Predictors of Neurodevelopment in Microcephaly Associated with Congenital Zika Syndrome: A Prospective Study
Abstract
:1. Introduction
2. Methods
2.1. Patients and Definitions
2.2. Clinical Evaluation
2.3. Analysis
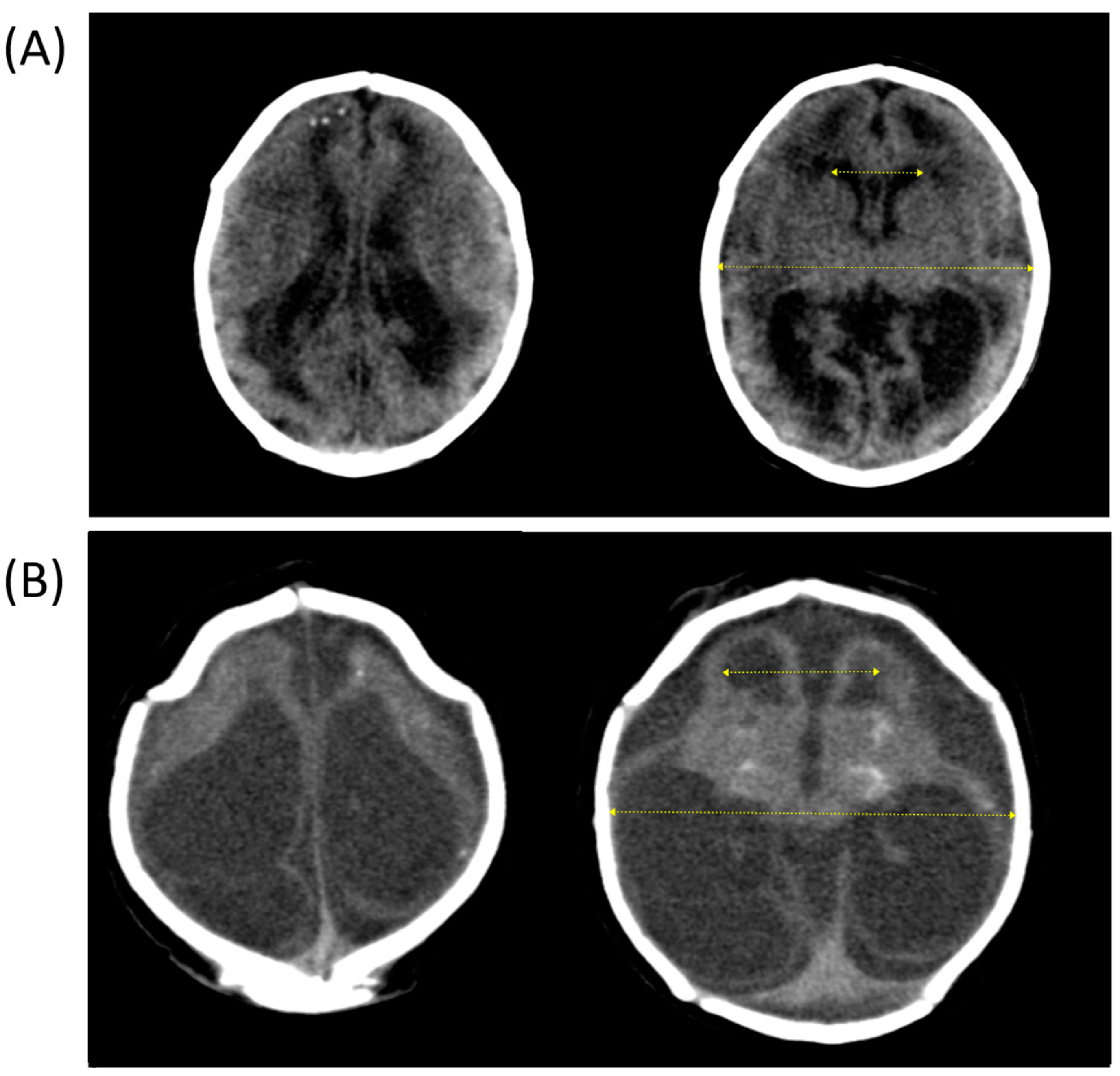
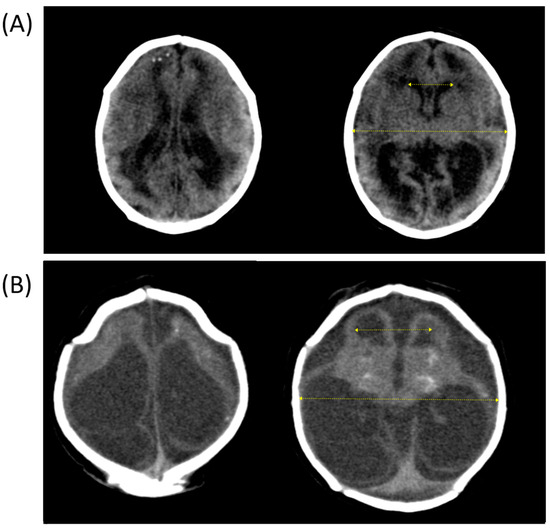
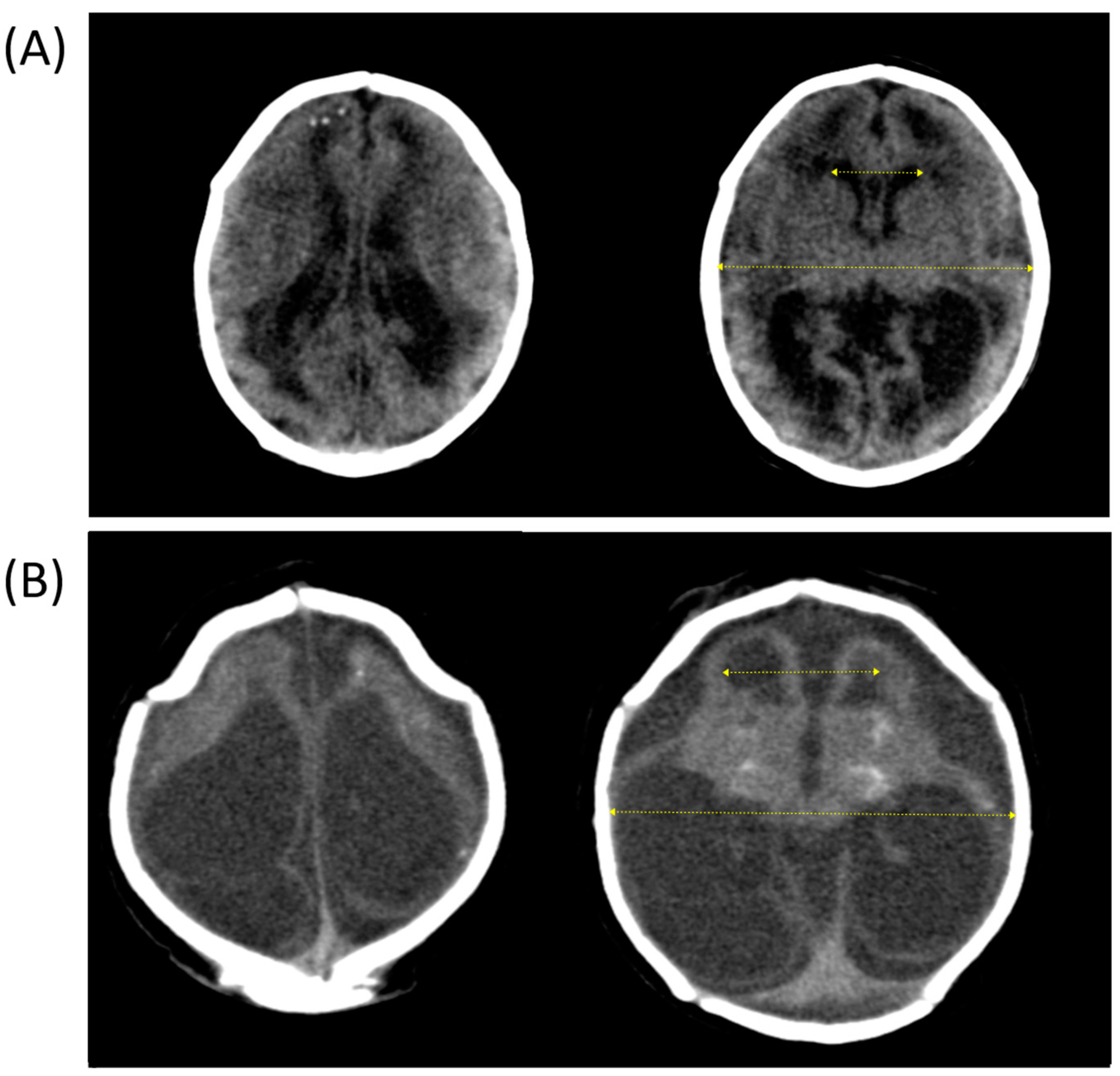
3. Results
4. Discussion
Supplementary Materials
Author Contributions
Funding
Institutional Review Board Statement
Informed Consent Statement
Data Availability Statement
Acknowledgments
Conflicts of Interest
References
- Rasmussen, S.A.; Jamieson, D.J.; Honein, M.A.; Petersen, L.R. Zika virus and birth defects—Reviewing the evidence for causality. N. Engl. J. Med. 2016, 374, 1981–1987. [Google Scholar] [CrossRef]
- Moore, C.A.; Staples, J.E.; Dobyns, W.B.; Pessoa, A.; Ventura, C.V.; Da Fonseca, E.B.; Ribeiro, E.M.; Ventura, L.O.; Neto, N.N.; Arena, J.F.; et al. Characterizing the pattern of anomalies in congenital zika syndrome for pediatric clinicians. JAMA Pediatr. 2017, 171, 288–295. [Google Scholar] [CrossRef]
- Campos Coelho, A.V.; Crovella, S. Microcephaly prevalence in infants born to zika virus-infectedwomen: A systematic review and meta-analysis. Int. J. Mol. Sci. 2017, 18, 1714. [Google Scholar] [CrossRef]
- Johansson, M.A.; Mier-y-Teran-Romero, L.; Reefhuis, J.; Gilboa, S.M.; Hills, S.L. Zika and the Risk of Microcephaly. N. Engl. J. Med. 2016, 375, 1–4. [Google Scholar] [CrossRef]
- Del Campo, M.; Feitosa, I.M.; Ribeiro, E.M.; Horovitz, D.D.; Pessoa, A.L.; França, G.V.; García-Alix, A.; Doriqui, M.J.; Wanderley, H.Y.; Sanseverino, M.V.; et al. The phenotypic spectrum of congenital Zika syndrome. Am. J. Med. Genet. Part A 2017, 173, 841–857. [Google Scholar] [CrossRef]
- Honein, M.A.; Dawson, A.L.; Petersen, E.E.; Jones, A.M.; Lee, E.H.; Yazdy, M.M.; Ahmad, N.; Macdonald, J.; Evert, N.; Bingham, A.; et al. Birth defects among fetuses and infants of US women with evidence of possible zika virus infection during pregnancy. JAMA—J. Am. Med. Assoc. 2017, 317, 59–68. [Google Scholar] [CrossRef]
- de Fatima Viana Vasco Aragao, M.; de Lima Petribu, N.C.; van der Linden, V.; Valenca, M.M.; de Brito, C.A.A.; Parizel, P.M. Updated Imaging Findings in Congenital Zika Syndrome: A Disease Story That is Still Being Written. Top. Magn. Reson. Imaging 2019, 28, 1–14. [Google Scholar] [CrossRef]
- Villar, J.; Ismail, L.C.; Victora, C.G.; Ohuma, E.O.; Bertino, E.; Altman, D.G.; Lambert, A.; Papageorghiou, A.T.; Carvalho, M.; Jaffer, Y.A.; et al. Articles International standards for newborn weight, length, and head circumference by gestational age and sex: The Newborn Cross-Sectional Study of the INTERGROWTH-21 st Project. Lancet 2014, 384, 857–868. [Google Scholar] [CrossRef]
- Villar, J.; Ismail, L.C.; Victora, C.G.; Ohuma, E.O.; Bertino, E.; Altman, D.G.; Lambert, A.; Papageorghiou, A.T.; Carvalho, M.; Jaffer, Y.A.; et al. Clinical and neurodevelopmental features in children with cerebral palsy and probable congenital Zika. Brain Dev. 2019, 41, 587–594. [Google Scholar] [CrossRef]
- da Silva, A.A.M.; Ganz, J.S.S.; da Silva Sousa, P.; Doriqui, M.J.R.; Ribeiro, M.R.C.; Branco, M.D.R.F.C.; de Sousa Queiroz, R.C.; Pacheco, M.D.J.T.; da Costa, F.R.V.; de Sousa Silva, F.; et al. Early growth and neurologic outcomes of infants with probable congenital Zika virus syndrome. Emerg. Infect. Dis. 2016, 22, 1953–1956. [Google Scholar] [CrossRef]
- Leal, M.C.; Muniz, L.F.; Ferreira, T.S.; Santos, C.M.; Almeida, L.C.; Linden, V.V.D.; Ramos, R.C.; Rodrigues, L.C.; Neto, S.S.C. Hearing loss in infants with microcephaly and evidence of congenital zika virus infection—Brazil, November 2015–May 2016. Morb. Mortal. Wkly. Rep. 2016, 65, 917–919. [Google Scholar] [CrossRef]
- Ferreira, H.N.C.; Schiariti, V.; Regalado, I.C.R.; Sousa, K.G.; Pereira, S.A.; Fechine, C.P.N.D.S.; Longo, E. Functioning and disability profile of children with microcephaly associated with congenital Zika virus infection. Int. J. Environ. Res. Public Health 2018, 15, 1107. [Google Scholar] [CrossRef]
- van der Linden, V.; Rolim Filho, E.L.; Lins, O.G.; van der Linden, A.; Aragão, M.D.F.V.V.; Brainer-Lima, A.M.; Cruz, D.D.C.S.; Rocha, M.A.W.; da Silva, P.F.S.; Carvalho, M.D.C.G.; et al. Congenital Zika syndrome with arthrogryposis: Retrospective case series study. BMJ 2016, 354, i3899. [Google Scholar] [CrossRef]
- Satterfield-Nash, A.; Kotzky, K.; Allen, J.; Bertolli, J.; Moore, C.A.; Pereira, I.O.; Pessoa, A.; Melo, F.; Boyle, C.A.; Peacock, G. Health and development at age 19–24 months of 19 children who were born with microcephaly and laboratory evidence of congenital Zika virus infection during the 2015 Zika virus outbreak—Brazil, 2017. Morb. Mortal. Wkly. Rep. 2017, 66, 1347–1351. [Google Scholar] [CrossRef]
- Nielsen-Saines, K.; Brasil, P.; Kerin, T.; Vasconcelos, Z.; Gabaglia, C.R.; Damasceno, L.; Pone, M.; Abreu de Carvalho, L.M.; Pone, S.M.; Zin, A.A.; et al. Delayed childhood neurodevelopment and neurosensory alterations in the second year of life in a prospective cohort of ZIKV-exposed children. Nat. Med. 2019, 25, 1213–1217. [Google Scholar] [CrossRef]
- Oliveira-Filho, J.; Felzemburgh, R.; Costa, F.; Nery, N., Jr.; Mattos, A.; Henriques, D.F.; Ko, A.I. Seizures as a complication of congenital Zika syndrome in early infancy. Am. J. Trop. Med. Hyg. 2018, 98, 1860–1862. [Google Scholar] [CrossRef]
- Pool, K.L.; Adachi, K.; Karnezis, S.; Salamon, N.; Romero, T.; Nielsen-Saines, K.; Pone, S.; Boechat, M.; Aibe, M.; da Silva, T.G.; et al. Association Between Neonatal Neuroimaging and Clinical Outcomes in Zika-Exposed Infants From Rio de Janeiro, Brazil. JAMA Netw. Open. 2019, 2, e198124. [Google Scholar] [CrossRef]
- Vouga, M.; Baud, D. Imaging of congenital Zika virus infection: The route to identification of prognostic factors. Prenat. Diagn. 2016, 36, 799–811. [Google Scholar] [CrossRef]
- de Paula Freitas, B.; de Oliveira Dias, J.R.; Prazeres, J.; Sacramento, G.A.; Ko, A.I.; Maia, M.; Belfort, R. Ocular findings in infants with microcephaly associated with presumed zika virus congenital infection in Salvador, Brazil. JAMA Ophthalmol. 2016, 134, 529–535. [Google Scholar] [CrossRef]
- Zin, A.A.; Tsui, I.; Rossetto, J.; Vasconcelos, Z.; Adachi, K.; Valderramos, S.; Halai, U.A.; da Silva Pone, M.V.; Pone, S.M.; Silveira Filho, J.C.B.; et al. Screening criteria for ophthalmic manifestations of congenital zika virus infection. JAMA Pediatr. 2017, 171, 847–854. [Google Scholar] [CrossRef]
- Pessoa, A.; van der Linden, V.; Yeargin-Allsopp, M.; Carvalho, M.D.C.G.; Ribeiro, E.M.; Van Naarden Braun, K.; Durkin, M.S.; Pastula, D.M.; Moore, J.T.; Moore, C.A. Motor abnormalities and epilepsy in infants and children with evidence of congenital zika virus infection. Pediatrics 2018, 141, S167–S179. [Google Scholar] [CrossRef] [PubMed]
- Alves, L.V.; Paredes, C.E.; Silva, G.C.; Mello, J.G.; Alves, J.G. Neurodevelopment of 24 children born in Brazil with congenital Zika syndrome in 2015: A case series study. BMJ Open. 2018, 8, e021304. [Google Scholar] [CrossRef] [PubMed]
- Gordon-Lipkin, E.; Gentner, M.B.; German, R.; Leppert, M.L. Neurodevelopmental Outcomes in 22 Children with Microcephaly of Different Etiologies. J. Child. Neurol. 2017, 32, 804–809. [Google Scholar] [CrossRef] [PubMed]
- Pomar, L.; Vouga, M.; Lambert, V.; Pomar, C.; Hcini, N.; Jolivet, A.; Benoist, G.; Rousset, D.; Matheus, S.; Malinger, G.; et al. Maternal-fetal transmission and adverse perinatal outcomes in pregnant women infected with Zika virus: Prospective cohort study in French Guiana. BMJ 2018, 363. [Google Scholar] [CrossRef]
- Kwak, M.; Yum, M.S.; Yeh, H.R.; Kim, H.J.; Ko, T.S. Brain Magnetic Resonance Imaging Findings of Congenital Cytomegalovirus Infection as a Prognostic Factor for Neurological Outcome. Pediatr. Neurol. 2018, 83, 14–18. [Google Scholar] [CrossRef]
- Alarcon, A.; Martinez-Biarge, M.; Cabañas, F.; Hernanz, A.; Quero, J.; Garcia-Alix, A. Clinical, biochemical, and neuroimaging findings predict long-term neurodevelopmental outcome in symptomatic congenital cytomegalovirus infection. J. Pediatr. 2013, 163, 828–834. [Google Scholar] [CrossRef]
- Boppana, S.B.; Fowler, K.B.; Vaid, Y.; Hedlund, G.; Stagno, S.; Britt, W.J.; Pass, R.F. Neuroradiographic findings in the newborn period and long-term outcome in children with symptomatic congenital cytomegalovirus infection. Pediatrics 1997, 99, 409–414. [Google Scholar] [CrossRef]
- Faiçal, A.V.; de Oliveira, J.C.; Oliveira, J.V.V.; de Almeida, B.L.; Agra, I.A.; Alcantara, L.C.J.; Acosta, A.X.; de Siqueira, I.C. Neurodevelopmental delay in normocephalic children with in utero exposure to Zika virus. BMJ Paediatr. Open 2019, 3, 9–11. [Google Scholar] [CrossRef]
- Aragao, M.D.F.V.; van der Linden, V.; Brainer-Lima, A.M.; Coeli, R.R.; Rocha, M.A.; da Silva, P.S.; de Carvalho, M.D.C.G.; van der Linden, A.; de Holanda, A.C.; Valenca, M.M. Clinical features and neuroimaging (CT and MRI) findings in presumed Zika virus related congenital infection and microcephaly: Retrospective case series study. BMJ 2016, 353, i1901. [Google Scholar] [CrossRef]
- Peixoto Filho, A.A.A.; De Freitas, S.B.; Ciosaki, M.M.; e Oliveira, L.N.; Dos Santos Júnior, O.T. Computed tomography and magnetic resonance imaging findings in infants with microcephaly potentially related to congenital Zika virus infection. Radiol. Bras. 2018, 51, 119–122. [Google Scholar] [CrossRef]
- Lage, M.L.C.; Carvalho, A.L.D.; Ventura, P.A.; Taguchi, T.B.; Fernandes, A.S.; Pinho, S.F.; Santos-Junior, O.T.; Ramos, C.L.; Nascimento-Carvalho, C.M. Clinical, neuroimaging, and neurophysiological findings in children with microcephaly related to congenital zika virus infection. Int. J. Environ. Res. Public Health 2019, 16, 309. [Google Scholar] [CrossRef] [PubMed]
- Zare Mehrjardi, M.; Keshavarz, E.; Poretti, A.; Hazin, A.N. Neuroimaging findings of Zika virus infection: A review article. Jpn. J. Radiol. 2016, 34, 765–770. [Google Scholar] [CrossRef] [PubMed]
- Evans, W.A. An encephalographic ratio for estimating ventricular enlargement and cerebral atrophy. Arch. Neurol. Psychiatry 1942, 47, 931–937. [Google Scholar] [CrossRef]
- Gawler, J.; Du Boulay, G.H.; Bull, J.W.D.; Marshall, J. Computerized tomography (the EMI scanner): A comparison with pneumoencephalography and ventriculography. J. Neurol. Neurosurg. Psychiatry 1976, 39, 203–211. [Google Scholar] [CrossRef] [PubMed]
- Ragan, D.K.; Cerqua, J.; Nash, T.; McKinstry, R.C.; Shimony, J.S.; Jones, B.V.; Mangano, F.T.; Holland, S.K.; Yuan, W.; Limbrick, D.D. The accuracy of linear indices of ventricular volume in pediatric hydrocephalus: Technical note. J. Neurosurg. Pediatr. 2015, 15, 547–551. [Google Scholar] [CrossRef]
- Sarı, E.; Sarı, S.; Akgün, V.; Özcan, E.; Ìnce, S.; Babacan, O.; Saldır, M.; Açıkel, C.; Başbozkurt, G.; Yeşilkaya, Ş. Measures of ventricles and evans’ index: From neonate to adolescent. Pediatr. Neurosurg. 2015, 50, 12–17. [Google Scholar] [CrossRef]
- Von Bezing, H.; Andronikou, S.; Van Toorn, R.; Douglas, T. Are linear measurements and computerized volumetric ratios determined from axial MRI useful for diagnosing hydrocephalus in children with tuberculous meningitis? Child’s Nerv. Syst. 2012, 28, 79–85. [Google Scholar] [CrossRef]
- Wilk, R.; Kluczewska, E.; Syc, B.; Bajor, G. Normative values for selected linear indices of the intracranial fluid spaces based on CT images of the head in children. Pol. J. Radiol. 2011, 76, 16–25. [Google Scholar]
- Missori, P.; Rughetti, A.; Peschillo, S.; Gualdi, G.; Di Biasi, C.; Nofroni, I.; Marinelli, L.; Fattapposta, F.; Currà, A. In normal aging ventricular system never attains pathological values of evans’ index. Oncotarget 2016, 7, 11860–11863. [Google Scholar] [CrossRef]
- Oliveira, D.B.; Almeida, F.J.; Durigon, E.L.; Mendes, É.A.; Braconi, C.T.; Marchetti, I.; Andreata-Santos, R.; Cunha, M.P.; Alves, R.P.; Pereira, L.R.; et al. Prolonged Shedding of Zika Virus Associated with Congenital Infection. N. Engl. J. Med. 2016, 375, 1202–1204. [Google Scholar] [CrossRef]
- Driggers, R.W.; Ho, C.Y.; Korhonen, E.M.; Kuivanen, S.; Jääskeläinen, A.J.; Smura, T.; Rosenberg, A.; Hill, D.A.; DeBiasi, R.L.; Vezina, G.; et al. Zika virus infection with prolonged maternal viremia and fetal brain abnormalities. N. Engl. J. Med. 2016, 374, 2142–2151. [Google Scholar] [CrossRef] [PubMed]


| Variable | Values, n (%) or Mean +/− Standard Deviation or Median [Interquartile Range] |
|---|---|
| Maternal characteristics | |
| Age (years) * | 26 ± 6 |
| Symptomatic Zika infection during pregnancy | 43 (86) |
| Symptoms during first trimester | 33 (76.7) |
| Complete prenatal visits | 42 (84) |
| Newborn clinical characteristics | |
| Gestational age ‡ | 39 [37–40] |
| Apgar 1’ ≥ 8 | 50 (100) |
| Apgar: 5’ ≥ 8 | 50 (100) |
| Birth weight (g) * | 2492 ± 547 |
| Birth length (cm) ‡ | 46 [43.8–48.3] |
| Birth HC (cm) ‡ | 28 [27–31] |
| Intergrowth-21st (Z score) * | −3.7 ± 1.5 |
| Female sex | 27 (54) |
| Arthrogryposis | 7 (14) |
| Low vision Neonatal seizure | 46 (92) 11 (22) |
| Neonatal jaundice | 5 (10) |
| Respiratory distress | 1 (2) |
| Neonatal dysphagia | 7 (14) |
| Radiological characteristics | |
| CT scan—infant age (in days) ‡ | 13 [3–68] |
| Evans’ index ‡ | 0.39 [0.35–0.44] |
| Ventriculomegaly | 39 (78) |
| Cerebral intraparenchymatous calcifications | 40 (80) |
| Neuronal migration disorders | 34 (68) |
| Cerebellum hypoplasia | 4 (8) |
| Corpus callosum anomaly | 20 (40) |
| ZIKV laboratory results | |
| Positive anti-ZIKV IgM (n/N) | 24/40 (60%) |
| Positive anti-ZIKV IgG (n/N) | 42/50 (84%) |
| Positive ZIKV RT-PCR (n/N) | 16/37 (43%) |
| Positive ZIKV PRNT90 (n/N) | 33/33 (100%) |
| Cognitive Score | Extremely Low 42 (85.7) Low Average 1 (2) |
|---|---|
| Language score | Borderline 1 (2) Extremely low 41 (83.7) Low average 1 (2) |
| Motor score | Extremely low 42 (85.7) Low average 1 (2) |
| Delay in months—Cognitive domain | 26.8 [35.8–22.9] |
| Receptive language domain | 25.7 [32.1–20.9] |
| Expressive language domain | 27.1 [34.3–22.6] |
| Fine motor function domain | 26.8 [36.1–23.9] |
| Gross motor function domain | 28.9 [36.4–22.9] |
| Domain | Variables | Adjusted Effect (Delay in Months) | IC 95% | p |
|---|---|---|---|---|
| Cognitive | zHC at birth Evans’ index * | 1.48 3.42 | –0.70–3.70 6.6–61.8 | 0.186 0.016 |
| Receptive language | zHC at birth Evans’ index * | 1.70 3.21 | –0.38–3.78 6.4–57.9 | 0.106 0.016 |
| Expressive language | zHC at birth Evans’ index * | 1.95 3.42 | –0.20–4.12 6.6–61.8 | 0.074 0.016 |
| Gross motor | zHC at birth Evans’ index * | 1.44 2.37 | –0.23–3.12 3.0–44.4 | 0.088 0.026 |
| Fine motor | zHC at birth Evans’ index * | 1.48 3.14 | –0.65–3.61 5.0–57.8 | 0.169 0.021 |
Disclaimer/Publisher’s Note: The statements, opinions and data contained in all publications are solely those of the individual author(s) and contributor(s) and not of MDPI and/or the editor(s). MDPI and/or the editor(s) disclaim responsibility for any injury to people or property resulting from any ideas, methods, instructions or products referred to in the content. |
© 2023 by the authors. Licensee MDPI, Basel, Switzerland. This article is an open access article distributed under the terms and conditions of the Creative Commons Attribution (CC BY) license (https://creativecommons.org/licenses/by/4.0/).
Share and Cite
Mattos, A.M.; Rastely-Junior, V.N.; Pires, M.M.; Aguilar, J.P.; Lessa, M.S.A.; Regis, C.; Wanderley, M.; Leony, J.; Bouzon, J.; Ballalai, V.; et al. Predictors of Neurodevelopment in Microcephaly Associated with Congenital Zika Syndrome: A Prospective Study. Children 2023, 10, 1831. https://doi.org/10.3390/children10121831
Mattos AM, Rastely-Junior VN, Pires MM, Aguilar JP, Lessa MSA, Regis C, Wanderley M, Leony J, Bouzon J, Ballalai V, et al. Predictors of Neurodevelopment in Microcephaly Associated with Congenital Zika Syndrome: A Prospective Study. Children. 2023; 10(12):1831. https://doi.org/10.3390/children10121831
Chicago/Turabian StyleMattos, Adriana M., Valmir N. Rastely-Junior, Matheus M. Pires, Juan P. Aguilar, Millani S. A. Lessa, Clarina Regis, Mariana Wanderley, Julio Leony, Joseane Bouzon, Verena Ballalai, and et al. 2023. "Predictors of Neurodevelopment in Microcephaly Associated with Congenital Zika Syndrome: A Prospective Study" Children 10, no. 12: 1831. https://doi.org/10.3390/children10121831
APA StyleMattos, A. M., Rastely-Junior, V. N., Pires, M. M., Aguilar, J. P., Lessa, M. S. A., Regis, C., Wanderley, M., Leony, J., Bouzon, J., Ballalai, V., Vieira, C., Carvalho, G. B. S., Almeida, J. R. M., Nery, N., Jr., Leal, R., Costa, F., Ko, A. I., Reis, M. G., & Oliveira-Filho, J. (2023). Predictors of Neurodevelopment in Microcephaly Associated with Congenital Zika Syndrome: A Prospective Study. Children, 10(12), 1831. https://doi.org/10.3390/children10121831

