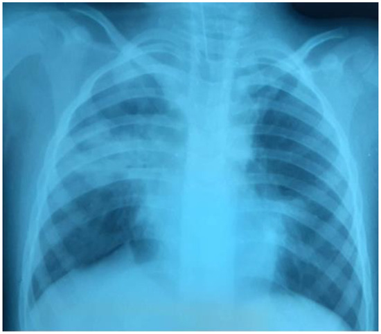
Possible Intraindividual Evolution of SARS-CoV-2 in Nasopharyngeal and Anal Swab in an Octogenarian: A Case Report
by Jamal Zaini, Andika Chandra Putra, Asep Muhamad Ridwanuloh, Zahrah Saniyyah, Budi Haryanto, Ahmad Rusdan Handoyo Utomo, Anik Budhi Dharmayanthi, Anggia Prasetyoputri, Ade Andriani, Hariyatun Hariyatun, Isa Nuryana, Syam Budi Iryanto, Sugiyono Saputra, Andri Wardiana and Ratih Asmana Ningrum
Germs 2022, 12(2), 298-303; https://doi.org/10.18683/germs.2022.1332 - 30 Jun 2022
Viewed by 125
Abstract
Introduction: COVID-19 is an emerging infectious disease that remains to be further investigated. Case report: Here, we describe a case of COVID-19 in an octogenarian woman with comorbidities who slowly recovered during hospitalization, but died due to sudden cardiac death after 2 weeks [...] Read more.
Introduction: COVID-19 is an emerging infectious disease that remains to be further investigated. Case report: Here, we describe a case of COVID-19 in an octogenarian woman with comorbidities who slowly recovered during hospitalization, but died due to sudden cardiac death after 2 weeks of hospitalization. Her nasopharyngeal and anal swabs returned positive for SARS-CoV-2 by RT-PCR on day 7 of hospitalization. The NGS showed possible intraindividual evolution of virus. The sample from the nasopharyngeal swab yielded a B.1470 variant classified as clade GH. This variant showed mutation in the spike gene D614G; N gene; NS3 gene; NSP2 gene and NSP12 gene. The sample from the anal swab showed similar mutation but with additional point mutation in spike gene S12F and was classified as B.1.465 variant. Conclusions: The possibility of the gastrointestinal tract that served as reservoir for virus mutation accumulation should also be considered and the potential impact of viral fecal transmission in the environment should be further investigated. Full article
Show Figures

Figure 1

6 pages, 314 KB  
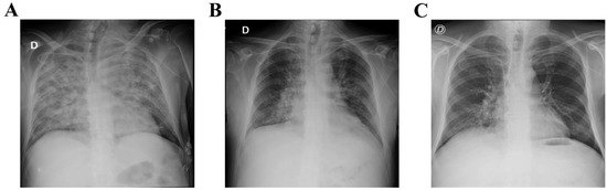
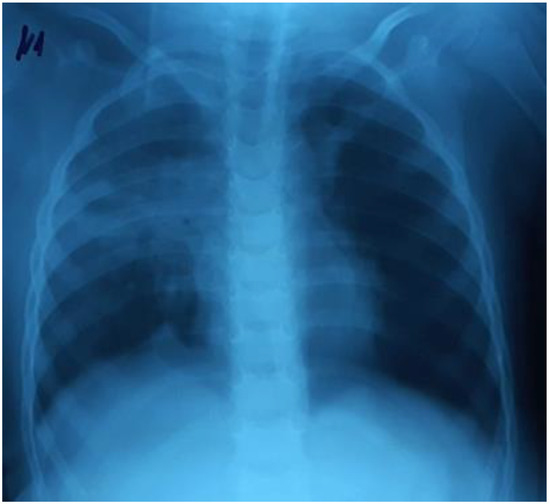
Case Report
Severe Coronavirus HCoV-NL63 Pneumonia in a Patient Receiving Blinatumomab with Secondary Antibody Deficiency in COVID-19 Times
by Claudia C. Paredes-Amaya, Lorena Matta-Cortes and Andrés Felipe Zea-Vera
Germs 2022, 12(2), 292-297; https://doi.org/10.18683/germs.2022.1331 - 30 Jun 2022
Cited by 4 | Viewed by 194
Abstract
Introduction: Human coronavirus NL63 (HCoV-NL63) is one of four common human respiratory coronaviruses. It causes lower respiratory tract infections in young children, elderly and immunosuppressed people, which could result in fatal outcomes. In this time of pandemic, we want to highlight the importance [...] Read more.
Introduction: Human coronavirus NL63 (HCoV-NL63) is one of four common human respiratory coronaviruses. It causes lower respiratory tract infections in young children, elderly and immunosuppressed people, which could result in fatal outcomes. In this time of pandemic, we want to highlight the importance of other coronaviruses infection besides SARS-CoV-2, especially in a patient with underlying conditions like acute lymphoblastic leukemia, receiving immunosuppressive therapy that could result in humoral secondary immunodeficiencies. Case report: We present the case of a 44-year-old Colombian man with acute lymphoblastic leukemia who developed HCoV-NL63 pulmonary infection after the first month of treatment with blinatumomab complicated with severe secondary hypogammaglobulinemia. HCoV-NL63 was detected by multiplex PCR, and HCoV-NL63 viral pneumonia was diagnosed. Hypogammaglobulinemia was studied by determining serum immunoglobulins levels and protein electrophoresis. The treatment consisted of supportive therapy and replacement with intravenous immunoglobulins. After therapy, the patient improved his oxygenation, and the infection was resolved in a few days. Conclusions: This case highlights the relevance of other coronaviruses infections besides SARS-CoV-2 in patients receiving immunosuppressive therapy who develop secondary antibody deficiency, and the importance of replacement therapy with intravenous immunoglobulins at early stage of infection with HCoV-NL63. Full article
Show Figures

Figure 1

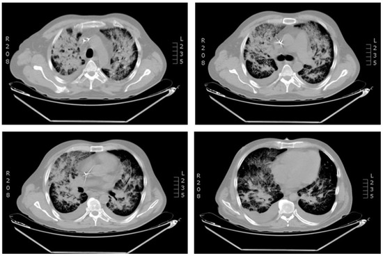
9 pages, 277 KB  
Review
Central Nervous System Cystic Echinococcosis: A Systematic Review
by Maria Kantzanou, Maria A. Karalexi, Constantine M. Vassalos, Georgia Kostare, Georgia Vrioni and Athanasios Tsakris
Germs 2022, 12(2), 283-291; https://doi.org/10.18683/germs.2022.1330 - 30 Jun 2022
Cited by 11 | Viewed by 218
Abstract
Central nervous system (CNS) cystic echinococcosis (CE) is a rare disease caused by Echinococcus which especially exists in agricultural endemic areas. This condition is more frequent in the pediatric and adolescent population and it can be associated with hydatid cyst in other localizations. [...] Read more.
Central nervous system (CNS) cystic echinococcosis (CE) is a rare disease caused by Echinococcus which especially exists in agricultural endemic areas. This condition is more frequent in the pediatric and adolescent population and it can be associated with hydatid cyst in other localizations. A literature search was conducted up to 28 April 2021 by two independent reviewers. This study focused on clinical, imaging, therapeutic features as well as on complications of CNS CE among children and adults. Fifteen studies from seven different countries were included. A significant prevalence in males (ranging from 51% to 100%) was observed with an average rate of 60%. CNS CE was mainly single and located in the parietal region. The predominant symptoms were those of increased intracranial pressure. All patients were treated surgically, and the most common post-surgical complication was cyst rupture (prevalence: [3.3–37.5%], average: 12.9%). Furthermore, the outcomes were worse amongst patients with cyst ruptures and multiple recurrences. The average proportion of deaths due to CNS CE was 5.6% (range: 2.5–14.8%). This review highlights the necessity of including CNS CE in the differential diagnosis of patients with cystic lesions, especially in those residing in endemic areas. Early gross total cyst removal is the mainstay of treatment yielding the best outcomes. Full article
Show Figures

Figure 1

7 pages, 228 KB  
Review
Exploring the Scope and Utility of Digital Proximity Tracing in the Effective Containment of COVID-19 Infection: A Narrative Review
by Saurabh RamBihariLal Shrivastava and Prateek Saurabh Shrivastava
Germs 2022, 12(2), 276-282; https://doi.org/10.18683/germs.2022.1329 - 30 Jun 2022
Cited by 1 | Viewed by 150
Abstract
The ongoing coronavirus disease-2019 (COVID-19) pandemic can be acknowledged as one of the most significant public health emergencies the world has encountered in the last few decades. The purpose of the current review is to understand the significance of contact tracing and explore [...] Read more.
The ongoing coronavirus disease-2019 (COVID-19) pandemic can be acknowledged as one of the most significant public health emergencies the world has encountered in the last few decades. The purpose of the current review is to understand the significance of contact tracing and explore the pros and cons of digital contact tracing in ensuring better containment of the COVID-19 outbreaks. A widespread search of published articles pertaining to the topic was done in the PubMed search engine and a total of 46 articles matching the objectives of the present review were identified. However, four articles were discarded because of the non-availability of the free full text, and thus 42 research papers were finally included. Digital contact tracing bridges the gap wherein we aim to expedite the process of contact tracing to identify the potential contacts of the confirmed cases. These applications are designed in such a way that they send a notification on the smartphone of a person, once the user is exposed to one or more confirmed cases of COVID-19. To conclude, in the battle against the COVID-19 infection, the international welfare agencies and national policy makers have been looking forward to the employment of digital technologies to support the ongoing public health measures for contact tracing. The approach of digital contact/proximity tracing should be considered as a supplement to conventional manual tracing. The need of the hour is to take specific measures to improve the inherent design of these apps, their implementation and demonstration of their effectiveness, which in turn will play a part in enhancing their acceptance and usability among the general population. Full article
Show Figures

Figure 1

14 pages, 557 KB  
Review
Anti-Virulence Therapeutic Strategies Against Bacterial Infections: Recent Advances
by Razieh Dehbanipour and Zohreh Ghalavand
Germs 2022, 12(2), 262-275; https://doi.org/10.18683/germs.2022.1328 - 30 Jun 2022
Cited by 83 | Viewed by 1115
Abstract
The emergence and increasing prevalence of multidrug-resistant pathogens has become a major global healthcare problem. According to the World Health Organization if these trends continue, mortality from infection in 2050 will be higher than that from cancer. Microorganisms have various resistance mechanisms against [...] Read more.
The emergence and increasing prevalence of multidrug-resistant pathogens has become a major global healthcare problem. According to the World Health Organization if these trends continue, mortality from infection in 2050 will be higher than that from cancer. Microorganisms have various resistance mechanisms against different classes of antibiotics that emphasize the need for discovery of new antimicrobial compounds to treat bacterial infections. An interesting and new strategy for disarming pathogens is antivirulence therapy by blocking bacterial virulence factors or pathogenicity. Therefore, the use of these new pathoblockers could reduce the administration of broad-spectrum antimicrobials and prevalence of resistant strains. This review provides an overview of the antivirulence strategies published studies between years 2017 and 2021. Most antivirulence strategies focused on adhesins, toxins and bacterial communication. Additionally, targeting two-component systems and ncRNA elements were also examined in some studies. These new strategies have the potential to replace traditional antimicrobial agents and can be used to treat infections, especially infections caused by resistant pathogens, by targeting virulence factors. Full article
Show Figures

Figure 1

9 pages, 414 KB  
Article
Incidence of Bloodstream Infections in Patients with COVID-19: A Retrospective Cohort Study of Risk Factors and Outcomes
by Claudia Villatoro Santos, Elisa Akagi Fukushima, Wei Zhao, Mamta Sharma, Dima Youssef, Susan Spzunar, Miriam Levine, Louis Saravolatz and Ashish Bhargava
Germs 2022, 12(2), 253-261; https://doi.org/10.18683/germs.2022.1327 (registering DOI) - 30 Jun 2022
Cited by 4 | Viewed by 131
Abstract
Introduction: Prior evidence found that bloodstream infections (BSIs) are common in viral respiratory infections and can lead to heightened morbidity and mortality. We described the incidence, risk factors, and outcomes of BSIs in patients with COVID-19. Methods: This was a single-center retrospective cohort [...] Read more.
Introduction: Prior evidence found that bloodstream infections (BSIs) are common in viral respiratory infections and can lead to heightened morbidity and mortality. We described the incidence, risk factors, and outcomes of BSIs in patients with COVID-19. Methods: This was a single-center retrospective cohort study of adults consecutively admitted from March to June 2020 for COVID-19 with BSIs. Data were collected by electronic medical record review. BSIs were defined as positive blood cultures (BCs) with a known pathogen in one or more BCs or the same commensal organism in two or more BCs. Results: We evaluated 290 patients with BCs done; 39 (13.4%) had a positive result. In univariable analysis, male sex, black/African American race, admission from a facility, hemiplegia, altered mental status, and a higher Charlson Comorbidity Index were positively associated with positive BCs, whereas obesity and systolic blood pressure (SBP) were negatively associated. Patients with positive BCs were more likely to have severe COVID-19, be admitted to the intensive care unit (ICU), require mechanical ventilation, have septic shock, and higher mortality. In multivariable logistic regression, factors that were independent predictors of positive BCs were male sex (OR = 2.8, p = 0.030), hypoalbuminemia (OR = 3.3, p = 0.013), ICU admission (OR = 5.3, p < 0.001), SBP < 100 mmHg (OR = 3.7, p = 0.021) and having a procedure (OR = 10.5, p = 0.019). Patients with an abnormal chest X-ray on admission were less likely to have positive BCs (OR = 0.3, p = 0.007). Conclusions: We found that male sex, abnormal chest X-ray, low SBP, and hypoalbuminemia upon hospital admission, admission to ICU, and having a procedure during hospitalization were independent predictors of BSIs in patients with COVID-19. Full article
Show Figures

Figure 1

15 pages, 530 KB  
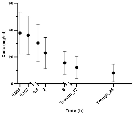
Article
A Study to Explore the Appropriateness of Dosing Regimen of Vancomycin in Critically Ill Patients in a Tertiary Care Unit of India
by Devaraj Belavagi, Ritika Kondel Bhandari, Nusrat Shafiq, Vikram Gota, Anand Patil, Avaneesh K Pandey, Chakrant Mothsara, Rajesh Gupta, Neeru Sahni, Navneet Sharma, Pallab Ray, Vivek Kumar, Sunil Kumar Sharma and Samir Malhotra
Germs 2022, 12(2), 238-252; https://doi.org/10.18683/germs.2022.1326 (registering DOI) - 30 Jun 2022
Cited by 2 | Viewed by 133
Abstract
Introduction: Vancomycin is used in proven or suspected MRSA and MRE infections. An AUC/MIC ratio of ≥400 is the current accepted critical PK/PD“efficacy” target of vancomycin activity. The present study was conducted to ascertain the appropriateness of practice of current dosage regimen of [...] Read more.
Introduction: Vancomycin is used in proven or suspected MRSA and MRE infections. An AUC/MIC ratio of ≥400 is the current accepted critical PK/PD“efficacy” target of vancomycin activity. The present study was conducted to ascertain the appropriateness of practice of current dosage regimen of vancomycin (1 g BD) based on population pharmacokinetic approach. Methods: A single-center prospective study with the ICU setting of a tertiary care center was conducted. A total of 15 adult patients with sepsis treated with vancomycin were included over 15 months from May 2019 to July 2020. Blood samples were obtained at 5, 10, and 30 minutes and thereafter at 2 and 6 hours following the completion of the vancomycin infusion. The data obtained from HPLC estimation was analyzed using a population pharmacokinetic approach with NLME, Phoenix 8.3.2.166. The pharmacokinetic model was based on covariates such as bodyweight and urinary creatinine clearance to predict drug concentrations. Results: A total of 83 vancomycin blood samples were analyzed. The mean AUC0-last and AUC0-∞ in patients who improved and died were (AUC(0-last) = 293 (152.97); AUC(0-∞) = 535.14 (353.67) and (AUC(0-last) = 137.19 (51.37); AUC(0-∞) = 582.12 (1036.09) respectively, the difference between the two outcome groups was not statistically significant (p = 0.104). The pharmacokinetic model was best described by a two-compartment linear model. The goodness-of-fit plots showed that the final covariate pharmacokinetic model (having bodyweight and urinary creatinine clearance) adequately described the observed vancomycin concentrations. Conclusions: Based on the finding of the study it was concluded that 1 g BD dosing of vancomycin is inappropriate. Including covariates such as urinary creatinine clearance and weight in the pharmacokinetic model helped predict drug concentrations more accurately. However, further studies are required to demonstrate efficacy regarding applying this strategy. Full article
Show Figures

Figure 1

7 pages, 595 KB  
Article
Clinical Factors Predictive of Gram-Negative Bloodstream Infection at the Emergency Department
by Pariwat Phungoen, Korakot Apiratwarakul, Nunchalit Lerdprawat, Kamonwon Ienghong, Sumana Sumritrin, Watchara Boonsawat and Kittisak Sawanyawisuth
Germs 2022, 12(2), 231-237; https://doi.org/10.18683/germs.2022.1325 - 30 Jun 2022
Cited by 4 | Viewed by 138
Abstract
Introduction: Bloodstream infection is a common condition at the Emergency Department (ED). Appropriate antibiotic therapy is also crucial for patients with bloodstream infection particularly at the ED. This study therefore aimed to find clinical factors predictive of types of bacterial pathogens in bloodstream [...] Read more.
Introduction: Bloodstream infection is a common condition at the Emergency Department (ED). Appropriate antibiotic therapy is also crucial for patients with bloodstream infection particularly at the ED. This study therefore aimed to find clinical factors predictive of types of bacterial pathogens in bloodstream infection patients presenting at the ED focused on Gram-negative bacterial infections. Methods: This was a retrospective study. The inclusion criteria were adult patients who were suspected for bloodstream infection defined by blood culture collection presenting at the ED and intravenous antibiotics were initiated during the ED visits. The study period was between 1 January 2016 and 31 December 2018. Clinical data of the eligible patients were retrieved from the ED database. Factors associated with Gram-negative infection were calculated by logistic regression analysis. Results: There were 727 patients at the ED who had positive blood culture for bacteria. Of those, 504 patients (69.33%) had positive blood culture for Gram-negative bacteria. There were three independent factors for Gram-negative infection including sex, solid organ malignancy, and body temperature. The highest adjusted odds ratio (95% confidence interval) was 2.004 (1.330, 3.020) for solid organ malignancy. Conclusions: Gram-negative bacterial infection was more prominent than Gram-positive bacterial infection in patients presenting at the ED (69.33%). Solid organ malignancy, being female, and a high body temperature were independent factors of Gram-negative bacterial infection. Full article
Show Figures

Figure 1

17 pages, 1018 KB  
Article
A Comparative Study of the Clonal Diversity and Virulence Characteristics of Uropathogenic Escherichia Coli Isolated from Australian and Turkish (Turkey) Children and Adults with Urinary Tract Infections
by Dylan John Astley, Labolina Spang, Fatemeh Parnian, Tara Vollmerhausen, Huseyin Kilic, Mehmet Hora, Aycan Gundogdu and Mohammad Katouli
Germs 2022, 12(2), 214-230; https://doi.org/10.18683/germs.2022.1324 - 30 Jun 2022
Cited by 3 | Viewed by 124
Abstract
Introduction: The virulence-associated gene (VAG) repertoire and clonal organization of uropathogenic Escherichia coli (UPEC) strains is influenced by host demographic, geographic locale, and the setting of urinary tract infection (UTI). Nevertheless, a direct comparison of these features among Australian and Turkish UPEC remains [...] Read more.
Introduction: The virulence-associated gene (VAG) repertoire and clonal organization of uropathogenic Escherichia coli (UPEC) strains is influenced by host demographic, geographic locale, and the setting of urinary tract infection (UTI). Nevertheless, a direct comparison of these features among Australian and Turkish UPEC remains unexplored. Accordingly, this study investigated the clonal composition and virulence characteristics of a collection of UPEC isolated from Australian and Turkish UTI patients. Methods: A total of 715 UPEC strains isolated from Australian (n = 361) and Turkish (n = 354) children and adults with hospital (HA)- and community-acquired (CA)-UTIs were included in this study. Typing of the strains using RAPD-PCR and PhPlate fingerprinting grouped all strains into 25 clonal groups (CGs). CG representatives were phylogrouped and screened for the presence of 18 VAGs associated with extraintestinal pathogenic E. coli. Results: Turkish UPEC strains were characterized by high clonal diversity and predominance of the phylogroup D, while few distinct clonal groups with phylogenetic group B2 backgrounds dominated among the Australian strains. Twelve identical CGs were shared between ≥1 patient group from either country. Australian strains, particularly those isolated from children with HA-UTI, showed higher virulence potential than their Turkish counterparts, carrying significantly more genes associated with adhesion, iron acquisition and capsule biosynthesis. Conclusions: This study identified identical CGs of UPEC causing HA- and CA-UTIs among Australian and Turkish UTI patients. These CGs frequently carried VAGs associated with adhesion, iron acquisition, immune evasion, and toxin production, which may contribute to their ability to disseminate internationally and to cause UTI. Full article
Show Figures

Figure 1

12 pages, 514 KB  
Article
Integrated Antibiotic Clinical Decision Support System (Cdss) for Appropriate Choice and Dosage: An Analysis of Retrospective Data
by Marius Schaut, Marion Schaefer, Ulrike Trost and André Sander
Germs 2022, 12(2), 203-213; https://doi.org/10.18683/germs.2022.1323 - 30 Jun 2022
Cited by 9 | Viewed by 332
Abstract
Introduction: Decision-making for inpatient antibiotic prescribing is complex due to many considerations to be taken. So far, clinical decision support systems (CDSS) have been rarely used in antibiotic stewardship (ABS) and even less integrated in computerized physician order entry systems (CPOE). Methods: We [...] Read more.
Introduction: Decision-making for inpatient antibiotic prescribing is complex due to many considerations to be taken. So far, clinical decision support systems (CDSS) have been rarely used in antibiotic stewardship (ABS) and even less integrated in computerized physician order entry systems (CPOE). Methods: We developed a guideline-based, CPOE-integrated CDSS (ID ANTIBIOTICS) to support antibiotic selection and dosing. We compared routine antibiotic inpatient prescribing data with CDSS-generated recommendations in the initial antibiotic selection, the duration of therapies, and costs. Finally, we assessed possible benefits of the CDSS by its performance in German ABS-guideline quality indicators (ABS-QIs). Results: The requirements of several ABS-QIs can be supported with ID ANTIBIOTICS: electronic local guidelines, electronic decision-support, renal dosage adjustments, local guideline-based initial selection (all not quantified), and therapy durations for the treatment of pneumonia (significantly) without increasing costs. Performance in ABS-QIs for extensive therapies for community-acquired pneumonia could be improved with the CDSS by 20.2% (OR 0.134; 95% CI: 0.101–0.178); for hospital-acquired pneumonia by 3.7% (OR 0.742; 95% CI: 0.629–0.877). There was no difference in median daily drug costs between real-world prescriptions and CDSS recommendations (both: € 4.78, p = 0.081). Conclusions: In retrospective analyses, antibiotic CDSS can show possible performance in antibiotic stewardship through quality indicators (ABS-QIs). Further research and pilot testing of the software are needed to provide more insights into ABS-QI evaluation, user acceptance, and real-world effectiveness. Deep integration of antibiotic CDSS into existing medication processes without using multiple systems could contribute to the necessary acceptance of clinical practitioners. Full article
Show Figures

Figure 1

8 pages, 360 KB  
Article
Incidence Rates of Dysentery Among Humans in Lemghaier Province, Algeria
by Bachir Khezzani, Magdalena Baymakova, El Amine Khechekhouche, Khadidja Ghezal, Zineb Meziou and Aida Bousbia Brahim
Germs 2022, 12(2), 195-202; https://doi.org/10.18683/germs.2022.1322 - 30 Jun 2022
Cited by 6 | Viewed by 222
Abstract
Introduction: Dysentery is an infectious clinical syndrome which can cause high morbidity and mortality, especially in developing countries. This research highlights the epidemiological features of dysentery in Lemghaier province, Algeria. Methods: A retrospective study of the incidence rates of dysentery in Lemghaier province, [...] Read more.
Introduction: Dysentery is an infectious clinical syndrome which can cause high morbidity and mortality, especially in developing countries. This research highlights the epidemiological features of dysentery in Lemghaier province, Algeria. Methods: A retrospective study of the incidence rates of dysentery in Lemghaier province, Algeria and overall for the whole country for the period from January 2001 to December 2018 was carried out. On a local level data were provided by the Directorate of Health and Population of El-Oued province, Algeria. At the national level data were provided by the National Public Health Institute, Algeria. Results: An overall number of 1786 cases of dysentery were notified, with an incidence rate of 58.5 cases per 100,000 population (mean ± SD: 58.54 ± 47.20; 95% CI: 36.73–80.35). The high incidence rate was reported in autumn and summer, respectively, with 23.4 and 20.1 cases per 100,000 population. The high incidence rate observed in the persons aged 20–44 years with 76.4 cases per 100,000 population. Females were more likely to have dysentery than males, respectively, with 63.6 against 53.7 cases per 100,000 population. The highest incidence rate was reported in Lemghaier municipality (capital of the province) with 176.9 cases per 100,000 population. Conclusions: The results from this research showed high incidence rates of dysentery in Lemghaier province, Algeria. Тhis fact is a serious reason for national public health organizations to take adequate and timely measures to reduce the incidence rates of dysentery in this part of the country. Full article
Show Figures

Figure 1

15 pages, 433 KB  
Article
Medical Students’ Attitudes and Perceptions of Influenza and SARS-CoV-2 Vaccination in Cyprus
by Eleana Strouthou, Spyridon A Karageorgos, Eirini Christaki, Aris P. Agouridis and Constantinos Tsioutis
Germs 2022, 12(2), 180-194; https://doi.org/10.18683/germs.2022.1321 - 30 Jun 2022
Cited by 12 | Viewed by 117
Abstract
Introduction: Infectious diseases constitute a significant problem globally and healthcare professionals (HCP) show suboptimal vaccination rates. We aimed to evaluate the determinants affecting vaccination against influenza and SARS-CoV-2 among medical students in Cyprus. Methods: We conducted a cross-sectional study based on a self-reported, [...] Read more.
Introduction: Infectious diseases constitute a significant problem globally and healthcare professionals (HCP) show suboptimal vaccination rates. We aimed to evaluate the determinants affecting vaccination against influenza and SARS-CoV-2 among medical students in Cyprus. Methods: We conducted a cross-sectional study based on a self-reported, anonymous questionnaire that was sent to all medical students of two Medical Schools in the Republic of Cyprus. Results: Among 266 respondents, 50.8% had been vaccinated against influenza in the past and 20.1% in 2020-21. The majority believed that influenza and SARS-CoV-2 vaccines are safe and effective. Regarding vaccination in Cyprus, 41.3% did not know the current recommendations and a higher proportion of preclinical students replied incorrectly, compared to clinical students. Slightly over half (56.4%) considered themselves adequately informed about influenza vaccination, with more clinical students appearing confident (p = 0.068). An overwhelming 71.2% were concerned about contracting SARS-CoV-2, compared to 25.4% with regards to influenza. Up to 76.8% considered themselves adequately informed about SARS-CoV-2 vaccination, with significantly more clinical students being confident (p < 0.001). Although more preclinical students appeared hesitant, most students had either been vaccinated against SARS-CoV-2 (49.4%) or would be as soon as possible (32.1%). Vaccination refusal was 2.3%, a group comprised entirely of preclinical students. Conclusions: Our study provides relevant and actionable information about differences in attitudes and perceptions between clinical and preclinical medical students regarding vaccination against influenza and SARS-CoV-2 and highlights the importance of organized, systemic efforts to increase vaccination coverage. Full article
11 pages, 526 KB  
Article
In-Hospital Admissions and Deaths in the Context of the COVID-19 Pandemic, in Romania
by Cristian Vladescu, Marius Ciutan and Alexandru Rafila
Germs 2022, 12(2), 169-179; https://doi.org/10.18683/germs.2022.1320 - 30 Jun 2022
Cited by 7 | Viewed by 147
Abstract
Introduction: The COVID-19 pandemic context led to a relevant burden on essential sectors of society; hospital sector capacity is tested in this period. Methods: A cross-sectional study of admissions in hospitals reporting DRG data for 2018–2020. Trend analysis of admissions and deaths in [...] Read more.
Introduction: The COVID-19 pandemic context led to a relevant burden on essential sectors of society; hospital sector capacity is tested in this period. Methods: A cross-sectional study of admissions in hospitals reporting DRG data for 2018–2020. Trend analysis of admissions and deaths in hospitals was carried out for identifying annual patterns and deviations from the 2010-2020 trend. Data aggregated by year, month, diagnosis, death in hospital. Graph analysis for time and diagnosis comparisons and correlation identifying associations. Results: There is an annual change in admission and death patterns recorded in Romanian hospitals. An important contraction in number of acute hospital admissions was recording during the COVID-19 pandemic; patients’ hesitancy to seek healthcare and limited capacity to treat patients other than COVID-19 patients due to legal regulations limiting the admissions number could explain this pattern of admission only for serious condition or emergency surgery. In Romania excess deaths in second half 2020 was generally greater than COVID-19 deaths. Overall, excess mortality between March and December 2020 was more than double than reported COVID-19 deaths. The same mortality pattern persists, but with significant decreases for some diagnoses. Conclusions: The Romanian healthcare system has been challenged due to COVID-19 pandemic, leading to temporary reorganization of hospitals with consequences on all acute care diagnostics and therapeutic pathways. It is a challenge to identify causes of reduced inpatient treatment rates and to provide evidence on hospital activity for understanding future optimal management of patients with COVID-19, but also with other acute and chronic conditions. Full article
Show Figures

Figure 1

11 pages, 503 KB  
Article
Clinical Characteristics and Quality of Life of Persistent Symptoms of COVID-19 Syndrome in Indonesia
by Agus Dwi Susanto, Fathiyah Isbaniah, Irandi Putra Pratomo, Budhi Antariksa, Erlang Samoedro, Muhammad Taufik, Fadlika Harinda and Fariz Nurwidya
Germs 2022, 12(2), 158-168; https://doi.org/10.18683/germs.2022.1319 - 30 Jun 2022
Cited by 6 | Viewed by 174
Abstract
Introduction: Coronavirus disease-2019 (COVID-19), caused by the severe acute respiratory syndrome coronavirus-2 (SARS-CoV-2) manifests in a broad clinical spectrum. COVID-19 survivors report various symptoms up to several months after being infected. The purpose of this study was to determine the prevalence of persistent [...] Read more.
Introduction: Coronavirus disease-2019 (COVID-19), caused by the severe acute respiratory syndrome coronavirus-2 (SARS-CoV-2) manifests in a broad clinical spectrum. COVID-19 survivors report various symptoms up to several months after being infected. The purpose of this study was to determine the prevalence of persistent COVID-19 syndrome in Indonesia, the factors that influence the incidence, and the quality of life. Methods: This was a cross-sectional study with an online questionnaire conducted in January 2021. Inclusion criteria were: adult Indonesian citizens who had recovered from COVID-19, and were confirmed negative by RT-PCR of nasal swabs or had undergone an isolation period for a minimum of 14 days. Data analysis was performed by the Chi-square test, followed by multivariate analysis with the backward likelihood ratio method. Results: From a total of 385 respondents, 256 (66.5%) experienced persistent COVID-19 syndrome. The most prevalent symptoms were fatigue (29.4%), cough (15.5%), and muscle pain (11.2%). Of the five aspects of quality of life, the most commonly reported aspects were pain/discomfort and anxiety/depression. The risk of persistent COVID-19 syndrome was significantly higher in subjects with older age, comorbidities, higher clinical severity, previous treatment in hospital, presence of pneumonia, and those who had required oxygen therapy. In the multivariate analysis, the most influential factor for the incidence of persistent COVID-19 syndrome was pneumonia (aOR 2.31, 95% CI 1.29–4.11, p < 0.002). Conclusions: The prevalence of the persistent COVID-19 syndrome in Indonesia was high, which affects the quality of life of COVID-19 survivors. Pneumonia was the main factor that influenced the incidence of persistent COVID-19 syndrome. Further research with a larger sample size and a longer study time is recommended to control COVID-19 and its impact on the health and quality of life of COVID-19 survivors. Full article
Show Figures

Figure 1

3 pages, 140 KB  
Editorial
Isolated Anti-HBc: Reflections From Clinical Microbiology and Infectious Diseases
by Hanna Rydén, Laura Ambra Nicolini, Monique I. Andersson, Zeinab Nabil Ahmed Said, Malik Sallam, Gülşen Özkaya Şahin and ESCMID Study Group for Viral Hepatitis (ESGVH)
Germs 2022, 12(2), 155-157; https://doi.org/10.18683/germs.2022.1318 - 30 Jun 2022
Viewed by 175
Abstract
Anti-hepatitis B core antibodies (anti-HBc) represent important serological markers to identify patients who have been exposed to hepatitis B virus (HBV) [...] Full article
Previous Issue
Next Issue
Back to TopTop