Curcumin Prevents Cyclophosphamide-Induced Lung Injury in Rats by Suppressing Oxidative Stress and Apoptosis
Abstract
1. Introduction
2. Materials and Methods
2.1. Animals
2.2. Experimental Design
- Group I (Control): Rats received saline containing 0.5% carboxymethylcellulose (CMC) orally for 7 days and a single intraperitoneal (i.p.) injection of saline at day 7.
- Group II (CUR): Rats received CUR (300 mg/kg/day, Sigma, St. Louis, MO, USA) [29] suspended in physiological saline containing 0.5% CMC orally for 7 days and a single i.p. injection of saline at day 7.
- Group III (CP): Rats received saline containing 0.5% CMC orally for 7 days and a single-dose of CP (200 mg/kg, Sigma, St. Louis, MO, USA) on the seventh day [30].
2.3. Histopathological Assessment
2.4. Ultrastructural Assessment
2.5. Immunohistochemical Assessment of Caspase-3
2.6. Assessment of MDA, PCO, SOD, and GPx
2.7. Statistical Analysis
3. Results
3.1. CUR Prevents CP-Induced Lung Injury in Rats
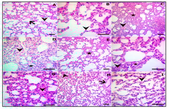
3.1.1. Histopathological Findings
3.1.2. Ultrastructure Findings
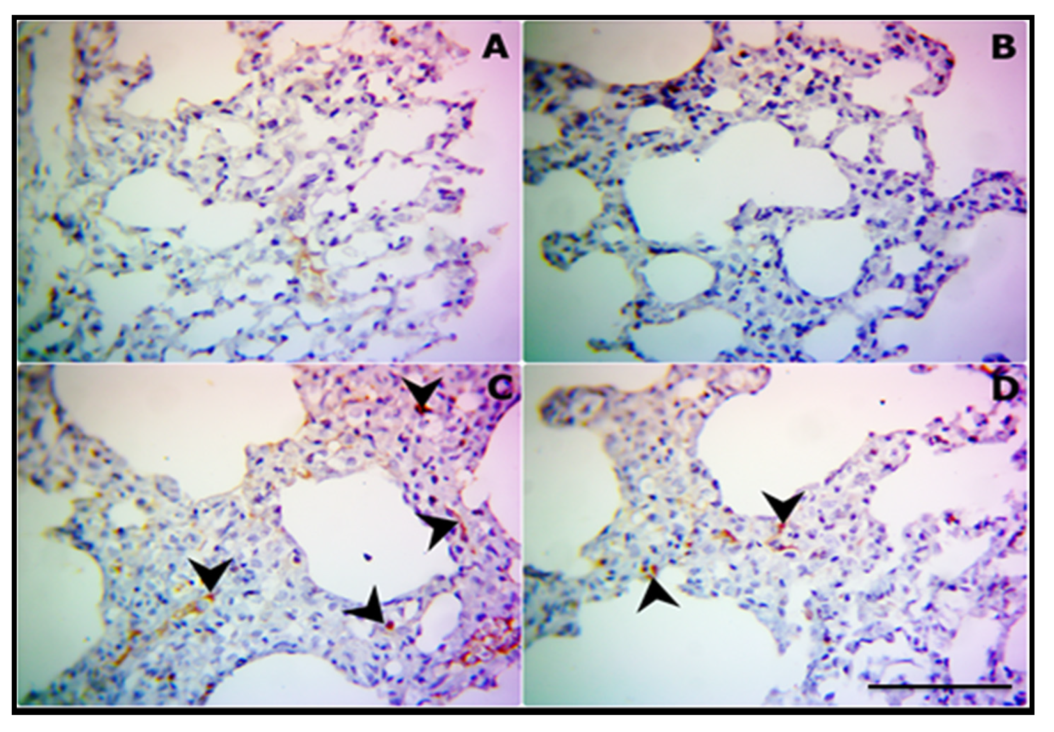
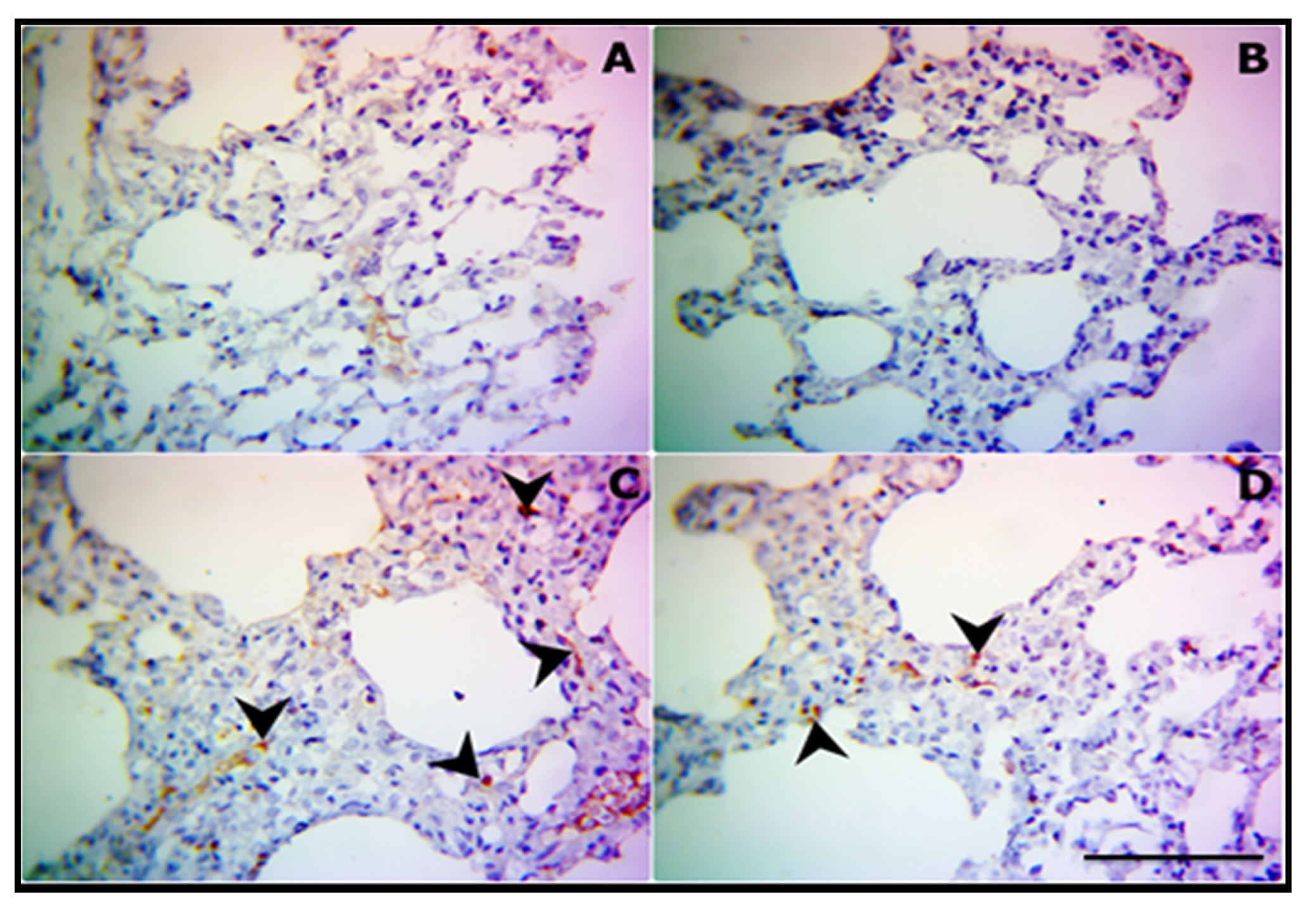
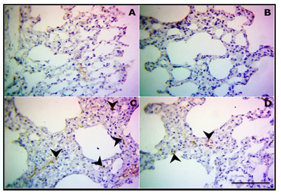
3.2. CUR Attenuates Apoptosis in Lung of CP-Induced Rats
3.3. CUR Suppresses Oxidative Stress in Lung of CP-Induced Rats
4. Discussion
5. Conclusions
Author Contributions
Funding
Acknowledgments
Conflicts of Interest
References
- Moignet, A.; Hasanali, Z.; Zambello, R.; Pavan, L.; Bareau, B.; Tournilhac, O.; Roussel, M.; Fest, T.; Awwad, A.; Baab, K. Cyclophosphamide as a first-line therapy in lgl leukemia. Leukemia 2014, 28, 1134–1136. [Google Scholar] [CrossRef] [PubMed]
- Qian, P.; Peng, C.H.; Ye, X. Interstitial pneumonia induced by cyclophosphamide: A case report and review of the literature. Respir. Med. Case Rep. 2019, 26, 212–214. [Google Scholar] [CrossRef] [PubMed]
- Venkatesan, N.; Chandrakasan, G. Modulation of cyclophosphamide-induced early lung injury by curcumin, an anti-inflammatory antioxidant. Mol. Cell. Biochem. 1995, 142, 79–87. [Google Scholar] [CrossRef] [PubMed]
- Sulkowska, M.; Sulkowski, S.; Skrzydlewska, E.B.; Farbiszewski, R. Cyclophosphamide-induced generation of reactive oxygen species. Comparison with morphological changes in type ii alveolar epithelial cells and lung capillaries. Exp. Toxicol. Pathol. 1998, 50, 209–220. [Google Scholar] [CrossRef]
- Stankiewicz, A.; Skrzydlewska, E.B.; Sulkowska, M.; Sulkowski, S.A. Effect of amifostine on lung oxidative stress after cyclophosphamide therapy. Bull. Vet. Inst. Pulawy 2002, 46, 87–94. [Google Scholar]
- Mahmoud, A.M.; Al Dera, H.S. 18β-glycyrrhetinic acid exerts protective effects against cyclophosphamide-induced hepatotoxicity: Potential role of pparγ and nrf2 upregulation. Genes Nutr. 2015, 10, 1–13. [Google Scholar] [CrossRef]
- Germoush, M.O.; Mahmoud, A.M. Berberine mitigates cyclophosphamide-induced hepatotoxicity by modulating antioxidant status and inflammatory cytokines. J. Cancer Res. Clin. Oncol. 2014, 140, 1103–1109. [Google Scholar] [CrossRef]
- Ghosh, P.; Bhattacharjee, A.; Basu, A.; Singha Roy, S.; Bhattacharya, S. Attenuation of cyclophosphamide-induced pulmonary toxicity in Swiss albino mice by naphthalimide-based organoselenium compound 2-(5-selenocyanatopentyl)-benzo[de]isoquinoline 1,3-dione. Pharm. Biol. 2015, 53, 524–532. [Google Scholar] [CrossRef]
- Said, E.; Elkashef, W.F.; Abdelaziz, R.R. Tranilast ameliorates cyclophosphamide-induced lung injury and nephrotoxicity. Can. J. Physiol. Pharmacol. 2015, 94, 347–358. [Google Scholar] [CrossRef]
- Agarwal, A.; Gupta, S.; Sharma, R.K. Role of oxidative stress in female reproduction. Reprod. Biol. Endocrinol. 2005, 3, 28. [Google Scholar] [CrossRef]
- Wadley, A.J.; Turner, J.E.; Aldred, S. Factors influencing post-exercise plasma protein carbonyl concentration. Free Radic. Res. 2016, 50, 375–384. [Google Scholar] [CrossRef] [PubMed]
- Cai, Z.; Yan, L.-J. Protein oxidative modifications: Beneficial roles in disease and health. J. Biochem. Pharmacol. Res. 2013, 1, 15. [Google Scholar] [PubMed]
- Dalle-Donne, I.; Aldini, G.; Carini, M.; Colombo, R.; Rossi, R.; Milzani, A. Protein carbonylation, cellular dysfunction, and disease progression. J. Cell. Mol. Med. 2006, 10, 389–406. [Google Scholar] [CrossRef] [PubMed]
- Patel, J. Metabolism and pulmonary toxicity of cyclophosphamide. Pharmacol. Ther. 1990, 47, 137–146. [Google Scholar] [CrossRef]
- Kachel, D.; Martin, W. Cyclophosphamide-induced lung toxicity: Mechanism of endothelial cell injury. J. Pharmacol. Exp. Ther. 1994, 268, 42–46. [Google Scholar] [PubMed]
- Patel, J.; Block, E.; Hood, C. Biochemical indices of cyclophosphamide-induced lung toxicity. Toxicol. Appl. Pharmacol. 1984, 76, 128–138. [Google Scholar] [CrossRef]
- Patel, J.M.; Block, E.R. Cyclophosphamide-induced depression of the antioxidant defense mechanisms of the lung. Exp. Lung Res. 1985, 8, 153–165. [Google Scholar] [CrossRef]
- Mahmud, M.M.; Zaman, S.; Perveen, A.; Jahan, R.A.; Islam, M.F.; Arafat, M.T. Controlled release of curcumin from electrospun fiber mats with antibacterial activity. J. Drug Deliv. Sci. Technol. 2020, 55, 101386. [Google Scholar] [CrossRef]
- Wang, X.; An, X.; Wang, X.; Bao, C.; Li, J.; Yang, D.; Bai, C. Curcumin ameliorated ventilator-induced lung injury in rats. Biomed. Pharmacother. 2018, 98, 754–761. [Google Scholar] [CrossRef]
- Yonar, M.E.; Yonar, S.M.; İspir, Ü.; Ural, M.Ş. Effects of curcumin on haematological values, immunity, antioxidant status and resistance of rainbow trout (oncorhynchus mykiss) against aeromonas salmonicida subsp. Achromogenes. Fish Shellfish. Immunol. 2019, 89, 83–90. [Google Scholar] [CrossRef]
- Alhusaini, A.; Fadda, L.; Hasan, I.H.; Zakaria, E.; Alenazi, A.M.; Mahmoud, A.M. Curcumin ameliorates lead-induced hepatotoxicity by suppressing oxidative stress and inflammation, and modulating akt/gsk-3beta signaling pathway. Biomolecules 2019, 9, 703. [Google Scholar] [CrossRef] [PubMed]
- Mahmoud, A.M.; Ahmed, O.M.; Galaly, S.R. Thymoquinone and curcumin attenuate gentamicin-induced renal oxidative stress, inflammation and apoptosis in rats. EXCLI J. 2014, 13, 98–110. [Google Scholar] [PubMed]
- Galaly, S.R.; Ahmed, O.M.; Mahmoud, A.M. Thymoquinone and curcumin prevent gentamicin-induced liver injury by attenuating oxidative stress, inflammation and apoptosis. J. Physiol. Pharmacol. 2014, 65, 823–832. [Google Scholar]
- Al-Dossari, M.H.; Fadda, L.M.; Attia, H.A.; Hasan, I.H.; Mahmoud, A.M. Curcumin and selenium prevent lipopolysaccharide/diclofenac-induced liver injury by suppressing inflammation and oxidative stress. Biol. Trace Elem. Res. 2019, 25, 1–11. [Google Scholar] [CrossRef] [PubMed]
- Abdel-Daim, M.M.; Abdou, R.H. Protective effects of diallyl sulfide and curcumin separately against thallium-induced toxicity in rats. Cell J. 2015, 17, 379–388. [Google Scholar] [PubMed]
- Guo, Y.; Shu, L.; Zhang, C.; Su, Z.-Y.; Kong, A.-N.T. Curcumin inhibits anchorage-independent growth of ht29 human colon cancer cells by targeting epigenetic restoration of the tumor suppressor gene dlec1. Biochem. Pharmacol. 2015, 94, 69–78. [Google Scholar] [CrossRef]
- Avasarala, S.; Zhang, F.; Liu, G.; Wang, R.; London, S.D.; London, L. Curcumin modulates the inflammatory response and inhibits subsequent fibrosis in a mouse model of viral-induced acute respiratory distress syndrome. PLoS ONE 2013, 8, e57285. [Google Scholar] [CrossRef]
- Bansal, S.; Chhibber, S. Curcumin alone and in combination with augmentin protects against pulmonary inflammation and acute lung injury generated during klebsiella pneumoniae b5055-induced lung infection in balb/c mice. J. Med. Microbiol. 2010, 59, 429–437. [Google Scholar] [CrossRef]
- Thiyagarajan, M.; Sharma, S.S. Neuroprotective effect of curcumin in middle cerebral artery occlusion induced focal cerebral ischemia in rats. Life Sci. 2004, 74, 969–985. [Google Scholar] [CrossRef]
- Olama, N.K.; Taha, M.; Rady, H.Y. The potential protective role of coenzyme q10 on the cyclophosphamide-induced lung toxicity in adult male albino rats: A histological and ultrastructural study. Int. J. 2018, 4, 225. [Google Scholar] [CrossRef]
- Suvarna, K.S.; Layton, C.; Bancroft, J.D. Bancroft’s Theory and Practice of Histological Techniques E-Book; Elsevier Health Sciences: Oxford, UK, 2018. [Google Scholar]
- Klopfleisch, R. Multiparametric and semiquantitative scoring systems for the evaluation of mouse model histopathology-a systematic review. BMC Vet. Res. 2013, 9, 123. [Google Scholar] [CrossRef] [PubMed]
- Gibson-Corley, K.N.; Olivier, A.K.; Meyerholz, D.K. Principles for valid histopathologic scoring in research. Vet. Pathol. 2013, 50, 1007–1015. [Google Scholar] [CrossRef] [PubMed]
- Hayat, M.E. Fixation for Electron Microscopy; Elsevier: Amsterdam, The Netherlands, 2012. [Google Scholar]
- Hsu, S.; Raine, L.; Fanger, H. Use of biotin-avidin-peroxidase conplex (abc) in immunoperoxidase techniques: A comparison between abc and unlabeled antibody techniques. Am. J. Clin. Pathol. 1981, 75, 816–821. [Google Scholar] [CrossRef] [PubMed]
- Rizzardi, A.E.; Johnson, A.T.; Vogel, R.I.; Pambuccian, S.E.; Henriksen, J.; Skubitz, A.P.; Metzger, G.J.; Schmechel, S.C. Quantitative comparison of immunohistochemical staining measured by digital image analysis versus pathologist visual scoring. Diagn. Pathol. 2012, 7, 42. [Google Scholar] [CrossRef] [PubMed]
- Ohkawa, H.; Ohishi, N.; Yagi, K. Assay for lipid peroxides in animal tissues by thiobarbituric acid reaction. Anal. Biochem. 1979, 95, 351–358. [Google Scholar] [CrossRef]
- Marklund, S.; Marklund, G. Involvement of the superoxide anion radical in the autoxidation of pyrogallol and a convenient assay for superoxide dismutase. Eur. J. Biochem. 1974, 47, 469–474. [Google Scholar] [CrossRef]
- Matkovics, B.; Szabo, L.; Varga, I.S. Determination of enzyme activities in lipid peroxidation and glutathione pathways (in hungarian). Lab. Diagn. 1998, 15, 248–249. [Google Scholar]
- Levine, R.L.; Garland, D.; Oliver, C.N.; Amici, A.; Climent, I.; Lenz, A.-G.; Ahn, B.-W.; Shaltiel, S.; Stadtman, E.R. [49] determination of carbonyl content in oxidatively modified proteins. In Methods in Enzymology; Elsevier: Amsterdam, The Netherlands, 1990; Volume 186, pp. 464–478. [Google Scholar]
- Bradford, M.M. A rapid and sensitive method for the quantitation of microgram quantities of protein utilizing the principle of protein-dye binding. Anal. Biochem. 1976, 72, 248–254. [Google Scholar] [CrossRef]
- Noorafshan, A.; Ashkani-Esfahani, S. A review of therapeutic effects of curcumin. Curr. Pharm. Des. 2013, 19, 2032–2046. [Google Scholar]
- Alqahtani, S.; Mahmoud, A.M. Gamma-glutamylcysteine ethyl ester protects against cyclophosphamide-induced liver injury and hematologic alterations via upregulation of ppargamma and attenuation of oxidative stress, inflammation, and apoptosis. Oxid. Med. Cell. Longev. 2016, 2016. [Google Scholar] [CrossRef]
- Mahmoud, A.M.; Germoush, M.O.; Alotaibi, M.F.; Hussein, O.E. Possible involvement of nrf2 and ppargamma up-regulation in the protective effect of umbelliferone against cyclophosphamide-induced hepatotoxicity. Biomed. Pharmcother. 2017, 86, 297–306. [Google Scholar] [CrossRef] [PubMed]
- Ashry, N.A.; Gameil, N.M.; Suddek, G.M. Modulation of cyclophosphamide-induced early lung injury by allicin. Pharm. Biol. 2013, 51, 806–811. [Google Scholar] [CrossRef] [PubMed]
- Şengül, E.; Gelen, V.; Gedikli, S.; Özkanlar, S.; Gür, C.; Çelebi, F.; Çınar, A. The protective effect of quercetin on cyclophosphamide-induced lung toxicity in rats. Biomed. Pharmcother. 2017, 92, 303–307. [Google Scholar] [CrossRef] [PubMed]
- Selman, M.; King, T.E.; Pardo, A. Idiopathic pulmonary fibrosis: Prevailing and evolving hypotheses about its pathogenesis and implications for therapy. Ann. Intern. Med. 2001, 134, 136–151. [Google Scholar] [CrossRef] [PubMed]
- Verderio, P.; Bonetti, P.; Colombo, M.; Pandolfi, L.; Prosperi, D. Intracellular drug release from curcumin-loaded plga nanoparticles induces g2/m block in breast cancer cells. Biomacromolecules 2013, 14, 672–682. [Google Scholar] [CrossRef] [PubMed]
- Kulac, M.; Aktas, C.; Tulubas, F.; Uygur, R.; Kanter, M.; Erboga, M.; Ceber, M.; Topcu, B.; Ozen, O.A. The effects of topical treatment with curcumin on burn wound healing in rats. J. Mol. Histol. 2013, 44, 83–90. [Google Scholar] [CrossRef]
- Mahmoud, A.M.; Hussein, O.E.; Ramadan, S.A. Amelioration of cyclophosphamide-induced hepatotoxicity by the brown seaweed turbenaria ornata. Int. J. Clin. Toxicol. 2013, 1, 9–17. [Google Scholar] [CrossRef]
- Aladaileh, S.H.; Abukhalil, M.H.; Saghir, S.A.M.; Hanieh, H.; Alfwuaires, M.A.; Almaiman, A.A.; Bin-Jumah, M.; Mahmoud, A.M. Galangin activates nrf2 signaling and attenuates oxidative damage, inflammation, and apoptosis in a rat model of cyclophosphamide-induced hepatotoxicity. Biomolecules 2019, 9, 346. [Google Scholar] [CrossRef]
- Mahmoud, A.M. Hesperidin protects against cyclophosphamide-induced hepatotoxicity by upregulation of pparγ and abrogation of oxidative stress and inflammation. Can. J. Physiol. Pharmacol. 2014, 92, 717–724. [Google Scholar] [CrossRef]
- ALHaithloul, H.A.S.; Alotaibi, M.F.; Bin-Jumah, M.; Elgebaly, H.; Mahmoud, A.M. Olea europaea leaf extract up-regulates nrf2/are/ho-1 signaling and attenuates cyclophosphamide-induced oxidative stress, inflammation and apoptosis in rat kidney. Biomed. Pharmcother. 2019, 111, 676–685. [Google Scholar] [CrossRef]
- Kamel, E.M.; Mahmoud, A.M.; Ahmed, S.A.; Lamsabhi, A.M. A phytochemical and computational study on flavonoids isolated from trifolium resupinatum l. And their novel hepatoprotective activity. Food Funct. 2016, 7, 2094–2106. [Google Scholar] [CrossRef] [PubMed]
- Preiser, J.C. Oxidative stress. J. Parenter. Enter. Nutr. 2012, 36, 147–154. [Google Scholar] [CrossRef] [PubMed]
- Amirkhizi, F.; Siassi, F.; Minaie, S.; Djalali, M.; Rahimi, A.; Chamari, M. Is obesity associated with increased plasma lipid peroxidation and oxidative stress in women? Arya Atheroscler. 2010, 2, 189–192. [Google Scholar]
- Borra, S.K.; Mahendra, J.; Gurumurthy, P.; Jayamathi; Iqbal, S.S.; Mahendra, L. Effect of curcumin against oxidation of biomolecules by hydroxyl radicals. J. Clin. Diagn. Res. 2014, 8, 1–5. [Google Scholar]
- Edwards, R.L.; Luis, P.B.; Varuzza, P.V.; Joseph, A.I.; Presley, S.H.; Chaturvedi, R.; Schneider, C. The anti-inflammatory activity of curcumin is mediated by its oxidative metabolites. J. Biol. Chem. 2017, 292, 21243–21252. [Google Scholar] [CrossRef]
- Anand, P.; Kunnumakkara, A.B.; Newman, R.A.; Aggarwal, B.B. Bioavailability of curcumin: Problems and promises. Mol. Pharm. 2007, 4, 807–818. [Google Scholar] [CrossRef]
- Sasaki, H.; Sunagawa, Y.; Takahashi, K.; Imaizumi, A.; Fukuda, H.; Hashimoto, T.; Wada, H.; Katanasaka, Y.; Kakeya, H.; Fujita, M.; et al. Innovative preparation of curcumin for improved oral bioavailability. Biol. Pharm. Bull. 2011, 34, 660–665. [Google Scholar] [CrossRef]
- Mohajeri, M.; Sadeghizadeh, M.; Najafi, F.; Javan, M. Polymerized nano-curcumin attenuates neurological symptoms in eae model of multiple sclerosis through down regulation of inflammatory and oxidative processes and enhancing neuroprotection and myelin repair. Neuropharmacology 2015, 99, 156–167. [Google Scholar] [CrossRef]
- Boarescu, P.-M.; Boarescu, I.; Bocșan, I.C.; Gheban, D.; Bolboacă, A.E.; Nicula, C.; Pop, R.M.; Râjnoveanu, R.-M.; Bolboacă, S.D. Antioxidant and anti-inflammatory effects of curcumin nanoparticles on drug-induced acute myocardial infarction in diabetic rats. Antioxidants 2019, 8, 504. [Google Scholar] [CrossRef]





| Criteria | Control | CUR | CP | CUR + CP | ||||||||||||
|---|---|---|---|---|---|---|---|---|---|---|---|---|---|---|---|---|
| Severity | 0 | +1 | +2 | +3 | 0 | +1 | +2 | +3 | 0 | +1 | +2 | +3 | 0 | +1 | +2 | +3 |
| Thickening of alveolar septa | 10 | 0 | 0 | 0 | 10 | 0 | 0 | 0 | 0 | 0 | 0 | 10 | 0 | 8 | 2 | 0 |
| Congested blood vessel | 10 | 0 | 0 | 0 | 10 | 0 | 0 | 0 | 0 | 2 | 2 | 6 | 2 | 8 | 0 | 0 |
| Edema | 10 | 0 | 0 | 0 | 10 | 0 | 0 | 0 | 0 | 0 | 4 | 6 | 10 | 0 | 0 | 0 |
| Inflammatory cells infiltration | 10 | 0 | 0 | 0 | 10 | 0 | 0 | 0 | 0 | 4 | 0 | 6 | 2 | 4 | 4 | 0 |
| Goblet cells metaplasia | 10 | 0 | 0 | 0 | 10 | 0 | 0 | 0 | 0 | 8 | 2 | 0 | 4 | 2 | 4 | 0 |
| Emphysema | 10 | 0 | 0 | 0 | 10 | 0 | 0 | 0 | 0 | 4 | 2 | 4 | 0 | 8 | 2 | 0 |
| Loss of surface microvilli | 10 | 0 | 0 | 0 | 9 | 1 | 0 | 0 | 0 | 0 | 8 | 2 | 4 | 4 | 2 | 0 |
| Empty lamellar bodies | 10 | 0 | 0 | 0 | 8 | 1 | 1 | 0 | 10 | 0 | 0 | 0 | 2 | 0 | 8 | 0 |
| Interstitial dense bodies | 10 | 0 | 0 | 0 | 10 | 0 | 0 | 0 | 0 | 2 | 2 | 6 | 8 | 2 | 0 | 0 |
| Evaluation Criteria | Control | CUR | CP | CUR + CP |
|---|---|---|---|---|
| Cell membrane | ||||
| Destruction | No | No | Severe destructed | Return to normal |
| Microvilli | Tall | Tall | Denuded | Partial restoration |
| Cytoplasmic organelles | ||||
| Lamellar bodies (surfactant) | Full | Active size | Loss | Empty |
| Mitochondria | Small | Active | Loss | Active |
| Electron dense bodies | No | No | Dense | A few |
| Nuclei | ||||
| Chromatin | Dispersed | Dispersed | Condense | Dispersed |
| Nuclear wall | Arranged | Arranged | Loss | Arranged |
| Others | ||||
| Air-blood barrier | Normal | Normal | Thickening | Partial thick |
| Interstitial connective elements | Normal | Normal | Proteinoids materials | Normal |
© 2020 by the authors. Licensee MDPI, Basel, Switzerland. This article is an open access article distributed under the terms and conditions of the Creative Commons Attribution (CC BY) license (http://creativecommons.org/licenses/by/4.0/).
Share and Cite
Saghir, S.A.M.; Alharbi, S.A.; Al-Garadi, M.A.; Al-Gabri, N.; Rady, H.Y.; Olama, N.K.; Abdulghani, M.A.M.; Al Hroob, A.M.; Almaiman, A.A.; Bin-Jumah, M.; et al. Curcumin Prevents Cyclophosphamide-Induced Lung Injury in Rats by Suppressing Oxidative Stress and Apoptosis. Processes 2020, 8, 127. https://doi.org/10.3390/pr8020127
Saghir SAM, Alharbi SA, Al-Garadi MA, Al-Gabri N, Rady HY, Olama NK, Abdulghani MAM, Al Hroob AM, Almaiman AA, Bin-Jumah M, et al. Curcumin Prevents Cyclophosphamide-Induced Lung Injury in Rats by Suppressing Oxidative Stress and Apoptosis. Processes. 2020; 8(2):127. https://doi.org/10.3390/pr8020127
Chicago/Turabian StyleSaghir, Sultan A. M., Sulaiman A. Alharbi, Maged A. Al-Garadi, Naif Al-Gabri, Hagar Y. Rady, Nouran K. Olama, Mahfoudh A. M. Abdulghani, Amir M. Al Hroob, Amer A. Almaiman, May Bin-Jumah, and et al. 2020. "Curcumin Prevents Cyclophosphamide-Induced Lung Injury in Rats by Suppressing Oxidative Stress and Apoptosis" Processes 8, no. 2: 127. https://doi.org/10.3390/pr8020127
APA StyleSaghir, S. A. M., Alharbi, S. A., Al-Garadi, M. A., Al-Gabri, N., Rady, H. Y., Olama, N. K., Abdulghani, M. A. M., Al Hroob, A. M., Almaiman, A. A., Bin-Jumah, M., Mahmoud, A. M., & Taha, M. (2020). Curcumin Prevents Cyclophosphamide-Induced Lung Injury in Rats by Suppressing Oxidative Stress and Apoptosis. Processes, 8(2), 127. https://doi.org/10.3390/pr8020127

