Patellofemoral Instability in the Pediatric and Adolescent Population: From Causes to Treatments
Abstract
1. Introduction
2. Epidemiology
3. Pathoanatomic Factors
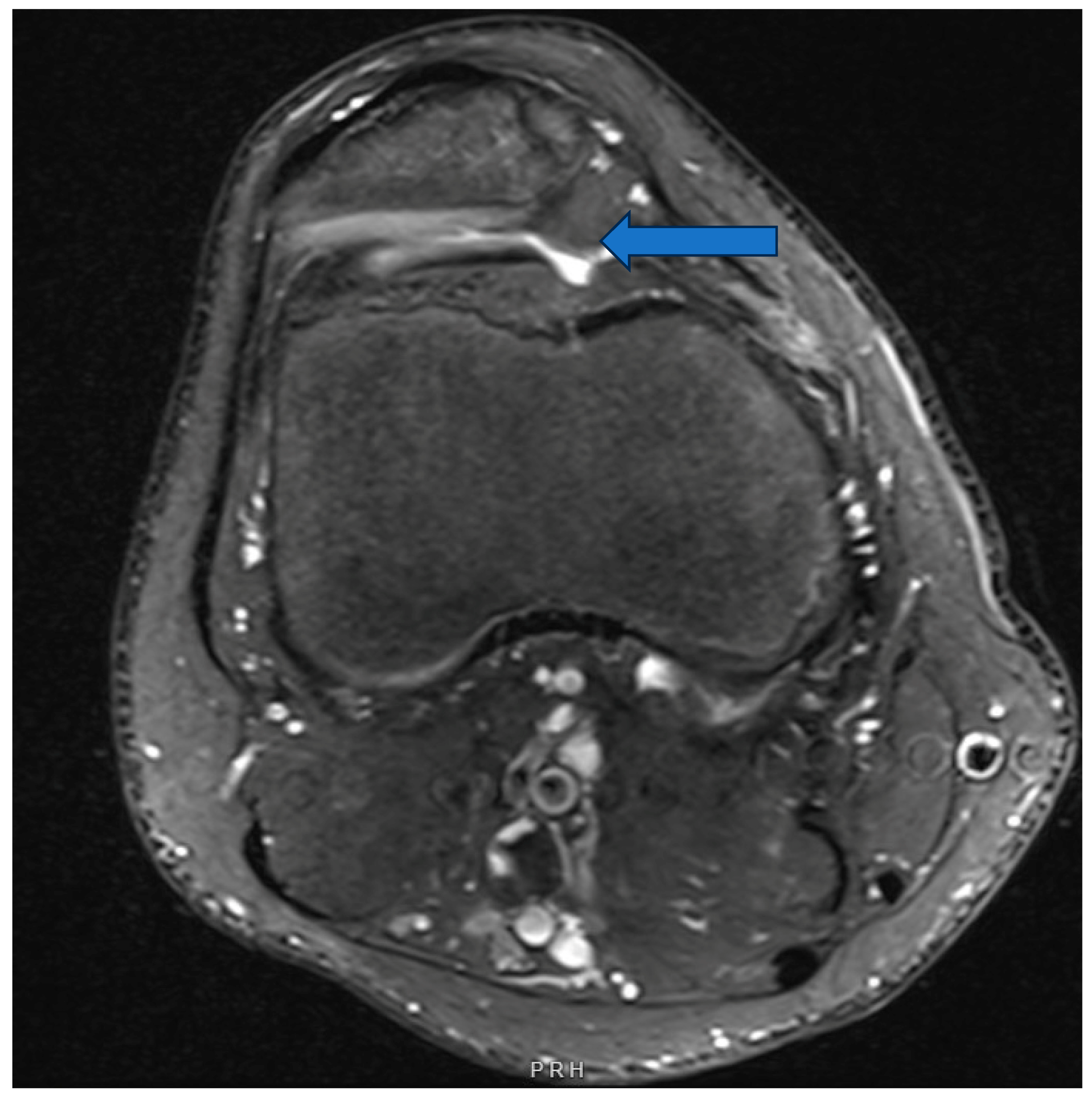
3.1. Medial Patellofemoral Ligament
3.2. Patella Alta
3.3. Trochlear Dysplasia
3.4. Elevated Tibial Tubercle to Trochlear Groove Distance (TT–TG)
3.5. Lower Limb Malalignment
3.6. Femoral Anteversion and Tibial Torsion
3.7. Hyperlaxity
3.8. Syndromes
4. Classification of Dislocations
5. The Natural Progression of Patellar Dislocations
6. Assessing Patellar Dislocation Risk
7. Nonsurgical Interventions
8. Surgical Interventions
8.1. Medial Patellofemoral Ligament Reconstruction (MPFLR)
8.2. Elevated Tibial Tubercle to Trochlear Groove Distance
8.3. Trochlear Dysplasia
8.4. Patella Alta
8.5. Genu Valgum
8.6. Femoral Anteversion
8.7. Quadricepsplasty
9. Summary
Author Contributions
Funding
Conflicts of Interest
References
- Sanders, T.L.; Pareek, A.; Hewett, T.E.; Stuart, M.J.; Dahm, D.L.; Krych, A.J. Incidence of first-time lateral patellar dislocation: A 21-year population-based study. Sports Health 2018, 10, 146–151. [Google Scholar] [CrossRef] [PubMed]
- Gravesen, K.S.; Kallemose, T.; Blønd, L.; Troelsen, A.; Barfod, K.W. High incidence of acute and recurrent patellar dislocations: A retrospective nationwide epidemiological study involving 24.154 primary dislocations. Knee Surg. Sports Traumatol. Arthrosc. 2018, 26, 1204–1209. [Google Scholar] [CrossRef] [PubMed]
- Sanders, T.L.; Pareek, A.; Hewett, T.E.; Stuart, M.J.; Dahm, D.L.; Krych, A.J. High rate of recurrent patellar dislocation in skeletally immature patients: A long-term population-based study. Knee Surg. Sports Traumatol. Arthrosc. 2018, 26, 1037–1043. [Google Scholar] [CrossRef] [PubMed]
- McFarlane, K.H.; Coene, R.P.; Feldman, L.; Miller, P.E.; Heyworth, B.E.; Kramer, D.E.; Kocher, M.S.; Yen, Y.-M.; Milewski, M.D. Increased incidence of acute patellar dislocations and patellar instability surgical procedures across the United States in paediatric and adolescent patients. J. Child. Orthop. 2021, 15, 149–156. [Google Scholar] [CrossRef]
- Poorman, M.J.; Talwar, D.; Sanjuan, J.; Baldwin, K.D.; Sutliff, N.; Franklin, C.C. Increasing hospital admissions for patellar instability: A national database study from 2004 to 2017. Phys. Sportsmed. 2020, 48, 215–221. [Google Scholar] [CrossRef]
- Anderson, F.L.; Knudsen, M.L.; Ahmad, C.S.; Popkin, C.A. Current trends and impact of early sports specialization in the throwing athlete. Orthop. Clin. N. Am. 2020, 51, 517–525. [Google Scholar] [CrossRef]
- Lewallen, L.; McIntosh, A.; Dahm, D. First-time patellofemoral dislocation: Risk factors for recurrent instability. J. Knee Surg. 2015, 28, 303–309. [Google Scholar] [CrossRef]
- Mitchell, J.; Magnussen, R.A.; Collins, C.L.; Currie, D.W.; Best, T.M.; Comstock, R.D.; Flanigan, D.C. Epidemiology of patellofemoral instability injuries among high school athletes in the United States. Am. J. Sports Med. 2015, 43, 1676–1682. [Google Scholar] [CrossRef]
- Waterman, B.R.; Belmont, P.J., Jr.; Owens, B.D. Patellar dislocation in the United States: Role of sex, age, race, and athletic participation. J. Knee Surg. 2012, 25, 51–57. [Google Scholar] [CrossRef]
- Patel, R.M.; Gombosh, M.; Polster, J.; Andrish, J. Patellar Tendon Imbrication Is a Safe and Efficacious Technique to Shorten the Patellar Tendon in Patients with Patella Alta. Orthop. J. Sports Med. 2020, 8, e1577–e1582. [Google Scholar] [CrossRef]
- Maas, K.J.; Warncke, M.L.; Leiderer, M.; Krause, M.; Dust, T.; Frings, J.; Frosch, K.H.; Adam, G.; Henes, F.O.G. Diagnostic Imaging of Patellofemoral Instability. Rofo 2021, 193, 1019–1033. [Google Scholar] [CrossRef] [PubMed]
- Stevens, J.M.; Eldridge, J.D.; Tortonese, D.; Whitehouse, M.R.; Krishnan, H.; Elsiwy, Y.; Clark, D. The influence of patellofemoral stabilisation surgery on joint congruity: An MRI surface mapping study. Eur. J. Orthop. Surg. Traumatol. 2022, 32, 419–425. [Google Scholar] [CrossRef] [PubMed]
- Mulliez, A.; Lambrecht, D.; Verbruggen, D.; Van Der Straeten, C.; Verdonk, P.; Victor, J. Clinical outcome in MPFL reconstruction with and without tuberositas transposition. Knee Surg. Sports Traumatol. Arthrosc. 2017, 25, 2708–2714. [Google Scholar] [CrossRef]
- Thévenin-Lemoine, C.; Ferrand, M.; Courvoisier, A.; Damsin, J.P.; le Pointe, H.D.; Vialle, R. Is the Caton-Deschamps index a valuable ratio to investigate patellar height in children? J. Bone Jt. Surg. 2011, 93, e35. [Google Scholar] [CrossRef]
- Dejour, H.; Walch, G.; Neyret, P.; Adeleine, P. [Dysplasia of the femoral trochlea]. Rev. Chir. Orthop. Reparatrice Appar. Mot. 1990, 76, 45–54. [Google Scholar] [PubMed]
- Paiva, M.; Blønd, L.; Hölmich, P.; Steensen, R.N.; Diederichs, G.; Feller, J.A.; Barfod, K.W. Quality assessment of radiological measurements of trochlear dysplasia; a literature review. Knee Surg. Sports Traumatol. Arthrosc. 2018, 26, 746–755. [Google Scholar] [CrossRef]
- Jaquith, B.P.; Parikh, S.N. Predictors of recurrent patellar instability in children and adolescents after first-time dislocation. J. Pediatr. Orthop. 2017, 37, 484–490. [Google Scholar] [CrossRef]
- Batailler, C.; Neyret, P. Trochlear dysplasia: Imaging and treatment options. EFORT Open Rev. 2018, 3, 240–247. [Google Scholar] [CrossRef]
- Joseph, S.M.; Cheng, C.; Solomito, M.J.; Pace, J.L. Lateral Trochlear Inclination Angle: Measurement via a 2-Image Technique to Reliably Characterize and Quantify Trochlear Dysplasia. Orthop. J. Sports Med. 2020, 8, 2325967120958415. [Google Scholar] [CrossRef]
- Green, D.W. Surgical treatment of pediatric patella instability. In Die Therapie der Instabilen Patella; AGA-Komitee-Knie-Patellofemoral: Zürich, Switzerland, 2016; pp. 80–90. [Google Scholar]
- DeJour, H.; Walch, G.; Nove-Josserand, L.; Guier, C. Factors of patellar instability: An anatomic radiographic study. Knee Surg. Sport Traumatol. Arthrosc. 1994, 2, 19–26. [Google Scholar] [CrossRef]
- Dickens, A.J.; Morrell, N.T.; Doering, A.; Tandberg, D.; Treme, G. Tibial tubercle-trochlear groove distance: Defining normal in a pediatric population. J. Bone Jt. Surg. Am. 2014, 96, 318–324. [Google Scholar] [CrossRef] [PubMed]
- Brady, J.M.; Rosencrans, A.S.; Shubin Stein, B.E. Use of TT-PCL versus TT-TG. Curr. Rev. Musculoskelet. Med. 2018, 11, 261–265. [Google Scholar] [CrossRef] [PubMed]
- Parikh, S.N.; Redman, C.; Gopinathan, N.R. Simultaneous treatment for patellar instability and genu valgum in skeletally immature patients: A preliminary study. J. Pediatr. Orthop. B 2019, 28, 132–138. [Google Scholar] [CrossRef] [PubMed]
- Takagi, S.; Sato, T.; Watanabe, S.; Tanifuji, O.; Mochizuki, T.; Omori, G.; Endo, N. Alignment in the transverse plane, but not sagittal or coronal plane, affects the risk of recurrent patella dislocation. Knee Surg. Sports Traumatol. Arthrosc. 2018, 26, 2891–2898. [Google Scholar] [CrossRef]
- Heighes, L.A.; Abelleyra Lastoria, D.A.; Beni, R.; Iftikhar, A.; Hing, C.B. The relationship between joint hypermobility and patellar instability: A systematic review. J. Orthop. 2024, 56, 40–49. [Google Scholar] [CrossRef]
- Sever, R.; Fishkin, M.; Hemo, Y.; Wientroub, S.; Yaniv, M. Surgical Treatment of Congenital and Obligatory Dislocation of the Patella in Children. J. Pediatr. Orthop. 2019, 39, 436–440. [Google Scholar] [CrossRef]
- Parikh, S.N.; Lykissas, M.G. Classification of lateral patellar instability in children and adolescents. Orthop. Clin. N. Am. 2016, 47, 145–152. [Google Scholar] [CrossRef]
- Chotel, F.; Berard, J.; Raux, S. Patellar instability in children and adolescents. Orthop. Traumatol. Surg. Res. 2014, 100 (Suppl. 1), S125–S137. [Google Scholar] [CrossRef]
- Schlichte, L.M.; Sidharthan, S.; Green, D.W.; Parikh, S.N. Pediatric management of recurrent patellar instability. Sports Med. Arthrosc. Rev. 2019, 27, 171–180. [Google Scholar] [CrossRef]
- Christensen, T.C.; Sanders, T.L.; Pareek, A.; Mohan, R.; Dahm, D.L.; Krych, A.J. Risk factors and time to recurrent ipsilateral and contralateral patellar dislocations. Am. J. Sports Med. 2017, 45, 2105–2110. [Google Scholar] [CrossRef]
- Dixit, S.; Deu, R.S. Nonoperative treatment of patellar instability. Sports Med. Arthrosc. Rev. 2017, 25, 72–77. [Google Scholar] [CrossRef] [PubMed]
- Martinez-Cano, J.P.; Chica, J.; Martinez-Arboleda, J.J.; Rincón-Escobar, E.; Zamudio-Castilla, L.; Renjifo, M.; Martinez-Rondanelli, A. Patellofemoral dislocation recurrence after a first episode: A case-control study. Orthop. J. Sports Med. 2021, 9, 2325967120981636. [Google Scholar] [CrossRef]
- Hevesi, M.; Heidenreich, M.J.; Camp, C.L.; Hewett, T.E.; Stuart, M.J.; Dahm, D.L.; Krych, A.J. The recurrent instability of the patella score: A statistically based model for prediction of long-term recurrence risk after first-time dislocation. Arthroscopy 2019, 35, 537–543. [Google Scholar] [CrossRef] [PubMed]
- Parikh, S.N.; Rajdev, N. Patients with bilateral patellar instability have multiple and symmetric risk factors in each knee. Knee Surg. Sports Traumatol. Arthrosc. 2023, 31, 5299–5305. [Google Scholar] [CrossRef]
- Chen, J.; Huang, X.; Xu, Z.; Zhang, H.; Zhou, A.; Zhao, P.; Yin, L. Ipsilateral patellofemoral morphological abnormalities are more severe than those of contralateral joints in patients with unilateral patellar dislocation. Knee Surg. Sports Traumatol. Arthrosc. 2021, 29, 2709–2716. [Google Scholar] [CrossRef]
- Farr, J.; Covell, D.J.; Lattermann, C. Cartilage lesions in patellofemoral dislocations: Incidents/locations/when to treat. Sports Med. Arthrosc. Rev. 2012, 20, 181–186. [Google Scholar] [CrossRef]
- Danielsen, O.; Poulsen, T.A.; Eysturoy, N.H.; Mortensen, E.S.; Hölmich, P.; Barfod, K.W. Familial association and epidemilogical factors as risk factors for developing first time and recurrent patella dislocation: A systematic review and best knowledge synthesis of present literature. Knee Surg. Sports Traumatol. Arthrosc. 2023, 31, 3701–3733. [Google Scholar] [CrossRef] [PubMed]
- Zhang, K.; Jiang, H.; Li, J.; Fu, W. Comparison between surgical and nonsurgical treatment for primary patellar dislocations in adolescents: A systematic review and meta-analysis of comparative studies. Orthop. J. Sports Med. 2020, 8, 2325967120946446. [Google Scholar] [CrossRef]
- Parikh, S.N.; Lykissas, M.G.; Gkiatas, I. Predicting risk of recurrent patellar dislocation. Curr. Rev. Musculoskelet. Med. 2018, 11, 253–260. [Google Scholar] [CrossRef] [PubMed]
- Arendt, E.A.; Askenberger, M.; Agel, J.; Tompkins, M.A. Risk of redislocation after primary patellar dislocation: A clinical prediction model based on magnetic resonance imaging variables. Am. J. Sports Med. 2018, 46, 3385–3390. [Google Scholar] [CrossRef]
- Ling, D.I.; Brady, J.M.; Arendt, E.; Tompkins, M.; Agel, J.; Askenberger, M.; Balcarek, P.; Parikh, S.; Stein, B.E.S. Development of a multivariable model based on individual risk factors for recurrent lateral patellar dislocation. J. Bone Jt. Surg. Am. 2021, 103, 586–592. [Google Scholar] [CrossRef] [PubMed]
- Pagliazzi, G.; Napoli, F.; Previtali, D.; Filardo, G.; Zaffagnini, S.; Candrian, C. A meta-analysis of surgical versus nonsurgical treatment of primary patella dislocation. Arthroscopy 2019, 35, 2469–2481. [Google Scholar] [CrossRef] [PubMed]
- Fuller, J.A.; Hammil, H.L.; Pronschinske, K.J.; Durall, C.J. Operative versus nonoperative treatment after acute patellar dislocation: Which is more effective at reducing recurrence in adolescents? J. Sport Rehabil. 2018, 27, 601–604. [Google Scholar] [CrossRef]
- Becher, C.; Schumacher, T.; Fleischer, B.; Ettinger, M.; Smith, T.; Ostermeier, S. The effects of a dynamic patellar realignment brace on disease determinants for patellofemoral instability in the upright weight-bearing condition. J. Orthop. Surg. Res. 2015, 10, 126. [Google Scholar] [CrossRef] [PubMed]
- Allahabadi, S.; Pandya, N.K. Allograft Medial Patellofemoral Ligament Reconstruction in Adolescent Patients Results in a Low Recurrence Rate of Patellar Dislocation or Subluxation at Midterm Follow-Up. Arthroscopy 2022, 38, 128–138. [Google Scholar] [CrossRef]
- Dennis, E.R.; Gruber, S.; Marmor, W.A.; Shubin Stein, B.E. Evaluation and management of patellar instability. Ann. Jt. 2022, 7, 2. [Google Scholar] [CrossRef]
- Dandu, N.; Trasolini, N.A.; DeFroda, S.F.; Darwish, R.Y.; Yanke, A.B. The Lateral Side: When and How to Release, Lengthen, and Reconstruct. Clin. Sports Med. 2022, 41, 171–183. [Google Scholar] [CrossRef]
- Kheir, N.; Salvatore, G.; Berton, A.; Orsi, A.; Egan, J.; Mohamadi, A.; DeAngelis, J.P.; Ramappa, A.J.; Longo, U.G.; Denaro, V.; et al. Lateral release associated with MPFL reconstruction in patients with acute patellar dislocation. BMC Musculoskelet. Disord. 2022, 23, 139. [Google Scholar] [CrossRef] [PubMed]
- Stokes, D.J.; Elrick, B.P.; Carpenter, M.L.; Raji, Y.; McQuivey, K.S.; Sherman, S.L.; Frank, R.M. Tibial Tubercle Osteotomy: Indications, Outcomes, and Complications. Curr. Rev. Musculoskelet. Med. 2024, 17, 484–495. [Google Scholar] [CrossRef]
- Sherman, S.L.; Erickson, B.J.; Cvetanovich, G.L.; Chalmers, P.N.; Farr, J., 2nd; Bach, B.R., Jr.; Cole, B.J. Tibial Tuberosity Osteotomy: Indications, Techniques, and Outcomes. Am. J. Sports Med. 2014, 42, 2006–2017. [Google Scholar] [CrossRef]
- Middleton, K.K.; Gruber, S.; Shubin Stein, B.E. Why and Where to Move the Tibial Tubercle: Indications and Techniques for Tibial Tubercle Osteotomy. Sports Med. Arthrosc. Rev. 2019, 27, 154–160. [Google Scholar] [CrossRef] [PubMed]
- Fulkerson, J.P. Anteromedialization of the tibial tuberosity for patellofemoral malalignment. Clin. Orthop. Relat. Res. 1983, 177, 176–181. [Google Scholar] [CrossRef]
- Zhang, Z.J.; Feng, Z.; Di, M.; Cao, Y.W.; Zheng, T.; Zhang, H. Increased TT-TG distance caused by excessive tibiofemoral rotation predicts poor clinical outcomes after tibial tubercle osteotomy in recurrent patellar dislocation. Knee Surg. Sports Traumatol. Arthrosc. 2023, 31, 5162–5170. [Google Scholar] [CrossRef] [PubMed]
- Imerci, A.; McDonald, T.C.; Rogers, K.J.; Thacker, M.M.; Atanda, A., Jr. Outcomes of medial patellofemoral ligament reconstruction and tibial tubercle osteotomy in syndromic adolescents with patellar dislocation. J. Clin. Orthop. Trauma 2022, 25, 101770. [Google Scholar] [CrossRef] [PubMed]
- Tarchala, M.; Kerslake, S.; Hiemstra, L.A. Sulcus-Deepening Trochleoplasty for High-Grade Trochlear Dysplasia: Demystifying the Procedure-a Review of the Current Literature. Curr. Rev. Musculoskelet. Med. 2023, 16, 538–549. [Google Scholar] [CrossRef] [PubMed] [PubMed Central]
- Van Haver, A.; De Roo, K.; De Beule, M.; Labey, L.; De Baets, P.; Dejour, D.; Claessens, T.; Verdonk, P. The effect of trochlear dysplasia on patellofemoral biomechanics: A cadaveric study with simulated trochlear deformities. Am. J. Sports Med. 2015, 43, 1354–1361. [Google Scholar] [CrossRef]
- Amis, A.A.; Senavongse, W.; Bull, A.M. Patellofemoral kinematics during knee flexion-extension: An in vitro study. J. Orthop. Res. 2006, 24, 2201–2211. [Google Scholar] [CrossRef]
- Senavongse, W.; Amis, A.A. The effects of articular, retinacular, or muscular deficiencies on patellofemoral joint stability: A biomechanical study in vitro. J. Bone Jt. Surg. Br. 2005, 87, 577–582. [Google Scholar] [CrossRef]
- Rush, J.; Diduch, D. When is Trochleoplasty a Rational Addition? Sports Med. Arthrosc. Rev. 2019, 27, 161–168. [Google Scholar] [CrossRef]
- Hampton, M.; Pigott, T.; Sutton, P.M. A modification of the Bereiter trochleoplasty: Indications, technique and outcomes. Eur. J. Orthop. Surg. Traumatol. 2021, 31, 571–578. [Google Scholar] [CrossRef]
- Payne, J.; Rimmke, N.; Schmitt, L.C.; Flanigan, D.C.; Magnussen, R.A. The incidence of complications of tibial tubercle osteotomy: A systematic review. Arthroscopy 2015, 31, 1819–1825. [Google Scholar] [CrossRef] [PubMed]
- van Sambeeck, J.D.P.; van de Groes, S.A.W.; Verdonschot, N.; Hannink, G. Trochleoplasty procedures show complication rates similar to other patellar-stabilizing procedures. Knee Surg. Sports Traumatol. Arthrosc. 2018, 26, 2841–2857. [Google Scholar] [CrossRef] [PubMed]
- Liu, J.N.; Brady, J.M.; Kalbian, I.L.; Strickland, S.M.; Ryan, C.B.; Nguyen, J.T.; Shubin Stein, B.E. Clinical Outcomes After Isolated Medial Patellofemoral Ligament Reconstruction for Patellar Instability among Patients with Trochlear Dysplasia. Am. J. Sports Med. 2018, 46, 883–889. [Google Scholar] [CrossRef] [PubMed]
- Ward, S.R.; Powers, C.M. The influence of patella alta on patellofemoral joint stress during normal and fast walking. Clin. Biomech. 2004, 19, 1040–1047. [Google Scholar] [CrossRef]
- Otsuki, S.; Nakajima, M.; Fujiwara, K.; Okamoto, Y.; Iida, G.; Murakami, T.; Neo, M. Influence of age on clinical outcomes of three-dimensional transfer of the tibial tuberosity for patellar instability with patella alta. Knee Surg. Sport Traumatol. Arthrosc. 2017, 25, 2392–2396. [Google Scholar] [CrossRef] [PubMed]
- Antinolfi, P.; Bartoli, M.; Placella, G.; Speziali, A.; Pace, V.; Delcogliano, M.; Mazzola, C. Acute patellofemoral instability in children and adolescents. Joints 2016, 4, 47–51. [Google Scholar] [CrossRef]
- Lykissas, M.G.; Li, T.; Eismann, E.A.; Parikh, S.N. Does medial patellofemoral ligament reconstruction decrease patellar height? A preliminary report. J. Pediatr. Orthop. 2014, 34, 78–85. [Google Scholar] [CrossRef]
- Lin, K.M.; Thacher, R.R.; Apostolakos, J.M.; Heath, M.R.; Mackie, A.T.; Fabricant, P.D. Implant-mediated guided growth for coronal plane angular deformity in the pediatric patient with patellofemoral instability. Arthrosc. Tech. 2021, 10, e913–e924. [Google Scholar] [CrossRef]
- Diederichs, G.; Köhlitz, T.; Kornaropoulos, E.; Heller, M.O.; Vollnberg, B.; Scheffler, S.; Arno, S.; Hadley, S.; Campbell, K.A.; Bell, C.P.; et al. Magnetic resonance imaging analysis of rotational alignment in patients with patellar dislocations. Am. J. Sports Med. 2013, 41, 51–57. [Google Scholar] [CrossRef]
- Zhang, Z.; Zhang, H.; Song, G.; Zheng, T.; Ni, Q.; Feng, H. Increased femoral anteversion is associated with inferior clinical outcomes after MPFL reconstruction and combined tibial tubercle osteotomy for the treatment of recurrent patellar instability. Knee Surg. Sport Traumatol. Arthrosc. 2020, 28, 2261–2269. [Google Scholar] [CrossRef]
- Dickschas, J.; Harrer, J.; Pfefferkorn, R.; Strecker, W. Operative treatment of patellofemoral maltracking with torsional osteotomy. Arch. Orthop. Trauma Surg. 2012, 132, 289–298. [Google Scholar] [CrossRef] [PubMed]
- Archibald, H.D.; Petro, K.F.; Liu, R.W. An Anatomic Study on Whether Femoral Version Originates in the Neck or the Shaft. J. Pediatr. Orthop. 2019, 39, e50–e53. [Google Scholar] [CrossRef]
- Danino, B.; Deliberato, D.D.; Abousamra, O.; Singh, S.B.; Klingele, K. Four-in-one extensor realignment for the treatment of obligatory or fixed, lateral patellar instability in skeletally immature knee. J. Pediatr. Orthop. 2020, 40, 503–508. [Google Scholar] [CrossRef] [PubMed]
- Ellsworth, B.; Hidalgo Perea, S.; Green, D.W. Stepwise lengthening of the quadriceps extensor mechanism for severe obligatory and fixed patella dislocators. Arthrosc. Tech. 2021, 10, e1327–e1331. [Google Scholar] [CrossRef] [PubMed]
- Parikh, S.N.; Veerkamp, M.; Redler, L.H.; Schlechter, J.; Williams, B.A.; Yaniv, M.; Friel, N.; Perea, S.H.; Shannon, S.R.; Green, D.W. Patellar Instability in Young Athletes. Clin. Sports Med. 2022, 41, 627–651. [Google Scholar] [CrossRef]





Disclaimer/Publisher’s Note: The statements, opinions and data contained in all publications are solely those of the individual author(s) and contributor(s) and not of MDPI and/or the editor(s). MDPI and/or the editor(s) disclaim responsibility for any injury to people or property resulting from any ideas, methods, instructions or products referred to in the content. |
© 2024 by the authors. Licensee MDPI, Basel, Switzerland. This article is an open access article distributed under the terms and conditions of the Creative Commons Attribution (CC BY) license (https://creativecommons.org/licenses/by/4.0/).
Share and Cite
Ricciuti, A.; Colosi, K.; Fitzsimmons, K.; Brown, M. Patellofemoral Instability in the Pediatric and Adolescent Population: From Causes to Treatments. Children 2024, 11, 1261. https://doi.org/10.3390/children11101261
Ricciuti A, Colosi K, Fitzsimmons K, Brown M. Patellofemoral Instability in the Pediatric and Adolescent Population: From Causes to Treatments. Children. 2024; 11(10):1261. https://doi.org/10.3390/children11101261
Chicago/Turabian StyleRicciuti, Anthony, Katelyn Colosi, Kevin Fitzsimmons, and Matthew Brown. 2024. "Patellofemoral Instability in the Pediatric and Adolescent Population: From Causes to Treatments" Children 11, no. 10: 1261. https://doi.org/10.3390/children11101261
APA StyleRicciuti, A., Colosi, K., Fitzsimmons, K., & Brown, M. (2024). Patellofemoral Instability in the Pediatric and Adolescent Population: From Causes to Treatments. Children, 11(10), 1261. https://doi.org/10.3390/children11101261

