Contrast-Enhanced Ultrasound (CEUS) and Ultra-Microangiography (UMA) in Critically Ill Children with Acute Kidney Injury
Abstract
1. Introduction
2. Acute Kidney Injury: Definition, Epidemiology, Etiology and Risk Factors
3. Limitations of Established Methods for Diagnosing AKI
4. Sonographic Findings in AKI
5. Contrast-Enhanced Ultrasound (CEUS) in AKI
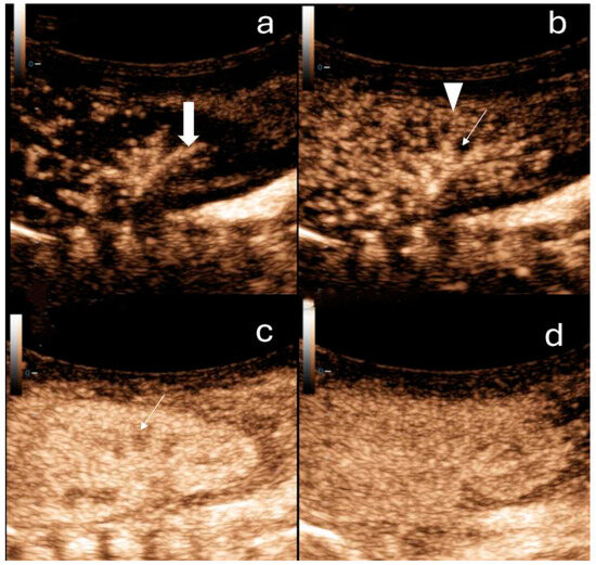
6. Ultra-Microangiography (UMA)
7. Conclusions
Author Contributions
Funding
Institutional Review Board Statement
Informed Consent Statement
Data Availability Statement
Conflicts of Interest
References
- Hoste, E.A.J.; Kellum, J.A.; Selby, N.M.; Zarbock, A.; Palevsky, P.M.; Bagshaw, S.M.; Goldstein, S.L.; Cerdá, J.; Chawla, L.S. Global Epidemiology and Outcomes of Acute Kidney Injury. Nat. Rev. Nephrol. 2018, 14, 607–625. [Google Scholar] [CrossRef] [PubMed]
- Hanna, M.; Brophy, P.D.; Giannone, P.J.; Joshi, M.S.; Bauer, J.A.; RamachandraRao, S. Early Urinary Biomarkers of Acute Kidney Injury in Preterm Infants. Pediatr. Res. 2016, 80, 218–223. [Google Scholar] [CrossRef] [PubMed]
- Nehus, E.; Kaddourah, A.; Bennett, M.; Pyles, O.; Devarajan, P. Subclinical Kidney Injury in Children Receiving Nonsteroidal Anti-Inflammatory Drugs After Cardiac Surgery. J. Pediatr. 2017, 189, 175–180. [Google Scholar] [CrossRef] [PubMed]
- Zappitelli, M.; Washburn, K.K.; Arikan, A.A.; Loftis, L.; Ma, Q.; Devarajan, P.; Parikh, C.R.; Goldstein, S.L. Urine Neutrophil Gelatinase-Associated Lipocalin Is an Early Marker of Acute Kidney Injury in Critically Ill Children: A Prospective Cohort Study. Crit. Care 2007, 11, R84. [Google Scholar] [CrossRef] [PubMed]
- Filho, L.T.; Grande, A.J.; Colonetti, T.; Della, É.S.P.; da Rosa, M.I. Accuracy of Neutrophil Gelatinase-Associated Lipocalin for Acute Kidney Injury Diagnosis in Children: Systematic Review and Meta-Analysis. Pediatr. Nephrol. 2017, 32, 1979–1988. [Google Scholar] [CrossRef]
- Volovelsky, O.; Terrell, T.C.; Swain, H.; Bennett, M.R.; Cooper, D.S.; Goldstein, S.L. Pre-Operative Level of FGF23 Predicts Severe Acute Kidney Injury after Heart Surgery in Children. Pediatr. Nephrol. 2018, 33, 2363–2370. [Google Scholar] [CrossRef]
- Mishra, J.; Dent, C.; Tarabishi, R.; Mitsnefes, M.M.; Ma, Q.; Kelly, C.; Ruff, S.M.; Zahedi, K.; Shao, M.; Bean, J.; et al. Neutrophil Gelatinase-Associated Lipocalin (NGAL) as a Biomarker for Acute Renal Injury after Cardiac Surgery. Lancet 2005, 365, 1231–1238. [Google Scholar] [CrossRef]
- Haase, M.; Bellomo, R.; Devarajan, P.; Schlattmann, P.; Haase-Fielitz, A. Accuracy of Neutrophil Gelatinase-Associated Lipocalin (NGAL) in Diagnosis and Prognosis in Acute Kidney Injury: A Systematic Review and Meta-Analysis. Am. J. Kidney Dis. 2009, 54, 1012–1024. [Google Scholar] [CrossRef] [PubMed]
- Han, W.K.; Waikar, S.S.; Johnson, A.; Betensky, R.A.; Dent, C.L.; Devarajan, P.; Bonventre, J.V. Urinary Biomarkers in the Early Diagnosis of Acute Kidney Injury. Kidney Int. 2008, 73, 863–869. [Google Scholar] [CrossRef] [PubMed]
- Bonventre, J.V. Kidney Injury Molecule-1 (KIM-1): A Urinary Biomarker and Much More. Nephrol. Dial. Transplant. 2009, 24, 3265–3268. [Google Scholar] [CrossRef]
- Kashani, K.; Al-Khafaji, A.; Ardiles, T.; Artigas, A.; Bagshaw, S.M.; Bell, M.; Bihorac, A.; Birkhahn, R.; Cely, C.M.; Chawla, L.S.; et al. Discovery and Validation of Cell Cycle Arrest Biomarkers in Human Acute Kidney Injury. Crit. Care 2013, 17, R25. [Google Scholar] [CrossRef] [PubMed]
- Bihorac, A.; Chawla, L.S.; Shaw, A.D.; Al-Khafaji, A.; Davison, D.L.; DeMuth, G.E.; Fitzgerald, R.; Gong, M.N.; Graham, D.D.; Gunnerson, K.; et al. Validation of Cell-Cycle Arrest Biomarkers for Acute Kidney Injury Using Clinical Adjudication. Am. J. Respir. Crit. Care Med. 2014, 189, 932–939. [Google Scholar] [CrossRef] [PubMed]
- Parikh, C.R.; Jani, A.; Melnikov, V.Y.; Faubel, S.; Edelstein, C.L. Urinary Interleukin-18 Is a Marker of Human Acute Tubular Necrosis. Am. J. Kidney Dis. 2004, 43, 405–414. [Google Scholar] [CrossRef] [PubMed]
- Siew, E.D.; Ware, L.B.; Ikizler, T.A. Biological Markers of Acute Kidney Injury. J. Am. Soc. Nephrol. 2011, 22, 810–820. [Google Scholar] [CrossRef]
- Nejat, M.; Pickering, J.W.; Walker, R.J.; Endre, Z.H. Rapid Detection of Acute Kidney Injury by Plasma Cystatin C in the Intensive Care Unit. Nephrol. Dial. Transplant. 2010, 25, 3283–3289. [Google Scholar] [CrossRef] [PubMed]
- Herget-rosenTHAL, S.; Marggraf, G.; Hüsing, J.; Göring, F.; Pietruck, F.; Janssen, O.; Philipp, T.; Kribben, A. Early Detection of Acute Renal Failure by Serum Cystatin C. Kidney Int. 2004, 66, 1115–1122. [Google Scholar] [CrossRef] [PubMed]
- Ostermann, M.; Zarbock, A.; Goldstein, S.; Kashani, K.; Macedo, E.; Murugan, R.; Bell, M.; Forni, L.; Guzzi, L.; Joannidis, M.; et al. Recommendations on Acute Kidney Injury Biomarkers from the Acute Disease Quality Initiative Consensus Conference. JAMA Netw. Open 2020, 3, e2019209. [Google Scholar] [CrossRef] [PubMed]
- El-Khoury, J.M.; Hoenig, M.P.; Jones, G.R.D.; Lamb, E.J.; Parikh, C.R.; Tolan, N.V.; Wilson, F.P. Correction to: AACC Guidance Document on Laboratory Investigation of Acute Kidney Injury. J. Appl. Lab. Med. 2024, 9, 659. [Google Scholar] [CrossRef]
- Basu, R.K.; Zappitelli, M.; Brunner, L.; Wang, Y.; Wong, H.R.; Chawla, L.S.; Wheeler, D.S.; Goldstein, S.L. Derivation and Validation of the Renal Angina Index to Improve the Prediction of Acute Kidney Injury in Critically Ill Children. Kidney Int. 2014, 85, 659–667. [Google Scholar] [CrossRef]
- Basu, R.K.; Kaddourah, A.; Goldstein, S.L. AWARE Study Investigators Assessment of a Renal Angina Index for Prediction of Severe Acute Kidney Injury in Critically Ill Children: A Multicentre, Multinational, Prospective Observational Study. Lancet Child. Adolesc. Health 2018, 2, 112–120. [Google Scholar] [CrossRef] [PubMed]
- Abbasi, A.; Mehdipour Rabori, P.; Farajollahi, R.; Mohammed Ali, K.; Ataei, N.; Yousefifard, M.; Hosseini, M. Discriminatory Precision of Renal Angina Index in Predicting Acute Kidney Injury in Children; a Systematic Review and Meta-Analysis. Arch. Acad. Emerg. Med. 2020, 8, e39. [Google Scholar] [PubMed]
- Harrois, A.; Grillot, N.; Figueiredo, S.; Duranteau, J. Acute Kidney Injury Is Associated with a Decrease in Cortical Renal Perfusion during Septic Shock. Crit. Care 2018, 22, 161. [Google Scholar] [CrossRef] [PubMed]
- Cao, W.; Cui, S.; Yang, L.; Wu, C.; Liu, J.; Yang, F.; Liu, Y.; Bin, J.; Hou, F.F. Contrast-Enhanced Ultrasound for Assessing Renal Perfusion Impairment and Predicting Acute Kidney Injury to Chronic Kidney Disease Progression. Antioxid. Redox Signal. 2017, 27, 1397–1411. [Google Scholar] [CrossRef]
- Wang, X.-Y.; Pang, Y.-P.; Jiang, T.; Wang, S.; Li, J.-T.; Shi, B.-M.; Yu, C. Value of Early Diagnosis of Sepsis Complicated with Acute Kidney Injury by Renal Contrast-Enhanced Ultrasound. World J. Clin. Cases 2019, 7, 3934–3944. [Google Scholar] [CrossRef] [PubMed]
- Watchorn, J.; Huang, D.; Bramham, K.; Hutchings, S. Decreased Renal Cortical Perfusion, Independent of Changes in Renal Blood Flow and Sublingual Microcirculatory Impairment, Is Associated with the Severity of Acute Kidney Injury in Patients with Septic Shock. Crit. Care 2022, 26, 261. [Google Scholar] [CrossRef]
- Li, Y.; Chen, L.; Feng, L.; Li, M. Contrast-Enhanced Ultrasonography for Acute Kidney Injury: A Systematic Review and Meta-Analysis. Ultrasound Med. Biol. 2023, 49, 1930–1939. [Google Scholar] [CrossRef] [PubMed]
- Song, Y.; Mei, J.; Xu, D.; Ma, Y. Evaluation of Contrast-Enhanced Ultrasound in Diagnosis of Acute Kidney Injury of Patients in Intensive Care Unit. Int. J. Gen. Med. 2023, 16, 2229–2236. [Google Scholar] [CrossRef]
- Aziz, M.U.; Eisenbrey, J.R.; Deganello, A.; Zahid, M.; Sharbidre, K.; Sidhu, P.; Robbin, M.L. Microvascular Flow Imaging: A State-of-the-Art Review of Clinical Use and Promise. Radiology 2022, 305, 250–264. [Google Scholar] [CrossRef] [PubMed]
- Wiersema, R.; Jukarainen, S.; Eck, R.J.; Kaufmann, T.; Koeze, J.; Keus, F.; Pettilä, V.; van der Horst, I.C.C.; Vaara, S.T. Different Applications of the KDIGO Criteria for AKI Lead to Different Incidences in Critically Ill Patients: A Post Hoc Analysis from the Prospective Observational SICS-II Study. Crit. Care 2020, 24, 164. [Google Scholar] [CrossRef]
- Slater, M.B.; Anand, V.; Uleryk, E.M.; Parshuram, C.S. A Systematic Review of RIFLE Criteria in Children, and Its Application and Association with Measures of Mortality and Morbidity. Kidney Int. 2012, 81, 791–798. [Google Scholar] [CrossRef] [PubMed]
- Devarajan, P. Pediatric Acute Kidney Injury: Different from Acute Renal Failure but How and Why. Curr. Pediatr. Rep. 2013, 1, 34–40. [Google Scholar] [CrossRef][Green Version]
- Khwaja, A. KDIGO Clinical Practice Guidelines for Acute Kidney Injury. Nephron Clin. Pract. 2012, 120, c179–c184. [Google Scholar] [CrossRef]
- Colantonio, D.A.; Kyriakopoulou, L.; Chan, M.K.; Daly, C.H.; Brinc, D.; Venner, A.A.; Pasic, M.D.; Armbruster, D.; Adeli, K. Closing the Gaps in Pediatric Laboratory Reference Intervals: A CALIPER Database of 40 Biochemical Markers in a Healthy and Multiethnic Population of Children. Clin. Chem. 2012, 58, 854–868. [Google Scholar] [CrossRef]
- den Bakker, E.; Bökenkamp, A.; Haffner, D. Assessment of Kidney Function in Children. Pediatr. Clin. N. Am. 2022, 69, 1017–1035. [Google Scholar] [CrossRef] [PubMed]
- Coleman, C.; Tambay Perez, A.; Selewski, D.T.; Steflik, H.J. Neonatal Acute Kidney Injury. Front. Pediatr. 2022, 10, 842544. [Google Scholar] [CrossRef]
- Vachvanichsanong, P.; Dissaneewate, P.; Lim, A.; McNeil, E. Childhood Acute Renal Failure: 22-Year Experience in a University Hospital in Southern Thailand. Pediatrics 2006, 118, e786–e791. [Google Scholar] [CrossRef] [PubMed]
- McGregor, T.L.; Jones, D.P.; Wang, L.; Danciu, I.; Bridges, B.C.; Fleming, G.M.; Shirey-Rice, J.; Chen, L.; Byrne, D.W.; Van Driest, S.L. Acute Kidney Injury Incidence in Noncritically Ill Hospitalized Children, Adolescents, and Young Adults: A Retrospective Observational Study. Am. J. Kidney Dis. 2016, 67, 384–390. [Google Scholar] [CrossRef]
- Bhojani, S.; Stojanovic, J.; Melhem, N.; Maxwell, H.; Houtman, P.; Hall, A.; Singh, C.; Hayes, W.; Lennon, R.; Sinha, M.D.; et al. The Incidence of Paediatric Acute Kidney Injury Identified Using an AKI E-Alert Algorithm in Six English Hospitals. Front. Pediatr. 2020, 8, 29. [Google Scholar] [CrossRef]
- Sandokji, I.; Yamamoto, Y.; Biswas, A.; Arora, T.; Ugwuowo, U.; Simonov, M.; Saran, I.; Martin, M.; Testani, J.M.; Mansour, S.; et al. A Time-Updated, Parsimonious Model to Predict AKI in Hospitalized Children. J. Am. Soc. Nephrol. 2020, 31, 1348–1357. [Google Scholar] [CrossRef]
- Meena, J.; Mathew, G.; Kumar, J.; Chanchlani, R. Incidence of Acute Kidney Injury in Hospitalized Children: A Meta-Analysis. Pediatrics 2023, 151, e2022058823. [Google Scholar] [CrossRef]
- Ryan, D.; Sutherland, M.R.; Flores, T.J.; Kent, A.L.; Dahlstrom, J.E.; Puelles, V.G.; Bertram, J.F.; McMahon, A.P.; Little, M.H.; Moore, L.; et al. Development of the Human Fetal Kidney from Mid to Late Gestation in Male and Female Infants. EBioMedicine 2018, 27, 275–283. [Google Scholar] [CrossRef] [PubMed]
- Fitzgerald, J.C.; Ross, M.E.; Thomas, N.J.; Weiss, S.L.; Balamuth, F.; Anderson, A.H. Risk Factors and Inpatient Outcomes Associated with Acute Kidney Injury at Pediatric Severe Sepsis Presentation. Pediatr. Nephrol. 2018, 33, 1781–1790. [Google Scholar] [CrossRef] [PubMed]
- Hui-Stickle, S.; Brewer, E.D.; Goldstein, S.L. Pediatric ARF Epidemiology at a Tertiary Care Center from 1999 to 2001. Am. J. Kidney Dis. 2005, 45, 96–101. [Google Scholar] [CrossRef]
- Marzuillo, P.; Di Sessa, A.; Golino, R.; Tirelli, P.; De Lucia, M.; Rivetti, G.; Miraglia del Giudice, E.; Guarino, S.; Nunziata, F. Acute Kidney Injury in Infants Hospitalized for Viral Bronchiolitis. Eur. J. Pediatr. 2023, 182, 3569–3576. [Google Scholar] [CrossRef]
- Marzuillo, P.; Guarino, S.; Alfiero, S.; Annicchiarico Petruzzelli, L.; Arenella, M.; Baccelli, F.; Brugnara, M.; Corrado, C.; Delcaro, G.; Di Sessa, A.; et al. Acute Kidney Injury in Children Hospitalised for Febrile Urinary Tract Infection. Acta Paediatr. 2024, 113, 1711–1719. [Google Scholar] [CrossRef] [PubMed]
- Marzuillo, P.; Baldascino, M.; Guarino, S.; Perrotta, S.; Miraglia del Giudice, E.; Nunziata, F. Acute Kidney Injury in Children Hospitalized for Acute Gastroenteritis: Prevalence and Risk Factors. Pediatr. Nephrol. 2021, 36, 1627–1635. [Google Scholar] [CrossRef]
- Liaño, F.; Pascual, J.; Madrid Acute Renal Failure Study Group. Epidemiology of Acute Renal Failure: A Prospective, Multicenter, Community-Based Study. Kidney Int. 1996, 50, 811–818. [Google Scholar] [CrossRef] [PubMed]
- Nolan, C.R.; Anderson, R.J. Hospital-Acquired Acute Renal Failure. J. Am. Soc. Nephrol. 1998, 9, 710–718. [Google Scholar] [CrossRef]
- Chaturvedi, S.; Ng, K.H.; Mammen, C. The Path to Chronic Kidney Disease following Acute Kidney Injury: A Neonatal Perspective. Pediatr. Nephrol. 2017, 32, 227–241. [Google Scholar] [CrossRef]
- Shoaib, M.; Mahmud, S.N.; Safdar, M. Early Diagnosis of Acute Kidney Injury by Urinary Neutrophil Gelatinase Associated Lipocalin in Adult Critically Ill Patients. J. Ayub Med. Coll. Abbottabad Pak. 2019, 31, 12–15. [Google Scholar]
- Sandokji, I.; Greenberg, J.H. Novel Biomarkers of Acute Kidney Injury in Children: An Update on Recent Findings. Curr. Opin. Pediatr. 2020, 32, 354–359. [Google Scholar] [CrossRef]
- Roy, J.-P.; Devarajan, P. Acute Kidney Injury: Diagnosis and Management. Indian J. Pediatr. 2020, 87, 600–607. [Google Scholar] [CrossRef]
- Goldstein, S.L. Urine Output Assessment in Acute Kidney Injury: The Cheapest and Most Impactful Biomarker. Front. Pediatr. 2019, 7, 565. [Google Scholar] [CrossRef]
- Guarino, S.; Rivetti, G.; Di Sessa, A.; De Lucia, M.; Palma, P.L.; Miraglia del Giudice, E.; Polito, C.; Marzuillo, P. Diagnostic Performance of Height-Estimated Baseline Creatinine in Diagnosing Acute Kidney Injury in Children with Type 1 Diabetes Mellitus Onset. Children 2022, 9, 899. [Google Scholar] [CrossRef] [PubMed]
- Marzuillo, P.; Iafusco, D.; Zanfardino, A.; Guarino, S.; Piscopo, A.; Casaburo, F.; Capalbo, D.; Ventre, M.; Arienzo, M.R.; Cirillo, G.; et al. Acute Kidney Injury and Renal Tubular Damage in Children with Type 1 Diabetes Mellitus Onset. J. Clin. Endocrinol. Metab. 2021, 106, e2720–e2737. [Google Scholar] [CrossRef]
- Myers, S.R.; Glaser, N.S.; Trainor, J.L.; Nigrovic, L.E.; Garro, A.; Tzimenatos, L.; Quayle, K.S.; Kwok, M.Y.; Rewers, A.; Stoner, M.J.; et al. Frequency and Risk Factors of Acute Kidney Injury During Diabetic Ketoacidosis in Children and Association with Neurocognitive Outcomes. JAMA Netw. Open 2020, 3, e2025481. [Google Scholar] [CrossRef] [PubMed]
- Kelahan, L.C.; Desser, T.S.; Troxell, M.L.; Kamaya, A. Ultrasound Assessment of Acute Kidney Injury. Ultrasound Q. 2019, 35, 173–180. [Google Scholar] [CrossRef]
- Soldo, D.; Brkljacic, B.; Bozikov, V.; Drinkovic, I.; Hauser, M. Diabetic Nephropathy. Acta Radiol. 1997, 38, 296–302. [Google Scholar] [CrossRef]
- Yassa, N.A.; Peng, M.; Ralls, P.W. Perirenal Lucency (“kidney Sweat”): A New Sign of Renal Failure. Am. J. Roentgenol. 1999, 173, 1075–1077. [Google Scholar] [CrossRef] [PubMed]
- Granata, A.; Campo, I.; Lentini, P.; Pesce, F.; Gesualdo, L.; Basile, A.; Cantisani, V.; Zeiler, M.; Bertolotto, M. Role of Contrast-Enhanced Ultrasound (CEUS) in Native Kidney Pathology: Limits and Fields of Action. Diagnostics 2021, 11, 1058. [Google Scholar] [CrossRef]
- Ntoulia, A.; Anupindi, S.A.; Back, S.J.; Didier, R.A.; Hwang, M.; Johnson, A.M.; McCarville, M.B.; Papadopoulou, F.; Piskunowicz, M.; Sellars, M.E.; et al. Contrast-Enhanced Ultrasound: A Comprehensive Review of Safety in Children. Pediatr. Radiol. 2021, 51, 2161–2180. [Google Scholar] [CrossRef] [PubMed]
- Squires, J.H.; McCarville, M.B. Contrast-Enhanced Ultrasound in Children: Implementation and Key Diagnostic Applications. Am. J. Roentgenol. 2021, 217, 1217–1231. [Google Scholar] [CrossRef] [PubMed]
- Zhang, W.; Yi, H.; Cai, B.; He, Y.; Huang, S.; Zhang, Y. Feasibility of Contrast-Enhanced Ultrasonography (CEUS) in Evaluating Renal Microvascular Perfusion in Pediatric Patients. BMC Med. Imaging 2022, 22, 194. [Google Scholar] [CrossRef]
- Tang, M.-X.; Mulvana, H.; Gauthier, T.; Lim, A.K.P.; Cosgrove, D.O.; Eckersley, R.J.; Stride, E. Quantitative Contrast-Enhanced Ultrasound Imaging: A Review of Sources of Variability. Interface Focus. 2011, 1, 520–539. [Google Scholar] [CrossRef] [PubMed]
- Almushayt, S.J.; Pham, A.; Phillips, B.E.; Williams, J.P.; Taal, M.W.; Selby, N.M. Repeatability of Contrast-Enhanced Ultrasound to Determine Renal Cortical Perfusion. Diagnostics 2022, 12, 1293. [Google Scholar] [CrossRef]
- Chen, M.; Fu, X.; Shen, Y. Evaluation of Multimode Color Doppler Flow Imaging in the Diagnosis of Solid Renal Tumor. Contrast Media Mol. Imaging 2021, 2021, 656877. [Google Scholar] [CrossRef]
- Albaladejo-Fuertes, S.; Jung, E.M.; Büchler, C.; Gülow, K.; Kandulski, A.; Kempa, S.; Müller, M.; Tews, H.C. High-Resolution Visualization of Intestinal Microcirculation Using Ultra-Microangiography in Patients with Inflammatory Bowel Disease: A Pilot Study. J. Gastrointest. Liver Dis. 2024, 33, 194–202. [Google Scholar] [CrossRef]
- Zhao, C.; Wang, Q.; Wang, M.; Tao, X.; Liu, S.; Qi, Z.; Lanxi, X.; Liu, D.; He, X.; Tian, X.; et al. Ultra-Microangiography in Evaluating the Disease Activity of Rheumatoid Arthritis and Enhancing the Efficacy of Ultrasonography: A Preliminary Study. Eur. J. Radiol. 2021, 137, 109567. [Google Scholar] [CrossRef]
- Chen, C.; Liu, S.; Zhao, C.; Wang, R.; Yu, N.; Long, X.; Wang, Y.; Yang, F.; Sun, J.; Lu, Z.L.; et al. Activity of Keloids Evaluated by Multimodal Photoacoustic/Ultrasonic Imaging System. Photoacoustics 2021, 24, 100302. [Google Scholar] [CrossRef]
- Armaly, Z.; Abu-Rahme, M.; Kinaneh, S.; Hijazi, B.; Habbasshi, N.; Artul, S. An Innovative Ultrasound Technique for Early Detection of Kidney Dysfunction: Superb Microvascular Imaging as a Reference Standard. J. Clin. Med. 2022, 11, 925. [Google Scholar] [CrossRef] [PubMed]




Disclaimer/Publisher’s Note: The statements, opinions and data contained in all publications are solely those of the individual author(s) and contributor(s) and not of MDPI and/or the editor(s). MDPI and/or the editor(s) disclaim responsibility for any injury to people or property resulting from any ideas, methods, instructions or products referred to in the content. |
© 2024 by the authors. Licensee MDPI, Basel, Switzerland. This article is an open access article distributed under the terms and conditions of the Creative Commons Attribution (CC BY) license (https://creativecommons.org/licenses/by/4.0/).
Share and Cite
Ogorevc, N.; Slak, P.; Nikšić, S.; Novljan, G.; Fister, P.; Plut, D. Contrast-Enhanced Ultrasound (CEUS) and Ultra-Microangiography (UMA) in Critically Ill Children with Acute Kidney Injury. Children 2024, 11, 1205. https://doi.org/10.3390/children11101205
Ogorevc N, Slak P, Nikšić S, Novljan G, Fister P, Plut D. Contrast-Enhanced Ultrasound (CEUS) and Ultra-Microangiography (UMA) in Critically Ill Children with Acute Kidney Injury. Children. 2024; 11(10):1205. https://doi.org/10.3390/children11101205
Chicago/Turabian StyleOgorevc, Nace, Peter Slak, Stevan Nikšić, Gregor Novljan, Petja Fister, and Domen Plut. 2024. "Contrast-Enhanced Ultrasound (CEUS) and Ultra-Microangiography (UMA) in Critically Ill Children with Acute Kidney Injury" Children 11, no. 10: 1205. https://doi.org/10.3390/children11101205
APA StyleOgorevc, N., Slak, P., Nikšić, S., Novljan, G., Fister, P., & Plut, D. (2024). Contrast-Enhanced Ultrasound (CEUS) and Ultra-Microangiography (UMA) in Critically Ill Children with Acute Kidney Injury. Children, 11(10), 1205. https://doi.org/10.3390/children11101205

